JavaScript is disabled in your browser. Please enable JavaScript to view this website.
AB252816

Anti-beta Amyloid antibody [2E9]

5

(1 Review)

|

(1 Publication)

Knockout Tested Rat Recombinant Monoclonal Amyloid-beta precursor protein antibody. Suitable for IP, WB, IHC-P and reacts with Human samples. Cited in 1 publication.

View Alternative Names

A4, AD1, APP, Amyloid-beta precursor protein, ABPP, APPI, Alzheimer disease amyloid A4 protein homolog, Alzheimer disease amyloid protein, Amyloid precursor protein, Amyloid-beta (A4) precursor protein, Amyloid-beta A4 protein, Cerebral vascular amyloid peptide, PreA4, Protease nexin-II, CVAP, PN-II

6 Images
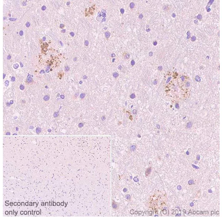
Immunohistochemistry (Formalin/PFA-fixed paraffin-embedded sections) - Anti-beta Amyloid antibody [2E9] (AB252816)
  • IHC-P

Supplier Data

Immunohistochemistry (Formalin/PFA-fixed paraffin-embedded sections) - Anti-beta Amyloid antibody [2E9] (AB252816)

Immunohistochemical analysis of paraffin-embedded Alzheimer's Disease cerebrum tissue labeling beta Amyloid with ab252816
at 0.583μg/ml, followed by ready to use secondary ab214882. Positive staining on Alzheimer's Disease cerebrum tissue is observed (PMID : 1640495). The section was incubated with ab252816 for 30 mins at RT. The immunostaining staining was performed on a Leica Biosystems BOND® RX instrument. Counterstained with hematoxylin. Secondary antibody only control : Used PBS instead of primary antibody, followed by ready to use secondary. Heat mediated antigen retrieval with Tris-EDTA buffer (pH 9.0, epitope retrieval solution 2) for 20 mins.

Immunocytochemistry/ Immunofluorescence - Anti-beta Amyloid antibody [2E9] (AB252816)
  • ICC/IF

Lab

Immunocytochemistry/ Immunofluorescence - Anti-beta Amyloid antibody [2E9] (AB252816)

ab252816 was shown to react with APP in wild-type HAP1 cells in immunocytochemistry with loss of signal observed in a APP knockout cell line. Wild-type and knockout cells were mixed and pelleted at a 1 : 1 ratio on coverslips. The cells were fixed with 4% paraformaldehyde (15 min) then permeabilized with 0.1% Triton X-100 (10min) and then blocked with 1x PBS, 0.01% Triton X-100, 5% BSA, 5% NGS. The cells were then incubated with ab252816 overnight at 4°C followed by a further incubation at room temperature for 1h with a goat anti-rabbit secondary antibody to (Alexa Fluor® 555) at 0.5 µg/ml. Acquisition of the green (wild-type), red (antibody staining) and far-red (knockout) channels was performed. Representative grayscale images of the red channel are shown. Wild-type and knockout cells are outlined with yellow and magenta dashed line, respectively. Schematic representation of the mosaic strategy used is shown on the bottom-right panel. Image was acquired with a Zeiss(LSM-880).

These data were provided by YCharOS Inc., an open science company with the mission of characterizing commercially available antibody reagents for all human proteins. Abcam and YCharOS are working together to help address the reproducibility crisis by enabling the life science community to better evaluate commercially available antibodies.

Immunoprecipitation - Anti-beta Amyloid antibody [2E9] (AB252816)
  • IP

Supplier Data

Immunoprecipitation - Anti-beta Amyloid antibody [2E9] (AB252816)

Beta Amyloid was immunoprecipitated from 1mg of HeLa (human cervix adenocarcinoma epithelial cell line) whole cell lysate with ab252816 at 19.443. Western blot was performed from the immunoprecipitate using ab252816 at 1/1000 dilution. Goat-anti-Rat IgG for IP (HRP) (ab205720) was used at 1/1000 dilution.

Lane 1 : HeLa whole cell lysate 10μg (Input).

Lane 2 : ab252816 IP in HeLa whole cell lysate.

Lane 3 : Rat monoclonal IgG instead of ab252816 in HeLa whole cell lysate.

Blocking and dilution buffer and concentration : 5% NFDM/TBST.

Exposure time : 5 secs.

All lanes:

Immunoprecipitation - Anti-beta Amyloid antibody [2E9] (ab252816)

Predicted band size: 87 kDa

false

Western blot - Anti-beta Amyloid antibody [2E9] (AB252816)
  • WB

Lab

Western blot - Anti-beta Amyloid antibody [2E9] (AB252816)

ab252816 was shown to react with APP in wild-type HAP1 cells in Western blot with loss of signal observed in a APP knockout cell line. Wild-type HAP1 and APP knockout cell lysates were subjected to SDS-PAGE. Membranes were blocked in 5% milk in TBST for 1 hr before incubation with ab252816 overnight at 4 °C at a 1/500 dilution. Blots were incubated with secondary antibodies at 0.2ug/mL before imaging.

These data were provided by YCharOS Inc., an open science company with the mission of characterizing commercially available antibody reagents for all human proteins. Abcam and YCharOS are working together to help address the reproducibility crisis by enabling the life science community to better evaluate commercially available antibodies.

All lanes:

Western blot - Anti-beta Amyloid antibody [2E9] (ab252816) at 1/500 dilution

Lane 1:

Wild-type HAP1 lysate at 20 µg

Lane 2:

APP Knockout HAP1 lysate at 20 µg

Observed band size: 100 kDa

false

Western blot - Anti-beta Amyloid antibody [2E9] (AB252816)
  • WB

Lab

Western blot - Anti-beta Amyloid antibody [2E9] (AB252816)

Western blot : Anti-APP antibody [2E9] (ab252816) staining at 0.583 ug/ml, shown in green; Rabbit anti-alpha Tubulin antibody [EP1332Y] (ab52866) loading control staining at 1/20000 dilution, shown in red. In Western blot, ab252816 was shown to bind specifically to APP. A band was observed at 80-130 kDa in wild-type HAP1 and HEK-293T cell lysates with no signal observed at this size in both APP knockout cell lines. To generate this image, wild-type and APP knockout HAP1 and HEK-293T cell lysates were analysed. First, samples were run on an SDS-PAGE gel then transferred onto a nitrocellulose membrane. Membranes were blocked in 5% milk in TBS-0.1% Tween® 20 (TBS-T) before incubation with primary antibodies overnight at 4°C. Blots were washed four times in TBS-T, incubated with secondary antibodies for 1 h at room temperature, washed again four times then imaged. Secondary antibodies used were Goat anti-Rat IgG H&L 800CW and Goat anti-Rabbit IgG H&L 680RD at 1/20000 dilution.

Lanes 1 - 7:

Western blot - Anti-beta Amyloid antibody [2E9] (ab252816) at 0.583 µg/mL

Lanes 1 - 7:

Western blot - Anti-beta Amyloid antibody [2E9] - BSA and Azide free (<a href='/en-us/products/primary-antibodies/beta-amyloid-antibody-2e9-bsa-and-azide-free-ab255772'>ab255772</a>)

Lane 1:

Wild-type HAP1 cell lysate at 20 µg

Lane 2:

APP knockout HAP1 cell lysate at 20 µg

Lane 3:

Wild-type HEK-293T cell lysate at 20 µg

Lane 4:

APP knockout HEK-293T cell lysate at 20 µg

Lane 5:

Human Hippocampus cell lysate at 20 µg

Lane 6:

U-87 MG cell lysate at 20 µg

Lane 7:

K562 cell lysate at 20 µg

Observed band size: 80-130 kDa

false

Western blot - Anti-beta Amyloid antibody [2E9] (AB252816)
  • WB

Supplier Data

Western blot - Anti-beta Amyloid antibody [2E9] (AB252816)

Blocking/Dilution buffer : 5% NFDM/TBST.

Exposure times : Lanes 1-3 : 37 secs; Lanes 4-5 : 5 secs.

All lanes:

Western blot - Anti-beta Amyloid antibody [2E9] (ab252816) at 0.583 µg/mL

Lane 1:

U-87 MG (human glioblastoma-astrocytoma epithelial cell), whole cell lysate at 10 µg

Lane 2:

HEK-293 (human embryonic kidney epithelial cell), whole cell lysate at 10 µg

Lane 3:

HeLa (human cervix adenocarcinoma epithelial cell), whole cell lysate at 10 µg

Lane 4:

Human brain tissue lysate at 10 µg

Lane 5:

Human hippocampus tissue lysate at 10 µg

Secondary

All lanes:

Western blot - Goat Anti-Rat IgG H&L (HRP) (<a href='/en-us/products/secondary-antibodies/goat-rat-igg-h-l-hrp-ab205720'>ab205720</a>) at 1/5000 dilution

Predicted band size: 87 kDa

false

  • Carrier free

    Anti-beta Amyloid antibody [2E9] - BSA and Azide free

Key facts

Host species

Rat

Clonality

Monoclonal

Clone number

2E9

Isotype

IgG2a

Carrier free

No

Reacts with

Human

Applications

WB, IP, IHC-P

applications

Immunogen

The exact immunogen used to generate this antibody is proprietary information.

Reactivity data

{ "title": "Reactivity Data", "filters": { "stats": ["", "Species", "Dilution Info", "Notes"], "tabs": { "all-applications": {"fullname" : "All Applications", "shortname": "All Applications"}, "IP" : {"fullname" : "Immunoprecipitation", "shortname":"IP"}, "WB" : {"fullname" : "Western blot", "shortname":"WB"}, "IHCP" : {"fullname" : "Immunohistochemistry (Formalin/PFA-fixed paraffin-embedded sections)", "shortname":"IHC-P"} }, "product-promise": { "all": "all", "testedAndGuaranteed": "tested", "guaranteed": "expected", "predicted": "predicted", "notRecommended": "not-recommended" } }, "values": { "Human": { "IP-species-checked": "testedAndGuaranteed", "IP-species-dilution-info": "19.433 µg/mL", "IP-species-notes": "<p></p>", "WB-species-checked": "testedAndGuaranteed", "WB-species-dilution-info": "0.583 µg/mL", "WB-species-notes": "<p></p>", "IHCP-species-checked": "testedAndGuaranteed", "IHCP-species-dilution-info": "0.583 µg/mL", "IHCP-species-notes": "<p></p> Perform heat-mediated antigen retrieval with Tris/EDTA buffer pH 9.0 before commencing with IHC staining protocol." } } }

Product details

What are the advantages of a recombinant monoclonal antibody?
This product is a recombinant monoclonal antibody, which offers several advantages including:

  • - High batch-to-batch consistency and reproducibility
  • - Improved sensitivity and specificity
  • - Long-term security of supply
  • - Animal-free batch production

For more information, read more on recombinant antibodies.

Want a custom formulation?
This antibody clone is manufactured by Abcam. If you require a custom buffer formulation or conjugation for your experiments, please contact orders@abcam.com

Properties and storage information

Form
Liquid
Purification technique
Ion exchange chromatography
Storage buffer
pH: 7.2 - 7.4 Preservative: 0.01% Sodium azide Constituents: PBS, 40% Glycerol (glycerin, glycerine), 0.05% BSA
Shipped at conditions
Blue Ice
Appropriate short-term storage duration
1-2 weeks
Appropriate short-term storage conditions
+4°C
Appropriate long-term storage conditions
-20°C
Aliquoting information
Upon delivery aliquot
Storage information
Avoid freeze / thaw cycle

Supplementary information

This supplementary information is collated from multiple sources and compiled automatically.

Beta amyloid also known as amyloid beta peptide is a small protein fragment composed of 36-43 amino acids. It typically has a mass of approximately 4 kDa. This peptide primarily emerges from the amyloid precursor protein (APP) through enzymatic actions by beta-secretase and gamma-secretase. Beta amyloid is commonly expressed in the brain particularly within the neuronal tissue. It is known for aggregating into insoluble fibrils leading to the formation of beta amyloid plaques. Researchers often study beta amyloid using tools like amyloid beta IHC and with specific antibodies like moab 2 and 2e9 which help in detecting its presence and distribution.
Biological function summary

In the context of neuronal function beta amyloid is significant yet contentious. It is believed to play a role in synaptic transmission and may partake in homeostatic regulation. However the true physiological role still remains not well defined. Beta amyloid often self-assembles into oligomers and further into beta amyloid plaques which are part of a larger complex that includes various cellular and molecular components. The plaques contribute to neural pathway disruptions and may interfere with synaptic connections.

Pathways

Beta amyloid integrates into important cellular processes such as the amyloidogenic and non-amyloidogenic pathways. The amyloidogenic pathway involves the sequential cleavage of APP by beta and gamma secretases leading to beta amyloid release which can aggregate. In contrast the non-amyloidogenic pathway mediated by alpha-secretase precludes beta amyloid formation. Proteins such as presenilin-1 and nicastrin are closely tied to beta amyloid formation due to their roles in the gamma-secretase complex.

Beta amyloid is primarily associated with Alzheimer's disease where its accumulations form characteristic amyloid plaques observed in patients' brains. These plaques are implicated in neuronal damage and cognitive decline. Beyond Alzheimer's beta amyloid may also connect to cerebral amyloid angiopathy a condition marked by amyloid deposits in the blood vessels of the brain leading to increased risk of hemorrhagic stroke. Recent studies suggest other proteins such as tau link closely with beta amyloid pathology in Alzheimer's promoting neurofibrillary tangles and synaptic degeneration.

Product protocols

For this product, it's our understanding that no specific protocols are required. You can visit:

Target data

Functions as a cell surface receptor and performs physiological functions on the surface of neurons relevant to neurite growth, neuronal adhesion and axonogenesis. Interaction between APP molecules on neighboring cells promotes synaptogenesis (PubMed : 25122912). Involved in cell mobility and transcription regulation through protein-protein interactions. Can promote transcription activation through binding to APBB1-KAT5 and inhibits Notch signaling through interaction with Numb. Couples to apoptosis-inducing pathways such as those mediated by G(o) and JIP. Inhibits G(o) alpha ATPase activity (By similarity). Acts as a kinesin I membrane receptor, mediating the axonal transport of beta-secretase and presenilin 1 (By similarity). By acting as a kinesin I membrane receptor, plays a role in axonal anterograde transport of cargo towards synapses in axons (PubMed : 17062754, PubMed : 23011729). Involved in copper homeostasis/oxidative stress through copper ion reduction. In vitro, copper-metallated APP induces neuronal death directly or is potentiated through Cu(2+)-mediated low-density lipoprotein oxidation. Can regulate neurite outgrowth through binding to components of the extracellular matrix such as heparin and collagen I and IV. The splice isoforms that contain the BPTI domain possess protease inhibitor activity. Induces a AGER-dependent pathway that involves activation of p38 MAPK, resulting in internalization of amyloid-beta peptide and leading to mitochondrial dysfunction in cultured cortical neurons. Provides Cu(2+) ions for GPC1 which are required for release of nitric oxide (NO) and subsequent degradation of the heparan sulfate chains on GPC1.. Amyloid-beta peptides are lipophilic metal chelators with metal-reducing activity. Bind transient metals such as copper, zinc and iron. In vitro, can reduce Cu(2+) and Fe(3+) to Cu(+) and Fe(2+), respectively. Amyloid-beta protein 42 is a more effective reductant than amyloid-beta protein 40. Amyloid-beta peptides bind to lipoproteins and apolipoproteins E and J in the CSF and to HDL particles in plasma, inhibiting metal-catalyzed oxidation of lipoproteins. APP42-beta may activate mononuclear phagocytes in the brain and elicit inflammatory responses. Promotes both tau aggregation and TPK II-mediated phosphorylation. Interaction with overexpressed HADH2 leads to oxidative stress and neurotoxicity. Also binds GPC1 in lipid rafts.. Appicans elicit adhesion of neural cells to the extracellular matrix and may regulate neurite outgrowth in the brain.. The gamma-CTF peptides as well as the caspase-cleaved peptides, including C31, are potent enhancers of neuronal apoptosis.
See full target information APP

Publications (1)

Recent publications for all applications. Explore the full list and refine your search

F1000Research 12:956 PubMed39359612

2024

A guide to selecting high-performing antibodies for amyloid-beta precursor protein for use in Western Blot, immunoprecipitation and immunofluorescence.

Applications

WB, ICC, IP

Species

Human, Human, Human

Riham Ayoubi,Maryam Fotouhi,Donovan Worrall,Kathleen Southern,Carl Laflamme
View all publications

Product promise

We are committed to supporting your work with high-quality reagents, and we're here for you every step of the way. In the unlikely event that one of our products does not perform as expected, you're protected by our Product Promise.
For full details, please see our Terms & Conditions

Please note: All products are 'FOR RESEARCH USE ONLY. NOT FOR USE IN DIAGNOSTIC OR THERAPEUTIC PROCEDURES'.

For licensing inquiries, please contact partnerships@abcam.com