JavaScript is disabled in your browser. Please enable JavaScript to view this website.
AB223075

Anti-beta Catenin antibody [IGX4794R-3]

  • BOND RX™ Validated
  • KO Validated
  • RabMAb
  • Recombinant
  • Lab Essentials
  • 20ul selling size
  • What is this?

4

(2 Reviews)

|

(58 Publications)

Anti-beta Catenin antibody [IGX4794R-3] (ab223075) is a rabbit monoclonal antibody detecting beta Catenin in Western Blot, IHC-P, ICC/IF. Suitable for Human, Mouse.

- KO validated for confirmed specificity
- Biophysical QC for unrivalled batch-batch consistency
- Over 30 publications

View Alternative Names

CTNNB, OK/SW-cl.35, PRO2286, CTNNB1, Catenin beta-1, Beta-catenin

9 Images
Immunocytochemistry/ Immunofluorescence - Anti-beta Catenin antibody [IGX4794R-3] (AB223075)
  • ICC/IF

Lab

Immunocytochemistry/ Immunofluorescence - Anti-beta Catenin antibody [IGX4794R-3] (AB223075)

ab223075 staining CTNNB1 in MCF-7 cells. The cells were fixed with 100% methanol (5 min), blocked with 1% BSA/10% normal goat serum/0.3M glycine in 0.1% PBS-Tween for 1h. The cells were then incubated overnight at +4°C with ab223075 at a 0.05μg/ml concentration, then detected with an Alexa Fluor® 488 goat anti-rabbit secondary antibody (ab150081) at a 1/1000 dilution (shown in green). Nuclear DNA was labelled with DAPI (shown in blue), and ab195889, Mouse monoclonal to alpha Tubulin (Alexa Fluor® 594), at a 1/250 dilution (shown in red).

Image was taken with a confocal microscope (Leica-Microsystems, TCS SP8).

This product also gave a positive signal in 4% formaldehyde (10 min) fixed MCF-7 cells under the same testing conditions.

Immunohistochemistry (Formalin/PFA-fixed paraffin-embedded sections) - Anti-beta Catenin antibody [IGX4794R-3] (AB223075)
  • IHC-P

Lab

Immunohistochemistry (Formalin/PFA-fixed paraffin-embedded sections) - Anti-beta Catenin antibody [IGX4794R-3] (AB223075)

IHC image of CTNNB1 staining in a section of formalin-fixed paraffin-embedded human colon (normal)*, performed on a Leica BondTM. The section was pre-treated using heat mediated antigen retrieval with sodium citrate buffer (pH6, epitope retrieval solution 1) for 20 mins, before blocking of endogenous biotin using ab64212. The section was then incubated with ab223075, 0.25ug/ml, for 15 mins at room temperature and detected using an HRP conjugated ABC system. DAB was used as the chromogen. The section was then counterstained with haematoxylin and mounted with DPX. The inset negative control image is taken from an identical assay without primary antibody.

For other IHC staining systems (automated and non-automated) customers should optimize variable parameters such as antigen retrieval conditions, primary antibody concentration and antibody incubation times.

*Tissue obtained from the Human Research Tissue Bank, supported by the NIHR Cambridge Biomedical Research Centre

Immunocytochemistry/ Immunofluorescence - Anti-beta Catenin antibody [IGX4794R-3] (AB223075)
  • ICC/IF

Lab

Immunocytochemistry/ Immunofluorescence - Anti-beta Catenin antibody [IGX4794R-3] (AB223075)

ab223075 staining β-Catenin in wild-type HAP1 cells (top panel) and CTNNB1 (β-Catenin) knockout HAP1 cells (bottom panel). The cells were fixed with 100% methanol (5min), permeabilized with 0.1% Triton X-100 for 5 minutes and then blocked with 1% BSA/10% normal goat serum/0.3M glycine in 0.1% PBS-Tween for 1h. The cells were then incubated with ab223075 at 0.05μg/ml and ab195889 at 1/250 dilution (shown in red) overnight at +4°C, followed by a further incubation at room temperature for 1h with a goat secondary antibody to rabbit IgG (Alexa Fluor 488) (ab150081) at 2 μg/ml (shown in green). Nuclear DNA was labelled in blue with DAPI.

Image was taken with a confocal microscope (Leica-Microsystems, TCS SP8).

Immunohistochemistry (Formalin/PFA-fixed paraffin-embedded sections) - Anti-beta Catenin antibody [IGX4794R-3] (AB223075)
  • IHC-P

Lab

Immunohistochemistry (Formalin/PFA-fixed paraffin-embedded sections) - Anti-beta Catenin antibody [IGX4794R-3] (AB223075)

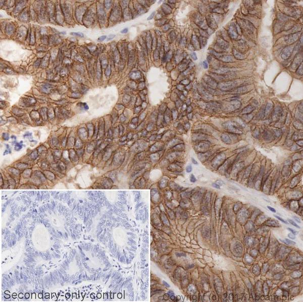
IHC image of CTNNB1 staining in a section of formalin-fixed paraffin-embedded human colon adenocarcinoma*, performed on a Leica BONDTM. The section was pre-treated using heat mediated antigen retrieval with sodium citrate buffer (pH6, epitope retrieval solution 1) for 20mins. The section was then incubated with ab223075, 0.1ug/ml dilution, for 15 mins at room temperature and detected using an HRP conjugated compact polymer system. DAB was used as the chromogen. The section was then counterstained with haematoxylin and mounted with DPX. The inset negative control image is taken from an identical assay without primary antibody.

For other IHC staining systems (automated and non-automated) customers should optimize variable parameters such as antigen retrieval conditions, primary antibody concentration and antibody incubation times.

*Tissue obtained from the Human Research Tissue Bank, supported by the NIHR Cambridge Biomedical Research Centre

Western blot - Anti-beta Catenin antibody [IGX4794R-3] (AB223075)
  • WB

Lab

Western blot - Anti-beta Catenin antibody [IGX4794R-3] (AB223075)

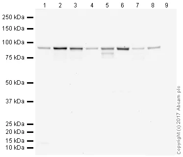
This blot was produced using a 4-12% Bis-tris gel under the MOPS buffer system. The gel was run at 200V for 50 minutes before being transferred onto a Nitrocellulose membrane at 30V for 70 minutes. The membrane was then blocked for an hour using 3% milk before being incubated with ab223075 overnight at 4°C. Antibody binding was detected using an anti-rabbit antibody conjugated to HRP, and visualised using ECL development solution ab133406.

All lanes:

Western blot - Anti-beta Catenin antibody [IGX4794R-3] (ab223075) at 1 µg/mL

Lane 1:

A549 (Human lung adenocarcinoma epithelial cell line) Whole Cell Lysate at 10 µg

Lane 2:

Caco 2 (Human colonic carcinoma cell line) Whole Cell Lysate at 10 µg

Lane 3:

HUES7 (Human embryonic stem cell line) Whole Cell Lysate at 10 µg

Lane 4:

NIH 3T3 (Mouse embryonic fibroblast cell line) Whole Cell Lysate at 10 µg

Lane 5:

mES (Mouse embryonic stem cell) Whole Cell Lysate at 10 µg

Lane 6:

E14Tg2a (Mouse embryonic stem cell line) Whole Cell Lysate at 10 µg

Lane 7:

Colon (Human) Tissue Lysate - adult normal tissue at 10 µg

Lane 8:

Wild type HAP1 whole cell lysate at 10 µg

Lane 9:

Beta Catenin knockout HAP1 whole cell lysate at 10 µg

Secondary

All lanes:

Peroxidase AffiniPure Goat Anti-Rabbit IgG (H+L) at 1/50000 dilution

Predicted band size: 85 kDa

Observed band size: 92 kDa

true

Exposure time: 3min

Western blot - Anti-beta Catenin antibody [IGX4794R-3] (AB223075)
  • WB

Lab

Western blot - Anti-beta Catenin antibody [IGX4794R-3] (AB223075)

Lanes 1 - 2 : Merged signal (red and green). Green - ab223075 observed at 95 kDa. Red - loading control ab8245 (Mouse anti-GAPDH antibody [6C5]) observed at 37kDa.

ab223075 was shown to react with Anti-beta Catenin in wild-type HCT 116 cells in western blot with loss of signal observed in CTNNB1 knockout cell line ab273712 (CTNNB1 knockout cell lysate ab275247). Wild-type and CTNNB1 knockout HCT 116 cell lysates were subjected to SDS-PAGE. Membranes were blocked in fluoroscent western blot (TBS-based) blocking solution 50% (v/v) in TBS-T (0.1% Tween®) before incubation with ab223075 and ab8245 (Mouse anti-GAPDH antibody [6C5]) overnight at 4°C at 1 μg/ml and a 1 in 20000 dilution respectively. Blots were incubated with Goat anti-Rabbit IgG H&L (IRDye® 800CW) preabsorbed (ab216773) and Goat anti-Mouse IgG H&L (IRDye® 680RD) preabsorbed (ab216776) secondary antibodies at 1 in 20000 dilution for 1 hour at room temperature before imaging.

All lanes:

Western blot - Anti-beta Catenin antibody [IGX4794R-3] (ab223075) at 1 µg/mL

Lane 1:

Wild-type HCT116 cell lysate at 20 µg

Lane 2:

Western blot - Human CTNNB1 (beta Catenin) knockout HCT116 cell lysate (<a href='/en-us/products/cell-lysates/human-ctnnb1-beta-catenin-knockout-hct116-cell-lysate-ab275247'>ab275247</a>)

Lane 2:

Western blot - Human CTNNB1 knockout HCT116 cell line (<a href='/en-us/products/cell-lines/human-ctnnb1-knockout-hct116-cell-line-ab273712'>ab273712</a>)

Lane 2:

CTNNB1 knockout HCT116 cell lysate at 20 µg

Predicted band size: 85 kDa

Observed band size: 95 kDa

false

Western blot - Anti-beta Catenin antibody [IGX4794R-3] (AB223075)
  • WB

Lab

Western blot - Anti-beta Catenin antibody [IGX4794R-3] (AB223075)

False colour image of Western blot : Anti-beta Catenin antibody [IGX4794R-3] staining at 1 ug/ml, shown in green; Mouse anti-GAPDH antibody [6C5] (ab8245) loading control staining at 1/20000 dilution, shown in red. In Western blot, ab223075 was shown to bind specifically to beta Catenin. A band was observed at 95 kDa in wild-type HCT 116 cell lysates with no signal observed at this size in CTNNB1 CRISPR-Cas9 edited cell line ab273712 (CRISPR-Cas9 edited cell lysate ab275247). The band observed in the CRISPR-Cas9 edited lysate lane below 95 kDa is likely to represent a truncated form of beta Catenin. This has not been investigated further and the functional properties of the gene product have not been determined. To generate this image, wild-type and CTNNB1 CRISPR-Cas9 edited HCT 116 cell lysates were analysed. First, samples were run on an SDS-PAGE gel then transferred onto a nitrocellulose membrane. Membranes were blocked in 3 % milk in TBS-0.1 % Tween® 20 (TBS-T) before incubation with primary antibodies overnight at 4 °C. Blots were washed four times in TBS-T, incubated with secondary antibodies for 1 h at room temperature, washed again four times then imaged. Secondary antibodies used were Goat anti-Rabbit IgG H&L (IRDye® 800CW) preabsorbed (ab216773) and Goat anti-Mouse IgG H&L (IRDye® 680RD) preabsorbed (ab216776) at 1/20000 dilution.

All lanes:

Western blot - Anti-beta Catenin antibody [IGX4794R-3] (ab223075) at 1 µg/mL

Lane 1:

Wild-type HCT 116 cell lysate at 20 µg

Lane 2:

CTNNB1 CRISPR-Cas9 edited HCT 116 cell lysate at 20 µg

Predicted band size: 85 kDa

Observed band size: 95 kDa

false

Western blot - Anti-beta Catenin antibody [IGX4794R-3] (AB223075)
  • WB

Lab

Western blot - Anti-beta Catenin antibody [IGX4794R-3] (AB223075)

Lane 1 : Wild type HAP1 whole cell lysate (10 μg)
Lane 2 : CTNNB1 (β-Catenin) knockout HAP1 whole cell lysate (10 μg)
Lane 3 : A431 whole cell lysate (10 μg)
Lane 4 : Caco-2 whole cell lysate (10 μg)

Lanes 1 - 4 : Merged signal (red and green). Green - ab223075 observed at 95 kDa. Red - loading control, ab9484, observed at 37 kDa.

ab223075 was shown to specifically react with CTNNB1 (β-Catenin) in wild-type HAP1 cells along with additional cross reactive bands. No band was observed when knockout samples were used. Wild-type and CTNNB1 (β-Catenin) knockout samples were subjected to SDS-PAGE. ab223075 and ab9484 (Mouse anti-GAPDH loading control) were incubated overnight at 4°C at 1 μg/ml and 1/10000 dilution respectively. Blots were developed with Goat anti-Rabbit IgG H&L (IRDye® 800CW) preabsorbed ab216773 and Goat anti-Mouse IgG H&L (IRDye® 680RD) preabsorbed ab216776 secondary antibodies at 1/20000 dilution for 1 hour at room temperature before imaging.

All lanes:

Western blot - Anti-beta Catenin antibody [IGX4794R-3] (ab223075)

Predicted band size: 85 kDa

false

Western blot - Anti-beta Catenin antibody [IGX4794R-3] (AB223075)
  • WB

Lab

Western blot - Anti-beta Catenin antibody [IGX4794R-3] (AB223075)

False colour image of Western blot : Anti-beta Catenin antibody [IGX4794R-3] staining at 1 ug/ml, shown in green; Mouse anti-GAPDH antibody [6C5] (ab8245) loading control staining at 1/20000 dilution, shown in red. In Western blot, ab223075 was shown to bind specifically to beta Catenin. A band was observed at 95 kDa in wild-type HCT 116 cell lysates with no signal observed at this size in CTNNB1 knockout cell line ab273712 (knockout cell lysate ab275247). The band observed in the knockout lysate lane below 95 kDa is likely to represent a truncated form of beta Catenin. This has not been investigated further and the functional properties of the gene product have not been determined. To generate this image, wild-type and CTNNB1 knockout HCT 116 cell lysates were analysed.First, samples were run on an SDS-PAGE gel then transferred onto a nitrocellulose membrane. Membranes were blocked in 3 % milk in TBS-0.1 % Tween® 20 (TBS-T) before incubation with primary antibodies overnight at 4 °C. Blots were washed four times in TBS-T, incubated with secondary antibodies for 1 h at room temperature, washed again four times then imaged. Secondary antibodies used were Goat anti-Rabbit IgG H&L (IRDye® 800CW) preabsorbed (ab216773) and Goat anti-Mouse IgG H&L (IRDye® 680RD) preabsorbed (ab216776) at 1/20000 dilution.

All lanes:

Western blot - Anti-beta Catenin antibody [IGX4794R-3] (ab223075) at 1 µg/mL

Lane 1:

Wild-type HCT 116 cell lysate at 20 µg

Lane 2:

Western blot - Human CTNNB1 (beta Catenin) knockout HCT116 cell lysate (<a href='/en-us/products/cell-lysates/human-ctnnb1-beta-catenin-knockout-hct116-cell-lysate-ab275247'>ab275247</a>)

Lane 2:

Western blot - Human CTNNB1 knockout HCT116 cell line (<a href='/en-us/products/cell-lines/human-ctnnb1-knockout-hct116-cell-line-ab273712'>ab273712</a>)

Lane 2:

CTNNB1 knockout HCT 116 cell lysate at 20 µg

Secondary

Lanes 1 - 2:

Western blot - Goat anti-Rabbit IgG H&L (IRDye® 800CW) preadsorbed (<a href='/en-us/products/secondary-antibodies/goat-rabbit-igg-h-l-irdye-800cw-preadsorbed-ab216773'>ab216773</a>) at 1/20000 dilution

Lanes 1 - 2:

Western blot - Goat anti-Mouse IgG H&L (IRDye® 680RD) preadsorbed (<a href='/en-us/products/secondary-antibodies/goat-mouse-igg-h-l-irdye-680rd-preadsorbed-ab216776'>ab216776</a>) at 1/20000 dilution

Predicted band size: 85 kDa

Observed band size: 95 kDa

false

Key facts

Host species

Rabbit

Clonality

Monoclonal

Clone number

IGX4794R-3

Isotype

IgG

Carrier free

No

Reacts with

Mouse, Human

Applications

ICC/IF, IHC-P, WB

applications

Immunogen

The exact immunogen used to generate this antibody is proprietary information.

Reactivity data

{ "title": "Reactivity Data", "filters": { "stats": ["", "Species", "Dilution Info", "Notes"], "tabs": { "all-applications": {"fullname" : "All Applications", "shortname": "All Applications"}, "IHCP" : {"fullname" : "Immunohistochemistry (Formalin/PFA-fixed paraffin-embedded sections)", "shortname":"IHC-P"}, "WB" : {"fullname" : "Western blot", "shortname":"WB"}, "ICCIF" : {"fullname" : "Immunocytochemistry/ Immunofluorescence", "shortname":"ICC/IF"} }, "product-promise": { "all": "all", "testedAndGuaranteed": "tested", "guaranteed": "expected", "predicted": "predicted", "notRecommended": "not-recommended" } }, "values": { "Human": { "IHCP-species-checked": "testedAndGuaranteed", "IHCP-species-dilution-info": "0.25 µg/mL", "IHCP-species-notes": "<p></p> Perform heat-mediated antigen retrieval with citrate buffer pH 6 before commencing with IHC staining protocol.", "WB-species-checked": "testedAndGuaranteed", "WB-species-dilution-info": "1 µg/mL", "WB-species-notes": "<p></p>", "ICCIF-species-checked": "testedAndGuaranteed", "ICCIF-species-dilution-info": "0.05 µg/mL", "ICCIF-species-notes": "<p></p>" }, "Mouse": { "IHCP-species-checked": "guaranteed", "IHCP-species-dilution-info": "", "IHCP-species-notes": "", "WB-species-checked": "testedAndGuaranteed", "WB-species-dilution-info": "1 µg/mL", "WB-species-notes": "<p></p>", "ICCIF-species-checked": "guaranteed", "ICCIF-species-dilution-info": "", "ICCIF-species-notes": "" } } }

Product details

What is this antibody validated in?
Anti-beta Catenin antibody [IGX4794R-3] (ab223075) is a rabbit recombinant monoclonal antibody and is validated for use in Western Blot (WB), Immunohistochemistry (IHC-P), Immunocytochemistry/immunofluorescence (ICC/IF) in Human, Mouse samples.

What is the molecular weight of beta Catenin?
Anti-beta Catenin [IGX4794R-3] (ab223075) specifically detects a band for beta Catenin (UniProt: Q02248) at a molecular weight of 85kDa.

Trusted by the scientific community
Anti-beta Catenin [IGX4794R-3] (ab223075) was first used in a scientific publication in 2017 and has been cited over 30 times in peer-reviewed journals.

Trial sizes available!
Test your antibody or perform pre-screening before committing to a larger quantity. Sold in 10µl. Discover our selection of trial-size antibodies.

Specificity confirmed
The specificity of Anti-beta Catenin antibody [IGX4794R-3] (ab223075) has been confirmed by Western blot testing in CTNNB1 Knockout HAP1 cells.

Properties and storage information

Form
Liquid
Purification technique
Affinity purification Protein A
Storage buffer
pH: 7.2 - 7.4 Preservative: 0.01% Sodium azide Constituents: PBS, 40% Glycerol (glycerin, glycerine), 0.05% BSA
Shipped at conditions
Blue Ice
Appropriate short-term storage duration
1-2 weeks
Appropriate short-term storage conditions
+4°C
Appropriate long-term storage conditions
-20°C
Aliquoting information
Upon delivery aliquot
Storage information
Avoid freeze / thaw cycle

Supplementary information

This supplementary information is collated from multiple sources and compiled automatically.

Beta Catenin also known by names such as CTNNB1 or beta-chip is an important protein involved in cell signaling and adhesion. This protein has a molecular weight of around 88 kDa. Beta Catenin is expressed in many cell types and tissues indicating its widespread role in various biological processes. It functions mechanically by mediating the linkage between cadherins and the actin cytoskeleton facilitating cell-cell adhesion. Beta Catenin is also a central part of transcription regulation processes in the nucleus.
Biological function summary

This protein plays roles in both cell adhesion and the regulation of gene expression. Beta Catenin is a critical component of the Wnt signaling pathway where it can form complexes with other proteins to influence gene transcription. In the absence of Wnt signaling beta Catenin levels are low due to its degradation. However when the pathway is active it accumulates in the cytoplasm and eventually translocates to the nucleus where it interacts with TCF/LEF transcription factors to regulate the expression of target genes.

Pathways

Beta Catenin plays a central role in the Wnt signaling pathway and influences cell fate decisions and cellular proliferation. It acts in concert with proteins such as Dishevelled (DVL) and Axin to coordinate these important biological processes. In the absence of Wnt signaling proteins such as APC and GSK-3Β are responsible for beta Catenin degradation keeping its cellular levels in check. Beta Catenin's interaction with transcription factors in the nucleus makes it pivotal in the regulation of cell and tissue homeostasis.

Beta Catenin has associations with colorectal cancer and hepatocellular carcinoma. Its dysregulation can lead to unchecked cell proliferation and tumorigenesis. Often mutations in the beta Catenin gene (CTNNB1) or components of the Wnt pathway like APC are implicated in the development of these cancers. Its interplay with E-cadherin is important for maintaining tissue architecture and disruptions can lead to invasive cancer phenotypes. Understanding beta Catenin's role provides insights into therapeutic strategies for these cancers.

Product protocols

For this product, it's our understanding that no specific protocols are required. You can visit:

Target data

Key downstream component of the canonical Wnt signaling pathway (PubMed : 17524503, PubMed : 18077326, PubMed : 18086858, PubMed : 18957423, PubMed : 21262353, PubMed : 22155184, PubMed : 22647378, PubMed : 22699938). In the absence of Wnt, forms a complex with AXIN1, AXIN2, APC, CSNK1A1 and GSK3B that promotes phosphorylation on N-terminal Ser and Thr residues and ubiquitination of CTNNB1 via BTRC and its subsequent degradation by the proteasome (PubMed : 17524503, PubMed : 18077326, PubMed : 18086858, PubMed : 18957423, PubMed : 21262353, PubMed : 22155184, PubMed : 22647378, PubMed : 22699938). In the presence of Wnt ligand, CTNNB1 is not ubiquitinated and accumulates in the nucleus, where it acts as a coactivator for transcription factors of the TCF/LEF family, leading to activate Wnt responsive genes (PubMed : 17524503, PubMed : 18077326, PubMed : 18086858, PubMed : 18957423, PubMed : 21262353, PubMed : 22155184, PubMed : 22647378, PubMed : 22699938). Involved in the regulation of cell adhesion, as component of an E-cadherin : catenin adhesion complex (By similarity). Acts as a negative regulator of centrosome cohesion (PubMed : 18086858). Involved in the CDK2/PTPN6/CTNNB1/CEACAM1 pathway of insulin internalization (PubMed : 21262353). Blocks anoikis of malignant kidney and intestinal epithelial cells and promotes their anchorage-independent growth by down-regulating DAPK2 (PubMed : 18957423). Disrupts PML function and PML-NB formation by inhibiting RANBP2-mediated sumoylation of PML (PubMed : 22155184). Promotes neurogenesis by maintaining sympathetic neuroblasts within the cell cycle (By similarity). Involved in chondrocyte differentiation via interaction with SOX9 : SOX9-binding competes with the binding sites of TCF/LEF within CTNNB1, thereby inhibiting the Wnt signaling (By similarity). Acts as a positive regulator of odontoblast differentiation during mesenchymal tooth germ formation, via promoting the transcription of differentiation factors such as LEF1, BMP2 and BMP4 (By similarity). Activity is repressed in a MSX1-mediated manner at the bell stage of mesenchymal tooth germ formation which prevents premature differentiation of odontoblasts (By similarity).
See full target information CTNNB1

Publications (58)

Recent publications for all applications. Explore the full list and refine your search

Communications biology 8:975 PubMed40595410

2025

circGIGYF1 inhibits stemness and metastasis in colorectal cancer by promoting WWP2-HOXD13 interaction to regulate β-catenin signalling.

Applications

Unspecified application

Species

Unspecified reactive species

Bin Zhao,Jiacheng Li,Zunxian Wang,Hairui Zhou,Zhuoxin Cheng,Shuxia Ma

ACS omega 10:17404-17415 PubMed40352502

2025

Downregulation of MGAT3 Promotes Benzo[]pyrene-Mediated Lung Carcinogenesis by Regulating Cell Invasion and Migration Activity.

Applications

Unspecified application

Species

Unspecified reactive species

Su Zhang,Xia-Yan Zhang,Xiao-Chun Zheng,Xiao-Lan Ye,Ping Huang,Wen-Tong Liu,Hong-Juan Jiang

PLoS genetics 21:e1011622 PubMed40100806

2025

MEOX1-mediated transcriptional regulation of circABHD3 exacerbates hepatic fibrosis through promoting m6A/YTHDF2-dependent YPEL3 mRNA decay to activate β-catenin signaling.

Applications

Unspecified application

Species

Unspecified reactive species

Limin Chen,Hui Yang,Juan Wang,Haoye Zhang,Kangkang Fu,Yu Yan,Zhenguo Liu

Scientific reports 15:5484 PubMed39953179

2025

Daidzin improves the cisplatin chemosensitivity for osteosarcoma via binding to β-catenin protein and suppressing the wnt pathway.

Applications

Unspecified application

Species

Unspecified reactive species

Peng Wang,Hao Lu,Chi Zhang,Renwei Wang,Xiaobo Chen,Lixin Qiao,Zhiyong Wang,Wenge Wang

International journal of molecular sciences 25: PubMed39519238

2024

Melittin Inhibits Colorectal Cancer Growth and Metastasis by Ac-Tivating the Mitochondrial Apoptotic Pathway and Suppressing Epithelial-Mesenchymal Transition and Angiogenesis.

Applications

Unspecified application

Species

Unspecified reactive species

Kangli Wang,Lingchen Tao,Meifei Zhu,Xinyu Yu,Yuanyuan Lu,Bin Yuan,Fuliang Hu

Communications biology 7:795 PubMed38951640

2024

PEX3 promotes regenerative repair after myocardial injury in mice through facilitating plasma membrane localization of ITGB3.

Applications

Unspecified application

Species

Unspecified reactive species

Jia-Teng Sun,Zi-Mu Wang,Liu-Hua Zhou,Tong-Tong Yang,Di Zhao,Yu-Lin Bao,Si-Bo Wang,Ling-Feng Gu,Jia-Wen Chen,Tian-Kai Shan,Tian-Wen Wei,Hao Wang,Qi-Ming Wang,Xiang-Qing Kong,Li-Ping Xie,Ai-Hua Gu,Yang Zhao,Feng Chen,Yong Ji,Yi-Qiang Cui,Lian-Sheng Wang

Renal failure 46:2347462 PubMed38832497

2024

Oridonin ameliorates renal fibrosis in diabetic nephropathy by inhibiting the Wnt/β-catenin signaling pathway.

Applications

Unspecified application

Species

Unspecified reactive species

Jushuang Li,Lan Shu,Qianqian Jiang,Baohong Feng,Zhimin Bi,Geli Zhu,Yanxia Zhang,Xiangyou Li,Jun Wu

iScience 27:108721 PubMed38303704

2024

n-3 polyunsaturated fatty acids delay intervertebral disc degeneration by inhibiting nuclear receptor coactivator 4-mediated iron overload.

Applications

Unspecified application

Species

Unspecified reactive species

Xiang Ao,Tao Jiang,Yuan Li,Weiyi Lai,Zhengnan Lian,Liang Wang,Minjun Huang,Zhongmin Zhang

Neoplasma 70:597-609 PubMed38053379

2023

RNASEH1-AS1 induced by H3K27ac stabilizes ANXA2 mRNA to promote the progression of colorectal cancer through recruiting BUD13.

Applications

Unspecified application

Species

Unspecified reactive species

Shengwei Zhuang,Weihong Lu,Lianjun Shen,Zhekun Huang,Xiuping Zhang,Yong Zhang

Journal of Cancer 14:3117-3129 PubMed37859826

2023

Highly expressed miR-144-3p promotes the proliferation, migration and invasion of colon carcinoma cells by activating the Wnt/β-catenin signaling pathway through targeting SFRP1.

Applications

Unspecified application

Species

Unspecified reactive species

Chunhui Lai,Ningyu He,Jianghui Zeng,Cuizhen Long,Mingfang Shi,Junguo Li,Shengjun Ma,Yu Xiong,Xiuyun Liang
View all publications

Product promise

We are committed to supporting your work with high-quality reagents, and we're here for you every step of the way. In the unlikely event that one of our products does not perform as expected, you're protected by our Product Promise.
For full details, please see our Terms & Conditions

Please note: All products are 'FOR RESEARCH USE ONLY. NOT FOR USE IN DIAGNOSTIC OR THERAPEUTIC PROCEDURES'.

For licensing inquiries, please contact partnerships@abcam.com