JavaScript is disabled in your browser. Please enable JavaScript to view this website.
AB252801

Anti-Bcl6 antibody [GI191E] - BSA and Azide free

Be the first to review this product! Submit a review

|

(0 Publication)

Mouse Recombinant Monoclonal BCL6 antibody. Carrier free. Suitable for IP, IHC-P, WB and reacts with Human, Cow, Goat, Llama, Pig, Sheep, Mouse, Rat samples.

View Alternative Names

BCL5, LAZ3, ZBTB27, ZNF51, BCL6, B-cell lymphoma 6 protein, BCL-6, B-cell lymphoma 5 protein, Protein LAZ-3, Zinc finger and BTB domain-containing protein 27, Zinc finger protein 51, BCL-5

8 Images
Immunohistochemistry (Formalin/PFA-fixed paraffin-embedded sections) - Anti-Bcl6 antibody [GI191E] - BSA and Azide free (AB252801)
  • IHC-P

Collaborator

Immunohistochemistry (Formalin/PFA-fixed paraffin-embedded sections) - Anti-Bcl6 antibody [GI191E] - BSA and Azide free (AB252801)

This data was developed using ab241549, the same antibody clone in a different buffer formulation

The BOND™ Polymer Refine Detection System on the BOND RX Automated Stainer (DS9800, Leica Biosystems, Wetzlar, Germany) was used for immunohistochemical labelling of formalin-fixed, paraffin-embedded (FFPE) tissues. The protocol includes a peroxide block, post-primary reagent, polymer detection, DAB chromogen, and haematoxylin counterstain, all automated to minimize variability. Antigen retrieval was performed by heat-induced epitope retrieval (HIER) for 20 minutes in Tris-EDTA buffer (BOND Epitope Retrieval Solution 2, AR9640, Leica Biosystems, Wetzlar, Germany). For mouse and rabbit antibodies, the sequence comprised peroxide block (10 min), primary antibody incubation (30 min), post-primary (10 min), polymer (10 min), DAB (10 min), and haematoxylin (8 min). For rat antibodies, an anti-rat step (1 : 300 dilution, Vector Laboratories, California, USA; 20 min) was included prior to polymer application (15 min).

For mouse tissues, antigen retrieval was performed using high pH buffers (Dako, Agilent), followed by blocking of endogenous peroxidase activity with 3% hydrogen peroxide. Slides were then incubated with the primary antibody. Antigen/antibody complexes detection was carried out using a horseradish peroxidase-conjugated visualization system (Novolink Polymer, Leica). Staining was developed with 3,3′-diaminobenzidine (EnVision FLEX DAB Enhancer, Dako, Agilent), and nuclei were counterstained with hematoxylin (FLEX Hematoxylin, SM806, Dako, Agilent). Images were acquired using an Axiocam CCD camera (Zeiss) and processed with ZEN 2.1 software and Photoshop 9.0.

Immunohistochemistry (Formalin/PFA-fixed paraffin-embedded sections) - Anti-Bcl6 antibody [GI191E] - BSA and Azide free (AB252801)
  • IHC-P

Lab

Immunohistochemistry (Formalin/PFA-fixed paraffin-embedded sections) - Anti-Bcl6 antibody [GI191E] - BSA and Azide free (AB252801)

This image was produced using the same antibody clone but in a different formulation containing PBS, sodium azide, glycerol and BSA (ab241549).

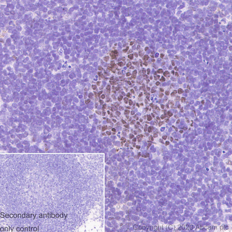
Immunohistochemical analysis of paraffin-embedded Human tonsil tissue labelling Bcl6 with ab241549 at 1/10000 dilution, followed by a ready to use LeicaDS9800 (Bond™ Polymer Refine Detection).

Nuclear staining on the germinal center in the human tonsil. The section was incubated with ab241549 for 30 mins at room temperature.
The immunostaining was performed on a Leica Biosystems BOND ® RX instrument

The section was counterstained with Hematoxylin.

Secondary antibody only control : Secondary antibody is a ready to use LeicaDS9800 (Bond™ Polymer Refine Detection).

Heat mediated antigen retrieval with Citrate buffer (pH 6.0, epitope retrieval solution 1) for 20 mins

Immunohistochemistry (Formalin/PFA-fixed paraffin-embedded sections) - Anti-Bcl6 antibody [GI191E] - BSA and Azide free (AB252801)
  • IHC-P

Lab

Immunohistochemistry (Formalin/PFA-fixed paraffin-embedded sections) - Anti-Bcl6 antibody [GI191E] - BSA and Azide free (AB252801)

This image was produced using the same antibody clone but in a different formulation containing PBS, sodium azide, glycerol and BSA (ab241549).

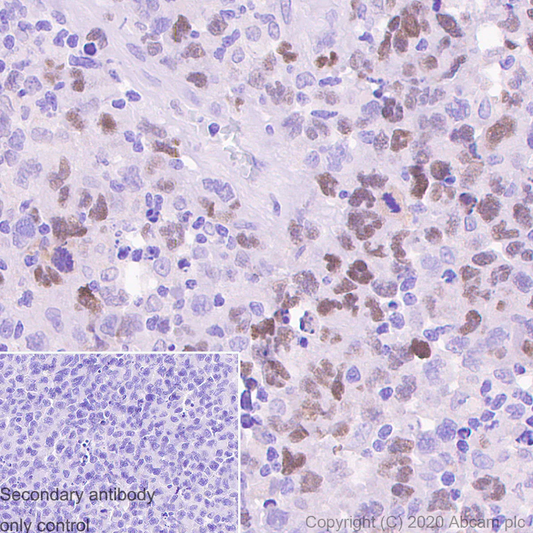
Immunohistochemical analysis of paraffin-embedded Human B cell lymphoma tissue labelling Bcl6 with ab241549 at 1/10000 dilution, followed by a ready to use LeicaDS9800 (Bond™ Polymer Refine Detection).

Nuclear staining on the human B cell lymphoma. The section was incubated with ab241549 for 30 mins at room temperature.
The immunostaining was performed on a Leica Biosystems BOND ® RX instrument

The section was counterstained with Hematoxylin.

Secondary antibody only control : Secondary antibody is a ready to use LeicaDS9800 (Bond™ Polymer Refine Detection).

Heat mediated antigen retrieval with Citrate buffer (pH 6.0, epitope retrieval solution 1) for 20 mins

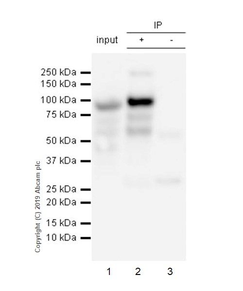
Immunoprecipitation - Anti-Bcl6 antibody [GI191E] - BSA and Azide free (AB252801)
  • IP

Supplier Data

Immunoprecipitation - Anti-Bcl6 antibody [GI191E] - BSA and Azide free (AB252801)

This image was produced using the same antibody clone but in a different formulation ab241549, PBS, sodium azide, glycerol and BSA.

Bcl6 was immunoprecipitated from 1mg of Ramos (Human Burkitt's lymphoma cell line) whole cell lysate with ab241549 at 1/30 dilution. Western blot was performed from the immunoprecipitate using ab241549 at 1/500 dilution. Anti-mouse IgG for IP (HRP) (ab131368) was used at 1/1000 dilution.

Lane 1 : Ramos whole cell lysate 10μg (Input).
Lane 2 : ab241549 IP in Ramos whole cell lysate.
Lane 3 : Mouse monoclonal IgG instead of ab241549 in Ramos whole cell lysate.

Blocking and dilution buffer and concentration : 5% NFDM/TBST.
Exposure time : 3 seconds.

All lanes:

Immunoprecipitation - Anti-Bcl6 antibody [GI191E] (<a href='/en-us/products/primary-antibodies/bcl6-antibody-gi191e-ab241549'>ab241549</a>)

Predicted band size: 79 kDa

false

Immunohistochemistry (Formalin/PFA-fixed paraffin-embedded sections) - Anti-Bcl6 antibody [GI191E] - BSA and Azide free (AB252801)
  • IHC-P

Lab

Immunohistochemistry (Formalin/PFA-fixed paraffin-embedded sections) - Anti-Bcl6 antibody [GI191E] - BSA and Azide free (AB252801)

This image was produced using the same antibody clone but in a different formulation containing PBS, sodium azide, glycerol and BSA (ab241549).

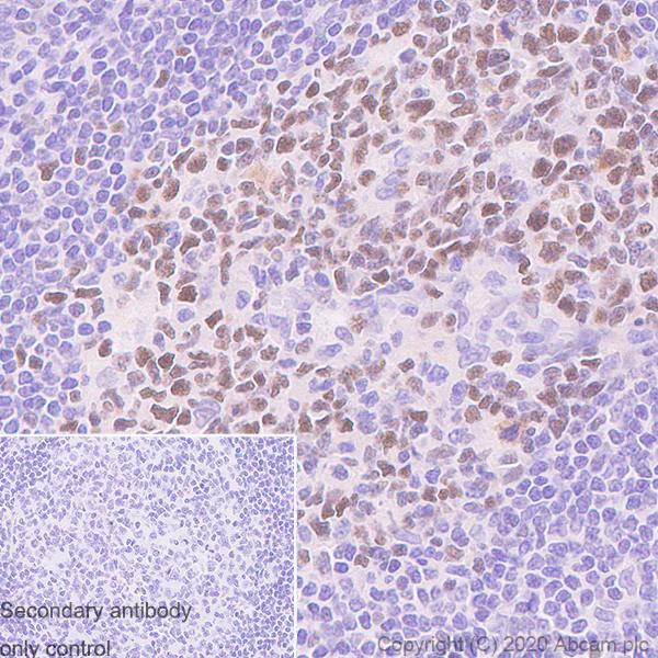
Immunohistochemical analysis of paraffin-embedded Mouse mesenteric lymph nodes tissue labelling Bcl6 with ab241549 at 1/10000 dilution, followed by a ready to use LeicaDS9800 (Bond™ Polymer Refine Detection).

Nuclear staining on the germinal center in the mouse mesenteric lymph nodes. The section was incubated with ab241549 for 30 mins at room temperature.
The immunostaining was performed on a Leica Biosystems BOND ® RX instrument

The section was counterstained with Hematoxylin.

Secondary antibody only control : Secondary antibody is a ready to use LeicaDS9800 (Bond™ Polymer Refine Detection).

Heat mediated antigen retrieval with Citrate buffer (pH 6.0, epitope retrieval solution 1) for 20 mins

Immunohistochemistry (Formalin/PFA-fixed paraffin-embedded sections) - Anti-Bcl6 antibody [GI191E] - BSA and Azide free (AB252801)
  • IHC-P

Lab

Immunohistochemistry (Formalin/PFA-fixed paraffin-embedded sections) - Anti-Bcl6 antibody [GI191E] - BSA and Azide free (AB252801)

This image was produced using the same antibody clone but in a different formulation containing PBS, sodium azide, glycerol and BSA (ab241549).

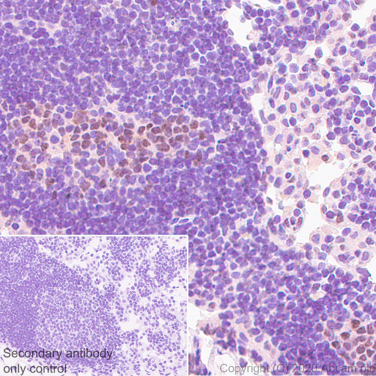
Immunohistochemical analysis of paraffin-embedded Rat mesenteric lymph nodes tissue labelling Bcl6 with ab241549 at 1/10000 dilution, followed by a ready to use LeicaDS9800 (Bond™ Polymer Refine Detection).

Nuclear staining on the germinal center in the rat mesenteric lymph nodes. The section was incubated with ab241549 for 30 mins at room temperature.
The immunostaining was performed on a Leica Biosystems BOND ® RX instrument

The section was counterstained with Hematoxylin.

Secondary antibody only control : Secondary antibody is a ready to use LeicaDS9800 (Bond™ Polymer Refine Detection).

Heat mediated antigen retrieval with Citrate buffer (pH 6.0, epitope retrieval solution 1) for 20 mins

Western blot - Anti-Bcl6 antibody [GI191E] - BSA and Azide free (AB252801)
  • WB

Supplier Data

Western blot - Anti-Bcl6 antibody [GI191E] - BSA and Azide free (AB252801)

Blocking/Dilution buffer : 5% NFDM/TBST.

This image was produced using the same antibody clone but in a different formulation containing PBS, sodium azide, glycerol and BSA (ab241549).

All lanes:

Western blot - Anti-Bcl6 antibody [GI191E] (<a href='/en-us/products/primary-antibodies/bcl6-antibody-gi191e-ab241549'>ab241549</a>) at 1/1000 dilution

Lane 1:

Ramos (Human Burkitt’s lymphoma B lymphocyte), whole cell lysate at 20 µg

Lane 2:

Raji (human Burkitt's lymphoma B lymphocyte), whole cell lysate at 20 µg

Secondary

All lanes:

Peroxidase-Conjugated Goat anti-Mouse IgG (H+L) at 1/10000 dilution

Predicted band size: 79 kDa

false

Exposure time: 15s

Western blot - Anti-Bcl6 antibody [GI191E] - BSA and Azide free (AB252801)
  • WB

Supplier Data

Western blot - Anti-Bcl6 antibody [GI191E] - BSA and Azide free (AB252801)

This image was produced using the same antibody clone but in a different formulation containing PBS, sodium azide, glycerol and BSA (ab241549).

Blocking/Dilution buffer : 5% NFDM/TBST.

Exposure times : Lane 1,3 : 81 secs; Lane 2 : 5 secs.

All lanes:

Western blot - Anti-Bcl6 antibody [GI191E] (<a href='/en-us/products/primary-antibodies/bcl6-antibody-gi191e-ab241549'>ab241549</a>) at 1/1000 dilution

Lane 1:

Mouse brain tissue lysate at 20 µg

Lane 2:

Mouse heart tissue lysate at 20 µg

Lane 3:

Mouse kidney tissue lysate at 20 µg

Secondary

All lanes:

Peroxidase-Conjugated Goat anti-Mouse IgG (H+L) at 1/5000 dilution

Predicted band size: 79 kDa

false

Key facts

Host species

Mouse

Clonality

Monoclonal

Clone number

GI191E

Isotype

IgG1

Carrier free

Yes

Reacts with

Mouse, Human, Rat, Cow, Goat, Llama, Pig, Sheep

Applications

IP, WB, IHC-P

applications

Immunogen

The exact immunogen used to generate this antibody is proprietary information.

Reactivity data

{ "title": "Reactivity Data", "filters": { "stats": ["", "Species", "Dilution Info", "Notes"], "tabs": { "all-applications": {"fullname" : "All Applications", "shortname": "All Applications"}, "IP" : {"fullname" : "Immunoprecipitation", "shortname":"IP"}, "IHCP" : {"fullname" : "Immunohistochemistry (Formalin/PFA-fixed paraffin-embedded sections)", "shortname":"IHC-P"}, "FlowCyt" : {"fullname" : "Flow Cytometry", "shortname":"Flow Cyt"}, "WB" : {"fullname" : "Western blot", "shortname":"WB"}, "ICCIF" : {"fullname" : "Immunocytochemistry/ Immunofluorescence", "shortname":"ICC/IF"} }, "product-promise": { "all": "all", "testedAndGuaranteed": "tested", "guaranteed": "expected", "predicted": "predicted", "notRecommended": "not-recommended" } }, "values": { "Human": { "IP-species-checked": "testedAndGuaranteed", "IP-species-dilution-info": "13.433 µg/mL", "IP-species-notes": "<p></p>", "IHCP-species-checked": "testedAndGuaranteed", "IHCP-species-dilution-info": "", "IHCP-species-notes": "<p></p> Perform heat-mediated antigen retrieval with citrate buffer pH 6 before commencing with IHC staining protocol.", "FlowCyt-species-checked": "notRecommended", "FlowCyt-species-dilution-info": "", "FlowCyt-species-notes": "<p></p>", "WB-species-checked": "testedAndGuaranteed", "WB-species-dilution-info": "0.403 µg/mL", "WB-species-notes": "<p></p>", "ICCIF-species-checked": "notRecommended", "ICCIF-species-dilution-info": "", "ICCIF-species-notes": "<p></p>" }, "Mouse": { "IP-species-checked": "guaranteed", "IP-species-dilution-info": "", "IP-species-notes": "", "IHCP-species-checked": "testedAndGuaranteed", "IHCP-species-dilution-info": "", "IHCP-species-notes": "<p></p> Perform heat-mediated antigen retrieval with citrate buffer pH 6 before commencing with IHC staining protocol.", "FlowCyt-species-checked": "notRecommended", "FlowCyt-species-dilution-info": "", "FlowCyt-species-notes": "<p></p>", "WB-species-checked": "testedAndGuaranteed", "WB-species-dilution-info": "0.403 µg/mL", "WB-species-notes": "<p></p>", "ICCIF-species-checked": "notRecommended", "ICCIF-species-dilution-info": "", "ICCIF-species-notes": "<p></p>" }, "Rat": { "IP-species-checked": "guaranteed", "IP-species-dilution-info": "", "IP-species-notes": "", "IHCP-species-checked": "testedAndGuaranteed", "IHCP-species-dilution-info": "", "IHCP-species-notes": "<p></p> Perform heat-mediated antigen retrieval with citrate buffer pH 6 before commencing with IHC staining protocol.", "FlowCyt-species-checked": "notRecommended", "FlowCyt-species-dilution-info": "", "FlowCyt-species-notes": "", "WB-species-checked": "guaranteed", "WB-species-dilution-info": "", "WB-species-notes": "", "ICCIF-species-checked": "notRecommended", "ICCIF-species-dilution-info": "", "ICCIF-species-notes": "" }, "Cow": { "IP-species-checked": "guaranteed", "IP-species-dilution-info": "", "IP-species-notes": "", "IHCP-species-checked": "testedAndGuaranteed", "IHCP-species-dilution-info": "", "IHCP-species-notes": "<p></p> Perform heat-mediated antigen retrieval with Tris/EDTA buffer pH 9.0 before commencing with IHC staining protocol.", "FlowCyt-species-checked": "notRecommended", "FlowCyt-species-dilution-info": "", "FlowCyt-species-notes": "", "WB-species-checked": "guaranteed", "WB-species-dilution-info": "", "WB-species-notes": "", "ICCIF-species-checked": "notRecommended", "ICCIF-species-dilution-info": "", "ICCIF-species-notes": "" }, "Goat": { "IP-species-checked": "guaranteed", "IP-species-dilution-info": "", "IP-species-notes": "", "IHCP-species-checked": "testedAndGuaranteed", "IHCP-species-dilution-info": "", "IHCP-species-notes": "<p></p> Perform heat-mediated antigen retrieval with Tris/EDTA buffer pH 9.0 before commencing with IHC staining protocol.", "FlowCyt-species-checked": "notRecommended", "FlowCyt-species-dilution-info": "", "FlowCyt-species-notes": "", "WB-species-checked": "guaranteed", "WB-species-dilution-info": "", "WB-species-notes": "", "ICCIF-species-checked": "notRecommended", "ICCIF-species-dilution-info": "", "ICCIF-species-notes": "" }, "Llama": { "IP-species-checked": "guaranteed", "IP-species-dilution-info": "", "IP-species-notes": "", "IHCP-species-checked": "testedAndGuaranteed", "IHCP-species-dilution-info": "", "IHCP-species-notes": "<p></p> Perform heat-mediated antigen retrieval with Tris/EDTA buffer pH 9.0 before commencing with IHC staining protocol.", "FlowCyt-species-checked": "notRecommended", "FlowCyt-species-dilution-info": "", "FlowCyt-species-notes": "", "WB-species-checked": "guaranteed", "WB-species-dilution-info": "", "WB-species-notes": "", "ICCIF-species-checked": "notRecommended", "ICCIF-species-dilution-info": "", "ICCIF-species-notes": "" }, "Pig": { "IP-species-checked": "guaranteed", "IP-species-dilution-info": "", "IP-species-notes": "", "IHCP-species-checked": "testedAndGuaranteed", "IHCP-species-dilution-info": "", "IHCP-species-notes": "<p></p> Perform heat-mediated antigen retrieval with Tris/EDTA buffer pH 9.0 before commencing with IHC staining protocol.", "FlowCyt-species-checked": "notRecommended", "FlowCyt-species-dilution-info": "", "FlowCyt-species-notes": "", "WB-species-checked": "guaranteed", "WB-species-dilution-info": "", "WB-species-notes": "", "ICCIF-species-checked": "notRecommended", "ICCIF-species-dilution-info": "", "ICCIF-species-notes": "" }, "Sheep": { "IP-species-checked": "guaranteed", "IP-species-dilution-info": "", "IP-species-notes": "", "IHCP-species-checked": "testedAndGuaranteed", "IHCP-species-dilution-info": "", "IHCP-species-notes": "<p></p> Perform heat-mediated antigen retrieval with Tris/EDTA buffer pH 9.0 before commencing with IHC staining protocol.", "FlowCyt-species-checked": "notRecommended", "FlowCyt-species-dilution-info": "", "FlowCyt-species-notes": "", "WB-species-checked": "guaranteed", "WB-species-dilution-info": "", "WB-species-notes": "", "ICCIF-species-checked": "notRecommended", "ICCIF-species-dilution-info": "", "ICCIF-species-notes": "" } } }

Product details

ab252801 is the carrier-free version of ab241549.

What are the advantages of a recombinant monoclonal antibody?
This product is a recombinant monoclonal antibody, which offers several advantages including:

  • - High batch-to-batch consistency and reproducibility
  • - Improved sensitivity and specificity
  • - Long-term security of supply
  • - Animal-free batch production

For more information, read more on recombinant antibodies.

Want a custom formulation?
This antibody clone is manufactured by Abcam. If you require a custom buffer formulation or conjugation for your experiments, please contact orders@abcam.com

Conjugation ready
Our carrier-free antibodies are typically supplied in a PBS-only formulation, purified and free of BSA, sodium azide and glycerol. This conjugation-ready format is designed for use with fluorochromes, metal isotopes, oligonucleotides, and enzymes, which makes them ideal for antibody labelling, functional and cell-based assays, flow-based assays (e.g. mass cytometry) and Multiplex Imaging applications.

Use our conjugation kits for antibody conjugates that are ready-to-use in as little as 20 minutes with 1 minute hands-on-time and 100% antibody recovery: available for fluorescent dyes, HRP, biotin and gold.

Compatibility
This product is compatible with the Maxpar® Antibody Labeling Kit from Fluidigm, without the need for antibody preparation. Maxpar® is a trademark of Fluidigm Canada Inc.

Properties and storage information

Form
Liquid
Purification technique
Affinity purification Protein A
Storage buffer
pH: 7.2 - 7.4 Constituents: PBS
Shipped at conditions
Blue Ice
Appropriate short-term storage conditions
+4°C
Appropriate long-term storage conditions
+4°C
Storage information
Do Not Freeze

Supplementary information

This supplementary information is collated from multiple sources and compiled automatically.

The Bcl6 protein also known as B-cell lymphoma 6 is a transcriptional repressor important for the germinal center formation in B-cells. It has a molecular weight of approximately 95 kDa. Bcl6 is expressed mainly in B-cells T-cells and certain subsets of dendritic cells. It functions by binding to target DNA sequences where it represses the expression of specific genes leading to controlled cell proliferation differentiation and apoptosis. Researchers often study Bcl6 through the use of monoclonal antibodies particularly in immunohistochemistry (IHC).
Biological function summary

Bcl6 plays essential roles in immune response regulation and lymphocyte development. In germinal centers Bcl6 influences the process of somatic hypermutation and class switch recombination in B-cells which is a part of generating antibody diversity. It operates as a central player in a multiprotein complex that includes corepressors such as SMRT and NCoR which facilitate the repression of its target genes. This regulatory action helps maintain the precise balance of immune cell functions.

Pathways

Bcl6 integrates into the B-cell receptor (BCR) signaling and the JAK-STAT pathway. It interacts with molecules like STAT1 and STAT3 positively influencing the survival and proliferation of B-cells. In these pathways Bcl6's activity modulates the transcriptional landscape that determines cell fate decisions affecting cellular processes such as proliferation and survival in response to external cues.

Bcl6 is relevant to B cell lymphomas specifically diffuse large B-cell lymphoma (DLBCL) where it is often overexpressed contributing to malignancy by preventing cell death. This pathology frequently involves chromosomal translocations that juxtapose the Bcl6 gene with immunoglobulin genes. The relationship between Bcl6 and other proteins like Bcl2 is noteworthy in this context as Bcl2 inhibits apoptosis further contributing to cancer progression. Mutations and dysregulated expression of Bcl6 have also shown links to autoimmune diseases where its role in cell differentiation and survival may lead to aberrant immune responses.

Product protocols

For this product, it's our understanding that no specific protocols are required. You can visit:

Target data

Transcriptional repressor mainly required for germinal center (GC) formation and antibody affinity maturation which has different mechanisms of action specific to the lineage and biological functions. Forms complexes with different corepressors and histone deacetylases to repress the transcriptional expression of different subsets of target genes. Represses its target genes by binding directly to the DNA sequence 5'-TTCCTAGAA-3' (BCL6-binding site) or indirectly by repressing the transcriptional activity of transcription factors. In GC B-cells, represses genes that function in differentiation, inflammation, apoptosis and cell cycle control, also autoregulates its transcriptional expression and up-regulates, indirectly, the expression of some genes important for GC reactions, such as AICDA, through the repression of microRNAs expression, like miR155. An important function is to allow GC B-cells to proliferate very rapidly in response to T-cell dependent antigens and tolerate the physiological DNA breaks required for immunglobulin class switch recombination and somatic hypermutation without inducing a p53/TP53-dependent apoptotic response. In follicular helper CD4(+) T-cells (T(FH) cells), promotes the expression of T(FH)-related genes but inhibits the differentiation of T(H)1, T(H)2 and T(H)17 cells. Also required for the establishment and maintenance of immunological memory for both T- and B-cells. Suppresses macrophage proliferation through competition with STAT5 for STAT-binding motifs binding on certain target genes, such as CCL2 and CCND2. In response to genotoxic stress, controls cell cycle arrest in GC B-cells in both p53/TP53-dependedent and -independent manners. Besides, also controls neurogenesis through the alteration of the composition of NOTCH-dependent transcriptional complexes at selective NOTCH targets, such as HES5, including the recruitment of the deacetylase SIRT1 and resulting in an epigenetic silencing leading to neuronal differentiation.
See full target information BCL6

Product promise

We are committed to supporting your work with high-quality reagents, and we're here for you every step of the way. In the unlikely event that one of our products does not perform as expected, you're protected by our Product Promise.
For full details, please see our Terms & Conditions

Please note: All products are 'FOR RESEARCH USE ONLY. NOT FOR USE IN DIAGNOSTIC OR THERAPEUTIC PROCEDURES'.

For licensing inquiries, please contact partnerships@abcam.com