JavaScript is disabled in your browser. Please enable JavaScript to view this website.
AB213323

Anti-BDNF antibody [EPR21211]

Be the first to review this product! Submit a review

|

(10 Publications)

Rabbit Recombinant Monoclonal BDNF antibody. Suitable for IHC-P and reacts with Mouse, Rat samples. Cited in 10 publications.

View Alternative Names

Neurotrophic factor BDNF precursor form, proBDNF, Abrineurin, Brain-derived neurotrophic factor, BDNF

2 Images
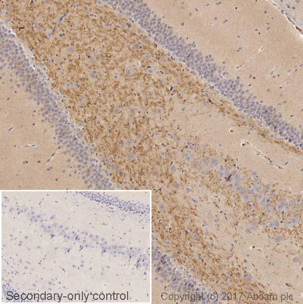
Immunohistochemistry (Formalin/PFA-fixed paraffin-embedded sections) - Anti-BDNF antibody [EPR21211] (AB213323)
  • IHC-P

Lab

Immunohistochemistry (Formalin/PFA-fixed paraffin-embedded sections) - Anti-BDNF antibody [EPR21211] (AB213323)

IHC image of BDNF staining in normal rat brain dentate gyrus formalin fixed paraffin embedded tissue section, performed on a Leica BondTM system using the standard protocol B. The section was pre-treated using heat mediated antigen retrieval with sodium citrate buffer (pH6, epitope retrieval solution 1) for 20 mins. The section was then incubated with ab213323, 0.05 μg/ml, for 15 mins at room temperature. A goat anti-rabbit biotinylated secondary antibody was used to detect the primary, and visualized using an HRP conjugated ABC system. DAB was used as the chromogen. The section was then counterstained with haematoxylin and mounted with DPX. The inset secondary-only control image is taken from an identical assay without primary antibody.

For other IHC staining systems (automated and non-automated) customers should optimize variable parameters such as antigen retrieval conditions, primary antibody concentration and antibody incubation times.

Immunohistochemistry (Formalin/PFA-fixed paraffin-embedded sections) - Anti-BDNF antibody [EPR21211] (AB213323)
  • IHC-P

Lab

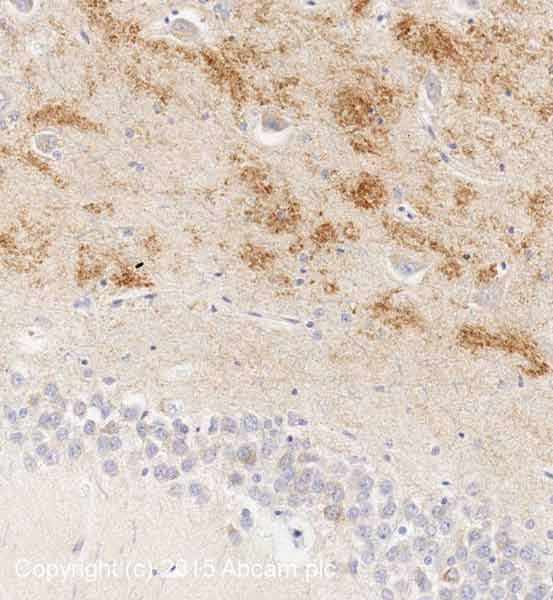
Immunohistochemistry (Formalin/PFA-fixed paraffin-embedded sections) - Anti-BDNF antibody [EPR21211] (AB213323)

IHC image of BDNF staining in normal mouse brain dentate gyrus formalin fixed paraffin embedded tissue section, performed on a Leica BondTM system using the standard protocol B. The section was pre-treated using heat mediated antigen retrieval with sodium citrate buffer (pH6, epitope retrieval solution 1) for 20 mins. The section was then incubated with ab213323, 0.05μg/ml, for 15 mins at room temperature. A goat anti-rabbit biotinylated secondary antibody was used to detect the primary, and visualized using an HRP conjugated ABC system. DAB was used as the chromogen. The section was then counterstained with haematoxylin and mounted with DPX. The inset secondary-only control image is taken from an identical assay without primary antibody.

For other IHC staining systems (automated and non-automated) customers should optimize variable parameters such as antigen retrieval conditions, primary antibody concentration and antibody incubation times.

Key facts

Host species

Rabbit

Clonality

Monoclonal

Clone number

EPR21211

Isotype

IgG1

Carrier free

No

Reacts with

Mouse, Rat

Applications

IHC-P

applications

Immunogen

The exact immunogen used to generate this antibody is proprietary information.

Reactivity data

{ "title": "Reactivity Data", "filters": { "stats": ["", "Species", "Dilution Info", "Notes"], "tabs": { "all-applications": {"fullname" : "All Applications", "shortname": "All Applications"}, "IHCP" : {"fullname" : "Immunohistochemistry (Formalin/PFA-fixed paraffin-embedded sections)", "shortname":"IHC-P"}, "IHCFr" : {"fullname" : "Immunohistochemistry (Frozen sections)", "shortname":"IHC-Fr"} }, "product-promise": { "all": "all", "testedAndGuaranteed": "tested", "guaranteed": "expected", "predicted": "predicted", "notRecommended": "not-recommended" } }, "values": { "Mouse": { "IHCP-species-checked": "testedAndGuaranteed", "IHCP-species-dilution-info": "0.01-0.05 µg/mL", "IHCP-species-notes": "<p></p> Perform heat-mediated antigen retrieval with citrate buffer pH 6 before commencing with IHC staining protocol.", "IHCFr-species-checked": "notRecommended", "IHCFr-species-dilution-info": "", "IHCFr-species-notes": "" }, "Rat": { "IHCP-species-checked": "testedAndGuaranteed", "IHCP-species-dilution-info": "0.01-0.05 µg/mL", "IHCP-species-notes": "<p></p> Perform heat-mediated antigen retrieval with citrate buffer pH 6 before commencing with IHC staining protocol.", "IHCFr-species-checked": "notRecommended", "IHCFr-species-dilution-info": "", "IHCFr-species-notes": "<p></p>" } } }

Product details

This product was made using synthetic libraries and phage display technology.

This antibody is a recombinant chimeric antibody. Rabbit chimeric monoclonal antibody (Human Fab/ Rabbit Fc).

Properties and storage information

Form
Liquid
Storage buffer
pH: 7.2 - 7.4 Preservative: 0.01% Sodium azide Constituents: PBS, 40% Glycerol (glycerin, glycerine), 0.05% BSA
Shipped at conditions
Blue Ice
Appropriate short-term storage duration
1-2 weeks
Appropriate short-term storage conditions
+4°C
Appropriate long-term storage conditions
-20°C
Aliquoting information
Upon delivery aliquot
Storage information
Avoid freeze / thaw cycle

Product protocols

For this product, it's our understanding that no specific protocols are required. You can visit:

Target data

The protein expressed by the BDNF gene is a critical signaling molecule that activates pathways downstream of NTRK2, as well as the heterodimeric receptor formed by NGFR and SORCS2. During development, it aids the survival and differentiation of specific neuronal populations in both the peripheral and central nervous systems. It is involved in axonal growth, pathfinding, and modulation of dendritic growth and morphology. In adult synapses, BDNF is a key regulator of synaptic transmission and plasticity in various CNS regions, contributing to processes like long-term potentiation, long-term depression, some short-term synaptic plasticity forms, and the homeostatic regulation of intrinsic neuronal excitability. Signaling through NGFR and SORCS2 is linked to synaptic plasticity and long-term depression, while its binding to these receptors also promotes neuronal apoptosis. This supplementary information is collated from multiple sources and compiled automatically.
See full target information BDNF

Publications (10)

Recent publications for all applications. Explore the full list and refine your search

eNeuro : PubMed40064496

2025

Electroacupuncture Neural Stimulation Mitigates Bladder Dysfunction and Mechanical Allodynia in Cyclophosphamide Induced Cystitis through Downregulation of the BDNF-TrkB Signaling Pathway.

Applications

Unspecified application

Species

Unspecified reactive species

Ying Su,Fei Yang,Jun-Cong Xie,Chi Zhang,Rui-Xiang Luo,Wen-Shuang Li,Bo-Long Liu,Min-Zhi Su

BMC neuroscience 25:36 PubMed39103771

2024

Intracerebroventricular administration of the exercise hormone irisin or acute strenuous exercise alleviates epileptic seizure-induced neuroinflammation and improves memory dysfunction in rats.

Applications

Unspecified application

Species

Unspecified reactive species

Zarife Nigâr Ozdemir-Kumral,Tuğçe Akgün,Ceren Haşim,Ezgi Ulusoy,Mehmet Kaan Kalpakçıoğlu,Muhammet Ferzan Yüksel,Tunahan Okumuş,Zeynep Us,Dilek Akakın,Meral Yüksel,Zafer Gören,Berrak Ç Yeğen

The Journal of nutrition 154:2752-2762 PubMed39053605

2024

Dietary Anthocyanins Mitigate High-Fat Diet-Induced Hippocampal Inflammation in Mice.

Applications

Unspecified application

Species

Unspecified reactive species

Imani Muhammad,Eleonora Cremonini,Patricia Mathieu,Ana M Adamo,Patricia I Oteiza

Theranostics 13:1059-1075 PubMed36793868

2023

Hyperactive neuronal autophagy depletes BDNF and impairs adult hippocampal neurogenesis in a corticosterone-induced mouse model of depression.

Applications

Unspecified application

Species

Unspecified reactive species

Kuo Zhang,Fan Wang,Mengying Zhai,Meiyao He,Yuxuan Hu,Lijin Feng,Yuting Li,Jingyu Yang,Chunfu Wu

Physiological reports 11:e15562 PubMed36636750

2023

Restraint stress during neonatal hypoxia-ischemia alters brain injury following normothermia and hypothermia.

Applications

Unspecified application

Species

Unspecified reactive species

Julia K Gundersen,Hemmen Sabir,Thomas R Wood,Damjan Osredkar,Mari Falck,Else M Loeberg,Lars Walloe,David A Menassa,Marianne Thoresen

Histology and histopathology 37:555-573 PubMed35191013

2022

Maternal exposure to the environmental pollutant "BDE-47" impairs the postnatal development of rat cerebellar cortex by modulating neuronal proliferation, synaptogenesis, NGF and BDNF pathways.

Applications

Unspecified application

Species

Unspecified reactive species

Dalia A Mandour,Asmaa M Tolba,Emtethal M El-Bestawy

Journal of clinical medicine 10: PubMed34768320

2021

Is Saffron Able to Prevent the Dysregulation of Retinal Cytokines Induced by Ocular Hypertension in Mice?

Applications

Unspecified application

Species

Unspecified reactive species

José A Fernández-Albarral,Miguel A Martínez-López,Eva M Marco,Rosa de Hoz,Beatriz Martín-Sánchez,Diego San Felipe,Elena Salobrar-García,Inés López-Cuenca,María D Pinazo-Durán,Juan J Salazar,José M Ramírez,Meritxell López-Gallardo,Ana I Ramírez

Genomics, proteomics & bioinformatics 20:657-669 PubMed33647481

2021

High VHL Expression Reverses Warburg Phenotype and Enhances Immunogenicity in Kidney Tumor Cells.

Applications

Unspecified application

Species

Unspecified reactive species

Songbiao Zhu,Wenxi Ding,Yuling Chen,Weixuan Wang,Renhua Xu,Chongdong Liu,Xiaohui Liu,Haiteng Deng

International journal of molecular sciences 22: PubMed33669765

2021

Retinal Molecular Changes Are Associated with Neuroinflammation and Loss of RGCs in an Experimental Model of Glaucoma.

Applications

Unspecified application

Species

Unspecified reactive species

José A Fernández-Albarral,Juan J Salazar,Rosa de Hoz,Eva M Marco,Beatriz Martín-Sánchez,Elena Flores-Salguero,Elena Salobrar-García,Inés López-Cuenca,Vicente Barrios-Sabador,Marcelino Avilés-Trigueros,Francisco J Valiente-Soriano,Juan A Miralles de Imperial-Ollero,Manuel Vidal-Sanz,Alberto Triviño,José M Ramírez,Meritxell López-Gallardo,Ana I Ramírez

Journal of neuroinflammation 17:19 PubMed31931832

2020

BDNF promotes activation of astrocytes and microglia contributing to neuroinflammation and mechanical allodynia in cyclophosphamide-induced cystitis.

Applications

Unspecified application

Species

Unspecified reactive species

Honglu Ding,Jialiang Chen,Minzhi Su,Zhijun Lin,Hailun Zhan,Fei Yang,Wenbiao Li,Juncong Xie,Yong Huang,Xianguo Liu,Bolong Liu,Xiangfu Zhou
View all publications

Product promise

We are committed to supporting your work with high-quality reagents, and we're here for you every step of the way. In the unlikely event that one of our products does not perform as expected, you're protected by our Product Promise.
For full details, please see our Terms & Conditions

Please note: All products are 'FOR RESEARCH USE ONLY. NOT FOR USE IN DIAGNOSTIC OR THERAPEUTIC PROCEDURES'.

For licensing inquiries, please contact partnerships@abcam.com