JavaScript is disabled in your browser. Please enable JavaScript to view this website.
AB236290

Anti-beta Casein antibody

Be the first to review this product! Submit a review

|

(2 Publications)

Rabbit Polyclonal beta Casein antibody. Suitable for IHC-P and reacts with Human samples. Cited in 2 publications. Immunogen corresponding to Recombinant Full Length Protein corresponding to Human CSN2.

View Alternative Names

CASB, CSN2, Beta-casein

1 Images
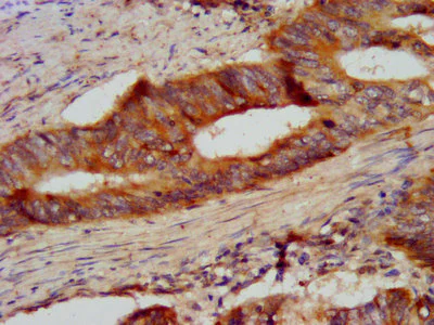
Immunohistochemistry (Formalin/PFA-fixed paraffin-embedded sections) - Anti-beta Casein antibody (AB236290)
  • IHC-P

Supplier Data

Immunohistochemistry (Formalin/PFA-fixed paraffin-embedded sections) - Anti-beta Casein antibody (AB236290)

Paraffin-embedded human colon cancer tissue stained for beta Casein using ab236290 at 1/300 dilution in immunohistochemical analysis.

After dewaxing and hydration, antigen retrieval was mediated by high pressure in a citrate buffer (pH 6.0). Section was blocked with 10% normal goat serum 30 minutes at room temperature. Then primary antibody (1% BSA) was incubated at 4°C overnight. The primary is detected by a biotinylated secondary antibody and visualized using an HRP conjugated SP system.

Key facts

Host species

Rabbit

Clonality

Polyclonal

Isotype

IgG

Carrier free

No

Reacts with

Human

Applications

IHC-P

applications

Immunogen

Recombinant Full Length Protein corresponding to Human CSN2.

P05814

Reactivity data

{ "title": "Reactivity Data", "filters": { "stats": ["", "Species", "Dilution Info", "Notes"], "tabs": { "all-applications": {"fullname" : "All Applications", "shortname": "All Applications"}, "IHCP" : {"fullname" : "Immunohistochemistry (Formalin/PFA-fixed paraffin-embedded sections)", "shortname":"IHC-P"} }, "product-promise": { "all": "all", "testedAndGuaranteed": "tested", "guaranteed": "expected", "predicted": "predicted", "notRecommended": "not-recommended" } }, "values": { "Human": { "IHCP-species-checked": "testedAndGuaranteed", "IHCP-species-dilution-info": "1/200 - 1/500", "IHCP-species-notes": "<p></p>" } } }

Properties and storage information

Form
Liquid
Purification technique
Affinity purification Protein G
Purification notes
Purity >95%
Storage buffer
pH: 7.4 Preservative: 0.03% Proclin 300 Constituents: PBS, 50% Glycerol (glycerin, glycerine)
Shipped at conditions
Blue Ice
Appropriate short-term storage duration
1-2 weeks
Appropriate short-term storage conditions
+4°C
Appropriate long-term storage conditions
-20°C
Aliquoting information
Upon delivery aliquot
Storage information
Avoid freeze / thaw cycle

Supplementary information

This supplementary information is collated from multiple sources and compiled automatically.

Beta-casein is a major component of milk proteins known also simply as casein or beta-casein protein. This protein plays an important structural role in forming micelles which ensures efficient transport and digestion of calcium and phosphate in milk. Beta-casein has a molecular weight of about 24 kDa. It is primarily expressed in the mammary gland produced during lactation. Analyzing beta-casein often involves techniques like casein SDS PAGE which helps in confirming its molecular mass and purity.
Biological function summary

Beta-casein is involved in both nutritional and protective functions. In the mammary gland it is part of the casein micelle complex which includes other caseins like alpha-casein and kappa-casein. These micelles improve the stability and solubility of milk proteins. Beta-casein's phosphorylation allows binding with calcium ions supporting skeletal development. This function is significant in neonatal growth as casein protein delivers amino acids critical for development.

Pathways

Beta-casein functions within pathways related to calcium transport and absorption. It interacts with proteins involved in the signaling pathways such as osteopontin enhancing mineral absorption. In milk production processes beta-casein supports micelle assembly and stabilization forming complexes that incorporate other milk proteins. These interactions are essential in ensuring the proper delivery of nutrients and minerals to developing offspring.

Beta-casein may play a role in dairy-related sensitivities and certain metabolic disorders. Some studies suggest its A1 variant could be linked to digestive discomfort in lactose-intolerant individuals. Beta-casein's protein fragments such as beta-casomorphin are also under investigation for links to conditions like type 1 diabetes. In these contexts beta-casein's interaction with proteins involved in immune response might influence disease progression.

Product protocols

For this product, it's our understanding that no specific protocols are required. You can visit:

Target data

Important role in determination of the surface properties of the casein micelles.
See full target information CSN2

Publications (2)

Recent publications for all applications. Explore the full list and refine your search

Journal of dairy science 107:8722-8735 PubMed38876213

2024

Unveiling the regulatory role of SIRT1 in the oxidative stress response of bovine mammary cells.

Applications

Unspecified application

Species

Unspecified reactive species

Yufei Zhang,Juxiong Liu,Shuai Yuan,Shu Liu,Meng Zhang,Huijie Hu,Yu Cao,Guiqiu Hu,Shoupeng Fu,Wenjin Guo

Cellular & molecular immunology 21:362-373 PubMed38374404

2024

Unsynchronized butyrophilin molecules dictate cancer cell evasion of Vγ9Vδ2 T-cell killing.

Applications

Unspecified application

Species

Unspecified reactive species

Zeguang Wu,Qiezhong Lamao,Meichao Gu,Xuanxuan Jin,Ying Liu,Feng Tian,Ying Yu,Pengfei Yuan,Shuaixin Gao,Thomas S Fulford,Adam P Uldrich,Catherine Cl Wong,Wensheng Wei
View all publications

Product promise

We are committed to supporting your work with high-quality reagents, and we're here for you every step of the way. In the unlikely event that one of our products does not perform as expected, you're protected by our Product Promise.
For full details, please see our Terms & Conditions

Please note: All products are 'FOR RESEARCH USE ONLY. NOT FOR USE IN DIAGNOSTIC OR THERAPEUTIC PROCEDURES'.

For licensing inquiries, please contact partnerships@abcam.com