JavaScript is disabled in your browser. Please enable JavaScript to view this website.
AB53050

Anti-beta Catenin (phospho S33) antibody

5

(2 Reviews)

|

(9 Publications)

Rabbit Polyclonal beta Catenin phospho S33 antibody. Suitable for IHC-P and reacts with Human samples. Cited in 9 publications. Immunogen corresponding to Synthetic Peptide within Human CTNNB1 phospho S33.

View Alternative Names

CTNNB, OK/SW-cl.35, PRO2286, CTNNB1, Catenin beta-1, Beta-catenin

1 Images
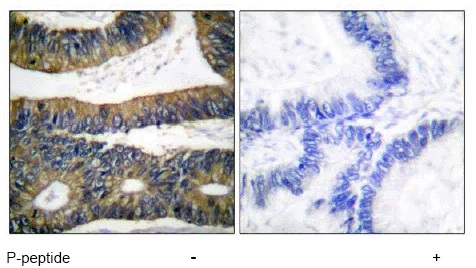
Immunohistochemistry (Formalin/PFA-fixed paraffin-embedded sections) - Anti-beta Catenin (phospho S33) antibody (AB53050)
  • IHC-P

Unknown

Immunohistochemistry (Formalin/PFA-fixed paraffin-embedded sections) - Anti-beta Catenin (phospho S33) antibody (AB53050)

ab53050 at 1/50 dilution staining beta Catenin in human colon carcinoma by Immunohistochemistry, Paraffin embedded tissue (in the absence or presence of the immunising peptide).

Key facts

Host species

Rabbit

Clonality

Polyclonal

Isotype

IgG

Carrier free

No

Reacts with

Human

Applications

IHC-P

applications

Immunogen

Synthetic Peptide within Human CTNNB1 phospho S33. The exact immunogen used to generate this antibody is proprietary information.

P35222

Reactivity data

{ "title": "Reactivity Data", "filters": { "stats": ["", "Species", "Dilution Info", "Notes"], "tabs": { "all-applications": {"fullname" : "All Applications", "shortname": "All Applications"}, "IHCP" : {"fullname" : "Immunohistochemistry (Formalin/PFA-fixed paraffin-embedded sections)", "shortname":"IHC-P"} }, "product-promise": { "all": "all", "testedAndGuaranteed": "tested", "guaranteed": "expected", "predicted": "predicted", "notRecommended": "not-recommended" } }, "values": { "Human": { "IHCP-species-checked": "testedAndGuaranteed", "IHCP-species-dilution-info": "", "IHCP-species-notes": "<p></p>" } } }

Properties and storage information

Form
Liquid
Purification technique
Affinity purification Immunogen
Purification notes
ab53050 was affinity-purified from rabbit antiserum by affinity-chromatography using epitope-specific phosphopeptide. The antibody against non-phosphopeptide was removed by chromatography using non-phosphopeptide corresponding to the phosphorylation site.
Storage buffer
pH: 7.4 Preservative: 0.02% Sodium azide Constituents: PBS, 50% Glycerol (glycerin, glycerine), 0.87% Sodium chloride
Shipped at conditions
Blue Ice
Appropriate short-term storage conditions
+4°C
Appropriate long-term storage conditions
-20°C
Storage information
Stable for 12 months at -20°C

Supplementary information

This supplementary information is collated from multiple sources and compiled automatically.

Beta Catenin also known by names such as CTNNB1 or beta-chip is an important protein involved in cell signaling and adhesion. This protein has a molecular weight of around 88 kDa. Beta Catenin is expressed in many cell types and tissues indicating its widespread role in various biological processes. It functions mechanically by mediating the linkage between cadherins and the actin cytoskeleton facilitating cell-cell adhesion. Beta Catenin is also a central part of transcription regulation processes in the nucleus.
Biological function summary

This protein plays roles in both cell adhesion and the regulation of gene expression. Beta Catenin is a critical component of the Wnt signaling pathway where it can form complexes with other proteins to influence gene transcription. In the absence of Wnt signaling beta Catenin levels are low due to its degradation. However when the pathway is active it accumulates in the cytoplasm and eventually translocates to the nucleus where it interacts with TCF/LEF transcription factors to regulate the expression of target genes.

Pathways

Beta Catenin plays a central role in the Wnt signaling pathway and influences cell fate decisions and cellular proliferation. It acts in concert with proteins such as Dishevelled (DVL) and Axin to coordinate these important biological processes. In the absence of Wnt signaling proteins such as APC and GSK-3β are responsible for beta Catenin degradation keeping its cellular levels in check. Beta Catenin’s interaction with transcription factors in the nucleus makes it pivotal in the regulation of cell and tissue homeostasis.

Beta Catenin has associations with colorectal cancer and hepatocellular carcinoma. Its dysregulation can lead to unchecked cell proliferation and tumorigenesis. Often mutations in the beta Catenin gene (CTNNB1) or components of the Wnt pathway like APC are implicated in the development of these cancers. Its interplay with E-cadherin is important for maintaining tissue architecture and disruptions can lead to invasive cancer phenotypes. Understanding beta Catenin’s role provides insights into therapeutic strategies for these cancers.

Product protocols

For this product, it's our understanding that no specific protocols are required. You can visit:

Target data

Key downstream component of the canonical Wnt signaling pathway (PubMed : 17524503, PubMed : 18077326, PubMed : 18086858, PubMed : 18957423, PubMed : 21262353, PubMed : 22155184, PubMed : 22647378, PubMed : 22699938). In the absence of Wnt, forms a complex with AXIN1, AXIN2, APC, CSNK1A1 and GSK3B that promotes phosphorylation on N-terminal Ser and Thr residues and ubiquitination of CTNNB1 via BTRC and its subsequent degradation by the proteasome (PubMed : 17524503, PubMed : 18077326, PubMed : 18086858, PubMed : 18957423, PubMed : 21262353, PubMed : 22155184, PubMed : 22647378, PubMed : 22699938). In the presence of Wnt ligand, CTNNB1 is not ubiquitinated and accumulates in the nucleus, where it acts as a coactivator for transcription factors of the TCF/LEF family, leading to activate Wnt responsive genes (PubMed : 17524503, PubMed : 18077326, PubMed : 18086858, PubMed : 18957423, PubMed : 21262353, PubMed : 22155184, PubMed : 22647378, PubMed : 22699938). Involved in the regulation of cell adhesion, as component of an E-cadherin : catenin adhesion complex (By similarity). Acts as a negative regulator of centrosome cohesion (PubMed : 18086858). Involved in the CDK2/PTPN6/CTNNB1/CEACAM1 pathway of insulin internalization (PubMed : 21262353). Blocks anoikis of malignant kidney and intestinal epithelial cells and promotes their anchorage-independent growth by down-regulating DAPK2 (PubMed : 18957423). Disrupts PML function and PML-NB formation by inhibiting RANBP2-mediated sumoylation of PML (PubMed : 22155184). Promotes neurogenesis by maintaining sympathetic neuroblasts within the cell cycle (By similarity). Involved in chondrocyte differentiation via interaction with SOX9 : SOX9-binding competes with the binding sites of TCF/LEF within CTNNB1, thereby inhibiting the Wnt signaling (By similarity). Acts as a positive regulator of odontoblast differentiation during mesenchymal tooth germ formation, via promoting the transcription of differentiation factors such as LEF1, BMP2 and BMP4 (By similarity). Activity is repressed in a MSX1-mediated manner at the bell stage of mesenchymal tooth germ formation which prevents premature differentiation of odontoblasts (By similarity).
See full target information CTNNB1 phospho S33

Publications (9)

Recent publications for all applications. Explore the full list and refine your search

BMC cancer 24:1164 PubMed39300412

2024

Targeting cellular plasticity: esculetin-driven reversion of stem cell-like characteristics and EMT phenotype in transforming cells with sequential p53/p73 knockdowns.

Applications

Unspecified application

Species

Unspecified reactive species

Ankit Mathur,Chanchal Bareja,Milky Mittal,Anjali Singh,Daman Saluja

Pathology oncology research : POR 27:1609761 PubMed34257616

2021

MiR-543 Inhibits the Migration and Epithelial-To-Mesenchymal Transition of TGF-β-Treated Endometrial Stromal Cells via the MAPK and Wnt/β-Catenin Signaling Pathways.

Applications

Unspecified application

Species

Unspecified reactive species

Linlin Wang,Dan Liu,Jun Wei,Liwei Yuan,Shiyun Zhao,Yani Huang,Jingwen Ma,Zhijuan Yang

Experimental and molecular pathology 111:104303 PubMed31465766

2019

NR4A1 silencing protects against renal ischemia-reperfusion injury through activation of the β-catenin signaling pathway in old mice.

Applications

Unspecified application

Species

Unspecified reactive species

Wenjian Shi,Jing Dong,Yumei Liang,Kanghan Liu,Youming Peng

Cell stress & chaperones 24:807-816 PubMed31127452

2019

Hippo/Mst1 overexpression induces mitochondrial death in head and neck squamous cell carcinoma via activating β-catenin/Drp1 pathway.

Applications

Unspecified application

Species

Unspecified reactive species

Chao Ma,Longkun Fan,Jingxian Wang,Lixia Hao,Jinqiu He

Biomedicine & pharmacotherapy = Biomedecine & phar 114:108825 PubMed30981110

2019

Anti-tumor effect of LATS2 on liver cancer death: Role of DRP1-mediated mitochondrial division and the Wnt/β-catenin pathway.

Applications

Unspecified application

Species

Unspecified reactive species

Lijuan Zhang,Shuping Li,Rong Wang,Changyuan Chen,Wen Ma,Hongyi Cai

Cell stress & chaperones 23:1079-1092 PubMed29862442

2018

Sirt3 inhibits cerebral ischemia-reperfusion injury through normalizing Wnt/β-catenin pathway and blocking mitochondrial fission.

Applications

Unspecified application

Species

Unspecified reactive species

Hao Zhao,Yongchun Luo,Lihua Chen,Zhenhai Zhang,Chunsen Shen,Yunjun Li,Ruxiang Xu

Nature 514:380-4 PubMed25119044

2014

CRISPR-mediated direct mutation of cancer genes in the mouse liver.

Applications

Unspecified application

Species

Mouse

Wen Xue,Sidi Chen,Hao Yin,Tuomas Tammela,Thales Papagiannakopoulos,Nikhil S Joshi,Wenxin Cai,Gillian Yang,Roderick Bronson,Denise G Crowley,Feng Zhang,Daniel G Anderson,Phillip A Sharp,Tyler Jacks

Genes & development 27:514-24 PubMed23475960

2013

c-Jun is required for the specification of joint cell fates.

Applications

Unspecified application

Species

Mouse

Akinori Kan,Clifford J Tabin

Breast cancer research and treatment 132:641-52 PubMed22080244

2011

Cadherin-catenin complex dissociation in lobular neoplasia of the breast.

Applications

IHC-P

Species

Human

Mary Morrogh,Victor P Andrade,Dilip Giri,Rita A Sakr,Wooyul Paik,Li Xuan Qin,Crispinita D Arroyo,Edi Brogi,Monica Morrow,Tari A King
View all publications

Product promise

We are committed to supporting your work with high-quality reagents, and we're here for you every step of the way. In the unlikely event that one of our products does not perform as expected, you're protected by our Product Promise.
For full details, please see our Terms & Conditions

Please note: All products are 'FOR RESEARCH USE ONLY. NOT FOR USE IN DIAGNOSTIC OR THERAPEUTIC PROCEDURES'.

For licensing inquiries, please contact partnerships@abcam.com