JavaScript is disabled in your browser. Please enable JavaScript to view this website.
AB237896

Anti-Bcl6 antibody [BCL6/1951R] - BSA and Azide free

Be the first to review this product! Submit a review

|

(1 Publication)

Rabbit Monoclonal BCL6 antibody. Carrier free. Suitable for Protein Array, IHC-P and reacts with Recombinant full length protein - Human, Human samples. Cited in 1 publication. Immunogen corresponding to Recombinant Fragment Protein within Human BCL6 aa 250-400.

View Alternative Names

BCL5, LAZ3, ZBTB27, ZNF51, BCL6, B-cell lymphoma 6 protein, BCL-6, B-cell lymphoma 5 protein, Protein LAZ-3, Zinc finger and BTB domain-containing protein 27, Zinc finger protein 51, BCL-5

2 Images
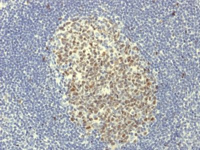
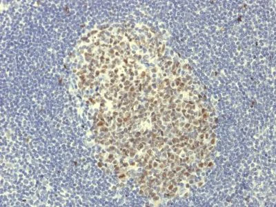
Immunohistochemistry (Formalin/PFA-fixed paraffin-embedded sections) - Anti-Bcl6 antibody [BCL6/1951R] - BSA and Azide free (AB237896)
  • IHC-P

Supplier Data

Immunohistochemistry (Formalin/PFA-fixed paraffin-embedded sections) - Anti-Bcl6 antibody [BCL6/1951R] - BSA and Azide free (AB237896)

Formalin-fixed, paraffin-embedded human tonsil tissue stained for Bcl-6 using ab237896 at 0.25 μg/mL in immunohistochemical analysis.

Protein Array - Anti-Bcl6 antibody [BCL6/1951R] - BSA and Azide free (AB237896)
  • Protein Array

Unknown

Protein Array - Anti-Bcl6 antibody [BCL6/1951R] - BSA and Azide free (AB237896)

This data was produced with ab238046, the same antibody in a different formulation with BSA and Azide.
ab238046 was tested in protein array against over 19000 different full-length human proteins.
Z- and S- Score : The Z-score represents the strength of a signal that a monoclonal antibody (MAb) (in combination with a fluorescently-tagged anti-IgG secondary antibody) produces when binding to a particular protein on the HuProtTM array. Z-scores are described in units of standard deviations (SD's) above the mean value of all signals generated on that array. If targets on HuProtTM are arranged in descending order of the Z-score, the S-score is the difference (also in units of SD's) between the Z-score. S-score therefore represents the relative target specificity of a MAb to its intended target.
A MAb is specific to its intended target if the MAb has an S-score of at least 2.5. For example, if a MAb binds to protein X with a Z-score of 43 and to protein Y with a Z-score of 14, then the S-score for the binding of that MAb to protein X is equal to 29.

Key facts

Host species

Rabbit

Clonality

Monoclonal

Clone number

BCL6/1951R

Isotype

IgG

Carrier free

Yes

Reacts with

Human

Applications

Protein Array, IHC-P

applications

Immunogen

Recombinant Fragment Protein within Human BCL6 aa 250-400. The exact immunogen used to generate this antibody is proprietary information.

P41182

Reactivity data

{ "title": "Reactivity Data", "filters": { "stats": ["", "Species", "Dilution Info", "Notes"], "tabs": { "all-applications": {"fullname" : "All Applications", "shortname": "All Applications"}, "ProteinArray" : {"fullname" : "Protein Array", "shortname":"Protein Array"}, "IHCP" : {"fullname" : "Immunohistochemistry (Formalin/PFA-fixed paraffin-embedded sections)", "shortname":"IHC-P"} }, "product-promise": { "all": "all", "testedAndGuaranteed": "tested", "guaranteed": "expected", "predicted": "predicted", "notRecommended": "not-recommended" } }, "values": { "Human": { "ProteinArray-species-checked": "guaranteed", "ProteinArray-species-dilution-info": "", "ProteinArray-species-notes": "", "IHCP-species-checked": "testedAndGuaranteed", "IHCP-species-dilution-info": "0.125-0.25 µg/mL", "IHCP-species-notes": "<p>Boil tissue sections in 1mM EDTA, pH 7.5-8.5, for 10-20 minutes followed by cooling at room temperature for 20 minutes. Incubate with primary antibody for 30 minutes at room temperature.</p>" }, "Recombinant full length protein - Human": { "ProteinArray-species-checked": "testedAndGuaranteed", "ProteinArray-species-dilution-info": "", "ProteinArray-species-notes": "<p></p>", "IHCP-species-checked": "notRecommended", "IHCP-species-dilution-info": "", "IHCP-species-notes": "" } } }

Properties and storage information

Form
Liquid
Purification technique
Affinity purification Protein A/G
Storage buffer
pH: 7.2 - 7.4 Constituents: PBS
Shipped at conditions
Blue Ice
Appropriate short-term storage duration
1-2 weeks
Appropriate short-term storage conditions
+4°C
Appropriate long-term storage conditions
-20°C
Aliquoting information
Upon delivery aliquot
Storage information
Avoid freeze / thaw cycle

Supplementary information

This supplementary information is collated from multiple sources and compiled automatically.

The Bcl6 protein also known as B-cell lymphoma 6 is a transcriptional repressor important for the germinal center formation in B-cells. It has a molecular weight of approximately 95 kDa. Bcl6 is expressed mainly in B-cells T-cells and certain subsets of dendritic cells. It functions by binding to target DNA sequences where it represses the expression of specific genes leading to controlled cell proliferation differentiation and apoptosis. Researchers often study Bcl6 through the use of monoclonal antibodies particularly in immunohistochemistry (IHC).
Biological function summary

Bcl6 plays essential roles in immune response regulation and lymphocyte development. In germinal centers Bcl6 influences the process of somatic hypermutation and class switch recombination in B-cells which is a part of generating antibody diversity. It operates as a central player in a multiprotein complex that includes corepressors such as SMRT and NCoR which facilitate the repression of its target genes. This regulatory action helps maintain the precise balance of immune cell functions.

Pathways

Bcl6 integrates into the B-cell receptor (BCR) signaling and the JAK-STAT pathway. It interacts with molecules like STAT1 and STAT3 positively influencing the survival and proliferation of B-cells. In these pathways Bcl6's activity modulates the transcriptional landscape that determines cell fate decisions affecting cellular processes such as proliferation and survival in response to external cues.

Bcl6 is relevant to B cell lymphomas specifically diffuse large B-cell lymphoma (DLBCL) where it is often overexpressed contributing to malignancy by preventing cell death. This pathology frequently involves chromosomal translocations that juxtapose the Bcl6 gene with immunoglobulin genes. The relationship between Bcl6 and other proteins like Bcl2 is noteworthy in this context as Bcl2 inhibits apoptosis further contributing to cancer progression. Mutations and dysregulated expression of Bcl6 have also shown links to autoimmune diseases where its role in cell differentiation and survival may lead to aberrant immune responses.

Product protocols

For this product, it's our understanding that no specific protocols are required. You can visit:

Target data

Transcriptional repressor mainly required for germinal center (GC) formation and antibody affinity maturation which has different mechanisms of action specific to the lineage and biological functions. Forms complexes with different corepressors and histone deacetylases to repress the transcriptional expression of different subsets of target genes. Represses its target genes by binding directly to the DNA sequence 5'-TTCCTAGAA-3' (BCL6-binding site) or indirectly by repressing the transcriptional activity of transcription factors. In GC B-cells, represses genes that function in differentiation, inflammation, apoptosis and cell cycle control, also autoregulates its transcriptional expression and up-regulates, indirectly, the expression of some genes important for GC reactions, such as AICDA, through the repression of microRNAs expression, like miR155. An important function is to allow GC B-cells to proliferate very rapidly in response to T-cell dependent antigens and tolerate the physiological DNA breaks required for immunglobulin class switch recombination and somatic hypermutation without inducing a p53/TP53-dependent apoptotic response. In follicular helper CD4(+) T-cells (T(FH) cells), promotes the expression of T(FH)-related genes but inhibits the differentiation of T(H)1, T(H)2 and T(H)17 cells. Also required for the establishment and maintenance of immunological memory for both T- and B-cells. Suppresses macrophage proliferation through competition with STAT5 for STAT-binding motifs binding on certain target genes, such as CCL2 and CCND2. In response to genotoxic stress, controls cell cycle arrest in GC B-cells in both p53/TP53-dependedent and -independent manners. Besides, also controls neurogenesis through the alteration of the composition of NOTCH-dependent transcriptional complexes at selective NOTCH targets, such as HES5, including the recruitment of the deacetylase SIRT1 and resulting in an epigenetic silencing leading to neuronal differentiation.
See full target information BCL6

Publications (1)

Recent publications for all applications. Explore the full list and refine your search

Scientific reports 14:23074 PubMed39367100

2024

Quercetin as a therapeutic agent activate the Nrf2/Keap1 pathway to alleviate lung ischemia-reperfusion injury.

Applications

Unspecified application

Species

Unspecified reactive species

Mohammad Yousefi Zardak,Fatemeh Keshavarz,Ali Mahyaei,Morteza Gholami,Fatemeh Sadat Moosavi,Elham Abbasloo,Farzaneh Abdollahi,Maryam Hossein Rezaei,Elham Madadizadeh,Nasrin Soltani,Fatemeh Bejeshk,Niyan Salehi,Fahimeh Rostamabadi,Fatemeh Bagheri,Mahla Jafaraghae,Mahdiyeh Ranjbar Zeydabadi,Meraj Baghgoli,Gholamreza Sepehri,Mohammad Abbas Bejeshk
View all publications

Product promise

We are committed to supporting your work with high-quality reagents, and we're here for you every step of the way. In the unlikely event that one of our products does not perform as expected, you're protected by our Product Promise.
For full details, please see our Terms & Conditions

Please note: All products are 'FOR RESEARCH USE ONLY. NOT FOR USE IN DIAGNOSTIC OR THERAPEUTIC PROCEDURES'.

For licensing inquiries, please contact partnerships@abcam.com