JavaScript is disabled in your browser. Please enable JavaScript to view this website.
AB320753

Anti-beta Catenin antibody [RM1213]

  • BOND RX™ Validated
  • KO Validated
  • Recombinant
  • RabMAb
  • 20ul selling size
  • What is this?

Be the first to review this product! Submit a review

|

(0 Publication)

Rabbit Recombinant Multiclonal beta Catenin antibody. Suitable for IHC-Fr, WB, IHC-P, IP, ICC/IF and reacts with Rat, Mouse, Human samples.

View Alternative Names

CTNNB, OK/SW-cl.35, PRO2286, CTNNB1, Catenin beta-1, Beta-catenin

17 Images
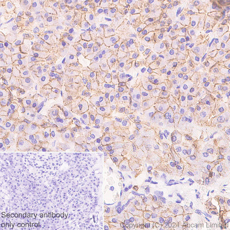
Immunohistochemistry (Formalin/PFA-fixed paraffin-embedded sections) - Anti-beta Catenin antibody [RM1213] (AB320753)
  • IHC-P

Supplier Data

Immunohistochemistry (Formalin/PFA-fixed paraffin-embedded sections) - Anti-beta Catenin antibody [RM1213] (AB320753)

Immunohistochemical analysis of paraffin-embedded Human pancreas tissue labeling beta Catenin with ab320753 at 1/10000 (0.05 ug/ml) dilution, followed by a ready to use LeicaDS9800 (Bond™ Polymer Refine Detection).

Positive staining on human pancreas. The section was incubated with ab320753 for 30 mins at room temperature.
The immunostaining was performed on a Leica Biosystems BOND® RX instrument

Counterstained with Hematoxylin.

Secondary antibody only control : Secondary antibody is a ready to use LeicaDS9800 (Bond™ Polymer Refine Detection).

Heat mediated antigen retrieval was performed with Tris-EDTA buffer (pH 9.0, Epitope Retrieval Solution2) for 20 mins

Immunohistochemistry (Formalin/PFA-fixed paraffin-embedded sections) - Anti-beta Catenin antibody [RM1213] (AB320753)
  • IHC-P

Supplier Data

Immunohistochemistry (Formalin/PFA-fixed paraffin-embedded sections) - Anti-beta Catenin antibody [RM1213] (AB320753)

Immunohistochemical analysis of paraffin-embedded Human heart tissue labeling beta Catenin with ab320753 at 1/10000 (0.05 ug/ml) dilution, followed by a ready to use LeicaDS9800 (Bond™ Polymer Refine Detection).

Positive staining on Myocardial moistening plate and stroma in human heart. The section was incubated with ab320753 for 30 mins at room temperature.
The immunostaining was performed on a Leica Biosystems BOND® RX instrument

Counterstained with Hematoxylin.

Secondary antibody only control : Secondary antibody is a ready to use LeicaDS9800 (Bond™ Polymer Refine Detection).

Heat mediated antigen retrieval was performed with Tris-EDTA buffer (pH 9.0, Epitope Retrieval Solution2) for 20 mins

Immunocytochemistry/ Immunofluorescence - Anti-beta Catenin antibody [RM1213] (AB320753)
  • ICC/IF

Supplier Data

Immunocytochemistry/ Immunofluorescence - Anti-beta Catenin antibody [RM1213] (AB320753)

Immunofluorescent analysis of 4% Paraformaldehyde-fixed, 0.1% TritonX-100 permeabilized parental HAP1(HOWT01) (human chronic myelogenous leukemia near-haploid cell) cells labelling beta Catenin with ab320753 at 1/100 (5.0 ug/ml) dilution, followed by ab150081 Goat Anti-Rabbit IgG H&L (Alexa Fluor® 488) preadsorbed antibody at 1/1000 2 ug/ml dilution (Green).

Confocal image showing membranous and cytoplasmic staining in parental HAP1 cell line (shown in green) and no staining in CTNNB1 KO HAP1 cell line. The counterstain was observed in magenta. Nuclear DNA was labelled with DAPI (shown in blue). Image was taken with a confocal microscope (Leica-Microsystems, TCS SP8).

ab195889 Anti-alpha Tubulin mouse monoclonal antibody - Microtubule Marker (Alexa Fluor® 594) was used to counterstain tubulin at 1/200 2.5ug/ml dilution (Magenta). The Nuclear counterstain was DAPI (Blue).

Secondary antibody only control : Secondary antibody is ab150081 Goat Anti-Rabbit IgG H&L (Alexa Fluor® 488) preadsorbed at 1/1000 2 ug/ml dilution.

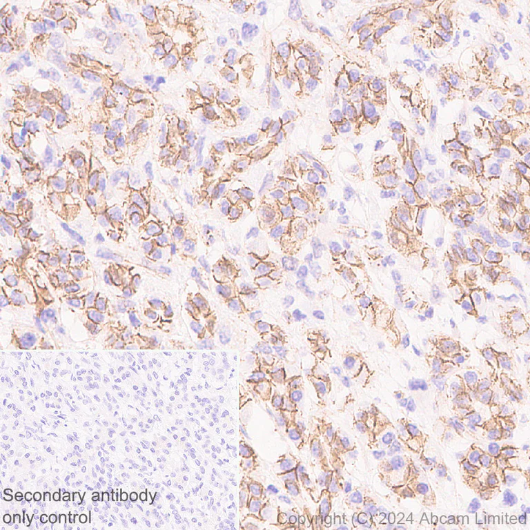
Immunohistochemistry (Formalin/PFA-fixed paraffin-embedded sections) - Anti-beta Catenin antibody [RM1213] (AB320753)
  • IHC-P

Supplier Data

Immunohistochemistry (Formalin/PFA-fixed paraffin-embedded sections) - Anti-beta Catenin antibody [RM1213] (AB320753)

Immunohistochemical analysis of paraffin-embedded Human pancreatic carcinoma tissue labeling beta Catenin with ab320753 at 1/10000 (0.05 ug/ml) dilution, followed by a ready to use LeicaDS9800 (Bond™ Polymer Refine Detection).

Positive staining on human pancreatic carcinoma. The section was incubated with ab320753 for 30 mins at room temperature.
The immunostaining was performed on a Leica Biosystems BOND® RX instrument

Counterstained with Hematoxylin.

Secondary antibody only control : Secondary antibody is a ready to use LeicaDS9800 (Bond™ Polymer Refine Detection).

Heat mediated antigen retrieval was performed with Tris-EDTA buffer (pH 9.0, Epitope Retrieval Solution2) for 20 mins

Immunohistochemistry (Formalin/PFA-fixed paraffin-embedded sections) - Anti-beta Catenin antibody [RM1213] (AB320753)
  • IHC-P

Supplier Data

Immunohistochemistry (Formalin/PFA-fixed paraffin-embedded sections) - Anti-beta Catenin antibody [RM1213] (AB320753)

Immunohistochemical analysis of paraffin-embedded Human liver tissue labeling beta Catenin with ab320753 at 1/10000 (0.05 ug/ml) dilution, followed by a ready to use LeicaDS9800 (Bond™ Polymer Refine Detection).

Positive staining on human liver. The section was incubated with ab320753 for 30 mins at room temperature.
The immunostaining was performed on a Leica Biosystems BOND® RX instrument
Recombinant multiclonal ab320753 at 1/10, 000 (left) showed similar staining pattern to the polyclonal ab6302 at 1/10, 000 (right).

Counterstained with Hematoxylin.

Secondary antibody only control : Secondary antibody is a ready to use LeicaDS9800 (Bond™ Polymer Refine Detection).

Heat mediated antigen retrieval was performed with Tris-EDTA buffer (pH 9.0, Epitope Retrieval Solution2) for 20 mins

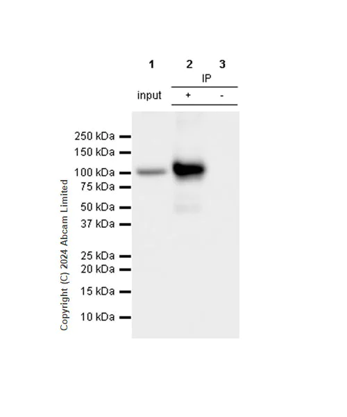
Immunoprecipitation - Anti-beta Catenin antibody [RM1213] (AB320753)
  • IP

Supplier Data

Immunoprecipitation - Anti-beta Catenin antibody [RM1213] (AB320753)

beta Catenin was immunoprecipitated from 0.35 mg HeLa (human cervical adenocarcinoma epithelial cell) whole cell lysate with ab320753 at 1/30 dilution (2ug in 0.35mg lysates). Western blot was performed on the immunoprecipitate using ab320753 at 1/1000 dilution. VeriBlot for IP secondary antibody(HRP)(ab131366) was used at 1/5000 dilution.

Lane 1 : HeLa (human cervical adenocarcinoma epithelial cell) whole cell lysate
Lane 2 : ab320753 IP in HeLa (human cervical adenocarcinoma epithelial cell) whole cell lysate
Lane 3 : Rabbit monoclonal IgG (ab172730) instead of ab320753 in HeLa whole cell lysate

Blocking and dilution buffer and concentration : 5% NFDM/TBST

Exposure time : Lanes 1-3 : 3 seconds, Lanes 4-6 : 6 seconds

All lanes:

Immunoprecipitation - Anti-beta Catenin antibody [RM1213] (ab320753) at 1/30 dilution

All lanes:

HeLa (human cervical adenocarcinoma epithelial cell) whole cell lysate

Secondary

All lanes:

Immunoprecipitation - VeriBlot for IP Detection Reagent (HRP) (<a href='/en-us/products/reagents/veriblot-for-ip-detection-reagent-hrp-ab131366'>ab131366</a>) at 1/5000 dilution

false

Immunocytochemistry/ Immunofluorescence - Anti-beta Catenin antibody [RM1213] (AB320753)
  • ICC/IF

Supplier Data

Immunocytochemistry/ Immunofluorescence - Anti-beta Catenin antibody [RM1213] (AB320753)

Immunofluorescent analysis of 100% methanol-fixed, 0.1% TritonX-100 permeabilized C6 (rat glial tumor glial cell) cells labelling beta Catenin with ab320753 at 1/100 (5.0 ug/ml) dilution, followed by ab150081 Goat Anti-Rabbit IgG H&L (Alexa Fluor® 488) preadsorbed antibody at 1/1000 2 ug/ml dilution (Green).

Confocal image showing mainly membranous staining in C6 cell line (shown in green). The counterstain was observed in magenta. Nuclear DNA was labelled with DAPI (shown in blue). Image was taken with a confocal microscope (Leica-Microsystems, TCS SP8).

ab195889 Anti-alpha Tubulin mouse monoclonal antibody - Microtubule Marker (Alexa Fluor® 594) was used to counterstain tubulin at 1/200 2.5ug/ml dilution (Magenta). The Nuclear counterstain was DAPI (Blue).

Secondary antibody only control : Secondary antibody is ab150081 Goat Anti-Rabbit IgG H&L (Alexa Fluor® 488) preadsorbed at 1/1000 2 ug/ml dilution.

Immunohistochemistry (Formalin/PFA-fixed paraffin-embedded sections) - Anti-beta Catenin antibody [RM1213] (AB320753)
  • IHC-P

Supplier Data

Immunohistochemistry (Formalin/PFA-fixed paraffin-embedded sections) - Anti-beta Catenin antibody [RM1213] (AB320753)

Immunohistochemical analysis of paraffin-embedded Rat heart tissue labeling beta Catenin with ab320753 at 1/10000 (0.05 ug/ml) dilution, followed by a ready to use LeicaDS9800 (Bond™ Polymer Refine Detection).

Positive staining on Myocardial moistening plate and stroma in rat heart. The section was incubated with ab320753 for 30 mins at room temperature.
The immunostaining was performed on a Leica Biosystems BOND® RX instrument

Counterstained with Hematoxylin.

Secondary antibody only control : Secondary antibody is a ready to use LeicaDS9800 (Bond™ Polymer Refine Detection).

Heat mediated antigen retrieval was performed with Tris-EDTA buffer (pH 9.0, Epitope Retrieval Solution2) for 20 mins

Immunohistochemistry (Frozen sections) - Anti-beta Catenin antibody [RM1213] (AB320753)
  • IHC-Fr

Supplier Data

Immunohistochemistry (Frozen sections) - Anti-beta Catenin antibody [RM1213] (AB320753)

Immunohistochemical analysis of 4% PFA-fixed, 0.2% Triton X-100 permeabilized frozen Rat liver (fresh frozen) tissue labeling beta Catenin with ab320753 at 1/500 (1.0 ug/ml) dilution followed by ab150081 Goat Anti-Rabbit IgG H&L (Alexa Fluor® 488) preadsorbed at 1/1000 2 ug/mL dilution (Green).

Confocal image showing positive staining on rat liver. The nuclear counterstain was DAPI (Blue). The section was incubated with ab320753 for 60 mins at room temperature. The section was then mounted using Fluoromount®.The immunostaining was performed on a Leica Biosystems BOND® RX instrument. Image was taken with a confocal microscope (Leica-Microsystems, TCS SP8).

Secondary antibody control : Secondary antibody is ab150081 Goat Anti-Rabbit IgG H&L (Alexa Fluor® 488) preadsorbedat 1/1000 2 ug/mL dilution.

Immunohistochemistry (Formalin/PFA-fixed paraffin-embedded sections) - Anti-beta Catenin antibody [RM1213] (AB320753)
  • IHC-P

Supplier Data

Immunohistochemistry (Formalin/PFA-fixed paraffin-embedded sections) - Anti-beta Catenin antibody [RM1213] (AB320753)

Immunohistochemical analysis of paraffin-embedded Mouse heart tissue labeling beta Catenin with ab320753 at 1/10000 (0.05 ug/ml) dilution, followed by a ready to use LeicaDS9800 (Bond™ Polymer Refine Detection).

Positive staining on Myocardial moistening plate and stroma in mouse heart. The section was incubated with ab320753 for 30 mins at room temperature.
The immunostaining was performed on a Leica Biosystems BOND® RX instrument

Counterstained with Hematoxylin.

Secondary antibody only control : Secondary antibody is a ready to use LeicaDS9800 (Bond™ Polymer Refine Detection).

Heat mediated antigen retrieval was performed with Tris-EDTA buffer (pH 9.0, Epitope Retrieval Solution2) for 20 mins

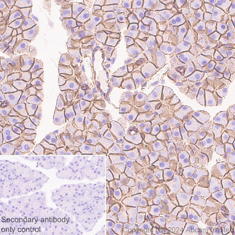
Immunohistochemistry (Formalin/PFA-fixed paraffin-embedded sections) - Anti-beta Catenin antibody [RM1213] (AB320753)
  • IHC-P

Supplier Data

Immunohistochemistry (Formalin/PFA-fixed paraffin-embedded sections) - Anti-beta Catenin antibody [RM1213] (AB320753)

Immunohistochemical analysis of paraffin-embedded Mouse pancreas tissue labeling beta Catenin with ab320753 at 1/10000 (0.05 ug/ml) dilution, followed by a ready to use LeicaDS9800 (Bond™ Polymer Refine Detection).

Positive staining on mouse pancreas. The section was incubated with ab320753 for 30 mins at room temperature.
The immunostaining was performed on a Leica Biosystems BOND® RX instrument

Counterstained with Hematoxylin.

Secondary antibody only control : Secondary antibody is a ready to use LeicaDS9800 (Bond™ Polymer Refine Detection).

Heat mediated antigen retrieval was performed with Tris-EDTA buffer (pH 9.0, Epitope Retrieval Solution2) for 20 mins

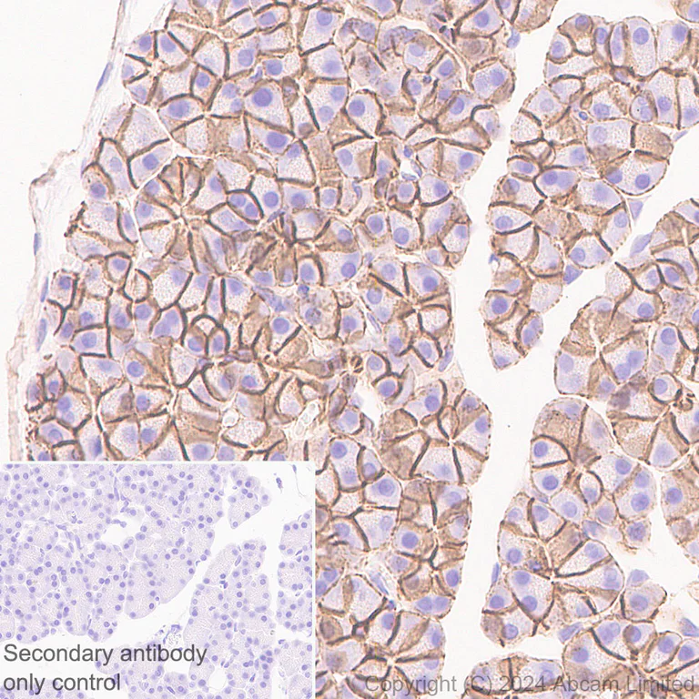
Immunohistochemistry (Formalin/PFA-fixed paraffin-embedded sections) - Anti-beta Catenin antibody [RM1213] (AB320753)
  • IHC-P

Supplier Data

Immunohistochemistry (Formalin/PFA-fixed paraffin-embedded sections) - Anti-beta Catenin antibody [RM1213] (AB320753)

Immunohistochemical analysis of paraffin-embedded Rat pancreas tissue labeling beta Catenin with ab320753 at 1/10000 (0.05 ug/ml) dilution, followed by a ready to use LeicaDS9800 (Bond™ Polymer Refine Detection).

Positive staining on rat pancreas. The section was incubated with ab320753 for 30 mins at room temperature.
The immunostaining was performed on a Leica Biosystems BOND® RX instrument

Counterstained with Hematoxylin.

Secondary antibody only control : Secondary antibody is a ready to use LeicaDS9800 (Bond™ Polymer Refine Detection).

Heat mediated antigen retrieval was performed with Tris-EDTA buffer (pH 9.0, Epitope Retrieval Solution2) for 20 mins

Immunohistochemistry (Frozen sections) - Anti-beta Catenin antibody [RM1213] (AB320753)
  • IHC-Fr

Supplier Data

Immunohistochemistry (Frozen sections) - Anti-beta Catenin antibody [RM1213] (AB320753)

Immunohistochemical analysis of 4% PFA-fixed, 0.2% Triton X-100 permeabilized frozen Mouse liver (fresh frozen) tissue labeling beta Catenin with ab320753 at 1/500 (1.0 ug/ml) dilution followed by ab150081 Goat Anti-Rabbit IgG H&L (Alexa Fluor® 488) preadsorbed at 1/1000 2 ug/mL dilution (Green).

Confocal image showing positive staining on mouse liver. The nuclear counterstain was DAPI (Blue). The section was incubated with ab320753 for 60 mins at room temperature. The section was then mounted using Fluoromount®.The immunostaining was performed on a Leica Biosystems BOND® RX instrument. Image was taken with a confocal microscope (Leica-Microsystems, TCS SP8).

Secondary antibody control : Secondary antibody is ab150081 Goat Anti-Rabbit IgG H&L (Alexa Fluor® 488) preadsorbedat 1/1000 2 ug/mL dilution.

Immunoprecipitation - Anti-beta Catenin antibody [RM1213] (AB320753)
  • IP

Supplier Data

Immunoprecipitation - Anti-beta Catenin antibody [RM1213] (AB320753)

beta Catenin was immunoprecipitated from 0.35 mg Mouse brain tissue lysate with ab320753 at 1/30 dilution (2ug in 0.35mg lysates). Western blot was performed on the immunoprecipitate using ab320753 at 1/1000 dilution. VeriBlot for IP secondary antibody(HRP)(ab131366) was used at 1/5000 dilution.

Lane 1 : Mouse brain tissue lysate
Lane 2 : ab320753 IP in Mouse brain tissue lysate
Lane 3 : Rabbit monoclonal IgG (ab172730) instead of ab320753 in mouse brain tissue lysate

Blocking and dilution buffer and concentration : 5% NFDM/TBST

All lanes:

Immunoprecipitation - Anti-beta Catenin antibody [RM1213] (ab320753) at 1/30 dilution

All lanes:

Mouse brain tissue lysate

Secondary

All lanes:

Immunoprecipitation - VeriBlot for IP Detection Reagent (HRP) (<a href='/en-us/products/reagents/veriblot-for-ip-detection-reagent-hrp-ab131366'>ab131366</a>) at 1/5000 dilution

false

Exposure time: 3s

Immunoprecipitation - Anti-beta Catenin antibody [RM1213] (AB320753)
  • IP

Supplier Data

Immunoprecipitation - Anti-beta Catenin antibody [RM1213] (AB320753)

beta Catenin was immunoprecipitated from 0.35 mg Rat brain tissue lysate with ab320753 at 1/30 dilution (2ug in 0.35mg lysates). Western blot was performed on the immunoprecipitate using ab320753 at 1/1000 dilution. VeriBlot for IP secondary antibody(HRP)(ab131366) was used at 1/5000 dilution.

Lane 1 : Rat brain tissue lysate
Lane 2 : ab320753 IP in Rat brain tissue lysate
Lane 3 : Rabbit monoclonal IgG (ab172730) instead of ab320753 in rat brain tissue lysate

Blocking and dilution buffer and concentration : 5% NFDM/TBST

All lanes:

Immunoprecipitation - Anti-beta Catenin antibody [RM1213] (ab320753) at 1/30 dilution

All lanes:

Rat brain tissue lysate

Secondary

All lanes:

Immunoprecipitation - VeriBlot for IP Detection Reagent (HRP) (<a href='/en-us/products/reagents/veriblot-for-ip-detection-reagent-hrp-ab131366'>ab131366</a>) at 1/5000 dilution

false

Exposure time: 3s

Western blot - Anti-beta Catenin antibody [RM1213] (AB320753)
  • WB

Supplier Data

Western blot - Anti-beta Catenin antibody [RM1213] (AB320753)

Blocking and diluting buffer and concentration : 5% NFDM/TBST.

Exposure time : Lane 1/2/5 : 180 seconds Lane 3-4 : 180 seconds

All lanes:

Western blot - Anti-beta Catenin antibody [RM1213] (ab320753) at 1/50000 dilution

Lane 1:

Rat brain tissue lysate at 20 µg

Lane 2:

Rat heart tissue lysate at 20 µg

Lane 3:

Mouse brain tissue lysate at 20 µg

Lane 4:

Mouse heart tissue lysate at 20 µg

Lane 5:

Human cerebellum tissue lysate at 20 µg

Secondary

All lanes:

Western blot - Goat Anti-Rabbit IgG H&L (HRP) (<a href='/en-us/products/secondary-antibodies/goat-rabbit-igg-h-l-hrp-ab97051'>ab97051</a>) at 1/100000 dilution

Observed band size: 85 kDa

false

Western blot - Anti-beta Catenin antibody [RM1213] (AB320753)
  • WB

Supplier Data

Western blot - Anti-beta Catenin antibody [RM1213] (AB320753)

Blocking and diluting buffer and concentration : 5% NFDM/TBST.

In Western blot, ab320753 and ab6302 were shown to bind specifically to CTNNB1. Target of interest was observed at 85 kDa in wild-type HAP1 cell lysates (lane 1) with no signal observed at this size in CTNNB1 knockout cell line (lane 2).

Recombinant multiclonal ab320753 (left) showed higher sensitivity than Polyclonal ab6302 (right).

In Western blot, Anti-GAPDH antibody [EPR16891] - Loading Control (ab181602) staining at 1/200000 dilution.

Exposure time : Lane 1-2 : 103 seconds Lane 3-6 : 180 seconds

All lanes:

Western blot - Anti-beta Catenin antibody [RM1213] (ab320753) at 1/20000 dilution

Lane 1:

Wild-type HAP1(human chronic myelogenous leukemia near-haploid cell) whole cell lysate at 20 µg

Lane 2:

CTNNB1 knockout HAP1 whole cell lysate at 20 µg

Lane 3:

HeLa (human cervical adenocarcinoma epithelial cell) whole cell lysate at 20 µg

Lane 4:

HEK-293 (human embryonic kidney epithelial cell) whole cell lysate at 20 µg

Lane 5:

C6 (rat glial tumor glial cell) whole cell lysate at 20 µg

Lane 6:

NIH/3T3 (mouse embryonic fibroblast) whole cell lysate at 20 µg

Secondary

All lanes:

Western blot - Goat Anti-Rabbit IgG H&L (HRP) (<a href='/en-us/products/secondary-antibodies/goat-rabbit-igg-h-l-hrp-ab97051'>ab97051</a>) at 1/100000 dilution

Observed band size: 85 kDa,36 kDa

false

Key facts

Host species

Rabbit

Clonality

Multiclonal

Clone number

RM1213

Isotype

IgG

Carrier free

No

Reacts with

Human, Mouse, Rat

Applications

IHC-P, WB, ICC/IF, IHC-Fr, IP

applications

Immunogen

The exact immunogen used to generate this antibody is proprietary information.

Specificity

Usuitable for mouse ICC.

Reactivity data

{ "title": "Reactivity Data", "filters": { "stats": ["", "Species", "Dilution Info", "Notes"], "tabs": { "all-applications": {"fullname" : "All Applications", "shortname": "All Applications"}, "IHCFr" : {"fullname" : "Immunohistochemistry (Frozen sections)", "shortname":"IHC-Fr"}, "WB" : {"fullname" : "Western blot", "shortname":"WB"}, "IHCP" : {"fullname" : "Immunohistochemistry (Formalin/PFA-fixed paraffin-embedded sections)", "shortname":"IHC-P"}, "IP" : {"fullname" : "Immunoprecipitation", "shortname":"IP"}, "ICCIF" : {"fullname" : "Immunocytochemistry/ Immunofluorescence", "shortname":"ICC/IF"}, "ChIPseq" : {"fullname" : "ChIP-sequencing", "shortname":"ChIP-seq"}, "FlowCytIntra" : {"fullname" : "Flow Cytometry (Intracellular)", "shortname":"Flow Cyt (Intra)"} }, "product-promise": { "all": "all", "testedAndGuaranteed": "tested", "guaranteed": "expected", "predicted": "predicted", "notRecommended": "not-recommended" } }, "values": { "Human": { "IHCFr-species-checked": "guaranteed", "IHCFr-species-dilution-info": "", "IHCFr-species-notes": "", "WB-species-checked": "testedAndGuaranteed", "WB-species-dilution-info": "1/20000", "WB-species-notes": "<p></p>", "IHCP-species-checked": "testedAndGuaranteed", "IHCP-species-dilution-info": "1/10000", "IHCP-species-notes": "<p></p> Perform heat-mediated antigen retrieval with Tris/EDTA buffer pH 9.0 before commencing with IHC staining protocol.", "IP-species-checked": "testedAndGuaranteed", "IP-species-dilution-info": "1/30", "IP-species-notes": "<p></p>", "ICCIF-species-checked": "testedAndGuaranteed", "ICCIF-species-dilution-info": "1/100", "ICCIF-species-notes": "<p></p>", "ChIPseq-species-checked": "notRecommended", "ChIPseq-species-dilution-info": "", "ChIPseq-species-notes": "<p></p>", "FlowCytIntra-species-checked": "notRecommended", "FlowCytIntra-species-dilution-info": "", "FlowCytIntra-species-notes": "<p></p>" }, "Mouse": { "IHCFr-species-checked": "testedAndGuaranteed", "IHCFr-species-dilution-info": "1/500", "IHCFr-species-notes": "<p></p>", "WB-species-checked": "testedAndGuaranteed", "WB-species-dilution-info": "1/20000 - 1/50000", "WB-species-notes": "<p></p>", "IHCP-species-checked": "testedAndGuaranteed", "IHCP-species-dilution-info": "1/10000", "IHCP-species-notes": "<p></p> Perform heat-mediated antigen retrieval with Tris/EDTA buffer pH 9.0 before commencing with IHC staining protocol.", "IP-species-checked": "testedAndGuaranteed", "IP-species-dilution-info": "1/30", "IP-species-notes": "<p></p>", "ICCIF-species-checked": "notRecommended", "ICCIF-species-dilution-info": "", "ICCIF-species-notes": "<p></p>", "ChIPseq-species-checked": "notRecommended", "ChIPseq-species-dilution-info": "", "ChIPseq-species-notes": "", "FlowCytIntra-species-checked": "notRecommended", "FlowCytIntra-species-dilution-info": "", "FlowCytIntra-species-notes": "" }, "Rat": { "IHCFr-species-checked": "testedAndGuaranteed", "IHCFr-species-dilution-info": "1/500", "IHCFr-species-notes": "<p></p>", "WB-species-checked": "testedAndGuaranteed", "WB-species-dilution-info": "1/20000 - 1/50000", "WB-species-notes": "<p></p>", "IHCP-species-checked": "testedAndGuaranteed", "IHCP-species-dilution-info": "1/10000", "IHCP-species-notes": "<p></p> Perform heat-mediated antigen retrieval with Tris/EDTA buffer pH 9.0 before commencing with IHC staining protocol.", "IP-species-checked": "testedAndGuaranteed", "IP-species-dilution-info": "1/30", "IP-species-notes": "<p></p>", "ICCIF-species-checked": "testedAndGuaranteed", "ICCIF-species-dilution-info": "1/100", "ICCIF-species-notes": "<p></p>", "ChIPseq-species-checked": "notRecommended", "ChIPseq-species-dilution-info": "", "ChIPseq-species-notes": "", "FlowCytIntra-species-checked": "notRecommended", "FlowCytIntra-species-dilution-info": "", "FlowCytIntra-species-notes": "" } } }

Product details

What are recombinant multiclonals?
Recombinant multiclonals are a mixture of recombinant antibodies co-expressed from a library of heavy and light chains. They offer several advantages including:

  • - The sensitivity of polyclonal antibodies by recognising multiple epitopes
  • - High batch-to-batch consistency and reproducibility
  • - Improved sensitivity and specificity
  • - Long-term security of supply
  • - Animal-free batch production

View our range of recombinant multiclonal antibodies.

Patented technology
Our RabMAb® technology is a patented hybridoma-based technology for making rabbit monoclonal antibodies. For details on our patents, please refer to RabMAb® patents.

Properties and storage information

Form
Liquid
Purification technique
Affinity purification Protein A
Storage buffer
pH: 7.2 - 7.4 Preservative: 0.01% Sodium azide Constituents: PBS, 40% Glycerol (glycerin, glycerine), 0.05% BSA
Shipped at conditions
Blue Ice
Appropriate short-term storage duration
1-2 weeks
Appropriate short-term storage conditions
+4°C
Appropriate long-term storage conditions
-20°C
Aliquoting information
Upon delivery aliquot
Storage information
Avoid freeze / thaw cycle

Product protocols

For this product, it's our understanding that no specific protocols are required. You can visit:

Target data

Key downstream component of the canonical Wnt signaling pathway (PubMed : 17524503, PubMed : 18077326, PubMed : 18086858, PubMed : 18957423, PubMed : 21262353, PubMed : 22155184, PubMed : 22647378, PubMed : 22699938). In the absence of Wnt, forms a complex with AXIN1, AXIN2, APC, CSNK1A1 and GSK3B that promotes phosphorylation on N-terminal Ser and Thr residues and ubiquitination of CTNNB1 via BTRC and its subsequent degradation by the proteasome (PubMed : 17524503, PubMed : 18077326, PubMed : 18086858, PubMed : 18957423, PubMed : 21262353, PubMed : 22155184, PubMed : 22647378, PubMed : 22699938). In the presence of Wnt ligand, CTNNB1 is not ubiquitinated and accumulates in the nucleus, where it acts as a coactivator for transcription factors of the TCF/LEF family, leading to activate Wnt responsive genes (PubMed : 17524503, PubMed : 18077326, PubMed : 18086858, PubMed : 18957423, PubMed : 21262353, PubMed : 22155184, PubMed : 22647378, PubMed : 22699938). Involved in the regulation of cell adhesion, as component of an E-cadherin : catenin adhesion complex (By similarity). Acts as a negative regulator of centrosome cohesion (PubMed : 18086858). Involved in the CDK2/PTPN6/CTNNB1/CEACAM1 pathway of insulin internalization (PubMed : 21262353). Blocks anoikis of malignant kidney and intestinal epithelial cells and promotes their anchorage-independent growth by down-regulating DAPK2 (PubMed : 18957423). Disrupts PML function and PML-NB formation by inhibiting RANBP2-mediated sumoylation of PML (PubMed : 22155184). Promotes neurogenesis by maintaining sympathetic neuroblasts within the cell cycle (By similarity). Involved in chondrocyte differentiation via interaction with SOX9 : SOX9-binding competes with the binding sites of TCF/LEF within CTNNB1, thereby inhibiting the Wnt signaling (By similarity). Acts as a positive regulator of odontoblast differentiation during mesenchymal tooth germ formation, via promoting the transcription of differentiation factors such as LEF1, BMP2 and BMP4 (By similarity). Activity is repressed in a MSX1-mediated manner at the bell stage of mesenchymal tooth germ formation which prevents premature differentiation of odontoblasts (By similarity).
See full target information CTNNB1

Product promise

We are committed to supporting your work with high-quality reagents, and we're here for you every step of the way. In the unlikely event that one of our products does not perform as expected, you're protected by our Product Promise.
For full details, please see our Terms & Conditions

Please note: All products are 'FOR RESEARCH USE ONLY. NOT FOR USE IN DIAGNOSTIC OR THERAPEUTIC PROCEDURES'.

For licensing inquiries, please contact partnerships@abcam.com