JavaScript is disabled in your browser. Please enable JavaScript to view this website.
AB278503

Anti-beta Catenin non-phospho S37/T41 antibody [EPR23969-131] - BSA and Azide free

  • BOND RX™ Validated
  • RabMAb
  • Recombinant
  • KO Validated
  • What is this?

Be the first to review this product! Submit a review

|

(0 Publication)

Rabbit Recombinant Monoclonal beta Catenin antibody. Carrier free. Suitable for IHC-P, ICC/IF, IP, Dot, WB and reacts with Rat, Mouse, Human, Synthetic peptide - Human samples.

View Alternative Names

CTNNB, OK/SW-cl.35, PRO2286, CTNNB1, Catenin beta-1, Beta-catenin

13 Images
Immunohistochemistry (Formalin/PFA-fixed paraffin-embedded sections) - Anti-beta Catenin non-phospho S37/T41 antibody [EPR23969-131] - BSA and Azide free (AB278503)
  • IHC-P

Lab

Immunohistochemistry (Formalin/PFA-fixed paraffin-embedded sections) - Anti-beta Catenin non-phospho S37/T41 antibody [EPR23969-131] - BSA and Azide free (AB278503)

This data was developed using ab246504, the same antibody clone in a different buffer formulation.

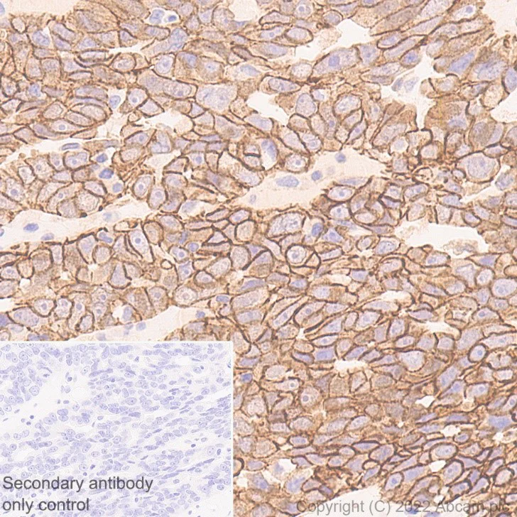
Immunohistochemical analysis of paraffin-embedded human ovarian cancer tissue labelling beta Catenin non-phospho S37/T42 with ab246504 at 1/2000 dilution (0.2705 μg/ml) followed by a ready to use Leica DS9800 (Bond™ Polymer Refine Detection). Positive staining on human ovarian cancer. The section was incubated with ab246504 for 30 mins at room temperature.The immunostaining was performed on a Leica Biosystems BOND® RX instrument. Counterstained with Hematoxylin.

Secondary antibody only control : Secondary antibody is a ready to use Leica DS9800 (Bond™ Polymer Refine Detection).

Heat mediated antigen retrieval with Tris-EDTA buffer (pH 9.0, epitope retrieval solution 2) for 20 mins.

Immunohistochemistry (Formalin/PFA-fixed paraffin-embedded sections) - Anti-beta Catenin non-phospho S37/T41 antibody [EPR23969-131] - BSA and Azide free (AB278503)
  • IHC-P

Lab

Immunohistochemistry (Formalin/PFA-fixed paraffin-embedded sections) - Anti-beta Catenin non-phospho S37/T41 antibody [EPR23969-131] - BSA and Azide free (AB278503)

This data was developed using ab246504, the same antibody clone in a different buffer formulation.

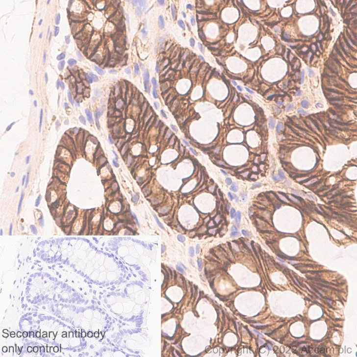
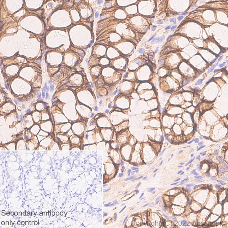
Immunohistochemical analysis of paraffin-embedded human colon tissue labelling beta Catenin non-phospho S37/T41 with ab246504 at 1/2000 dilution (0.2705 μg/ml) followed by a ready to use Leica DS9800 (Bond™ Polymer Refine Detection). Positive staining on human colon. The section was incubated with ab246504 for 30 mins at room temperature. The immunostaining was performed on a Leica Biosystems BOND® RX instrument. Counterstained with Hematoxylin.

Secondary antibody only control : Secondary antibody is a ready to use Leica DS9800 (Bond™ Polymer Refine Detection).

Heat mediated antigen retrieval with Tris-EDTA buffer (pH 9.0, epitope retrieval solution 2) for 20 mins.

Immunohistochemistry (Formalin/PFA-fixed paraffin-embedded sections) - Anti-beta Catenin non-phospho S37/T41 antibody [EPR23969-131] - BSA and Azide free (AB278503)
  • IHC-P

Lab

Immunohistochemistry (Formalin/PFA-fixed paraffin-embedded sections) - Anti-beta Catenin non-phospho S37/T41 antibody [EPR23969-131] - BSA and Azide free (AB278503)

This data was developed using ab246504, the same antibody clone in a different buffer formulation.

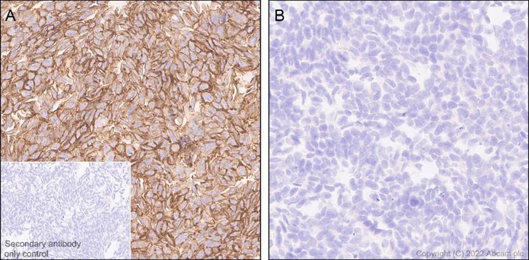
Immunohistochemical analysis of paraffin-embedded (A) Wild-type HAP1 (human chronic myelogenous leukemia near-haploid cell) cell pellet and (B) CTNNB1 KO HAP1 cell pellet labelling beta Catenin non-phospho S37/T45 with ab246504 at 1/2000 dilution (0.2705 μg/ml) followed by a ready to use Leica DS9800 (Bond® Polymer Refine Detection). Positive staining on (A) Wild-type HAP1 (human chronic myelogenous leukemia near-haploid cell) cell pellet. No staining on (B) CTNNB1 KO HAP1 cell pellet. The section was incubated with ab246504 for 30 mins at room temperature. The immunostaining was performed on a Leica Biosystems BOND® RX instrument. Counterstained with Hematoxylin.

Secondary antibody only control : Secondary antibody is a ready to use Leica DS9800 (Bond™ Polymer Refine Detection).

Heat mediated antigen retrieval with Tris-EDTA buffer (pH 9.0, epitope retrieval solution 2) for 20 mins.

Immunocytochemistry/ Immunofluorescence - Anti-beta Catenin non-phospho S37/T41 antibody [EPR23969-131] - BSA and Azide free (AB278503)
  • ICC/IF

Lab

Immunocytochemistry/ Immunofluorescence - Anti-beta Catenin non-phospho S37/T41 antibody [EPR23969-131] - BSA and Azide free (AB278503)

This data was developed using ab246504 , the same antibody clone in a different buffer formulation.

Immunofluorescent analysis of 4% Paraformaldehyde-fixed, 0.1% TritonX-100 permeabilized CTNNB1 KO HAP1 (CTNNB1 knockout human chronic myelogenous leukemia near-haploid cell line) cells labelling beta Catenin non-phospho S37/T44 with ab246504 at 1/100 (5.4 μg/ml) dilution, followed by ab150077 antibody at 1/1000 (2 μg/ml) dilution (Green). Confocal image showing membranous staining in parental HAP1 cell line, and staining in the CTNNB1 KO HAP1 cell line. Image was taken with a confocal microscope (Leica-Microsystems, TCS SP8). ab195889 was used to counterstain tubulin at 1/200 (2.5 μg/ml) dilution (Red). The Nuclear counterstain was DAPI (Blue).

Secondary antibody only control : Secondary antibody is ab150077 at 1/1000 (2 μg/ml) dilution.

Immunoprecipitation - Anti-beta Catenin non-phospho S37/T41 antibody [EPR23969-131] - BSA and Azide free (AB278503)
  • IP

Supplier Data

Immunoprecipitation - Anti-beta Catenin non-phospho S37/T41 antibody [EPR23969-131] - BSA and Azide free (AB278503)

This data was developed using ab246504, the same antibody clone in a different buffer formulation.

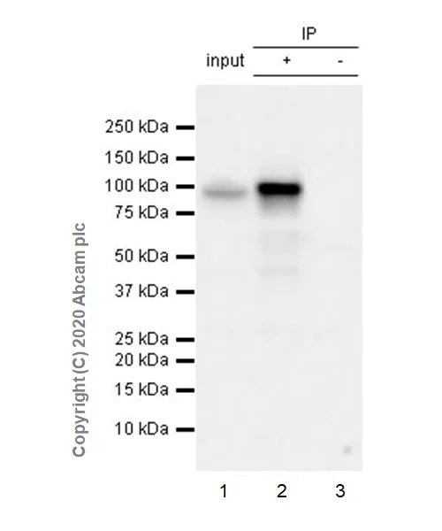
beta Catenin (non-phospho S37/T41) was immunoprecipitated from 0.35 mg HeLa (human cervix adenocarcinoma epithelial cell) whole cell lysate 10 ug with ab246504 at 1/30 dilution (2ug in 0.35mg lysates). Western blot was performed on the immunoprecipitate using ab246504 at 1/1000 dilution. VeriBlot for IP Detection Reagent (HRP)(ab131366) was used at 1/5000 dilution.

Lane 1 : HeLa (human cervix adenocarcinoma epithelial cell) whole cell lysate 10 ug

Lane 2 : ab246504 IP in HeLa whole cell lysate

Lane 3 : Rabbit monoclonal IgG (ab172730) instead of ab246504 in HeLa whole cell lysate

Blocking and dilution buffer and concentration : 5% NFDM/TBST.

Exposure time : 3 seconds

All lanes:

Immunoprecipitation - Anti-beta Catenin non-phospho S37/T41 antibody [EPR23969-131] (<a href='/en-us/products/primary-antibodies/beta-catenin-non-phospho-s37-t41-antibody-epr23969-131-ab246504'>ab246504</a>)

Predicted band size: 85 kDa

Observed band size: 95 kDa

false

Exposure time: 3s

Immunocytochemistry/ Immunofluorescence - Anti-beta Catenin non-phospho S37/T41 antibody [EPR23969-131] - BSA and Azide free (AB278503)
  • ICC/IF

Lab

Immunocytochemistry/ Immunofluorescence - Anti-beta Catenin non-phospho S37/T41 antibody [EPR23969-131] - BSA and Azide free (AB278503)

This data was developed using ab246504, the same antibody clone in a different buffer formulation.

Immunofluorescent analysis of 4% Paraformaldehyde-fixed, 0.1% TritonX-101 permeabilized NIH/3T3 (mouse embryonic fibroblast) cells labelling beta Catenin non-phospho S37/T45 with ab246504 at 1/100 (5.4 μg/ml) dilution, followed by ab150077 antibody at 1/1000 (2 μg/ml) dilution (Green). Confocal image showing membranous and cytoplasmic staining in NIH/3T3 cell line. Image was taken with a confocal microscope (Leica-Microsystems, TCS SP8). ab195889 was used to counterstain tubulin at 1/200 (2.5 μg/ml) dilution (Red). The Nuclear counterstain was DAPI (Blue).

Secondary antibody only control : Secondary antibody is ab150078 at 1/1000 (2 μg/ml) dilution.

Immunohistochemistry (Formalin/PFA-fixed paraffin-embedded sections) - Anti-beta Catenin non-phospho S37/T41 antibody [EPR23969-131] - BSA and Azide free (AB278503)
  • IHC-P

Lab

Immunohistochemistry (Formalin/PFA-fixed paraffin-embedded sections) - Anti-beta Catenin non-phospho S37/T41 antibody [EPR23969-131] - BSA and Azide free (AB278503)

This data was developed using ab246504, the same antibody clone in a different buffer formulation.

Immunohistochemical analysis of paraffin-embedded rat colon tissue labelling beta Catenin non-phospho S37/T44 with ab246504 at 1/2000 dilution (0.2705 μg/ml) followed by a ready to use Leica DS9800 (Bond™ Polymer Refine Detection). Positive staining on rat colon. The section was incubated with ab246504 for 30 mins at room temperature. The immunostaining was performed on a Leica Biosystems BOND® RX instrument. Counterstained with Hematoxylin.

Secondary antibody only control : Secondary antibody is a ready to use Leica DS9800 (Bond™ Polymer Refine Detection).

Heat mediated antigen retrieval with Tris-EDTA buffer (pH 9.0, epitope retrieval solution 2) for 20 mins.

Immunohistochemistry (Formalin/PFA-fixed paraffin-embedded sections) - Anti-beta Catenin non-phospho S37/T41 antibody [EPR23969-131] - BSA and Azide free (AB278503)
  • IHC-P

Lab

Immunohistochemistry (Formalin/PFA-fixed paraffin-embedded sections) - Anti-beta Catenin non-phospho S37/T41 antibody [EPR23969-131] - BSA and Azide free (AB278503)

This data was developed using ab246504, the same antibody clone in a different buffer formulation.

Immunohistochemical analysis of paraffin-embedded mouse colon tissue labelling beta Catenin non-phospho S37/T43 with ab246504 at 1/2000 dilution (0.2705 μg/ml) followed by a ready to use Leica DS9800 (Bond™ Polymer Refine Detection). Positive staining on mouse colon. The section was incubated with ab246504 for 30 mins at room temperature. The immunostaining was performed on a Leica Biosystems BOND® RX instrument. Counterstained with Hematoxylin.

Secondary antibody only control : Secondary antibody is a ready to use Leica DS9800 (Bond™ Polymer Refine Detection).

Heat mediated antigen retrieval with Tris-EDTA buffer (pH 9.0, epitope retrieval solution 2) for 20 mins.

Western blot - Anti-beta Catenin non-phospho S37/T41 antibody [EPR23969-131] - BSA and Azide free (AB278503)
  • WB

Lab

Western blot - Anti-beta Catenin non-phospho S37/T41 antibody [EPR23969-131] - BSA and Azide free (AB278503)

False colour image of Western blot : Anti-beta Catenin non-phospho S37/T41 antibody [EPR23969-131] staining at 1/1000 dilution, shown in green; Mouse anti-GAPDH antibody [6C5] (ab8245) loading control staining at 1/20000 dilution, shown in red. In Western blot, ab246504 was shown to bind specifically to beta Catenin non-phospho(active) S37/T41. A band was observed at 90 kDa in wild-type HepG2 cell lysates with no signal observed at this size in CTNNB1 knockout cell line. To generate this image, wild-type and CTNNB1 knockout HepG2 cell lysates were analysed. First, samples were run on an SDS-PAGE gel then transferred onto a nitrocellulose membrane. Membranes were blocked in 5 % milk in TBS-0.1 % Tween® 20 (TBS-T) before incubation with primary antibodies overnight at 4 °C. Blots were washed four times in TBS-T, incubated with secondary antibodies for 1 h at room temperature, washed again four times then imaged. Secondary antibodies used were Goat anti-Rabbit IgG H&L (IRDye® 800CW) preabsorbed (ab216773) and Goat anti-Mouse IgG H&L (IRDye® 680RD) preabsorbed (ab216776) at 1/20000 dilution.

All lanes:

Western blot - Anti-beta Catenin non-phospho S37/T41 antibody [EPR23969-131] (<a href='/en-us/products/primary-antibodies/beta-catenin-non-phospho-s37-t41-antibody-epr23969-131-ab246504'>ab246504</a>) at 1/1000 dilution

Lane 1:

Wild-type HepG2 cell lysate at 20 µg

Lane 2:

CTNNB1 knockout HepG2 cell lysate at 20 µg

Lane 2:

Western blot - Human CTNNB1 (beta Catenin) knockout Hep G2 cell line (<a href='/en-us/products/cell-lines/human-ctnnb1-beta-catenin-knockout-hep-g2-cell-line-ab277911'>ab277911</a>)

Lane 3:

HeLa cell lysate at 20 µg

Lane 4:

A431 cell lysate at 20 µg

Predicted band size: 85 kDa

Observed band size: 90 kDa

false

Western blot - Anti-beta Catenin non-phospho S37/T41 antibody [EPR23969-131] - BSA and Azide free (AB278503)
  • WB

Lab

Western blot - Anti-beta Catenin non-phospho S37/T41 antibody [EPR23969-131] - BSA and Azide free (AB278503)

This data was developed using ab246504, the same antibody clone in a different buffer formulation.

Blocking and diluting buffer and concentration : 5% NFDM/TBST

Exposure time 92 seconds

An extra band around 45 kDa was observed.

All lanes:

Western blot - Anti-beta Catenin non-phospho S37/T41 antibody [EPR23969-131] (<a href='/en-us/products/primary-antibodies/beta-catenin-non-phospho-s37-t41-antibody-epr23969-131-ab246504'>ab246504</a>) at 1/1000 dilution

Lane 1:

HeLa (human cervix adenocarcinoma epithelial cell) whole cell lysate at 20 µg

Lane 2:

HCT 116 (human colorectal carcinoma epithelial cell) whole cell lysate at 20 µg

Lane 3:

LLC1 (mouse lung carcinoma ) whole cell lysate at 20 µg

Lane 4:

C6 (rat glial tumor glial cell) whole cell lysate at 20 µg

Secondary

All lanes:

Western blot - Goat Anti-Rabbit IgG H&L (HRP) (<a href='/en-us/products/secondary-antibodies/goat-rabbit-igg-h-l-hrp-ab97051'>ab97051</a>) at 1/100000 dilution

Predicted band size: 85 kDa

Observed band size: 95 kDa

false

Western blot - Anti-beta Catenin non-phospho S37/T41 antibody [EPR23969-131] - BSA and Azide free (AB278503)
  • WB

Lab

Western blot - Anti-beta Catenin non-phospho S37/T41 antibody [EPR23969-131] - BSA and Azide free (AB278503)

This data was developed using ab246504, the same antibody clone in a different buffer formulation.

Blocking and diluting buffer and concentration : Intercept® (TBS) Blocking Buffer diluted with an equal volume of 0.1% TBST

The molecular weight observed is consistent with what has been described in the literature (PMID : 16288032).

Lanes 1-4 : Merged signal (red and green). Green - ab246504 observed at 92 kDa. Red - loading control ab8245 (Mouse monoclonal [6C5] to GAPDH) observed at 36 kDa.

Lanes 1-2 : ab246504 Anti-beta Catenin (non-phospho S37/T41) antibody [EPR23969-131] was shown to specifically react with beta Catenin in wild-type HeLa cells. Loss of signal was observed when knockout cell line ab255352 (knockout cell lysate ab263756) was used.

Lanes 3-4 : ab246504 Anti-beta Catenin (non-phospho S37/T41) antibody [EPR23969-131] was shown to specifically react with beta Catenin in wild-type HAP1 cells. Loss of signal was observed when knockout sample was used.

Wild-type and beta Catenin knockout samples were subjected to SDS-PAGE. ab246504 and Anti-GAPDH antibody [6C5] - Loading Control (ab8245) were incubated overnight at 4°C at 1 in 1000 dilution and 1 in 20000 dilution respectively. Blots were developed with Goat anti-Rabbit IgG H&L (IRDye® 800CW) preadsorbed (ab216773) and Goat anti-Mouse IgG H&L (IRDye® 680RD) preadsorbed (ab216776) secondary antibodies at 1 in 10000 dilution for 1 hour at room temperature before imaging.

An extra band around 45 kDa was observed.

All lanes:

Western blot - Anti-beta Catenin non-phospho S37/T41 antibody [EPR23969-131] - BSA and Azide free (ab278503) at 1/1000 dilution

Lane 1:

Wild-type HeLa (human cervix adenocarcinoma epithelial cell) whole cell lysate at 20 µg

Lane 2:

CTNNB1 (beta Catenin) knockout HeLa (human cervix adenocarcinoma epithelial cell) whole cell lysate at 20 µg

Lane 3:

Wild-type HAP1 (human chronic myelogenous leukemia near-haploid cell) whole cell lysate at 20 µg

Lane 4:

CTNNB1 (beta Catenin) knockout HAP1 (human chronic myelogenous leukemia near-haploid cell) whole cell lysate at 20 µg

Secondary

All lanes:

Goat Anti-Rabbit IgG H&L (IRDye® 800CW) (<a href='/en-us/products/secondary-antibodies/goat-rabbit-igg-h-l-irdye-800cw-preadsorbed-ab216773'>ab216773</a>) and Goat Anti-Mouse IgG H&L (IRDye® 680RD) (<a href='/en-us/products/secondary-antibodies/goat-mouse-igg-h-l-irdye-680rd-preadsorbed-ab216776'>ab216776</a>) at 1/10000 dilution

Predicted band size: 85 kDa

Observed band size: 95 kDa

false

Western blot - Anti-beta Catenin non-phospho S37/T41 antibody [EPR23969-131] - BSA and Azide free (AB278503)
  • WB

Lab

Western blot - Anti-beta Catenin non-phospho S37/T41 antibody [EPR23969-131] - BSA and Azide free (AB278503)

This data was developed using ab246504, the same antibody clone in a different buffer formulation.

Blocking and diluting buffer and concentration : 5% NFDM/TBST

An extra band around 45 kDa was observed.

Exposure time : 3 minutes

All lanes:

Western blot - Anti-beta Catenin non-phospho S37/T41 antibody [EPR23969-131] (<a href='/en-us/products/primary-antibodies/beta-catenin-non-phospho-s37-t41-antibody-epr23969-131-ab246504'>ab246504</a>) at 1/1000 dilution

Lane 1:

NIH/3T3 (mouse embryonic fibroblast) whole cell lysate at 20 µg

Lane 2:

PC-12 (rat adrenal gland pheochromocytoma ) whole cell lysate at 20 µg

Secondary

All lanes:

Western blot - Goat Anti-Rabbit IgG H&L (HRP) (<a href='/en-us/products/secondary-antibodies/goat-rabbit-igg-h-l-hrp-ab97051'>ab97051</a>) at 1/100000 dilution

Predicted band size: 85 kDa

Observed band size: 95 kDa

false

Exposure time: 3min

Dot Blot - Anti-beta Catenin non-phospho S37/T41 antibody [EPR23969-131] - BSA and Azide free (AB278503)
  • Dot

Supplier Data

Dot Blot - Anti-beta Catenin non-phospho S37/T41 antibody [EPR23969-131] - BSA and Azide free (AB278503)

This data was developed using ab246504, the same antibody clone in a different buffer formulation.

Dot blot analysis of beta Catenin (non-phospho S37/T41) using ab246504 at 1 : 1000 (0.541 ug/ml) followed by a Goat Anti-Rabbit IgG, (H+L), Peroxidase conjugated (ab97051) at 1 : 100,000 dilution.

Lane 1 : beta Catenin non-phospho-Ser33/Ser37/Thr41 peptide (aa 29-44)
Lane 2 : beta Catenin non-phospho-Ser33/Ser37/Thr41 peptide (aa 31-47)
Lane 3 : beta Catenin phospho-Ser33 non-phospho-Ser37/Thr41 peptide (aa 29-44)
Lane 4 : beta Catenin phospho-Ser37 non-phospho-Ser33/Thr41peptide (aa 29-44)
Lane 5 : beta Catenin phospho-Thr41 non-phospho-Ser33/Ser37 peptide (aa 29-47)
Lane 6 : beta Catenin phospho-Ser33/Ser37 non-phospho-Thr41 peptide (aa 29-47)
Lane 7 : beta Catenin phospho-Ser33/Thr41 non-phospho-Ser37 peptide (aa 29-47)
Lane 8 : beta Catenin phospho-Ser37/Thr41non-phospho-Ser33 peptide (aa 29-47)
Lane 9 : beta Catenin phospho-Ser33/Ser37/Thr41peptide (aa 29-47)

Exposure time : 81 seconds

Blocking and diluting buffer and concentration : 5% NFDM/TBST

  • Unconjugated

    Anti-beta Catenin non-phospho S37/T41 antibody [EPR23969-131]

  • 565 Alexa Fluor® 555

    Alexa Fluor® 555 Anti-beta Catenin non-phospho S37/T41 antibody [EPR23969-131]

  • 617 Alexa Fluor® 594

    Alexa Fluor® 594 Anti-beta Catenin non-phospho S37/T41 antibody [EPR23969-131]

  • 519 Alexa Fluor® 488

    Alexa Fluor® 488 Anti-beta Catenin non-phospho S37/T41 antibody [EPR23969-131]

  • 660 APC

    APC Anti-beta Catenin non-phospho S37/T41 antibody [EPR23969-131]

  • 665 Alexa Fluor® 647

    Alexa Fluor® 647 Anti-beta Catenin non-phospho S37/T41 antibody [EPR23969-131]

  • 578 PE

    PE Anti-beta Catenin non-phospho S37/T41 antibody [EPR23969-131]

  • 775 Alexa Fluor® 750

    Alexa Fluor® 750 Anti-beta Catenin non-phospho(active) S37/T41 antibody [EPR23969-131]

Key facts

Host species

Rabbit

Clonality

Monoclonal

Clone number

EPR23969-131

Isotype

IgG

Carrier free

Yes

Reacts with

Mouse, Rat, Human

Applications

WB, IP, IHC-P, Dot, ICC/IF

applications

Immunogen

The exact immunogen used to generate this antibody is proprietary information.

Reactivity data

{ "title": "Reactivity Data", "filters": { "stats": ["", "Species", "Dilution Info", "Notes"], "tabs": { "all-applications": {"fullname" : "All Applications", "shortname": "All Applications"}, "IHCP" : {"fullname" : "Immunohistochemistry (Formalin/PFA-fixed paraffin-embedded sections)", "shortname":"IHC-P"}, "ICCIF" : {"fullname" : "Immunocytochemistry/ Immunofluorescence", "shortname":"ICC/IF"}, "IP" : {"fullname" : "Immunoprecipitation", "shortname":"IP"}, "ChIP" : {"fullname" : "ChIP", "shortname":"ChIP"}, "Dot" : {"fullname" : "Dot Blot", "shortname":"Dot"}, "WB" : {"fullname" : "Western blot", "shortname":"WB"}, "IHCFr" : {"fullname" : "Immunohistochemistry (Frozen sections)", "shortname":"IHC-Fr"}, "FlowCytIntra" : {"fullname" : "Flow Cytometry (Intracellular)", "shortname":"Flow Cyt (Intra)"} }, "product-promise": { "all": "all", "testedAndGuaranteed": "tested", "guaranteed": "expected", "predicted": "predicted", "notRecommended": "not-recommended" } }, "values": { "Human": { "IHCP-species-checked": "testedAndGuaranteed", "IHCP-species-dilution-info": "", "IHCP-species-notes": "<p></p>", "ICCIF-species-checked": "testedAndGuaranteed", "ICCIF-species-dilution-info": "", "ICCIF-species-notes": "<p></p>", "IP-species-checked": "testedAndGuaranteed", "IP-species-dilution-info": "", "IP-species-notes": "<p></p>", "ChIP-species-checked": "notRecommended", "ChIP-species-dilution-info": "", "ChIP-species-notes": "<p></p>", "Dot-species-checked": "guaranteed", "Dot-species-dilution-info": "", "Dot-species-notes": "", "WB-species-checked": "guaranteed", "WB-species-dilution-info": "", "WB-species-notes": "", "IHCFr-species-checked": "notRecommended", "IHCFr-species-dilution-info": "", "IHCFr-species-notes": "<p></p>", "FlowCytIntra-species-checked": "notRecommended", "FlowCytIntra-species-dilution-info": "", "FlowCytIntra-species-notes": "<p></p>" }, "Mouse": { "IHCP-species-checked": "testedAndGuaranteed", "IHCP-species-dilution-info": "", "IHCP-species-notes": "<p></p>", "ICCIF-species-checked": "testedAndGuaranteed", "ICCIF-species-dilution-info": "", "ICCIF-species-notes": "<p></p>", "IP-species-checked": "guaranteed", "IP-species-dilution-info": "", "IP-species-notes": "", "ChIP-species-checked": "notRecommended", "ChIP-species-dilution-info": "", "ChIP-species-notes": "<p></p>", "Dot-species-checked": "guaranteed", "Dot-species-dilution-info": "", "Dot-species-notes": "", "WB-species-checked": "testedAndGuaranteed", "WB-species-dilution-info": "", "WB-species-notes": "<p></p>", "IHCFr-species-checked": "notRecommended", "IHCFr-species-dilution-info": "", "IHCFr-species-notes": "<p></p>", "FlowCytIntra-species-checked": "notRecommended", "FlowCytIntra-species-dilution-info": "", "FlowCytIntra-species-notes": "<p></p>" }, "Rat": { "IHCP-species-checked": "testedAndGuaranteed", "IHCP-species-dilution-info": "", "IHCP-species-notes": "<p></p>", "ICCIF-species-checked": "notRecommended", "ICCIF-species-dilution-info": "", "ICCIF-species-notes": "<p></p>", "IP-species-checked": "guaranteed", "IP-species-dilution-info": "", "IP-species-notes": "", "ChIP-species-checked": "notRecommended", "ChIP-species-dilution-info": "", "ChIP-species-notes": "<p></p>", "Dot-species-checked": "guaranteed", "Dot-species-dilution-info": "", "Dot-species-notes": "", "WB-species-checked": "testedAndGuaranteed", "WB-species-dilution-info": "", "WB-species-notes": "<p></p>", "IHCFr-species-checked": "notRecommended", "IHCFr-species-dilution-info": "", "IHCFr-species-notes": "<p></p>", "FlowCytIntra-species-checked": "notRecommended", "FlowCytIntra-species-dilution-info": "", "FlowCytIntra-species-notes": "" }, "Synthetic peptide - Human": { "IHCP-species-checked": "notRecommended", "IHCP-species-dilution-info": "", "IHCP-species-notes": "", "ICCIF-species-checked": "notRecommended", "ICCIF-species-dilution-info": "", "ICCIF-species-notes": "", "IP-species-checked": "notRecommended", "IP-species-dilution-info": "", "IP-species-notes": "", "ChIP-species-checked": "notRecommended", "ChIP-species-dilution-info": "", "ChIP-species-notes": "", "Dot-species-checked": "testedAndGuaranteed", "Dot-species-dilution-info": "", "Dot-species-notes": "<p></p>", "WB-species-checked": "notRecommended", "WB-species-dilution-info": "", "WB-species-notes": "", "IHCFr-species-checked": "notRecommended", "IHCFr-species-dilution-info": "", "IHCFr-species-notes": "", "FlowCytIntra-species-checked": "notRecommended", "FlowCytIntra-species-dilution-info": "", "FlowCytIntra-species-notes": "" } } }

Product details

ab278503 is the carrier-free version of ab246504.

Patented technology
Our RabMAb® technology is a patented hybridoma-based technology for making rabbit monoclonal antibodies. For details on our patents, please refer to RabMAb® patents.

What are the advantages of a recombinant monoclonal antibody?
This product is a recombinant monoclonal antibody, which offers several advantages including:

  • - High batch-to-batch consistency and reproducibility
  • - Improved sensitivity and specificity
  • - Long-term security of supply
  • - Animal-free batch production

For more information, read more on recombinant antibodies.

Conjugation ready
Our carrier-free antibodies are typically supplied in a PBS-only formulation, purified and free of BSA, sodium azide and glycerol. This conjugation-ready format is designed for use with fluorochromes, metal isotopes, oligonucleotides, and enzymes, which makes them ideal for antibody labelling, functional and cell-based assays, flow-based assays (e.g. mass cytometry) and Multiplex Imaging applications.

Use our conjugation kits for antibody conjugates that are ready-to-use in as little as 20 minutes with 1 minute hands-on-time and 100% antibody recovery: available for fluorescent dyes, HRP, biotin and gold.

Compatibility
This product is compatible with the Maxpar® Antibody Labeling Kit from Fluidigm, without the need for antibody preparation. Maxpar® is a trademark of Fluidigm Canada Inc.

Properties and storage information

Form
Liquid
Purification technique
Affinity purification Protein A
Storage buffer
Constituents: PBS
Shipped at conditions
Blue Ice
Appropriate short-term storage conditions
+4°C
Appropriate long-term storage conditions
+4°C

Supplementary information

This supplementary information is collated from multiple sources and compiled automatically.

Beta-catenin non-phospho S37/T41 also known as unphosphorylated beta-catenin is an important form of the beta-catenin protein. The mass of beta-catenin is approximately 88 kDa. This protein plays an active role in cell signaling and adhesion mechanics. It is expressed throughout various tissues particularly abundant in epithelial cells. The non-phospho form of beta-catenin in particular escapes degradation allowing it to accumulate and translocate into the nucleus where it influences gene transcription.
Biological function summary

Beta-catenin non-phospho S37/T41 affects cellular behavior by modulating gene expression. It acts as a core component of the Wnt signaling pathway particularly in the regulation of gene transcription. In this pathway beta-catenin associates with transcription factors such as TCF/LEF to regulate target gene expression involved in processes like cell proliferation and differentiation. Unphosphorylated beta-catenin binds with protein complexes that regulate adhesion to ensure proper communication between cells.

Pathways

Beta-catenin non-phospho S37/T41 plays a pivotal role in the Wnt pathway a critical regulator of cell fate decisions. Within this context beta-catenin's stabilization and nuclear activity are vital for the pathway's transcriptional output. It works closely with proteins like APC (adenomatous polyposis coli) and Axin which act as regulators of its phosphorylation. Additionally beta-catenin interacts with E-cadherin at the cell membrane within the adherens junctions contributing to cell-cell adhesion processes.

Beta-catenin non-phospho S37/T41 has significant implications in oncology and degenerative diseases. Its dysregulation is often observed in cancers where the aberrant accumulation leads to unchecked cell proliferation. Mutations or alterations in the related protein APC can lead to colorectal cancer as it fails to regulate beta-catenin effectively. Further alterations in the Wnt/beta-catenin pathway have also been linked to degenerative conditions indicating the broad impact of this target in pathological states.

Product protocols

For this product, it's our understanding that no specific protocols are required. You can visit:

Target data

Key downstream component of the canonical Wnt signaling pathway (PubMed : 17524503, PubMed : 18077326, PubMed : 18086858, PubMed : 18957423, PubMed : 21262353, PubMed : 22155184, PubMed : 22647378, PubMed : 22699938). In the absence of Wnt, forms a complex with AXIN1, AXIN2, APC, CSNK1A1 and GSK3B that promotes phosphorylation on N-terminal Ser and Thr residues and ubiquitination of CTNNB1 via BTRC and its subsequent degradation by the proteasome (PubMed : 17524503, PubMed : 18077326, PubMed : 18086858, PubMed : 18957423, PubMed : 21262353, PubMed : 22155184, PubMed : 22647378, PubMed : 22699938). In the presence of Wnt ligand, CTNNB1 is not ubiquitinated and accumulates in the nucleus, where it acts as a coactivator for transcription factors of the TCF/LEF family, leading to activate Wnt responsive genes (PubMed : 17524503, PubMed : 18077326, PubMed : 18086858, PubMed : 18957423, PubMed : 21262353, PubMed : 22155184, PubMed : 22647378, PubMed : 22699938). Involved in the regulation of cell adhesion, as component of an E-cadherin : catenin adhesion complex (By similarity). Acts as a negative regulator of centrosome cohesion (PubMed : 18086858). Involved in the CDK2/PTPN6/CTNNB1/CEACAM1 pathway of insulin internalization (PubMed : 21262353). Blocks anoikis of malignant kidney and intestinal epithelial cells and promotes their anchorage-independent growth by down-regulating DAPK2 (PubMed : 18957423). Disrupts PML function and PML-NB formation by inhibiting RANBP2-mediated sumoylation of PML (PubMed : 22155184). Promotes neurogenesis by maintaining sympathetic neuroblasts within the cell cycle (By similarity). Involved in chondrocyte differentiation via interaction with SOX9 : SOX9-binding competes with the binding sites of TCF/LEF within CTNNB1, thereby inhibiting the Wnt signaling (By similarity). Acts as a positive regulator of odontoblast differentiation during mesenchymal tooth germ formation, via promoting the transcription of differentiation factors such as LEF1, BMP2 and BMP4 (By similarity). Activity is repressed in a MSX1-mediated manner at the bell stage of mesenchymal tooth germ formation which prevents premature differentiation of odontoblasts (By similarity).
See full target information CTNNB1

Product promise

We are committed to supporting your work with high-quality reagents, and we're here for you every step of the way. In the unlikely event that one of our products does not perform as expected, you're protected by our Product Promise.
For full details, please see our Terms & Conditions

Please note: All products are 'FOR RESEARCH USE ONLY. NOT FOR USE IN DIAGNOSTIC OR THERAPEUTIC PROCEDURES'.

For licensing inquiries, please contact partnerships@abcam.com