JavaScript is disabled in your browser. Please enable JavaScript to view this website.
AB140713

Anti-beta 3 Adrenergic Receptor antibody - N-terminal

Be the first to review this product! Submit a review

|

(5 Publications)

Rabbit Polyclonal beta 3 Adrenergic Receptor antibody. Suitable for IHC-P and reacts with Human samples. Cited in 5 publications. Immunogen corresponding to Synthetic Peptide within Human ADRB3.

View Alternative Names

ADRB3R, B3AR, ADRB3, Beta-3 adrenergic receptor, Beta-3 adrenoreceptor, Beta-3 adrenoceptor

1 Images
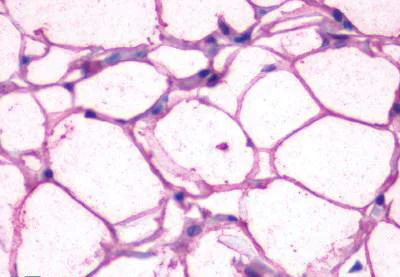
Immunohistochemistry (Formalin/PFA-fixed paraffin-embedded sections) - Anti-beta 3 Adrenergic Receptor antibody - N-terminal (AB140713)
  • IHC-P

Unknown

Immunohistochemistry (Formalin/PFA-fixed paraffin-embedded sections) - Anti-beta 3 Adrenergic Receptor antibody - N-terminal (AB140713)

Immunohistochemical analysis of formalin fixed, paraffin embedded Human adipose tissue labelling beta 3 Adrenergic Receptor with ab140713 at 17 µg/ml.

Key facts

Host species

Rabbit

Clonality

Polyclonal

Isotype

IgG

Carrier free

No

Reacts with

Human

Applications

IHC-P

applications

Immunogen

Synthetic Peptide within Human ADRB3. The exact immunogen used to generate this antibody is proprietary information.

P13945

Reactivity data

{ "title": "Reactivity Data", "filters": { "stats": ["", "Species", "Dilution Info", "Notes"], "tabs": { "all-applications": {"fullname" : "All Applications", "shortname": "All Applications"}, "IHCP" : {"fullname" : "Immunohistochemistry (Formalin/PFA-fixed paraffin-embedded sections)", "shortname":"IHC-P"} }, "product-promise": { "all": "all", "testedAndGuaranteed": "tested", "guaranteed": "expected", "predicted": "predicted", "notRecommended": "not-recommended" } }, "values": { "Human": { "IHCP-species-checked": "testedAndGuaranteed", "IHCP-species-dilution-info": "17 µg/mL", "IHCP-species-notes": "<p></p> Perform heat-mediated antigen retrieval with citrate buffer pH 6 before commencing with IHC staining protocol." }, "Gorilla": { "IHCP-species-checked": "predicted", "IHCP-species-dilution-info": "", "IHCP-species-notes": "" }, "Guinea pig": { "IHCP-species-checked": "predicted", "IHCP-species-dilution-info": "", "IHCP-species-notes": "" } } }

Properties and storage information

Form
Liquid
Purification technique
Affinity purification Immunogen
Storage buffer
pH: 7.4 Preservative: 0.1% Sodium azide Constituents: 99% PBS
Shipped at conditions
Blue Ice
Appropriate short-term storage conditions
+4°C
Appropriate long-term storage conditions
-20°C

Supplementary information

This supplementary information is collated from multiple sources and compiled automatically.

The beta 3 adrenergic receptor also known as beta-3 adrenoceptor or B3 adrenergic receptor is a member of the adrenergic receptor family that activates the GS protein upon binding ligands like catecholamines. This receptor approximately 408 amino acids in size has a predominant mass of around 45 kDa. It is mainly expressed in adipose tissue but also found in the gallbladder urinary bladder and the gastrointestinal tract. These receptors primarily mediate lipolysis and thermogenesis in brown adipose tissue through interaction with norepinephrine and epinephrine.
Biological function summary

The beta 3 adrenergic receptor plays an important role in energy expenditure and metabolic processes. It does not typically form part of a complex but interacts with GS proteins leading to the activation of adenylyl cyclase and consequent increase in cAMP levels. This receptor is instrumental in the regulation of lipid metabolism which aids in maintaining balance in energy store.

Pathways

The beta 3 adrenergic receptor is involved in the adrenergic signaling pathways regulating energy expenditure and thermogenesis. These pathways often work together with other adrenergic receptors such as beta 1 and beta 2 receptors. An important pathway involving the beta 3 adrenergic receptor is the cAMP-dependent pathway which influences metabolic functions and energy homeostasis in the body.

The beta 3 adrenergic receptor is associated with obesity and diabetes. Altered function or expression of this receptor can impact the body's ability to regulate energy metabolism leading to these metabolic disorders. The receptor's function has connections with insulin-like growth factor 1 (IGF1) as changes in energy metabolism affect insulin signaling and glucose homeostasis. Abnormal adrenergic receptor activity can also contribute to bladder disorders due to its expression in the urinary system.

Product protocols

For this product, it's our understanding that no specific protocols are required. You can visit:

Target data

Beta-adrenergic receptors mediate the catecholamine-induced activation of adenylate cyclase through the action of G proteins. Beta-3 is involved in the regulation of lipolysis and thermogenesis.
See full target information ADRB3

Publications (5)

Recent publications for all applications. Explore the full list and refine your search

Journal of obesity 2023:5651084 PubMed36714241

2023

Brief Communication: Histological Assessment of Nonhuman Primate Brown Adipose Tissue Highlights the Importance of Sympathetic Innervation.

Applications

Unspecified application

Species

Unspecified reactive species

Abigail G Williams,Masha Long,Kylie Kavanagh

International journal of molecular sciences 21: PubMed32545695

2020

β3-Adrenoreceptor Blockade Reduces Hypoxic Myeloid Leukemic Cells Survival and Chemoresistance.

Applications

Unspecified application

Species

Unspecified reactive species

Maura Calvani,Annalisa Dabraio,Gennaro Bruno,Veronica De Gregorio,Marcella Coronnello,Costanza Bogani,Sara Ciullini,Giancarlo la Marca,Marina Vignoli,Paola Chiarugi,Margherita Nardi,Alessandro Maria Vannucchi,Luca Filippi,Claudio Favre

Oncogene 39:368-384 PubMed31477835

2019

β3-adrenoreceptor blockade reduces tumor growth and increases neuronal differentiation in neuroblastoma via SK2/S1P modulation.

Applications

Unspecified application

Species

Unspecified reactive species

Gennaro Bruno,Francesca Cencetti,Alessandro Pini,Annalisa Tondo,Daniela Cuzzubbo,Filippo Fontani,Vanessa Strinna,Anna Maria Buccoliero,Gabriella Casazza,Chiara Donati,Luca Filippi,Paola Bruni,Claudio Favre,Maura Calvani

Biochemical and biophysical research communication 514:295-300 PubMed31030945

2019

Targeting β3-adrenergic receptor signaling inhibits neuroblastoma cell growth via suppressing the mTOR pathway.

Applications

Unspecified application

Species

Unspecified reactive species

Jing Deng,Ping Jiang,Tianyou Yang,Mao Huang,Weiwei Qi,Ti Zhou,Zhonghan Yang,Yan Zou,Guoquan Gao,Xia Yang

International journal of clinical and experimental 10:10431-10440 PubMed31966380

2017

Expression of beta adrenergic receptor in oral squamous cell carcinoma and its significance to the prognosis.

Applications

Unspecified application

Species

Unspecified reactive species

Hao Dong,Xian-Xiang Liao,Hua-Ming Mai,Nuo Zhou,Dai-You Wang,Jian-Bo Peng,Liang-Hui Yang
View all publications

Product promise

We are committed to supporting your work with high-quality reagents, and we're here for you every step of the way. In the unlikely event that one of our products does not perform as expected, you're protected by our Product Promise.
For full details, please see our Terms & Conditions

Please note: All products are 'FOR RESEARCH USE ONLY. NOT FOR USE IN DIAGNOSTIC OR THERAPEUTIC PROCEDURES'.

For licensing inquiries, please contact partnerships@abcam.com