JavaScript is disabled in your browser. Please enable JavaScript to view this website.
AB259836

Anti-Bestrophin/BEST1 antibody [EPR23926-112]

  • BOND RX™ Validated
  • 20ul selling size
  • RabMAb
  • Recombinant
  • What is this?

Be the first to review this product! Submit a review

|

(0 Publication)

Rabbit Recombinant Monoclonal Bestrophin/BEST1 antibody. Suitable for ICC/IF, IP, WB, IHC-Fr and reacts with Human samples.

View Alternative Names

VMD2, BEST1, Bestrophin-1, TU15B, Vitelliform macular dystrophy protein 2

6 Images
Immunohistochemistry (Frozen sections) - Anti-Bestrophin/BEST1 antibody [EPR23926-112] (AB259836)
  • IHC-Fr

Lab

Immunohistochemistry (Frozen sections) - Anti-Bestrophin/BEST1 antibody [EPR23926-112] (AB259836)

IHC image of BEST1 staining in a section of frozen normal human hippocampus* performed on a Leica BOND™ system using the standard protocol. The section was fixed in 10% paraformaldehyde (10 min) prior to staining. The section was incubated with ab259836, 0.1μg/ml, for 15 mins at room temperature and detected using an HRP conjugated compact polymer system. DAB was used as the chromogen. The section was then counterstained with haematoxylin and mounted with DPX. The inset secondary-only control image is taken from an identical assay without primary antibody.
For other IHC staining systems (automated and non-automated) customers should optimize variable parameters such as antigen retrieval conditions, primary antibody concentration and antibody incubation times.
*Tissue obtained from the Human Research Tissue Bank, supported by the NIHR Cambridge Biomedical Research Centre

Immunocytochemistry/ Immunofluorescence - Anti-Bestrophin/BEST1 antibody [EPR23926-112] (AB259836)
  • ICC/IF

Supplier Data

Immunocytochemistry/ Immunofluorescence - Anti-Bestrophin/BEST1 antibody [EPR23926-112] (AB259836)

Immunofluorescent analysis of 4% paraformaldehyde-fixed, 0.1% Triton X-100 permeabilized Y79 (human retinoblastoma retinoblastoma) cells labeling Bestrophin/BEST1 with ab259836 at 1/1000 dilution followed by Goat Anti-Rabbit IgG H&L (Alexa Fluor® 488) (ab150077) secondary antibody at 1/1000 dilution (green). Confocal image showing cytoplasmic staining on Y79 cell line.

The nuclear counter stain is DAPI (blue). Tubulin is detected with anti-alpha Tubulin antibody [DM1A] - Microtubule Marker (Alexa Fluor® 594) (ab195889) (red) at 1/200 dilution.

Secondary antibody only control : Used PBS instead of primary antibody, secondary antibody is Goat Anti-Rabbit IgG H&L (Alexa Fluor® 488) (ab150077) secondary antibody at 1/1000 dilution.

Immunoprecipitation - Anti-Bestrophin/BEST1 antibody [EPR23926-112] (AB259836)
  • IP

Supplier Data

Immunoprecipitation - Anti-Bestrophin/BEST1 antibody [EPR23926-112] (AB259836)

Bestrophin/BEST1 was immunoprecipitated from 10 μg of Y79 (human retinoblastoma retinoblastoma) whole cell lysate with ab259836 at 1/30 dilution (2 μg in 0.35 mg lysates). Western blot was performed from the immunoprecipitate using ab259836 at 1/1000 dilution. VeriBlot for IP Detection Reagent (HRP) (ab131366), was used for detection at 1/5000 dilution.

Lane 1 : Input : 10 μg of Y79 whole cell lysate.
Lane 2 : Y79 whole cell lysate following IP with ab259836.
Lane 3 : Negative control : IP using Rabbit monoclonal IgG (ab172730) instead of ab259836 in Y79 whole cell lysates.

Blocking and dilution buffer and concentration : 5% NFDM/TBST.

Exposure time : 3 mins.

All lanes:

Immunoprecipitation - Anti-Bestrophin/BEST1 antibody [EPR23926-112] (ab259836)

Predicted band size: 68 kDa

false

Western blot - Anti-Bestrophin/BEST1 antibody [EPR23926-112] (AB259836)
  • WB

Supplier Data

Western blot - Anti-Bestrophin/BEST1 antibody [EPR23926-112] (AB259836)

Blocking/Dilution buffer : 5% NFDM/TBST.

All lanes:

Western blot - Anti-Bestrophin/BEST1 antibody [EPR23926-112] (ab259836) at 1/1000 dilution

All lanes:

human eyeball tissue lysate at 20 µg

Secondary

All lanes:

Goat Anti-Rabbit IgG (HRP) with minimal cross-reactivity with human IgG at 1/2000 dilution

Predicted band size: 68 kDa

false

Exposure time: 15s

Western blot - Anti-Bestrophin/BEST1 antibody [EPR23926-112] (AB259836)
  • WB

Supplier Data

Western blot - Anti-Bestrophin/BEST1 antibody [EPR23926-112] (AB259836)

Blocking/Dilution buffer : 5% NFDM/TBST.

All lanes:

Western blot - Anti-Bestrophin/BEST1 antibody [EPR23926-112] (ab259836) at 1/1000 dilution

All lanes:

Y79 (human retinoblastoma retinoblastoma), whole cell lysate at 20 µg

Secondary

All lanes:

Western blot - Goat Anti-Rabbit IgG H&L (HRP) (<a href='/en-us/products/secondary-antibodies/goat-rabbit-igg-h-l-hrp-ab97051'>ab97051</a>) at 1/20000 dilution

Predicted band size: 68 kDa

false

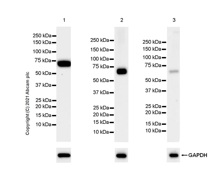
Western blot - Anti-Bestrophin/BEST1 antibody [EPR23926-112] (AB259836)
  • WB

Supplier Data

Western blot - Anti-Bestrophin/BEST1 antibody [EPR23926-112] (AB259836)

Low expression : Human liver(PMID : 25941382).

Blocking/Dilution buffer : 5% NFDM/TBST.

Exposure times : Lane 1 : 15 seconds; Lane 2-3 : 3 minutes.

All lanes:

Western blot - Anti-Bestrophin/BEST1 antibody [EPR23926-112] (ab259836) at 1/1000 dilution

Lane 1:

Human testis tissue lysate at 20 µg

Lane 2:

Human lung tissue lysate at 20 µg

Lane 3:

Human liver tissue lysate at 20 µg

Secondary

All lanes:

Goat Anti-Rabbit IgG (HRP) with minimal cross-reactivity with human IgG at 1/2000 dilution

Predicted band size: 68 kDa

false

  • Carrier free

    Anti-Bestrophin/BEST1 antibody [EPR23926-112] - BSA and Azide free

Key facts

Host species

Rabbit

Clonality

Monoclonal

Clone number

EPR23926-112

Isotype

IgG

Carrier free

No

Reacts with

Human

Applications

ICC/IF, WB, IP, IHC-Fr

applications

Immunogen

The exact immunogen used to generate this antibody is proprietary information.

Reactivity data

{ "title": "Reactivity Data", "filters": { "stats": ["", "Species", "Dilution Info", "Notes"], "tabs": { "all-applications": {"fullname" : "All Applications", "shortname": "All Applications"}, "ICCIF" : {"fullname" : "Immunocytochemistry/ Immunofluorescence", "shortname":"ICC/IF"}, "IP" : {"fullname" : "Immunoprecipitation", "shortname":"IP"}, "FlowCyt" : {"fullname" : "Flow Cytometry", "shortname":"Flow Cyt"}, "WB" : {"fullname" : "Western blot", "shortname":"WB"}, "IHCP" : {"fullname" : "Immunohistochemistry (Formalin/PFA-fixed paraffin-embedded sections)", "shortname":"IHC-P"}, "IHCFr" : {"fullname" : "Immunohistochemistry (Frozen sections)", "shortname":"IHC-Fr"} }, "product-promise": { "all": "all", "testedAndGuaranteed": "tested", "guaranteed": "expected", "predicted": "predicted", "notRecommended": "not-recommended" } }, "values": { "Human": { "ICCIF-species-checked": "testedAndGuaranteed", "ICCIF-species-dilution-info": "1/50", "ICCIF-species-notes": "<p></p>", "IP-species-checked": "testedAndGuaranteed", "IP-species-dilution-info": "1/30", "IP-species-notes": "<p></p>", "FlowCyt-species-checked": "notRecommended", "FlowCyt-species-dilution-info": "", "FlowCyt-species-notes": "<p></p>", "WB-species-checked": "testedAndGuaranteed", "WB-species-dilution-info": "1/1000", "WB-species-notes": "<p></p>", "IHCP-species-checked": "notRecommended", "IHCP-species-dilution-info": "", "IHCP-species-notes": "<p></p>", "IHCFr-species-checked": "testedAndGuaranteed", "IHCFr-species-dilution-info": "", "IHCFr-species-notes": "<p></p>" }, "Mouse": { "ICCIF-species-checked": "notRecommended", "ICCIF-species-dilution-info": "", "ICCIF-species-notes": "", "IP-species-checked": "notRecommended", "IP-species-dilution-info": "", "IP-species-notes": "", "FlowCyt-species-checked": "notRecommended", "FlowCyt-species-dilution-info": "", "FlowCyt-species-notes": "", "WB-species-checked": "notRecommended", "WB-species-dilution-info": "1/1000", "WB-species-notes": "<p></p>", "IHCP-species-checked": "notRecommended", "IHCP-species-dilution-info": "", "IHCP-species-notes": "<p></p>", "IHCFr-species-checked": "notRecommended", "IHCFr-species-dilution-info": "", "IHCFr-species-notes": "<p></p>" }, "Rat": { "ICCIF-species-checked": "notRecommended", "ICCIF-species-dilution-info": "", "ICCIF-species-notes": "", "IP-species-checked": "notRecommended", "IP-species-dilution-info": "", "IP-species-notes": "", "FlowCyt-species-checked": "notRecommended", "FlowCyt-species-dilution-info": "", "FlowCyt-species-notes": "", "WB-species-checked": "notRecommended", "WB-species-dilution-info": "1/1000", "WB-species-notes": "<p></p>", "IHCP-species-checked": "notRecommended", "IHCP-species-dilution-info": "", "IHCP-species-notes": "<p></p>", "IHCFr-species-checked": "notRecommended", "IHCFr-species-dilution-info": "", "IHCFr-species-notes": "" } } }

Product details

Patented technology
Our RabMAb® technology is a patented hybridoma-based technology for making rabbit monoclonal antibodies. For details on our patents, please refer to RabMAb® patents.

What are the advantages of a recombinant monoclonal antibody?
This product is a recombinant monoclonal antibody, which offers several advantages including:

  • - High batch-to-batch consistency and reproducibility
  • - Improved sensitivity and specificity
  • - Long-term security of supply
  • - Animal-free batch production

For more information, read more on recombinant antibodies.

Properties and storage information

Form
Liquid
Purification technique
Affinity purification Protein A
Storage buffer
Preservative: 0.01% Sodium azide Constituents: PBS, 40% Glycerol (glycerin, glycerine), 0.05% BSA
Shipped at conditions
Blue Ice
Appropriate short-term storage duration
1-2 weeks
Appropriate short-term storage conditions
+4°C
Appropriate long-term storage conditions
-20°C
Aliquoting information
Upon delivery aliquot
Storage information
Avoid freeze / thaw cycle

Supplementary information

This supplementary information is collated from multiple sources and compiled automatically.

Bestrophin also known as BEST1 or VMD2 is a protein that functions as a calcium-activated chloride channel. It plays an important role in the transport of ions across cell membranes. The molecular mass of BEST1 is about 68 kDa. This protein is prominently expressed in the retinal pigment epithelium (RPE) which is a layer of cells in the eye vital to the function and survival of the photoreceptors. These photoreceptors are responsible for capturing light and initiating vision.
Biological function summary

BEST1 influences the regulation of ionic homeostasis in the eye and contributes to the RPE's maintenance. It acts as part of a chloride channel complex that helps transport chloride ions which is important for fluid absorption and secretion in the retina. There are interactions with calcium ions that activate the channel allowing it to regulate the flow of other ions in response to changes in calcium concentration which is essential for maintaining the ionic balance necessary for proper vision.

Pathways

BEST1 plays significant roles in the visual cycle and ion transport pathways in the retina. It is related to the protein ANO2 another chloride channel although they interact differently with calcium ions. BEST1 influences the fluid regulation within the retina an essential part of the visual cycle pathway. It signals the movement of ions in response to external stimuli maintaining the balance of fluids and ions that reh cells function correctly.

Mutations in the BEST1 gene are connected to Best vitelliform macular dystrophy and adult-onset foveomacular dystrophy. Both disorders lead to retinal degeneration affecting vision. The interaction between BEST1 and other chloride channels like ANO2 suggests possible effects on the severity and progression of these retinal diseases highlighting the need for continued research into therapeutic interventions and the complex network of protein interactions within the retina.

Product protocols

For this product, it's our understanding that no specific protocols are required. You can visit:

Target data

Ligand-gated anion channel that allows the movement of anions across cell membranes when activated by calcium (Ca2+) (PubMed : 11904445, PubMed : 12907679, PubMed : 18179881, PubMed : 18400985, PubMed : 19853238, PubMed : 21330666, PubMed : 26200502, PubMed : 26720466, PubMed : 35789156). Allows the movement of chloride and hydrogencarbonate (PubMed : 11904445, PubMed : 12907679, PubMed : 18179881, PubMed : 18400985, PubMed : 19853238, PubMed : 21330666, PubMed : 26200502, PubMed : 26720466, PubMed : 35789156). Found in a partially open conformation leading to significantly smaller chloride movement (PubMed : 35789156). Upon F2R/PAR-1 activation, the sequestered calcium is released into the cytosol of astrocytes, leading to the (Ca2+)-dependent release of L-glutamate into the synaptic cleft that targets the neuronal postsynaptic GRIN2A/NMDAR receptor resulting in the synaptic plasticity regulation (By similarity). Upon activation of the norepinephrine-alpha-1 adrenergic receptor signaling pathway, transports as well D-serine than L-glutamate in a (Ca2+)-dependent manner, leading to activation of adjacent NMDAR receptors and therefore regulates the heterosynaptic long-term depression and metaplasticity during initial memory acquisition (By similarity). Releases the 4-aminobutanoate neurotransmitter in a (Ca2+)-dependent manner, and participates in its tonic release from cerebellar glial cells (By similarity).
See full target information BEST1

Product promise

We are committed to supporting your work with high-quality reagents, and we're here for you every step of the way. In the unlikely event that one of our products does not perform as expected, you're protected by our Product Promise.
For full details, please see our Terms & Conditions

Please note: All products are 'FOR RESEARCH USE ONLY. NOT FOR USE IN DIAGNOSTIC OR THERAPEUTIC PROCEDURES'.

For licensing inquiries, please contact partnerships@abcam.com