JavaScript is disabled in your browser. Please enable JavaScript to view this website.
AB324775

Anti-beta Actin (mono methyl H73) antibody [EPR29292-70] - BSA and Azide free

  • KO Validated
  • RabMAb
  • Recombinant
  • BOND RX™ Validated
  • What is this?

Be the first to review this product! Submit a review

|

(0 Publication)

Rabbit Recombinant Monoclonal beta Actin mono methyl H73 antibody. Carrier free. Suitable for IHC-P, WB and reacts with Human, Mouse samples.

View Alternative Names

Beta-actin

12 Images
Immunohistochemistry (Formalin/PFA-fixed paraffin-embedded sections) - Anti-beta Actin (mono methyl H73) antibody [EPR29292-70] - BSA and Azide free (AB324775)
  • IHC-P

Supplier Data

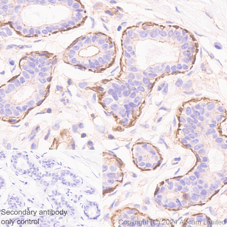
Immunohistochemistry (Formalin/PFA-fixed paraffin-embedded sections) - Anti-beta Actin (mono methyl H73) antibody [EPR29292-70] - BSA and Azide free (AB324775)

This data was developed using ab322203, the same antibody clone in a different buffer formulation.

Immunohistochemical analysis of paraffin-embedded Human mammary gland tissue labeling beta Actin (mono methyl H73) with ab322203 at 1/500 (0.992 ug/ml) dilution, followed by a ready to use LeicaDS9800 (Bond™ Polymer Refine Detection).

Positive staining in human mammary gland.
The section was incubated with ab322203 for 30 mins at room temperature.
The immunostaining was performed on a Leica Biosystems BOND® RX instrument

Counterstained with Hematoxylin.

Secondary antibody only control : Secondary antibody is a ready to use LeicaDS9800 (Bond™ Polymer Refine Detection).

Heat mediated antigen retrieval was performed with Tris-EDTA buffer (pH 9.0, Epitope Retrieval Solution2) for 20 mins

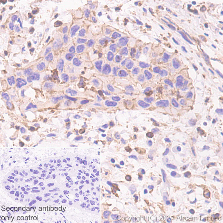
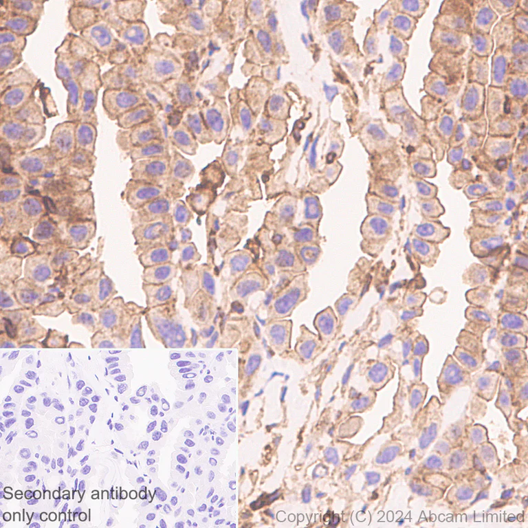
Immunohistochemistry (Formalin/PFA-fixed paraffin-embedded sections) - Anti-beta Actin (mono methyl H73) antibody [EPR29292-70] - BSA and Azide free (AB324775)
  • IHC-P

Supplier Data

Immunohistochemistry (Formalin/PFA-fixed paraffin-embedded sections) - Anti-beta Actin (mono methyl H73) antibody [EPR29292-70] - BSA and Azide free (AB324775)

This data was developed using ab322203, the same antibody clone in a different buffer formulation.

Immunohistochemical analysis of paraffin-embedded Human endometrial carcinoma tissue labeling beta Actin (mono methyl H73) with ab322203 at 1/500 (0.992 ug/ml) dilution, followed by a ready to use LeicaDS9800 (Bond™ Polymer Refine Detection).

Positive staining in stromal cell of human endometrial carcinoma.
The section was incubated with ab322203 for 30 mins at room temperature.
The immunostaining was performed on a Leica Biosystems BOND® RX instrument

Counterstained with Hematoxylin.

Secondary antibody only control : Secondary antibody is a ready to use LeicaDS9800 (Bond™ Polymer Refine Detection).

Heat mediated antigen retrieval was performed with Tris-EDTA buffer (pH 9.0, Epitope Retrieval Solution2) for 20 mins

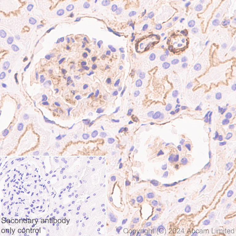
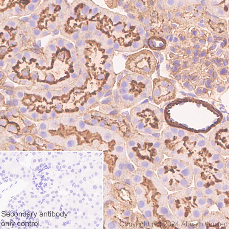
Immunohistochemistry (Formalin/PFA-fixed paraffin-embedded sections) - Anti-beta Actin (mono methyl H73) antibody [EPR29292-70] - BSA and Azide free (AB324775)
  • IHC-P

Supplier Data

Immunohistochemistry (Formalin/PFA-fixed paraffin-embedded sections) - Anti-beta Actin (mono methyl H73) antibody [EPR29292-70] - BSA and Azide free (AB324775)

This data was developed using ab322203, the same antibody clone in a different buffer formulation.

Immunohistochemical analysis of paraffin-embedded Human kidney tissue labeling beta Actin (mono methyl H73) with ab322203 at 1/500 (0.992 ug/ml) dilution, followed by a ready to use LeicaDS9800 (Bond™ Polymer Refine Detection).

Positive staining in human kidney.
The section was incubated with ab322203 for 30 mins at room temperature.
The immunostaining was performed on a Leica Biosystems BOND® RX instrument

Counterstained with Hematoxylin.

Secondary antibody only control : Secondary antibody is a ready to use LeicaDS9800 (Bond™ Polymer Refine Detection).

Heat mediated antigen retrieval was performed with Tris-EDTA buffer (pH 9.0, Epitope Retrieval Solution2) for 20 mins

Immunohistochemistry (Formalin/PFA-fixed paraffin-embedded sections) - Anti-beta Actin (mono methyl H73) antibody [EPR29292-70] - BSA and Azide free (AB324775)
  • IHC-P

Supplier Data

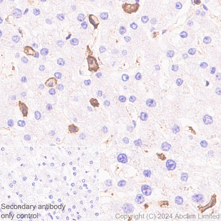
Immunohistochemistry (Formalin/PFA-fixed paraffin-embedded sections) - Anti-beta Actin (mono methyl H73) antibody [EPR29292-70] - BSA and Azide free (AB324775)

This data was developed using ab322203, the same antibody clone in a different buffer formulation.

Immunohistochemical analysis of paraffin-embedded Human liver tissue labeling beta Actin (mono methyl H73) with ab322203 at 1/500 (0.992 ug/ml) dilution, followed by a ready to use LeicaDS9800 (Bond™ Polymer Refine Detection).

Positive staining in immune cell of human liver.
The section was incubated with ab322203 for 30 mins at room temperature.
The immunostaining was performed on a Leica Biosystems BOND® RX instrument

Counterstained with Hematoxylin.

Secondary antibody only control : Secondary antibody is a ready to use LeicaDS9800 (Bond™ Polymer Refine Detection).

Heat mediated antigen retrieval was performed with Tris-EDTA buffer (pH 9.0, Epitope Retrieval Solution2) for 20 mins

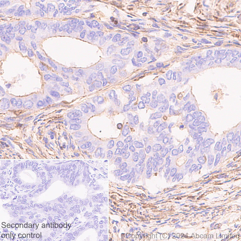
Immunohistochemistry (Formalin/PFA-fixed paraffin-embedded sections) - Anti-beta Actin (mono methyl H73) antibody [EPR29292-70] - BSA and Azide free (AB324775)
  • IHC-P

Supplier Data

Immunohistochemistry (Formalin/PFA-fixed paraffin-embedded sections) - Anti-beta Actin (mono methyl H73) antibody [EPR29292-70] - BSA and Azide free (AB324775)

This data was developed using ab322203, the same antibody clone in a different buffer formulation.

Immunohistochemical analysis of paraffin-embedded Human lung carcinoma tissue labeling beta Actin (mono methyl H73) with ab322203 at 1/500 (0.992 ug/ml) dilution, followed by a ready to use LeicaDS9800 (Bond™ Polymer Refine Detection).

Positive staining in human lung carcinoma.
The section was incubated with ab322203 for 30 mins at room temperature.
The immunostaining was performed on a Leica Biosystems BOND® RX instrument

Counterstained with Hematoxylin.

Secondary antibody only control : Secondary antibody is a ready to use LeicaDS9800 (Bond™ Polymer Refine Detection).

Heat mediated antigen retrieval was performed with Tris-EDTA buffer (pH 9.0, Epitope Retrieval Solution2) for 20 mins

Immunohistochemistry (Formalin/PFA-fixed paraffin-embedded sections) - Anti-beta Actin (mono methyl H73) antibody [EPR29292-70] - BSA and Azide free (AB324775)
  • IHC-P

Supplier Data

Immunohistochemistry (Formalin/PFA-fixed paraffin-embedded sections) - Anti-beta Actin (mono methyl H73) antibody [EPR29292-70] - BSA and Azide free (AB324775)

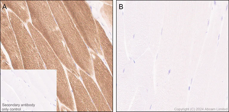
This data was developed using ab322203, the same antibody clone in a different buffer formulation.

Immunohistochemical analysis of paraffin-embedded (A) Wild-type mouse skeletal muscle and (B) SETD3 knockout mouse skeletal muscle tissue labeling beta Actin (mono methyl H73) with ab322203 at 1/100 (4.96 ug/ml) dilution, followed by a ready to use LeicaDS9800 (Bond™ Polymer Refine Detection).

Positive staining in (A) Wild-type mouse skeletal muscle, no staining in (B) SETD3 knockout mouse skeletal muscle.
The Wild-type and SETD3 knockout mouse skeletal muscle sections were kindly provided by Dr Hai-Ning Du's lab, Wuhan University.
The section was incubated with ab322203 for 30 mins at room temperature.
The immunostaining was performed on a Leica Biosystems BOND® RX instrument

Counterstained with Hematoxylin.

Secondary antibody only control : Secondary antibody is a ready to use LeicaDS9800 (Bond™ Polymer Refine Detection).

Heat mediated antigen retrieval was performed with Tris-EDTA buffer (pH 9.0, Epitope Retrieval Solution2) for 20 mins

Dr Hai-Ning Du's lab, Wuhan University

Immunohistochemistry (Formalin/PFA-fixed paraffin-embedded sections) - Anti-beta Actin (mono methyl H73) antibody [EPR29292-70] - BSA and Azide free (AB324775)
  • IHC-P

Supplier Data

Immunohistochemistry (Formalin/PFA-fixed paraffin-embedded sections) - Anti-beta Actin (mono methyl H73) antibody [EPR29292-70] - BSA and Azide free (AB324775)

This data was developed using ab322203, the same antibody clone in a different buffer formulation.

Immunohistochemical analysis of paraffin-embedded Mouse kidney tissue labeling beta Actin (mono methyl H73) with ab322203 at 1/100 (4.96 ug/ml) dilution, followed by a ready to use LeicaDS9800 (Bond™ Polymer Refine Detection).

Positive staining in mouse kidney.
The section was incubated with ab322203 for 30 mins at room temperature.
The immunostaining was performed on a Leica Biosystems BOND® RX instrument

Counterstained with Hematoxylin.

Secondary antibody only control : Secondary antibody is a ready to use LeicaDS9800 (Bond™ Polymer Refine Detection).

Heat mediated antigen retrieval was performed with Tris-EDTA buffer (pH 9.0, Epitope Retrieval Solution2) for 20 mins

Immunohistochemistry (Formalin/PFA-fixed paraffin-embedded sections) - Anti-beta Actin (mono methyl H73) antibody [EPR29292-70] - BSA and Azide free (AB324775)
  • IHC-P

Supplier Data

Immunohistochemistry (Formalin/PFA-fixed paraffin-embedded sections) - Anti-beta Actin (mono methyl H73) antibody [EPR29292-70] - BSA and Azide free (AB324775)

This data was developed using ab322203, the same antibody clone in a different buffer formulation.

Immunohistochemical analysis of paraffin-embedded Mouse lung tumor tissue labeling beta Actin (mono methyl H73) with ab322203 at 1/100 (4.96 ug/ml) dilution, followed by a ready to use LeicaDS9800 (Bond™ Polymer Refine Detection).

Positive staining in mouse lung tumor.
The section was incubated with ab322203 for 30 mins at room temperature.
The immunostaining was performed on a Leica Biosystems BOND® RX instrument

Counterstained with Hematoxylin.

Secondary antibody only control : Secondary antibody is a ready to use LeicaDS9800 (Bond™ Polymer Refine Detection).

Heat mediated antigen retrieval was performed with Tris-EDTA buffer (pH 9.0, Epitope Retrieval Solution2) for 20 mins

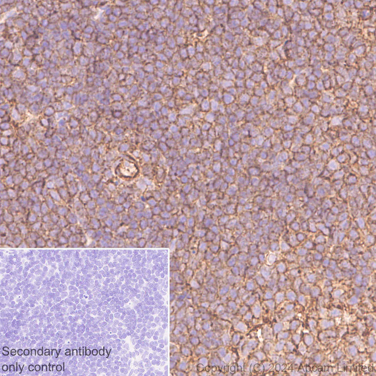
Immunohistochemistry (Formalin/PFA-fixed paraffin-embedded sections) - Anti-beta Actin (mono methyl H73) antibody [EPR29292-70] - BSA and Azide free (AB324775)
  • IHC-P

Supplier Data

Immunohistochemistry (Formalin/PFA-fixed paraffin-embedded sections) - Anti-beta Actin (mono methyl H73) antibody [EPR29292-70] - BSA and Azide free (AB324775)

This data was developed using ab322203, the same antibody clone in a different buffer formulation.

Immunohistochemical analysis of paraffin-embedded Mouse spleen tissue labeling beta Actin (mono methyl H73) with ab322203 at 1/100 (4.96 ug/ml) dilution, followed by a ready to use LeicaDS9800 (Bond™ Polymer Refine Detection).

Positive staining in mouse spleen.
The section was incubated with ab322203 for 30 mins at room temperature.
The immunostaining was performed on a Leica Biosystems BOND® RX instrument

Counterstained with Hematoxylin.

Secondary antibody only control : Secondary antibody is a ready to use LeicaDS9800 (Bond™ Polymer Refine Detection).

Heat mediated antigen retrieval was performed with Tris-EDTA buffer (pH 9.0, Epitope Retrieval Solution2) for 20 mins

Western blot - Anti-beta Actin (mono methyl H73) antibody [EPR29292-70] - BSA and Azide free (AB324775)
  • WB

Supplier Data

Western blot - Anti-beta Actin (mono methyl H73) antibody [EPR29292-70] - BSA and Azide free (AB324775)

This data was developed using ab322203, the same antibody clone in a different buffer formulation.

Blocking and diluting buffer and concentration : 5% NFDM/TBST.

SETD3 is an actin specific histidine methyltransferase that catalyzes the Nτ -methylation reaction of histidine 73 (H73) residue in human actin.

The Wild-type PC-9 and SETD3 knock out PC-9 lysates were kindly provided by Dr Hai-Ning Du's lab, Wuhan University.

All lanes:

Western blot - Anti-beta Actin (mono methyl H73) antibody [EPR29292-70] (<a href='/en-us/products/primary-antibodies/beta-actin-mono-methyl-h73-antibody-epr29292-70-ab322203'>ab322203</a>) at 1/1000 dilution

Lane 1:

Wild-type PC-9 (human lung adenocarcinoma cell) whole cell lysate at 20 µg

Lane 2:

SETD3 knock out PC-9 whole cell lysate at 20 µg

Secondary

All lanes:

Western blot - Goat Anti-Rabbit IgG H&L (HRP) (<a href='/en-us/products/secondary-antibodies/goat-rabbit-igg-h-l-hrp-ab97051'>ab97051</a>) at 1/100000 dilution

Observed band size: 41 kDa

false

Exposure time: 81s

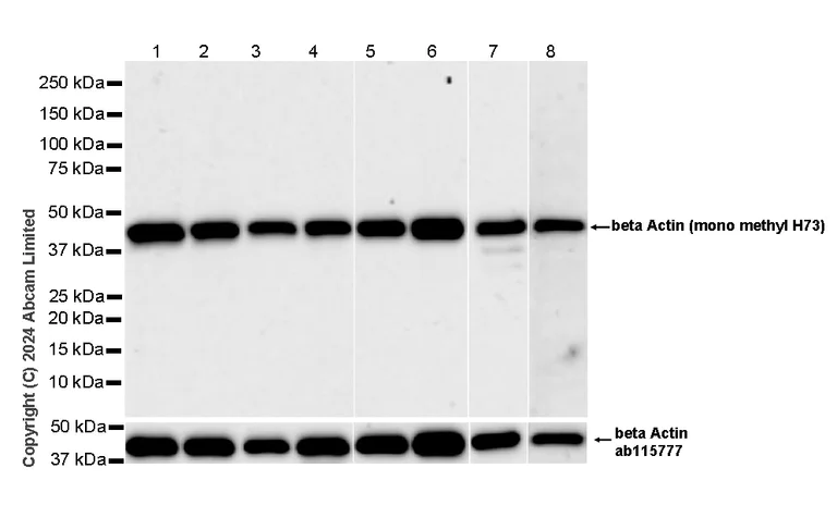
Western blot - Anti-beta Actin (mono methyl H73) antibody [EPR29292-70] - BSA and Azide free (AB324775)
  • WB

Supplier Data

Western blot - Anti-beta Actin (mono methyl H73) antibody [EPR29292-70] - BSA and Azide free (AB324775)

This data was developed using ab322203, the same antibody clone in a different buffer formulation.

Blocking and diluting buffer and concentration : 5% NFDM/TBST.

Lanes 1-6 are incubated with Goat Anti-Rabbit IgG, (H+L), Peroxidase conjugated (ab97051) at 1/100000 and lanes 7-8 are incubated with Goat Anti-Rabbit IgG (HRP) with minimal cross-reactivity with human IgG at 1/2000.

Exposure time : Lanes 1-7 : 81 seconds; Lane 8 : 180 seconds

All lanes:

Western blot - Anti-beta Actin (mono methyl H73) antibody [EPR29292-70] (<a href='/en-us/products/primary-antibodies/beta-actin-mono-methyl-h73-antibody-epr29292-70-ab322203'>ab322203</a>) at 1/1000 dilution

Lane 1:

A549 (human lung carcinoma epithelial cell) whole cell lysate at 20 µg

Lane 2:

Raji (human Burkitt's lymphoma B lymphocyte) whole cell lysate at 20 µg

Lane 3:

A431 (human epidermoid carcinoma epithelial cell) whole cell lysate at 20 µg

Lane 4:

RAW 264.7 (mouse Abelson murine leukemia virus-induced tumor macrophage) whole cell lysate at 20 µg

Lane 5:

Mouse brain tissue lysate at 20 µg

Lane 6:

Mouse spleen tissue lysate at 20 µg

Lane 7:

Human spleen tissue lysate at 20 µg

Lane 8:

Human liver tissue lysate at 20 µg

Secondary

Lanes 1 - 6:

Western blot - Goat Anti-Rabbit IgG H&L (HRP) (<a href='/en-us/products/secondary-antibodies/goat-rabbit-igg-h-l-hrp-ab97051'>ab97051</a>) at 1/100000 dilution

Lanes 7 - 8:

Goat Anti-Rabbit IgG (HRP) with minimal cross-reactivity with human IgG at 1/2000 dilution

Observed band size: 41 kDa

false

Western blot - Anti-beta Actin (mono methyl H73) antibody [EPR29292-70] - BSA and Azide free (AB324775)
  • WB

Supplier Data

Western blot - Anti-beta Actin (mono methyl H73) antibody [EPR29292-70] - BSA and Azide free (AB324775)

This data was developed using ab322203, the same antibody clone in a different buffer formulation.

Blocking and diluting buffer and concentration : 5% NFDM/TBST.

All lanes:

Western blot - Anti-beta Actin (mono methyl H73) antibody [EPR29292-70] (<a href='/en-us/products/primary-antibodies/beta-actin-mono-methyl-h73-antibody-epr29292-70-ab322203'>ab322203</a>) at 1/1000 dilution

Lane 1:

HeLa (human cervical adenocarcinoma epithelial cell) whole cell lysate at 20 µg

Lane 2:

293T (human embryonic kidney epithelial cell) whole cell lysate at 20 µg

Lane 3:

NIH/3T3 (mouse embryonic fibroblast) whole cell lysate at 20 µg

Secondary

All lanes:

Western blot - Goat Anti-Rabbit IgG H&L (HRP) (<a href='/en-us/products/secondary-antibodies/goat-rabbit-igg-h-l-hrp-ab97051'>ab97051</a>) at 1/100000 dilution

Observed band size: 41 kDa

false

Exposure time: 81s

Key facts

Host species

Rabbit

Clonality

Monoclonal

Clone number

EPR29292-70

Isotype

IgG

Carrier free

Yes

Reacts with

Human, Mouse

Applications

IHC-P, WB

applications

Immunogen

This product was produced with the following immunogens:

The exact immunogen used to generate this antibody is proprietary information.

The exact immunogen used to generate this antibody is proprietary information.

Reactivity data

{ "title": "Reactivity Data", "filters": { "stats": ["", "Species", "Dilution Info", "Notes"], "tabs": { "all-applications": {"fullname" : "All Applications", "shortname": "All Applications"}, "IHCP" : {"fullname" : "Immunohistochemistry (Formalin/PFA-fixed paraffin-embedded sections)", "shortname":"IHC-P"}, "IP" : {"fullname" : "Immunoprecipitation", "shortname":"IP"}, "ICCIF" : {"fullname" : "Immunocytochemistry/ Immunofluorescence", "shortname":"ICC/IF"}, "WB" : {"fullname" : "Western blot", "shortname":"WB"} }, "product-promise": { "all": "all", "testedAndGuaranteed": "tested", "guaranteed": "expected", "predicted": "predicted", "notRecommended": "not-recommended" } }, "values": { "Human": { "IHCP-species-checked": "testedAndGuaranteed", "IHCP-species-dilution-info": "", "IHCP-species-notes": "<p></p> Perform heat-mediated antigen retrieval with Tris/EDTA buffer pH 9.0 before commencing with IHC staining protocol.", "IP-species-checked": "notRecommended", "IP-species-dilution-info": "", "IP-species-notes": "<p></p>", "ICCIF-species-checked": "notRecommended", "ICCIF-species-dilution-info": "", "ICCIF-species-notes": "<p></p>", "WB-species-checked": "testedAndGuaranteed", "WB-species-dilution-info": "", "WB-species-notes": "<p></p>" }, "Mouse": { "IHCP-species-checked": "testedAndGuaranteed", "IHCP-species-dilution-info": "", "IHCP-species-notes": "<p></p> Perform heat-mediated antigen retrieval with Tris/EDTA buffer pH 9.0 before commencing with IHC staining protocol.", "IP-species-checked": "notRecommended", "IP-species-dilution-info": "", "IP-species-notes": "<p></p>", "ICCIF-species-checked": "notRecommended", "ICCIF-species-dilution-info": "", "ICCIF-species-notes": "<p></p>", "WB-species-checked": "testedAndGuaranteed", "WB-species-dilution-info": "", "WB-species-notes": "<p></p>" } } }

Product details

ab324775 is the carrier-free version of ab322203.

Patented technology
Our RabMAb® technology is a patented hybridoma-based technology for making rabbit monoclonal antibodies. For details on our patents, please refer to RabMAb® patents.

What are the advantages of a recombinant monoclonal antibody?
This product is a recombinant monoclonal antibody, which offers several advantages including:

  • - High batch-to-batch consistency and reproducibility
  • - Improved sensitivity and specificity
  • - Long-term security of supply
  • - Animal-free batch production

For more information, read more on recombinant antibodies.

Conjugation ready
Our carrier-free antibodies are typically supplied in a PBS-only formulation, purified and free of BSA, sodium azide and glycerol. This conjugation-ready format is designed for use with fluorochromes, metal isotopes, oligonucleotides, and enzymes, which makes them ideal for antibody labelling, functional and cell-based assays, flow-based assays (e.g. mass cytometry) and Multiplex Imaging applications.

Use our conjugation kits for antibody conjugates that are ready-to-use in as little as 20 minutes with 1 minute hands-on-time and 100% antibody recovery: available for fluorescent dyes, HRP, biotin and gold.

Compatibility
This product is compatible with the Maxpar® Antibody Labeling Kit from Fluidigm, without the need for antibody preparation. Maxpar® is a trademark of Fluidigm Canada Inc.

Properties and storage information

Form
Liquid
Purification technique
Affinity purification Protein A
Storage buffer
pH: 7.2 - 7.4 Constituents: PBS
Shipped at conditions
Blue Ice
Appropriate short-term storage conditions
+4°C
Appropriate long-term storage conditions
+4°C

Product protocols

For this product, it's our understanding that no specific protocols are required. You can visit:

Target data

Actin is a highly conserved protein that polymerizes to produce filaments that form cross-linked networks in the cytoplasm of cells (PubMed : 25255767, PubMed : 29581253). Actin exists in both monomeric (G-actin) and polymeric (F-actin) forms, both forms playing key functions, such as cell motility and contraction (PubMed : 29581253). In addition to their role in the cytoplasmic cytoskeleton, G- and F-actin also localize in the nucleus, and regulate gene transcription and motility and repair of damaged DNA (PubMed : 29925947). Part of the ACTR1A/ACTB filament around which the dynactin complex is built. The dynactin multiprotein complex activates the molecular motor dynein for ultra-processive transport along microtubules (By similarity).
See full target information ACTB mono methyl H73

Product promise

We are committed to supporting your work with high-quality reagents, and we're here for you every step of the way. In the unlikely event that one of our products does not perform as expected, you're protected by our Product Promise.
For full details, please see our Terms & Conditions

Please note: All products are 'FOR RESEARCH USE ONLY. NOT FOR USE IN DIAGNOSTIC OR THERAPEUTIC PROCEDURES'.

For licensing inquiries, please contact partnerships@abcam.com