JavaScript is disabled in your browser. Please enable JavaScript to view this website.
AB118148

Anti-Beclin 1 antibody [OTI4A10]

Be the first to review this product! Submit a review

|

(5 Publications)

Mouse Monoclonal Beclin 1 antibody. Suitable for WB and reacts with Human samples. Cited in 5 publications. Immunogen corresponding to Recombinant Full Length Protein corresponding to Human BECN1.

View Alternative Names

GT197, BECN1, Beclin-1, Coiled-coil myosin-like BCL2-interacting protein, Protein GT197

3 Images
Western blot - Anti-Beclin 1 antibody [OTI4A10] (AB118148)
  • WB

Lab

Western blot - Anti-Beclin 1 antibody [OTI4A10] (AB118148)

Lanes 1 - 2 : Merged signal (red and green). Green - ab118148 observed at 60 kDa. Red - loading control, ab181602 (Rabbit Anti-GAPDH antibody [EPR16891]) observed at 37kDa.

ab118148 was shown to react with Beclin 1 in wild-type HeLa cells in western blot. Loss of signal was observed when BECN1 knockout sample was used. Wild-type HeLa and BECN1 knockout cell lysates were subjected to SDS-PAGE. Membranes were blocked in non-mammalian (TBS-based) blocking solution before incubation with ab118148 and ab181602 (Rabbit Anti-GAPDH antibody [EPR16891]) overnight at 4°C at a 1 in 1000 dilution and a 1 in 20000 dilution respectively. Blots were incubated with Goat anti-Rabbit IgG H&L (IRDye® 800CW) preabsorbed (ab216773) and Goat anti-Mouse IgG H&L (IRDye® 680RD) preabsorbed (ab216776) secondary antibodies at 1 in 20000 dilution for 1 hour at room temperature before imaging.

All lanes:

Western blot - Anti-Beclin 1 antibody [OTI4A10] (ab118148) at 1/1000 dilution

Lane 1:

Wild-type HeLa (Human epithelial cell line from cervix adenocarcinoma) whole cell lysate at 20 µg

Lane 2:

BECN1 knockout HeLa (Human epithelial cell line from cervix adenocarcinoma) whole cell lysate at 20 µg

Lane 2:

Western blot - Human BECN1 (Beclin 1) knockout HeLa cell line (<a href='/en-us/products/cell-lines/human-becn1-beclin-1-knockout-hela-cell-line-ab262511'>ab262511</a>)

Predicted band size: 52 kDa

Observed band size: 60 kDa

false

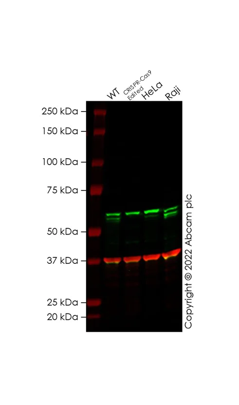
Western blot - Anti-Beclin 1 antibody [OTI4A10] (AB118148)
  • WB

Lab

Western blot - Anti-Beclin 1 antibody [OTI4A10] (AB118148)

False colour image of Western blot : Anti-Beclin 1 antibody [OTI4A10] staining at 1/2000 dilution, shown in green; Rabbit Anti-GAPDH antibody [EPR16891] (ab181602) loading control staining at 1/20000 dilution, shown in red. In Western blot, ab118148 was shown to bind specifically to Beclin 1. A band was observed at 52 kDa in wild-type Jurkat cell lysates with no signal observed at this size in BECN1 CRISPR-Cas9 edited cell line ab283778 (BECN1 CRISPR-Cas9 edited cell lysate ab283792). The band observed in the CRISPR-Cas9 edited lysate lane above 52 kDa is likely to represent Beclin 1 with an insertion. This has not been investigated further and the functional properties of the gene product have not been determined. To generate this image, wild-type and BECN1 CRISPR-Cas9 edited Jurkat cell lysates were analysed. First, samples were run on an SDS-PAGE gel then transferred onto a nitrocellulose membrane. Membranes were blocked in 3 % milk in TBS-0.1 % Tween® 20 (TBS-T) before incubation with primary antibodies overnight at 4 °C. Blots were washed four times in TBS-T, incubated with secondary antibodies for 1 h at room temperature, washed again four times then imaged. Secondary antibodies used were Goat anti-Mouse IgG H&L 800CW and Goat anti-Rabbit IgG H&L 680RD at 1/20000 dilution.

All lanes:

Western blot - Anti-Beclin 1 antibody [OTI4A10] (ab118148) at 1/2000 dilution

Lane 1:

Wild-type Jurkat cell lysate at 20 µg

Lane 2:

BECN1 CRISPR-Cas9 edited Jurkat cell lysate at 20 µg

Lane 3:

HeLa cell lysate at 20 µg

Lane 4:

Raji cell lysate at 20 µg

Secondary

Lanes 1 - 4:

Goat anti-Mouse IgG H&L 800CW at 1/20000 dilution

Lanes 1 - 4:

Goat anti-Rabbit IgG H&L 680RD at 1/20000 dilution

Observed band size: 52 kDa

false

Western blot - Anti-Beclin 1 antibody [OTI4A10] (AB118148)
  • WB

Supplier Data

Western blot - Anti-Beclin 1 antibody [OTI4A10] (AB118148)

All lanes:

Western blot - Anti-Beclin 1 antibody [OTI4A10] (ab118148) at 1/2000 dilution

Lane 1:

HEK-293T (Human epithelial cell line from embryonic kidney transformed with large T antigen) cells transfected with pCMV6-ENTRY control at 5 µg

Lane 2:

HEK-293T cells transfected with pCMV6-ENTRY Beclin 1 at 5 µg

Predicted band size: 52 kDa

false

Key facts

Host species

Mouse

Clonality

Monoclonal

Clone number

OTI4A10

Isotype

IgG2a

Carrier free

No

Reacts with

Human

Applications

WB

applications

Immunogen

Recombinant Full Length Protein corresponding to Human BECN1.

Q14457

Reactivity data

{ "title": "Reactivity Data", "filters": { "stats": ["", "Species", "Dilution Info", "Notes"], "tabs": { "all-applications": {"fullname" : "All Applications", "shortname": "All Applications"}, "FlowCyt" : {"fullname" : "Flow Cytometry", "shortname":"Flow Cyt"}, "WB" : {"fullname" : "Western blot", "shortname":"WB"}, "ICCIF" : {"fullname" : "Immunocytochemistry/ Immunofluorescence", "shortname":"ICC/IF"} }, "product-promise": { "all": "all", "testedAndGuaranteed": "tested", "guaranteed": "expected", "predicted": "predicted", "notRecommended": "not-recommended" } }, "values": { "Human": { "FlowCyt-species-checked": "notRecommended", "FlowCyt-species-dilution-info": "1/100", "FlowCyt-species-notes": "<p></p>", "WB-species-checked": "testedAndGuaranteed", "WB-species-dilution-info": "1/2000", "WB-species-notes": "<p></p>", "ICCIF-species-checked": "notRecommended", "ICCIF-species-dilution-info": "1/100", "ICCIF-species-notes": "<p></p>" } } }

Product details

The clone number has been updated from 4A10 to OTI4A10, both clone numbers name the same clone.

Properties and storage information

Form
Liquid
Purification technique
Affinity purification
Purification notes
Purified from cell culture supernatant by affinity chromatography
Storage buffer
pH: 7.3 Preservative: 0.02% Sodium azide Constituents: PBS, 50% Glycerol (glycerin, glycerine), 1% BSA
Shipped at conditions
Blue Ice
Appropriate short-term storage duration
1-2 weeks
Appropriate short-term storage conditions
+4°C
Appropriate long-term storage conditions
-20°C
Aliquoting information
Upon delivery aliquot
Storage information
Avoid freeze / thaw cycle

Supplementary information

This supplementary information is collated from multiple sources and compiled automatically.

Beclin 1 sometimes referred to as beclin-1 or becn1 is a protein that plays a mechanical role in autophagy. This process involves the recycling of cellular components and is essential for maintaining cellular health. Beclin 1 is approximately 60 kDa in molecular weight and is expressed in a variety of tissues throughout the body. It acts at the molecular level engaging in the initial stages of autophagosome formation which are critical for cell survival during nutrient deprivation.
Biological function summary

The protein functions as an important component of the Beclin 1 autophagy complex which orchestrates the autophagic process. This complex is essential for promoting autophagosome nucleation by interacting with multiple partners that regulate the autophagy pathway. In addition to its role in autophagy Beclin 1 protein stabilizes interactions with other autophagic proteins ensuring the correct assembly and activity of this cellular mechanism. The regulation of Beclin 1's activity and expression influences the efficiency and specificity of autophagy in cells.

Pathways

Beclin 1 integrates into critical cellular pathways like the PI3K/Akt pathway and the mTOR pathway which are pivotal in cell growth and survival. Within these pathways beclin cooperates closely with proteins such as ATG14 and VPS34. These interactions facilitate the recruitment and activation of additional factors that promote the elongation of phagophores which eventually become complete autophagosomes. The coordination of these pathways ensures the proper balance between cell survival and death adapting to cellular conditions.

Beclin 1 shows significant relevance in cancer and neurodegenerative diseases. Abnormal Beclin 1 expression and function are linked to a range of cancers as its dysregulation affects apoptosis and autophagic turnover. Furthermore in neurodegenerative disorders like Alzheimer's disease altered Beclin 1 activity can disrupt normal protein degradation exacerbating protein aggregation a hallmark of these conditions. Interactions with proteins like Bcl-2 are essential in the context of these diseases as Bcl-2 modulates the autophagic and apoptotic balance directly impacting disease progression.

Product protocols

For this product, it's our understanding that no specific protocols are required. You can visit:

Target data

Plays a central role in autophagy (PubMed : 18570871, PubMed : 21358617, PubMed : 23184933, PubMed : 23974797, PubMed : 25484083, PubMed : 28445460, PubMed : 37776275). Acts as a core subunit of the PI3K complex that mediates formation of phosphatidylinositol 3-phosphate; different complex forms are believed to play a role in multiple membrane trafficking pathways : PI3KC3-C1 is involved in initiation of autophagosomes and PI3KC3-C2 in maturation of autophagosomes and endocytosis. Involved in regulation of degradative endocytic trafficking and required for the abscission step in cytokinesis, probably in the context of PI3KC3-C2 (PubMed : 20208530, PubMed : 20643123, PubMed : 23974797, PubMed : 26783301). Essential for the formation of PI3KC3-C2 but not PI3KC3-C1 PI3K complex forms. Involved in endocytosis (PubMed : 25275521). May play a role in antiviral host defense.. Beclin-1-C 35 kDa localized to mitochondria can promote apoptosis; it induces the mitochondrial translocation of BAX and the release of proapoptotic factors.. (Microbial infection) Protects against infection by a neurovirulent strain of Sindbis virus.
See full target information BECN1

Publications (5)

Recent publications for all applications. Explore the full list and refine your search

BMC endocrine disorders 25:173 PubMed40660152

2025

LncRNA MALAT1 knockdown inhibits apoptosis of mouse hippocampus neuron cells with high glucose by Silencing autophagy.

Applications

Unspecified application

Species

Unspecified reactive species

Xiaomei Zhang,Yan Shi,Chao Wang,Kaina Zhang

Cells 12: PubMed37759469

2023

Obatoclax Rescues FUS-ALS Phenotypes in iPSC-Derived Neurons by Inducing Autophagy.

Applications

Unspecified application

Species

Unspecified reactive species

Cristina Marisol Castillo Bautista,Kristin Eismann,Marc Gentzel,Silvia Pelucchi,Jerome Mertens,Hannah E Walters,Maximina H Yun,Jared Sterneckert

Oncology letters 23:41 PubMed34976153

2022

Knockdown of ETV4 promotes autophagy-dependent apoptosis in GBM cells by reducing the transcriptional activation of EMP1.

Applications

Unspecified application

Species

Unspecified reactive species

Junxiang Wang,Chengfa Sun,Jian Li,Hua Jiang,Yun Qiu,Mingjie Gong

Journal of inflammation (London, England) 18:31 PubMed34930287

2021

Ginsenoside Rg3 alleviates septic liver injury by regulating the lncRNA TUG1/miR-200c-3p/SIRT1 axis.

Applications

Unspecified application

Species

Unspecified reactive species

Pan Wu,Xiao Yu,Yue Peng,Qian-Lu Wang,Long-Tian Deng,Wei Xing

Molecules (Basel, Switzerland) 23: PubMed30545161

2018

Fucoidan Exerts Anticancer Effects Against Head and Neck Squamous Cell Carcinoma In Vitro.

Applications

Unspecified application

Species

Unspecified reactive species

Wiktoria Blaszczak,Michal Stefan Lach,Wojciech Barczak,Wiktoria Maria Suchorska
View all publications

Product promise

We are committed to supporting your work with high-quality reagents, and we're here for you every step of the way. In the unlikely event that one of our products does not perform as expected, you're protected by our Product Promise.
For full details, please see our Terms & Conditions

Please note: All products are 'FOR RESEARCH USE ONLY. NOT FOR USE IN DIAGNOSTIC OR THERAPEUTIC PROCEDURES'.

For licensing inquiries, please contact partnerships@abcam.com