JavaScript is disabled in your browser. Please enable JavaScript to view this website.
AB207732

Anti-BCRP/ABCG2 antibody [EPR20080]

  • RabMAb
  • Recombinant
  • KO Validated
  • 20ul selling size
  • What is this?

4

(6 Reviews)

|

(56 Publications)

Anti-BCRP/ABCG2 antibody [EPR20080] (ab207732) is a rabbit monoclonal antibody detecting BCRP/ABCG2 in Western Blot, Flow Cytometry (Intra), Flow Cytometry, IHC-P. Suitable for Human, Mouse, Rat.

- KO validated for confirmed specificity
- Biophysical QC for unrivalled batch-batch consistency
- Over 30 publications

View Alternative Names

CD338, ABCP, BCRP, BCRP1, MXR, ABCG2, Broad substrate specificity ATP-binding cassette transporter ABCG2, ATP-binding cassette sub-family G member 2, Breast cancer resistance protein, CDw338, Mitoxantrone resistance-associated protein, Placenta-specific ATP-binding cassette transporter, Urate exporter

10 Images
Flow Cytometry (Intracellular) - Anti-BCRP/ABCG2 antibody [EPR20080] (AB207732)
  • Flow Cyt (Intra)

Supplier Data

Flow Cytometry (Intracellular) - Anti-BCRP/ABCG2 antibody [EPR20080] (AB207732)

Intracellular flow cytometric analysis of 4% paraformaldehyde-fixed A549 (human lung carcinoma cell line) cell line labeling BCRP/ABCG2 with ab207732 at 1/100 dilution (red) compared with a Rabbit IgG, monoclonal [EPR25A] - Isotype Control (ab172730) (black) and an unlabeled control (cells without incubation with primary antibody and secondary antibody) (blue). Goat Anti-Rabbit IgG H&L (Alexa Fluor® 488) (ab150077) at 1/2000 dilution was used as the secondary antibody.

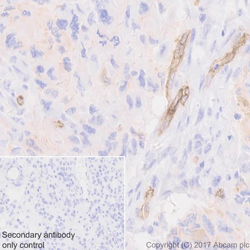
Immunohistochemistry (Formalin/PFA-fixed paraffin-embedded sections) - Anti-BCRP/ABCG2 antibody [EPR20080] (AB207732)
  • IHC-P

Supplier Data

Immunohistochemistry (Formalin/PFA-fixed paraffin-embedded sections) - Anti-BCRP/ABCG2 antibody [EPR20080] (AB207732)

Immunohistochemical analysis of paraffin-embedded human glioma tissue labeling BCRP/ABCG2 with ab207732 at 1/4000 dilution, followed by Goat Anti-Rabbit IgG H&L (HRP) Ready to use. Positive staining on capillaries of human glioma (PMID : 20216549). Counter stained with hematoxylin.

Secondary antibody only control : Used PBS instead of primary antibody, secondary antibody is Goat Anti-Rabbit IgG H&L (HRP) Ready to use.

Perform heat mediated antigen retrieval with Tris/EDTA buffer pH 9.0 before commencing with IHC staining protocol.

Immunohistochemistry (Formalin/PFA-fixed paraffin-embedded sections) - Anti-BCRP/ABCG2 antibody [EPR20080] (AB207732)
  • IHC-P

Supplier Data

Immunohistochemistry (Formalin/PFA-fixed paraffin-embedded sections) - Anti-BCRP/ABCG2 antibody [EPR20080] (AB207732)

Immunohistochemical analysis of paraffin-embedded human placenta tissue labeling BCRP/ABCG2 with ab207732 at 1/4000 dilution, followed by Goat Anti-Rabbit IgG H&L (HRP) Ready to use. Positive staining on human placenta (PMID : 12237881). Counter stained with hematoxylin.

Secondary antibody only control : Used PBS instead of primary antibody, secondary antibody is Goat Anti-Rabbit IgG H&L (HRP) Ready to use.

Perform heat mediated antigen retrieval with Tris/EDTA buffer pH 9.0 before commencing with IHC staining protocol.

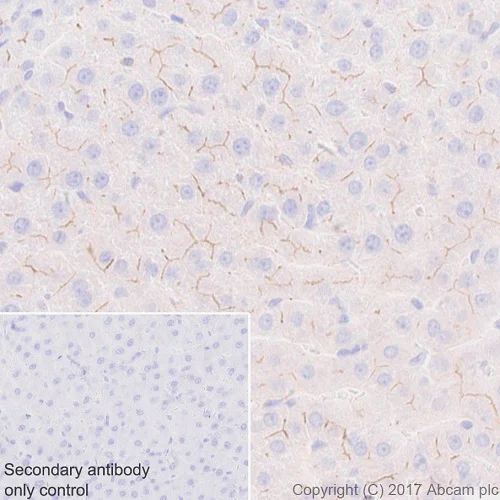
Immunohistochemistry (Formalin/PFA-fixed paraffin-embedded sections) - Anti-BCRP/ABCG2 antibody [EPR20080] (AB207732)
  • IHC-P

Supplier Data

Immunohistochemistry (Formalin/PFA-fixed paraffin-embedded sections) - Anti-BCRP/ABCG2 antibody [EPR20080] (AB207732)

Immunohistochemical analysis of paraffin-embedded human liver tissue labeling BCRP/ABCG2 with ab207732 at 1/4000 dilution, followed by Goat Anti-Rabbit IgG H&L (HRP) Ready to use. Positive staining on biliary canaliculis of human liver (PMID : 12237881). Counter stained with hematoxylin.

Secondary antibody only control : Used PBS instead of primary antibody, secondary antibody is Goat Anti-Rabbit IgG H&L (HRP) Ready to use.

Perform heat mediated antigen retrieval with Tris/EDTA buffer pH 9.0 before commencing with IHC staining protocol.

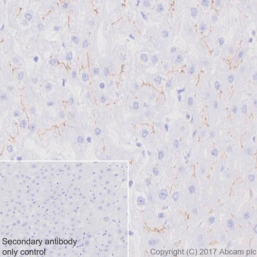
Immunohistochemistry (Formalin/PFA-fixed paraffin-embedded sections) - Anti-BCRP/ABCG2 antibody [EPR20080] (AB207732)
  • IHC-P

Supplier Data

Immunohistochemistry (Formalin/PFA-fixed paraffin-embedded sections) - Anti-BCRP/ABCG2 antibody [EPR20080] (AB207732)

Immunohistochemical analysis of paraffin-embedded mouse liver tissue labeling BCRP/ABCG2 with ab207732 at 1/4000 dilution, followed by Goat Anti-Rabbit IgG H&L (HRP) Ready to use. Positive staining on biliary canaliculis of mouse liver (PMID : 12237881). Counter stained with hematoxylin.

Secondary antibody only control : Used PBS instead of primary antibody, secondary antibody is Goat Anti-Rabbit IgG H&L (HRP) Ready to use.

Perform heat mediated antigen retrieval with Tris/EDTA buffer pH 9.0 before commencing with IHC staining protocol.

Immunohistochemistry (Formalin/PFA-fixed paraffin-embedded sections) - Anti-BCRP/ABCG2 antibody [EPR20080] (AB207732)
  • IHC-P

Supplier Data

Immunohistochemistry (Formalin/PFA-fixed paraffin-embedded sections) - Anti-BCRP/ABCG2 antibody [EPR20080] (AB207732)

Immunohistochemical analysis of paraffin-embedded rat liver tissue labeling BCRP/ABCG2 with ab207732 at 1/4000 dilution, followed by Goat Anti-Rabbit IgG H&L (HRP) Ready to use. Positive staining on biliary canaliculis of rat liver (PMID : 12237881). Counter stained with hematoxylin.

Secondary antibody only control : Used PBS instead of primary antibody, secondary antibody is Goat Anti-Rabbit IgG H&L (HRP) Ready to use.

Perform heat mediated antigen retrieval with Tris/EDTA buffer pH 9.0 before commencing with IHC staining protocol.

Western blot - Anti-BCRP/ABCG2 antibody [EPR20080] (AB207732)
  • WB

Supplier Data

Western blot - Anti-BCRP/ABCG2 antibody [EPR20080] (AB207732)

Blocking/Dilution buffer : 5% NFDM/TBST.

For Lysate preparation protocol, please refer to the protocol section of the website and/or here.

All lanes:

Western blot - Anti-BCRP/ABCG2 antibody [EPR20080] (ab207732) at 1/1000 dilution

Lane 1:

Human placenta, the lysate was prepared in RIPA lysate buffer and boiled before loading at 10 µg

Lane 2:

Human placenta, the lysate was prepared in RIPA lysate buffer and was not boiled before loading at 10 µg

Secondary

All lanes:

Western blot - Goat Anti-Rabbit IgG H&L (HRP) (<a href='/en-us/products/secondary-antibodies/goat-rabbit-igg-h-l-hrp-ab97051'>ab97051</a>) at 1/100000 dilution

Predicted band size: 72 kDa

Observed band size: 75 kDa

true

Exposure time: 15s

Western blot - Anti-BCRP/ABCG2 antibody [EPR20080] (AB207732)
  • WB

Lab

Western blot - Anti-BCRP/ABCG2 antibody [EPR20080] (AB207732)

Lanes 1 - 4 : Merged signal (red and green). Green - ab207732 observed at 70 kDa. Red - loading control ab8245 (Mouse anti-GAPDH antibody [6C5]) observed at 37 kDa.

ab207732 was shown to react with BCRP/ABCG2 in wild-type A549 cells in Western blot with loss of signal observed in ABCG2 knockout cell line ab259773 (ABCG2 knockout cell lysate ab259778). Wild-type A549 and ABCG2 knockout cell lysates were subjected to SDS-PAGE. Membranes were blocked in 3 % milk in TBS-T (0.1 % Tween®) before incubation with ab207732 and ab8245 (Mouse anti-GAPDH antibody [6C5]) overnight at 4 °C at a 1 in 1000 dilution and a 1 in 20000 dilution respectively. Blots were incubated with Goat anti-Rabbit IgG H&L (IRDye® 800CW) preabsorbed (ab216773) and Goat anti-Mouse IgG H&L (IRDye® 680RD) preabsorbed (ab216776) secondary antibodies at 1 in 20000 dilution for 1 h at room temperature before imaging.

All lanes:

Western blot - Anti-BCRP/ABCG2 antibody [EPR20080] (ab207732) at 1/1000 dilution

Lane 1:

Wild-type A549 cell lysate at 20 µg

Lane 2:

ABCG2 knockout A549 cell lysate at 20 µg

Lane 2:

Western blot - Human ABCG2 knockout A549 cell line (<a href='/en-us/products/cell-lines/human-abcg2-knockout-a549-cell-line-ab259773'>ab259773</a>)

Lane 3:

HepG2 cell lysate at 20 µg

Lane 4:

THP-1 cell lysate at 20 µg

Predicted band size: 72 kDa

Observed band size: 70 kDa

false

Western blot - Anti-BCRP/ABCG2 antibody [EPR20080] (AB207732)
  • WB

Supplier Data

Western blot - Anti-BCRP/ABCG2 antibody [EPR20080] (AB207732)

Blocking/Dilution buffer : 5% NFDM/TBST.

For Lysate preparation protocol, please refer to the protocol section of the website and/or here.

All lanes:

Western blot - Anti-BCRP/ABCG2 antibody [EPR20080] (ab207732) at 1/1000 dilution

Lane 1:

A549 (human lung carcinoma cell line) whole cell lysate, the lysate was prepared in RIPA lysate buffer and boiled before loading at 20 µg

Lane 2:

A549 (human lung carcinoma cell line) whole cell lysate, the lysate was prepared in RIPA lysate buffer and was not boiled before loading at 20 µg

Secondary

All lanes:

Western blot - Goat Anti-Rabbit IgG H&L (HRP) (<a href='/en-us/products/secondary-antibodies/goat-rabbit-igg-h-l-hrp-ab97051'>ab97051</a>) at 1/100000 dilution

Predicted band size: 72 kDa

Observed band size: 75 kDa

true

Exposure time: 3s

Western blot - Anti-BCRP/ABCG2 antibody [EPR20080] (AB207732)
  • WB

Supplier Data

Western blot - Anti-BCRP/ABCG2 antibody [EPR20080] (AB207732)

Blocking/Dilution buffer : 5% NFDM/TBST.

For Lysate preparation protocol, please refer to the protocol section of the website and/or here.

Negative control : Huh7 (PMID : 26327240, PMID : 18820285).

All lanes:

Western blot - Anti-BCRP/ABCG2 antibody [EPR20080] (ab207732) at 1/1000 dilution

Lane 1:

HepG2 (human liver hepatocellular carcinoma cell line), whole cell lysate, the lysate was prepared in 1% SDS Hot Lysate buffer and boiled before loading at 20 µg

Lane 2:

Huh7 (human liver hepatocellular carcinoma epithelial cell line), whole cell lysate, the lysate was prepared in 1% SDS Hot Lysate buffer and boiled before loading at 20 µg

Secondary

All lanes:

Western blot - Goat Anti-Rabbit IgG H&L (HRP) (<a href='/en-us/products/secondary-antibodies/goat-rabbit-igg-h-l-hrp-ab97051'>ab97051</a>) at 1/100000 dilution

Predicted band size: 72 kDa

Observed band size: 75 kDa

true

Exposure time: 1min

  • Carrier free

    Anti-BCRP/ABCG2 antibody [EPR20080] - BSA and Azide free

Key facts

Host species

Rabbit

Clonality

Monoclonal

Clone number

EPR20080

Isotype

IgG

Carrier free

No

Reacts with

Mouse, Rat, Human

Applications

IHC-P, Flow Cyt (Intra), WB

applications

Immunogen

The exact immunogen used to generate this antibody is proprietary information.

Reactivity data

{ "title": "Reactivity Data", "filters": { "stats": ["", "Species", "Dilution Info", "Notes"], "tabs": { "all-applications": {"fullname" : "All Applications", "shortname": "All Applications"}, "WB" : {"fullname" : "Western blot", "shortname":"WB"}, "FlowCytIntra" : {"fullname" : "Flow Cytometry (Intracellular)", "shortname":"Flow Cyt (Intra)"}, "IHCP" : {"fullname" : "Immunohistochemistry (Formalin/PFA-fixed paraffin-embedded sections)", "shortname":"IHC-P"} }, "product-promise": { "all": "all", "testedAndGuaranteed": "tested", "guaranteed": "expected", "predicted": "predicted", "notRecommended": "not-recommended" } }, "values": { "Human": { "WB-species-checked": "testedAndGuaranteed", "WB-species-dilution-info": "1/1000", "WB-species-notes": "<p>Sample preparation may require optimisation depending on the tissue/cell lysates.</p><p>We don't recommend this antibody for mouse and rat in WB. In our hands mouse and rat tissues showed additional bands.</p>", "FlowCytIntra-species-checked": "testedAndGuaranteed", "FlowCytIntra-species-dilution-info": "1/100", "FlowCytIntra-species-notes": "<p><a href='/en-us/products/primary-antibodies/rabbit-igg-monoclonal-epr25a-isotype-control-ab172730'>ab172730</a> - Rabbit monoclonal IgG, is suitable for use as an isotype control with this antibody.</p>", "IHCP-species-checked": "testedAndGuaranteed", "IHCP-species-dilution-info": "1/4000", "IHCP-species-notes": "<p></p> Perform heat-mediated antigen retrieval with Tris/EDTA buffer pH 9.0 before commencing with IHC staining protocol." }, "Mouse": { "WB-species-checked": "guaranteed", "WB-species-dilution-info": "", "WB-species-notes": "", "FlowCytIntra-species-checked": "guaranteed", "FlowCytIntra-species-dilution-info": "", "FlowCytIntra-species-notes": "", "IHCP-species-checked": "testedAndGuaranteed", "IHCP-species-dilution-info": "1/4000", "IHCP-species-notes": "<p></p> Perform heat-mediated antigen retrieval with Tris/EDTA buffer pH 9.0 before commencing with IHC staining protocol." }, "Rat": { "WB-species-checked": "guaranteed", "WB-species-dilution-info": "", "WB-species-notes": "", "FlowCytIntra-species-checked": "guaranteed", "FlowCytIntra-species-dilution-info": "", "FlowCytIntra-species-notes": "", "IHCP-species-checked": "testedAndGuaranteed", "IHCP-species-dilution-info": "1/4000", "IHCP-species-notes": "<p></p> Perform heat-mediated antigen retrieval with Tris/EDTA buffer pH 9.0 before commencing with IHC staining protocol." } } }

Product details

What is this antibody validated in?
Anti-BCRP/ABCG2 antibody [EPR20080] (ab207732) is a rabbit recombinant monoclonal antibody and is validated for use in Western Blot (WB), Flow Cytometry (Intra), Flow Cytometry (Flow Cyt), Immunohistochemistry (IHC-P) in Human, Mouse, Rat samples.

What is the molecular weight of BCRP/ABCG2?
Anti-BCRP/ABCG2 [EPR20080] (ab207732) specifically detects a band for BCRP/ABCG2 (UniProt: Q9UNQ0) at a molecular weight of 72kDa.

Trusted by the scientific community
Anti-BCRP/ABCG2 [EPR20080] (ab207732) was first used in a scientific publication in 2017 and has been cited over 30 times in peer-reviewed journals.

Reviewed by scientists
Anti-BCRP/ABCG2 [EPR20080] (ab207732) has over 5 independent reviews from customers.

Trial sizes available!
Test your antibody or perform pre-screening before committing to a larger quantity. Sold in 10µl. Discover our selection of trial-size antibodies.

Specificity confirmed
The specificity of Anti-BCRP/ABCG2 antibody [EPR20080] (ab207732) has been confirmed by Western blot testing in ABCG2 Knockout A549 cell line, ab259773.

Other related products
We have a range of other formats of antibody clone [EPR20080] also available for your convenience: ab207732, Carrier free - ab232517

Patented technology
Our RabMAb® technology is a patented hybridoma-based technology for making rabbit monoclonal antibodies. For details on our patents, please refer to RabMAb® patents.

What are the advantages of a recombinant monoclonal antibody?
This product is a recombinant monoclonal antibody, which offers several advantages including:

  • - High batch-to-batch consistency and reproducibility
  • - Improved sensitivity and specificity
  • - Long-term security of supply
  • - Animal-free batch production

For more information, read more on recombinant antibodies.

Properties and storage information

Form
Liquid
Purification technique
Affinity purification Protein A
Storage buffer
pH: 7.2 - 7.4 Preservative: 0.01% Sodium azide Constituents: PBS, 40% Glycerol (glycerin, glycerine), 0.05% BSA
Shipped at conditions
Blue Ice
Appropriate short-term storage duration
1-2 weeks
Appropriate short-term storage conditions
+4°C
Appropriate long-term storage conditions
-20°C
Aliquoting information
Upon delivery aliquot
Storage information
Avoid freeze / thaw cycle

Product protocols

For this product, it's our understanding that no specific protocols are required. You can visit:

Target data

Broad substrate specificity ATP-dependent transporter of the ATP-binding cassette (ABC) family that actively extrudes a wide variety of physiological compounds, dietary toxins and xenobiotics from cells (PubMed : 11306452, PubMed : 12958161, PubMed : 19506252, PubMed : 20705604, PubMed : 28554189, PubMed : 30405239, PubMed : 31003562). Involved in porphyrin homeostasis, mediating the export of protoporphyrin IX (PPIX) from both mitochondria to cytosol and cytosol to extracellular space, it also functions in the cellular export of heme (PubMed : 20705604, PubMed : 23189181). Also mediates the efflux of sphingosine-1-P from cells (PubMed : 20110355). Acts as a urate exporter functioning in both renal and extrarenal urate excretion (PubMed : 19506252, PubMed : 20368174, PubMed : 22132962, PubMed : 31003562, PubMed : 36749388). In kidney, it also functions as a physiological exporter of the uremic toxin indoxyl sulfate (By similarity). Also involved in the excretion of steroids like estrone 3-sulfate/E1S, 3beta-sulfooxy-androst-5-en-17-one/DHEAS, and other sulfate conjugates (PubMed : 12682043, PubMed : 28554189, PubMed : 30405239). Mediates the secretion of the riboflavin and biotin vitamins into milk (By similarity). Extrudes pheophorbide a, a phototoxic porphyrin catabolite of chlorophyll, reducing its bioavailability (By similarity). Plays an important role in the exclusion of xenobiotics from the brain (Probable). It confers to cells a resistance to multiple drugs and other xenobiotics including mitoxantrone, pheophorbide, camptothecin, methotrexate, azidothymidine, and the anthracyclines daunorubicin and doxorubicin, through the control of their efflux (PubMed : 11306452, PubMed : 12477054, PubMed : 15670731, PubMed : 18056989, PubMed : 31254042). In placenta, it limits the penetration of drugs from the maternal plasma into the fetus (By similarity). May play a role in early stem cell self-renewal by blocking differentiation (By similarity).
See full target information ABCG2

Publications (56)

Recent publications for all applications. Explore the full list and refine your search

Frontiers in oncology 15:1558184 PubMed40548120

2025

ABCG2 protein expression in tumors of patients with non-resectable pancreatic cancer treated with gemcitabine and -paclitaxel.

Applications

Unspecified application

Species

Unspecified reactive species

Susy Shim,Mette Bak Nielsen,Mikkel Eld,Jan Stenvang,Rasmus Froberg Brøndum,Britta Weber,Anne Krejbjerg Motavaf,Morten Ladekarl

International journal of molecular sciences 26: PubMed40362377

2025

Acridine-Based Chalcone 1C and ABC Transporters.

Applications

Unspecified application

Species

Unspecified reactive species

Ondrej Franko,Martina Čižmáriková,Martin Kello,Radka Michalková,Olga Wesołowska,Kamila Środa-Pomianek,Sérgio M Marques,David Bednář,Viktória Háziková,Tomáš Ján Liška,Viera Habalová

Pharmacology research & perspectives 13:e70111 PubMed40325522

2025

St. John's Wort Extract Increases Pgp Expression in the Brain but Not in the Small Intestine or the Liver of Wistar Rats.

Applications

Unspecified application

Species

Unspecified reactive species

Valerio Taggi,Anima M Schäfer,Isabell Seibert,Henriette E Meyer Zu Schwabedissen

Scientific reports 15:8735 PubMed40082588

2025

Preclinical evaluation of a novel antibody-drug conjugate OBI-992 for Cancer therapy.

Applications

Unspecified application

Species

Unspecified reactive species

Ting-Yu Chang,Chun-Jung Lin,Shih-Ni Wen,Yi-Chen Wu,Cheng-Yen Wei,Jye-Yu Huang,Yu-Hsuan Tsao,Yu-Jung Chen,Wei-Chien Tang,Yuen-Chin Wu,Wei-Han Lee,Teng-Yi Huang,Tzer-Min Kuo,Wan-Fen Li,Ming-Tain Lai

British journal of pharmacology 182:2049-2066 PubMed39909477

2025

Silencing drug transporters in human primary muscle cells modulates atorvastatin pharmacokinetics: A pilot study.

Applications

Unspecified application

Species

Unspecified reactive species

Emilia Hoste,Louise Deldicque,Giulio G Muccioli,Nadtha Panin,Romano Terrasi,Adrien Paquot,Maxime Lingurski,Sébastien Pyr Dit Ruys,Vincent Haufroid,Laure Elens

International journal of biological sciences 21:382-399 PubMed39744423

2025

Folic Acid-Modified Milk Exosomes Delivering c-Kit siRNA Overcome EGFR-TKIs Resistance in Lung Cancer by Suppressing mTOR Signaling and Stemness.

Applications

Unspecified application

Species

Unspecified reactive species

Zihan Xu,Li Wang,Li Tu,Tao Liu,Yong Zhang,Yingying He,Guixiu Xiao,Ganlu Ouyang,Xuelei Ma,Feng Luo

International journal of molecular medicine 54: PubMed38994756

2024

Luteolin enhances drug chemosensitivity by downregulating the FAK/PI3K/AKT pathway in paclitaxel‑resistant esophageal squamous cell carcinoma.

Applications

Unspecified application

Species

Unspecified reactive species

Zhenzhen Yang,Hongtao Liu,Yinsen Song,Na Gao,Pan Gao,Yiran Hui,Yueheng Li,Tianli Fan

Redox biology 75:103262 PubMed38981367

2024

ABCG2 shields against epilepsy, relieves oxidative stress and apoptosis via inhibiting the ISGylation of STAT1 and mTOR.

Applications

Unspecified application

Species

Unspecified reactive species

Chang Li,Yi Cai,Yongmin Chen,Jingyi Tong,Youbin Li,Dong Liu,Yun Wang,Zhiping Li,Yan Wang,Qifu Li

Biology direct 19:49 PubMed38910243

2024

Silencing LINC00987 ameliorates adriamycin resistance of acute myeloid leukemia via miR-4458/HMGA2 axis.

Applications

Unspecified application

Species

Unspecified reactive species

Yue Liu,Xiao-Ya Zhu,Li-Li Liao,Zhan-Hui Zhang,Tao-Sheng Huang,Ling Zhang,Xi-Wen Jiang,Yi Ma

Communications biology 7:177 PubMed38418614

2024

Modular tissue-in-a-CUBE platform to model blood-brain barrier (BBB) and brain interaction.

Applications

Unspecified application

Species

Unspecified reactive species

Isabel Koh,Masaya Hagiwara
View all publications

Product promise

We are committed to supporting your work with high-quality reagents, and we're here for you every step of the way. In the unlikely event that one of our products does not perform as expected, you're protected by our Product Promise.
For full details, please see our Terms & Conditions

Please note: All products are 'FOR RESEARCH USE ONLY. NOT FOR USE IN DIAGNOSTIC OR THERAPEUTIC PROCEDURES'.

For licensing inquiries, please contact partnerships@abcam.com