JavaScript is disabled in your browser. Please enable JavaScript to view this website.
AB230160

Anti-BCRP/ABCG2 antibody [EPR21122] - BSA and Azide free

Be the first to review this product! Submit a review

|

(1 Publication)

Rabbit Recombinant Monoclonal BCRP/ABCG2 antibody. Carrier free. Suitable for Flow Cyt, ICC/IF, IHC-P and reacts with Human samples. Cited in 1 publication.

View Alternative Names

CD338, ABCP, BCRP, BCRP1, MXR, ABCG2, Broad substrate specificity ATP-binding cassette transporter ABCG2, ATP-binding cassette sub-family G member 2, Breast cancer resistance protein, CDw338, Mitoxantrone resistance-associated protein, Placenta-specific ATP-binding cassette transporter, Urate exporter

6 Images
Immunocytochemistry/ Immunofluorescence - Anti-BCRP/ABCG2 antibody [EPR21122] - BSA and Azide free (AB230160)
  • ICC/IF

Unknown

Immunocytochemistry/ Immunofluorescence - Anti-BCRP/ABCG2 antibody [EPR21122] - BSA and Azide free (AB230160)

Immunofluorescent analysis of 4% paraformaldehyde-fixed, 0.1% Triton X-100 permeabilized JAR (human placenta choriocarcinoma cell line) cells labeling BCRP/ABCG2 with ab229193 at 1/100 dilution followed by Goat Anti-Rabbit IgG H&L (Alexa Fluor® 488) (ab150077) secondary antibody at 1/1000 dilution (green). Confocal image showing membranous staining in JAR cell line.

The nuclear counter stain is DAPI (blue). Tubulin is detected with Anti-alpha Tubulin antibody [DM1A] - Microtubule Marker (Alexa Fluor® 594) (ab195889) (red) at 1/200 dilution.

Secondary antibody only control : Used PBS instead of primary antibody, secondary antibody is Goat Anti-Rabbit IgG H&L (Alexa Fluor® 488) (ab150077) secondary antibody at 1/1000 dilution.

This data was developed using the same antibody clone in a different buffer formulation containing PBS, BSA, glycerol, and sodium azide (ab229193).

Immunocytochemistry/ Immunofluorescence - Anti-BCRP/ABCG2 antibody [EPR21122] - BSA and Azide free (AB230160)
  • ICC/IF

Unknown

Immunocytochemistry/ Immunofluorescence - Anti-BCRP/ABCG2 antibody [EPR21122] - BSA and Azide free (AB230160)

Immunofluorescent analysis of 4% paraformaldehyde-fixed, 0.1% Triton X-100 permeabilized A549 (human lung carcinoma cell line) cells labeling BCRP/ABCG2 with ab229193 at 1/100 dilution followed by Goat Anti-Rabbit IgG H&L (Alexa Fluor® 488) (ab150077) secondary antibody at 1/1000 dilution (green). Confocal image showing membranous staining in A549 cell line.

The nuclear counter stain is DAPI (blue). Tubulin is detected with Anti-alpha Tubulin antibody [DM1A] - Microtubule Marker (Alexa Fluor® 594) (ab195889) (red) at 1/200 dilution.

Secondary antibody only control : Used PBS instead of primary antibody, secondary antibody is Goat Anti-Rabbit IgG H&L (Alexa Fluor® 488) (ab150077) secondary antibody at 1/1000 dilution.

This data was developed using the same antibody clone in a different buffer formulation containing PBS, BSA, glycerol, and sodium azide (ab229193).

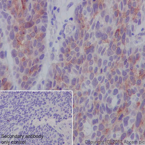
Immunohistochemistry (Formalin/PFA-fixed paraffin-embedded sections) - Anti-BCRP/ABCG2 antibody [EPR21122] - BSA and Azide free (AB230160)
  • IHC-P

Unknown

Immunohistochemistry (Formalin/PFA-fixed paraffin-embedded sections) - Anti-BCRP/ABCG2 antibody [EPR21122] - BSA and Azide free (AB230160)

Immunohistochemical analysis of paraffin-embedded human esophagus cancer tissue labeling BCRP/ABCG2 with ab229193 at 1/2000 dilution, followed by a ready to use Goat Anti-Rabbit IgG H&L (HRP) . Membrane and cytoplasmic staining in esophageal cancer (PMID : 17671398) is observed. Counter stained with hematoxylin.

Secondary antibody only control : Used PBS instead of primary antibody, secondary antibody is a ready to use Goat Anti-Rabbit IgG H&L (HRP).

Perform heat-mediated antigen retrieval using ab93684 (Tris/EDTA buffer, pH 9.0).

This data was developed using the same antibody clone in a different buffer formulation containing PBS, BSA, glycerol, and sodium azide (ab229193).

Immunohistochemistry (Formalin/PFA-fixed paraffin-embedded sections) - Anti-BCRP/ABCG2 antibody [EPR21122] - BSA and Azide free (AB230160)
  • IHC-P

Unknown

Immunohistochemistry (Formalin/PFA-fixed paraffin-embedded sections) - Anti-BCRP/ABCG2 antibody [EPR21122] - BSA and Azide free (AB230160)

Immunohistochemical analysis of paraffin-embedded human brain tissue labeling BCRP/ABCG2 with ab229193 at 1/2000 dilution, followed by a ready to use Goat Anti-Rabbit IgG H&L (HRP). Cytoplasmic staining in endothelial cells of human brain (PMID : 28912477) is observed. Counter stained with hematoxylin.

Secondary antibody only control : Used PBS instead of primary antibody, secondary antibody is a ready to use Goat Anti-Rabbit IgG H&L (HRP).

Perform heat-mediated antigen retrieval using ab93684 (Tris/EDTA buffer, pH 9.0).

This data was developed using the same antibody clone in a different buffer formulation containing PBS, BSA, glycerol, and sodium azide (ab229193).

Flow Cytometry - Anti-BCRP/ABCG2 antibody [EPR21122] - BSA and Azide free (AB230160)
  • Flow Cyt

Unknown

Flow Cytometry - Anti-BCRP/ABCG2 antibody [EPR21122] - BSA and Azide free (AB230160)

Flow cytometric analysis of A549 (human lung carcinoma cell line) cell line labeling BCRP/ABCG2 with ab229193 at 1/60 dilution (red) compared with a Rabbit IgG, monoclonal [EPR25A] - Isotype Control (ab172730) (black) and an unlabeled control (cells without incubation with primary antibody and secondary antibody) (blue). Goat Anti-Rabbit IgG H&L (Alexa Fluor® 488) (ab150077) at 1/2000 dilution was used as the secondary antibody. Gated on total viable cells.

This data was developed using the same antibody clone in a different buffer formulation containing PBS, BSA, glycerol, and sodium azide (ab229193).

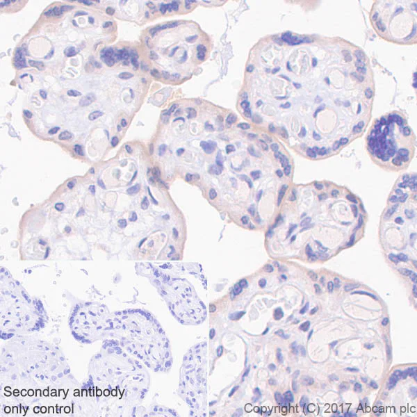
Immunohistochemistry (Formalin/PFA-fixed paraffin-embedded sections) - Anti-BCRP/ABCG2 antibody [EPR21122] - BSA and Azide free (AB230160)
  • IHC-P

Unknown

Immunohistochemistry (Formalin/PFA-fixed paraffin-embedded sections) - Anti-BCRP/ABCG2 antibody [EPR21122] - BSA and Azide free (AB230160)

Immunohistochemical analysis of paraffin-embedded human placenta tissue labeling BCRP/ABCG2 with ab229193 at 1/2000 dilution, followed by a ready to use Goat Anti-Rabbit IgG H&L (HRP). Cytoplasmic staining in human placenta (PMID : 28623970) is observed. Counter stained with hematoxylin.

Secondary antibody only control : Used PBS instead of primary antibody, secondary antibody is a ready to use Goat Anti-Rabbit IgG H&L (HRP).

Perform heat-mediated antigen retrieval using ab93684 (Tris/EDTA buffer, pH 9.0).

This data was developed using the same antibody clone in a different buffer formulation containing PBS, BSA, glycerol, and sodium azide (ab229193).

Key facts

Host species

Rabbit

Clonality

Monoclonal

Clone number

EPR21122

Isotype

IgG

Carrier free

Yes

Reacts with

Human

Applications

Flow Cyt, ICC/IF, IHC-P

applications

Immunogen

The exact immunogen used to generate this antibody is proprietary information.

Reactivity data

{ "title": "Reactivity Data", "filters": { "stats": ["", "Species", "Dilution Info", "Notes"], "tabs": { "all-applications": {"fullname" : "All Applications", "shortname": "All Applications"}, "FlowCyt" : {"fullname" : "Flow Cytometry", "shortname":"Flow Cyt"}, "ICCIF" : {"fullname" : "Immunocytochemistry/ Immunofluorescence", "shortname":"ICC/IF"}, "IHCP" : {"fullname" : "Immunohistochemistry (Formalin/PFA-fixed paraffin-embedded sections)", "shortname":"IHC-P"} }, "product-promise": { "all": "all", "testedAndGuaranteed": "tested", "guaranteed": "expected", "predicted": "predicted", "notRecommended": "not-recommended" } }, "values": { "Human": { "FlowCyt-species-checked": "testedAndGuaranteed", "FlowCyt-species-dilution-info": "", "FlowCyt-species-notes": "<p></p>", "ICCIF-species-checked": "testedAndGuaranteed", "ICCIF-species-dilution-info": "", "ICCIF-species-notes": "<p></p>", "IHCP-species-checked": "testedAndGuaranteed", "IHCP-species-dilution-info": "", "IHCP-species-notes": "<p></p>" } } }

Product details

ab230160 is the carrier-free version of ab229193.

Patented technology
Our RabMAb® technology is a patented hybridoma-based technology for making rabbit monoclonal antibodies. For details on our patents, please refer to RabMAb® patents.

What are the advantages of a recombinant monoclonal antibody?
This product is a recombinant monoclonal antibody, which offers several advantages including:

  • - High batch-to-batch consistency and reproducibility
  • - Improved sensitivity and specificity
  • - Long-term security of supply
  • - Animal-free batch production

For more information, read more on recombinant antibodies.

Conjugation ready
Our carrier-free antibodies are typically supplied in a PBS-only formulation, purified and free of BSA, sodium azide and glycerol. This conjugation-ready format is designed for use with fluorochromes, metal isotopes, oligonucleotides, and enzymes, which makes them ideal for antibody labelling, functional and cell-based assays, flow-based assays (e.g. mass cytometry) and Multiplex Imaging applications.

Use our conjugation kits for antibody conjugates that are ready-to-use in as little as 20 minutes with 1 minute hands-on-time and 100% antibody recovery: available for fluorescent dyes, HRP, biotin and gold.

Compatibility
This product is compatible with the Maxpar® Antibody Labeling Kit from Fluidigm, without the need for antibody preparation. Maxpar® is a trademark of Fluidigm Canada Inc.

Properties and storage information

Form
Liquid
Purification technique
Affinity purification Protein A
Storage buffer
pH: 7.2 - 7.4 Constituents: PBS
Shipped at conditions
Blue Ice
Appropriate short-term storage conditions
+4°C
Appropriate long-term storage conditions
+4°C
Storage information
Do Not Freeze

Product protocols

For this product, it's our understanding that no specific protocols are required. You can visit:

Target data

Broad substrate specificity ATP-dependent transporter of the ATP-binding cassette (ABC) family that actively extrudes a wide variety of physiological compounds, dietary toxins and xenobiotics from cells (PubMed : 11306452, PubMed : 12958161, PubMed : 19506252, PubMed : 20705604, PubMed : 28554189, PubMed : 30405239, PubMed : 31003562). Involved in porphyrin homeostasis, mediating the export of protoporphyrin IX (PPIX) from both mitochondria to cytosol and cytosol to extracellular space, it also functions in the cellular export of heme (PubMed : 20705604, PubMed : 23189181). Also mediates the efflux of sphingosine-1-P from cells (PubMed : 20110355). Acts as a urate exporter functioning in both renal and extrarenal urate excretion (PubMed : 19506252, PubMed : 20368174, PubMed : 22132962, PubMed : 31003562, PubMed : 36749388). In kidney, it also functions as a physiological exporter of the uremic toxin indoxyl sulfate (By similarity). Also involved in the excretion of steroids like estrone 3-sulfate/E1S, 3beta-sulfooxy-androst-5-en-17-one/DHEAS, and other sulfate conjugates (PubMed : 12682043, PubMed : 28554189, PubMed : 30405239). Mediates the secretion of the riboflavin and biotin vitamins into milk (By similarity). Extrudes pheophorbide a, a phototoxic porphyrin catabolite of chlorophyll, reducing its bioavailability (By similarity). Plays an important role in the exclusion of xenobiotics from the brain (Probable). It confers to cells a resistance to multiple drugs and other xenobiotics including mitoxantrone, pheophorbide, camptothecin, methotrexate, azidothymidine, and the anthracyclines daunorubicin and doxorubicin, through the control of their efflux (PubMed : 11306452, PubMed : 12477054, PubMed : 15670731, PubMed : 18056989, PubMed : 31254042). In placenta, it limits the penetration of drugs from the maternal plasma into the fetus (By similarity). May play a role in early stem cell self-renewal by blocking differentiation (By similarity).
See full target information ABCG2

Publications (1)

Recent publications for all applications. Explore the full list and refine your search

Biomedicines 11: PubMed37892970

2023

Enhancing Muscle Intracellular Ca Homeostasis and Glucose Uptake: Passive Pulsatile Shear Stress Treatment in Type 2 Diabetes.

Applications

Unspecified application

Species

Unspecified reactive species

Arkady Uryash,Jordan Umlas,Alfredo Mijares,Jose A Adams,Jose R Lopez
View all publications

Product promise

We are committed to supporting your work with high-quality reagents, and we're here for you every step of the way. In the unlikely event that one of our products does not perform as expected, you're protected by our Product Promise.
For full details, please see our Terms & Conditions

Please note: All products are 'FOR RESEARCH USE ONLY. NOT FOR USE IN DIAGNOSTIC OR THERAPEUTIC PROCEDURES'.

For licensing inquiries, please contact partnerships@abcam.com