JavaScript is disabled in your browser. Please enable JavaScript to view this website.
AB272085

Anti-beta Actin antibody [BLR057F] - BSA free

Be the first to review this product! Submit a review

|

(1 Publication)

Rabbit Recombinant Monoclonal beta Actin antibody. Suitable for IHC-P, ICC, WB and reacts with Human, Mouse samples. Cited in 1 publication. Immunogen corresponding to Synthetic Peptide within Human ACTB aa 1-50.

View Alternative Names

Beta-actin, ACTB

3 Images
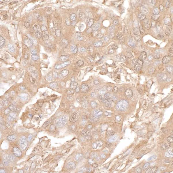
Immunohistochemistry (Formalin/PFA-fixed paraffin-embedded sections) - Anti-beta Actin antibody [BLR057F] - BSA free (AB272085)
  • IHC-P

Supplier Data

Immunohistochemistry (Formalin/PFA-fixed paraffin-embedded sections) - Anti-beta Actin antibody [BLR057F] - BSA free (AB272085)

Formalin-fixed, paraffin-embedded human ovarian carcinoma tissue stained for beta Actin using ab252556 at 1/400 dilution in immunohistochemical analysis, followed by HRP conjugated. DAB staining.

This data was developed using the same antibody clone in a different buffer formulation containing Borate buffered saline, BSA, glycerol and sodium azide (ab252556).

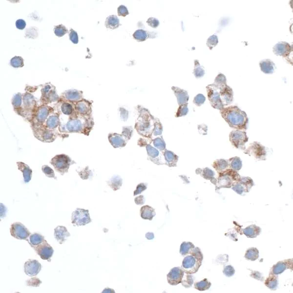
Immunocytochemistry - Anti-beta Actin antibody [BLR057F] - BSA free (AB272085)
  • ICC

Supplier Data

Immunocytochemistry - Anti-beta Actin antibody [BLR057F] - BSA free (AB272085)

FFPE HeLa (human epithelial cell line from cervix adenocarcinoma) cells stained for beta Actin using ab252556 at 1/200 dilution in ICC/IF, followed by HRP conjugated Goat Anti-Rabbit IgG. Substrate : DAB.

This data was developed using the same antibody clone in a different buffer formulation containing Borate buffered saline, BSA, glycerol and sodium azide (ab252556).

Western blot - Anti-beta Actin antibody [BLR057F] - BSA free (AB272085)
  • WB

Supplier Data

Western blot - Anti-beta Actin antibody [BLR057F] - BSA free (AB272085)

This data was developed using the same antibody clone in a different buffer formulation containing Borate buffered saline, BSA, glycerol and sodium azide (ab252556).

Lysates prepared using NETN lysis buffer.

All lanes:

Western blot - Anti-beta Actin antibody [BLR057F] - BSA free (ab272085) at 1/1000 dilution

Lane 1:

U2-OS (human bone osteosarcoma epithelial cell line) whole cell lysate at 50 µg

Lane 2:

A549 (human lung carcinoma cell line) whole cell lysate at 50 µg

Lane 3:

K562 (human chronic myelogenous leukemia cell line from bone marrow) whole cell lysate at 50 µg

Lane 4:

HeLa (human epithelial cell line from cervix adenocarcinoma) whole cell lysate at 50 µg

Lane 5:

HEK-293T (human epithelial cell line from embryonic kidney transformed with large T antigen) whole cell lysate at 50 µg

Lane 6:

Jurkat (human T cell leukemia cell line from peripheral blood) whole cell lysate at 50 µg

Lane 7:

TCMK-1 (mouse kidney epithelial cell line) whole cell lysate at 50 µg

Lane 8:

NIH/3T3 (mouse embyro fibroblast cell line) whole cell lysate at 50 µg

Secondary

All lanes:

HRP-conjugated goat anti-rabbit IgG

Predicted band size: 41 kDa

true

Exposure time: 1s

  • Unconjugated

    Anti-beta Actin antibody [BLR057F] - Loading Control

Key facts

Host species

Rabbit

Clonality

Monoclonal

Clone number

BLR057F

Isotype

IgG

Carrier free

No

Reacts with

Mouse, Human

Applications

IHC-P, WB, ICC

applications

Immunogen

Synthetic Peptide within Human ACTB aa 1-50. The exact immunogen used to generate this antibody is proprietary information.

P60709

Reactivity data

{ "title": "Reactivity Data", "filters": { "stats": ["", "Species", "Dilution Info", "Notes"], "tabs": { "all-applications": {"fullname" : "All Applications", "shortname": "All Applications"}, "IHCP" : {"fullname" : "Immunohistochemistry (Formalin/PFA-fixed paraffin-embedded sections)", "shortname":"IHC-P"}, "ICC" : {"fullname" : "Immunocytochemistry", "shortname":"ICC"}, "WB" : {"fullname" : "Western blot", "shortname":"WB"} }, "product-promise": { "all": "all", "testedAndGuaranteed": "tested", "guaranteed": "expected", "predicted": "predicted", "notRecommended": "not-recommended" } }, "values": { "Human": { "IHCP-species-checked": "testedAndGuaranteed", "IHCP-species-dilution-info": "", "IHCP-species-notes": "<p></p>", "ICC-species-checked": "testedAndGuaranteed", "ICC-species-dilution-info": "", "ICC-species-notes": "<p></p>", "WB-species-checked": "testedAndGuaranteed", "WB-species-dilution-info": "1/1000", "WB-species-notes": "<p></p>" }, "Mouse": { "IHCP-species-checked": "guaranteed", "IHCP-species-dilution-info": "", "IHCP-species-notes": "", "ICC-species-checked": "guaranteed", "ICC-species-dilution-info": "", "ICC-species-notes": "", "WB-species-checked": "testedAndGuaranteed", "WB-species-dilution-info": "1/1000", "WB-species-notes": "<p></p>" } } }

Product details

ab272085 is the BSA-free version of ab252556.

REACH authorisation
Abcam has not and does not intend to apply for the REACH Authorisation of customers' uses of products that contain European Authorisation list (Annex XIV) substances.
It is the responsibility of our customers to check the necessity of application of REACH Authorisation, and any other relevant authorisations, for their intended uses.

This product is sold under License from Bethyl Laboratories, Inc.

Properties and storage information

Form
Liquid
Purification notes
Recombinant antibody was purified from cell culture supernatant.
Storage buffer
pH: 8.2 Preservative: 0.09% Sodium azide Constituents: 99% Borate buffered saline
Shipped at conditions
Blue Ice
Appropriate short-term storage duration
1-2 weeks
Appropriate short-term storage conditions
+4°C
Appropriate long-term storage conditions
+4°C
Aliquoting information
Upon delivery aliquot
Storage information
Avoid freeze / thaw cycle

Supplementary information

This supplementary information is collated from multiple sources and compiled automatically.

Beta actin also known as beta cytoplasmic actin plays a central role in cell structure and motility. It is part of the actin protein family and is widely expressed in eukaryotic cells. The molecular weight of beta actin is approximately 42 kDa. It contributes to the formation of the cytoskeleton and participates in various cellular processes including movement and stability. Actin is abundant in all cell types providing structural integrity and flexibility.
Biological function summary

Beta actin contributes to the maintenance of cell shape and is an important player in cell division and muscle contraction. It forms part of a larger actin filaments network often associating with other proteins to form the actin cytoskeleton complex. This complex supports cellular processes such as signaling intracellular trafficking and positioning of organelles. The dynamic polymerization and depolymerization of actin filaments are critical for cellular functions.

Pathways

Beta actin functions in the regulation of important biological pathways such as the Rho/Rac/Cdc42 signaling pathway and the Wnt signaling pathway. These pathways are essential in numerous cellular activities including cell morphology and gene transcription. Beta actin closely interacts with proteins like myosin and tropomyosin which facilitate its role in muscle contraction and cell division and proteins such as Rac and Cdc42 which help govern cytoskeletal dynamics and cellular responses to extracellular stimuli.

Beta actin has links to cancers and muscular dystrophies. Aberrations in actin dynamics can result in tumor cell migration and metastasis making it a component of interest in cancer research. Additionally mutations or dysregulation in actin-associated proteins may contribute to muscular dystrophies affecting muscle function and strength. Beta actin's interactions with proteins like dystrophin involved in maintaining muscle integrity further highlight its relevance in both biological functions and disease contexts.

Product protocols

For this product, it's our understanding that no specific protocols are required. You can visit:

Target data

Actin is a highly conserved protein that polymerizes to produce filaments that form cross-linked networks in the cytoplasm of cells (PubMed : 25255767, PubMed : 29581253). Actin exists in both monomeric (G-actin) and polymeric (F-actin) forms, both forms playing key functions, such as cell motility and contraction (PubMed : 29581253). In addition to their role in the cytoplasmic cytoskeleton, G- and F-actin also localize in the nucleus, and regulate gene transcription and motility and repair of damaged DNA (PubMed : 29925947). Part of the ACTR1A/ACTB filament around which the dynactin complex is built. The dynactin multiprotein complex activates the molecular motor dynein for ultra-processive transport along microtubules (By similarity).
See full target information ACTB

Publications (1)

Recent publications for all applications. Explore the full list and refine your search

Frontiers in immunology 16:1619194 PubMed41063980

2025

Mendelian randomization combined with single-cell sequencing analysis revealed prognostic genes related to myeloid cell differentiation in prostate cancer and experimental verification.

Applications

Unspecified application

Species

Unspecified reactive species

Jianbai Chen,Jianxin Qiu,Wei Zhang,Zhiyong Nie,Xiaoping Gao,Gongquan Xu,Leiming Kang,Zhiming Zhang
View all publications

Product promise

We are committed to supporting your work with high-quality reagents, and we're here for you every step of the way. In the unlikely event that one of our products does not perform as expected, you're protected by our Product Promise.
For full details, please see our Terms & Conditions

Please note: All products are 'FOR RESEARCH USE ONLY. NOT FOR USE IN DIAGNOSTIC OR THERAPEUTIC PROCEDURES'.

For licensing inquiries, please contact partnerships@abcam.com