JavaScript is disabled in your browser. Please enable JavaScript to view this website.
AB239791

Anti-Beta Arrestin 2 + Beta Arrestin 1 antibody [EPR22073] - BSA and Azide free

Be the first to review this product! Submit a review

|

(1 Publication)

Rabbit Recombinant Monoclonal Beta Arrestin 2 antibody. Carrier free. Suitable for IP, WB, Flow Cyt (Intra) and reacts with Human, Mouse, Rat samples. Cited in 1 publication.

View Alternative Names

ARB2, ARR2, ARRB2, Beta-arrestin-2, Arrestin beta-2, Non-visual arrestin-3

3 Images
Flow Cytometry (Intracellular) - Anti-Beta Arrestin 2 + Beta Arrestin 1 antibody [EPR22073] - BSA and Azide free (AB239791)
  • Flow Cyt (Intra)

Supplier Data

Flow Cytometry (Intracellular) - Anti-Beta Arrestin 2 + Beta Arrestin 1 antibody [EPR22073] - BSA and Azide free (AB239791)

Intracellular flow cytometric analysis of 4% paraformaldehyde-fixed, 90% methanol-permeabilized HeLa (human epithelial cell line from cervix adenocarcinoma) cell line labeling Beta Arrestin 2 with ab206972 at 1/600 dilution (red) compared with a Rabbit IgG, monoclonal [EPR25A] - Isotype Control (ab172730) (black) and an unlabeled control (cells without incubation with primary antibody and secondary antibody) (blue). Goat Anti-Rabbit IgG H&L (Alexa Fluor® 488) (ab150077) at 1/2000 dilution was used as the secondary antibody.

This data was developed using the same antibody clone in a different buffer formulation containing PBS, BSA, glycerol and sodium azide (ab206972).

Immunoprecipitation - Anti-Beta Arrestin 2 + Beta Arrestin 1 antibody [EPR22073] - BSA and Azide free (AB239791)
  • IP

Supplier Data

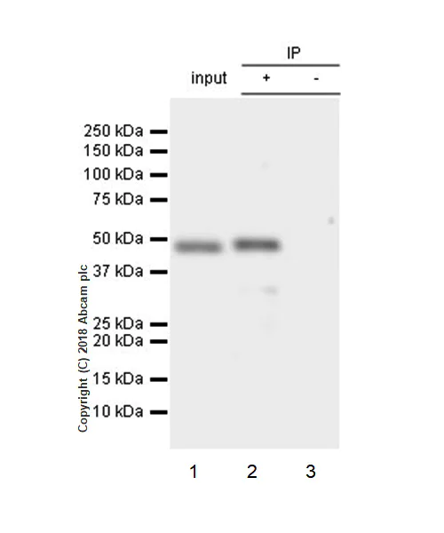
Immunoprecipitation - Anti-Beta Arrestin 2 + Beta Arrestin 1 antibody [EPR22073] - BSA and Azide free (AB239791)

Beta Arrestin 2 was immunoprecipitated from 0.35 mg of HEK-293T (human epithelial cell line from embryonic kidney transformed with large T antigen) whole cell lysate with ab206972 at 1/30 dilution. Western blot was performed from the immunoprecipitate using ab206972 at 1/1000 dilution. VeriBlot for IP Detection Reagent (HRP) (ab131366), was used for detection at 1/5000 dilution.

Lane 1 : HEK-293T whole cell lysate 10 μg (Input).

Lane 2 : ab206972 IP in HEK-293T whole cell lysate.

Lane 3 : Rabbit monoclonal IgG (ab172730) instead of ab206972 in HEK-293T whole cell lysate.

Blocking/Dilution buffer : 5% NFDM/TBST.

Exposure time : 10 seconds.

This data was developed using the same antibody clone in a different buffer formulation containing PBS, BSA, glycerol, and sodium azide (ab206972).

All lanes:

Immunoprecipitation - Anti-Beta Arrestin 2 + Beta Arrestin 1 antibody [EPR22073] (<a href='/en-us/products/primary-antibodies/beta-arrestin-2-beta-arrestin-1-antibody-epr22073-ab206972'>ab206972</a>)

Predicted band size: 46 kDa

false

Dot Blot - Anti-Beta Arrestin 2 + Beta Arrestin 1 antibody [EPR22073] - BSA and Azide free (AB239791)
  • Dot

Supplier Data

Dot Blot - Anti-Beta Arrestin 2 + Beta Arrestin 1 antibody [EPR22073] - BSA and Azide free (AB239791)

This data was developed using ab206972, the same antibody clone in a different buffer formulation.

Dot blot analysis of beta Arrestin 1+Beta Arrestin 2 labelled with ab206972 at 1/1000 dilution and 1/2000 dilution using different lot numbers (A & B), and labelled with ab213204 (His) at 1/1000 dilution (C).

Lane 1 : P8423 beta Arrestin 2 peptide.
Lane 2 : P8423 beta Arrestin 1 peptide.

Goat Anti-Rabbit IgG H&L (HRP) (ab97051) at 1/100000 dilution was used as secondary antibody.
Blocking and dilution buffer : 5% NFDM/TBST.
Exposure time : 180 seconds.

  • Unconjugated

    Anti-Beta Arrestin 2 + Beta Arrestin 1 antibody [EPR22073]

Key facts

Host species

Rabbit

Clonality

Monoclonal

Clone number

EPR22073

Isotype

IgG

Carrier free

Yes

Reacts with

Mouse, Rat, Human

Applications

Flow Cyt (Intra), IP, WB

applications

Immunogen

The exact immunogen used to generate this antibody is proprietary information.

Specificity

The immunogen used for this product shares 86% homology with Beta Arrestin 1.

Reactivity data

{ "title": "Reactivity Data", "filters": { "stats": ["", "Species", "Dilution Info", "Notes"], "tabs": { "all-applications": {"fullname" : "All Applications", "shortname": "All Applications"}, "IP" : {"fullname" : "Immunoprecipitation", "shortname":"IP"}, "WB" : {"fullname" : "Western blot", "shortname":"WB"}, "FlowCytIntra" : {"fullname" : "Flow Cytometry (Intracellular)", "shortname":"Flow Cyt (Intra)"} }, "product-promise": { "all": "all", "testedAndGuaranteed": "tested", "guaranteed": "expected", "predicted": "predicted", "notRecommended": "not-recommended" } }, "values": { "Human": { "IP-species-checked": "testedAndGuaranteed", "IP-species-dilution-info": "", "IP-species-notes": "<p></p>", "WB-species-checked": "guaranteed", "WB-species-dilution-info": "", "WB-species-notes": "<p></p>", "FlowCytIntra-species-checked": "testedAndGuaranteed", "FlowCytIntra-species-dilution-info": "", "FlowCytIntra-species-notes": "<p></p>" }, "Mouse": { "IP-species-checked": "predicted", "IP-species-dilution-info": "", "IP-species-notes": "", "WB-species-checked": "guaranteed", "WB-species-dilution-info": "", "WB-species-notes": "<p></p>", "FlowCytIntra-species-checked": "predicted", "FlowCytIntra-species-dilution-info": "", "FlowCytIntra-species-notes": "" }, "Rat": { "IP-species-checked": "predicted", "IP-species-dilution-info": "", "IP-species-notes": "", "WB-species-checked": "guaranteed", "WB-species-dilution-info": "", "WB-species-notes": "<p></p>", "FlowCytIntra-species-checked": "predicted", "FlowCytIntra-species-dilution-info": "", "FlowCytIntra-species-notes": "" } } }

Product details

ab239791 is the carrier-free version of ab206972.

Patented technology
Our RabMAb® technology is a patented hybridoma-based technology for making rabbit monoclonal antibodies. For details on our patents, please refer to RabMAb® patents.

What are the advantages of a recombinant monoclonal antibody?
This product is a recombinant monoclonal antibody, which offers several advantages including:

  • - High batch-to-batch consistency and reproducibility
  • - Improved sensitivity and specificity
  • - Long-term security of supply
  • - Animal-free batch production

For more information, read more on recombinant antibodies.

Conjugation ready
Our carrier-free antibodies are typically supplied in a PBS-only formulation, purified and free of BSA, sodium azide and glycerol. This conjugation-ready format is designed for use with fluorochromes, metal isotopes, oligonucleotides, and enzymes, which makes them ideal for antibody labelling, functional and cell-based assays, flow-based assays (e.g. mass cytometry) and Multiplex Imaging applications.

Use our conjugation kits for antibody conjugates that are ready-to-use in as little as 20 minutes with 1 minute hands-on-time and 100% antibody recovery: available for fluorescent dyes, HRP, biotin and gold.

Compatibility
This product is compatible with the Maxpar® Antibody Labeling Kit from Fluidigm, without the need for antibody preparation. Maxpar® is a trademark of Fluidigm Canada Inc.

Properties and storage information

Form
Liquid
Purification technique
Affinity purification Protein A
Storage buffer
pH: 7.2 - 7.4 Constituents: PBS
Shipped at conditions
Blue Ice
Appropriate short-term storage conditions
+4°C
Appropriate long-term storage conditions
+4°C
Storage information
Do Not Freeze

Supplementary information

This supplementary information is collated from multiple sources and compiled automatically.

The proteins Beta Arrestin 1 and Beta Arrestin 2 often referred to as Arrestins are multifunctional adaptors important in G protein-coupled receptor (GPCR) regulation. Beta Arrestin 1 has a mass of approximately 47 kDa while Beta Arrestin 2 is about 45 kDa. These proteins are widely expressed in various tissues and play an important role in GPCR signaling by facilitating receptor desensitization internalization and signaling pathways. Their presence is ubiquitous in the body showing expression in tissues like the brain heart and liver.
Biological function summary

These Arrestins participate in signal transduction processes by forming complexes with GPCRs. They serve as scaffolds that can recruit other signaling molecules. This ability to form complexes allows them to mediate downstream signaling pathways impacting cellular responses like cell migration proliferation and apoptosis. They are important in fine-tuning cellular responses and adapting to the external environment.

Pathways

Beta Arrestin 1 and 2 play roles beyond GPCR desensitization involving the mitogen-activated protein kinase (MAPK) pathways and the AKT pathway. They interact with proteins such as ERK1/2 in the MAPK pathway and are implicated in modulating cellular growth and survival signals. Through these pathways Beta Arrestins integrate and coordinate complex signaling networks essential for diverse cellular functions.

Beta Arrestins are relevant to conditions such as heart failure and type 2 diabetes. Their role in GPCR signaling links them to heart failure where abnormal receptor signaling can exacerbate the condition. Additionally in type 2 diabetes alterations in GPCR signaling involving these Arrestins can affect insulin sensitivity. They interact with proteins like G proteins and receptors directly connected to these diseases indicating their significance in pathophysiological processes.

Product protocols

For this product, it's our understanding that no specific protocols are required. You can visit:

Target data

Functions in regulating agonist-mediated G-protein coupled receptor (GPCR) signaling by mediating both receptor desensitization and resensitization processes. During homologous desensitization, beta-arrestins bind to the GPRK-phosphorylated receptor and sterically preclude its coupling to the cognate G-protein; the binding appears to require additional receptor determinants exposed only in the active receptor conformation. The beta-arrestins target many receptors for internalization by acting as endocytic adapters (CLASPs, clathrin-associated sorting proteins) and recruiting the GPRCs to the adapter protein 2 complex 2 (AP-2) in clathrin-coated pits (CCPs). However, the extent of beta-arrestin involvement appears to vary significantly depending on the receptor, agonist and cell type. Internalized arrestin-receptor complexes traffic to intracellular endosomes, where they remain uncoupled from G-proteins. Two different modes of arrestin-mediated internalization occur. Class A receptors, like ADRB2, OPRM1, ENDRA, D1AR and ADRA1B dissociate from beta-arrestin at or near the plasma membrane and undergo rapid recycling. Class B receptors, like AVPR2, AGTR1, NTSR1, TRHR and TACR1 internalize as a complex with arrestin and traffic with it to endosomal vesicles, presumably as desensitized receptors, for extended periods of time. Receptor resensitization then requires that receptor-bound arrestin is removed so that the receptor can be dephosphorylated and returned to the plasma membrane. Mediates endocytosis of CCR7 following ligation of CCL19 but not CCL21. Involved in internalization of P2RY1, P2RY4, P2RY6 and P2RY11 and ATP-stimulated internalization of P2RY2. Involved in phosphorylation-dependent internalization of OPRD1 and subsequent recycling or degradation. Involved in ubiquitination of IGF1R. Beta-arrestins function as multivalent adapter proteins that can switch the GPCR from a G-protein signaling mode that transmits short-lived signals from the plasma membrane via small molecule second messengers and ion channels to a beta-arrestin signaling mode that transmits a distinct set of signals that are initiated as the receptor internalizes and transits the intracellular compartment. Acts as a signaling scaffold for MAPK pathways such as MAPK1/3 (ERK1/2) and MAPK10 (JNK3). ERK1/2 and JNK3 activated by the beta-arrestin scaffold are largely excluded from the nucleus and confined to cytoplasmic locations such as endocytic vesicles, also called beta-arrestin signalosomes. Acts as a signaling scaffold for the AKT1 pathway. GPCRs for which the beta-arrestin-mediated signaling relies on both ARRB1 and ARRB2 (codependent regulation) include ADRB2, F2RL1 and PTH1R. For some GPCRs the beta-arrestin-mediated signaling relies on either ARRB1 or ARRB2 and is inhibited by the other respective beta-arrestin form (reciprocal regulation). Increases ERK1/2 signaling in AGTR1- and AVPR2-mediated activation (reciprocal regulation). Involved in CCR7-mediated ERK1/2 signaling involving ligand CCL19. Is involved in type-1A angiotensin II receptor/AGTR1-mediated ERK activity. Is involved in type-1A angiotensin II receptor/AGTR1-mediated MAPK10 activity. Is involved in dopamine-stimulated AKT1 activity in the striatum by disrupting the association of AKT1 with its negative regulator PP2A. Involved in AGTR1-mediated chemotaxis. Appears to function as signaling scaffold involved in regulation of MIP-1-beta-stimulated CCR5-dependent chemotaxis. Involved in attenuation of NF-kappa-B-dependent transcription in response to GPCR or cytokine stimulation by interacting with and stabilizing CHUK. Suppresses UV-induced NF-kappa-B-dependent activation by interacting with CHUK. The function is promoted by stimulation of ADRB2 and dephosphorylation of ARRB2. Involved in p53/TP53-mediated apoptosis by regulating MDM2 and reducing the MDM2-mediated degradation of p53/TP53. May serve as nuclear messenger for GPCRs. Upon stimulation of OR1D2, may be involved in regulation of gene expression during the early processes of fertilization. Also involved in regulation of receptors other than GPCRs. Involved in endocytosis of TGFBR2 and TGFBR3 and down-regulates TGF-beta signaling such as NF-kappa-B activation. Involved in endocytosis of low-density lipoprotein receptor/LDLR. Involved in endocytosis of smoothened homolog/Smo, which also requires GRK2. Involved in endocytosis of SLC9A5. Involved in endocytosis of ENG and subsequent TGF-beta-mediated ERK activation and migration of epithelial cells. Involved in Toll-like receptor and IL-1 receptor signaling through the interaction with TRAF6 which prevents TRAF6 autoubiquitination and oligomerization required for activation of NF-kappa-B and JUN (PubMed : 26839314). Involved in insulin resistance by acting as insulin-induced signaling scaffold for SRC, AKT1 and INSR. Involved in regulation of inhibitory signaling of natural killer cells by recruiting PTPN6 and PTPN11 to KIR2DL1. Involved in IL8-mediated granule release in neutrophils. Involved in the internalization of the atypical chemokine receptor ACKR3. Acts as an adapter protein coupling FFAR4 receptor to specific downstream signaling pathways, as well as mediating receptor endocytosis (PubMed : 22282525, PubMed : 23809162). During the activation step of NLRP3 inflammasome, directly associates with NLRP3 leading to inhibition of pro-inflammatory cytokine release and inhibition of inflammation (PubMed : 23809162).
See full target information ARRB2

Additional targets

ARRB1

Publications (1)

Recent publications for all applications. Explore the full list and refine your search

Frontiers in medicine 12:1614012 PubMed40959429

2025

A mitochondrial ferroptosis-related gene signature predicts prognosis and immune landscape in colon cancer.

Applications

Unspecified application

Species

Unspecified reactive species

Hou Wang
View all publications

Product promise

We are committed to supporting your work with high-quality reagents, and we're here for you every step of the way. In the unlikely event that one of our products does not perform as expected, you're protected by our Product Promise.
For full details, please see our Terms & Conditions

Please note: All products are 'FOR RESEARCH USE ONLY. NOT FOR USE IN DIAGNOSTIC OR THERAPEUTIC PROCEDURES'.

For licensing inquiries, please contact partnerships@abcam.com