JavaScript is disabled in your browser. Please enable JavaScript to view this website.
AB271968

Anti-beta Amyloid 1-42 antibody [mOC64] - BSA and Azide free

Be the first to review this product! Submit a review

|

(3 Publications)

Rabbit Recombinant Monoclonal Amyloid-beta precursor protein antibody. Carrier free. Suitable for IHC-P, Dot, IHC-FrFl and reacts with Human, Mouse samples. Cited in 3 publications.

View Alternative Names

A4, AD1, APP, Amyloid-beta precursor protein, ABPP, APPI, Alzheimer disease amyloid A4 protein homolog, Alzheimer disease amyloid protein, Amyloid precursor protein, Amyloid-beta (A4) precursor protein, Amyloid-beta A4 protein, Cerebral vascular amyloid peptide, PreA4, Protease nexin-II, CVAP, PN-II

4 Images
Immunohistochemistry (Formalin/PFA-fixed paraffin-embedded sections) - Anti-beta Amyloid 1-42 antibody [mOC64] - BSA and Azide free (AB271968)
  • IHC-P

Lab

Immunohistochemistry (Formalin/PFA-fixed paraffin-embedded sections) - Anti-beta Amyloid 1-42 antibody [mOC64] - BSA and Azide free (AB271968)

Composite multiplex immunofluorescence staining of APP, PSD95 and Tau staining in a section of formalin-fixed paraffin-embedded human Alzheimer’s brain*.

Performed on a Leica BOND. The section was pre-treated using heat mediated antigen retrieval with EDTA (Ph9.0) using retrieval settings of 100°C for 40 minutes. The section was then incubated at room temperature for 1 hour with ab201060 at 1µg/ml dilution (shown in green), ab317793 at 1µg/ml (shown in magenta), and ab317841 at 1µg/ml (shown in yellow). Then incubated for 1 hour with ab150118 Goat Anti-Mouse IgG H&L (Alexa Fluor® 555) preadsorbed 1/1000, ab150081 Goat Anti-Rabbit IgG H&L (Alexa Fluor® 488) preadsorbed 1/1000, and ab150135 Donkey Anti-Goat IgG H&L (Alexa Fluor® 647) preadsorbed 1/1000. Nuclear DNA was labelled with DAPI (shown in blue). The section was then mounted using Dako Fluorescence Mounting Medium ®.

Image was taken with a confocal microscope (Leica-Microsystems, TCS SP8).

For other IHC staining systems (automated and non-automated), customers should optimize variable parameters such as antigen retrieval conditions, antibody concentrations and incubation times.

*Tissue obtained from the Human Research Tissue Bank, supported by the NIHR Cambridge Biomedical Research Centre.

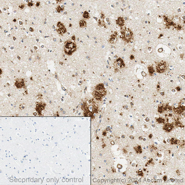
Immunohistochemistry (Formalin/PFA-fixed paraffin-embedded sections) - Anti-beta Amyloid 1-42 antibody [mOC64] - BSA and Azide free (AB271968)
  • IHC-P

Lab

Immunohistochemistry (Formalin/PFA-fixed paraffin-embedded sections) - Anti-beta Amyloid 1-42 antibody [mOC64] - BSA and Azide free (AB271968)

This data was developed using ab201060, the same antibody clone in a different buffer formulation.

Immunohistochemical analysis of formalin fixed paraffin embedded human alzheimer brain labelling beta Amyloid with ab201060 at a concentration of 0.1μg/ml. The immunostaining was performed on a Ventana DISCOVERY ULTRA (Roche Tissue Diagnostics) instrument with a OptiView DAB IHC Detection Kit. Heat mediated antigen retrieval was performed with DISCOVERY cell conditioning solution (CC1) 100°C, pH8.5 for 32mins.

ab201060 Anti-beta Amyloid 1-42 antibody [mOC64] was incubated for 16mins at 37°C. Sections were counterstained with Hematoxylin II. Image inset shows absence of staining in secondary antibody only control.

Customers are encouraged to optimise antigen retrieval conditions, antibody concentration, incubation times and temperature for best results in their own IHC assay workflow (automated and manual).

Dot Blot - Anti-beta Amyloid 1-42 antibody [mOC64] - BSA and Azide free (AB271968)
  • Dot

Supplier Data

Dot Blot - Anti-beta Amyloid 1-42 antibody [mOC64] - BSA and Azide free (AB271968)

Dot blot analysis of human beta Amyloid 1-42 labeled with ab201060 at 1/7000 dilution.
Lane 1 : beta Amyloid (Aβ) 1-40.
Lane 2 : beta Amyloid (Aβ) 1-42.
Goat Anti-Rabbit IgG, (H+L), Peroxidase conjugated (ab97051) at 1/5000 dilution was used as secondary antibody.
Blocking and diluting buffer : 5% NFDM/TBST.
Exposure time : 30 seconds.

Antibody reactivity was assessed using a dot blot, which is a non-quantitative method that maintains the native conformation of beta Amyloid. Beta Amyloid 1-40 and 1-42 peptides underwent the following aggregation conditions before being spotted onto a nitrocellulose membrane and detected using ab201060 :
Monomers : 0.3 mg of beta Amyloid peptide was dissolved in 30 μl 100 mM NaOH and incubated at room temperature for 10 minutes. It was then diluted with 970 μl of 1% SDS and boiled for five minutes.
Oligomers : 0.3 mg of beta Amyloid peptide was dissolved in 30 μl 100 mM NaOH and incubated at room temperature for 10 minutes. It was then diluted with 970 μl of 10 mM phosphate buffer pH 7.4 containing 0.02% sodium azide and incubated at room temperature for four days.
Fibrils : 0.3 mg of beta Amyloid peptide was dissolved in 1 ml 50% hexafluoroisopropanol (HFIP) with 0.02% sodium azide. It was then stirred constantly for nine days; the first seven with a cap on and the final two with the cap removed to allow evaporation of the HFIP. Fibrils were then sedimented at 20,000 rpm in a microcentrifuge for 20 minutes and resuspended in 1 ml of PBS + 0.02% sodium azide.

This data was developed using the same antibody clone in a different buffer formulation containing PBS, BSA, glycerol, and sodium azide (ab201060).

Dot Blot - Anti-beta Amyloid 1-42 antibody [mOC64] - BSA and Azide free (AB271968)
  • Dot

Supplier Data

Dot Blot - Anti-beta Amyloid 1-42 antibody [mOC64] - BSA and Azide free (AB271968)

Negative control (secondary ab only) :

Lane 1 : Human beta Amyloid (Aβ) 1-40.
Lane 2 : Human beta Amyloid (Aβ) 1-42.
Goat Anti-Rabbit IgG, (H+L), Peroxidase conjugated (ab97051) at 1/5000 dilution was used as secondary antibody.
Blocking and diluting buffer : 5% NFDM/TBST.
Exposure time : 30 seconds.

This data was developed using the same antibody clone in a different buffer formulation containing PBS, BSA, glycerol, and sodium azide (ab201060).

Key facts

Host species

Rabbit

Clonality

Monoclonal

Clone number

mOC64

Isotype

IgG

Carrier free

Yes

Reacts with

Mouse, Human

Applications

IHC-FrFl, Dot, IHC-P

applications

Specificity

This antibody reacts weakly with beta Amyloid 1-40.

Reactivity data

{ "title": "Reactivity Data", "filters": { "stats": ["", "Species", "Dilution Info", "Notes"], "tabs": { "all-applications": {"fullname" : "All Applications", "shortname": "All Applications"}, "IHCP" : {"fullname" : "Immunohistochemistry (Formalin/PFA-fixed paraffin-embedded sections)", "shortname":"IHC-P"}, "Dot" : {"fullname" : "Dot Blot", "shortname":"Dot"}, "IHCFrFl" : {"fullname" : "Immunohistochemistry - Free Floating", "shortname":"IHC-FrFl"} }, "product-promise": { "all": "all", "testedAndGuaranteed": "tested", "guaranteed": "expected", "predicted": "predicted", "notRecommended": "not-recommended" } }, "values": { "Human": { "IHCP-species-checked": "testedAndGuaranteed", "IHCP-species-dilution-info": "", "IHCP-species-notes": "<p></p> Perform heat-mediated antigen retrieval with Tris/EDTA buffer pH 9.0 before commencing with IHC staining protocol.", "Dot-species-checked": "guaranteed", "Dot-species-dilution-info": "", "Dot-species-notes": "", "IHCFrFl-species-checked": "guaranteed", "IHCFrFl-species-dilution-info": "", "IHCFrFl-species-notes": "" }, "Mouse": { "IHCP-species-checked": "guaranteed", "IHCP-species-dilution-info": "", "IHCP-species-notes": "", "Dot-species-checked": "testedAndGuaranteed", "Dot-species-dilution-info": "", "Dot-species-notes": "<p></p>", "IHCFrFl-species-checked": "testedAndGuaranteed", "IHCFrFl-species-dilution-info": "", "IHCFrFl-species-notes": "<p></p>" } } }

Product details

This antibody was developed as part of a collaboration between Abcam and Professor Charles Glabe, UC Irvine. ab201060 recognizes a conformation-dependent, aggregation-selective epitope of beta amyloid. mOC64 immunoreactivity maps to residues 3-6 (EFRH) of Aß, and preferentially binds to SDS-resistant oligomers over monomer on Western blots (Hatami et al 2014, PMID: 25281743). The epitope is insensitive to thermal denaturation (Hatami et al 2014, PMID: 25281743). It does not recognize pyproglytaminylated Aß at position 3 (Aß3(pE)-42) (Nussbaum et al. 2012, PMID: 22660329). For further information on the immunogen, please refer to Hatami et al 2014, PMID: 25281743 and Kayed et al. 2007, PMID: 17897471.

ab271968 is the carrier-free version of ab201060.

Patented technology
Our RabMAb® technology is a patented hybridoma-based technology for making rabbit monoclonal antibodies. For details on our patents, please refer to RabMAb® patents.

What are the advantages of a recombinant monoclonal antibody?
This product is a recombinant monoclonal antibody, which offers several advantages including:

  • - High batch-to-batch consistency and reproducibility
  • - Improved sensitivity and specificity
  • - Long-term security of supply
  • - Animal-free batch production

For more information, read more on recombinant antibodies.

Conjugation ready
Our carrier-free antibodies are typically supplied in a PBS-only formulation, purified and free of BSA, sodium azide and glycerol. This conjugation-ready format is designed for use with fluorochromes, metal isotopes, oligonucleotides, and enzymes, which makes them ideal for antibody labelling, functional and cell-based assays, flow-based assays (e.g. mass cytometry) and Multiplex Imaging applications.

Use our conjugation kits for antibody conjugates that are ready-to-use in as little as 20 minutes with 1 minute hands-on-time and 100% antibody recovery: available for fluorescent dyes, HRP, biotin and gold.

Compatibility
This product is compatible with the Maxpar® Antibody Labeling Kit from Fluidigm, without the need for antibody preparation. Maxpar® is a trademark of Fluidigm Canada Inc.

Properties and storage information

Form
Liquid
Purification technique
Affinity purification Protein A
Storage buffer
pH: 7.2 - 7.4 Constituents: PBS
Shipped at conditions
Blue Ice
Appropriate short-term storage conditions
+4°C
Appropriate long-term storage conditions
+4°C
Storage information
Do Not Freeze

Supplementary information

This supplementary information is collated from multiple sources and compiled automatically.

Beta Amyloid 1-42 often referred to as Abeta 42 or amyloid beta 1-42 is a peptide derived from the amyloid precursor protein (APP). This peptide consists of 42 amino acids and has a molecular weight of approximately 4.5 kDa. It is predominantly found in the brain especially within regions associated with memory and cognitive function. Beta amyloid 1-42 is a product of enzymatic cleavage by beta and gamma secretases from the larger APP molecule. Due to its aggregation-prone nature beta amyloid 1-42 is a focus in neuroscience research particularly concerning the formation of amyloid plaques.
Biological function summary

Amyloid beta 1-42 plays a central role in synaptic activity and neuronal health. While not inherently pathogenic its tendency to aggregate forms oligomers and fibrils which become toxic to neurons. This peptide contributes to synaptic dysfunction and neuronal cell death and is a major component of extracellular amyloid plaques found in brain tissue. Within the cellular environment amyloid beta 1-42 can interact with receptors membrane lipids and intracellular signaling mechanisms thereby affecting neuronal cell function.

Pathways

Amyloid beta 1-42 is important in the amyloidogenic pathway which is one of the critical components in APP processing. The pathway includes proteolytic enzymes like beta secretase (BACE1) and gamma secretase where misregulation may lead to excessive production or deposition of amyloid beta peptides. Another related pathway is the tau protein phosphorylation pathway which indirectly interacts with amyloid beta 1-42 due to shared signaling intermediates impacting tau stabilization and microtubule assembly in neurons.

Amyloid beta 1-42 plays a pivotal role in Alzheimer's disease a prevalent neurodegenerative disorder. The excessive accumulation of beta amyloid in the form of plaques is a hallmark of the disease contributing to cognitive decline. Also it has links to cerebral amyloid angiopathy where it deposits in the walls of blood vessels of the central nervous system. Both conditions may involve interactions with tau protein another pathological feature of Alzheimer's disease which undergoes hyperphosphorylation leading to neurofibrillary tangles formation.

Product protocols

For this product, it's our understanding that no specific protocols are required. You can visit:

Target data

Functions as a cell surface receptor and performs physiological functions on the surface of neurons relevant to neurite growth, neuronal adhesion and axonogenesis. Interaction between APP molecules on neighboring cells promotes synaptogenesis (PubMed : 25122912). Involved in cell mobility and transcription regulation through protein-protein interactions. Can promote transcription activation through binding to APBB1-KAT5 and inhibits Notch signaling through interaction with Numb. Couples to apoptosis-inducing pathways such as those mediated by G(o) and JIP. Inhibits G(o) alpha ATPase activity (By similarity). Acts as a kinesin I membrane receptor, mediating the axonal transport of beta-secretase and presenilin 1 (By similarity). By acting as a kinesin I membrane receptor, plays a role in axonal anterograde transport of cargo towards synapses in axons (PubMed : 17062754, PubMed : 23011729). Involved in copper homeostasis/oxidative stress through copper ion reduction. In vitro, copper-metallated APP induces neuronal death directly or is potentiated through Cu(2+)-mediated low-density lipoprotein oxidation. Can regulate neurite outgrowth through binding to components of the extracellular matrix such as heparin and collagen I and IV. The splice isoforms that contain the BPTI domain possess protease inhibitor activity. Induces a AGER-dependent pathway that involves activation of p38 MAPK, resulting in internalization of amyloid-beta peptide and leading to mitochondrial dysfunction in cultured cortical neurons. Provides Cu(2+) ions for GPC1 which are required for release of nitric oxide (NO) and subsequent degradation of the heparan sulfate chains on GPC1.. Amyloid-beta peptides are lipophilic metal chelators with metal-reducing activity. Bind transient metals such as copper, zinc and iron. In vitro, can reduce Cu(2+) and Fe(3+) to Cu(+) and Fe(2+), respectively. Amyloid-beta protein 42 is a more effective reductant than amyloid-beta protein 40. Amyloid-beta peptides bind to lipoproteins and apolipoproteins E and J in the CSF and to HDL particles in plasma, inhibiting metal-catalyzed oxidation of lipoproteins. APP42-beta may activate mononuclear phagocytes in the brain and elicit inflammatory responses. Promotes both tau aggregation and TPK II-mediated phosphorylation. Interaction with overexpressed HADH2 leads to oxidative stress and neurotoxicity. Also binds GPC1 in lipid rafts.. Appicans elicit adhesion of neural cells to the extracellular matrix and may regulate neurite outgrowth in the brain.. The gamma-CTF peptides as well as the caspase-cleaved peptides, including C31, are potent enhancers of neuronal apoptosis.
See full target information APP

Publications (3)

Recent publications for all applications. Explore the full list and refine your search

The international journal of neuropsychopharmacology 28: PubMed40312965

2025

Cognitive improvement effects of PF-04957325, a phosphodiesterase-8 inhibitor, in mouse models of Alzheimer's disease via modulating neuroinflammation.

Applications

Unspecified application

Species

Unspecified reactive species

Tian-Yang Guo,Meng Zhang,Yu-Li Lv,Nian-Zhuang Qiu,Rui-Min Chen,Fang-Fang Zhang,Wei Chen,Feng Zhang,Yong-Feng Gao,Xiao-Dan Wang,Xue-Hui Zhang,Mei-Hua Chen,Han-Ting Zhang,Hao Wang

The Neurohospitalist 12:676-681 PubMed36147763

2022

Biopsy-Proven Amyloid-Beta Related Angiitis with Unusual Presentation and Long-Term Follow-Up.

Applications

Unspecified application

Species

Unspecified reactive species

Navnika Gupta,Krishna Galla,Michael R Pichler,Rodney D McComb,Jason T Helvey,Pierre Fayad

Cell biology international 45:1306-1315 PubMed33624913

2021

MicroRNA-340-5p increases telomere length by targeting telomere protein POT1 to improve Alzheimer's disease in mice.

Applications

Unspecified application

Species

Unspecified reactive species

Xin Li,Jiangkuan Zhang,Yuhang Yang,Qi Wu,Hanbing Ning
View all publications

Product promise

We are committed to supporting your work with high-quality reagents, and we're here for you every step of the way. In the unlikely event that one of our products does not perform as expected, you're protected by our Product Promise.
For full details, please see our Terms & Conditions

Please note: All products are 'FOR RESEARCH USE ONLY. NOT FOR USE IN DIAGNOSTIC OR THERAPEUTIC PROCEDURES'.

For licensing inquiries, please contact partnerships@abcam.com