JavaScript is disabled in your browser. Please enable JavaScript to view this website.
AB233641

Anti-BCL2L10 antibody [8A2F9]

Be the first to review this product! Submit a review

|

(1 Publication)

Mouse Monoclonal BCL2L10 antibody. Suitable for Flow Cyt, WB, IHC-P, ICC/IF and reacts with Human samples. Cited in 1 publication. Immunogen corresponding to Recombinant Fragment Protein within Human BCL2L10 aa 1-200.

View Alternative Names

BCL-B, BCLB, BOO, DIVA, BCL2L10, Bcl-2-like protein 10, Bcl2-L-10, Anti-apoptotic protein Boo, Anti-apoptotic protein NrH, Apoptosis regulator Bcl-B

6 Images
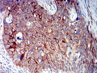
Immunohistochemistry (Formalin/PFA-fixed paraffin-embedded sections) - Anti-BCL2L10 antibody [8A2F9] (AB233641)
  • IHC-P

Supplier Data

Immunohistochemistry (Formalin/PFA-fixed paraffin-embedded sections) - Anti-BCL2L10 antibody [8A2F9] (AB233641)

Paraffin-embedded human cervical cancer tissue stained for BCL2L10 using ab233641 at 1/200 dilution in immunohistochemical analysis.

Immunohistochemistry (Formalin/PFA-fixed paraffin-embedded sections) - Anti-BCL2L10 antibody [8A2F9] (AB233641)
  • IHC-P

Supplier Data

Immunohistochemistry (Formalin/PFA-fixed paraffin-embedded sections) - Anti-BCL2L10 antibody [8A2F9] (AB233641)

Paraffin-embedded human lung cancer tissue stained for BCL2L10 using ab233641 at 1/200 dilution in immunohistochemical analysis.

Flow Cytometry - Anti-BCL2L10 antibody [8A2F9] (AB233641)
  • Flow Cyt

Supplier Data

Flow Cytometry - Anti-BCL2L10 antibody [8A2F9] (AB233641)

Flow cytometric analysis of HeLa (human epithelial cell line from cervix adenocarcinoma) cell line labeling BCL2L10 with ab233641 at 1/200 dilution (green) compared with a negative control (red).

Immunocytochemistry/ Immunofluorescence - Anti-BCL2L10 antibody [8A2F9] (AB233641)
  • ICC/IF

Supplier Data

Immunocytochemistry/ Immunofluorescence - Anti-BCL2L10 antibody [8A2F9] (AB233641)

HeLa (human epithelial cell line from cervix adenocarcinoma) cells stained for BCL2L10 (green) using ab233641 at 1/200 dilution in ICC/IF.

Blue : DRAQ5 fluorescent DNA dye. Red : Actin filaments have been labeled with Alexa Fluor-555 phalloidin.

Western blot - Anti-BCL2L10 antibody [8A2F9] (AB233641)
  • WB

Supplier Data

Western blot - Anti-BCL2L10 antibody [8A2F9] (AB233641)

All lanes:

Western blot - Anti-BCL2L10 antibody [8A2F9] (ab233641) at 1/500 dilution

Lane 1:

HEK-293 (human epithelial cell line from embryonic kidney) cell lysate

Lane 2:

BCL2L10 (aa 31-186)-hIgGFc transfected HEK-293 cell lysate

Predicted band size: 22 kDa

false

Western blot - Anti-BCL2L10 antibody [8A2F9] (AB233641)
  • WB

Supplier Data

Western blot - Anti-BCL2L10 antibody [8A2F9] (AB233641)

Expected MW is 43.1 kDa.

All lanes:

Western blot - Anti-BCL2L10 antibody [8A2F9] (ab233641) at 1/500 dilution

All lanes:

Human BCL2L10 (aa 31-186) recombinant protein

Predicted band size: 22 kDa

false

Key facts

Host species

Mouse

Clonality

Monoclonal

Clone number

8A2F9

Isotype

IgG1

Carrier free

No

Reacts with

Human

Applications

ICC/IF, WB, Flow Cyt, IHC-P

applications

Immunogen

Recombinant Fragment Protein within Human BCL2L10 aa 1-200. The exact immunogen used to generate this antibody is proprietary information.

Q9HD36

Reactivity data

{ "title": "Reactivity Data", "filters": { "stats": ["", "Species", "Dilution Info", "Notes"], "tabs": { "all-applications": {"fullname" : "All Applications", "shortname": "All Applications"}, "FlowCyt" : {"fullname" : "Flow Cytometry", "shortname":"Flow Cyt"}, "WB" : {"fullname" : "Western blot", "shortname":"WB"}, "IHCP" : {"fullname" : "Immunohistochemistry (Formalin/PFA-fixed paraffin-embedded sections)", "shortname":"IHC-P"}, "ICCIF" : {"fullname" : "Immunocytochemistry/ Immunofluorescence", "shortname":"ICC/IF"} }, "product-promise": { "all": "all", "testedAndGuaranteed": "tested", "guaranteed": "expected", "predicted": "predicted", "notRecommended": "not-recommended" } }, "values": { "Human": { "FlowCyt-species-checked": "testedAndGuaranteed", "FlowCyt-species-dilution-info": "1/200 - 1/400", "FlowCyt-species-notes": "<p></p>", "WB-species-checked": "testedAndGuaranteed", "WB-species-dilution-info": "1/500 - 1/2000", "WB-species-notes": "<p></p>", "IHCP-species-checked": "testedAndGuaranteed", "IHCP-species-dilution-info": "1/200 - 1/1000", "IHCP-species-notes": "<p></p>", "ICCIF-species-checked": "testedAndGuaranteed", "ICCIF-species-dilution-info": "1/200 - 1/1000", "ICCIF-species-notes": "<p></p>" } } }

Properties and storage information

Form
Liquid
Purification technique
Affinity purification Protein G
Storage buffer
Preservative: 0.05% Sodium azide Constituents: PBS
Shipped at conditions
Blue Ice
Appropriate short-term storage duration
1-2 weeks
Appropriate short-term storage conditions
+4°C
Appropriate long-term storage conditions
-20°C
Aliquoting information
Upon delivery aliquot
Storage information
Avoid freeze / thaw cycle

Product protocols

For this product, it's our understanding that no specific protocols are required. You can visit:

Target data

Promotes cell survival by suppressing apoptosis induced by BAX but not BAK (PubMed : 11278245, PubMed : 11689480). Increases binding of AHCYL1/IRBIT to ITPR1 (PubMed : 27995898). Reduces ITPR1-mediated calcium release from the endoplasmic reticulum cooperatively with AHCYL1/IRBIT under normal cellular conditions (PubMed : 27995898). Under apoptotic stress conditions, dissociates from ITPR1 and is displaced from mitochondria-associated endoplasmic reticulum membranes, leading to increased Ca(2+) transfer to mitochondria which promotes apoptosis (PubMed : 27995898). Required for the correct formation of the microtubule organizing center during oocyte cell division, potentially via regulation of protein abundance and localization of other microtubule organizing center components such as AURKA and TPX2 (By similarity).
See full target information BCL2L10

Publications (1)

Recent publications for all applications. Explore the full list and refine your search

Marine drugs 22: PubMed38393026

2024

The Characterization and Cytotoxic Evaluation of Collagen Isolated from Different Body Parts (Ectosome and Choanosome) Envisaging the Development of Biomaterials.

Applications

Unspecified application

Species

Unspecified reactive species

Miguel S Rocha,Catarina F Marques,Ana C Carvalho,Eva Martins,Alexander Ereskovsky,Rui L Reis,Tiago H Silva
View all publications

Product promise

We are committed to supporting your work with high-quality reagents, and we're here for you every step of the way. In the unlikely event that one of our products does not perform as expected, you're protected by our Product Promise.
For full details, please see our Terms & Conditions

Please note: All products are 'FOR RESEARCH USE ONLY. NOT FOR USE IN DIAGNOSTIC OR THERAPEUTIC PROCEDURES'.

For licensing inquiries, please contact partnerships@abcam.com