JavaScript is disabled in your browser. Please enable JavaScript to view this website.
AB232461

Anti-Beclin 1 antibody [EPR20473] - BSA and Azide free

Be the first to review this product! Submit a review

|

(2 Publications)

Rabbit Recombinant Monoclonal Beclin 1 antibody. Carrier free. Suitable for IP, WB, IHC-P and reacts with Human, Mouse, Rat samples. Cited in 2 publications.

View Alternative Names

GT197, BECN1, Beclin-1, Coiled-coil myosin-like BCL2-interacting protein, Protein GT197

6 Images
Immunohistochemistry (Formalin/PFA-fixed paraffin-embedded sections) - Anti-Beclin 1 antibody [EPR20473] - BSA and Azide free (AB232461)
  • IHC-P

Supplier Data

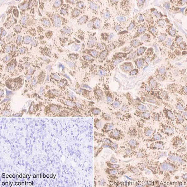
Immunohistochemistry (Formalin/PFA-fixed paraffin-embedded sections) - Anti-Beclin 1 antibody [EPR20473] - BSA and Azide free (AB232461)

Immunohistochemical analysis of paraffin-embedded human breast cancer tissue labeling Beclin 1 with ab210498 at 1/100 dilution, followed by Goat Anti-Rabbit IgG H&L (HRP) Ready to use.

Granularly cytoplasmic staining on tumor cells of human breast cancer is observed.

Counter stained with Hematoxylin.

Secondary antibody only control : Used PBS instead of primary antibody, secondary antibody is Goat Anti-Rabbit IgG H&L (HRP) Ready to use.

We don't recommend this antibody for mouse and rat in IHC. In our hands most mouse and rat tissues showed nuclear staining.

This data was developed using the same antibody clone in a different buffer formulation containing PBS, BSA, glycerol, and sodium azide (ab210498).

Heat mediated antigen retrieval was performed with Tris/EDTA buffer pH 9.0 before commencing with IHC staining protocol.

Immunohistochemistry (Formalin/PFA-fixed paraffin-embedded sections) - Anti-Beclin 1 antibody [EPR20473] - BSA and Azide free (AB232461)
  • IHC-P

Supplier Data

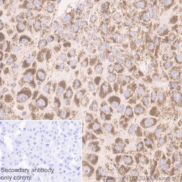
Immunohistochemistry (Formalin/PFA-fixed paraffin-embedded sections) - Anti-Beclin 1 antibody [EPR20473] - BSA and Azide free (AB232461)

Immunohistochemical analysis of paraffin-embedded human kidney tissue labeling Beclin 1 with ab210498 at 1/100 dilution, followed by Goat Anti-Rabbit IgG H&L (HRP) Ready to use.

Granularly cytoplasmic staining on human kidney is observed.

Counter stained with Hematoxylin.

Secondary antibody only control : Used PBS instead of primary antibody, secondary antibody is Goat Anti-Rabbit IgG H&L (HRP) Ready to use.

We don't recommend this antibody for mouse and rat in IHC. In our hands most mouse and rat tissues showed nuclear staining.

This data was developed using the same antibody clone in a different buffer formulation containing PBS, BSA, glycerol, and sodium azide (ab210498).

Heat mediated antigen retrieval was performed with Tris/EDTA buffer pH 9.0 before commencing with IHC staining protocol.

Immunohistochemistry (Formalin/PFA-fixed paraffin-embedded sections) - Anti-Beclin 1 antibody [EPR20473] - BSA and Azide free (AB232461)
  • IHC-P

Lab

Immunohistochemistry (Formalin/PFA-fixed paraffin-embedded sections) - Anti-Beclin 1 antibody [EPR20473] - BSA and Azide free (AB232461)

Immunohistochemistry analysis of paraffin embedded sections of human hepatocellular carcinoma tissue staining Beclin 1 with ab210498 at 1/100 dilution and ready to use secondary Goat Anti-Rabbit IgG H&L (HRP polymer) (ab214880). Counterstained with hematoxylin. Heat mediated antigen retrieval was performed using ab93684 (Tris/EDTA buffer, pH 9.0). Positive staining on human hepatocellular carcinoma. The section was incubated with ab210498 at 4°C overnight. This data was developed using the same antibody clone in a different buffer formulation (ab210498).

Immunoprecipitation - Anti-Beclin 1 antibody [EPR20473] - BSA and Azide free (AB232461)
  • IP

Collaborator

Immunoprecipitation - Anti-Beclin 1 antibody [EPR20473] - BSA and Azide free (AB232461)

This data was developed using ab210498, the same antibody clone in a different buffer formulation.

Immunoprecipitation of BECN1 in HeLa cells. Lysates were prepared and immunoprecipitation was performed using 2 μg of ab210498 pre-coupled to Protein A beads. Samples were then washed and processed for western blot.

This data was provided by YCharOS Inc., an open science company with the mission of characterizing commercially available antibody reagents for all human proteins. Abcam and YCharOS are working together to help address the reproducibility crisis by enabling the life science community to better evaluate commercially available antibodies.

false

Immunoprecipitation - Anti-Beclin 1 antibody [EPR20473] - BSA and Azide free (AB232461)
  • IP

Supplier Data

Immunoprecipitation - Anti-Beclin 1 antibody [EPR20473] - BSA and Azide free (AB232461)

Beclin 1 was immunoprecipitated from 0.35 mg of HepG2 (Human liver hepatocellular carcinoma cell line) whole cell lysate with ab210498 at 1/30 dilution.

Western blot was performed from the immunoprecipitate using ab210498 at 1/1000 dilution.

VeriBlot for IP Detection Reagent (HRP) (ab131366), was used for detection at 1/10000 dilution.

Lane 1 : HepG2 whole cell lysate, 10 μg (Input).

Lane 2 : ab210498 IP in HepG2 whole cell lysate.

Lane 3 : Rabbit monoclonal IgG (ab172730) instead of ab210498 in HepG2 whole cell lysate.

Blocking and dilution buffer and concentration : 5% NFDM/TBST.

Exposure time : 30 seconds.

This data was developed using the same antibody clone in a different buffer formulation containing PBS, BSA, glycerol, and sodium azide (ab210498).

All lanes:

Immunoprecipitation - Anti-Beclin 1 antibody [EPR20473] (<a href='/en-us/products/primary-antibodies/beclin-1-antibody-epr20473-ab210498'>ab210498</a>)

Predicted band size: 52 kDa

Observed band size: 52 kDa

false

Western blot - Anti-Beclin 1 antibody [EPR20473] - BSA and Azide free (AB232461)
  • WB

Lab

Western blot - Anti-Beclin 1 antibody [EPR20473] - BSA and Azide free (AB232461)

False colour image of Western blot : Anti-Beclin 1 antibody [EPR20473] staining at 1/1000 dilution, shown in green; Mouse anti-GAPDH antibody [6C5] (ab8245) loading control staining at 1/20000 dilution, shown in red. In Western blot, ab210498 was shown to bind specifically to Beclin 1. A band was observed at 52 kDa in wild-type Jurkat cell lysates with no signal observed at this size in BECN1 CRISPR-Cas9 edited cell line ab283778 (BECN1 CRISPR-Cas9 edited cell lysate ab283792). The band observed in the CRISPR-Cas9 edited lysate lane above 52 kDa is likely to represent Beclin 1 with an insertion. This has not been investigated further and the functional properties of the gene product have not been determined. To generate this image, wild-type and BECN1 CRISPR-Cas9 edited Jurkat cell lysates were analysed. First, samples were run on an SDS-PAGE gel then transferred onto a nitrocellulose membrane. Membranes were blocked in 3 % milk in TBS-0.1 % Tween® 20 (TBS-T) before incubation with primary antibodies overnight at 4 °C. Blots were washed four times in TBS-T, incubated with secondary antibodies for 1 h at room temperature, washed again four times then imaged. Secondary antibodies used were Goat anti-Rabbit IgG H&L 800CW and Goat anti-Mouse IgG H&L 680RD at 1/20000 dilution.

All lanes:

Western blot - Anti-Beclin 1 antibody [EPR20473] (<a href='/en-us/products/primary-antibodies/beclin-1-antibody-epr20473-ab210498'>ab210498</a>) at 1/1000 dilution

Lane 1:

Wild-type Jurkat cell lysate at 20 µg

Lane 2:

BECN1 CRISPR-Cas9 edited Jurkat cell lysate at 20 µg

Lane 3:

HeLa cell lysate at 20 µg

Lane 4:

Raji cell lysate at 20 µg

Secondary

Lanes 1 - 4:

Goat anti-Rabbit IgG H&L 800CW at 1/20000 dilution

Lanes 1 - 4:

Goat anti-Mouse IgG H&L 680RD at 1/20000 dilution

Observed band size: 52 kDa

false

Key facts

Host species

Rabbit

Clonality

Monoclonal

Clone number

EPR20473

Isotype

IgG

Carrier free

Yes

Reacts with

Mouse, Rat, Human

Applications

IHC-P, IP, WB

applications

Immunogen

The exact immunogen used to generate this antibody is proprietary information.

Specificity

We don’t recommend this antibody for mouse and rat in IHC. In our hands most mouse and rat tissues showed nuclear staining.

Reactivity data

{ "title": "Reactivity Data", "filters": { "stats": ["", "Species", "Dilution Info", "Notes"], "tabs": { "all-applications": {"fullname" : "All Applications", "shortname": "All Applications"}, "IP" : {"fullname" : "Immunoprecipitation", "shortname":"IP"}, "FlowCyt" : {"fullname" : "Flow Cytometry", "shortname":"Flow Cyt"}, "WB" : {"fullname" : "Western blot", "shortname":"WB"}, "IHCP" : {"fullname" : "Immunohistochemistry (Formalin/PFA-fixed paraffin-embedded sections)", "shortname":"IHC-P"} }, "product-promise": { "all": "all", "testedAndGuaranteed": "tested", "guaranteed": "expected", "predicted": "predicted", "notRecommended": "not-recommended" } }, "values": { "Human": { "IP-species-checked": "testedAndGuaranteed", "IP-species-dilution-info": "", "IP-species-notes": "<p></p>", "FlowCyt-species-checked": "notRecommended", "FlowCyt-species-dilution-info": "", "FlowCyt-species-notes": "<p></p>", "WB-species-checked": "guaranteed", "WB-species-dilution-info": "", "WB-species-notes": "<p></p>", "IHCP-species-checked": "testedAndGuaranteed", "IHCP-species-dilution-info": "", "IHCP-species-notes": "<p></p>" }, "Mouse": { "IP-species-checked": "predicted", "IP-species-dilution-info": "", "IP-species-notes": "", "FlowCyt-species-checked": "notRecommended", "FlowCyt-species-dilution-info": "", "FlowCyt-species-notes": "<p></p>", "WB-species-checked": "guaranteed", "WB-species-dilution-info": "", "WB-species-notes": "<p></p>", "IHCP-species-checked": "predicted", "IHCP-species-dilution-info": "", "IHCP-species-notes": "" }, "Rat": { "IP-species-checked": "predicted", "IP-species-dilution-info": "", "IP-species-notes": "", "FlowCyt-species-checked": "notRecommended", "FlowCyt-species-dilution-info": "", "FlowCyt-species-notes": "<p></p>", "WB-species-checked": "guaranteed", "WB-species-dilution-info": "", "WB-species-notes": "<p></p>", "IHCP-species-checked": "predicted", "IHCP-species-dilution-info": "", "IHCP-species-notes": "" } } }

Product details

ab232461 is the carrier-free version of ab210498.

Patented technology
Our RabMAb® technology is a patented hybridoma-based technology for making rabbit monoclonal antibodies. For details on our patents, please refer to RabMAb® patents.

What are the advantages of a recombinant monoclonal antibody?
This product is a recombinant monoclonal antibody, which offers several advantages including:

  • - High batch-to-batch consistency and reproducibility
  • - Improved sensitivity and specificity
  • - Long-term security of supply
  • - Animal-free batch production

For more information, read more on recombinant antibodies.

Conjugation ready
Our carrier-free antibodies are typically supplied in a PBS-only formulation, purified and free of BSA, sodium azide and glycerol. This conjugation-ready format is designed for use with fluorochromes, metal isotopes, oligonucleotides, and enzymes, which makes them ideal for antibody labelling, functional and cell-based assays, flow-based assays (e.g. mass cytometry) and Multiplex Imaging applications.

Use our conjugation kits for antibody conjugates that are ready-to-use in as little as 20 minutes with 1 minute hands-on-time and 100% antibody recovery: available for fluorescent dyes, HRP, biotin and gold.

Compatibility
This product is compatible with the Maxpar® Antibody Labeling Kit from Fluidigm, without the need for antibody preparation. Maxpar® is a trademark of Fluidigm Canada Inc.

Properties and storage information

Form
Liquid
Purification technique
Affinity purification Protein A
Storage buffer
pH: 7.2 - 7.4 Constituents: PBS
Shipped at conditions
Blue Ice
Appropriate short-term storage conditions
+4°C
Appropriate long-term storage conditions
+4°C
Storage information
Do Not Freeze

Supplementary information

This supplementary information is collated from multiple sources and compiled automatically.

Beclin 1 sometimes referred to as beclin-1 or becn1 is a protein that plays a mechanical role in autophagy. This process involves the recycling of cellular components and is essential for maintaining cellular health. Beclin 1 is approximately 60 kDa in molecular weight and is expressed in a variety of tissues throughout the body. It acts at the molecular level engaging in the initial stages of autophagosome formation which are critical for cell survival during nutrient deprivation.
Biological function summary

The protein functions as an important component of the Beclin 1 autophagy complex which orchestrates the autophagic process. This complex is essential for promoting autophagosome nucleation by interacting with multiple partners that regulate the autophagy pathway. In addition to its role in autophagy Beclin 1 protein stabilizes interactions with other autophagic proteins ensuring the correct assembly and activity of this cellular mechanism. The regulation of Beclin 1's activity and expression influences the efficiency and specificity of autophagy in cells.

Pathways

Beclin 1 integrates into critical cellular pathways like the PI3K/Akt pathway and the mTOR pathway which are pivotal in cell growth and survival. Within these pathways beclin cooperates closely with proteins such as ATG14 and VPS34. These interactions facilitate the recruitment and activation of additional factors that promote the elongation of phagophores which eventually become complete autophagosomes. The coordination of these pathways ensures the proper balance between cell survival and death adapting to cellular conditions.

Beclin 1 shows significant relevance in cancer and neurodegenerative diseases. Abnormal Beclin 1 expression and function are linked to a range of cancers as its dysregulation affects apoptosis and autophagic turnover. Furthermore in neurodegenerative disorders like Alzheimer's disease altered Beclin 1 activity can disrupt normal protein degradation exacerbating protein aggregation a hallmark of these conditions. Interactions with proteins like Bcl-2 are essential in the context of these diseases as Bcl-2 modulates the autophagic and apoptotic balance directly impacting disease progression.

Product protocols

For this product, it's our understanding that no specific protocols are required. You can visit:

Target data

Plays a central role in autophagy (PubMed : 18570871, PubMed : 21358617, PubMed : 23184933, PubMed : 23974797, PubMed : 25484083, PubMed : 28445460, PubMed : 37776275). Acts as a core subunit of the PI3K complex that mediates formation of phosphatidylinositol 3-phosphate; different complex forms are believed to play a role in multiple membrane trafficking pathways : PI3KC3-C1 is involved in initiation of autophagosomes and PI3KC3-C2 in maturation of autophagosomes and endocytosis. Involved in regulation of degradative endocytic trafficking and required for the abscission step in cytokinesis, probably in the context of PI3KC3-C2 (PubMed : 20208530, PubMed : 20643123, PubMed : 23974797, PubMed : 26783301). Essential for the formation of PI3KC3-C2 but not PI3KC3-C1 PI3K complex forms. Involved in endocytosis (PubMed : 25275521). May play a role in antiviral host defense.. Beclin-1-C 35 kDa localized to mitochondria can promote apoptosis; it induces the mitochondrial translocation of BAX and the release of proapoptotic factors.. (Microbial infection) Protects against infection by a neurovirulent strain of Sindbis virus.
See full target information BECN1

Publications (2)

Recent publications for all applications. Explore the full list and refine your search

Development (Cambridge, England) 149: PubMed35245348

2022

Selective requirement for polycomb repressor complex 2 in the generation of specific hypothalamic neuronal subtypes.

Applications

Unspecified application

Species

Unspecified reactive species

Behzad Yaghmaeian Salmani,Brad Balderson,Susanne Bauer,Helen Ekman,Annika Starkenberg,Thomas Perlmann,Michael Piper,Mikael Bodén,Stefan Thor

Experimental and therapeutic medicine 21:430 PubMed33747169

2021

Dynamic study into autophagy and apoptosis during orthodontic tooth movement.

Applications

Unspecified application

Species

Unspecified reactive species

Maoying Wang,Li Zhang,Fuwei Lin,Qian Zheng,Xiaomei Xu,Li Mei
View all publications

Product promise

We are committed to supporting your work with high-quality reagents, and we're here for you every step of the way. In the unlikely event that one of our products does not perform as expected, you're protected by our Product Promise.
For full details, please see our Terms & Conditions

Please note: All products are 'FOR RESEARCH USE ONLY. NOT FOR USE IN DIAGNOSTIC OR THERAPEUTIC PROCEDURES'.

For licensing inquiries, please contact partnerships@abcam.com