JavaScript is disabled in your browser. Please enable JavaScript to view this website.
AB237826

Anti-beta Catenin antibody [CTNNB1/2030R] - BSA and Azide free

Be the first to review this product! Submit a review

|

(1 Publication)

Rabbit Recombinant Monoclonal beta Catenin antibody. Carrier free. Suitable for WB, Protein Array, IHC-P and reacts with Human, Recombinant full length protein - Human samples. Cited in 1 publication. Immunogen corresponding to Recombinant Full Length Protein corresponding to Human CTNNB1.

View Alternative Names

CTNNB, OK/SW-cl.35, PRO2286, CTNNB1, Catenin beta-1, Beta-catenin

4 Images
Immunohistochemistry (Formalin/PFA-fixed paraffin-embedded sections) - Anti-beta Catenin antibody [CTNNB1/2030R] - BSA and Azide free (AB237826)
  • IHC-P

Supplier Data

Immunohistochemistry (Formalin/PFA-fixed paraffin-embedded sections) - Anti-beta Catenin antibody [CTNNB1/2030R] - BSA and Azide free (AB237826)

Formalin-fixed, paraffin-embedded human tonsil tissue stained for beta Catenin using ab237984 at 2 μg/ml in immunohistochemical analysis.

This data was produced with ab237984, the same antibody in a different formulation with BSA and Azide.

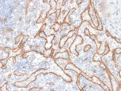
Immunohistochemistry (Formalin/PFA-fixed paraffin-embedded sections) - Anti-beta Catenin antibody [CTNNB1/2030R] - BSA and Azide free (AB237826)
  • IHC-P

Supplier Data

Immunohistochemistry (Formalin/PFA-fixed paraffin-embedded sections) - Anti-beta Catenin antibody [CTNNB1/2030R] - BSA and Azide free (AB237826)

Formalin-fixed, paraffin-embedded human cervical carcinoma tissue stained for beta Catenin using ab237984 at 2 μg/ml in immunohistochemical analysis.

This data was produced with ab237984, the same antibody in a different formulation with BSA and Azide.

Western blot - Anti-beta Catenin antibody [CTNNB1/2030R] - BSA and Azide free (AB237826)
  • WB

Supplier Data

Western blot - Anti-beta Catenin antibody [CTNNB1/2030R] - BSA and Azide free (AB237826)

This data was produced with ab237984, the same antibody in a different formulation with BSA and Azide.

All lanes:

Western blot - Anti-beta Catenin antibody [CTNNB1/2030R] (<a href='/en-us/products/primary-antibodies/beta-catenin-antibody-ctnnb1-2030r-ab237984'>ab237984</a>) at 2 µg/mL

All lanes:

HeLa (human epithelial cell line from cervix adenocarcinoma) cell lysate

Predicted band size: 85 kDa

false

Protein Array - Anti-beta Catenin antibody [CTNNB1/2030R] - BSA and Azide free (AB237826)
  • Protein Array

Unknown

Protein Array - Anti-beta Catenin antibody [CTNNB1/2030R] - BSA and Azide free (AB237826)

This data was produced with ab237984, the same antibody in a different formulation with BSA and Azide.
ab237984 was tested in protein array against over 19000 different full-length human proteins.
Z- and S- Score : The Z-score represents the strength of a signal that a monoclonal antibody (MAb) (in combination with a fluorescently-tagged anti-IgG secondary antibody) produces when binding to a particular protein on the HuProtTM array. Z-scores are described in units of standard deviations (SD's) above the mean value of all signals generated on that array. If targets on HuProtTM are arranged in descending order of the Z-score, the S-score is the difference (also in units of SD's) between the Z-score. S-score therefore represents the relative target specificity of a MAb to its intended target.
A MAb is specific to its intended target if the MAb has an S-score of at least 2.5. For example, if a MAb binds to protein X with a Z-score of 43 and to protein Y with a Z-score of 14, then the S-score for the binding of that MAb to protein X is equal to 29.

Key facts

Host species

Rabbit

Clonality

Monoclonal

Clone number

CTNNB1/2030R

Isotype

IgG

Carrier free

Yes

Reacts with

Human

Applications

IHC-P, WB, Protein Array

applications

Immunogen

Recombinant Full Length Protein corresponding to Human CTNNB1.

P35222

Reactivity data

{ "title": "Reactivity Data", "filters": { "stats": ["", "Species", "Dilution Info", "Notes"], "tabs": { "all-applications": {"fullname" : "All Applications", "shortname": "All Applications"}, "WB" : {"fullname" : "Western blot", "shortname":"WB"}, "ProteinArray" : {"fullname" : "Protein Array", "shortname":"Protein Array"}, "IHCP" : {"fullname" : "Immunohistochemistry (Formalin/PFA-fixed paraffin-embedded sections)", "shortname":"IHC-P"} }, "product-promise": { "all": "all", "testedAndGuaranteed": "tested", "guaranteed": "expected", "predicted": "predicted", "notRecommended": "not-recommended" } }, "values": { "Human": { "WB-species-checked": "testedAndGuaranteed", "WB-species-dilution-info": "1-2 µg/mL", "WB-species-notes": "<p></p>", "ProteinArray-species-checked": "guaranteed", "ProteinArray-species-dilution-info": "", "ProteinArray-species-notes": "", "IHCP-species-checked": "testedAndGuaranteed", "IHCP-species-dilution-info": "1-2 µg/mL", "IHCP-species-notes": "<p>Staining of formalin-fixed tissues requires boiling tissue sections in 10mM citrate buffer, pH 6.0, for 10-20 min followed by cooling at RT for 20 minutes. Incubate with primary antibody for 30 mins at RT.</p>" }, "Recombinant full length protein - Human": { "WB-species-checked": "notRecommended", "WB-species-dilution-info": "", "WB-species-notes": "", "ProteinArray-species-checked": "testedAndGuaranteed", "ProteinArray-species-dilution-info": "", "ProteinArray-species-notes": "<p></p>", "IHCP-species-checked": "notRecommended", "IHCP-species-dilution-info": "", "IHCP-species-notes": "" } } }

Product details

ab237826 is the carrier-free version of ab237984.

Conjugation ready
Our carrier-free antibodies are typically supplied in a PBS-only formulation, purified and free of BSA, sodium azide and glycerol. This conjugation-ready format is designed for use with fluorochromes, metal isotopes, oligonucleotides, and enzymes, which makes them ideal for antibody labelling, functional and cell-based assays, flow-based assays (e.g. mass cytometry) and Multiplex Imaging applications.

Use our conjugation kits for antibody conjugates that are ready-to-use in as little as 20 minutes with 1 minute hands-on-time and 100% antibody recovery: available for fluorescent dyes, HRP, biotin and gold.

Properties and storage information

Form
Liquid
Purification technique
Affinity purification Protein A/G
Purification notes
Purified from bioreactor concentrate.
Storage buffer
pH: 7.2 - 7.4 Constituents: PBS
Shipped at conditions
Blue Ice
Appropriate short-term storage duration
1-2 weeks
Appropriate short-term storage conditions
+4°C
Appropriate long-term storage conditions
-20°C
Aliquoting information
Upon delivery aliquot
Storage information
Avoid freeze / thaw cycle

Supplementary information

This supplementary information is collated from multiple sources and compiled automatically.

Beta Catenin also known by names such as CTNNB1 or beta-chip is an important protein involved in cell signaling and adhesion. This protein has a molecular weight of around 88 kDa. Beta Catenin is expressed in many cell types and tissues indicating its widespread role in various biological processes. It functions mechanically by mediating the linkage between cadherins and the actin cytoskeleton facilitating cell-cell adhesion. Beta Catenin is also a central part of transcription regulation processes in the nucleus.
Biological function summary

This protein plays roles in both cell adhesion and the regulation of gene expression. Beta Catenin is a critical component of the Wnt signaling pathway where it can form complexes with other proteins to influence gene transcription. In the absence of Wnt signaling beta Catenin levels are low due to its degradation. However when the pathway is active it accumulates in the cytoplasm and eventually translocates to the nucleus where it interacts with TCF/LEF transcription factors to regulate the expression of target genes.

Pathways

Beta Catenin plays a central role in the Wnt signaling pathway and influences cell fate decisions and cellular proliferation. It acts in concert with proteins such as Dishevelled (DVL) and Axin to coordinate these important biological processes. In the absence of Wnt signaling proteins such as APC and GSK-3β are responsible for beta Catenin degradation keeping its cellular levels in check. Beta Catenin’s interaction with transcription factors in the nucleus makes it pivotal in the regulation of cell and tissue homeostasis.

Beta Catenin has associations with colorectal cancer and hepatocellular carcinoma. Its dysregulation can lead to unchecked cell proliferation and tumorigenesis. Often mutations in the beta Catenin gene (CTNNB1) or components of the Wnt pathway like APC are implicated in the development of these cancers. Its interplay with E-cadherin is important for maintaining tissue architecture and disruptions can lead to invasive cancer phenotypes. Understanding beta Catenin’s role provides insights into therapeutic strategies for these cancers.

Product protocols

For this product, it's our understanding that no specific protocols are required. You can visit:

Target data

Key downstream component of the canonical Wnt signaling pathway (PubMed : 17524503, PubMed : 18077326, PubMed : 18086858, PubMed : 18957423, PubMed : 21262353, PubMed : 22155184, PubMed : 22647378, PubMed : 22699938). In the absence of Wnt, forms a complex with AXIN1, AXIN2, APC, CSNK1A1 and GSK3B that promotes phosphorylation on N-terminal Ser and Thr residues and ubiquitination of CTNNB1 via BTRC and its subsequent degradation by the proteasome (PubMed : 17524503, PubMed : 18077326, PubMed : 18086858, PubMed : 18957423, PubMed : 21262353, PubMed : 22155184, PubMed : 22647378, PubMed : 22699938). In the presence of Wnt ligand, CTNNB1 is not ubiquitinated and accumulates in the nucleus, where it acts as a coactivator for transcription factors of the TCF/LEF family, leading to activate Wnt responsive genes (PubMed : 17524503, PubMed : 18077326, PubMed : 18086858, PubMed : 18957423, PubMed : 21262353, PubMed : 22155184, PubMed : 22647378, PubMed : 22699938). Involved in the regulation of cell adhesion, as component of an E-cadherin : catenin adhesion complex (By similarity). Acts as a negative regulator of centrosome cohesion (PubMed : 18086858). Involved in the CDK2/PTPN6/CTNNB1/CEACAM1 pathway of insulin internalization (PubMed : 21262353). Blocks anoikis of malignant kidney and intestinal epithelial cells and promotes their anchorage-independent growth by down-regulating DAPK2 (PubMed : 18957423). Disrupts PML function and PML-NB formation by inhibiting RANBP2-mediated sumoylation of PML (PubMed : 22155184). Promotes neurogenesis by maintaining sympathetic neuroblasts within the cell cycle (By similarity). Involved in chondrocyte differentiation via interaction with SOX9 : SOX9-binding competes with the binding sites of TCF/LEF within CTNNB1, thereby inhibiting the Wnt signaling (By similarity). Acts as a positive regulator of odontoblast differentiation during mesenchymal tooth germ formation, via promoting the transcription of differentiation factors such as LEF1, BMP2 and BMP4 (By similarity). Activity is repressed in a MSX1-mediated manner at the bell stage of mesenchymal tooth germ formation which prevents premature differentiation of odontoblasts (By similarity).
See full target information CTNNB1

Publications (1)

Recent publications for all applications. Explore the full list and refine your search

iScience 25:105503 PubMed36404924

2022

Biofabrication of synthetic human liver tissue with advanced programmable functions.

Applications

Unspecified application

Species

Unspecified reactive species

Rodrigo M Florentino,Kazutoyo Morita,Nils Haep,Takashi Motomura,Ricardo Diaz-Aragon,Lanuza A P Faccioli,Alexandra Collin de l'Hortet,Zeliha Cetin,Carla Frau,Lawrence Vernetti,Anna-Klara Amler,Alexander Thomas,Tobias Lam,Lutz Kloke,Kazuki Takeishi,D Lansing Taylor,Ira J Fox,Alejandro Soto-Gutierrez
View all publications

Product promise

We are committed to supporting your work with high-quality reagents, and we're here for you every step of the way. In the unlikely event that one of our products does not perform as expected, you're protected by our Product Promise.
For full details, please see our Terms & Conditions

Please note: All products are 'FOR RESEARCH USE ONLY. NOT FOR USE IN DIAGNOSTIC OR THERAPEUTIC PROCEDURES'.

For licensing inquiries, please contact partnerships@abcam.com