JavaScript is disabled in your browser. Please enable JavaScript to view this website.
AB5972

Anti-BCMA antibody - C-terminal

Be the first to review this product! Submit a review

|

(12 Publications)

Rabbit Polyclonal BCMA antibody. C-terminal. Suitable for WB, IHC-P, ICC/IF and reacts with Human samples. Cited in 12 publications. Immunogen corresponding to Synthetic Peptide within Human TNFRSF17.

View Alternative Names

CD269, BCM, BCMA, TNFRSF17, Tumor necrosis factor receptor superfamily member 17, B-cell maturation protein

5 Images
Immunohistochemistry (Formalin/PFA-fixed paraffin-embedded sections) - Anti-BCMA antibody - C-terminal (AB5972)
  • IHC-P

Unknown

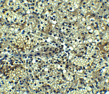
Immunohistochemistry (Formalin/PFA-fixed paraffin-embedded sections) - Anti-BCMA antibody - C-terminal (AB5972)

Immunohistochemistry of BCMA in human spleen tissue with BCMA antibody at 5 μg/ml.

Immunohistochemistry (Formalin/PFA-fixed paraffin-embedded sections) - Anti-BCMA antibody - C-terminal (AB5972)
  • IHC-P

Unknown

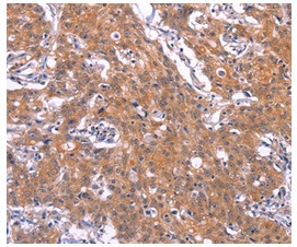
Immunohistochemistry (Formalin/PFA-fixed paraffin-embedded sections) - Anti-BCMA antibody - C-terminal (AB5972)

ab5972 at 10μg/ml staining BCMA in human spleen cells by IHC

Immunocytochemistry/ Immunofluorescence - Anti-BCMA antibody - C-terminal (AB5972)
  • ICC/IF

Unknown

Immunocytochemistry/ Immunofluorescence - Anti-BCMA antibody - C-terminal (AB5972)

Immunofluorescence of BCMA in Human Spleen cells using ab5972 at 10 ug/ml.

Immunohistochemistry (Formalin/PFA-fixed paraffin-embedded sections) - Anti-BCMA antibody - C-terminal (AB5972)
  • IHC-P

Supplier Data

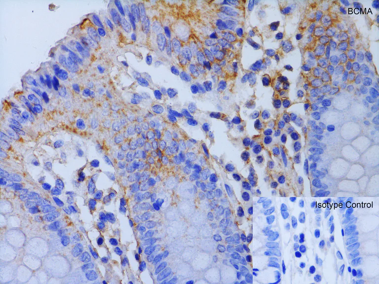
Immunohistochemistry (Formalin/PFA-fixed paraffin-embedded sections) - Anti-BCMA antibody - C-terminal (AB5972)

Immunohistochemical analysis of paraffin-embedded human colon tissue using anti-BCMA antibody (ab5972) at 1 µg/ml. Tissue was fixed with formaldehyde and blocked with 10% serum for 1 h at RT; antigen retrieval was by heat mediation with a citrate buffer (pH6). Samples were incubated with primary antibody overnight at 4°C. A goat anti-rabbit IgG H&L (HRP) at 1/250 was used as secondary. Counter stained with Hematoxylin.

Western blot - Anti-BCMA antibody - C-terminal (AB5972)
  • WB

Supplier Data

Western blot - Anti-BCMA antibody - C-terminal (AB5972)

1h incubation at RT in 5% NFDM/TBST

All lanes:

Western blot - Anti-BCMA antibody - C-terminal (ab5972) at 2 µg/mL

Lane 1:

Human spleen at 10 µg

Lane 2:

Human lymph node at 10 µg

Lane 3:

Human colon at 10 µg

Lane 4:

Human lung at 10 µg

Secondary

All lanes:

Goat anti-rabbit IgG HRP conjugate at 1/10000 dilution

Predicted band size: 20 kDa

false

Key facts

Host species

Rabbit

Clonality

Polyclonal

Isotype

IgG

Carrier free

No

Reacts with

Human

Applications

ICC/IF, WB, IHC-P

applications

Immunogen

Synthetic Peptide within Human TNFRSF17. The exact immunogen used to generate this antibody is proprietary information.

Q02223

Reactivity data

{ "title": "Reactivity Data", "filters": { "stats": ["", "Species", "Dilution Info", "Notes"], "tabs": { "all-applications": {"fullname" : "All Applications", "shortname": "All Applications"}, "WB" : {"fullname" : "Western blot", "shortname":"WB"}, "IHCP" : {"fullname" : "Immunohistochemistry (Formalin/PFA-fixed paraffin-embedded sections)", "shortname":"IHC-P"}, "ICCIF" : {"fullname" : "Immunocytochemistry/ Immunofluorescence", "shortname":"ICC/IF"} }, "product-promise": { "all": "all", "testedAndGuaranteed": "tested", "guaranteed": "expected", "predicted": "predicted", "notRecommended": "not-recommended" } }, "values": { "Human": { "WB-species-checked": "testedAndGuaranteed", "WB-species-dilution-info": "1-4 µg/mL", "WB-species-notes": "<p></p>", "IHCP-species-checked": "testedAndGuaranteed", "IHCP-species-dilution-info": "1-5 µg/mL", "IHCP-species-notes": "<p></p>", "ICCIF-species-checked": "testedAndGuaranteed", "ICCIF-species-dilution-info": "10-20 µg/mL", "ICCIF-species-notes": "<p></p>" } } }

Product details

Members in the TNF superfamily regulate immune responses and induce apoptosis. Two novel members in the TNF family were recently identified and designated BAFF/BLyS/TALL1/THANK/zTNF4 and April/TALL2, respectively. BAFF was characterized as a B cell activator since it induced B cell proliferation and immunoglobulin secretion. April regulates immunological and non immunological cell growth. Three receptors, BCMA (for B cell maturation protein), TACI, and BAFFR, for BAFF were recently identified. BCMA, like TACI, binds BAFF and April. BAFF and its receptors induce B cell development and survival, activate NF-kappaB and c-jun N-terminal kinase, and are involved in B cell associated autoimmune diseases.

Properties and storage information

Form
Liquid
Purification technique
Affinity purification Immunogen
Purification notes
BCMA Antibody is affinity chromatography purified via peptide column.
Storage buffer
pH: 7.2 Preservative: 0.02% Sodium azide
Shipped at conditions
Blue Ice
Appropriate short-term storage conditions
+4°C
Appropriate long-term storage conditions
+4°C

Product protocols

For this product, it's our understanding that no specific protocols are required. You can visit:

Target data

The protein expressed by the TNFRSF17 gene acts as a receptor for TNFSF13B/BLyS/BAFF and TNFSF13/APRIL. It promotes B-cell survival and plays a role in regulating humoral immunity, while also activating NF-kappa-B and JNK. This supplementary information is collated from multiple sources and compiled automatically.
See full target information TNFRSF17

Publications (12)

Recent publications for all applications. Explore the full list and refine your search

Cancer management and research 17:541-555 PubMed40098803

2025

Inhibitory Effects of Paclitaxel-Loaded Iron Oxide Nanoparticles on Non-Small Cell Lung Cancer by Enhancing Autophagy-Dependent Ferroptosis and Apoptosis Pathways.

Applications

Unspecified application

Species

Unspecified reactive species

Rongchu Deng,Guanghong Liang,Wenqing Chen,Qi Nie,Jian Wen

Journal for immunotherapy of cancer 12: PubMed38589248

2024

PD-1 downregulation enhances CAR-T cell antitumor efficiency by preserving a cell memory phenotype and reducing exhaustion.

Applications

Unspecified application

Species

Unspecified reactive species

Wanyan Ouyang,Shi-Wei Jin,Nan Xu,Wei-Yang Liu,Han Zhao,Liuqingqing Zhang,Liqing Kang,Yi Tao,Yuanfang Liu,Yan Wang,Jin Wang,Feng Liu,Lei Yu,Zhiqiang Liu,Jian-Qing Mi

Journal of clinical medicine 12: PubMed36614872

2022

Renal Tissue Expression of BAFF and BAFF Receptors Is Associated with Proliferative Lupus Nephritis.

Applications

Unspecified application

Species

Unspecified reactive species

Miguel Marín-Rosales,Claudia Azucena Palafox-Sánchez,Ramón Antonio Franco-Topete,Francisco Josué Carrillo-Ballesteros,Alvaro Cruz,Diana Celeste Salazar-Camarena,José Francisco Muñoz-Valle,Francisco Ramos-Solano

Proceedings of the National Academy of Sciences of the United States of America 119:e2213628119 PubMed36442127

2022

Deletion of gene causes early growth retardation and insulin resistance in mice.

Applications

Unspecified application

Species

Unspecified reactive species

Hui-Young Lee,Hye Rim Jang,Hui Li,Varman T Samuel,Karrie D Dudek,Anna B Osipovich,Mark A Magnuson,Jeffrey Sklar,Gerald I Shulman

Experimental and therapeutic medicine 17:2053-2060 PubMed30783477

2019

B-cell activating factor receptor expression is associated with germinal center B-cell maintenance.

Applications

Unspecified application

Species

Unspecified reactive species

Francisco Josué Carrillo-Ballesteros,Edith Oregon-Romero,Ramon Antonio Franco-Topete,Luis Humberto Govea-Camacho,Alvaro Cruz,José Francisco Muñoz-Valle,Felipe Jesús Bustos-Rodríguez,Ana Laura Pereira-Suárez,Claudia Azucena Palafox-Sánchez

Development (Cambridge, England) 145: PubMed30337376

2018

TWE-PRIL reverse signalling suppresses sympathetic axon growth and tissue innervation.

Applications

Unspecified application

Species

Unspecified reactive species

Laura Howard,Erin Wosnitzka,Darian Okakpu,Matthew A White,Sean Wyatt,Alun M Davies

Oncotarget 8:109289-109300 PubMed29312608

2017

APRIL promotes non-small cell lung cancer growth and metastasis by targeting ERK1/2 signaling.

Applications

Unspecified application

Species

Unspecified reactive species

Hengli Dou,Zhaohua Yan,Meng Zhang,Xiaoxin Xu

Experimental neurology 298:97-103 PubMed28911883

2017

TNF superfamily member APRIL enhances midbrain dopaminergic axon growth and contributes to the nigrostriatal projection in vivo.

Applications

ICC/IF

Species

Mouse

Thomas G McWilliams,Laura Howard,Sean Wyatt,Alun M Davies

Oncology letters 12:3351-3355 PubMed27900003

2016

APRIL, BCMA and TACI proteins are abnormally expressed in non-small cell lung cancer.

Applications

WB, IHC-P

Species

Human, Human

Hengli Dou,Zhaohua Yan,Meng Zhang,Xiaoxin Xu

PloS one 9:e94282 PubMed24728308

2014

B Lymphocyte Stimulator (BLyS) is expressed in human adipocytes in vivo and is related to obesity but not to insulin resistance.

Applications

WB

Species

Human

Nike Müller,Dominik M Schulte,Susann Hillebrand,Kathrin Türk,Jochen Hampe,Clemens Schafmayer,Mario Brosch,Witigo von Schönfels,Markus Ahrens,Rainald Zeuner,Johann O Schröder,Matthias Blüher,Christian Gutschow,Sandra Freitag-Wolf,Marta Stelmach-Mardas,Carina Saggau,Stefan Schreiber,Matthias Laudes
View all publications

Product promise

We are committed to supporting your work with high-quality reagents, and we're here for you every step of the way. In the unlikely event that one of our products does not perform as expected, you're protected by our Product Promise.
For full details, please see our Terms & Conditions

Please note: All products are 'FOR RESEARCH USE ONLY. NOT FOR USE IN DIAGNOSTIC OR THERAPEUTIC PROCEDURES'.

For licensing inquiries, please contact partnerships@abcam.com