JavaScript is disabled in your browser. Please enable JavaScript to view this website.
AB252556

Anti-beta Actin antibody [BLR057F] - Loading Control

Be the first to review this product! Submit a review

|

(7 Publications)

Rabbit Recombinant Monoclonal beta Actin antibody. Suitable for IHC-P, ICC, WB and reacts with Human, Mouse samples. Cited in 7 publications. Immunogen corresponding to Synthetic Peptide within Human ACTB aa 1-50.

View Alternative Names

Beta-actin, ACTB

15 Images
Immunocytochemistry - Anti-beta Actin antibody [BLR057F] - Loading Control (AB252556)
  • ICC

Supplier Data

Immunocytochemistry - Anti-beta Actin antibody [BLR057F] - Loading Control (AB252556)

FFPE HeLa (human epithelial cell line from cervix adenocarcinoma) cells stained for beta Actin using ab252556 at 1/200 dilution in ICC/IF, followed by HRP conjugated Goat Anti-Rabbit IgG. Substrate : DAB.

Immunohistochemistry (Formalin/PFA-fixed paraffin-embedded sections) - Anti-beta Actin antibody [BLR057F] - Loading Control (AB252556)
  • IHC-P

Supplier Data

Immunohistochemistry (Formalin/PFA-fixed paraffin-embedded sections) - Anti-beta Actin antibody [BLR057F] - Loading Control (AB252556)

Formalin-fixed, paraffin-embedded human ovarian carcinoma tissue stained for beta Actin using ab252556 at 1/400 dilution in immunohistochemical analysis, followed by HRP conjugated. DAB staining.

Western blot - Anti-beta Actin antibody [BLR057F] - Loading Control (AB252556)
  • WB

Supplier Data

Western blot - Anti-beta Actin antibody [BLR057F] - Loading Control (AB252556)

All lanes:

Western blot - Anti-MDMX/MDM4 antibody [BL-3-2F2] (<a href='/en-us/products/primary-antibodies/mdmx-mdm4-antibody-bl-3-2f2-ab243859'>ab243859</a>) at 1/1000 dilution

Lane 1:

Jurkat whole cell lysate at 50 µg

Lane 2:

MCF-7 whole cell lysate at 50 µg

Lane 3:

RKO whole cell lysate at 50 µg

Lane 4:

U2OS whole cell lysate at 50 µg

Lane 5:

HEK293T whole cell lysate at 50 µg

Secondary

All lanes:

Western blot - Goat Anti-Rabbit IgG H&L (HRP) (<a href='/en-us/products/secondary-antibodies/goat-rabbit-igg-h-l-hrp-ab97051'>ab97051</a>)

Predicted band size: 54 kDa

Observed band size: 70 kDa

true

Exposure time: 75s

Western blot - Anti-beta Actin antibody [BLR057F] - Loading Control (AB252556)
  • WB

Supplier Data

Western blot - Anti-beta Actin antibody [BLR057F] - Loading Control (AB252556)

All lanes:

Western blot - Anti-hnRNP M3-M4 antibody [2A6-2H3] (<a href='/en-us/products/primary-antibodies/hnrnp-m3-m4-antibody-2a6-2h3-ab128143'>ab128143</a>) at 1/1000 dilution

Lane 1:

HEK293T whole cell lysate at 5 µg

Lane 2:

LNCaP whole cell lysate at 5 µg

Lane 3:

A-549 whole cell lysate at 5 µg

Lane 4:

MCF-7 whole cell lysate at 5 µg

Lane 5:

K-562 whole cell lysate at 5 µg

Secondary

All lanes:

Western blot - Goat Anti-Mouse IgG H&L (HRP) (<a href='/en-us/products/secondary-antibodies/goat-mouse-igg-h-l-hrp-ab97023'>ab97023</a>)

Predicted band size: 77 kDa

Observed band size: 80 kDa

true

Exposure time: 3s

Western blot - Anti-beta Actin antibody [BLR057F] - Loading Control (AB252556)
  • WB

Supplier Data

Western blot - Anti-beta Actin antibody [BLR057F] - Loading Control (AB252556)

All lanes:

Western blot - Anti-BCKDHA (phospho S292) antibody [BLR060F] (<a href='/en-us/products/primary-antibodies/bckdha-phospho-s292-antibody-blr060f-ab275961'>ab275961</a>) at 1/1000 dilution

Lane 1:

HEK293T cells mock treated (-) whole cell lysate at 50 µg

Lane 2:

HEK293T cells treated with phosphatases (+) whole cell lysate at 50 µg

Secondary

All lanes:

Western blot - Goat Anti-Rabbit IgG H&L (HRP) (<a href='/en-us/products/secondary-antibodies/goat-rabbit-igg-h-l-hrp-ab97051'>ab97051</a>)

Predicted band size: 50 kDa

Observed band size: 49 kDa

true

Exposure time: 3min

Western blot - Anti-beta Actin antibody [BLR057F] - Loading Control (AB252556)
  • WB

Supplier Data

Western blot - Anti-beta Actin antibody [BLR057F] - Loading Control (AB252556)

All lanes:

Western blot - Anti-CTCF antibody [BLR041F] (<a href='/en-us/products/primary-antibodies/ctcf-antibody-blr041f-ab243897'>ab243897</a>) at 1/1000 dilution

Lane 1:

HEK293T whole cell lysate at 50 µg

Lane 2:

MCF-7 whole cell lysate at 50 µg

Lane 3:

Jurkat whole cell lysate at 50 µg

Lane 4:

Hep-G2 whole cell lysate at 50 µg

Lane 5:

A-549 whole cell lysate at 50 µg

Secondary

All lanes:

Western blot - Goat Anti-Rabbit IgG H&L (HRP) (<a href='/en-us/products/secondary-antibodies/goat-rabbit-igg-h-l-hrp-ab97051'>ab97051</a>)

Predicted band size: 83 kDa

Observed band size: 127 kDa

true

Exposure time: 3s

Western blot - Anti-beta Actin antibody [BLR057F] - Loading Control (AB252556)
  • WB

Supplier Data

Western blot - Anti-beta Actin antibody [BLR057F] - Loading Control (AB252556)

All lanes:

Western blot - Anti-CD276 antibody [BLR025F] - BSA free (<a href='/en-us/products/primary-antibodies/cd276-antibody-blr025f-bsa-free-ab243882'>ab243882</a>) at 1/1000 dilution

Lane 1:

MCF-7 whole cell lysate at 25 µg

Lane 2:

Jurkat whole cell lysate at 25 µg

Lane 3:

A-172 whole cell lysate at 25 µg

Lane 4:

Ramos whole cell lysate at 25 µg

Lane 5:

HeLa whole cell lysate at 25 µg

Secondary

All lanes:

Western blot - Goat Anti-Rabbit IgG H&L (HRP) (<a href='/en-us/products/secondary-antibodies/goat-rabbit-igg-h-l-hrp-ab97051'>ab97051</a>)

Predicted band size: 57 kDa

Observed band size: 110 kDa

true

Exposure time: 30s

Western blot - Anti-beta Actin antibody [BLR057F] - Loading Control (AB252556)
  • WB

Supplier Data

Western blot - Anti-beta Actin antibody [BLR057F] - Loading Control (AB252556)

Lysates prepared using NETN lysis buffer.

All lanes:

Western blot - Anti-beta Actin antibody [BLR057F] - Loading Control (ab252556) at 1/1000 dilution

Lane 1:

U2-OS (human bone osteosarcoma epithelial cell line) whole cell lysate at 50 µg

Lane 2:

A549 (human lung carcinoma cell line) whole cell lysate at 50 µg

Lane 3:

K562 (human chronic myelogenous leukemia cell line from bone marrow) whole cell lysate at 50 µg

Lane 4:

HeLa (human epithelial cell line from cervix adenocarcinoma) whole cell lysate at 50 µg

Lane 5:

HEK-293T (human epithelial cell line from embryonic kidney transformed with large T antigen) whole cell lysate at 50 µg

Lane 6:

Jurkat (human T cell leukemia cell line from peripheral blood) whole cell lysate at 50 µg

Lane 7:

TCMK-1 (mouse kidney epithelial cell line) whole cell lysate at 50 µg

Lane 8:

NIH/3T3 (mouse embyro fibroblast cell line) whole cell lysate at 50 µg

Secondary

All lanes:

HRP conjugated Goat anti-Rabbit IgG at 1/1000 dilution

Predicted band size: 41 kDa

true

Exposure time: 1s

Western blot - Anti-beta Actin antibody [BLR057F] - Loading Control (AB252556)
  • WB

Supplier Data

Western blot - Anti-beta Actin antibody [BLR057F] - Loading Control (AB252556)

All lanes:

Western blot - Anti-TRAP220/MED1 antibody [BLR037F] (<a href='/en-us/products/primary-antibodies/trap220-med1-antibody-blr037f-ab243893'>ab243893</a>) at 1/1000 dilution

Lane 1:

HeLa whole cell lysate at 10 µg

Lane 2:

HEK293T whole cell lysate at 10 µg

Lane 3:

MCF-7 whole cell lysate at 10 µg

Lane 4:

Hep-G2 whole cell lysate at 10 µg

Lane 5:

A-549 whole cell lysate at 10 µg

Lane 6:

SW620 whole cell lysate at 10 µg

Secondary

All lanes:

Western blot - Goat Anti-Rabbit IgG H&L (HRP) (<a href='/en-us/products/secondary-antibodies/goat-rabbit-igg-h-l-hrp-ab97051'>ab97051</a>)

Predicted band size: 168 kDa

Observed band size: 220 kDa

true

Exposure time: 30s

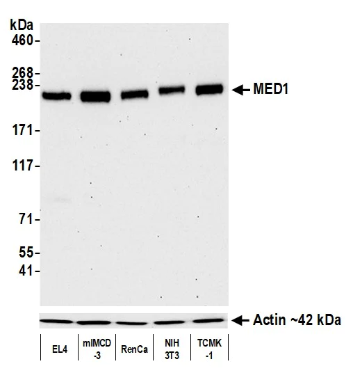
Western blot - Anti-beta Actin antibody [BLR057F] - Loading Control (AB252556)
  • WB

Supplier Data

Western blot - Anti-beta Actin antibody [BLR057F] - Loading Control (AB252556)

All lanes:

Western blot - Anti-TRAP220/MED1 antibody [BLR037F] (<a href='/en-us/products/primary-antibodies/trap220-med1-antibody-blr037f-ab243893'>ab243893</a>) at 1/1000 dilution

Lane 1:

EL4 whole cell lysate at 10 µg

Lane 2:

mIMCD-3 whole cell lysate at 10 µg

Lane 3:

RenCa whole cell lysate at 10 µg

Lane 4:

NIH 3T3 whole cell lysate at 10 µg

Lane 5:

TCMK-1 whole cell lysate at 10 µg

Secondary

All lanes:

Western blot - Goat Anti-Rabbit IgG H&L (HRP) (<a href='/en-us/products/secondary-antibodies/goat-rabbit-igg-h-l-hrp-ab97051'>ab97051</a>)

Predicted band size: 167 kDa

Observed band size: 220 kDa

true

Exposure time: 30s

Western blot - Anti-beta Actin antibody [BLR057F] - Loading Control (AB252556)
  • WB

Supplier Data

Western blot - Anti-beta Actin antibody [BLR057F] - Loading Control (AB252556)

All lanes:

Western blot - Anti-CD44 antibody [BLR038F] (<a href='/en-us/products/primary-antibodies/cd44-antibody-blr038f-ab243894'>ab243894</a>) at 1/1000 dilution

Lane 1:

NIH 3T3 whole cell lysate at 10 µg

Lane 2:

CT26 whole cell lysate at 10 µg

Lane 3:

CH27 whole cell lysate at 10 µg

Lane 4:

TCMK-1 whole cell lysate at 10 µg

Lane 5:

BW5147.3 whole cell lysate at 10 µg

Secondary

All lanes:

Western blot - Goat Anti-Rabbit IgG H&L (HRP) (<a href='/en-us/products/secondary-antibodies/goat-rabbit-igg-h-l-hrp-ab97051'>ab97051</a>)

Predicted band size: 85 kDa

Observed band size: 90 kDa

true

Exposure time: 30s

Western blot - Anti-beta Actin antibody [BLR057F] - Loading Control (AB252556)
  • WB

Supplier Data

Western blot - Anti-beta Actin antibody [BLR057F] - Loading Control (AB252556)

All lanes:

Western blot - Anti-CTCF antibody [BLR041F] (<a href='/en-us/products/primary-antibodies/ctcf-antibody-blr041f-ab243897'>ab243897</a>) at 1/1000 dilution

Lane 1:

NIH 3T3 whole cell lysate at 50 µg

Lane 2:

CT26 whole cell lysate at 50 µg

Lane 3:

TCMK-1 whole cell lysate at 50 µg

Lane 4:

BW5147.3 whole cell lysate at 50 µg

Secondary

All lanes:

Western blot - Goat Anti-Rabbit IgG H&L (HRP) (<a href='/en-us/products/secondary-antibodies/goat-rabbit-igg-h-l-hrp-ab97051'>ab97051</a>)

Predicted band size: 82 kDa

Observed band size: 130 kDa

true

Exposure time: 30s

Western blot - Anti-beta Actin antibody [BLR057F] - Loading Control (AB252556)
  • WB

Supplier Data

Western blot - Anti-beta Actin antibody [BLR057F] - Loading Control (AB252556)

All lanes:

Western blot - Anti-hnRNP M3-M4 antibody [2A6-2H3] (<a href='/en-us/products/primary-antibodies/hnrnp-m3-m4-antibody-2a6-2h3-ab128143'>ab128143</a>) at 1/1000 dilution

Lane 1:

BW5147.3 whole cell lysate at 10 µg

Lane 2:

CT26 whole cell lysate at 10 µg

Lane 3:

CH27 whole cell lysate at 10 µg

Lane 4:

TCMK-1 whole cell lysate at 10 µg

Lane 5:

NIH 3T3 whole cell lysate at 10 µg

Secondary

All lanes:

Western blot - Goat Anti-Mouse IgG H&L (HRP) (<a href='/en-us/products/secondary-antibodies/goat-mouse-igg-h-l-hrp-ab97023'>ab97023</a>)

Predicted band size: 77 kDa

Observed band size: 80 kDa

true

Exposure time: 10s

Western blot - Anti-beta Actin antibody [BLR057F] - Loading Control (AB252556)
  • WB

Supplier Data

Western blot - Anti-beta Actin antibody [BLR057F] - Loading Control (AB252556)

All lanes:

Western blot - Anti-BCKDHA (phospho S292) antibody [BLR060F] (<a href='/en-us/products/primary-antibodies/bckdha-phospho-s292-antibody-blr060f-ab275961'>ab275961</a>) at 1/1000 dilution

Lane 1:

NIH 3T3 whole cell lysate at 50 µg

Lane 2:

CT26 whole cell lysate at 50 µg

Lane 3:

TCMK-1 whole cell lysate at 50 µg

Lane 4:

BW5147.3 whole cell lysate at 50 µg

Lane 5:

CH27 whole cell lysate at 50 µg

Secondary

All lanes:

Western blot - Goat Anti-Rabbit IgG H&L (HRP) (<a href='/en-us/products/secondary-antibodies/goat-rabbit-igg-h-l-hrp-ab97051'>ab97051</a>)

Predicted band size: 50 kDa

Observed band size: 49 kDa

true

Exposure time: 75s

Western blot - Anti-beta Actin antibody [BLR057F] - Loading Control (AB252556)
  • WB

Supplier Data

Western blot - Anti-beta Actin antibody [BLR057F] - Loading Control (AB252556)

All lanes:

Western blot - Anti-CD276 antibody [BLR025F] - BSA free (<a href='/en-us/products/primary-antibodies/cd276-antibody-blr025f-bsa-free-ab243882'>ab243882</a>) at 1/1000 dilution

Lane 1:

NIH 3T3 whole cell lysate at 50 µg

Lane 2:

AlphaTC1 Clone 9 whole cell lysate at 50 µg

Lane 3:

NIH 3T3-L1 whole cell lysate at 50 µg

Lane 4:

CT26 whole cell lysate at 50 µg

Secondary

All lanes:

Western blot - Goat Anti-Rabbit IgG H&L (HRP) (<a href='/en-us/products/secondary-antibodies/goat-rabbit-igg-h-l-hrp-ab97051'>ab97051</a>)

Predicted band size: 34 kDa

Observed band size: 46 kDa

true

Exposure time: 3min

Key facts

Host species

Rabbit

Clonality

Monoclonal

Clone number

BLR057F

Isotype

IgG

Carrier free

No

Reacts with

Mouse, Human

Applications

ICC, WB, IHC-P

applications

Immunogen

Synthetic Peptide within Human ACTB aa 1-50. The exact immunogen used to generate this antibody is proprietary information.

P60709

Reactivity data

{ "title": "Reactivity Data", "filters": { "stats": ["", "Species", "Dilution Info", "Notes"], "tabs": { "all-applications": {"fullname" : "All Applications", "shortname": "All Applications"}, "IHCP" : {"fullname" : "Immunohistochemistry (Formalin/PFA-fixed paraffin-embedded sections)", "shortname":"IHC-P"}, "ICC" : {"fullname" : "Immunocytochemistry", "shortname":"ICC"}, "WB" : {"fullname" : "Western blot", "shortname":"WB"} }, "product-promise": { "all": "all", "testedAndGuaranteed": "tested", "guaranteed": "expected", "predicted": "predicted", "notRecommended": "not-recommended" } }, "values": { "Human": { "IHCP-species-checked": "testedAndGuaranteed", "IHCP-species-dilution-info": "1/100 - 1/500", "IHCP-species-notes": "<p></p> Perform heat-mediated antigen retrieval with citrate buffer pH 6 before commencing with IHC staining protocol.", "ICC-species-checked": "testedAndGuaranteed", "ICC-species-dilution-info": "1/100 - 1/500", "ICC-species-notes": "<p>Epitope retrieval with citrate buffer pH6.0 is recommended for FFPE cell sections.</p>", "WB-species-checked": "testedAndGuaranteed", "WB-species-dilution-info": "1/1000", "WB-species-notes": "<p></p>" }, "Mouse": { "IHCP-species-checked": "guaranteed", "IHCP-species-dilution-info": "", "IHCP-species-notes": "", "ICC-species-checked": "guaranteed", "ICC-species-dilution-info": "", "ICC-species-notes": "", "WB-species-checked": "testedAndGuaranteed", "WB-species-dilution-info": "1/1000", "WB-species-notes": "<p></p>" } } }

Product details

This product is sold under License from Bethyl Laboratories, Inc.

Properties and storage information

Form
Liquid
Purification notes
Recombinant antibody was purified from cell culture supernatant.
Storage buffer
pH: 7.8 - 8.6 Preservative: 0.09% Sodium azide Constituents: 99% Borate buffered saline, 0.1% BSA
Shipped at conditions
Blue Ice
Appropriate short-term storage duration
1-2 weeks
Appropriate short-term storage conditions
+4°C
Appropriate long-term storage conditions
-20°C
Aliquoting information
Upon delivery aliquot
Storage information
Avoid freeze / thaw cycle

Supplementary information

This supplementary information is collated from multiple sources and compiled automatically.

Beta actin also known as beta cytoplasmic actin plays a central role in cell structure and motility. It is part of the actin protein family and is widely expressed in eukaryotic cells. The molecular weight of beta actin is approximately 42 kDa. It contributes to the formation of the cytoskeleton and participates in various cellular processes including movement and stability. Actin is abundant in all cell types providing structural integrity and flexibility.
Biological function summary

Beta actin contributes to the maintenance of cell shape and is an important player in cell division and muscle contraction. It forms part of a larger actin filaments network often associating with other proteins to form the actin cytoskeleton complex. This complex supports cellular processes such as signaling intracellular trafficking and positioning of organelles. The dynamic polymerization and depolymerization of actin filaments are critical for cellular functions.

Pathways

Beta actin functions in the regulation of important biological pathways such as the Rho/Rac/Cdc42 signaling pathway and the Wnt signaling pathway. These pathways are essential in numerous cellular activities including cell morphology and gene transcription. Beta actin closely interacts with proteins like myosin and tropomyosin which facilitate its role in muscle contraction and cell division and proteins such as Rac and Cdc42 which help govern cytoskeletal dynamics and cellular responses to extracellular stimuli.

Beta actin has links to cancers and muscular dystrophies. Aberrations in actin dynamics can result in tumor cell migration and metastasis making it a component of interest in cancer research. Additionally mutations or dysregulation in actin-associated proteins may contribute to muscular dystrophies affecting muscle function and strength. Beta actin's interactions with proteins like dystrophin involved in maintaining muscle integrity further highlight its relevance in both biological functions and disease contexts.

Product protocols

For this product, it's our understanding that no specific protocols are required. You can visit:

Target data

Actin is a highly conserved protein that polymerizes to produce filaments that form cross-linked networks in the cytoplasm of cells (PubMed : 25255767, PubMed : 29581253). Actin exists in both monomeric (G-actin) and polymeric (F-actin) forms, both forms playing key functions, such as cell motility and contraction (PubMed : 29581253). In addition to their role in the cytoplasmic cytoskeleton, G- and F-actin also localize in the nucleus, and regulate gene transcription and motility and repair of damaged DNA (PubMed : 29925947). Part of the ACTR1A/ACTB filament around which the dynactin complex is built. The dynactin multiprotein complex activates the molecular motor dynein for ultra-processive transport along microtubules (By similarity).
See full target information ACTB

Publications (7)

Recent publications for all applications. Explore the full list and refine your search

Frontiers in pharmacology 16:1508047 PubMed40110131

2025

Amentoflavone protects against cisplatin-induced acute kidney injury by modulating Nrf2-mediated oxidative stress and ferroptosis and partially by activating Nrf2-dependent PANoptosis.

Applications

Unspecified application

Species

Unspecified reactive species

Yan Zhang,Jianqiang Hu,Yanmin Zhang,Xinxin Ci

Open medicine (Warsaw, Poland) 19:20240991 PubMed39091610

2024

SHP-1 mediates cigarette smoke extract-induced epithelial-mesenchymal transformation and inflammation in 16HBE cells.

Applications

Unspecified application

Species

Unspecified reactive species

Quan He,Shuanglan Xu,Xiaomei Ma,Yuanxia Qian,Xuzhi Lu,Weiqi Feng,Zi Chen

Frontiers in neuroscience 18:1379658 PubMed38803685

2024

Expression of the apelin receptor, a novel potential therapeutic target, and its endogenous ligands in diverse stem cell populations in human glioblastoma.

Applications

Unspecified application

Species

Unspecified reactive species

Thomas L Williams,Peter Nwokoye,Rhoda E Kuc,Kieran Smith,Anna L Paterson,Kieren Allinson,Janet J Maguire,Anthony P Davenport

Environmental toxicology 39:4207-4220 PubMed38727079

2024

Functional mechanism of hypoxia-like conditions mediating resistance to ferroptosis in cervical cancer cells by regulating KDM4A SUMOylation and the SLC7A11/GPX4 pathway.

Applications

Unspecified application

Species

Unspecified reactive species

Jing Xiong,Puxiang Chen,Ling He,Xiaoshan Chai,Yongjing Zhang,Shujuan Sun

Genes and environment : the official journal of the Japanese Environmental Mutagen Society 44:23 PubMed36163195

2022

MicroRNA miR-627-5p restrains pulmonary artery smooth muscle cell dysfunction by targeting MAP 2 K4 and PI3K/AKT signaling.

Applications

Unspecified application

Species

Unspecified reactive species

Ting Li,Xiaoqin Tan,Yuexia Huang,Jun Cui,Fan Chen,Ying Xiong

Stem cells international 2022:1608806 PubMed35287356

2022

Hypoxia Enhances HIF1 Transcription Activity by Upregulating KDM4A and Mediating H3K9me3, Thus Inducing Ferroptosis Resistance in Cervical Cancer Cells.

Applications

Unspecified application

Species

Unspecified reactive species

Jing Xiong,Meifang Nie,Chun Fu,Xiaoshan Chai,Yongjing Zhang,Ling He,Shujuan Sun

Frontiers in oncology 11:685912 PubMed34322386

2021

Downregulation of SOX2-OT Prevents Hepatocellular Carcinoma Progression Through miR-143-3p/MSI2.

Applications

Unspecified application

Species

Unspecified reactive species

Hongfeng Zhao,Minping Bi,Meng Lou,Xiaowei Yang,Liwen Sun
View all publications

Product promise

We are committed to supporting your work with high-quality reagents, and we're here for you every step of the way. In the unlikely event that one of our products does not perform as expected, you're protected by our Product Promise.
For full details, please see our Terms & Conditions

Please note: All products are 'FOR RESEARCH USE ONLY. NOT FOR USE IN DIAGNOSTIC OR THERAPEUTIC PROCEDURES'.

For licensing inquiries, please contact partnerships@abcam.com