JavaScript is disabled in your browser. Please enable JavaScript to view this website.
AB229193

Anti-BCRP/ABCG2 antibody [EPR21122]

Be the first to review this product! Submit a review

|

(6 Publications)

Rabbit Recombinant Monoclonal BCRP/ABCG2 antibody. Suitable for Flow Cyt, ICC/IF, IHC-P and reacts with Human samples. Cited in 6 publications.

View Alternative Names

CD338, ABCP, BCRP, BCRP1, MXR, ABCG2, Broad substrate specificity ATP-binding cassette transporter ABCG2, ATP-binding cassette sub-family G member 2, Breast cancer resistance protein, CDw338, Mitoxantrone resistance-associated protein, Placenta-specific ATP-binding cassette transporter, Urate exporter

6 Images
Immunocytochemistry/ Immunofluorescence - Anti-BCRP/ABCG2 antibody [EPR21122] (AB229193)
  • ICC/IF

Unknown

Immunocytochemistry/ Immunofluorescence - Anti-BCRP/ABCG2 antibody [EPR21122] (AB229193)

Immunofluorescent analysis of 4% paraformaldehyde-fixed, 0.1% Triton X-100 permeabilized A549 (human lung carcinoma cell line) cells labeling BCRP/ABCG2 with ab229193 at 1/100 dilution followed by Goat Anti-Rabbit IgG H&L (Alexa Fluor® 488) (ab150077) secondary antibody at 1/1000 dilution (green). Confocal image showing membranous staining in A549 cell line.

The nuclear counter stain is DAPI (blue). Tubulin is detected with Anti-alpha Tubulin antibody [DM1A] - Microtubule Marker (Alexa Fluor® 594) (ab195889) (red) at 1/200 dilution.

Secondary antibody only control : Used PBS instead of primary antibody, secondary antibody is Goat Anti-Rabbit IgG H&L (Alexa Fluor® 488) (ab150077) secondary antibody at 1/1000 dilution.

Immunohistochemistry (Formalin/PFA-fixed paraffin-embedded sections) - Anti-BCRP/ABCG2 antibody [EPR21122] (AB229193)
  • IHC-P

Unknown

Immunohistochemistry (Formalin/PFA-fixed paraffin-embedded sections) - Anti-BCRP/ABCG2 antibody [EPR21122] (AB229193)

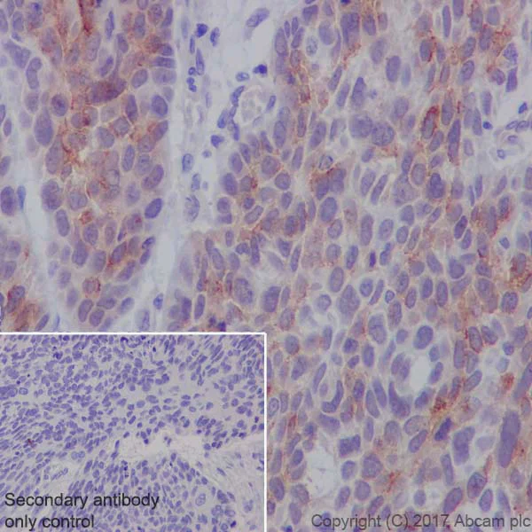
Immunohistochemical analysis of paraffin-embedded human esophagus cancer tissue labeling BCRP/ABCG2 with ab229193 at 1/2000 dilution, followed by a ready to use Goat Anti-Rabbit IgG H&L (HRP) . Membrane and cytoplasmic staining in esophageal cancer (PMID : 17671398) is observed. Counter stained with hematoxylin.

Secondary antibody only control : Used PBS instead of primary antibody, secondary antibody is a ready to use Goat Anti-Rabbit IgG H&L (HRP).

Perform heat-mediated antigen retrieval using ab93684 (Tris/EDTA buffer, pH 9.0).

Immunohistochemistry (Formalin/PFA-fixed paraffin-embedded sections) - Anti-BCRP/ABCG2 antibody [EPR21122] (AB229193)
  • IHC-P

Unknown

Immunohistochemistry (Formalin/PFA-fixed paraffin-embedded sections) - Anti-BCRP/ABCG2 antibody [EPR21122] (AB229193)

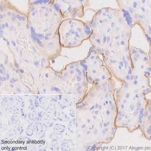
Immunohistochemical analysis of paraffin-embedded human brain tissue labeling BCRP/ABCG2 with ab229193 at 1/2000 dilution, followed by a ready to use Goat Anti-Rabbit IgG H&L (HRP). Cytoplasmic staining in endothelial cells of human brain (PMID : 28912477) is observed. Counter stained with hematoxylin.

Secondary antibody only control : Used PBS instead of primary antibody, secondary antibody is a ready to use Goat Anti-Rabbit IgG H&L (HRP).

Perform heat-mediated antigen retrieval using ab93684 (Tris/EDTA buffer, pH 9.0).

Flow Cytometry - Anti-BCRP/ABCG2 antibody [EPR21122] (AB229193)
  • Flow Cyt

Unknown

Flow Cytometry - Anti-BCRP/ABCG2 antibody [EPR21122] (AB229193)

Flow cytometric analysis of A549 (human lung carcinoma cell line) cell line labeling BCRP/ABCG2 with ab229193 at 1/60 dilution (red) compared with a Rabbit IgG, monoclonal [EPR25A] - Isotype Control (ab172730) (black) and an unlabeled control (cells without incubation with primary antibody and secondary antibody) (blue). Goat Anti-Rabbit IgG H&L (Alexa Fluor® 488) (ab150077) at 1/2000 dilution was used as the secondary antibody. Gated on total viable cells.

Immunohistochemistry (Formalin/PFA-fixed paraffin-embedded sections) - Anti-BCRP/ABCG2 antibody [EPR21122] (AB229193)
  • IHC-P

Unknown

Immunohistochemistry (Formalin/PFA-fixed paraffin-embedded sections) - Anti-BCRP/ABCG2 antibody [EPR21122] (AB229193)

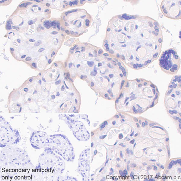
Immunohistochemical analysis of paraffin-embedded human placenta tissue labeling BCRP/ABCG2 with ab229193 at 1/2000 dilution, followed by a ready to use Goat Anti-Rabbit IgG H&L (HRP). Cytoplasmic staining in human placenta (PMID : 28623970) is observed. Counter stained with hematoxylin.

Secondary antibody only control : Used PBS instead of primary antibody, secondary antibody is a ready to use Goat Anti-Rabbit IgG H&L (HRP).

Perform heat-mediated antigen retrieval using ab93684 (Tris/EDTA buffer, pH 9.0).

Immunocytochemistry/ Immunofluorescence - Anti-BCRP/ABCG2 antibody [EPR21122] (AB229193)
  • ICC/IF

Unknown

Immunocytochemistry/ Immunofluorescence - Anti-BCRP/ABCG2 antibody [EPR21122] (AB229193)

Immunofluorescent analysis of 4% paraformaldehyde-fixed, 0.1% Triton X-100 permeabilized JAR (human placenta choriocarcinoma cell line) cells labeling BCRP/ABCG2 with ab229193 at 1/100 dilution followed by Goat Anti-Rabbit IgG H&L (Alexa Fluor® 488) (ab150077) secondary antibody at 1/1000 dilution (green). Confocal image showing membranous staining in JAR cell line.

The nuclear counter stain is DAPI (blue). Tubulin is detected with Anti-alpha Tubulin antibody [DM1A] - Microtubule Marker (Alexa Fluor® 594) (ab195889) (red) at 1/200 dilution.

Secondary antibody only control : Used PBS instead of primary antibody, secondary antibody is Goat Anti-Rabbit IgG H&L (Alexa Fluor® 488) (ab150077) secondary antibody at 1/1000 dilution.

  • Carrier free

    Anti-BCRP/ABCG2 antibody [EPR21122] - BSA and Azide free

Key facts

Host species

Rabbit

Clonality

Monoclonal

Clone number

EPR21122

Isotype

IgG

Carrier free

No

Reacts with

Human

Applications

IHC-P, Flow Cyt, ICC/IF

applications

Immunogen

The exact immunogen used to generate this antibody is proprietary information.

Reactivity data

{ "title": "Reactivity Data", "filters": { "stats": ["", "Species", "Dilution Info", "Notes"], "tabs": { "all-applications": {"fullname" : "All Applications", "shortname": "All Applications"}, "FlowCyt" : {"fullname" : "Flow Cytometry", "shortname":"Flow Cyt"}, "ICCIF" : {"fullname" : "Immunocytochemistry/ Immunofluorescence", "shortname":"ICC/IF"}, "IHCP" : {"fullname" : "Immunohistochemistry (Formalin/PFA-fixed paraffin-embedded sections)", "shortname":"IHC-P"} }, "product-promise": { "all": "all", "testedAndGuaranteed": "tested", "guaranteed": "expected", "predicted": "predicted", "notRecommended": "not-recommended" } }, "values": { "Human": { "FlowCyt-species-checked": "testedAndGuaranteed", "FlowCyt-species-dilution-info": "1/60", "FlowCyt-species-notes": "<p></p>", "ICCIF-species-checked": "testedAndGuaranteed", "ICCIF-species-dilution-info": "1/100", "ICCIF-species-notes": "<p></p>", "IHCP-species-checked": "testedAndGuaranteed", "IHCP-species-dilution-info": "1/2000", "IHCP-species-notes": "<p></p> Perform heat-mediated antigen retrieval with Tris/EDTA buffer pH 9.0 before commencing with IHC staining protocol." } } }

Product details

Patented technology
Our RabMAb® technology is a patented hybridoma-based technology for making rabbit monoclonal antibodies. For details on our patents, please refer to RabMAb® patents.

What are the advantages of a recombinant monoclonal antibody?
This product is a recombinant monoclonal antibody, which offers several advantages including:

  • - High batch-to-batch consistency and reproducibility
  • - Improved sensitivity and specificity
  • - Long-term security of supply
  • - Animal-free batch production

For more information, read more on recombinant antibodies.

Properties and storage information

Form
Liquid
Purification technique
Affinity purification Protein A
Storage buffer
pH: 7.2 - 7.4 Preservative: 0.01% Sodium azide Constituents: PBS, 40% Glycerol (glycerin, glycerine), 0.05% BSA
Shipped at conditions
Blue Ice
Appropriate short-term storage duration
1-2 weeks
Appropriate short-term storage conditions
+4°C
Appropriate long-term storage conditions
-20°C
Aliquoting information
Upon delivery aliquot
Storage information
Avoid freeze / thaw cycle

Product protocols

For this product, it's our understanding that no specific protocols are required. You can visit:

Target data

Broad substrate specificity ATP-dependent transporter of the ATP-binding cassette (ABC) family that actively extrudes a wide variety of physiological compounds, dietary toxins and xenobiotics from cells (PubMed : 11306452, PubMed : 12958161, PubMed : 19506252, PubMed : 20705604, PubMed : 28554189, PubMed : 30405239, PubMed : 31003562). Involved in porphyrin homeostasis, mediating the export of protoporphyrin IX (PPIX) from both mitochondria to cytosol and cytosol to extracellular space, it also functions in the cellular export of heme (PubMed : 20705604, PubMed : 23189181). Also mediates the efflux of sphingosine-1-P from cells (PubMed : 20110355). Acts as a urate exporter functioning in both renal and extrarenal urate excretion (PubMed : 19506252, PubMed : 20368174, PubMed : 22132962, PubMed : 31003562, PubMed : 36749388). In kidney, it also functions as a physiological exporter of the uremic toxin indoxyl sulfate (By similarity). Also involved in the excretion of steroids like estrone 3-sulfate/E1S, 3beta-sulfooxy-androst-5-en-17-one/DHEAS, and other sulfate conjugates (PubMed : 12682043, PubMed : 28554189, PubMed : 30405239). Mediates the secretion of the riboflavin and biotin vitamins into milk (By similarity). Extrudes pheophorbide a, a phototoxic porphyrin catabolite of chlorophyll, reducing its bioavailability (By similarity). Plays an important role in the exclusion of xenobiotics from the brain (Probable). It confers to cells a resistance to multiple drugs and other xenobiotics including mitoxantrone, pheophorbide, camptothecin, methotrexate, azidothymidine, and the anthracyclines daunorubicin and doxorubicin, through the control of their efflux (PubMed : 11306452, PubMed : 12477054, PubMed : 15670731, PubMed : 18056989, PubMed : 31254042). In placenta, it limits the penetration of drugs from the maternal plasma into the fetus (By similarity). May play a role in early stem cell self-renewal by blocking differentiation (By similarity).
See full target information ABCG2

Publications (6)

Recent publications for all applications. Explore the full list and refine your search

Journal, genetic engineering & biotechnology 23:100496 PubMed40390503

2025

Co-expression of HIF1A with multi-drug transporters (P-GP, MRP1, and BCRP) in chemoresistant breast, colorectal, and ovarian cancer cells.

Applications

Unspecified application

Species

Unspecified reactive species

Sudipta Deb Nath,Md Tamzid Hossain Tanim,Md Mahmudul Hasan Akash,Mohammad Golam Mostafa,Abu Ashfaqur Sajib

Experimental and therapeutic medicine 26:389 PubMed37456160

2023

E2F1‑mediated RAB34 upregulation accelerates the proliferation and inhibits the cell cycle arrest and apoptosis of acute myeloid leukemia cells.

Applications

Unspecified application

Species

Unspecified reactive species

Xiaojie Xiong,Gang Jian

Stem cell research & therapy 14:89 PubMed37061739

2023

Expansion and characterization of human limbus-derived stromal/mesenchymal stem cells in xeno-free medium for therapeutic applications.

Applications

Unspecified application

Species

Unspecified reactive species

Abhishek Sahoo,Mukesh Damala,Jilu Jaffet,Deeksha Prasad,Sayan Basu,Vivek Singh

Cancers 15: PubMed36612300

2023

Protoporphyrin IX (PpIX) Fluorescence during Meningioma Surgery: Correlations with Histological Findings and Expression of Heme Pathway Molecules.

Applications

Unspecified application

Species

Unspecified reactive species

Dorothee C Spille,Eva C Bunk,Christian Thomas,Zeynep Özdemir,Andrea Wagner,Burak H Akkurt,Manoj Mannil,Werner Paulus,Oliver M Grauer,Walter Stummer,Volker Senner,Benjamin Brokinkel

Clinical and translational medicine 12:e876 PubMed35605028

2022

APE1 shRNA-loaded cancer stem cell-derived extracellular vesicles reverse Erlotinib resistance in non-small cell lung cancer via the IL-6/STAT3 signalling.

Applications

Unspecified application

Species

Unspecified reactive species

Chun-Han Tang,Ling Qin,Ying-Chun Gao,Tai-Yu Chen,Ke Xu,Tao Liu,Tao Ren

Biotechnology and bioengineering 117:748-762 PubMed31709508

2019

3D brain angiogenesis model to reconstitute functional human blood-brain barrier in vitro.

Applications

Unspecified application

Species

Unspecified reactive species

Somin Lee,Minhwan Chung,Seung-Ryeol Lee,Noo Li Jeon
View all publications

Product promise

We are committed to supporting your work with high-quality reagents, and we're here for you every step of the way. In the unlikely event that one of our products does not perform as expected, you're protected by our Product Promise.
For full details, please see our Terms & Conditions

Please note: All products are 'FOR RESEARCH USE ONLY. NOT FOR USE IN DIAGNOSTIC OR THERAPEUTIC PROCEDURES'.

For licensing inquiries, please contact partnerships@abcam.com