JavaScript is disabled in your browser. Please enable JavaScript to view this website.
AB182136

Anti-beta 2 Adrenergic Receptor antibody [EPR707(N)]

  • BOND RX™ Validated
  • 20ul selling size
  • RabMAb
  • Recombinant
  • What is this?

4

(5 Reviews)

|

(89 Publications)

Anti-beta 2 Adrenergic Receptor antibody [EPR707(N)] (ab182136) is a rabbit monoclonal antibody detecting beta 2 Adrenergic Receptor in Western Blot, IHC-P, IHC-Fr. Suitable for Human, Mouse, Rat.

- Clone EPR707(N) is the most cited clone to beta 2 Adrenergic Receptor
- Biophysical QC for unrivalled batch-batch consistency
- Over 50 publications

View Alternative Names

ADRB2R, B2AR, ADRB2, Beta-2 adrenergic receptor, Beta-2 adrenoreceptor, Beta-2 adrenoceptor

7 Images
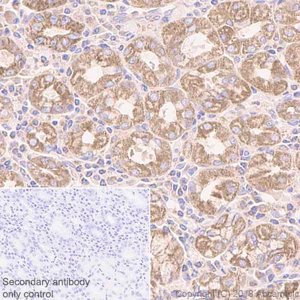
Immunohistochemistry (Frozen sections) - Anti-beta 2 Adrenergic Receptor antibody [EPR707(N)] (AB182136)
  • IHC-Fr

Lab

Immunohistochemistry (Frozen sections) - Anti-beta 2 Adrenergic Receptor antibody [EPR707(N)] (AB182136)

IHC image of beta 2 Adrenergic Receptor staining in a section of frozen human prostate carcinoma performed on a Leica BONDTM system using the standard protocol. The section was fixed in 10% paraformaldehyde (10 min) prior to staining. The section was incubated with ab182136, 1/750 dilution, for 15 mins at room temperature and detected using an HRP conjugated compact polymer system. DAB was used as the chromogen. The section was then counterstained with haematoxylin and mounted with DPX. The inset secondary-only control image is taken from an identical assay without primary antibody.

For other IHC staining systems (automated and non-automated) customers should optimize variable parameters such as antigen retrieval conditions, primary antibody concentration and antibody incubation times.

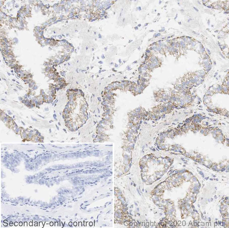
Immunohistochemistry (Formalin/PFA-fixed paraffin-embedded sections) - Anti-beta 2 Adrenergic Receptor antibody [EPR707(N)] (AB182136)
  • IHC-P

Unknown

Immunohistochemistry (Formalin/PFA-fixed paraffin-embedded sections) - Anti-beta 2 Adrenergic Receptor antibody [EPR707(N)] (AB182136)

Immunohistochemistry (Formalin/PFA-fixed paraffin-embedded sections) analysis of Human stomach tissue sections labeling beta 2 Adrenergic Receptor with Purified ab182136 at 1 : 100 dilution (1.28 µg/ml). Heat mediated antigen retrieval was performed using ab93684 (Tris/EDTA buffer, pH 9.0). ImmunoHistoProbe one step HRP Polymer (ready to use)was used as the secondary antibody.Negative control : PBS instead of the primary antibody.Hematoxylin was used as a counterstain.

Immunohistochemistry (Formalin/PFA-fixed paraffin-embedded sections) - Anti-beta 2 Adrenergic Receptor antibody [EPR707(N)] (AB182136)
  • IHC-P

Unknown

Immunohistochemistry (Formalin/PFA-fixed paraffin-embedded sections) - Anti-beta 2 Adrenergic Receptor antibody [EPR707(N)] (AB182136)

Immunohistochemistry (Formalin/PFA-fixed paraffin-embedded sections) analysis of Mouse cerebrum tissue sections labeling beta 2 Adrenergic Receptor with Purified ab182136 at 1 : 100 dilution (1.28 µg/ml). Heat mediated antigen retrieval was performed using ab93684 (Tris/EDTA buffer, pH 9.0). ImmunoHistoProbe one step HRP Polymer (ready to use)was used as the secondary antibody.Negative control : PBS instead of the primary antibody.Hematoxylin was used as a counterstain.

Immunohistochemistry (Frozen sections) - Anti-beta 2 Adrenergic Receptor antibody [EPR707(N)] (AB182136)
  • IHC-Fr

Unknown

Immunohistochemistry (Frozen sections) - Anti-beta 2 Adrenergic Receptor antibody [EPR707(N)] (AB182136)

Immunohistochemistry (Frozen sections) analysis of mouse stomach tissue sections labeling beta 2 Adrenergic Receptor with Purified ab182136 at 1/100 (1.3 μg/ml).Heat mediated antigen retrieval using sodium citrate buffer (10mM citrate pH 6.0 + 0.05% Tween-20). Goat anti rabbit IgG (Alexa Fluor® 488, ab150077) was used as the secondary antibody. Negative control : PBS instead of the primary antibody. DAPI was used as a counterstain.

Immunohistochemistry (Formalin/PFA-fixed paraffin-embedded sections) - Anti-beta 2 Adrenergic Receptor antibody [EPR707(N)] (AB182136)
  • IHC-P

Unknown

Immunohistochemistry (Formalin/PFA-fixed paraffin-embedded sections) - Anti-beta 2 Adrenergic Receptor antibody [EPR707(N)] (AB182136)

Immunohistochemistry (Formalin/PFA-fixed paraffin-embedded sections) analysis of Rat stomach tissue sections labeling beta 2 Adrenergic Receptor with Purified ab182136 at 1 : 100 dilution (1.28 µg/ml). Heat mediated antigen retrieval was performed using ab93684 (Tris/EDTA buffer, pH 9.0). ImmunoHistoProbe one step HRP Polymer (ready to use)was used as the secondary antibody.Negative control : PBS instead of the primary antibody.Hematoxylin was used as a counterstain.

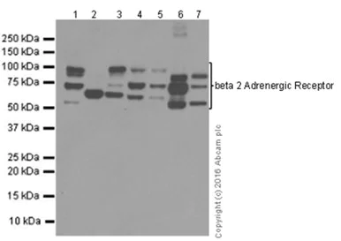
Western blot - Anti-beta 2 Adrenergic Receptor antibody [EPR707(N)] (AB182136)
  • WB

Unknown

Western blot - Anti-beta 2 Adrenergic Receptor antibody [EPR707(N)] (AB182136)

Blocking and diluting buffer : 5% NFDM/TBST

The 50-90kda bands detected by ab182136 are consistent with many literatures, like PMID : 2836733, PMID : 17570158, PMID : 11701618, PMID : 2545714, PMID : 16708760.

These bands have not been confirmed experimentally.

All lanes:

Western blot - Anti-beta 2 Adrenergic Receptor antibody [EPR707(N)] (ab182136) at 0.1 µg/mL

Lane 1:

A431 ( Human epidermoid carcinoma epithelial cell) whole cell lysates at 20 µg

Lane 2:

Human skeletal muscle lysates at 20 µg

Lane 3:

Human fetal liver lysates at 20 µg

Lane 4:

Mouse heart lysates at 20 µg

Lane 5:

Rat heart lysates at 20 µg

Lane 6:

Mouse kidney lysates at 20 µg

Lane 7:

Rat kidney lysates at 20 µg

Secondary

All lanes:

Western blot - Goat Anti-Rabbit IgG H&L (HRP) (<a href='/en-us/products/secondary-antibodies/goat-rabbit-igg-h-l-hrp-ab97051'>ab97051</a>) at 1/20000 dilution

Predicted band size: 46 kDa

false

Western blot - Anti-beta 2 Adrenergic Receptor antibody [EPR707(N)] (AB182136)
  • WB

Lab

Western blot - Anti-beta 2 Adrenergic Receptor antibody [EPR707(N)] (AB182136)

The 50-90kda bands detected by ab182136 are consistent with many literatures, like PMID : 2836733, PMID : 17570158, PMID : 11701618, PMID : 2545714, PMID : 16708760.

These bands have not been confirmed experimentally.

Blocking and diluting buffer : 5% NFDM/TBST

All lanes:

Western blot - Anti-beta 2 Adrenergic Receptor antibody [EPR707(N)] (ab182136) at 1/1000 dilution

Lane 1:

A431 (Human epidermoid carcinoma epithelial cell) whole cell lysate at 20 µg

Lane 2:

Human skeletal muscle lysate at 20 µg

Lane 3:

Human fetal liver lysate at 20 µg

Lane 4:

Mouse heart lysate at 20 µg

Lane 5:

Rat heart lysate at 20 µg at 20 µg

Lane 6:

Mouse kidney lysate at 20 µg

Lane 7:

Rat kidney lysate at 20 µg

Secondary

All lanes:

Goat Anti-Rabbit IgG (HRP) with minimal cross-reactivity with human IgG at 1/2000 dilution

Observed band size: 50-90 kDa

false

Exposure time: 180s

Key facts

Host species

Rabbit

Clonality

Monoclonal

Clone number

EPR707(N)

Isotype

IgG

Carrier free

No

Reacts with

Mouse, Rat, Human

Applications

IHC-P, WB, IHC-Fr

applications

Immunogen

The exact immunogen used to generate this antibody is proprietary information.

Reactivity data

{ "title": "Reactivity Data", "filters": { "stats": ["", "Species", "Dilution Info", "Notes"], "tabs": { "all-applications": {"fullname" : "All Applications", "shortname": "All Applications"}, "FlowCyt" : {"fullname" : "Flow Cytometry", "shortname":"Flow Cyt"}, "WB" : {"fullname" : "Western blot", "shortname":"WB"}, "ICCIF" : {"fullname" : "Immunocytochemistry/ Immunofluorescence", "shortname":"ICC/IF"}, "IHCFr" : {"fullname" : "Immunohistochemistry (Frozen sections)", "shortname":"IHC-Fr"}, "IHCP" : {"fullname" : "Immunohistochemistry (Formalin/PFA-fixed paraffin-embedded sections)", "shortname":"IHC-P"} }, "product-promise": { "all": "all", "testedAndGuaranteed": "tested", "guaranteed": "expected", "predicted": "predicted", "notRecommended": "not-recommended" } }, "values": { "Human": { "FlowCyt-species-checked": "notRecommended", "FlowCyt-species-dilution-info": "", "FlowCyt-species-notes": "<p></p>", "WB-species-checked": "testedAndGuaranteed", "WB-species-dilution-info": "1/1000 - 1/10000", "WB-species-notes": "<p></p>", "ICCIF-species-checked": "notRecommended", "ICCIF-species-dilution-info": "", "ICCIF-species-notes": "<p></p>", "IHCFr-species-checked": "testedAndGuaranteed", "IHCFr-species-dilution-info": "1/100", "IHCFr-species-notes": "<p>Heat mediated antigen retrieval using sodium citrate buffer (10mM citrate pH 6.0 + 0.05% Tween-20)</p>", "IHCP-species-checked": "testedAndGuaranteed", "IHCP-species-dilution-info": "1/100", "IHCP-species-notes": "<p>For lower background staining, perform heat mediated antigen retrieval with citrate buffer pH 6.</p><p><strong>For unpurified use at 1/250.</strong></p>" }, "Mouse": { "FlowCyt-species-checked": "notRecommended", "FlowCyt-species-dilution-info": "", "FlowCyt-species-notes": "<p></p>", "WB-species-checked": "testedAndGuaranteed", "WB-species-dilution-info": "1/1000 - 1/10000", "WB-species-notes": "<p></p>", "ICCIF-species-checked": "notRecommended", "ICCIF-species-dilution-info": "", "ICCIF-species-notes": "<p></p>", "IHCFr-species-checked": "testedAndGuaranteed", "IHCFr-species-dilution-info": "1/100", "IHCFr-species-notes": "<p>Heat mediated antigen retrieval using sodium citrate buffer (10mM citrate pH 6.0 + 0.05% Tween-20)</p>", "IHCP-species-checked": "testedAndGuaranteed", "IHCP-species-dilution-info": "1/100", "IHCP-species-notes": "<p>For lower background staining, perform heat mediated antigen retrieval with citrate buffer pH 6.</p><p><strong>For unpurified use at 1/250.</strong></p>" }, "Rat": { "FlowCyt-species-checked": "notRecommended", "FlowCyt-species-dilution-info": "", "FlowCyt-species-notes": "<p></p>", "WB-species-checked": "testedAndGuaranteed", "WB-species-dilution-info": "1/1000 - 1/10000", "WB-species-notes": "<p></p>", "ICCIF-species-checked": "notRecommended", "ICCIF-species-dilution-info": "", "ICCIF-species-notes": "<p></p>", "IHCFr-species-checked": "guaranteed", "IHCFr-species-dilution-info": "", "IHCFr-species-notes": "", "IHCP-species-checked": "testedAndGuaranteed", "IHCP-species-dilution-info": "1/100", "IHCP-species-notes": "<p>For lower background staining, perform heat mediated antigen retrieval with citrate buffer pH 6.</p><p><strong>For unpurified use at 1/250.</strong></p>" } } }

Product details

Anti-beta 2 Adrenergic Receptor antibody [EPR707(N)] (ab182136) was developed by Abcam using patented rabbit monoclonal antibody technology and is validated for use in IHC-Fr, IHC-P, WB in human, mouse, rat samples.

Anti-beta 2 Adrenergic Receptor antibody [EPR707(N)] (ab182136) has been cited over 59 times in peer reviewed journals and is trusted by the scientific community.

Abcam's high quality manufacturing and validation processes ensure Anti-beta 2 Adrenergic Receptor antibody [EPR707(N)] (ab182136) has high sensitivity and specificity alongside high lot-to-lot consistency and reproducibility.

Anti-beta 2 Adrenergic Receptor antibody [EPR707(N)] (ab182136) has 5 independent reviews from customers.

Anti-beta 2 Adrenergic Receptor antibody [EPR707(N)] (ab182136) specifically detects beta 2 Adrenergic Receptor (UniProt ID: P07550; Molecular weight: 46kDa) and is sold in a convenient trial size to enable initial testing (20 µL) and larger sizes for subsequent scaling up experiments (100 µL and 1 mL).

Conjugation-ready, carrier free format available for antibody clone EPR707(N) - ab213651.

Antibody clone EPR707(N) is also available pre-conjugated to a variety of labels for your convenience - Alexa Fluor® 647, Alexa Fluor® 488, Alexa Fluor® 594, Alexa Fluor® 568, Alexa Fluor® 555, Alexa Fluor® 750 (ab225294, ab225295, ab311788, ab313069, ab313266, ab321260).

Beta-2 adrenergic receptor (ß2-AR) also known as ADRB2 plays a significant role in immuno-oncology by modulating the immune response and influencing tumor progression. Beta-2 adrenergic receptor signaling can affect both innate and adaptive immune cells, impacting their activation, proliferation, and cytokine production.

Patented technology
Our RabMAb® technology is a patented hybridoma-based technology for making rabbit monoclonal antibodies. For details on our patents, please refer to RabMAb® patents.

What are the advantages of a recombinant monoclonal antibody?
This product is a recombinant monoclonal antibody, which offers several advantages including:

  • - High batch-to-batch consistency and reproducibility
  • - Improved sensitivity and specificity
  • - Long-term security of supply
  • - Animal-free batch production

For more information, read more on recombinant antibodies.

Properties and storage information

Form
Liquid
Purification technique
Affinity purification Protein A
Storage buffer
Preservative: 0.01% Sodium azide Constituents: PBS, 40% Glycerol (glycerin, glycerine), 0.05% BSA
Shipped at conditions
Blue Ice
Appropriate short-term storage duration
1-2 weeks
Appropriate short-term storage conditions
+4°C
Appropriate long-term storage conditions
-20°C
Aliquoting information
Upon delivery aliquot
Storage information
Avoid freeze / thaw cycle

Supplementary information

This supplementary information is collated from multiple sources and compiled automatically.

The beta 2 adrenergic receptor (also known as beta-2 adrenergic receptor B2 adrenergic receptor beta-2 receptor) is a transmembrane protein that acts as a receptor for catecholamines like adrenaline and noradrenaline. It belongs to the G protein-coupled receptors (GPCRs) superfamily and is involved in signal transduction by activating adenylate cyclase through the Gs protein. The mass of the beta 2 adrenergic receptor is approximately 46 kDa. This receptor is expressed in various tissues including the lungs skeletal muscle liver and smooth muscle.
Biological function summary

The beta 2 adrenergic receptor is important for mediating the physiological responses to adrenaline and noradrenaline. It plays a significant role in bronchodilation and vasodilation by relaxing airway and vascular smooth muscles. While it does not form a part of any complex its signaling initiates a cascade of intracellular events leading to changes in cellular function. This receptor ensures tissue responsiveness to catecholamines influencing cardiac output metabolic rate and smooth muscle relaxation.

Pathways

This receptor is an important component of the adrenergic signaling pathway and is closely associated with the cAMP-dependent signaling pathway. The activation of the beta 2 adrenergic receptor increases intracellular cAMP levels resulting in the activation of protein kinase A (PKA) and subsequent phosphorylation of various target proteins. The receptor interacts with other proteins within these pathways such as adenylate cyclase and PKA ensuring the propagation of downstream signaling that modulates cellular responses.

The beta 2 adrenergic receptor has a notable connection to asthma and chronic obstructive pulmonary disease (COPD). Its role in bronchodilation makes it a therapeutic target for managing these respiratory conditions. Alterations in the function or expression of the beta 2 adrenergic receptor can exacerbate these diseases. Additionally these disorders demonstrate a link with the muscarinic acetylcholine receptors which also affect airway tone regulation. Understanding the interactions between these receptors is essential for developing therapeutic strategies for respiratory diseases.

Product protocols

For this product, it's our understanding that no specific protocols are required. You can visit:

Target data

Beta-adrenergic receptors mediate the catecholamine-induced activation of adenylate cyclase through the action of G proteins. The beta-2-adrenergic receptor binds epinephrine with an approximately 30-fold greater affinity than it does norepinephrine.
See full target information ADRB2

Publications (89)

Recent publications for all applications. Explore the full list and refine your search

Nature communications 16:8870 PubMed41053178

2025

Paraventricular nucleus CRH neurons regulate acute lung injury via sympathetic nerve-neutrophil axis.

Applications

Unspecified application

Species

Unspecified reactive species

Hui Li,Tao Liu,Yang Wang,Xue-Mei Miao,Yi-Yu Xiong,Qian Zhao,Wei-Yun Shen,Fu-Hong Su,Kang Chen,Ru-Ping Dai

Frontiers in neuroscience 19:1608017 PubMed41040952

2025

Adrenergic signals influence proteomic responses in breast cancer cells.

Applications

Unspecified application

Species

Unspecified reactive species

Manuel Carrasco,Ole Vidhammer Bjørnstad,Heidrun Vethe,Lars A Akslen

Journal of neuroinflammation 22:191 PubMed40702501

2025

Short-term stress preconditioning activates sympathetic innervation in the testes to mitigate testicular ischemia-reperfusion injury.

Applications

Unspecified application

Species

Unspecified reactive species

Liyong Liu,Ruiming Xu,Heshe Li,Yuanchen Ma,Yue Shu,Hongjie Liang,Tao Wang,Jiang Hao,Weiqiang Li,Andy Peng Xiang,Mei Hua Jiang,Weijun Huang

Alzheimer's & dementia : the journal of the Alzheimer's Association 21:e70262 PubMed40501099

2025

Disease-specific neuropathological alterations of the locus coeruleus in Alzheimer's disease, Down syndrome, and Parkinson's disease.

Applications

Unspecified application

Species

Unspecified reactive species

Marta Fructuoso,Yannick Vermeiren,Susana Boluda,Lev Stimmer,René A J Crans,Laura Xicota,Uli Eisel,Natalia Orti Casan,Philippe Bun,Charles Duyckaerts,Jean-Maurice Delabar,Andre Strydom,Debby Van Dam,Mara Dierssen,Peter De Deyn,Marie-Claude Potier

International journal of molecular sciences 26: PubMed40362282

2025

Hypoxia-Dependent Upregulation of VEGF Relies on β3-Adrenoceptor Signaling in Human Retinal Endothelial and Müller Cells.

Applications

Unspecified application

Species

Unspecified reactive species

Martina Lucchesi,Lorenza Di Marsico,Lorenzo Guidotti,Matteo Lulli,Luca Filippi,Silvia Marracci,Massimo Dal Monte

Scientific reports 15:3824 PubMed39885251

2025

Sympathetic innervation induced by nerve growth factor promotes malignant transformation in gastric cancer.

Applications

Unspecified application

Species

Unspecified reactive species

Takefumi Itami,Yukinori Kurokawa,Takaomi Hagi,Shinnosuke Nagano,Rennosuke Nakamoto,Yu Kamakura,Tsuyoshi Takahashi,Takuro Saito,Kazuyoshi Yamamoto,Kota Momose,Kotaro Yamashita,Koji Tanaka,Tomoki Makino,Kiyokazu Nakajima,Hidetoshi Eguchi,Yuichiro Doki

Bioactive materials 46:331-346 PubMed39816475

2025

Degradation products of magnesium implant synergistically enhance bone regeneration: Unraveling the roles of hydrogen gas and alkaline environment.

Applications

Unspecified application

Species

Unspecified reactive species

Yuanming An,Haozhi Zhang,Shi'an Zhang,Yuantao Zhang,Lizhen Zheng,Xin Chen,Wenxue Tong,Jiankun Xu,Ling Qin

Molecular cancer research : MCR 23:236-249 PubMed39642318

2024

Stress and Obesity Signaling Converge on CREB Phosphorylation to Promote Pancreatic Cancer.

Applications

Unspecified application

Species

Unspecified reactive species

Xiaoying Sun,Yaroslav Teper,James Sinnett-Smith,Mineh Markarian,O Joe Hines,Gang Li,Guido Eibl,Enrique Rozengurt

Nature communications 15:10361 PubMed39609433

2024

A brain-to-liver signal mediates the inhibition of liver regeneration under chronic stress in mice.

Applications

Unspecified application

Species

Unspecified reactive species

Yanyu Zhou,Xiaoqi Lin,Yingfu Jiao,Dan Yang,Zhengyu Li,Ling Zhu,Yixuan Li,Suqing Yin,Quanfu Li,Saihong Xu,Dan Tang,Song Zhang,Weifeng Yu,Po Gao,Liqun Yang

Cancer discovery 15:616-632 PubMed39513738

2024

Sympathetic Neurons Promote Small Cell Lung Cancer through the β2-Adrenergic Receptor.

Applications

Unspecified application

Species

Unspecified reactive species

Tala Fnu,Peiguo Shi,Wanwei Zhang,Sanny S W Chung,Christopher B Damoci,Yinshan Fang,Qi-Yue Chen,Anjali Saqi,Yuefeng Huang,Xuebing Wu,Chao Lu,Dian Yang,Timothy C Wang,Jianwen Que
View all publications

Product promise

We are committed to supporting your work with high-quality reagents, and we're here for you every step of the way. In the unlikely event that one of our products does not perform as expected, you're protected by our Product Promise.
For full details, please see our Terms & Conditions

Please note: All products are 'FOR RESEARCH USE ONLY. NOT FOR USE IN DIAGNOSTIC OR THERAPEUTIC PROCEDURES'.

For licensing inquiries, please contact partnerships@abcam.com