JavaScript is disabled in your browser. Please enable JavaScript to view this website.
AB242424

Anti-beta Catenin antibody [SP328] - BSA and Azide free

  • BOND RX™ Validated
  • RabMAb
  • Recombinant
  • KO Validated
  • What is this?

Be the first to review this product! Submit a review

|

(0 Publication)

Rabbit Recombinant Monoclonal beta Catenin antibody. Carrier free. Suitable for IHC-P, WB, ICC/IF, Flow Cyt (Intra), IP and reacts with Human, Rat, Mouse samples.

View Alternative Names

CTNNB, OK/SW-cl.35, PRO2286, CTNNB1, Catenin beta-1, Beta-catenin

33 Images
Flow Cytometry (Intracellular) - Anti-beta Catenin antibody [SP328] - BSA and Azide free (AB242424)
  • Flow Cyt (Intra)

Supplier Data

Flow Cytometry (Intracellular) - Anti-beta Catenin antibody [SP328] - BSA and Azide free (AB242424)

Intracellular flow cytometric analysis of HEK-293 (human epithelial cell line from embryonic kidney) cell line labeling beta Catenin with ab224803 at 1/400 dilution (green) compared to anegative control of rabbit IgG (blue).

This data was developed using the same antibody clone in a different buffer formulation containing PBS, BSA and sodium azide (ab224803).

Immunohistochemistry (Formalin/PFA-fixed paraffin-embedded sections) - Anti-beta Catenin antibody [SP328] - BSA and Azide free (AB242424)
  • IHC-P

Supplier Data

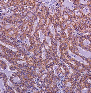
Immunohistochemistry (Formalin/PFA-fixed paraffin-embedded sections) - Anti-beta Catenin antibody [SP328] - BSA and Azide free (AB242424)

Formalin-fixed, paraffin-embedded human hepatocellular carcinoma tissue stained for beta Catenin with ab224803 at 1/400 dilution in immunohistochemical analysis.

This data was developed using the same antibody clone in a different buffer formulation containing PBS, BSA and sodium azide (ab224803).

Immunohistochemistry (Formalin/PFA-fixed paraffin-embedded sections) - Anti-beta Catenin antibody [SP328] - BSA and Azide free (AB242424)
  • IHC-P

Supplier Data

Immunohistochemistry (Formalin/PFA-fixed paraffin-embedded sections) - Anti-beta Catenin antibody [SP328] - BSA and Azide free (AB242424)

Formalin-fixed, paraffin-embedded human lung tissue stained for beta Catenin with ab224803 at 1/400 dilution in immunohistochemical analysis.

This data was developed using the same antibody clone in a different buffer formulation containing PBS, BSA and sodium azide (ab224803).

Immunohistochemistry (Formalin/PFA-fixed paraffin-embedded sections) - Anti-beta Catenin antibody [SP328] - BSA and Azide free (AB242424)
  • IHC-P

Supplier Data

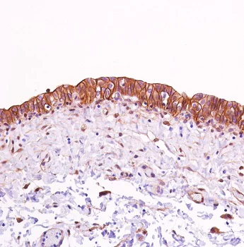
Immunohistochemistry (Formalin/PFA-fixed paraffin-embedded sections) - Anti-beta Catenin antibody [SP328] - BSA and Azide free (AB242424)

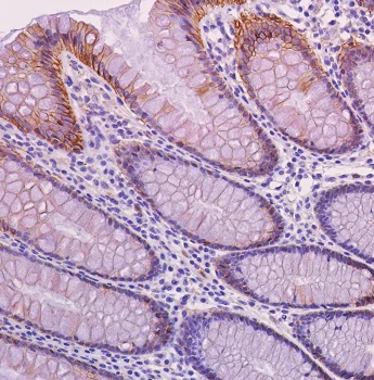
Formalin-fixed, paraffin-embedded human colon tissue stained for beta Catenin with ab224803 at 1/400 dilution in immunohistochemical analysis.

This data was developed using the same antibody clone in a different buffer formulation containing PBS, BSA and sodium azide (ab224803).

Immunohistochemistry (Formalin/PFA-fixed paraffin-embedded sections) - Anti-beta Catenin antibody [SP328] - BSA and Azide free (AB242424)
  • IHC-P

Supplier Data

Immunohistochemistry (Formalin/PFA-fixed paraffin-embedded sections) - Anti-beta Catenin antibody [SP328] - BSA and Azide free (AB242424)

Formalin-fixed, paraffin-embedded human stomach adenocarcinoma tissue stained for beta Catenin with ab224803 at 1/400 dilution in immunohistochemical analysis.

This data was developed using the same antibody clone in a different buffer formulation containing PBS, BSA and sodium azide (ab224803).

Immunohistochemistry (Formalin/PFA-fixed paraffin-embedded sections) - Anti-beta Catenin antibody [SP328] - BSA and Azide free (AB242424)
  • IHC-P

Supplier Data

Immunohistochemistry (Formalin/PFA-fixed paraffin-embedded sections) - Anti-beta Catenin antibody [SP328] - BSA and Azide free (AB242424)

Formalin-fixed, paraffin-embedded human bladder tissue stained for beta Catenin with ab224803 at 1/400 dilution in immunohistochemical analysis.

This data was developed using the same antibody clone in a different buffer formulation containing PBS, BSA and sodium azide (ab224803).

Immunohistochemistry (Formalin/PFA-fixed paraffin-embedded sections) - Anti-beta Catenin antibody [SP328] - BSA and Azide free (AB242424)
  • IHC-P

Supplier Data

Immunohistochemistry (Formalin/PFA-fixed paraffin-embedded sections) - Anti-beta Catenin antibody [SP328] - BSA and Azide free (AB242424)

Formalin-fixed, paraffin-embedded human ovary adenocarcinoma tissue stained for beta Catenin with ab224803 at 1/400 dilution in immunohistochemical analysis.

This data was developed using the same antibody clone in a different buffer formulation containing PBS, BSA and sodium azide (ab224803).

Immunohistochemistry (Formalin/PFA-fixed paraffin-embedded sections) - Anti-beta Catenin antibody [SP328] - BSA and Azide free (AB242424)
  • IHC-P

Supplier Data

Immunohistochemistry (Formalin/PFA-fixed paraffin-embedded sections) - Anti-beta Catenin antibody [SP328] - BSA and Azide free (AB242424)

Formalin-fixed, paraffin-embedded human ovary tissue stained for beta Catenin with ab224803 at 1/400 dilution in immunohistochemical analysis.

This data was developed using the same antibody clone in a different buffer formulation containing PBS, BSA and sodium azide (ab224803).

Immunohistochemistry (Formalin/PFA-fixed paraffin-embedded sections) - Anti-beta Catenin antibody [SP328] - BSA and Azide free (AB242424)
  • IHC-P

Supplier Data

Immunohistochemistry (Formalin/PFA-fixed paraffin-embedded sections) - Anti-beta Catenin antibody [SP328] - BSA and Azide free (AB242424)

Formalin-fixed, paraffin-embedded human prostate adenocarcinoma tissue stained for beta Catenin with ab224803 at 1/400 dilution in immunohistochemical analysis.

This data was developed using the same antibody clone in a different buffer formulation containing PBS, BSA and sodium azide (ab224803).

Immunohistochemistry (Formalin/PFA-fixed paraffin-embedded sections) - Anti-beta Catenin antibody [SP328] - BSA and Azide free (AB242424)
  • IHC-P

Supplier Data

Immunohistochemistry (Formalin/PFA-fixed paraffin-embedded sections) - Anti-beta Catenin antibody [SP328] - BSA and Azide free (AB242424)

Formalin-fixed, paraffin-embedded human lung adenocarcinoma tissue stained for beta Catenin with ab224803 at 1/400 dilution in immunohistochemical analysis.

This data was developed using the same antibody clone in a different buffer formulation containing PBS, BSA and sodium azide (ab224803).

Immunohistochemistry (Formalin/PFA-fixed paraffin-embedded sections) - Anti-beta Catenin antibody [SP328] - BSA and Azide free (AB242424)
  • IHC-P

Supplier Data

Immunohistochemistry (Formalin/PFA-fixed paraffin-embedded sections) - Anti-beta Catenin antibody [SP328] - BSA and Azide free (AB242424)

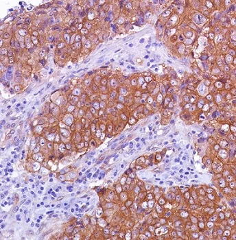
Formalin-fixed, paraffin-embedded human colon adenocarcinoma tissue stained for beta Catenin with ab224803 at 1/400 dilution in immunohistochemical analysis.

This data was developed using the same antibody clone in a different buffer formulation containing PBS, BSA and sodium azide (ab224803).

Immunohistochemistry (Formalin/PFA-fixed paraffin-embedded sections) - Anti-beta Catenin antibody [SP328] - BSA and Azide free (AB242424)
  • IHC-P

Supplier Data

Immunohistochemistry (Formalin/PFA-fixed paraffin-embedded sections) - Anti-beta Catenin antibody [SP328] - BSA and Azide free (AB242424)

Formalin-fixed, paraffin-embedded human prostate tissue stained for beta Catenin with ab224803 at 1/400 dilution in immunohistochemical analysis.

This data was developed using the same antibody clone in a different buffer formulation containing PBS, BSA and sodium azide (ab224803).

Immunohistochemistry (Formalin/PFA-fixed paraffin-embedded sections) - Anti-beta Catenin antibody [SP328] - BSA and Azide free (AB242424)
  • IHC-P

Supplier Data

Immunohistochemistry (Formalin/PFA-fixed paraffin-embedded sections) - Anti-beta Catenin antibody [SP328] - BSA and Azide free (AB242424)

Formalin-fixed, paraffin-embedded human bladder transitional carcinoma tissue stained for beta Catenin with ab224803 at 1/400 dilution in immunohistochemical analysis.

This data was developed using the same antibody clone in a different buffer formulation containing PBS, BSA and sodium azide (ab224803).

Immunohistochemistry (Formalin/PFA-fixed paraffin-embedded sections) - Anti-beta Catenin antibody [SP328] - BSA and Azide free (AB242424)
  • IHC-P

Supplier Data

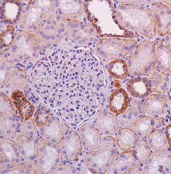
Immunohistochemistry (Formalin/PFA-fixed paraffin-embedded sections) - Anti-beta Catenin antibody [SP328] - BSA and Azide free (AB242424)

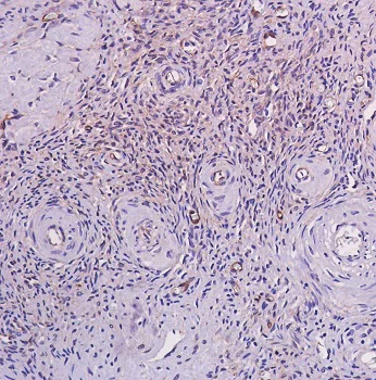
Formalin-fixed, paraffin-embedded human kidney tissue stained for beta Catenin withab224803 at 1/400 dilution in immunohistochemical analysis.

This data was developed using the same antibody clone in a different buffer formulation containing PBS, BSA and sodium azide (ab224803).

Immunohistochemistry (Formalin/PFA-fixed paraffin-embedded sections) - Anti-beta Catenin antibody [SP328] - BSA and Azide free (AB242424)
  • IHC-P

Unknown

Immunohistochemistry (Formalin/PFA-fixed paraffin-embedded sections) - Anti-beta Catenin antibody [SP328] - BSA and Azide free (AB242424)

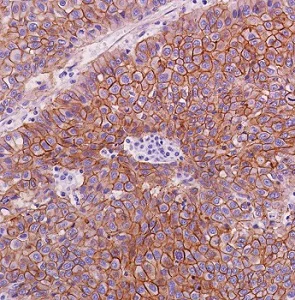
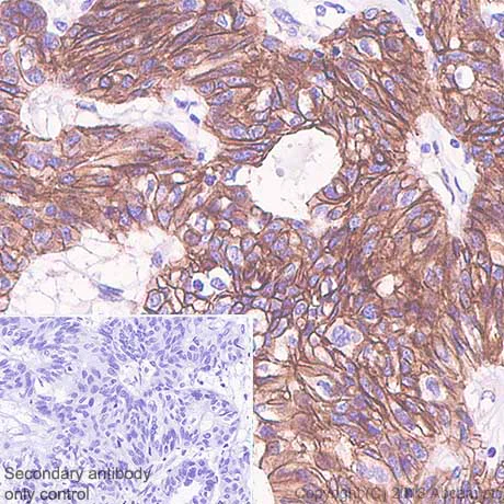
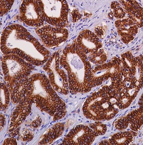
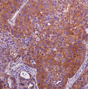
Immunohistochemistry (Formalin/PFA-fixed paraffin-embedded sections) analysis of Human breast carcinoma tissue sections labeling beta Catenin with ab224803 at 1/100 dilution (1.20 μg/ml). Heat mediated antigen retrieval with sodium Citrate buffer (pH 6.0, epitope retrieval solution 1) for 10mins. Goat Anti-Rabbit & Mouse IgG (HRP) was used as the secondary antibody. Hematoxylin was used as a counterstain. Membranous staining on the human breast carcinoma, performed on a Leica Biosystems BOND™ RX instrument.
The section was incubated with ab224803 for 10 mins at room temperature.

This image was generated using ab224803, the same clone, but with a different buffer formulation.

Immunohistochemistry (Formalin/PFA-fixed paraffin-embedded sections) - Anti-beta Catenin antibody [SP328] - BSA and Azide free (AB242424)
  • IHC-P

Supplier Data

Immunohistochemistry (Formalin/PFA-fixed paraffin-embedded sections) - Anti-beta Catenin antibody [SP328] - BSA and Azide free (AB242424)

Formalin-fixed, paraffin-embedded human lung squamous carcinoma tissue stained for beta Catenin withab224803 at 1/400 dilution in immunohistochemical analysis.

This data was developed using the same antibody clone in a different buffer formulation containing PBS, BSA and sodium azide (ab224803).

Immunohistochemistry (Formalin/PFA-fixed paraffin-embedded sections) - Anti-beta Catenin antibody [SP328] - BSA and Azide free (AB242424)
  • IHC-P

Supplier Data

Immunohistochemistry (Formalin/PFA-fixed paraffin-embedded sections) - Anti-beta Catenin antibody [SP328] - BSA and Azide free (AB242424)

Formalin-fixed, paraffin-embedded human breast ductal carcinoma tissue stained for beta Catenin with ab224803 at 1/400 dilution in immunohistochemical analysis.

This data was developed using the same antibody clone in a different buffer formulation containing PBS, BSA and sodium azide (ab224803).

Flow Cytometry (Intracellular) - Anti-beta Catenin antibody [SP328] - BSA and Azide free (AB242424)
  • Flow Cyt (Intra)

Unknown

Flow Cytometry (Intracellular) - Anti-beta Catenin antibody [SP328] - BSA and Azide free (AB242424)

Intracellular Flow Cytometry analysis of HeLa (human cervix adenocarcinoma epithelial cell) labeling beta Catenin with purified ab224803 at 1/200 dilution (0.495μg/ml) (red). Cells were fixed with 4% paraformaldehyde and permeabilised with 90% methanol. Goat anti rabbit IgG (Alexa Fluor®488, ab150077) at 1/2000 dilution was used as a secondary antibody. Isotype control - Rabbit monoclonal IgG (ab172730) (black). Unlableled control - Unlabelled cells (blue).

This image was generated using ab224803, the same clone, but with a different buffer formulation.

Immunohistochemistry (Formalin/PFA-fixed paraffin-embedded sections) - Anti-beta Catenin antibody [SP328] - BSA and Azide free (AB242424)
  • IHC-P

Supplier Data

Immunohistochemistry (Formalin/PFA-fixed paraffin-embedded sections) - Anti-beta Catenin antibody [SP328] - BSA and Azide free (AB242424)

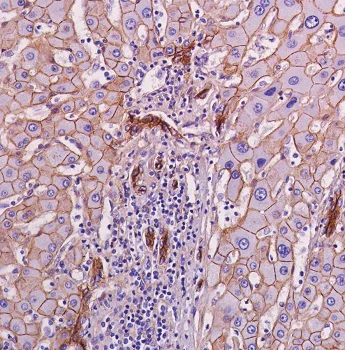
Formalin-fixed, paraffin-embedded human liver tissue stained for beta Catenin with ab224803 at 1/400 dilution in immunohistochemical analysis.

This data was developed using the same antibody clone in a different buffer formulation containing PBS, BSA and sodium azide (ab224803).

Immunohistochemistry (Formalin/PFA-fixed paraffin-embedded sections) - Anti-beta Catenin antibody [SP328] - BSA and Azide free (AB242424)
  • IHC-P

Supplier Data

Immunohistochemistry (Formalin/PFA-fixed paraffin-embedded sections) - Anti-beta Catenin antibody [SP328] - BSA and Azide free (AB242424)

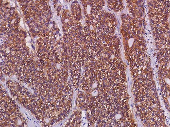
Formalin-fixed, paraffin-embedded human renal cell carcinoma tissue stained for beta Catenin with ab224803 at 1/400 dilution in immunohistochemical analysis.

This data was developed using the same antibody clone in a different buffer formulation containing PBS, BSA and sodium azide (ab224803).

Immunocytochemistry/ Immunofluorescence - Anti-beta Catenin antibody [SP328] - BSA and Azide free (AB242424)
  • ICC/IF

Unknown

Immunocytochemistry/ Immunofluorescence - Anti-beta Catenin antibody [SP328] - BSA and Azide free (AB242424)

Immunocytochemistry/ Immunofluorescence analysis of HeLa (human cervix adenocarcinoma epithelial cell) cells labeling beta Catenin with purified ab224803 at 1/10 (9.9 μg/ml). Cells were fixed in 4% paraformaldehyde and permeabilized with 0.1% Triton X-100. Cells were counterstained with ab195889 Anti-alpha Tubulin antibody [DM1A] - Microtubule Marker (Alexa Fluor® 594) 1/200 (2.5 μg/ml). Goat anti rabbit IgG (Alexa Fluor® 488, ab150077) was used as the secondary antibody at 1/1000 (2 μg/ml) dilution. DAPI was used as nuclear counterstain. PBS instead of the primary antibody was used as the secondary antibody only control.

This image was generated using ab224803, the same clone, but with a different buffer formulation.

Immunohistochemistry (Formalin/PFA-fixed paraffin-embedded sections) - Anti-beta Catenin antibody [SP328] - BSA and Azide free (AB242424)
  • IHC-P

Unknown

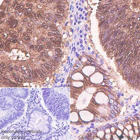
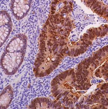
Immunohistochemistry (Formalin/PFA-fixed paraffin-embedded sections) - Anti-beta Catenin antibody [SP328] - BSA and Azide free (AB242424)

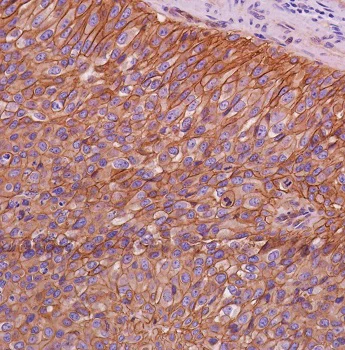
Immunohistochemistry (Formalin/PFA-fixed paraffin-embedded sections) analysis of Human colon carcinoma tissue sections labeling beta Catenin with ab224803 at 1/100 dilution (1.20 μg/ml). Heat mediated antigen retrieval with sodium Citrate buffer (pH 6.0, epitope retrieval solution 1) for 10mins. Goat Anti-Rabbit & Mouse IgG (HRP) was used as the secondary antibody. Hematoxylin was used as a counterstain. Mainly membranous with nuclear staining on the human colon carcinoma, performed on a Leica Biosystems BOND™ RX instrument.
The section was incubated with ab224803 for 10 mins at room temperature.

This image was generated using ab224803, the same clone, but with a different buffer formulation.

Immunohistochemistry (Formalin/PFA-fixed paraffin-embedded sections) - Anti-beta Catenin antibody [SP328] - BSA and Azide free (AB242424)
  • IHC-P

Supplier Data

Immunohistochemistry (Formalin/PFA-fixed paraffin-embedded sections) - Anti-beta Catenin antibody [SP328] - BSA and Azide free (AB242424)

Formalin-fixed, paraffin-embedded human stomach tissue stained for beta Catenin with ab224803 at 1/400 dilution in immunohistochemical analysis.

This data was developed using the same antibody clone in a different buffer formulation containing PBS, BSA and sodium azide (ab224803).

Immunohistochemistry (Formalin/PFA-fixed paraffin-embedded sections) - Anti-beta Catenin antibody [SP328] - BSA and Azide free (AB242424)
  • IHC-P

Supplier Data

Immunohistochemistry (Formalin/PFA-fixed paraffin-embedded sections) - Anti-beta Catenin antibody [SP328] - BSA and Azide free (AB242424)

Formalin-fixed, paraffin-embedded human breast tissue stained for beta Catenin with ab224803 at 1/400 dilution in immunohistochemical analysis.

This data was developed using the same antibody clone in a different buffer formulation containing PBS, BSA and sodium azide (ab224803).

Immunoprecipitation - Anti-beta Catenin antibody [SP328] - BSA and Azide free (AB242424)
  • IP

Lab

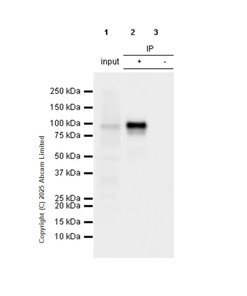
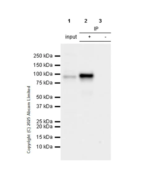
Immunoprecipitation - Anti-beta Catenin antibody [SP328] - BSA and Azide free (AB242424)

This data was developed using the same antibody clone in a different buffer formulation containing PBS, BSA, glycerol, and sodium azide (ab224803).

beta Catenin was immunoprecipitated from HeLa (human cervical adenocarcinoma epithelial cell) whole cell lysate with ab224803 at 1/30 dilution (2µg in 0.35mg lysates). Western blot was performed on the immunoprecipitate using ab224803 at 1/1000 dilution.

Blocking and dilution buffer and concentration : 5% NFDM/TBST.

All lanes:

Immunoprecipitation - Anti-beta Catenin antibody [SP328] (<a href='/en-us/products/primary-antibodies/beta-catenin-antibody-sp328-ab224803'>ab224803</a>) at 1/1000 dilution

Lane 1:

HeLa (human cervical adenocarcinoma epithelial cell) whole cell lysate (Input) at 10 µg

Lane 2:

HeLa (human cervical adenocarcinoma epithelial cell) whole cell lysate (-)

Lane 3:

Rabbit monoclonal IgG (<a href='/en-us/products/primary-antibodies/rabbit-igg-monoclonal-epr25a-isotype-control-ab172730'>ab172730</a>) instead of <a href='/en-us/products/primary-antibodies/beta-catenin-antibody-sp328-ab224803'>ab224803</a> in HeLa whole cell lysate (-)

Secondary

All lanes:

Immunoprecipitation - VeriBlot for IP Detection Reagent (HRP) (<a href='/en-us/products/reagents/veriblot-for-ip-detection-reagent-hrp-ab131366'>ab131366</a>) at 1/5000 dilution

Observed band size: 85 kDa

false

Exposure time: 3s

Immunocytochemistry/ Immunofluorescence - Anti-beta Catenin antibody [SP328] - BSA and Azide free (AB242424)
  • ICC/IF

Unknown

Immunocytochemistry/ Immunofluorescence - Anti-beta Catenin antibody [SP328] - BSA and Azide free (AB242424)

Immunocytochemistry/ Immunofluorescence analysis of C6 (rat glial tumor glial cell) cells labeling beta Catenin with purified ab224803 at 1/10 (9.9 μg/ml). Cells were fixed in 4% paraformaldehyde and permeabilized with 0.1% Triton X-100. Cells were counterstained with ab195889 Anti-alpha Tubulin antibody [DM1A] - Microtubule Marker (Alexa Fluor® 594) 1/200 (2.5 μg/ml). Goat anti rabbit IgG (Alexa Fluor® 488, ab150077) was used as the secondary antibody at 1/1000 (2 μg/ml) dilution. DAPI was used as nuclear counterstain. PBS instead of the primary antibody was used as the secondary antibody only control.

This image was generated using ab224803, the same clone, but with a different buffer formulation.

Flow Cytometry (Intracellular) - Anti-beta Catenin antibody [SP328] - BSA and Azide free (AB242424)
  • Flow Cyt (Intra)

Unknown

Flow Cytometry (Intracellular) - Anti-beta Catenin antibody [SP328] - BSA and Azide free (AB242424)

Intracellular Flow Cytometry analysis of NIH/3T3 (mouse embryonic fibroblast) labeling beta Catenin with purified ab224803 at 1/200 dilution (0.495μg/ml) (red). Cells were fixed with 4% paraformaldehyde and permeabilised with 90% methanol. Goat anti rabbit IgG (Alexa Fluor®488, ab150077) at 1/2000 dilution was used as a secondary antibody. Isotype control - Rabbit monoclonal IgG (ab172730) (black). Unlableled control -Unlabelled cells (blue).

This image was generated using ab224803, the same clone, but with a different buffer formulation.

Flow Cytometry (Intracellular) - Anti-beta Catenin antibody [SP328] - BSA and Azide free (AB242424)
  • Flow Cyt (Intra)

Unknown

Flow Cytometry (Intracellular) - Anti-beta Catenin antibody [SP328] - BSA and Azide free (AB242424)

Intracellular Flow Cytometry analysis of C6 (rat glial tumor glial cell) labeling beta Catenin with purified ab224803 at 1/200 dilution (0.495μg/ml) (red). Cells were fixed with 4% paraformaldehyde and permeabilised with 90% methanol. Goat anti rabbit IgG (Alexa Fluor®488, ab150077) at 1/2000 dilution was used as a secondary antibody. Isotype control - Rabbit monoclonal IgG (ab172730) (black). Unlableled control - Unlabelled cells (blue).

This image was generated using ab224803, the same clone, but with a different buffer formulation.

Immunohistochemistry (Formalin/PFA-fixed paraffin-embedded sections) - Anti-beta Catenin antibody [SP328] - BSA and Azide free (AB242424)
  • IHC-P

Unknown

Immunohistochemistry (Formalin/PFA-fixed paraffin-embedded sections) - Anti-beta Catenin antibody [SP328] - BSA and Azide free (AB242424)

Immunohistochemistry (Formalin/PFA-fixed paraffin-embedded sections) analysis of Mouse pancreas tissue sections labeling beta Catenin with ab224803 at 1/100 dilution (1.20 μg/ml). Heat mediated antigen retrieval with sodium Citrate buffer (pH 6.0, epitope retrieval solution 1) for 10mins. Goat Anti-Rabbit & Mouse IgG (HRP) was used as the secondary antibody. Hematoxylin was used as a counterstain. Mainly membranous staining on the mouse pancreas, performed on a Leica Biosystems BOND™ RX instrument.
The section was incubated with ab224803 for 10 mins at room temperature.

This image was generated using ab224803, the same clone, but with a different buffer formulation.

Immunohistochemistry (Formalin/PFA-fixed paraffin-embedded sections) - Anti-beta Catenin antibody [SP328] - BSA and Azide free (AB242424)
  • IHC-P

Unknown

Immunohistochemistry (Formalin/PFA-fixed paraffin-embedded sections) - Anti-beta Catenin antibody [SP328] - BSA and Azide free (AB242424)

Immunohistochemistry (Formalin/PFA-fixed paraffin-embedded sections) analysis of Rat pancreas tissue sections labeling beta Catenin with ab224803 at 1/100 dilution (1.20 μg/ml). Heat mediated antigen retrieval with sodium Citrate buffer (pH 6.0, epitope retrieval solution 1) for 10mins. Goat Anti-Rabbit & Mouse IgG (HRP) was used as the secondary antibody. Hematoxylin was used as a counterstain. Mainly membranous staining on the rat pancreas, performed on a Leica Biosystems BOND™ RX instrument.
The section was incubated with ab224803 for 10 mins at room temperature.

This image was generated using ab224803, the same clone, but with a different buffer formulation.

Immunoprecipitation - Anti-beta Catenin antibody [SP328] - BSA and Azide free (AB242424)
  • IP

Lab

Immunoprecipitation - Anti-beta Catenin antibody [SP328] - BSA and Azide free (AB242424)

This data was developed using the same antibody clone in a different buffer formulation containing PBS, BSA, glycerol, and sodium azide (ab224803).

beta Catenin was immunoprecipitated from Rat brain tissue lysate with ab224803 at 1/30 dilution (2µg in 0.35mg lysates). Western blot was performed on the immunoprecipitate using ab224803 at 1/1000 dilution.

Blocking and dilution buffer and concentration : 5% NFDM/TBST.

All lanes:

Immunoprecipitation - Anti-beta Catenin antibody [SP328] (<a href='/en-us/products/primary-antibodies/beta-catenin-antibody-sp328-ab224803'>ab224803</a>) at 1/1000 dilution

Lane 1:

Rat brain tissue lysate (Input) at 10 µg

Lane 2:

Rat brain tissue lysate (+)

Lane 3:

Rabbit monoclonal IgG (<a href='/en-us/products/primary-antibodies/rabbit-igg-monoclonal-epr25a-isotype-control-ab172730'>ab172730</a>) instead of <a href='/en-us/products/proteins-peptides/recombinant-phosphinotricin-acetyl-transferase-protein-his-tag-ab224834'>ab224834</a> in rat brain tissue lysate (-)

Secondary

All lanes:

Immunoprecipitation - VeriBlot for IP Detection Reagent (HRP) (<a href='/en-us/products/reagents/veriblot-for-ip-detection-reagent-hrp-ab131366'>ab131366</a>) at 1/5000 dilution

Observed band size: 85 kDa

false

Exposure time: 3s

Immunoprecipitation - Anti-beta Catenin antibody [SP328] - BSA and Azide free (AB242424)
  • IP

Lab

Immunoprecipitation - Anti-beta Catenin antibody [SP328] - BSA and Azide free (AB242424)

This data was developed using the same antibody clone in a different buffer formulation containing PBS, BSA, glycerol, and sodium azide (ab224803).

beta Catenin was immunoprecipitated from Mouse brain tissue lysate with ab224803 at 1/30 dilution (2µg in 0.35mg lysates). Western blot was performed on the immunoprecipitate using ab224803 at 1/1000 dilution.

Blocking and dilution buffer and concentration : 5% NFDM/TBST.

All lanes:

Immunoprecipitation - Anti-beta Catenin antibody [SP328] (<a href='/en-us/products/primary-antibodies/beta-catenin-antibody-sp328-ab224803'>ab224803</a>) at 1/1000 dilution

Lane 1:

Mouse brain tissue lysate (Input) at 10 µg

Lane 2:

Mouse brain tissue lysate (+)

Lane 3:

Rabbit monoclonal IgG (<a href='/en-us/products/primary-antibodies/rabbit-igg-monoclonal-epr25a-isotype-control-ab172730'>ab172730</a>) instead of <a href='/en-us/products/primary-antibodies/beta-catenin-antibody-sp328-ab224803'>ab224803</a> in mouse brain tissue lysate (-)

Secondary

All lanes:

Immunoprecipitation - VeriBlot for IP Detection Reagent (HRP) (<a href='/en-us/products/reagents/veriblot-for-ip-detection-reagent-hrp-ab131366'>ab131366</a>) at 1/5000 dilution

Observed band size: 85 kDa

false

Exposure time: 3s

Western blot - Anti-beta Catenin antibody [SP328] - BSA and Azide free (AB242424)
  • WB

Supplier Data

Western blot - Anti-beta Catenin antibody [SP328] - BSA and Azide free (AB242424)

False colour image of Western blot : Anti-beta Catenin antibody [SP328] staining at 1/400 dilution, shown in green; Mouse anti-Alpha Tubulin [DM1A] (ab7291) loading control staining at 1/20000 dilution, shown in red. In Western blot, ab224803 was shown to bind specifically to beta Catenin. A band was observed at 85/90 kDa in wild-type MCF7 cell lysates with no signal observed at this size in CTNNB1 knockout cell line ab286762. To generate this image, wild-type and CTNNB1 knockout MCF7 cell lysates were analysed. First, samples were run on an SDS-PAGE gel then transferred onto a nitrocellulose membrane. Membranes were blocked in 3 % milk in TBS-0.1 % Tween® 20 (TBS-T) before incubation with primary antibodies overnight at 4 °C. Blots were washed four times in TBS-T, incubated with secondary antibodies for 1 h at room temperature, washed again four times then imaged. Secondary antibodies used were Goat anti-Rabbit IgG H&L 800CW and Goat anti-Mouse IgG H&L 680RD at 1/20000 dilution. This image was generated using ab224803, the same clone, but with a different buffer formulation.

All lanes:

Western blot - Anti-beta Catenin antibody [SP328] (<a href='/en-us/products/primary-antibodies/beta-catenin-antibody-sp328-ab224803'>ab224803</a>) at 1/400 dilution

Lane 1:

Wild-type MCF7 cell lysate at 20 µg

Lane 2:

CTNNB1 knockout MCF7 cell lysate at 20 µg

Lane 3:

HeLa cell lysate at 20 µg

Secondary

All lanes:

Goat anti-Rabbit IgG H&L 800CW and Goat anti-Mouse IgG H&L 680RD at 1/20000 dilution

Predicted band size: 85 kDa

Observed band size: 85/90 kDa

false

Key facts

Host species

Rabbit

Clonality

Monoclonal

Clone number

SP328

Isotype

IgG

Carrier free

Yes

Reacts with

Human, Mouse, Rat

Applications

IP, ICC/IF, IHC-P, Flow Cyt (Intra), WB

applications

Immunogen

The exact immunogen used to generate this antibody is proprietary information.

Reactivity data

{ "title": "Reactivity Data", "filters": { "stats": ["", "Species", "Dilution Info", "Notes"], "tabs": { "all-applications": {"fullname" : "All Applications", "shortname": "All Applications"}, "IHCP" : {"fullname" : "Immunohistochemistry (Formalin/PFA-fixed paraffin-embedded sections)", "shortname":"IHC-P"}, "WB" : {"fullname" : "Western blot", "shortname":"WB"}, "ICCIF" : {"fullname" : "Immunocytochemistry/ Immunofluorescence", "shortname":"ICC/IF"}, "FlowCytIntra" : {"fullname" : "Flow Cytometry (Intracellular)", "shortname":"Flow Cyt (Intra)"}, "IP" : {"fullname" : "Immunoprecipitation", "shortname":"IP"} }, "product-promise": { "all": "all", "testedAndGuaranteed": "tested", "guaranteed": "expected", "predicted": "predicted", "notRecommended": "not-recommended" } }, "values": { "Human": { "IHCP-species-checked": "testedAndGuaranteed", "IHCP-species-dilution-info": "", "IHCP-species-notes": "<p>Primary incubation for 10 minutes at room temperature.</p>", "WB-species-checked": "testedAndGuaranteed", "WB-species-dilution-info": "", "WB-species-notes": "<p></p>", "ICCIF-species-checked": "guaranteed", "ICCIF-species-dilution-info": "", "ICCIF-species-notes": "", "FlowCytIntra-species-checked": "testedAndGuaranteed", "FlowCytIntra-species-dilution-info": "", "FlowCytIntra-species-notes": "<p>Primary incubation for 30 minutes at 4°C</p>", "IP-species-checked": "testedAndGuaranteed", "IP-species-dilution-info": "", "IP-species-notes": "<p></p>" }, "Mouse": { "IHCP-species-checked": "guaranteed", "IHCP-species-dilution-info": "", "IHCP-species-notes": "", "WB-species-checked": "guaranteed", "WB-species-dilution-info": "", "WB-species-notes": "<p></p>", "ICCIF-species-checked": "guaranteed", "ICCIF-species-dilution-info": "", "ICCIF-species-notes": "", "FlowCytIntra-species-checked": "guaranteed", "FlowCytIntra-species-dilution-info": "", "FlowCytIntra-species-notes": "", "IP-species-checked": "testedAndGuaranteed", "IP-species-dilution-info": "", "IP-species-notes": "<p></p>" }, "Rat": { "IHCP-species-checked": "guaranteed", "IHCP-species-dilution-info": "", "IHCP-species-notes": "", "WB-species-checked": "guaranteed", "WB-species-dilution-info": "", "WB-species-notes": "<p></p>", "ICCIF-species-checked": "testedAndGuaranteed", "ICCIF-species-dilution-info": "", "ICCIF-species-notes": "<p></p>", "FlowCytIntra-species-checked": "guaranteed", "FlowCytIntra-species-dilution-info": "", "FlowCytIntra-species-notes": "", "IP-species-checked": "testedAndGuaranteed", "IP-species-dilution-info": "", "IP-species-notes": "<p></p>" }, "Cow": { "IHCP-species-checked": "predicted", "IHCP-species-dilution-info": "", "IHCP-species-notes": "", "WB-species-checked": "predicted", "WB-species-dilution-info": "", "WB-species-notes": "", "ICCIF-species-checked": "predicted", "ICCIF-species-dilution-info": "", "ICCIF-species-notes": "", "FlowCytIntra-species-checked": "predicted", "FlowCytIntra-species-dilution-info": "", "FlowCytIntra-species-notes": "", "IP-species-checked": "predicted", "IP-species-dilution-info": "", "IP-species-notes": "" }, "Dog": { "IHCP-species-checked": "predicted", "IHCP-species-dilution-info": "", "IHCP-species-notes": "", "WB-species-checked": "predicted", "WB-species-dilution-info": "", "WB-species-notes": "", "ICCIF-species-checked": "predicted", "ICCIF-species-dilution-info": "", "ICCIF-species-notes": "", "FlowCytIntra-species-checked": "predicted", "FlowCytIntra-species-dilution-info": "", "FlowCytIntra-species-notes": "", "IP-species-checked": "predicted", "IP-species-dilution-info": "", "IP-species-notes": "" } } }

Product details

ab242424 is the carrier-free version of ab224803.

What are the advantages of a recombinant monoclonal antibody?
This product is a recombinant monoclonal antibody, which offers several advantages including:

  • - High batch-to-batch consistency and reproducibility
  • - Improved sensitivity and specificity
  • - Long-term security of supply
  • - Animal-free batch production

For more information, read more on recombinant antibodies.

Conjugation ready
Our carrier-free antibodies are typically supplied in a PBS-only formulation, purified and free of BSA, sodium azide and glycerol. This conjugation-ready format is designed for use with fluorochromes, metal isotopes, oligonucleotides, and enzymes, which makes them ideal for antibody labelling, functional and cell-based assays, flow-based assays (e.g. mass cytometry) and Multiplex Imaging applications.

Use our conjugation kits for antibody conjugates that are ready-to-use in as little as 20 minutes with 1 minute hands-on-time and 100% antibody recovery: available for fluorescent dyes, HRP, biotin and gold.

Compatibility
This product is compatible with the Maxpar® Antibody Labeling Kit from Fluidigm, without the need for antibody preparation. Maxpar® is a trademark of Fluidigm Canada Inc.

Properties and storage information

Form
Liquid
Purification technique
Affinity purification Protein A/G
Purification notes
Purified from TCS by protein A/G.
Storage buffer
pH: 7.2 - 7.4 Constituents: PBS
Shipped at conditions
Blue Ice
Appropriate short-term storage conditions
+4°C
Appropriate long-term storage conditions
+4°C
Storage information
Do Not Freeze

Supplementary information

This supplementary information is collated from multiple sources and compiled automatically.

Beta Catenin also known by names such as CTNNB1 or beta-chip is an important protein involved in cell signaling and adhesion. This protein has a molecular weight of around 88 kDa. Beta Catenin is expressed in many cell types and tissues indicating its widespread role in various biological processes. It functions mechanically by mediating the linkage between cadherins and the actin cytoskeleton facilitating cell-cell adhesion. Beta Catenin is also a central part of transcription regulation processes in the nucleus.
Biological function summary

This protein plays roles in both cell adhesion and the regulation of gene expression. Beta Catenin is a critical component of the Wnt signaling pathway where it can form complexes with other proteins to influence gene transcription. In the absence of Wnt signaling beta Catenin levels are low due to its degradation. However when the pathway is active it accumulates in the cytoplasm and eventually translocates to the nucleus where it interacts with TCF/LEF transcription factors to regulate the expression of target genes.

Pathways

Beta Catenin plays a central role in the Wnt signaling pathway and influences cell fate decisions and cellular proliferation. It acts in concert with proteins such as Dishevelled (DVL) and Axin to coordinate these important biological processes. In the absence of Wnt signaling proteins such as APC and GSK-3β are responsible for beta Catenin degradation keeping its cellular levels in check. Beta Catenin’s interaction with transcription factors in the nucleus makes it pivotal in the regulation of cell and tissue homeostasis.

Beta Catenin has associations with colorectal cancer and hepatocellular carcinoma. Its dysregulation can lead to unchecked cell proliferation and tumorigenesis. Often mutations in the beta Catenin gene (CTNNB1) or components of the Wnt pathway like APC are implicated in the development of these cancers. Its interplay with E-cadherin is important for maintaining tissue architecture and disruptions can lead to invasive cancer phenotypes. Understanding beta Catenin’s role provides insights into therapeutic strategies for these cancers.

Product protocols

For this product, it's our understanding that no specific protocols are required. You can visit:

Target data

Key downstream component of the canonical Wnt signaling pathway (PubMed : 17524503, PubMed : 18077326, PubMed : 18086858, PubMed : 18957423, PubMed : 21262353, PubMed : 22155184, PubMed : 22647378, PubMed : 22699938). In the absence of Wnt, forms a complex with AXIN1, AXIN2, APC, CSNK1A1 and GSK3B that promotes phosphorylation on N-terminal Ser and Thr residues and ubiquitination of CTNNB1 via BTRC and its subsequent degradation by the proteasome (PubMed : 17524503, PubMed : 18077326, PubMed : 18086858, PubMed : 18957423, PubMed : 21262353, PubMed : 22155184, PubMed : 22647378, PubMed : 22699938). In the presence of Wnt ligand, CTNNB1 is not ubiquitinated and accumulates in the nucleus, where it acts as a coactivator for transcription factors of the TCF/LEF family, leading to activate Wnt responsive genes (PubMed : 17524503, PubMed : 18077326, PubMed : 18086858, PubMed : 18957423, PubMed : 21262353, PubMed : 22155184, PubMed : 22647378, PubMed : 22699938). Involved in the regulation of cell adhesion, as component of an E-cadherin : catenin adhesion complex (By similarity). Acts as a negative regulator of centrosome cohesion (PubMed : 18086858). Involved in the CDK2/PTPN6/CTNNB1/CEACAM1 pathway of insulin internalization (PubMed : 21262353). Blocks anoikis of malignant kidney and intestinal epithelial cells and promotes their anchorage-independent growth by down-regulating DAPK2 (PubMed : 18957423). Disrupts PML function and PML-NB formation by inhibiting RANBP2-mediated sumoylation of PML (PubMed : 22155184). Promotes neurogenesis by maintaining sympathetic neuroblasts within the cell cycle (By similarity). Involved in chondrocyte differentiation via interaction with SOX9 : SOX9-binding competes with the binding sites of TCF/LEF within CTNNB1, thereby inhibiting the Wnt signaling (By similarity). Acts as a positive regulator of odontoblast differentiation during mesenchymal tooth germ formation, via promoting the transcription of differentiation factors such as LEF1, BMP2 and BMP4 (By similarity). Activity is repressed in a MSX1-mediated manner at the bell stage of mesenchymal tooth germ formation which prevents premature differentiation of odontoblasts (By similarity).
See full target information CTNNB1

Product promise

We are committed to supporting your work with high-quality reagents, and we're here for you every step of the way. In the unlikely event that one of our products does not perform as expected, you're protected by our Product Promise.
For full details, please see our Terms & Conditions

Please note: All products are 'FOR RESEARCH USE ONLY. NOT FOR USE IN DIAGNOSTIC OR THERAPEUTIC PROCEDURES'.

For licensing inquiries, please contact partnerships@abcam.com