JavaScript is disabled in your browser. Please enable JavaScript to view this website.
AB271873

Anti-BDNF antibody [EPR1292] - BSA and Azide free

Be the first to review this product! Submit a review

|

(0 Publication)

Rabbit Recombinant Monoclonal BDNF antibody. Carrier free. Suitable for WB, IHC-P, ICC/IF, IHC-Fr, Flow Cyt (Intra) and reacts with Mouse, Rat, Human, Transfected cell line - Human samples.

View Alternative Names

Neurotrophic factor BDNF precursor form, proBDNF, Abrineurin, Brain-derived neurotrophic factor, BDNF

11 Images
Flow Cytometry (Intracellular) - Anti-BDNF antibody [EPR1292] - BSA and Azide free (AB271873)
  • Flow Cyt (Intra)

Lab

Flow Cytometry (Intracellular) - Anti-BDNF antibody [EPR1292] - BSA and Azide free (AB271873)

Intracellular Flow Cytometry analysis of HeLa (Human cervix adenocarcinoma epithelial cell) cells labeling BDNF with purified ab108319 at 1/30 dilution (10 μg/ml) (red). Cells were fixed with 80% methanol. A Goat anti rabbit IgG (Alexa Fluor® 488) secondary antibody was used at 1/2000 dilution. Isotype control - Rabbit monoclonal IgG (Black). Unlabeled control - Cell without incubation with primary antibody and secondary antibody (Blue).

This data was developed using the same antibody clone in a different buffer formulation containing PBS, BSA, glycerol, and sodium azide (ab108319).

Immunocytochemistry/ Immunofluorescence - Anti-BDNF antibody [EPR1292] - BSA and Azide free (AB271873)
  • ICC/IF

Lab

Immunocytochemistry/ Immunofluorescence - Anti-BDNF antibody [EPR1292] - BSA and Azide free (AB271873)

Immunocytochemistry/ Immunofluorescence analysis of HeLa (Human cervix adenocarcinoma epithelial cell) cells labeling BDNF with Purified ab108319 at 1 : 500 (0.6 μg/ml). Cells were fixed in 100% Methanol and permeabilized with None. Cells were counterstained with ab195889 Anti-alpha Tubulin antibody [DM1A] - Microtubule Marker (Alexa Fluor® 594) 1 : 200 (2.5 μg/ml). Goat anti rabbit IgG (Alexa Fluor® 488, ab150077) was used as the secondary antibody at 1 : 1000 (2 μg/ml) dilution. DAPI nuclear counterstain. PBS instead of the primary antibody was used as the secondary antibody only control.

This data was developed using the same antibody clone in a different buffer formulation containing PBS, BSA, glycerol, and sodium azide (ab108319).

Immunohistochemistry (Formalin/PFA-fixed paraffin-embedded sections) - Anti-BDNF antibody [EPR1292] - BSA and Azide free (AB271873)
  • IHC-P

Lab

Immunohistochemistry (Formalin/PFA-fixed paraffin-embedded sections) - Anti-BDNF antibody [EPR1292] - BSA and Azide free (AB271873)

This data was developed using the same antibody clone in a different buffer formulation (ab108319).

IHC image of BDNF staining in a section of frozen normal human cerebral cortex performed on a Leica BONDTM system using the standard protocol. The section was fixed in 10% paraformaldehyde (10 min) prior to staining. The section was incubated with ab108319, 1/200 dilution, for 15 mins at room temperature and detected using an HRP conjugated compact polymer system. DAB was used as the chromogen. The section was then counterstained with haematoxylin and mounted with DPX. The inset secondary-only control image is taken from an identical assay without primary antibody.

For other IHC staining systems (automated and non-automated) customers should optimize variable parameters such as antigen retrieval conditions, primary antibody concentration and antibody incubation times.

Immunohistochemistry (Formalin/PFA-fixed paraffin-embedded sections) - Anti-BDNF antibody [EPR1292] - BSA and Azide free (AB271873)
  • IHC-P

Unknown

Immunohistochemistry (Formalin/PFA-fixed paraffin-embedded sections) - Anti-BDNF antibody [EPR1292] - BSA and Azide free (AB271873)

Immunohistochemical analysis of paraffin-embedded human brain tissue using unpurified ab108319 at 1/100 dilution.

Perform heat mediated antigen retrieval before commencing with IHC staining protocol.

This data was developed using the same antibody clone in a different buffer formulation containing PBS, BSA, glycerol, and sodium azide (ab108319).

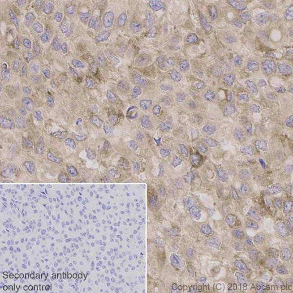
Immunohistochemistry (Formalin/PFA-fixed paraffin-embedded sections) - Anti-BDNF antibody [EPR1292] - BSA and Azide free (AB271873)
  • IHC-P

Lab

Immunohistochemistry (Formalin/PFA-fixed paraffin-embedded sections) - Anti-BDNF antibody [EPR1292] - BSA and Azide free (AB271873)

Immunohistochemistry (Formalin/PFA-fixed paraffin-embedded sections) analysis of Human bladder cancer tissue sections labeling BDNF with Purified ab108319 at 1 : 500 dilution (0.56 μg/ml). Heat mediated antigen retrieval was performed using ab93684 (Tris/EDTA buffer, pH 9.0)

This data was developed using the same antibody clone in a different buffer formulation containing PBS, BSA, glycerol, and sodium azide (ab108319).

Immunohistochemistry (Frozen sections) - Anti-BDNF antibody [EPR1292] - BSA and Azide free (AB271873)
  • IHC-Fr

Unknown

Immunohistochemistry (Frozen sections) - Anti-BDNF antibody [EPR1292] - BSA and Azide free (AB271873)

Immunohistochemistry (Frozen sections) analysis of mouse cerebrum tissue sections labeling BDNF with Purified ab108319 at 1/100 (2.8 μg/ml).Heat mediated antigen retrieval using sodium citrate buffer (10mM citrate pH 6.0 + 0.05% Tween-20). Goat anti rabbit IgG (Alexa Fluor® 488, ab150077) was used as the secondary antibody. Negative control : PBS instead of the primary antibody. DAPI was used as a counterstain.

This data was developed using the same antibody clone in a different buffer formulation containing PBS, BSA, glycerol, and sodium azide (ab108319).

Immunohistochemistry (Frozen sections) - Anti-BDNF antibody [EPR1292] - BSA and Azide free (AB271873)
  • IHC-Fr

Unknown

Immunohistochemistry (Frozen sections) - Anti-BDNF antibody [EPR1292] - BSA and Azide free (AB271873)

Immunohistochemistry (Frozen sections) analysis of rat cerebral cortex tissue sections labeling BDNF with Purified ab108319 at 1/100 (2.8 μg/ml).Heat mediated antigen retrieval using sodium citrate buffer (10mM citrate pH 6.0 + 0.05% Tween-20). Goat anti rabbit IgG (Alexa Fluor® 488, ab150077) was used as the secondary antibody. Negative control : PBS instead of the primary antibody. DAPI was used as a counterstain.

This data was developed using the same antibody clone in a different buffer formulation containing PBS, BSA, glycerol, and sodium azide (ab108319).

Western blot - Anti-BDNF antibody [EPR1292] - BSA and Azide free (AB271873)
  • WB

Lab

Western blot - Anti-BDNF antibody [EPR1292] - BSA and Azide free (AB271873)

This data was developed using ab108319, the same antibody clone in a different buffer formulation.

All lanes:

Western blot - Anti-BDNF antibody [EPR1292] (<a href='/en-us/products/primary-antibodies/bdnf-antibody-epr1292-ab108319'>ab108319</a>) at 1/1000 dilution

Lane 1:

Human brain lysates at 20 µg

Lane 2:

Mouse brain lysates at 20 µg

Lane 3:

Rat brain lysates at 20 µg

Lane 4:

Human hippocampus lysates at 20 µg

Lane 5:

Mouse hippocampus lysates at 20 µg

Lane 6:

Rat hippocampus lysates at 20 µg

Lane 7:

Human cerebellum lysates at 20 µg

Lane 8:

Mouse cerebellum lysates at 20 µg

Lane 9:

Rat cerebellum lysates at 20 µg

Secondary

All lanes:

Goat Anti-Rabbit IgG (HRP) with minimal cross-reactivity with human IgG at 1/2000 dilution

Predicted band size: 27 kDa

Observed band size: 15-45 kDa

false

Western blot - Anti-BDNF antibody [EPR1292] - BSA and Azide free (AB271873)
  • WB

Lab

Western blot - Anti-BDNF antibody [EPR1292] - BSA and Azide free (AB271873)

This data was developed using the same antibody clone in a different buffer formulation containing PBS, BSA, glycerol, and sodium azide (ab108319).

This blot was produced using a 4-12% Bis-tris gel under the MES buffer system. The gel was run at 200V for 35 minutes before being transferred onto a Nitrocellulose membrane at 30V for 70 minutes. The membrane was then blocked for an hour using Licor blocking buffer before being incubated with unpurified ab108319 (1/1000) overnight at 4°C. ab8245 (mouse anti-GAPDH; 0.05 ug/mL) was included as a loading control. Antibody binding was detected using goat anti-rabbit IgG IR-680 (green) and goat anti-mouse IgG IR800 (red) at a 1 : 10,000 dilution for 1hr at room temperature and then imaged using the Licor Odyssey CLx

All lanes:

Western blot - Anti-BDNF antibody [EPR1292] (<a href='/en-us/products/primary-antibodies/bdnf-antibody-epr1292-ab108319'>ab108319</a>) at 1/1000 dilution

Lane 1:

Human hippocampus lysate at 20 µg

Lane 2:

Rat hippocampus lysate at 20 µg

Lane 3:

Mouse hippocampus lysate at 20 µg

Secondary

All lanes:

Gt anti Rb IR680 at 1/10000 dilution

Predicted band size: 27 kDa

Observed band size: 15 kDa,28 kDa,35 kDa,45 kDa

false

Western blot - Anti-BDNF antibody [EPR1292] - BSA and Azide free (AB271873)
  • WB

Lab

Western blot - Anti-BDNF antibody [EPR1292] - BSA and Azide free (AB271873)

This data was developed using ab108319, the same antibody clone in a different buffer formulation. Different batches of ab108319 were tested on Mouse brain lysate at 0.3 µg/ml. 15 µg of lysate was loaded in each lane. Bands observed at 14-45 kDa.

All lanes:

Western blot - Anti-BDNF antibody [EPR1292] (<a href='/en-us/products/primary-antibodies/bdnf-antibody-epr1292-ab108319'>ab108319</a>)

Predicted band size: 27 kDa

false

Western blot - Anti-BDNF antibody [EPR1292] - BSA and Azide free (AB271873)
  • WB

Lab

Western blot - Anti-BDNF antibody [EPR1292] - BSA and Azide free (AB271873)

This data was developed using the same antibody clone in a different buffer formulation containing PBS, BSA, glycerol, and sodium azide (ab108319).

Blocking and diluting buffer and concentration : 5% NFDM/TBST

ab213204 was used as a His tag loading control.

All lanes:

Western blot - Anti-BDNF antibody [EPR1292] (<a href='/en-us/products/primary-antibodies/bdnf-antibody-epr1292-ab108319'>ab108319</a>) at 1/1000 dilution

Lane 1:

293T cells transfected with an empty vector containing a His tag whole cell lysate at 20 µg

Lane 2:

293T cells transfected with a Human BDNF expression vector containing a His-tag whole cell lysate at 20 µg

Lane 3:

293T cells transfected with a Human NGF expression vector containing a His-tag whole cell lysate at 20 µg

Lane 4:

293T cells transfected with a Human NTF3 expression vector containing a His-tag whole cell lysate at 20 µg

Lane 5:

293T cells transfected with a Human NTF4 expression vector containing a His-tag whole cell lysate at 20 µg

Secondary

All lanes:

Western blot - Goat Anti-Rabbit IgG H&L (HRP) (<a href='/en-us/products/secondary-antibodies/goat-rabbit-igg-h-l-hrp-ab97051'>ab97051</a>) at 1/20000 dilution

Observed band size: 35 kDa

false

Exposure time: 1s

Key facts

Host species

Rabbit

Clonality

Monoclonal

Clone number

EPR1292

Isotype

IgG

Carrier free

Yes

Reacts with

Mouse, Rat, Human

Applications

Flow Cyt (Intra), IHC-P, WB, IHC-Fr, ICC/IF

applications

Immunogen

The exact immunogen used to generate this antibody is proprietary information.

Specificity

This product may cross react with the following family members: NGF beta, neurotrophin 3, neurotrophin 4. The mouse and rat recommendation is based on the WB results. We do not guarantee IHC-P for mouse and rat.

It was discovered that this antibody exhibited weak cross - reactivity with the NTF3 protein.

Reactivity data

{ "title": "Reactivity Data", "filters": { "stats": ["", "Species", "Dilution Info", "Notes"], "tabs": { "all-applications": {"fullname" : "All Applications", "shortname": "All Applications"}, "WB" : {"fullname" : "Western blot", "shortname":"WB"}, "IHCP" : {"fullname" : "Immunohistochemistry (Formalin/PFA-fixed paraffin-embedded sections)", "shortname":"IHC-P"}, "ICCIF" : {"fullname" : "Immunocytochemistry/ Immunofluorescence", "shortname":"ICC/IF"}, "IHCFr" : {"fullname" : "Immunohistochemistry (Frozen sections)", "shortname":"IHC-Fr"}, "FlowCytIntra" : {"fullname" : "Flow Cytometry (Intracellular)", "shortname":"Flow Cyt (Intra)"} }, "product-promise": { "all": "all", "testedAndGuaranteed": "tested", "guaranteed": "expected", "predicted": "predicted", "notRecommended": "not-recommended" } }, "values": { "Human": { "WB-species-checked": "testedAndGuaranteed", "WB-species-dilution-info": "", "WB-species-notes": "<p></p>", "IHCP-species-checked": "testedAndGuaranteed", "IHCP-species-dilution-info": "", "IHCP-species-notes": "<p>The mouse and rat recommendation is based on the WB results. We do not guarantee IHC-P for mouse and rat.See IHC antigen retrieval protocols.Heat up to 98 degrees C, below boiling, and then let cool for 10-20 min.</p>", "ICCIF-species-checked": "testedAndGuaranteed", "ICCIF-species-dilution-info": "", "ICCIF-species-notes": "<p></p>", "IHCFr-species-checked": "testedAndGuaranteed", "IHCFr-species-dilution-info": "", "IHCFr-species-notes": "<p>Heat mediated antigen retrieval using sodium citrate buffer (10mM citrate pH 6.0 + 0.05% Tween-20)</p>", "FlowCytIntra-species-checked": "testedAndGuaranteed", "FlowCytIntra-species-dilution-info": "", "FlowCytIntra-species-notes": "<p></p>" }, "Mouse": { "WB-species-checked": "testedAndGuaranteed", "WB-species-dilution-info": "", "WB-species-notes": "<p></p>", "IHCP-species-checked": "guaranteed", "IHCP-species-dilution-info": "", "IHCP-species-notes": "", "ICCIF-species-checked": "guaranteed", "ICCIF-species-dilution-info": "", "ICCIF-species-notes": "", "IHCFr-species-checked": "testedAndGuaranteed", "IHCFr-species-dilution-info": "", "IHCFr-species-notes": "<p>Heat mediated antigen retrieval using sodium citrate buffer (10mM citrate pH 6.0 + 0.05% Tween-20)</p>", "FlowCytIntra-species-checked": "guaranteed", "FlowCytIntra-species-dilution-info": "", "FlowCytIntra-species-notes": "" }, "Rat": { "WB-species-checked": "testedAndGuaranteed", "WB-species-dilution-info": "", "WB-species-notes": "<p></p>", "IHCP-species-checked": "guaranteed", "IHCP-species-dilution-info": "", "IHCP-species-notes": "", "ICCIF-species-checked": "guaranteed", "ICCIF-species-dilution-info": "", "ICCIF-species-notes": "", "IHCFr-species-checked": "testedAndGuaranteed", "IHCFr-species-dilution-info": "", "IHCFr-species-notes": "<p>Heat mediated antigen retrieval using sodium citrate buffer (10mM citrate pH 6.0 + 0.05% Tween-20)</p>", "FlowCytIntra-species-checked": "guaranteed", "FlowCytIntra-species-dilution-info": "", "FlowCytIntra-species-notes": "" }, "Transfected cell line - Human": { "WB-species-checked": "testedAndGuaranteed", "WB-species-dilution-info": "", "WB-species-notes": "<p></p>", "IHCP-species-checked": "notRecommended", "IHCP-species-dilution-info": "", "IHCP-species-notes": "", "ICCIF-species-checked": "notRecommended", "ICCIF-species-dilution-info": "", "ICCIF-species-notes": "", "IHCFr-species-checked": "notRecommended", "IHCFr-species-dilution-info": "", "IHCFr-species-notes": "", "FlowCytIntra-species-checked": "notRecommended", "FlowCytIntra-species-dilution-info": "", "FlowCytIntra-species-notes": "" } } }

Product details

For BDNF, multiple WB bands are possible and expected. The human protein has 5 isoforms (precursors: 28 - 37 kDa) and can be glycosylated (Uniprot: P23560). The mature form is expected at ~14 kDa (monomer) and the dimer at ~28 kDa.

ab271873 is the carrier-free version of ab108319.

Patented technology
Our RabMAb® technology is a patented hybridoma-based technology for making rabbit monoclonal antibodies. For details on our patents, please refer to RabMAb® patents.

What are the advantages of a recombinant monoclonal antibody?
This product is a recombinant monoclonal antibody, which offers several advantages including:

  • - High batch-to-batch consistency and reproducibility
  • - Improved sensitivity and specificity
  • - Long-term security of supply
  • - Animal-free batch production

For more information, read more on recombinant antibodies.

Conjugation ready
Our carrier-free antibodies are typically supplied in a PBS-only formulation, purified and free of BSA, sodium azide and glycerol. This conjugation-ready format is designed for use with fluorochromes, metal isotopes, oligonucleotides, and enzymes, which makes them ideal for antibody labelling, functional and cell-based assays, flow-based assays (e.g. mass cytometry) and Multiplex Imaging applications.

Use our conjugation kits for antibody conjugates that are ready-to-use in as little as 20 minutes with 1 minute hands-on-time and 100% antibody recovery: available for fluorescent dyes, HRP, biotin and gold.

Compatibility
This product is compatible with the Maxpar® Antibody Labeling Kit from Fluidigm, without the need for antibody preparation. Maxpar® is a trademark of Fluidigm Canada Inc.

Properties and storage information

Form
Liquid
Purification technique
Affinity purification Protein A
Storage buffer
pH: 7.2 - 7.4 Constituents: PBS
Shipped at conditions
Blue Ice
Appropriate short-term storage conditions
+4°C
Appropriate long-term storage conditions
+4°C
Storage information
Do Not Freeze

Product protocols

For this product, it's our understanding that no specific protocols are required. You can visit:

Target data

The protein expressed by the BDNF gene is a critical signaling molecule that activates pathways downstream of NTRK2, as well as the heterodimeric receptor formed by NGFR and SORCS2. During development, it aids the survival and differentiation of specific neuronal populations in both the peripheral and central nervous systems. It is involved in axonal growth, pathfinding, and modulation of dendritic growth and morphology. In adult synapses, BDNF is a key regulator of synaptic transmission and plasticity in various CNS regions, contributing to processes like long-term potentiation, long-term depression, some short-term synaptic plasticity forms, and the homeostatic regulation of intrinsic neuronal excitability. Signaling through NGFR and SORCS2 is linked to synaptic plasticity and long-term depression, while its binding to these receptors also promotes neuronal apoptosis. This supplementary information is collated from multiple sources and compiled automatically.
See full target information BDNF

Product promise

We are committed to supporting your work with high-quality reagents, and we're here for you every step of the way. In the unlikely event that one of our products does not perform as expected, you're protected by our Product Promise.
For full details, please see our Terms & Conditions

Please note: All products are 'FOR RESEARCH USE ONLY. NOT FOR USE IN DIAGNOSTIC OR THERAPEUTIC PROCEDURES'.

For licensing inquiries, please contact partnerships@abcam.com