JavaScript is disabled in your browser. Please enable JavaScript to view this website.
AB325248

Anti-Beclin-1 (phospho S90) antibody [EPR26903-61R] - BSA and Azide free

Be the first to review this product! Submit a review

|

(0 Publication)

Rabbit Recombinant Monoclonal Beclin 1 phospho S90 antibody. Carrier free. Suitable for WB, Dot and reacts with Transfected cell lysate - Human, Human, Synthetic peptide - Human samples.

View Alternative Names

GT197, Beclin-1, Coiled-coil myosin-like BCL2-interacting protein, Protein GT197

4 Images
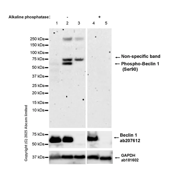
Western blot - Anti-Beclin-1 (phospho S90) antibody [EPR26903-61R] - BSA and Azide free (AB325248)
  • WB

Supplier Data

Western blot - Anti-Beclin-1 (phospho S90) antibody [EPR26903-61R] - BSA and Azide free (AB325248)

This data was developed using ab325242, the same antibody clone in a different buffer formulation.

Blocking and diluting buffer and concentration : 5% NFDM/TBST.

In Western blot, ab325242 was shown to react with Beclin-1 (phospho S90) in wild-type HeLa serum starved overnight then treated with 100nM Calyculin A for 30 minutes lysate(lane2) with loss of signal observed in BECN1 knockout HeLa serum starved overnight then treated with 100nM Calyculin A for 30 minutes lysate(lane3).

The identity of the higher MW bands at approximately 70KDa and 250KDa are unknown.

In Western blot, Anti-GAPDH antibody [EPR16891] - Loading Control (ab181602) staining at 1/200000 dilution.

In Western blot, Anti-Beclin 1 antibody [EPR19662] (ab207612) staining at 1/1000 dilution.

All lanes:

Western blot - Anti-Beclin-1 (phospho S90) antibody [EPR26903-61R] (<a href='/en-us/products/primary-antibodies/beclin-1-phospho-s90-antibody-epr26903-61r-ab325242'>ab325242</a>) at 1/1000 dilution

Lane 1:

Wild-type HeLa (human cervical adenocarcinoma epithelial cell) whole cell lysate (untreated membrane) at 80 µg

Lane 2:

HeLa serum starved overnight then treated with 100nM Calyculin A for 30 minutes, whole cell lysate (untreated membrane) at 80 µg

Lane 3:

BECN1 knock-out HeLa serum starved overnight then treated with 100nM Calyculin A for 30 minutes, whole cell lysate (untreated membrane) at 80 µg

Lane 4:

HeLa serum starved overnight then treated with 100nM Calyculin A for 30 minutes, whole cell lysate (phosphatase treated membrane) at 80 µg

Lane 5:

BECN1 knock-out HeLa serum starved overnight then treated with 100nM Calyculin A for 30 minutes, whole cell lysate (phosphatase treated membrane) at 80 µg

Secondary

All lanes:

Western blot - Goat Anti-Rabbit IgG H&L (HRP) (<a href='/en-us/products/secondary-antibodies/goat-rabbit-igg-h-l-hrp-ab97051'>ab97051</a>) at 1/20000 dilution

Observed band size: 60 kDa,36 kDa,52 kDa

false

Exposure time: 180s

Western blot - Anti-Beclin-1 (phospho S90) antibody [EPR26903-61R] - BSA and Azide free (AB325248)
  • WB

Supplier Data

Western blot - Anti-Beclin-1 (phospho S90) antibody [EPR26903-61R] - BSA and Azide free (AB325248)

This data was developed using ab325242, the same antibody clone in a different buffer formulation.

Blocking and diluting buffer and concentration : 5% NFDM/TBST.

The identity of the higher MW band at approximately 70KDa is unknown

In Western blot, Anti-GAPDH antibody [EPR16891] - Loading Control (ab181602) staining at 1/200000 dilution.

In Western blot, Anti-Beclin 1 antibody [EPR19662] (ab207612) staining at 1/1000 dilution.

All lanes:

Western blot - Anti-Beclin-1 (phospho S90) antibody [EPR26903-61R] (<a href='/en-us/products/primary-antibodies/beclin-1-phospho-s90-antibody-epr26903-61r-ab325242'>ab325242</a>) at 1/1000 dilution

Lane 1:

Untreated HEK-293 (human embryonic kidney epithelial cell) whole cell lysate at 80 µg

Lane 2:

HEK-293 treated with 100nM Calyculin A for 30 minutes whole cell lysate at 80 µg

Lane 3:

Untreated MCF7 (human breast adenocarcinoma epithelial cell) whole cell lysate at 80 µg

Lane 4:

MCF7 treated with 100nM Calyculin A for 30 minutes whole cell lysate at 80 µg

Secondary

All lanes:

Western blot - Goat Anti-Rabbit IgG H&L (HRP) (<a href='/en-us/products/secondary-antibodies/goat-rabbit-igg-h-l-hrp-ab97051'>ab97051</a>) at 1/20000 dilution

Observed band size: 60 kDa,36 kDa,52 kDa

false

Exposure time: 180s

Western blot - Anti-Beclin-1 (phospho S90) antibody [EPR26903-61R] - BSA and Azide free (AB325248)
  • WB

Supplier Data

Western blot - Anti-Beclin-1 (phospho S90) antibody [EPR26903-61R] - BSA and Azide free (AB325248)

This data was developed using ab325242, the same antibody clone in a different buffer formulation.

Blocking and diluting buffer and concentration : 5% NFDM/TBST.

CaMKII has been shown to directly phosphorylate Beclin 1 at Ser90 (PMID : 29079782)

In Western blot, Anti-6X His tag® antibody [EPR20547] - ChIP Grade (ab213204) staining at 1/5000 dilution.

In Western blot, Anti-Beclin 1 antibody [EPR19662] (ab207612) staining at 1/1000 dilution.

In Western blot, Anti-GAPDH antibody [EPR16891] - Loading Control (ab181602) staining at 1/200000 dilution.

All lanes:

Western blot - Anti-Beclin-1 (phospho S90) antibody [EPR26903-61R] (<a href='/en-us/products/primary-antibodies/beclin-1-phospho-s90-antibody-epr26903-61r-ab325242'>ab325242</a>) at 1/1000 dilution

Lane 1:

293T (human embryonic kidney epithelial cell) transfected with an empty vector containing a myc-His-tag® whole cell lysate at 20 µg

Lane 2:

293T transfected with human BECN1 expression vector containing a myc-His-tag® whole cell lysate at 20 µg

Lane 3:

293T transfected with human BECN1 expression vector containing a myc-His-tag® transfected with a human wild-type CaMKII beta expression vector containing a myc-His-tag® whole cell lysate at 20 µg

Lane 4:

293T transfected with human BECN1(S90A mutant) expression vector containing a myc-His-tag® whole cell lysate at 20 µg

Secondary

All lanes:

Western blot - Goat Anti-Rabbit IgG H&L (HRP) (<a href='/en-us/products/secondary-antibodies/goat-rabbit-igg-h-l-hrp-ab97051'>ab97051</a>) at 1/100000 dilution

Observed band size: 60 kDa,80 kDa,52 kDa,36 kDa

false

Exposure time: 8s

Dot Blot - Anti-Beclin-1 (phospho S90) antibody [EPR26903-61R] - BSA and Azide free (AB325248)
  • Dot

Supplier Data

Dot Blot - Anti-Beclin-1 (phospho S90) antibody [EPR26903-61R] - BSA and Azide free (AB325248)

This data was developed using ab325242, the same antibody clone in a different buffer formulation.

Dot blot analysis of Phospho-Beclin-1 (Ser90) using ab325242 at 1 : 1000 (0.471 ug/ml) followed by a Goat Anti-Rabbit IgG, (H+L), Peroxidase conjugated (ab97051) at 1 : 100,000 dilution.

Lane1 : Human Beclin-1 (phospho S90) peptide
Lane2 : Human Beclin-1 (non-phospho) peptide
Lane3 : Human Beclin-1 (phospho S96) peptide
Lane4 : Human Beclin-1 (phospho S93) peptide

Exposure time : 180 seconds.

Blocking and diluting buffer and concentration : 5% NFDM/TBST.

This antibody does not cross-react with Human Beclin-1 (phospho S93) or (phospho S96) peptides by dot blot.

All lanes:

Dot Blot - Anti-Beclin-1 (phospho S90) antibody [EPR26903-61R] (<a href='/en-us/products/primary-antibodies/beclin-1-phospho-s90-antibody-epr26903-61r-ab325242'>ab325242</a>) at 1/1000 dilution

Lane 1:

Human Beclin-1 (phospho S90) peptide

Lane 2:

Human Beclin-1 (non-phospho) peptide

Lane 3:

Human Beclin-1 (phospho S96) peptide

Lane 4:

Human Beclin-1 (phospho S93) peptide

Secondary

All lanes:

Dot Blot - Goat Anti-Rabbit IgG H&L (HRP) (<a href='/en-us/products/secondary-antibodies/goat-rabbit-igg-h-l-hrp-ab97051'>ab97051</a>) at 1/100000 dilution

false

Exposure time: 180s

Key facts

Host species

Rabbit

Clonality

Monoclonal

Clone number

EPR26903-61R

Isotype

IgG

Carrier free

Yes

Reacts with

Human

Applications

WB, Dot

applications

Immunogen

The exact immunogen used to generate this antibody is proprietary information.

Specificity

We have observed a non-specific band at ~70KDa using calyculin A to induce phosphorylation. We suggest to include total Beclin-1 detection as a control to confirm Beclin-1 molecular weight (~60KDa)

Reactivity data

{ "title": "Reactivity Data", "filters": { "stats": ["", "Species", "Dilution Info", "Notes"], "tabs": { "all-applications": {"fullname" : "All Applications", "shortname": "All Applications"}, "WB" : {"fullname" : "Western blot", "shortname":"WB"}, "Dot" : {"fullname" : "Dot Blot", "shortname":"Dot"}, "IP" : {"fullname" : "Immunoprecipitation", "shortname":"IP"}, "IHCP" : {"fullname" : "Immunohistochemistry (Formalin/PFA-fixed paraffin-embedded sections)", "shortname":"IHC-P"} }, "product-promise": { "all": "all", "testedAndGuaranteed": "tested", "guaranteed": "expected", "predicted": "predicted", "notRecommended": "not-recommended" } }, "values": { "Human": { "WB-species-checked": "testedAndGuaranteed", "WB-species-dilution-info": "", "WB-species-notes": "<p></p>", "Dot-species-checked": "guaranteed", "Dot-species-dilution-info": "", "Dot-species-notes": "", "IP-species-checked": "notRecommended", "IP-species-dilution-info": "", "IP-species-notes": "<p></p>", "IHCP-species-checked": "notRecommended", "IHCP-species-dilution-info": "", "IHCP-species-notes": "<p></p>" }, "Synthetic peptide - Human": { "WB-species-checked": "notRecommended", "WB-species-dilution-info": "", "WB-species-notes": "", "Dot-species-checked": "testedAndGuaranteed", "Dot-species-dilution-info": "", "Dot-species-notes": "<p></p>", "IP-species-checked": "notRecommended", "IP-species-dilution-info": "", "IP-species-notes": "", "IHCP-species-checked": "notRecommended", "IHCP-species-dilution-info": "", "IHCP-species-notes": "" }, "Transfected cell lysate - Human": { "WB-species-checked": "testedAndGuaranteed", "WB-species-dilution-info": "", "WB-species-notes": "<p></p>", "Dot-species-checked": "notRecommended", "Dot-species-dilution-info": "", "Dot-species-notes": "", "IP-species-checked": "notRecommended", "IP-species-dilution-info": "", "IP-species-notes": "", "IHCP-species-checked": "notRecommended", "IHCP-species-dilution-info": "", "IHCP-species-notes": "" } } }

Product details

ab325248 is the carrier-free version of ab325242.

Patented technology
Our RabMAb® technology is a patented hybridoma-based technology for making rabbit monoclonal antibodies. For details on our patents, please refer to RabMAb® patents.

What are the advantages of a recombinant monoclonal antibody?
This product is a recombinant monoclonal antibody, which offers several advantages including:

  • - High batch-to-batch consistency and reproducibility
  • - Improved sensitivity and specificity
  • - Long-term security of supply
  • - Animal-free batch production

For more information, read more on recombinant antibodies.

Conjugation ready
Our carrier-free antibodies are typically supplied in a PBS-only formulation, purified and free of BSA, sodium azide and glycerol. This conjugation-ready format is designed for use with fluorochromes, metal isotopes, oligonucleotides, and enzymes, which makes them ideal for antibody labelling, functional and cell-based assays, flow-based assays (e.g. mass cytometry) and Multiplex Imaging applications.

Use our conjugation kits for antibody conjugates that are ready-to-use in as little as 20 minutes with 1 minute hands-on-time and 100% antibody recovery: available for fluorescent dyes, HRP, biotin and gold.

Compatibility
This product is compatible with the Maxpar® Antibody Labeling Kit from Fluidigm, without the need for antibody preparation. Maxpar® is a trademark of Fluidigm Canada Inc.

Properties and storage information

Form
Liquid
Purification technique
Affinity purification Protein A
Storage buffer
pH: 7.2 - 7.4 Constituents: PBS
Shipped at conditions
Blue Ice
Appropriate short-term storage conditions
+4°C
Appropriate long-term storage conditions
+4°C

Product protocols

For this product, it's our understanding that no specific protocols are required. You can visit:

Target data

Plays a central role in autophagy (PubMed : 18570871, PubMed : 21358617, PubMed : 23184933, PubMed : 23974797, PubMed : 25484083, PubMed : 28445460, PubMed : 37776275). Acts as a core subunit of the PI3K complex that mediates formation of phosphatidylinositol 3-phosphate; different complex forms are believed to play a role in multiple membrane trafficking pathways : PI3KC3-C1 is involved in initiation of autophagosomes and PI3KC3-C2 in maturation of autophagosomes and endocytosis. Involved in regulation of degradative endocytic trafficking and required for the abscission step in cytokinesis, probably in the context of PI3KC3-C2 (PubMed : 20208530, PubMed : 20643123, PubMed : 23974797, PubMed : 26783301). Essential for the formation of PI3KC3-C2 but not PI3KC3-C1 PI3K complex forms. Involved in endocytosis (PubMed : 25275521). May play a role in antiviral host defense.. Beclin-1-C 35 kDa localized to mitochondria can promote apoptosis; it induces the mitochondrial translocation of BAX and the release of proapoptotic factors.. (Microbial infection) Protects against infection by a neurovirulent strain of Sindbis virus.
See full target information BECN1 phospho S90

Product promise

We are committed to supporting your work with high-quality reagents, and we're here for you every step of the way. In the unlikely event that one of our products does not perform as expected, you're protected by our Product Promise.
For full details, please see our Terms & Conditions

Please note: All products are 'FOR RESEARCH USE ONLY. NOT FOR USE IN DIAGNOSTIC OR THERAPEUTIC PROCEDURES'.

For licensing inquiries, please contact partnerships@abcam.com