JavaScript is disabled in your browser. Please enable JavaScript to view this website.
AB93884

Anti-Bcl2 alpha antibody [SP66] - N-terminal

Be the first to review this product! Submit a review

|

(2 Publications)

Anti-Bcl2 alpha antibody [SP66] - N-terminal (ab93884) is a rabbit monoclonal antibody detecting Bcl2 alpha in IHC-P. Suitable for Human.

- Biophysical QC for unrivalled batch-batch consistency
- Trusted since 2010

View Alternative Names

Apoptosis regulator Bcl-2, BCL2

1 Images
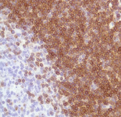
Immunohistochemistry (Formalin/PFA-fixed paraffin-embedded sections) - Anti-Bcl2 alpha antibody [SP66] - N-terminal (AB93884)
  • IHC-P

Supplier Data

Immunohistochemistry (Formalin/PFA-fixed paraffin-embedded sections) - Anti-Bcl2 alpha antibody [SP66] - N-terminal (AB93884)

Formalin-fixed, paraffin-embedded human tonsil tissue stained for Bcl2 alpha with ab93884 at 1/100 dilution in immunohistochemical analysis. DAB staining.

  • Carrier free

    Anti-Bcl2 alpha antibody [SP66] - BSA and Azide free

Key facts

Host species

Rabbit

Clonality

Monoclonal

Clone number

SP66

Isotype

IgG

Carrier free

No

Reacts with

Human

Applications

IHC-P

applications

Immunogen

The exact immunogen used to generate this antibody is proprietary information.

Reactivity data

{ "title": "Reactivity Data", "filters": { "stats": ["", "Species", "Dilution Info", "Notes"], "tabs": { "all-applications": {"fullname" : "All Applications", "shortname": "All Applications"}, "IHCP" : {"fullname" : "Immunohistochemistry (Formalin/PFA-fixed paraffin-embedded sections)", "shortname":"IHC-P"} }, "product-promise": { "all": "all", "testedAndGuaranteed": "tested", "guaranteed": "expected", "predicted": "predicted", "notRecommended": "not-recommended" } }, "values": { "Human": { "IHCP-species-checked": "testedAndGuaranteed", "IHCP-species-dilution-info": "1/100", "IHCP-species-notes": "<p></p> Perform heat-mediated antigen retrieval with citrate buffer pH 6 before commencing with IHC staining protocol." } } }

Product details

What is this antibody validated in?
Anti-Bcl2 alpha antibody [SP66] - N-terminal (ab93884) is a rabbit recombinant monoclonal antibody and is validated for use in Immunohistochemistry (IHC-P) in Human samples.

Collaboration
Anti-Bcl2 alpha [SP66] - N-terminal (ab93884) is a clone from the portfolio of Spring Bioscience (Roche) SP clones which have been optimised for immunohistochemistry (IHC).

Other related products
We have a range of other formats of antibody clone [SP66] also available for your convenience: ab93884, Carrier free - ab236221, ab279431

Properties and storage information

Form
Liquid
Purification technique
Affinity purification Protein A/G
Purification notes
Purified from TCS by protein A/G.
Storage buffer
pH: 7.6 Preservative: 0.1% Sodium azide Constituents: PBS, 1% BSA
Shipped at conditions
Blue Ice
Appropriate short-term storage duration
1-2 weeks
Appropriate short-term storage conditions
+4°C
Appropriate long-term storage conditions
-20°C
Aliquoting information
Upon delivery aliquot
Storage information
Avoid freeze / thaw cycle

Supplementary information

This supplementary information is collated from multiple sources and compiled automatically.

Bcl2 alpha also known as B-cell lymphoma 2 is a protein with a molecular mass of approximately 26 kDa. This protein plays an important role mechanically as a regulator of apoptosis actively inhibiting cell death in various cell types. Expressed in cells of hematopoietic origin Bcl2 alpha localizes mainly within the outer mitochondrial membrane nuclear envelope and endoplasmic reticulum. The protein's prominent function contributes to balancing cell survival and death making it significant in cellular homeostasis.
Biological function summary

Bcl2 alpha controls the intrinsic pathway of apoptosis. It is a part of the Bcl-2 family which consists of proteins that either promote or inhibit apoptosis. Bcl2 alpha interacts with other Bcl-2 family members forming either pro-apoptotic or anti-apoptotic complexes. It ensures cell survival by preventing the release of cytochrome c from mitochondria and interacting with pro-apoptotic proteins like Bax and Bak. This interaction obstructs the activation of caspase enzymes which are critical in the execution of apoptosis.

Pathways

Bcl2 alpha functions within the apoptotic and mitochondrial pathways. In the apoptotic pathway Bcl2 alpha plays an anti-apoptotic role by modulating the activity of pro-apoptotic proteins mainly through its interactions with Bax and Bak. Within the mitochondrial pathway Bcl2 alpha affects the permeability of the mitochondrial membrane thereby influencing the release of factors that initiate caspase activation. These pathways involve interconnected roles with other key proteins these roles affecting processes such as cell cycle regulation and response to cellular stress.

Bcl2 alpha is notably associated with certain cancers and neurodegenerative diseases. In cancers like lymphoma Bcl2 alpha is often overexpressed which leads to increased cell survival and resistance to apoptosis therefore contributing to tumor progression. The protein is also linked to neurodegenerative diseases where it may influence neuronal survival. Connections with proteins like myc in cancers and others in neurological contexts further highlight the importance of Bcl2 alpha in these disorders. Understanding its role offers potential therapeutic targets for treatment strategies.

Product protocols

For this product, it's our understanding that no specific protocols are required. You can visit:

Target data

Suppresses apoptosis in a variety of cell systems including factor-dependent lymphohematopoietic and neural cells (PubMed : 1508712, PubMed : 8183370). Regulates cell death by controlling the mitochondrial membrane permeability (PubMed : 11368354). Appears to function in a feedback loop system with caspases (PubMed : 11368354). Inhibits caspase activity either by preventing the release of cytochrome c from the mitochondria and/or by binding to the apoptosis-activating factor (APAF-1) (PubMed : 11368354). Also acts as an inhibitor of autophagy : interacts with BECN1 and AMBRA1 during non-starvation conditions and inhibits their autophagy function (PubMed : 18570871, PubMed : 20889974, PubMed : 21358617). May attenuate inflammation by impairing NLRP1-inflammasome activation, hence CASP1 activation and IL1B release (PubMed : 17418785).
See full target information BCL2

Publications (2)

Recent publications for all applications. Explore the full list and refine your search

Stem cell research & therapy 16:498 PubMed40999515

2025

SUV39H1 facilitate the osteogenic differentiation of dental pulp stem cells by modulating lipid metabolism and mitochondrial dynamics through FASN via non-histone methylation and ubiquitination mechanism.

Applications

Unspecified application

Species

Unspecified reactive species

Ning Wang,Wanqing Wang,Xiao Han,Yangyang Cao,Haoqing Yang,Chen Zhang,Huina Liu,Mengyuan Zhu,Dengsheng Xia,Zhipeng Fan

The journal of histochemistry and cytochemistry : 67:309-334 PubMed30879407

2019

Synthetic Antigen Gels as Practical Controls for Standardized and Quantitative Immunohistochemistry.

Applications

Unspecified application

Species

Unspecified reactive species

Kathy J Hötzel,Charles A Havnar,Hai V Ngu,Sandra Rost,Scot D Liu,Linda K Rangell,Franklin V Peale
View all publications

Product promise

We are committed to supporting your work with high-quality reagents, and we're here for you every step of the way. In the unlikely event that one of our products does not perform as expected, you're protected by our Product Promise.
For full details, please see our Terms & Conditions

Please note: All products are 'FOR RESEARCH USE ONLY. NOT FOR USE IN DIAGNOSTIC OR THERAPEUTIC PROCEDURES'.

For licensing inquiries, please contact partnerships@abcam.com