JavaScript is disabled in your browser. Please enable JavaScript to view this website.
AB271949

Anti-BCL2L15 antibody [EPR17873] - BSA and Azide free

Be the first to review this product! Submit a review

|

(0 Publication)

Rabbit Recombinant Monoclonal BCL2L15 antibody. Carrier free. Suitable for WB, IHC-P, ICC/IF, Flow Cyt (Intra) and reacts with Human samples.

View Alternative Names

C1orf178, BCL2L15, Bcl-2-like protein 15, Bcl2-L-15, Bcl-2 family kin, Bfk

7 Images
Immunohistochemistry (Formalin/PFA-fixed paraffin-embedded sections) - Anti-BCL2L15 antibody [EPR17873] - BSA and Azide free (AB271949)
  • IHC-P

Supplier Data

Immunohistochemistry (Formalin/PFA-fixed paraffin-embedded sections) - Anti-BCL2L15 antibody [EPR17873] - BSA and Azide free (AB271949)

Immunohistochemical analysis of paraffin-embedded human colon tissue labeling BCL2L15 with ab184932 at 1/500 dilution, followed by Goat Anti-Rabbit IgG H&L (HRP) (ab97051) at 1/500 dilution. Nuclear and cytoplasmic staining on human colon epithelium is observed. Counter stained with hematoxylin.

Secondary antibody only control : Used PBS instead of primary antibody, secondary antibody is Goat Anti-Rabbit IgG H&L (HRP) (ab97051) at 1/500 dilution.

Heat mediated antigen retrieval was performed with Tris/EDTA buffer pH 9.0 before commencing with IHC staining protocol.

This data was developed using the same antibody clone in a different buffer formulation containing PBS, BSA, glycerol, and sodium azide (ab184932).

Immunohistochemistry (Formalin/PFA-fixed paraffin-embedded sections) - Anti-BCL2L15 antibody [EPR17873] - BSA and Azide free (AB271949)
  • IHC-P

Supplier Data

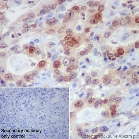
Immunohistochemistry (Formalin/PFA-fixed paraffin-embedded sections) - Anti-BCL2L15 antibody [EPR17873] - BSA and Azide free (AB271949)

Immunohistochemical analysis of paraffin-embedded human gastric adenocarcinoma tissue labeling BCL2L15 with ab184932 at 1/500 dilution, followed by Goat Anti-Rabbit IgG H&L (HRP) (ab97051) at 1/500 dilution. Nuclear and weak cytoplasm staining on the human gastric adenocarcinoma is observed. Counter stained with hematoxylin.

Secondary antibody only control : Used PBS instead of primary antibody, secondary antibody is Goat Anti-Rabbit IgG H&L (HRP) (ab97051) at 1/500 dilution.

Heat mediated antigen retrieval was performed with Tris/EDTA buffer pH 9.0 before commencing with IHC staining protocol.

This data was developed using the same antibody clone in a different buffer formulation containing PBS, BSA, glycerol, and sodium azide (ab184932).

Immunohistochemistry (Formalin/PFA-fixed paraffin-embedded sections) - Anti-BCL2L15 antibody [EPR17873] - BSA and Azide free (AB271949)
  • IHC-P

Supplier Data

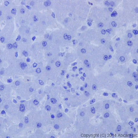
Immunohistochemistry (Formalin/PFA-fixed paraffin-embedded sections) - Anti-BCL2L15 antibody [EPR17873] - BSA and Azide free (AB271949)

Immunohistochemical analysis of paraffin-embedded human liver tissue labeling BCL2L15 with ab184932 at 1/500 dilution, followed by Goat Anti-Rabbit IgG H&L (HRP) (ab97051) at 1/500 dilution.

Negative control : no staining on human liver.

Counter stained with hematoxylin.

Heat mediated antigen retrieval was performed with Tris/EDTA buffer pH 9.0 before commencing with IHC staining protocol.

This data was developed using the same antibody clone in a different buffer formulation containing PBS, BSA, glycerol, and sodium azide (ab184932).

Immunohistochemistry (Formalin/PFA-fixed paraffin-embedded sections) - Anti-BCL2L15 antibody [EPR17873] - BSA and Azide free (AB271949)
  • IHC-P

Supplier Data

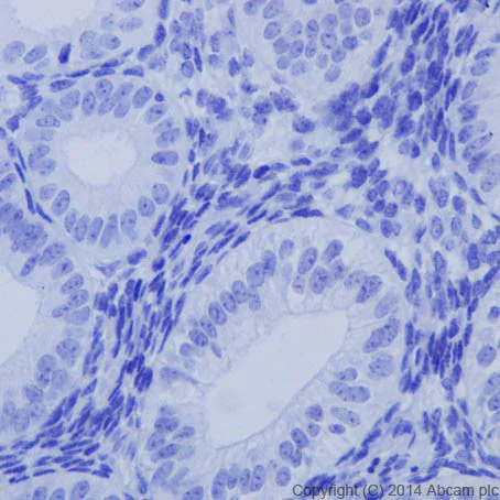
Immunohistochemistry (Formalin/PFA-fixed paraffin-embedded sections) - Anti-BCL2L15 antibody [EPR17873] - BSA and Azide free (AB271949)

Immunohistochemical analysis of paraffin-embedded human endometrium tissue labeling BCL2L15 with ab184932 at 1/500 dilution, followed by Goat Anti-Rabbit IgG H&L (HRP) (ab97051) at 1/500 dilution.

Negative control : no staining on human endometrium.

Counter stained with hematoxylin.

Heat mediated antigen retrieval was performed with Tris/EDTA buffer pH 9.0 before commencing with IHC staining protocol.

This data was developed using the same antibody clone in a different buffer formulation containing PBS, BSA, glycerol, and sodium azide (ab184932).

Immunocytochemistry/ Immunofluorescence - Anti-BCL2L15 antibody [EPR17873] - BSA and Azide free (AB271949)
  • ICC/IF

Supplier Data

Immunocytochemistry/ Immunofluorescence - Anti-BCL2L15 antibody [EPR17873] - BSA and Azide free (AB271949)

Immunofluorescent analysis of 4% paraformaldehyde-fixed, 0.1% Triton X-100 permeabilized HEK293T (human embryonic kidney) cells transfected with GFP-BCL2L15 expression construct, labeling BCL2L15 with ab184932 at 1/500 dilution followed by Goat Anti-Rabbit IgG H&L (Alexa Fluor® 594) (ab150080) secondary antibody at 1/500 dilution (red). Confocal image showing cytoplasmic and weak nuclear staining on HEK293T transfected with GFP-BCL2L15 expression construct.

The nuclear counter stain is DAPI (blue). GFP is detected with an anti-GFP antibody (green) at 1/500 dilution.

-ve control : Used PBS instead of primary antibody, secondary antibody is Goat Anti-Rabbit IgG H&L (Alexa Fluor® 594) (ab150080) secondary antibody at 1/500 dilution.

This data was developed using the same antibody clone in a different buffer formulation containing PBS, BSA, glycerol, and sodium azide (ab184932).

Immunocytochemistry/ Immunofluorescence - Anti-BCL2L15 antibody [EPR17873] - BSA and Azide free (AB271949)
  • ICC/IF

Supplier Data

Immunocytochemistry/ Immunofluorescence - Anti-BCL2L15 antibody [EPR17873] - BSA and Azide free (AB271949)

Immunofluorescent analysis of 4% paraformaldehyde-fixed, 0.1% Triton X-100 permeabilized HEK-293T (human embryonic kidney) cells, untransfected or transfected with with BCL2L15 expression vector, labeling BCL2L15 with ab184932 at 1/500 dilution followed by Goat Anti-Rabbit IgG H&L (Alexa Fluor® 488) (ab150077) secondary antibody at 1/500 dilution (green). Confocal image showing cytoplasmic staining on HEK-293T cells transfected with BCL2L15 expression vector.

The nuclear counter stain is DAPI (blue). Tubulin is detected with ab7291 (anti-Tubulin mouse mAb) at 1/1000 dilution and AlexaFluor® 594 Goat anti-Mouse (ab150120) at 1/500 dilution (red).

The negative controls are as follows;
-ve control 1 : ab184932 at 1/500 dilution followed by AlexaFluor® 594 Goat anti-Mouse (ab150120) at 1/500 dilution.
-ve control 2 : ab7291 (anti-Tubulin mouse mAb) at 1/1000 dilution followed by Goat Anti-Rabbit IgG H&L (Alexa Fluor® 488) (ab150077) at 1/500 dilution.

This data was developed using the same antibody clone in a different buffer formulation containing PBS, BSA, glycerol, and sodium azide (ab184932).

Flow Cytometry (Intracellular) - Anti-BCL2L15 antibody [EPR17873] - BSA and Azide free (AB271949)
  • Flow Cyt (Intra)

Supplier Data

Flow Cytometry (Intracellular) - Anti-BCL2L15 antibody [EPR17873] - BSA and Azide free (AB271949)

Intracellular flow cytometric analysis of 4% paraformaldehyde-fixed HEK-293T (human epithelial cell line from embryonic kidney transformed with large T antigen) cell line transfected with BCL2L15 (GFP-Tag) labeling BCL2L15 with ab184932 at 1/300 dilution (right panel) compared with a Rabbit IgG, monoclonal [EPR25A] - Isotype Control (ab172730) (left panel). Goat Anti-Rabbit IgG (PE) at 1/150 dilution was used as the secondary antibody.

This data was developed using the same antibody clone in a different buffer formulation containing PBS, BSA, glycerol, and sodium azide (ab184932).

Key facts

Host species

Rabbit

Clonality

Monoclonal

Clone number

EPR17873

Isotype

IgG

Carrier free

Yes

Reacts with

Human

Applications

ICC/IF, Flow Cyt (Intra), WB, IHC-P

applications

Immunogen

The exact immunogen used to generate this antibody is proprietary information.

Reactivity data

{ "title": "Reactivity Data", "filters": { "stats": ["", "Species", "Dilution Info", "Notes"], "tabs": { "all-applications": {"fullname" : "All Applications", "shortname": "All Applications"}, "WB" : {"fullname" : "Western blot", "shortname":"WB"}, "IHCP" : {"fullname" : "Immunohistochemistry (Formalin/PFA-fixed paraffin-embedded sections)", "shortname":"IHC-P"}, "ICCIF" : {"fullname" : "Immunocytochemistry/ Immunofluorescence", "shortname":"ICC/IF"}, "FlowCytIntra" : {"fullname" : "Flow Cytometry (Intracellular)", "shortname":"Flow Cyt (Intra)"} }, "product-promise": { "all": "all", "testedAndGuaranteed": "tested", "guaranteed": "expected", "predicted": "predicted", "notRecommended": "not-recommended" } }, "values": { "Human": { "WB-species-checked": "guaranteed", "WB-species-dilution-info": "", "WB-species-notes": "<p></p>", "IHCP-species-checked": "testedAndGuaranteed", "IHCP-species-dilution-info": "", "IHCP-species-notes": "<p></p>", "ICCIF-species-checked": "testedAndGuaranteed", "ICCIF-species-dilution-info": "", "ICCIF-species-notes": "<p></p>", "FlowCytIntra-species-checked": "testedAndGuaranteed", "FlowCytIntra-species-dilution-info": "", "FlowCytIntra-species-notes": "<p></p>" } } }

Product details

Properties and storage information

Form
Liquid
Purification technique
Affinity purification Protein A
Storage buffer
pH: 7.2 - 7.4 Constituents: PBS
Shipped at conditions
Blue Ice
Appropriate short-term storage conditions
+4°C
Appropriate long-term storage conditions
+4°C
Storage information
Do Not Freeze

Product protocols

For this product, it's our understanding that no specific protocols are required. You can visit:

Product promise

We are committed to supporting your work with high-quality reagents, and we're here for you every step of the way. In the unlikely event that one of our products does not perform as expected, you're protected by our Product Promise.
For full details, please see our Terms & Conditions

Please note: All products are 'FOR RESEARCH USE ONLY. NOT FOR USE IN DIAGNOSTIC OR THERAPEUTIC PROCEDURES'.

For licensing inquiries, please contact partnerships@abcam.com