JavaScript is disabled in your browser. Please enable JavaScript to view this website.
AB151774

Anti-Beta Arrestin 2 antibody

Be the first to review this product! Submit a review

|

(2 Publications)

Rabbit Polyclonal Beta Arrestin 2 antibody. Suitable for IHC-P, WB and reacts with Rat, Human samples. Cited in 2 publications. Immunogen corresponding to Synthetic Peptide within Human ARRB2.

View Alternative Names

ARB2, ARR2, ARRB2, Beta-arrestin-2, Arrestin beta-2, Non-visual arrestin-3

3 Images
Immunohistochemistry (Formalin/PFA-fixed paraffin-embedded sections) - Anti-Beta Arrestin 2 antibody (AB151774)
  • IHC-P

Unknown

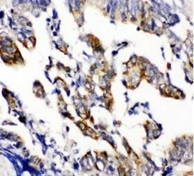
Immunohistochemistry (Formalin/PFA-fixed paraffin-embedded sections) - Anti-Beta Arrestin 2 antibody (AB151774)

Immunohistochemical analysis of paraffin-embedded Human intestinal cancer tissue, labeling Beta Arrestin 2 wth ab151774 at 1 μg/ml .

Immunohistochemistry (Formalin/PFA-fixed paraffin-embedded sections) - Anti-Beta Arrestin 2 antibody (AB151774)
  • IHC-P

Supplier Data

Immunohistochemistry (Formalin/PFA-fixed paraffin-embedded sections) - Anti-Beta Arrestin 2 antibody (AB151774)

Immunohistochemical analysis of paraffin-embedded Rat testis tissue, labeling Beta Arrestin 2 wth ab151774 at 1 μg/ml .

Western blot - Anti-Beta Arrestin 2 antibody (AB151774)
  • WB

Supplier Data

Western blot - Anti-Beta Arrestin 2 antibody (AB151774)

All lanes:

Western blot - Anti-Beta Arrestin 2 antibody (ab151774) at 0.5 µg/mL

Lane 1:

HeLa Whole Cell Lysate at 40 µg

Lane 2:

Rat Skeletal Muscle Tissue Lysate at 40 µg

Predicted band size: 46 kDa

false

Key facts

Host species

Rabbit

Clonality

Polyclonal

Isotype

IgG

Carrier free

No

Reacts with

Rat, Human

Applications

WB, IHC-P

applications

Immunogen

Synthetic Peptide within Human ARRB2. The exact immunogen used to generate this antibody is proprietary information.

P32121

Reactivity data

{ "title": "Reactivity Data", "filters": { "stats": ["", "Species", "Dilution Info", "Notes"], "tabs": { "all-applications": {"fullname" : "All Applications", "shortname": "All Applications"}, "IHCP" : {"fullname" : "Immunohistochemistry (Formalin/PFA-fixed paraffin-embedded sections)", "shortname":"IHC-P"}, "WB" : {"fullname" : "Western blot", "shortname":"WB"} }, "product-promise": { "all": "all", "testedAndGuaranteed": "tested", "guaranteed": "expected", "predicted": "predicted", "notRecommended": "not-recommended" } }, "values": { "Human": { "IHCP-species-checked": "testedAndGuaranteed", "IHCP-species-dilution-info": "0.5-1 µg/mL", "IHCP-species-notes": "<p></p> Perform heat-mediated antigen retrieval before commencing with IHC staining protocol.", "WB-species-checked": "testedAndGuaranteed", "WB-species-dilution-info": "0.1-0.5 µg/mL", "WB-species-notes": "<p>The detection limit for Beta Arrestin 2 is approximately 5ng/lane under reducing conditions.</p>" }, "Mouse": { "IHCP-species-checked": "predicted", "IHCP-species-dilution-info": "", "IHCP-species-notes": "", "WB-species-checked": "predicted", "WB-species-dilution-info": "", "WB-species-notes": "" }, "Rat": { "IHCP-species-checked": "testedAndGuaranteed", "IHCP-species-dilution-info": "0.5-1 µg/mL", "IHCP-species-notes": "<p></p> Perform heat-mediated antigen retrieval before commencing with IHC staining protocol.", "WB-species-checked": "guaranteed", "WB-species-dilution-info": "", "WB-species-notes": "" } } }

Properties and storage information

Form
Liquid
Purification technique
Affinity purification Immunogen
Storage buffer
Preservative: 0.025% Sodium azide, 0.025% Thimerosal (merthiolate) Constituents: 2.5% BSA, 0.45% Sodium chloride, 0.1% Disodium hydrogenorthophosphate
Shipped at conditions
Blue Ice
Appropriate short-term storage conditions
+4°C
Appropriate long-term storage conditions
-20°C
Aliquoting information
Upon delivery aliquot
Storage information
Avoid freeze / thaw cycle

Supplementary information

This supplementary information is collated from multiple sources and compiled automatically.

Beta-arrestin 2 also known as arrb2 or b-arrestin mechanically functions to regulate G protein-coupled receptor (GPCR) signaling. This protein has a molecular mass of approximately 47 kDa and is ubiquitously expressed across various tissues including the brain lungs and heart. Beta-arrestin 2 works by binding to phosphorylated GPCRs facilitating receptor desensitization and endocytosis which stops the receptor's signaling activity and mediates receptor internalization.
Biological function summary

Beta-arrestin 2 plays an important role in mediating signal transduction pathways beyond GPCR desensitization including those involved in cell communication and cellular response regulation. Beta-arrestin 2 interacts with multiple signaling proteins to form complexes that facilitate signaling pathways notably influencing MAPK (Mitogen-Activated Protein Kinase) pathways. It provides a scaffold for downstream signaling molecules affecting cell signaling outcomes.

Pathways

Beta-arrestin 2 significantly participates in two important biological pathways: the MAPK pathway and the Wnt signaling pathway. Through these pathways beta-arrestin 2 interacts with signaling proteins such as ERK1/2 (Extracellular signal-Regulated Kinases) and dishevelled proteins. These interactions highlight beta-arrestin 2's ability to modulate signal strength and duration contributing to diverse cellular responses.

Beta-arrestin 2 is implicated in conditions like heart failure and certain cancers. The aberrant regulation of beta-arrestin 2-related pathways can lead to uncontrolled cell proliferation or inadequate heart responses. Additionally beta-arrestin 2 is connected to proteins like GPCR kinases in the context of heart failure and MAPK proteins within oncogenic processes underlining its potential as a therapeutic target.

Product protocols

For this product, it's our understanding that no specific protocols are required. You can visit:

Target data

Functions in regulating agonist-mediated G-protein coupled receptor (GPCR) signaling by mediating both receptor desensitization and resensitization processes. During homologous desensitization, beta-arrestins bind to the GPRK-phosphorylated receptor and sterically preclude its coupling to the cognate G-protein; the binding appears to require additional receptor determinants exposed only in the active receptor conformation. The beta-arrestins target many receptors for internalization by acting as endocytic adapters (CLASPs, clathrin-associated sorting proteins) and recruiting the GPRCs to the adapter protein 2 complex 2 (AP-2) in clathrin-coated pits (CCPs). However, the extent of beta-arrestin involvement appears to vary significantly depending on the receptor, agonist and cell type. Internalized arrestin-receptor complexes traffic to intracellular endosomes, where they remain uncoupled from G-proteins. Two different modes of arrestin-mediated internalization occur. Class A receptors, like ADRB2, OPRM1, ENDRA, D1AR and ADRA1B dissociate from beta-arrestin at or near the plasma membrane and undergo rapid recycling. Class B receptors, like AVPR2, AGTR1, NTSR1, TRHR and TACR1 internalize as a complex with arrestin and traffic with it to endosomal vesicles, presumably as desensitized receptors, for extended periods of time. Receptor resensitization then requires that receptor-bound arrestin is removed so that the receptor can be dephosphorylated and returned to the plasma membrane. Mediates endocytosis of CCR7 following ligation of CCL19 but not CCL21. Involved in internalization of P2RY1, P2RY4, P2RY6 and P2RY11 and ATP-stimulated internalization of P2RY2. Involved in phosphorylation-dependent internalization of OPRD1 and subsequent recycling or degradation. Involved in ubiquitination of IGF1R. Beta-arrestins function as multivalent adapter proteins that can switch the GPCR from a G-protein signaling mode that transmits short-lived signals from the plasma membrane via small molecule second messengers and ion channels to a beta-arrestin signaling mode that transmits a distinct set of signals that are initiated as the receptor internalizes and transits the intracellular compartment. Acts as a signaling scaffold for MAPK pathways such as MAPK1/3 (ERK1/2) and MAPK10 (JNK3). ERK1/2 and JNK3 activated by the beta-arrestin scaffold are largely excluded from the nucleus and confined to cytoplasmic locations such as endocytic vesicles, also called beta-arrestin signalosomes. Acts as a signaling scaffold for the AKT1 pathway. GPCRs for which the beta-arrestin-mediated signaling relies on both ARRB1 and ARRB2 (codependent regulation) include ADRB2, F2RL1 and PTH1R. For some GPCRs the beta-arrestin-mediated signaling relies on either ARRB1 or ARRB2 and is inhibited by the other respective beta-arrestin form (reciprocal regulation). Increases ERK1/2 signaling in AGTR1- and AVPR2-mediated activation (reciprocal regulation). Involved in CCR7-mediated ERK1/2 signaling involving ligand CCL19. Is involved in type-1A angiotensin II receptor/AGTR1-mediated ERK activity. Is involved in type-1A angiotensin II receptor/AGTR1-mediated MAPK10 activity. Is involved in dopamine-stimulated AKT1 activity in the striatum by disrupting the association of AKT1 with its negative regulator PP2A. Involved in AGTR1-mediated chemotaxis. Appears to function as signaling scaffold involved in regulation of MIP-1-beta-stimulated CCR5-dependent chemotaxis. Involved in attenuation of NF-kappa-B-dependent transcription in response to GPCR or cytokine stimulation by interacting with and stabilizing CHUK. Suppresses UV-induced NF-kappa-B-dependent activation by interacting with CHUK. The function is promoted by stimulation of ADRB2 and dephosphorylation of ARRB2. Involved in p53/TP53-mediated apoptosis by regulating MDM2 and reducing the MDM2-mediated degradation of p53/TP53. May serve as nuclear messenger for GPCRs. Upon stimulation of OR1D2, may be involved in regulation of gene expression during the early processes of fertilization. Also involved in regulation of receptors other than GPCRs. Involved in endocytosis of TGFBR2 and TGFBR3 and down-regulates TGF-beta signaling such as NF-kappa-B activation. Involved in endocytosis of low-density lipoprotein receptor/LDLR. Involved in endocytosis of smoothened homolog/Smo, which also requires GRK2. Involved in endocytosis of SLC9A5. Involved in endocytosis of ENG and subsequent TGF-beta-mediated ERK activation and migration of epithelial cells. Involved in Toll-like receptor and IL-1 receptor signaling through the interaction with TRAF6 which prevents TRAF6 autoubiquitination and oligomerization required for activation of NF-kappa-B and JUN (PubMed : 26839314). Involved in insulin resistance by acting as insulin-induced signaling scaffold for SRC, AKT1 and INSR. Involved in regulation of inhibitory signaling of natural killer cells by recruiting PTPN6 and PTPN11 to KIR2DL1. Involved in IL8-mediated granule release in neutrophils. Involved in the internalization of the atypical chemokine receptor ACKR3. Acts as an adapter protein coupling FFAR4 receptor to specific downstream signaling pathways, as well as mediating receptor endocytosis (PubMed : 22282525, PubMed : 23809162). During the activation step of NLRP3 inflammasome, directly associates with NLRP3 leading to inhibition of pro-inflammatory cytokine release and inhibition of inflammation (PubMed : 23809162).
See full target information ARRB2

Publications (2)

Recent publications for all applications. Explore the full list and refine your search

Frontiers in endocrinology 11:554733 PubMed33042017

2020

β-arrestin 2 Is a Prognostic Factor for Survival of Ovarian Cancer Patients Upregulating Cell Proliferation.

Applications

Unspecified application

Species

Unspecified reactive species

Bastian Czogalla,Alexandra Partenheimer,Udo Jeschke,Viktoria von Schönfeldt,Doris Mayr,Sven Mahner,Alexander Burges,Manuela Simoni,Beatrice Melli,Riccardo Benevelli,Sara Bertini,Livio Casarini,Fabian Trillsch

EBioMedicine 41:610-622 PubMed30827932

2019

Anti α-enolase antibody is a novel autoimmune biomarker for unexplained recurrent miscarriages.

Applications

Unspecified application

Species

Unspecified reactive species

Yao Ye,Christina Kuhn,Miwako Kösters,Georg J Arnold,Hellen Ishikawa-Ankerhold,Christian Schulz,Nina Rogenhofer,Christian J Thaler,Sven Mahner,Thomas Fröhlich,Udo Jeschke,Viktoria von Schönfeldt
View all publications

Product promise

We are committed to supporting your work with high-quality reagents, and we're here for you every step of the way. In the unlikely event that one of our products does not perform as expected, you're protected by our Product Promise.
For full details, please see our Terms & Conditions

Please note: All products are 'FOR RESEARCH USE ONLY. NOT FOR USE IN DIAGNOSTIC OR THERAPEUTIC PROCEDURES'.

For licensing inquiries, please contact partnerships@abcam.com