JavaScript is disabled in your browser. Please enable JavaScript to view this website.
AB210498

Anti-Beclin 1 antibody [EPR20473]

Be the first to review this product! Submit a review

|

(191 Publications)

Rabbit Recombinant Monoclonal Beclin 1 antibody. Suitable for WB, IP, IHC-P and reacts with Mouse, Rat, Human samples. Cited in 191 publications.

View Alternative Names

GT197, BECN1, Beclin-1, Coiled-coil myosin-like BCL2-interacting protein, Protein GT197

11 Images
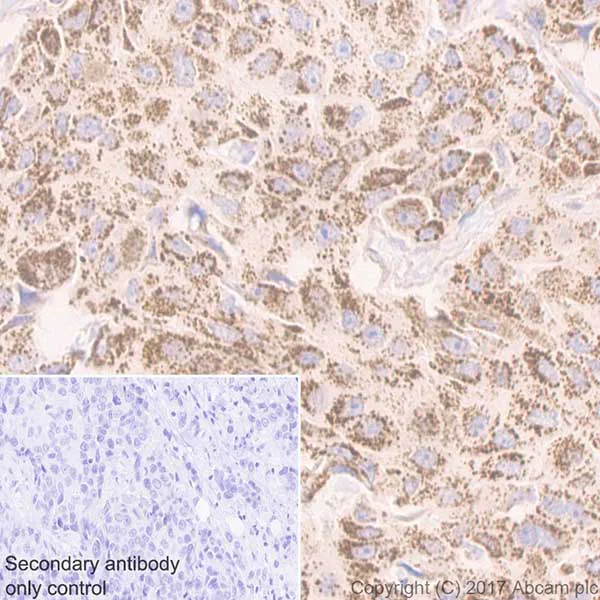
Immunohistochemistry (Formalin/PFA-fixed paraffin-embedded sections) - Anti-Beclin 1 antibody [EPR20473] (AB210498)
  • IHC-P

Supplier Data

Immunohistochemistry (Formalin/PFA-fixed paraffin-embedded sections) - Anti-Beclin 1 antibody [EPR20473] (AB210498)

Immunohistochemical analysis of paraffin-embedded human breast cancer tissue labeling Beclin 1 with ab210498 at 1/100 dilution, followed by Goat Anti-Rabbit IgG H&L (HRP) Ready to use.

Granularly cytoplasmic staining on tumor cells of human breast cancer is observed.

Counter stained with Hematoxylin.

Secondary antibody only control : Used PBS instead of primary antibody, secondary antibody is Goat Anti-Rabbit IgG H&L (HRP) Ready to use.

We don't recommend this antibody for mouse and rat in IHC. In our hands most mouse and rat tissues showed nuclear staining.

Perform heat mediated antigen retrieval with Tris/EDTA buffer pH 9.0 before commencing with IHC staining protocol.

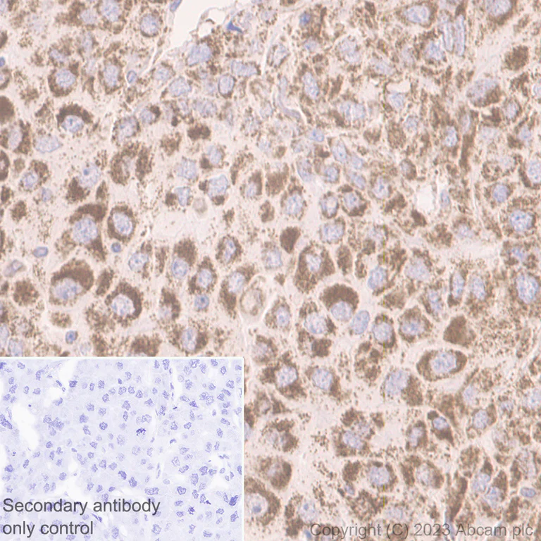
Immunohistochemistry (Formalin/PFA-fixed paraffin-embedded sections) - Anti-Beclin 1 antibody [EPR20473] (AB210498)
  • IHC-P

Supplier Data

Immunohistochemistry (Formalin/PFA-fixed paraffin-embedded sections) - Anti-Beclin 1 antibody [EPR20473] (AB210498)

Immunohistochemical analysis of paraffin-embedded human kidney tissue labeling Beclin 1 with ab210498 at 1/100 dilution, followed by Goat Anti-Rabbit IgG H&L (HRP) Ready to use.

Granularly cytoplasmic staining on human kidney is observed.

Counter stained with Hematoxylin.

Secondary antibody only control : Used PBS instead of primary antibody, secondary antibody is Goat Anti-Rabbit IgG H&L (HRP) Ready to use.

We don't recommend this antibody for mouse and rat in IHC. In our hands most mouse and rat tissues showed nuclear staining.

Perform heat mediated antigen retrieval with Tris/EDTA buffer pH 9.0 before commencing with IHC staining protocol.

Immunohistochemistry (Formalin/PFA-fixed paraffin-embedded sections) - Anti-Beclin 1 antibody [EPR20473] (AB210498)
  • IHC-P

Lab

Immunohistochemistry (Formalin/PFA-fixed paraffin-embedded sections) - Anti-Beclin 1 antibody [EPR20473] (AB210498)

Immunohistochemistry analysis of paraffin embedded sections of human hepatocellular carcinoma tissue staining Beclin 1 with ab210498 at 1/100 dilution and ready to use secondary Goat Anti-Rabbit IgG H&L (HRP polymer) (ab214880). Counterstained with hematoxylin. Heat mediated antigen retrieval was performed using ab93684 (Tris/EDTA buffer, pH 9.0). Positive staining on human hepatocellular carcinoma. The section was incubated with ab210498 at 4°C overnight.

Immunoprecipitation - Anti-Beclin 1 antibody [EPR20473] (AB210498)
  • IP

Collaborator

Immunoprecipitation - Anti-Beclin 1 antibody [EPR20473] (AB210498)

Immunoprecipitation of BECN1 in HeLa cells. Lysates were prepared and immunoprecipitation was performed using 2 μg of ab210498 pre-coupled to Protein A beads. Samples were then washed and processed for western blot.

This data was provided by YCharOS Inc., an open science company with the mission of characterizing commercially available antibody reagents for all human proteins. Abcam and YCharOS are working together to help address the reproducibility crisis by enabling the life science community to better evaluate commercially available antibodies.

false

Immunoprecipitation - Anti-Beclin 1 antibody [EPR20473] (AB210498)
  • IP

Supplier Data

Immunoprecipitation - Anti-Beclin 1 antibody [EPR20473] (AB210498)

Beclin 1 was immunoprecipitated from 0.35 mg of HepG2 (Human liver hepatocellular carcinoma cell line) whole cell lysate with ab210498 at 1/30 dilution.

Western blot was performed from the immunoprecipitate using ab210498 at 1/1000 dilution.

VeriBlot for IP Detection Reagent (HRP) (ab131366), was used for detection at 1/10000 dilution.

Lane 1 : HepG2 whole cell lysate, 10 μg (Input).

Lane 2 : ab210498 IP in HepG2 whole cell lysate.

Lane 3 : Rabbit monoclonal IgG (ab172730) instead of ab210498 in HepG2 whole cell lysate.

Blocking and dilution buffer and concentration : 5% NFDM/TBST.

Exposure time : 30 seconds.

All lanes:

Immunoprecipitation - Anti-Beclin 1 antibody [EPR20473] (ab210498)

Predicted band size: 52 kDa

Observed band size: 52 kDa

false

Western blot - Anti-Beclin 1 antibody [EPR20473] (AB210498)
  • WB

Supplier Data

Western blot - Anti-Beclin 1 antibody [EPR20473] (AB210498)

Blocking/Dilution buffer : 5% NFDM/TBST.

All lanes:

Western blot - Anti-Beclin 1 antibody [EPR20473] (ab210498) at 1/1000 dilution

Lane 1:

Human fetal brain lysate at 10 µg

Lane 2:

Human colon lysate at 10 µg

Secondary

All lanes:

Western blot - VeriBlot for IP Detection Reagent (HRP) (<a href='/en-us/products/reagents/veriblot-for-ip-detection-reagent-hrp-ab131366'>ab131366</a>) at 1/4000 dilution

Predicted band size: 52 kDa

Observed band size: 52 kDa

false

Exposure time: 3min

Western blot - Anti-Beclin 1 antibody [EPR20473] (AB210498)
  • WB

Lab

Western blot - Anti-Beclin 1 antibody [EPR20473] (AB210498)

False colour image of Western blot : Anti-Beclin 1 antibody [EPR20473] staining at 1/1000 dilution, shown in green; Mouse anti-GAPDH antibody [6C5] (ab8245) loading control staining at 1/20000 dilution, shown in red. In Western blot, ab210498 was shown to bind specifically to Beclin 1. A band was observed at 52 kDa in wild-type Jurkat cell lysates with no signal observed at this size in BECN1 CRISPR-Cas9 edited cell line ab283778 (BECN1 CRISPR-Cas9 edited cell lysate ab283792). The band observed in the CRISPR-Cas9 edited lysate lane above 52 kDa is likely to represent Beclin 1 with an insertion. This has not been investigated further and the functional properties of the gene product have not been determined. To generate this image, wild-type and BECN1 CRISPR-Cas9 edited Jurkat cell lysates were analysed. First, samples were run on an SDS-PAGE gel then transferred onto a nitrocellulose membrane. Membranes were blocked in 3 % milk in TBS-0.1 % Tween® 20 (TBS-T) before incubation with primary antibodies overnight at 4 °C. Blots were washed four times in TBS-T, incubated with secondary antibodies for 1 h at room temperature, washed again four times then imaged. Secondary antibodies used were Goat anti-Rabbit IgG H&L 800CW and Goat anti-Mouse IgG H&L 680RD at 1/20000 dilution.

All lanes:

Western blot - Anti-Beclin 1 antibody [EPR20473] (ab210498) at 1/1000 dilution

Lane 1:

Wild-type Jurkat cell lysate at 20 µg

Lane 2:

BECN1 CRISPR-Cas9 edited Jurkat cell lysate at 20 µg

Lane 3:

HeLa cell lysate at 20 µg

Lane 4:

Raji cell lysate at 20 µg

Secondary

Lanes 1 - 4:

Goat anti-Rabbit IgG H&L 800CW at 1/20000 dilution

Lanes 1 - 4:

Goat anti-Mouse IgG H&L 680RD at 1/20000 dilution

Observed band size: 52 kDa

false

Western blot - Anti-Beclin 1 antibody [EPR20473] (AB210498)
  • WB

Supplier Data

Western blot - Anti-Beclin 1 antibody [EPR20473] (AB210498)

Blocking/Dilution buffer : 5% NFDM/TBST.

All lanes:

Western blot - Anti-Beclin 1 antibody [EPR20473] (ab210498) at 1/1000 dilution

Lane 1:

HeLa (Human epithelial cell line from cervix adenocarcinoma) whole cell lysate at 20 µg

Lane 2:

HepG2 (Human liver hepatocellular carcinoma cell line) whole cell lysate at 20 µg

Lane 3:

HEK-293 (Human epithelial cell line from embryonic kidney) whole cell lysate at 20 µg

Lane 4:

T-47D (Human ductal breast epithelial tumor cell line) whole cell lysate at 20 µg

Lane 5:

Raji (Human Burkitt's lymphoma cell line) whole cell lysate at 20 µg

Secondary

All lanes:

Western blot - Goat Anti-Rabbit IgG H&L (HRP) (<a href='/en-us/products/secondary-antibodies/goat-rabbit-igg-h-l-hrp-ab97051'>ab97051</a>) at 1/100000 dilution

Predicted band size: 52 kDa

Observed band size: 52 kDa

false

Exposure time: 15s

Western blot - Anti-Beclin 1 antibody [EPR20473] (AB210498)
  • WB

Supplier Data

Western blot - Anti-Beclin 1 antibody [EPR20473] (AB210498)

Blocking/Dilution buffer : 5% NFDM/TBST.

All lanes:

Western blot - Anti-Beclin 1 antibody [EPR20473] (ab210498) at 1/1000 dilution

Lane 1:

RAW 264.7 (Mouse macrophage cell line transformed with Abelson murine leukemia virus) whole cell lysate at 10 µg

Lane 2:

NIH/3T3 (Mouse embryonic fibroblast cell line) whole cell lysate at 10 µg

Lane 3:

A20 (Mouse reticulum sarcoma cell line) whole cell lysate at 10 µg

Lane 4:

C2C12 (Mouse myoblast cell line) whole cell lysate

Secondary

All lanes:

Western blot - Goat Anti-Rabbit IgG H&L (HRP) (<a href='/en-us/products/secondary-antibodies/goat-rabbit-igg-h-l-hrp-ab97051'>ab97051</a>) at 1/100000 dilution

Predicted band size: 52 kDa

Observed band size: 52 kDa

false

Exposure time: 1min

Western blot - Anti-Beclin 1 antibody [EPR20473] (AB210498)
  • WB

Supplier Data

Western blot - Anti-Beclin 1 antibody [EPR20473] (AB210498)

Blocking/Dilution buffer : 5% NFDM/TBST.

All lanes:

Western blot - Anti-Beclin 1 antibody [EPR20473] (ab210498) at 1/1000 dilution

Lane 1:

Mouse brain lysate at 10 µg

Lane 2:

Mouse spleen lysate at 10 µg

Lane 3:

Rat brain lysate at 10 µg

Lane 4:

Rat kidney lysate at 10 µg

Lane 5:

Rat spleen lysate at 10 µg

Secondary

All lanes:

Western blot - Goat Anti-Rabbit IgG H&L (HRP) (<a href='/en-us/products/secondary-antibodies/goat-rabbit-igg-h-l-hrp-ab97051'>ab97051</a>) at 1/100000 dilution

Predicted band size: 52 kDa

Observed band size: 52 kDa

false

Exposure time: 3min

Western blot - Anti-Beclin 1 antibody [EPR20473] (AB210498)
  • WB

CiteAb

Western blot - Anti-Beclin 1 antibody [EPR20473] (AB210498)

Beclin 1 western blot using anti-Beclin 1 antibody [EPR20473] ab210498. Publication image and figure legend from Chow, J. P. H., Cai, Y., et al., 2020, PLoS One, PubMed 32353864.

ab210498 was used in this publication in western blot. This may not be the same as the application(s) guaranteed by Abcam. For a full list of applications guaranteed by Abcam for ab210498 please see the product overview.

Expression of ASS1 in various cell lines and the effect of NEI-01 on their cell viability.(A) Expression of ASS1, ASL and OTC in SMMC7721, MIA PaCa-2 and PANC-1. Unperturbed asynchronously growing cells were harvested by trypsinization. After cell lysis, total cell lysates were subject to immunoblot with anti-ASS1, anti-ASL, anti-OTC or anti-ACTIN antibodies. (B) Inhibition of cell growth of MIA PaCa-2 and PANC-1 cells but not SMMC7721 cells by NEI-01 treatment. SMMC7721 cells, MIA PaCa-2 cells or PANC-1 were seeded in 96 well-plate with ~3000 cells/well density 24 hr prior to NEI-01 treatments. After 72 hr, cells were subject to MTT assay. The relative cell viability in % vs the NEI-01 concentration was shown as mean ± SD of triplicate wells. (C) Activation of autophagic pathway upon NEI-01 treatment. MIA PaCa-2 cells were treated with indicated amount of NEI-01 for 3 or 7 days. The cells were then harvested and subject to immunoblot using designated antibodies.

false

  • Carrier free

    Anti-Beclin 1 antibody [EPR20473] - BSA and Azide free

Key facts

Host species

Rabbit

Clonality

Monoclonal

Clone number

EPR20473

Isotype

IgG

Carrier free

No

Reacts with

Mouse, Rat, Human

Applications

WB, IHC-P, IP

applications

Immunogen

The exact immunogen used to generate this antibody is proprietary information.

Specificity

We don’t recommend this antibody for mouse and rat in IHC. In our hands most mouse and rat tissues showed nuclear staining.

Reactivity data

{ "title": "Reactivity Data", "filters": { "stats": ["", "Species", "Dilution Info", "Notes"], "tabs": { "all-applications": {"fullname" : "All Applications", "shortname": "All Applications"}, "FlowCyt" : {"fullname" : "Flow Cytometry", "shortname":"Flow Cyt"}, "WB" : {"fullname" : "Western blot", "shortname":"WB"}, "IP" : {"fullname" : "Immunoprecipitation", "shortname":"IP"}, "IHCP" : {"fullname" : "Immunohistochemistry (Formalin/PFA-fixed paraffin-embedded sections)", "shortname":"IHC-P"} }, "product-promise": { "all": "all", "testedAndGuaranteed": "tested", "guaranteed": "expected", "predicted": "predicted", "notRecommended": "not-recommended" } }, "values": { "Human": { "FlowCyt-species-checked": "notRecommended", "FlowCyt-species-dilution-info": "1/50", "FlowCyt-species-notes": "<p></p>", "WB-species-checked": "testedAndGuaranteed", "WB-species-dilution-info": "1/1000", "WB-species-notes": "<p></p>", "IP-species-checked": "testedAndGuaranteed", "IP-species-dilution-info": "1/30", "IP-species-notes": "<p></p>", "IHCP-species-checked": "testedAndGuaranteed", "IHCP-species-dilution-info": "1/100", "IHCP-species-notes": "<p></p>" }, "Mouse": { "FlowCyt-species-checked": "notRecommended", "FlowCyt-species-dilution-info": "1/50", "FlowCyt-species-notes": "<p></p>", "WB-species-checked": "testedAndGuaranteed", "WB-species-dilution-info": "1/1000", "WB-species-notes": "<p></p>", "IP-species-checked": "guaranteed", "IP-species-dilution-info": "", "IP-species-notes": "", "IHCP-species-checked": "guaranteed", "IHCP-species-dilution-info": "", "IHCP-species-notes": "" }, "Rat": { "FlowCyt-species-checked": "notRecommended", "FlowCyt-species-dilution-info": "1/50", "FlowCyt-species-notes": "<p></p>", "WB-species-checked": "testedAndGuaranteed", "WB-species-dilution-info": "1/1000", "WB-species-notes": "<p></p>", "IP-species-checked": "guaranteed", "IP-species-dilution-info": "", "IP-species-notes": "", "IHCP-species-checked": "guaranteed", "IHCP-species-dilution-info": "", "IHCP-species-notes": "" } } }

Product details

Patented technology
Our RabMAb® technology is a patented hybridoma-based technology for making rabbit monoclonal antibodies. For details on our patents, please refer to RabMAb® patents.

What are the advantages of a recombinant monoclonal antibody?
This product is a recombinant monoclonal antibody, which offers several advantages including:

  • - High batch-to-batch consistency and reproducibility
  • - Improved sensitivity and specificity
  • - Long-term security of supply
  • - Animal-free batch production

For more information, read more on recombinant antibodies.

Properties and storage information

Form
Liquid
Purification technique
Affinity purification Protein A
Storage buffer
pH: 7.2 - 7.4 Preservative: 0.01% Sodium azide Constituents: PBS, 40% Glycerol (glycerin, glycerine), 0.05% BSA
Shipped at conditions
Blue Ice
Appropriate short-term storage duration
1-2 weeks
Appropriate short-term storage conditions
+4°C
Appropriate long-term storage conditions
-20°C
Aliquoting information
Upon delivery aliquot
Storage information
Avoid freeze / thaw cycle

Supplementary information

This supplementary information is collated from multiple sources and compiled automatically.

Beclin 1 sometimes referred to as beclin-1 or becn1 is a protein that plays a mechanical role in autophagy. This process involves the recycling of cellular components and is essential for maintaining cellular health. Beclin 1 is approximately 60 kDa in molecular weight and is expressed in a variety of tissues throughout the body. It acts at the molecular level engaging in the initial stages of autophagosome formation which are critical for cell survival during nutrient deprivation.
Biological function summary

The protein functions as an important component of the Beclin 1 autophagy complex which orchestrates the autophagic process. This complex is essential for promoting autophagosome nucleation by interacting with multiple partners that regulate the autophagy pathway. In addition to its role in autophagy Beclin 1 protein stabilizes interactions with other autophagic proteins ensuring the correct assembly and activity of this cellular mechanism. The regulation of Beclin 1's activity and expression influences the efficiency and specificity of autophagy in cells.

Pathways

Beclin 1 integrates into critical cellular pathways like the PI3K/Akt pathway and the mTOR pathway which are pivotal in cell growth and survival. Within these pathways beclin cooperates closely with proteins such as ATG14 and VPS34. These interactions facilitate the recruitment and activation of additional factors that promote the elongation of phagophores which eventually become complete autophagosomes. The coordination of these pathways ensures the proper balance between cell survival and death adapting to cellular conditions.

Beclin 1 shows significant relevance in cancer and neurodegenerative diseases. Abnormal Beclin 1 expression and function are linked to a range of cancers as its dysregulation affects apoptosis and autophagic turnover. Furthermore in neurodegenerative disorders like Alzheimer's disease altered Beclin 1 activity can disrupt normal protein degradation exacerbating protein aggregation a hallmark of these conditions. Interactions with proteins like Bcl-2 are essential in the context of these diseases as Bcl-2 modulates the autophagic and apoptotic balance directly impacting disease progression.

Product protocols

For this product, it's our understanding that no specific protocols are required. You can visit:

Target data

Plays a central role in autophagy (PubMed : 18570871, PubMed : 21358617, PubMed : 23184933, PubMed : 23974797, PubMed : 25484083, PubMed : 28445460, PubMed : 37776275). Acts as a core subunit of the PI3K complex that mediates formation of phosphatidylinositol 3-phosphate; different complex forms are believed to play a role in multiple membrane trafficking pathways : PI3KC3-C1 is involved in initiation of autophagosomes and PI3KC3-C2 in maturation of autophagosomes and endocytosis. Involved in regulation of degradative endocytic trafficking and required for the abscission step in cytokinesis, probably in the context of PI3KC3-C2 (PubMed : 20208530, PubMed : 20643123, PubMed : 23974797, PubMed : 26783301). Essential for the formation of PI3KC3-C2 but not PI3KC3-C1 PI3K complex forms. Involved in endocytosis (PubMed : 25275521). May play a role in antiviral host defense.. Beclin-1-C 35 kDa localized to mitochondria can promote apoptosis; it induces the mitochondrial translocation of BAX and the release of proapoptotic factors.. (Microbial infection) Protects against infection by a neurovirulent strain of Sindbis virus.
See full target information BECN1

Publications (191)

Recent publications for all applications. Explore the full list and refine your search

Materials today. Bio 34:102198 PubMed40893373

2025

Neodymium-doped mesoporous silica nanoparticles promote bone regeneration via autophagy-mediated macrophage immunomodulation.

Applications

Unspecified application

Species

Unspecified reactive species

Qing Zhang,Duraipandy Natarajan,Weijian Gao,Haokun He,Shuguang Cheng,Yin Xiao,Marco N Helder,Sujuan Zeng,Richard T Jaspers,Janak Lal Pathak

BMC nephrology 26:422 PubMed40731269

2025

Dioscin regulates oxidative stress and autophagy in uric acid-induced HK-2 cells through the P62-KEAP1-NRF2 signaling pathway.

Applications

Unspecified application

Species

Unspecified reactive species

Jiashu Feng,Weiliang Zhang,Ruiqi Liu,Ting Xiang,Xinlin Wu

Blood neoplasia 1:100046 PubMed40552133

2025

Deciphering MARCH5's impact on multiple myeloma: insights into autophagy regulation and AKT-FOXO3 signaling.

Applications

Unspecified application

Species

Unspecified reactive species

Hamed Bashiri,Ahad Khalilnezhad,Haruhito Totani,Joe Yeong,Tae-Hoon Chung,Felicia Wee,Yuezhen Xue,Zhen Wei Neo,Li Yen Chong,Wee Joo Chng,Atsushi Watanabe,Siok-Bian Ng,The Phyu,Toshio Suda

Frontiers in pharmacology 16:1548660 PubMed40365315

2025

DC. Alleviates adenine-induced chronic kidney disease by regulating ferroptosis in C57BL/6 mice.

Applications

Unspecified application

Species

Unspecified reactive species

Jong Min Kim,Yiseul Kim,Hyun-Jin Na,Haeng Jeon Hur,Sang-Hee Lee,Mi Jeong Sung

Mediators of inflammation 2025:2776808 PubMed40322065

2025

Mechanistic Insights Into GDFMD-Mediated Inhibition of Liver Fibrosis via miRNA-29b-3p Upregulation in Wilson's Disease.

Applications

Unspecified application

Species

Unspecified reactive species

Peng Huang,Yuzhe Huang,Ting Dong,Han Wang,Meixia Wang,Xiang Li,Wei Dong,Yulong Yang,Wei He,Wenming Yang

European journal of medical research 29:532 PubMed39497200

2024

Electroacupuncture alleviated post-stroke cognitive impairment via the mTOR/NLRP3-mediated autophagy-inflammatory pathway.

Applications

Unspecified application

Species

Unspecified reactive species

Jiawang Lang,Jianchang Luo,Jiachen Lang,Luodan Wang,Wenbin Xu,Jie Jia,Zhipeng Zhao,Boxu Lang

Journal of traditional Chinese medicine = Chung i tsa chih ying wen pan 44:944-953 PubMed39380225

2024

Neuroprotective effect of Naochuxue prescription on intracerebral hemorrhage: inhibition of autophagy downregulating high mobility group box-1.

Applications

Unspecified application

Species

Unspecified reactive species

Jin Hong,Wang Xinna,Wang Ruonan,L I Jinjian,Y U Junchao,Zhao Dexi,Zhai Lu

World journal of diabetes 15:1916-1931 PubMed39280180

2024

Corilagin alleviates podocyte injury in diabetic nephropathy by regulating autophagy the SIRT1-AMPK pathway.

Applications

Unspecified application

Species

Unspecified reactive species

Yu Lou,Yu-Ting Luan,Wen-Qing Rong,Yun Gai

BMC cardiovascular disorders 24:415 PubMed39123142

2024

Isoliquiritigenin attenuates myocardial ischemia reperfusion through autophagy activation mediated by AMPK/mTOR/ULK1 signaling.

Applications

Unspecified application

Species

Unspecified reactive species

Liying Shen,Yingwei Zhu,Zhenfeng Chen,Feng Shen,Weiwei Yu,Li Zhang

Scientific reports 14:15353 PubMed38961101

2024

NLRC5 promotes tumorigenesis by regulating the PI3K/AKT signaling pathway in cervical cancer.

Applications

Unspecified application

Species

Unspecified reactive species

Lin Ling,Jiahua Chen,Lei Zhan,Juanjuan Fu,Runhua He,Wenyan Wang,Bing Wei,Xiaofeng Ma,Yunxia Cao
View all publications

Product promise

We are committed to supporting your work with high-quality reagents, and we're here for you every step of the way. In the unlikely event that one of our products does not perform as expected, you're protected by our Product Promise.
For full details, please see our Terms & Conditions

Please note: All products are 'FOR RESEARCH USE ONLY. NOT FOR USE IN DIAGNOSTIC OR THERAPEUTIC PROCEDURES'.

For licensing inquiries, please contact partnerships@abcam.com