JavaScript is disabled in your browser. Please enable JavaScript to view this website.
AB302670

Anti-Beclin-1 antibody [EPR19662] - Chicken IgY (Chimeric) - BSA and Azide free

Be the first to review this product! Submit a review

|

(1 Publication)

Chicken Recombinant Monoclonal Beclin 1 antibody. Carrier free. Suitable for WB and reacts with Human, Mouse, Rat samples. Cited in 1 publication.

View Alternative Names

GT197, BECN1, Beclin-1, Coiled-coil myosin-like BCL2-interacting protein, Protein GT197

1 Images
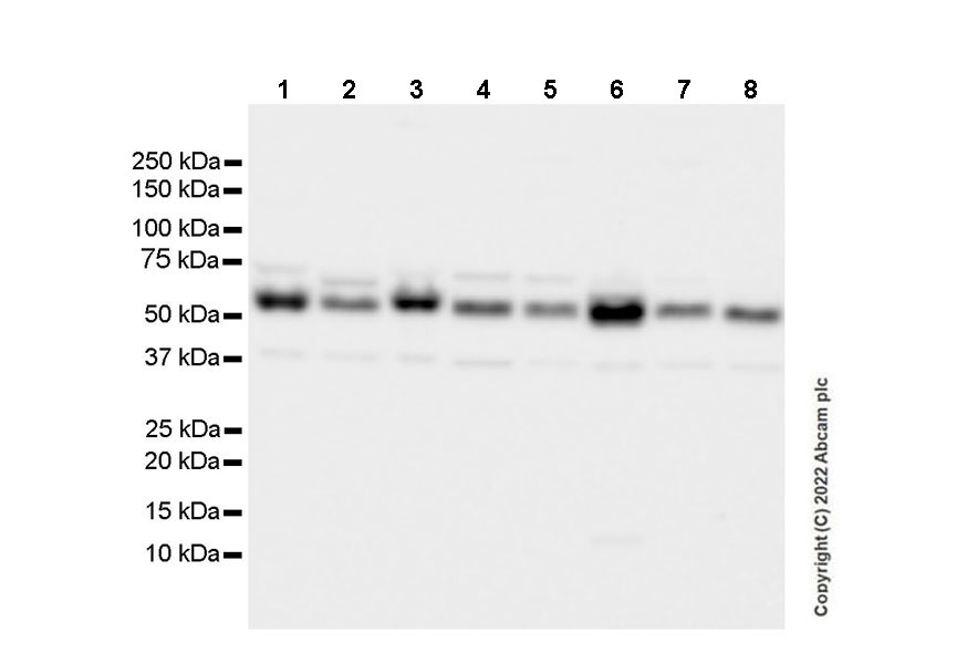
Western blot - Anti-Beclin-1 antibody [EPR19662] - Chicken IgY (Chimeric) - BSA and Azide free (AB302670)
  • WB

Supplier Data

Western blot - Anti-Beclin-1 antibody [EPR19662] - Chicken IgY (Chimeric) - BSA and Azide free (AB302670)

This data was developed using ab302669, the same antibody clone in a different buffer formulation. Blocking / Diluting buffer : 5% NFDM/TBST Exposure time : 3.25 seconds

All lanes:

Western blot - Anti-Beclin-1 antibody [EPR19662] - Chicken IgY (Chimeric) (<a href='/en-us/products/primary-antibodies/beclin-1-antibody-epr19662-chicken-igy-chimeric-ab302669'>ab302669</a>) at 1/1000 dilution

Lane 1:

HeLa (human cervix adenocarcinoma epithelial cell), whole cell lysate at 20 µg

Lane 2:

HepG2 (human hepatocellar carcinoma epithelial cell), whole cell lysate 20 at 20 µg

Lane 3:

HEK-293 (human embryonic kidney epithelial cell), whole cell lysate at 20 µg

Lane 4:

MCF7 (human breast adenocarcinoma epithelial cell), whole cell lysate at 20 µg

Lane 5:

NIH/3T3 (mouse embryonic fibroblast), whole cell lysate at 20 µg

Lane 6:

A20 (mouse reticum sarcoma B lymphocyte), whole cell lysate 20 at 20 µg

Lane 7:

C2C12 (mouse myoblasts myoblast), whole cell lysate at 20 µg

Lane 8:

C6 (rat glial tumor glial cell), whole cell lysate at 20 µg

Secondary

All lanes:

Western blot - Goat Anti-Chicken IgY H&L (HRP) (<a href='/en-us/products/secondary-antibodies/goat-chicken-igy-h-l-hrp-ab6877'>ab6877</a>) at 1/20000 dilution

Observed band size: 52 kDa

false

Exposure time: 3.25s

  • Unconjugated

    Anti-Beclin-1 antibody [EPR19662] - Chicken IgY (Chimeric)

Key facts

Host species

Chicken

Clonality

Monoclonal

Clone number

EPR19662

Isotype

IgY

Carrier free

Yes

Reacts with

Human, Mouse, Rat

Applications

WB

applications

Immunogen

The exact immunogen used to generate this antibody is proprietary information.

Reactivity data

{ "title": "Reactivity Data", "filters": { "stats": ["", "Species", "Dilution Info", "Notes"], "tabs": { "all-applications": {"fullname" : "All Applications", "shortname": "All Applications"}, "WB" : {"fullname" : "Western blot", "shortname":"WB"}, "IP" : {"fullname" : "Immunoprecipitation", "shortname":"IP"} }, "product-promise": { "all": "all", "testedAndGuaranteed": "tested", "guaranteed": "expected", "predicted": "predicted", "notRecommended": "not-recommended" } }, "values": { "Human": { "WB-species-checked": "testedAndGuaranteed", "WB-species-dilution-info": "", "WB-species-notes": "<p></p>", "IP-species-checked": "notRecommended", "IP-species-dilution-info": "", "IP-species-notes": "<p></p>" }, "Mouse": { "WB-species-checked": "testedAndGuaranteed", "WB-species-dilution-info": "", "WB-species-notes": "<p></p>", "IP-species-checked": "notRecommended", "IP-species-dilution-info": "", "IP-species-notes": "<p></p>" }, "Rat": { "WB-species-checked": "testedAndGuaranteed", "WB-species-dilution-info": "", "WB-species-notes": "<p></p>", "IP-species-checked": "notRecommended", "IP-species-dilution-info": "", "IP-species-notes": "<p></p>" } } }

Product details

ab302670 is the carrier-free version of ab302669.

This chicken monoclonal chimeric antibody has been engineered from a RabMAb parent antibody (ab207612). By necessity, some rabbit sequence is retained as part of the variable domain. When multiplexing with other rabbit-derived antibodies, using cross absorbed Fc-reactive secondary antibodies are recommended.

What are the advantages of a recombinant monoclonal antibody?
This product is a recombinant monoclonal antibody, which offers several advantages including:

  • - High batch-to-batch consistency and reproducibility
  • - Improved sensitivity and specificity
  • - Long-term security of supply
  • - Animal-free batch production

For more information, read more on recombinant antibodies.

Conjugation ready
Our carrier-free antibodies are typically supplied in a PBS-only formulation, purified and free of BSA, sodium azide and glycerol. This conjugation-ready format is designed for use with fluorochromes, metal isotopes, oligonucleotides, and enzymes, which makes them ideal for antibody labelling, functional and cell-based assays, flow-based assays (e.g. mass cytometry) and Multiplex Imaging applications.

Use our conjugation kits for antibody conjugates that are ready-to-use in as little as 20 minutes with 1 minute hands-on-time and 100% antibody recovery: available for fluorescent dyes, HRP, biotin and gold.

Compatibility
This product is compatible with the Maxpar® Antibody Labeling Kit from Fluidigm, without the need for antibody preparation. Maxpar® is a trademark of Fluidigm Canada Inc.

Properties and storage information

Form
Liquid
Purification technique
Affinity purification Protein A
Storage buffer
pH: 7.2 - 7.4 Constituents: PBS
Shipped at conditions
Blue Ice
Appropriate short-term storage conditions
+4°C
Appropriate long-term storage conditions
+4°C
Storage information
Do Not Freeze

Supplementary information

This supplementary information is collated from multiple sources and compiled automatically.

Beclin 1 sometimes referred to as beclin-1 or becn1 is a protein that plays a mechanical role in autophagy. This process involves the recycling of cellular components and is essential for maintaining cellular health. Beclin 1 is approximately 60 kDa in molecular weight and is expressed in a variety of tissues throughout the body. It acts at the molecular level engaging in the initial stages of autophagosome formation which are critical for cell survival during nutrient deprivation.
Biological function summary

The protein functions as an important component of the Beclin 1 autophagy complex which orchestrates the autophagic process. This complex is essential for promoting autophagosome nucleation by interacting with multiple partners that regulate the autophagy pathway. In addition to its role in autophagy Beclin 1 protein stabilizes interactions with other autophagic proteins ensuring the correct assembly and activity of this cellular mechanism. The regulation of Beclin 1's activity and expression influences the efficiency and specificity of autophagy in cells.

Pathways

Beclin 1 integrates into critical cellular pathways like the PI3K/Akt pathway and the mTOR pathway which are pivotal in cell growth and survival. Within these pathways beclin cooperates closely with proteins such as ATG14 and VPS34. These interactions facilitate the recruitment and activation of additional factors that promote the elongation of phagophores which eventually become complete autophagosomes. The coordination of these pathways ensures the proper balance between cell survival and death adapting to cellular conditions.

Beclin 1 shows significant relevance in cancer and neurodegenerative diseases. Abnormal Beclin 1 expression and function are linked to a range of cancers as its dysregulation affects apoptosis and autophagic turnover. Furthermore in neurodegenerative disorders like Alzheimer's disease altered Beclin 1 activity can disrupt normal protein degradation exacerbating protein aggregation a hallmark of these conditions. Interactions with proteins like Bcl-2 are essential in the context of these diseases as Bcl-2 modulates the autophagic and apoptotic balance directly impacting disease progression.

Product protocols

For this product, it's our understanding that no specific protocols are required. You can visit:

Target data

Plays a central role in autophagy (PubMed : 18570871, PubMed : 21358617, PubMed : 23184933, PubMed : 23974797, PubMed : 25484083, PubMed : 28445460, PubMed : 37776275). Acts as a core subunit of the PI3K complex that mediates formation of phosphatidylinositol 3-phosphate; different complex forms are believed to play a role in multiple membrane trafficking pathways : PI3KC3-C1 is involved in initiation of autophagosomes and PI3KC3-C2 in maturation of autophagosomes and endocytosis. Involved in regulation of degradative endocytic trafficking and required for the abscission step in cytokinesis, probably in the context of PI3KC3-C2 (PubMed : 20208530, PubMed : 20643123, PubMed : 23974797, PubMed : 26783301). Essential for the formation of PI3KC3-C2 but not PI3KC3-C1 PI3K complex forms. Involved in endocytosis (PubMed : 25275521). May play a role in antiviral host defense.. Beclin-1-C 35 kDa localized to mitochondria can promote apoptosis; it induces the mitochondrial translocation of BAX and the release of proapoptotic factors.. (Microbial infection) Protects against infection by a neurovirulent strain of Sindbis virus.
See full target information BECN1

Publications (1)

Recent publications for all applications. Explore the full list and refine your search

Frontiers in microbiology 16:1631082 PubMed40969437

2025

Dasatinib and Quercetin alleviate type 2 diabetic osteoporosis by regulating serum metabolite and gut microbiome.

Applications

Unspecified application

Species

Unspecified reactive species

Junzheng Yang,Hua Zhang,Zhuoxu Gu,Guanghui Zhou,Guihong Liang,Lingfeng Zeng,Jinlong Zhao,Weiyi Yang,Jun Liu,Jianke Pan
View all publications

Product promise

We are committed to supporting your work with high-quality reagents, and we're here for you every step of the way. In the unlikely event that one of our products does not perform as expected, you're protected by our Product Promise.
For full details, please see our Terms & Conditions

Please note: All products are 'FOR RESEARCH USE ONLY. NOT FOR USE IN DIAGNOSTIC OR THERAPEUTIC PROCEDURES'.

For licensing inquiries, please contact partnerships@abcam.com