JavaScript is disabled in your browser. Please enable JavaScript to view this website.
AB230297

Anti-beta Amyloid antibody [MOAB-2] - BSA and Azide free

Be the first to review this product! Submit a review

|

(2 Publications)

Mouse Monoclonal Amyloid-beta precursor protein antibody. Carrier free. Suitable for IHC-P, WB and reacts with Human samples. Cited in 2 publications.

View Alternative Names

A4, AD1, APP, Amyloid-beta precursor protein, ABPP, APPI, Alzheimer disease amyloid A4 protein homolog, Alzheimer disease amyloid protein, Amyloid precursor protein, Amyloid-beta (A4) precursor protein, Amyloid-beta A4 protein, Cerebral vascular amyloid peptide, PreA4, Protease nexin-II, CVAP, PN-II

3 Images
Immunohistochemistry (Formalin/PFA-fixed paraffin-embedded sections) - Anti-beta Amyloid antibody [MOAB-2] - BSA and Azide free (AB230297)
  • IHC-P

Unknown

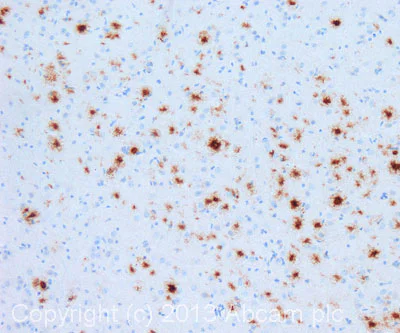
Immunohistochemistry (Formalin/PFA-fixed paraffin-embedded sections) - Anti-beta Amyloid antibody [MOAB-2] - BSA and Azide free (AB230297)

IHC image of ab126649 staining in human Alzheimer hippocampus formalin fixed paraffin embedded tissue section, performed on a Leica BondTM system using the standard protocol F. The section was pre-treated using heat mediated antigen retrieval with sodium citrate buffer (pH6, epitope retrieval solution 1) for 20 mins. The section was then incubated with ab126649, 5μg/ml, for 15 mins at room temperature and detected using an HRP conjugated compact polymer system. DAB was used as the chromogen. The section was then counterstained with haematoxylin and mounted with DPX.

For other IHC staining systems (automated and non-automated) customers should optimize variable parameters such as antigen retrieval conditions, primary antibody concentration and antibody incubation times.

This data was developed using the same antibody clone in a different buffer formulation containing PBS, L-Arginine and sodium azide (ab126649).

Immunohistochemistry (Formalin/PFA-fixed paraffin-embedded sections) - Anti-beta Amyloid antibody [MOAB-2] - BSA and Azide free (AB230297)
  • IHC-P

Unknown

Immunohistochemistry (Formalin/PFA-fixed paraffin-embedded sections) - Anti-beta Amyloid antibody [MOAB-2] - BSA and Azide free (AB230297)

IHC image of ab126649 staining in transgenic mouse brain formalin fixed paraffin embedded tissue section, performed on a Leica BondTM system using the standard protocol B. The section was pre-treated using heat mediated antigen retrieval with sodium citrate buffer (pH6, epitope retrieval solution 1) for 20 mins. The section was then incubated with ab126649, 5μg/ml, for 15 mins at room temperature and detected using an HRP conjugated ABC system. DAB was used as the chromogen. The section was then counterstained with haematoxylin and mounted with DPX.

For other IHC staining systems (automated and non-automated) customers should optimize variable parameters such as antigen retrieval conditions, primary antibody concentration and antibody incubation times.

This data was developed using the same antibody clone in a different buffer formulation containing PBS, L-Arginine and sodium azide (ab126649).

Western blot - Anti-beta Amyloid antibody [MOAB-2] - BSA and Azide free (AB230297)
  • WB

Collaborator

Western blot - Anti-beta Amyloid antibody [MOAB-2] - BSA and Azide free (AB230297)

This data was developed using ab126649, the same antibody clone in a different buffer formulation.

Lanes 1 - 2:

Western blot - Anti-beta Amyloid antibody [MOAB-2] (<a href='/en-us/products/primary-antibodies/beta-amyloid-antibody-moab-2-ab126649'>ab126649</a>) at 0.5 µg/mL

Lanes 3 - 4:

Anti-beta Amyloid antibody [6E10] at 0.5 µg/mL

Lanes 5 - 6:

Anti-beta Amyloid antibody [22C11] at 2 µg/mL

Lanes 1, 3 and 5:

Synthetic beta Amyloid 42 at 100 pmoles

Lanes 2, 4 and 6:

5xFAD transgenic mouse (12 months) lysate at 25 µg

Secondary

All lanes:

Anti-mouse IgG

Predicted band size: 87 kDa

true

This image is courtesy of M.J. LaDu, Univ of IL, Chicago

Key facts

Host species

Mouse

Clonality

Monoclonal

Clone number

MOAB-2

Isotype

IgG2b

Carrier free

Yes

Reacts with

Human

Applications

IHC-P, WB

applications

Immunogen

The exact immunogen used to generate this antibody is proprietary information.

Reactivity data

{ "title": "Reactivity Data", "filters": { "stats": ["", "Species", "Dilution Info", "Notes"], "tabs": { "all-applications": {"fullname" : "All Applications", "shortname": "All Applications"}, "IHCP" : {"fullname" : "Immunohistochemistry (Formalin/PFA-fixed paraffin-embedded sections)", "shortname":"IHC-P"}, "WB" : {"fullname" : "Western blot", "shortname":"WB"} }, "product-promise": { "all": "all", "testedAndGuaranteed": "tested", "guaranteed": "expected", "predicted": "predicted", "notRecommended": "not-recommended" } }, "values": { "Human": { "IHCP-species-checked": "testedAndGuaranteed", "IHCP-species-dilution-info": "", "IHCP-species-notes": "<p></p> Perform heat-mediated antigen retrieval before commencing with IHC staining protocol.", "WB-species-checked": "testedAndGuaranteed", "WB-species-dilution-info": "", "WB-species-notes": "<p></p>" } } }

Product details

ab230297 is the carrier-free version of ab126649.

The clone name for this antibody is also known as 6C3.

Want a custom formulation?
This antibody clone is manufactured by Abcam. If you require a custom buffer formulation or conjugation for your experiments, please contact orders@abcam.com

Conjugation ready
Our carrier-free antibodies are typically supplied in a PBS-only formulation, purified and free of BSA, sodium azide and glycerol. This conjugation-ready format is designed for use with fluorochromes, metal isotopes, oligonucleotides, and enzymes, which makes them ideal for antibody labelling, functional and cell-based assays, flow-based assays (e.g. mass cytometry) and Multiplex Imaging applications.

Use our conjugation kits for antibody conjugates that are ready-to-use in as little as 20 minutes with 1 minute hands-on-time and 100% antibody recovery: available for fluorescent dyes, HRP, biotin and gold.

Compatibility
This product is compatible with the Maxpar® Antibody Labeling Kit from Fluidigm, without the need for antibody preparation. Maxpar® is a trademark of Fluidigm Canada Inc.

Properties and storage information

Form
Liquid
Purification technique
Affinity purification
Storage buffer
Constituents: PBS
Shipped at conditions
Blue Ice
Appropriate short-term storage conditions
+4°C
Appropriate long-term storage conditions
+4°C
Storage information
Do Not Freeze

Supplementary information

This supplementary information is collated from multiple sources and compiled automatically.

Beta amyloid also known as amyloid beta peptide is a small protein fragment composed of 36-43 amino acids. It typically has a mass of approximately 4 kDa. This peptide primarily emerges from the amyloid precursor protein (APP) through enzymatic actions by beta-secretase and gamma-secretase. Beta amyloid is commonly expressed in the brain particularly within the neuronal tissue. It is known for aggregating into insoluble fibrils leading to the formation of beta amyloid plaques. Researchers often study beta amyloid using tools like amyloid beta IHC and with specific antibodies like moab 2 and 2e9 which help in detecting its presence and distribution.
Biological function summary

In the context of neuronal function beta amyloid is significant yet contentious. It is believed to play a role in synaptic transmission and may partake in homeostatic regulation. However the true physiological role still remains not well defined. Beta amyloid often self-assembles into oligomers and further into beta amyloid plaques which are part of a larger complex that includes various cellular and molecular components. The plaques contribute to neural pathway disruptions and may interfere with synaptic connections.

Pathways

Beta amyloid integrates into important cellular processes such as the amyloidogenic and non-amyloidogenic pathways. The amyloidogenic pathway involves the sequential cleavage of APP by beta and gamma secretases leading to beta amyloid release which can aggregate. In contrast the non-amyloidogenic pathway mediated by alpha-secretase precludes beta amyloid formation. Proteins such as presenilin-1 and nicastrin are closely tied to beta amyloid formation due to their roles in the gamma-secretase complex.

Beta amyloid is primarily associated with Alzheimer's disease where its accumulations form characteristic amyloid plaques observed in patients' brains. These plaques are implicated in neuronal damage and cognitive decline. Beyond Alzheimer's beta amyloid may also connect to cerebral amyloid angiopathy a condition marked by amyloid deposits in the blood vessels of the brain leading to increased risk of hemorrhagic stroke. Recent studies suggest other proteins such as tau link closely with beta amyloid pathology in Alzheimer's promoting neurofibrillary tangles and synaptic degeneration.

Product protocols

For this product, it's our understanding that no specific protocols are required. You can visit:

Target data

Functions as a cell surface receptor and performs physiological functions on the surface of neurons relevant to neurite growth, neuronal adhesion and axonogenesis. Interaction between APP molecules on neighboring cells promotes synaptogenesis (PubMed : 25122912). Involved in cell mobility and transcription regulation through protein-protein interactions. Can promote transcription activation through binding to APBB1-KAT5 and inhibits Notch signaling through interaction with Numb. Couples to apoptosis-inducing pathways such as those mediated by G(o) and JIP. Inhibits G(o) alpha ATPase activity (By similarity). Acts as a kinesin I membrane receptor, mediating the axonal transport of beta-secretase and presenilin 1 (By similarity). By acting as a kinesin I membrane receptor, plays a role in axonal anterograde transport of cargo towards synapses in axons (PubMed : 17062754, PubMed : 23011729). Involved in copper homeostasis/oxidative stress through copper ion reduction. In vitro, copper-metallated APP induces neuronal death directly or is potentiated through Cu(2+)-mediated low-density lipoprotein oxidation. Can regulate neurite outgrowth through binding to components of the extracellular matrix such as heparin and collagen I and IV. The splice isoforms that contain the BPTI domain possess protease inhibitor activity. Induces a AGER-dependent pathway that involves activation of p38 MAPK, resulting in internalization of amyloid-beta peptide and leading to mitochondrial dysfunction in cultured cortical neurons. Provides Cu(2+) ions for GPC1 which are required for release of nitric oxide (NO) and subsequent degradation of the heparan sulfate chains on GPC1.. Amyloid-beta peptides are lipophilic metal chelators with metal-reducing activity. Bind transient metals such as copper, zinc and iron. In vitro, can reduce Cu(2+) and Fe(3+) to Cu(+) and Fe(2+), respectively. Amyloid-beta peptides bind to lipoproteins and apolipoproteins E and J in the CSF and to HDL particles in plasma, inhibiting metal-catalyzed oxidation of lipoproteins. Promotes both tau aggregation and TPK II-mediated phosphorylation. Interaction with overexpressed HADH2 leads to oxidative stress and neurotoxicity. Also binds GPC1 in lipid rafts.. Amyloid-beta protein 42. More effective reductant than amyloid-beta protein 40. May activate mononuclear phagocytes in the brain and elicit inflammatory responses.. Appicans elicit adhesion of neural cells to the extracellular matrix and may regulate neurite outgrowth in the brain.. The gamma-CTF peptides as well as the caspase-cleaved peptides, including C31, are potent enhancers of neuronal apoptosis.
See full target information APP

Publications (2)

Recent publications for all applications. Explore the full list and refine your search

Cell & bioscience 14:88 PubMed38956702

2024

NOX4-mediated astrocyte ferroptosis in Alzheimer's disease.

Applications

Unspecified application

Species

Unspecified reactive species

Yasenjiang Maimaiti,Ting Su,Zhanying Zhang,Lingling Ma,Yuan Zhang,Hong Xu

BMC medical genomics 16:143 PubMed37344844

2023

A non-coding variant in the Kozak sequence of RARS2 strongly decreases protein levels and causes pontocerebellar hypoplasia.

Applications

Unspecified application

Species

Unspecified reactive species

Romain Nicolle,Nami Altin,Karine Siquier-Pernet,Sherlina Salignac,Pierre Blanc,Arnold Munnich,Christine Bole-Feysot,Valérie Malan,Barthélémy Caron,Patrick Nitschké,Isabelle Desguerre,Nathalie Boddaert,Marlène Rio,Antonio Rausell,Vincent Cantagrel
View all publications

Product promise

We are committed to supporting your work with high-quality reagents, and we're here for you every step of the way. In the unlikely event that one of our products does not perform as expected, you're protected by our Product Promise.
For full details, please see our Terms & Conditions

Please note: All products are 'FOR RESEARCH USE ONLY. NOT FOR USE IN DIAGNOSTIC OR THERAPEUTIC PROCEDURES'.

For licensing inquiries, please contact partnerships@abcam.com