JavaScript is disabled in your browser. Please enable JavaScript to view this website.
AB314451

Anti-beta Catenin (phospho S675) antibody [EPR28410-45] - BSA and Azide free

Be the first to review this product! Submit a review

|

(0 Publication)

Rabbit Recombinant Monoclonal beta Catenin phospho S675 antibody. Carrier free. Suitable for IHC-P, IP, WB, Dot, IHC-Fr and reacts with Human, Mouse, Rat, Synthetic peptide - Human samples.

View Alternative Names

CTNNB, OK/SW-cl.35, PRO2286, CTNNB1, Catenin beta-1, Beta-catenin

13 Images
Immunohistochemistry (Formalin/PFA-fixed paraffin-embedded sections) - Anti-beta Catenin (phospho S675) antibody [EPR28410-45] - BSA and Azide free (AB314451)
  • IHC-P

Supplier Data

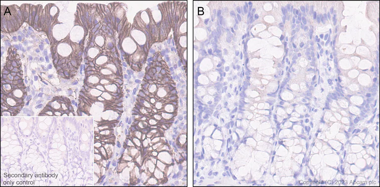
Immunohistochemistry (Formalin/PFA-fixed paraffin-embedded sections) - Anti-beta Catenin (phospho S675) antibody [EPR28410-45] - BSA and Azide free (AB314451)

This data was developed using ab314450, the same antibody clone in a different buffer formulation.

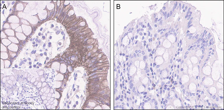
Immunohistochemical analysis of paraffin-embedded Human colon tissue labeling beta Catenin (phospho S675) with ab314450 at 1/1000 (0.497 ug/ml) dilution, followed by a ready to use Rabbit specific IHC polymer detection kit HRP/DAB (ab209101).

Membranous staining on (A) human colon without alkaline phosphatase treatment; no staining on (B) human colon with alkaline phosphatase treatment. The section was incubated with ab314450 for 30 mins at room temperature. The immunostaining was performed on a Leica Biosystems BOND® RX instrument. Counterstained with Hematoxylin.

Secondary antibody only control : Secondary antibody is a ready to use Rabbit specific IHC polymer detection kit HRP/DAB (ab209101).

Heat mediated antigen retrieval was performed with Tris-EDTA buffer (pH 9.0, Epitope Retrieval Solution2) for 20 mins.

Immunohistochemistry (Formalin/PFA-fixed paraffin-embedded sections) - Anti-beta Catenin (phospho S675) antibody [EPR28410-45] - BSA and Azide free (AB314451)
  • IHC-P

Supplier Data

Immunohistochemistry (Formalin/PFA-fixed paraffin-embedded sections) - Anti-beta Catenin (phospho S675) antibody [EPR28410-45] - BSA and Azide free (AB314451)

This data was developed using ab314450, the same antibody clone in a different buffer formulation.

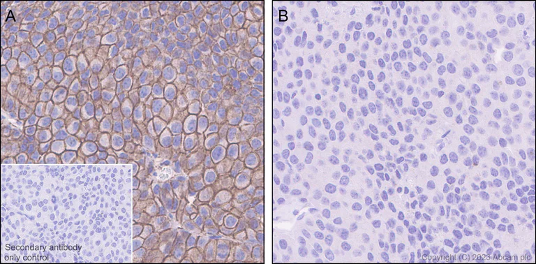
Immunohistochemical analysis of paraffin-embedded Human breast carcinoma tissue labeling beta Catenin (phospho S675) with ab314450 at 1/1000 (0.497 ug/ml) dilution, followed by a ready to use Rabbit specific IHC polymer detection kit HRP/DAB (ab209101).

Membranous staining on (A) human breast carcinoma without alkaline phosphatase treatment; no staining on (B) human breast carcinoma with alkaline phosphatase treatment. The section was incubated with ab314450 for 30 mins at room temperature. The immunostaining was performed on a Leica Biosystems BOND® RX instrument. Counterstained with Hematoxylin.

Secondary antibody only control : Secondary antibody is a ready to use Rabbit specific IHC polymer detection kit HRP/DAB (ab209101).

Heat mediated antigen retrieval was performed with Tris-EDTA buffer (pH 9.0, Epitope Retrieval Solution2) for 20 mins.

Immunoprecipitation - Anti-beta Catenin (phospho S675) antibody [EPR28410-45] - BSA and Azide free (AB314451)
  • IP

Supplier Data

Immunoprecipitation - Anti-beta Catenin (phospho S675) antibody [EPR28410-45] - BSA and Azide free (AB314451)

This data was developed using ab314450, the same antibody clone in a different buffer formulation.

beta Catenin (phospho S675) was immunoprecipitated from 0.35 mg SK-N-MC (human brain epithelial cell) treated with 100 uM forskolin for 30 minutes whole cell lysate with ab314450 at 1/30 dilution (2ug in 0.35mg lysates). Western blot was performed on the immunoprecipitate using ab314450 at 1/1000 dilution. VeriBlot for IP secondary antibody(HRP)(ab131366) was used at 1/5000 dilution.

Blocking and diluting buffer and concentration : 5% NFDM/TBST.

All lanes:

Immunoprecipitation - Anti-beta Catenin (phospho S675) antibody [EPR28410-45] (<a href='/en-us/products/primary-antibodies/beta-catenin-phospho-s675-antibody-epr28410-45-ab314450'>ab314450</a>) at 1/1000 dilution

Lane 1:

SK-N-MC (human brain epithelial cell) treated with 100 μM forskolin for 30 minutes whole cell lysate

Lane 2:

<a href='/en-us/products/primary-antibodies/beta-catenin-phospho-s675-antibody-epr28410-45-ab314450'>ab314450</a> at 1/30 IP in SK-N-MC (human brain epithelial cell) treated with 100 uM forskolin for 30 minutes whole cell lysate

Lane 3:

Rabbit monoclonal IgG (<a href='/en-us/products/primary-antibodies/rabbit-igg-monoclonal-epr25a-isotype-control-ab172730'>ab172730</a>) instead of <a href='/en-us/products/primary-antibodies/beta-catenin-phospho-s675-antibody-epr28410-45-ab314450'>ab314450</a> in SK-N-MC treated with 100 uM forskolin for 30 minutes whole cell lysate

Secondary

All lanes:

Immunoprecipitation - VeriBlot for IP Detection Reagent (HRP) (<a href='/en-us/products/reagents/veriblot-for-ip-detection-reagent-hrp-ab131366'>ab131366</a>) at 1/5000 dilution

false

Exposure time: 15s

Immunohistochemistry (Frozen sections) - Anti-beta Catenin (phospho S675) antibody [EPR28410-45] - BSA and Azide free (AB314451)
  • IHC-Fr

Supplier Data

Immunohistochemistry (Frozen sections) - Anti-beta Catenin (phospho S675) antibody [EPR28410-45] - BSA and Azide free (AB314451)

This data was developed using ab314450, the same antibody clone in a different buffer formulation.

Immunohistochemical analysis of 4% PFA-fixed, 0.2% Triton X-100 permeabilized frozen Mouse colon (fresh frozen) tissue labeling beta Catenin (phospho S675) with ab314450 at 1/500 (0.994 ug/ml) dilution followed by ab150081 Goat Anti-Rabbit IgG H&L (Alexa Fluor® 488) preadsorbed at 1/1000 2 ug/mL dilution (Green).

Confocal image showing positive staining on mouse colon, while nearly no staining on mouse colon after phosphatase treatment. The nuclear counterstain was DAPI (Blue). The section was incubated with ab314450 for 60 mins at room temperature. The section was then mounted using Fluoromount®. The immunostaining was performed on a Leica Biosystems BOND® RX instrument. Image was taken with a confocal microscope (Leica-Microsystems, TCS SP8). The nuclear counterstain was DAPI (Blue).

Secondary antibody control : Secondary antibody is ab150081 Goat Anti-Rabbit IgG H&L (Alexa Fluor® 488) preadsorbed at 1/1000 2 ug/mL dilution.

Immunohistochemistry (Formalin/PFA-fixed paraffin-embedded sections) - Anti-beta Catenin (phospho S675) antibody [EPR28410-45] - BSA and Azide free (AB314451)
  • IHC-P

Supplier Data

Immunohistochemistry (Formalin/PFA-fixed paraffin-embedded sections) - Anti-beta Catenin (phospho S675) antibody [EPR28410-45] - BSA and Azide free (AB314451)

This data was developed using ab314450, the same antibody clone in a different buffer formulation.

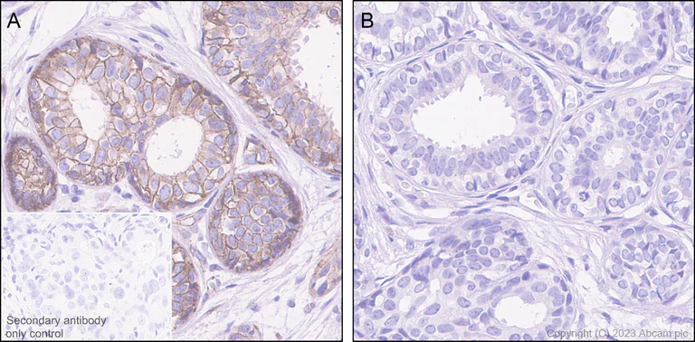
Immunohistochemical analysis of paraffin-embedded Mouse breast cancer tissue labeling beta Catenin (phospho S675) with ab314450 at 1/2000 (0.249 ug/ml) dilution, followed by a ready to use Rabbit specific IHC polymer detection kit HRP/DAB (ab209101).

Membranous staining on (A) mouse breast cancer without alkaline phosphatase treatment; no staining on (B) mouse breast cancer with alkaline phosphatase treatment. The section was incubated with ab314450 for 30 mins at room temperature. The immunostaining was performed on a Leica Biosystems BOND® RX instrument. Counterstained with Hematoxylin.

Secondary antibody only control : Secondary antibody is a ready to use Rabbit specific IHC polymer detection kit HRP/DAB (ab209101).

Heat mediated antigen retrieval was performed with Tris-EDTA buffer (pH 9.0, Epitope Retrieval Solution2) for 20 mins.

Immunohistochemistry (Formalin/PFA-fixed paraffin-embedded sections) - Anti-beta Catenin (phospho S675) antibody [EPR28410-45] - BSA and Azide free (AB314451)
  • IHC-P

Supplier Data

Immunohistochemistry (Formalin/PFA-fixed paraffin-embedded sections) - Anti-beta Catenin (phospho S675) antibody [EPR28410-45] - BSA and Azide free (AB314451)

This data was developed using ab314450, the same antibody clone in a different buffer formulation.

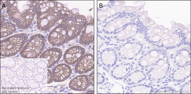
Immunohistochemical analysis of paraffin-embedded Mouse colon tissue labeling beta Catenin (phospho S675) with ab314450 at 1/2000 (0.249 ug/ml) dilution, followed by a ready to use Rabbit specific IHC polymer detection kit HRP/DAB (ab209101).

Membranous staining on (A) mouse colon without alkaline phosphatase treatment; no staining on (B) mouse colon with alkaline phosphatase treatment. The section was incubated with ab314450 for 30 mins at room temperature. The immunostaining was performed on a Leica Biosystems BOND® RX instrument. Counterstained with Hematoxylin.

Secondary antibody only control : Secondary antibody is a ready to use Rabbit specific IHC polymer detection kit HRP/DAB (ab209101).

Heat mediated antigen retrieval was performed with Tris-EDTA buffer (pH 9.0, Epitope Retrieval Solution2) for 20 mins.

Immunohistochemistry (Formalin/PFA-fixed paraffin-embedded sections) - Anti-beta Catenin (phospho S675) antibody [EPR28410-45] - BSA and Azide free (AB314451)
  • IHC-P

Supplier Data

Immunohistochemistry (Formalin/PFA-fixed paraffin-embedded sections) - Anti-beta Catenin (phospho S675) antibody [EPR28410-45] - BSA and Azide free (AB314451)

This data was developed using ab314450, the same antibody clone in a different buffer formulation.

Immunohistochemical analysis of paraffin-embedded Rat colon tissue labeling beta Catenin (phospho S675) with ab314450 at 1/2000 (0.249 ug/ml) dilution, followed by a ready to use Rabbit specific IHC polymer detection kit HRP/DAB (ab209101).

Membranous staining on (A) rat colon without alkaline phosphatase treatment; no staining on (B) rat colon with alkaline phosphatase treatment. The section was incubated with ab314450 for 30 mins at room temperature. The immunostaining was performed on a Leica Biosystems BOND® RX instrument. Counterstained with Hematoxylin.

Secondary antibody only control : Secondary antibody is a ready to use Rabbit specific IHC polymer detection kit HRP/DAB (ab209101).

Heat mediated antigen retrieval was performed with Tris-EDTA buffer (pH 9.0, Epitope Retrieval Solution2) for 20 mins.

Immunoprecipitation - Anti-beta Catenin (phospho S675) antibody [EPR28410-45] - BSA and Azide free (AB314451)
  • IP

Supplier Data

Immunoprecipitation - Anti-beta Catenin (phospho S675) antibody [EPR28410-45] - BSA and Azide free (AB314451)

This data was developed using ab314450, the same antibody clone in a different buffer formulation.

beta Catenin (phospho S675) was immunoprecipitated from 0.35 mg Mouse brain tissue lysate with ab314450 at 1/30 dilution (2ug in 0.35mg lysates). Western blot was performed on the immunoprecipitate using ab314450 at 1/1000 dilution. VeriBlot for IP secondary antibody(HRP)(ab131366) was used at 1/5000 dilution.

Blocking and diluting buffer and concentration : 5% NFDM/TBST.

All lanes:

Immunoprecipitation - Anti-beta Catenin (phospho S675) antibody [EPR28410-45] (<a href='/en-us/products/primary-antibodies/beta-catenin-phospho-s675-antibody-epr28410-45-ab314450'>ab314450</a>) at 1/1000 dilution

Lane 1:

Mouse brain tissue lysate

Lane 2:

<a href='/en-us/products/primary-antibodies/beta-catenin-phospho-s675-antibody-epr28410-45-ab314450'>ab314450</a> at 1/30 IP in Mouse brain tissue lysate

Lane 3:

Rabbit monoclonal IgG (<a href='/en-us/products/primary-antibodies/rabbit-igg-monoclonal-epr25a-isotype-control-ab172730'>ab172730</a>) instead of <a href='/en-us/products/primary-antibodies/beta-catenin-phospho-s675-antibody-epr28410-45-ab314450'>ab314450</a> in mouse brain tissue lysate

Secondary

All lanes:

Immunoprecipitation - VeriBlot for IP Detection Reagent (HRP) (<a href='/en-us/products/reagents/veriblot-for-ip-detection-reagent-hrp-ab131366'>ab131366</a>) at 1/5000 dilution

false

Exposure time: 32s

Western blot - Anti-beta Catenin (phospho S675) antibody [EPR28410-45] - BSA and Azide free (AB314451)
  • WB

Supplier Data

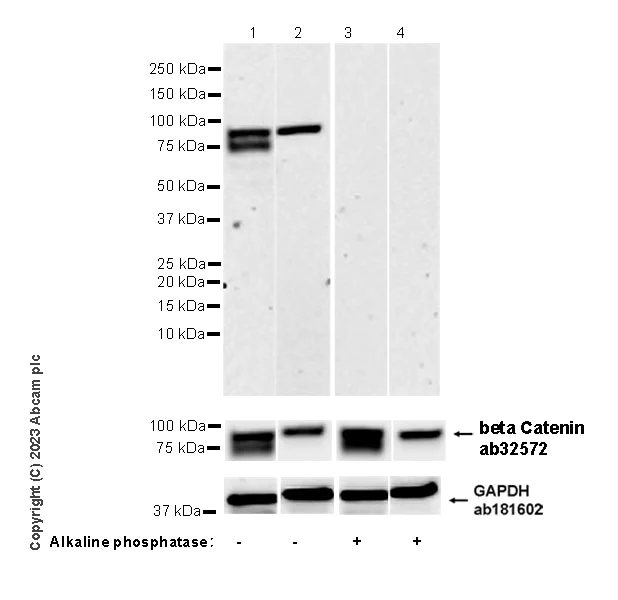
Western blot - Anti-beta Catenin (phospho S675) antibody [EPR28410-45] - BSA and Azide free (AB314451)

This data was developed using ab314450, the same antibody clone in a different buffer formulation.

The expression profile/ molecular weight observed is consistent with what has been described in the literature (PMID : 30806153).

In Western blot, Anti-GAPDH antibody [EPR16891] - Loading Control (ab181602) staining at 1/200000 dilution.

In Western blot, Anti-beta Catenin antibody - Total protein control (ab32572) staining at 1/1000 dilution.

Blocking and diluting buffer and concentration : 5% NFDM/TBST.

All lanes:

Western blot - Anti-beta Catenin (phospho S675) antibody [EPR28410-45] (<a href='/en-us/products/primary-antibodies/beta-catenin-phospho-s675-antibody-epr28410-45-ab314450'>ab314450</a>) at 1/1000 dilution

Lane 1:

Untreated SK-N-MC (human brain epithelial cell) whole cell lysate (untreated membrane) at 40 µg

Lane 2:

SK-N-MC treated with 100 uM forskolin for 30 minutes whole cell lysate (untreated membrane) at 40 µg

Lane 3:

Untreated SK-N-MC (human brain epithelial cell) whole cell lysate (Alkaline phosphatase treated membrane) at 40 µg

Lane 4:

SK-N-MC treated with 100 uM forskolin for 30 minutes whole cell lysate (Alkaline phosphatase treated membrane) at 40 µg

Secondary

All lanes:

Western blot - Goat Anti-Rabbit IgG H&L (HRP) (<a href='/en-us/products/secondary-antibodies/goat-rabbit-igg-h-l-hrp-ab97051'>ab97051</a>) at 1/20000 dilution

Observed band size: 85 kDa,90 kDa,36 kDa

false

Exposure time: 180s

Dot Blot - Anti-beta Catenin (phospho S675) antibody [EPR28410-45] - BSA and Azide free (AB314451)
  • Dot

Supplier Data

Dot Blot - Anti-beta Catenin (phospho S675) antibody [EPR28410-45] - BSA and Azide free (AB314451)

This data was developed using ab314450, the same antibody clone in a different buffer formulation.

Dot blot analysis of beta Catenin (phospho S675) using ab314450 at 1 : 1000 (0.497 ug/ml) followed by a Goat Anti-Rabbit IgG, (H+L), Peroxidase conjugated (ab97051) at 1 : 1000 (0.497 ug/ml) dilution.

Exposure time : 180 Seconds.

Blocking and diluting buffer and concentration : 5% NFDM/TBST.

This antibody does not cross-react with gamma Catenin (phospho S665).

Western blot - Anti-beta Catenin (phospho S675) antibody [EPR28410-45] - BSA and Azide free (AB314451)
  • WB

Supplier Data

Western blot - Anti-beta Catenin (phospho S675) antibody [EPR28410-45] - BSA and Azide free (AB314451)

This data was developed using ab314450, the same antibody clone in a different buffer formulation.

In Western blot, Anti-GAPDH antibody [EPR16891] - Loading Control (ab181602) staining at 1/200000 dilution.

In Western blot, Anti-beta Catenin antibody - Total protein control (ab32572) staining at 1/1000 dilution.

Blocking and diluting buffer and concentration : 5% NFDM/TBST.

All lanes:

Western blot - Anti-beta Catenin (phospho S675) antibody [EPR28410-45] (<a href='/en-us/products/primary-antibodies/beta-catenin-phospho-s675-antibody-epr28410-45-ab314450'>ab314450</a>) at 1/1000 dilution

Lane 1:

Mouse colon tissue lysate (untreated membrane) at 20 µg

Lane 2:

Rat liver tissue lysate (untreated membrane) at 20 µg

Lane 3:

Mouse colon tissue lysate (Alkaline phosphatase treated membrane) at 20 µg

Lane 4:

Rat liver tissue lysate (Alkaline phosphatase treated membrane) at 20 µg

Secondary

All lanes:

Western blot - Goat Anti-Rabbit IgG H&L (HRP) (<a href='/en-us/products/secondary-antibodies/goat-rabbit-igg-h-l-hrp-ab97051'>ab97051</a>) at 1/100000 dilution

Observed band size: 85 kDa,90 kDa,36 kDa

false

Exposure time: 180s

Western blot - Anti-beta Catenin (phospho S675) antibody [EPR28410-45] - BSA and Azide free (AB314451)
  • WB

Supplier Data

Western blot - Anti-beta Catenin (phospho S675) antibody [EPR28410-45] - BSA and Azide free (AB314451)

This data was developed using ab314450, the same antibody clone in a different buffer formulation.

Lysates were freshly made and used for Western blotting immediately to minimize protein degradation.

The identity of the lower MW band at approximately 37 kDa in Lane 2 is unknown.

In Western blot, Anti-GAPDH antibody [EPR16891] - Loading Control (ab181602) staining at 1/200000 dilution.

Blocking and diluting buffer and concentration : 5% NFDM/TBST.

All lanes:

Western blot - Anti-beta Catenin (phospho S675) antibody [EPR28410-45] (<a href='/en-us/products/primary-antibodies/beta-catenin-phospho-s675-antibody-epr28410-45-ab314450'>ab314450</a>) at 1/1000 dilution

Lane 1:

Mouse brain tissue lysate at 20 µg

Lane 2:

Mouse liver tissue lysate at 20 µg

Lane 3:

Mouse testis tissue lysate at 20 µg

Secondary

All lanes:

Western blot - Goat Anti-Rabbit IgG H&L (HRP) (<a href='/en-us/products/secondary-antibodies/goat-rabbit-igg-h-l-hrp-ab97051'>ab97051</a>) at 1/100000 dilution

Observed band size: 90 kDa,36 kDa

false

Exposure time: 180s

Dot Blot - Anti-beta Catenin (phospho S675) antibody [EPR28410-45] - BSA and Azide free (AB314451)
  • Dot

Supplier Data

Dot Blot - Anti-beta Catenin (phospho S675) antibody [EPR28410-45] - BSA and Azide free (AB314451)

This data was developed using ab314450, the same antibody clone in a different buffer formulation.

Dot blot analysis of beta Catenin (phospho S675) using ab314450 at 1 : 1000 (0.497 ug/ml) followed by a Goat Anti-Rabbit IgG, (H+L), Peroxidase conjugated (ab97051) at 1 : 1000 (0.497 ug/ml) dilution.

Exposure time : 180 Seconds.

Blocking and diluting buffer and concentration : 5% NFDM/TBST.

Key facts

Host species

Rabbit

Clonality

Monoclonal

Clone number

EPR28410-45

Isotype

IgG

Carrier free

Yes

Reacts with

Human, Mouse, Rat

Applications

IP, WB, IHC-Fr, IHC-P, Dot

applications

Immunogen

The exact immunogen used to generate this antibody is proprietary information.

Reactivity data

{ "title": "Reactivity Data", "filters": { "stats": ["", "Species", "Dilution Info", "Notes"], "tabs": { "all-applications": {"fullname" : "All Applications", "shortname": "All Applications"}, "IHCP" : {"fullname" : "Immunohistochemistry (Formalin/PFA-fixed paraffin-embedded sections)", "shortname":"IHC-P"}, "IP" : {"fullname" : "Immunoprecipitation", "shortname":"IP"}, "WB" : {"fullname" : "Western blot", "shortname":"WB"}, "Dot" : {"fullname" : "Dot Blot", "shortname":"Dot"}, "IHCFr" : {"fullname" : "Immunohistochemistry (Frozen sections)", "shortname":"IHC-Fr"}, "FlowCytIntra" : {"fullname" : "Flow Cytometry (Intracellular)", "shortname":"Flow Cyt (Intra)"}, "ICCIF" : {"fullname" : "Immunocytochemistry/ Immunofluorescence", "shortname":"ICC/IF"} }, "product-promise": { "all": "all", "testedAndGuaranteed": "tested", "guaranteed": "expected", "predicted": "predicted", "notRecommended": "not-recommended" } }, "values": { "Human": { "IHCP-species-checked": "testedAndGuaranteed", "IHCP-species-dilution-info": "", "IHCP-species-notes": "<p></p>", "IP-species-checked": "testedAndGuaranteed", "IP-species-dilution-info": "", "IP-species-notes": "<p></p>", "WB-species-checked": "testedAndGuaranteed", "WB-species-dilution-info": "", "WB-species-notes": "<p></p>", "Dot-species-checked": "guaranteed", "Dot-species-dilution-info": "", "Dot-species-notes": "", "IHCFr-species-checked": "guaranteed", "IHCFr-species-dilution-info": "", "IHCFr-species-notes": "", "FlowCytIntra-species-checked": "notRecommended", "FlowCytIntra-species-dilution-info": "", "FlowCytIntra-species-notes": "<p></p>", "ICCIF-species-checked": "notRecommended", "ICCIF-species-dilution-info": "", "ICCIF-species-notes": "<p></p>" }, "Mouse": { "IHCP-species-checked": "testedAndGuaranteed", "IHCP-species-dilution-info": "", "IHCP-species-notes": "<p></p>", "IP-species-checked": "testedAndGuaranteed", "IP-species-dilution-info": "", "IP-species-notes": "<p></p>", "WB-species-checked": "testedAndGuaranteed", "WB-species-dilution-info": "", "WB-species-notes": "<p></p>", "Dot-species-checked": "guaranteed", "Dot-species-dilution-info": "", "Dot-species-notes": "", "IHCFr-species-checked": "testedAndGuaranteed", "IHCFr-species-dilution-info": "", "IHCFr-species-notes": "<p></p>", "FlowCytIntra-species-checked": "notRecommended", "FlowCytIntra-species-dilution-info": "", "FlowCytIntra-species-notes": "", "ICCIF-species-checked": "notRecommended", "ICCIF-species-dilution-info": "", "ICCIF-species-notes": "" }, "Rat": { "IHCP-species-checked": "testedAndGuaranteed", "IHCP-species-dilution-info": "", "IHCP-species-notes": "<p></p>", "IP-species-checked": "guaranteed", "IP-species-dilution-info": "", "IP-species-notes": "", "WB-species-checked": "testedAndGuaranteed", "WB-species-dilution-info": "", "WB-species-notes": "<p></p>", "Dot-species-checked": "guaranteed", "Dot-species-dilution-info": "", "Dot-species-notes": "", "IHCFr-species-checked": "guaranteed", "IHCFr-species-dilution-info": "", "IHCFr-species-notes": "", "FlowCytIntra-species-checked": "notRecommended", "FlowCytIntra-species-dilution-info": "", "FlowCytIntra-species-notes": "", "ICCIF-species-checked": "notRecommended", "ICCIF-species-dilution-info": "", "ICCIF-species-notes": "" }, "Synthetic peptide - Human": { "IHCP-species-checked": "notRecommended", "IHCP-species-dilution-info": "", "IHCP-species-notes": "", "IP-species-checked": "notRecommended", "IP-species-dilution-info": "", "IP-species-notes": "", "WB-species-checked": "notRecommended", "WB-species-dilution-info": "", "WB-species-notes": "", "Dot-species-checked": "testedAndGuaranteed", "Dot-species-dilution-info": "", "Dot-species-notes": "<p></p>", "IHCFr-species-checked": "notRecommended", "IHCFr-species-dilution-info": "", "IHCFr-species-notes": "", "FlowCytIntra-species-checked": "notRecommended", "FlowCytIntra-species-dilution-info": "", "FlowCytIntra-species-notes": "", "ICCIF-species-checked": "notRecommended", "ICCIF-species-dilution-info": "", "ICCIF-species-notes": "" } } }

Product details

ab314451 is the carrier-free version of ab314450.

Patented technology
Our RabMAb® technology is a patented hybridoma-based technology for making rabbit monoclonal antibodies. For details on our patents, please refer to RabMAb® patents.

What are the advantages of a recombinant monoclonal antibody?
This product is a recombinant monoclonal antibody, which offers several advantages including:

  • - High batch-to-batch consistency and reproducibility
  • - Improved sensitivity and specificity
  • - Long-term security of supply
  • - Animal-free batch production

For more information, read more on recombinant antibodies.

Conjugation ready
Our carrier-free antibodies are typically supplied in a PBS-only formulation, purified and free of BSA, sodium azide and glycerol. This conjugation-ready format is designed for use with fluorochromes, metal isotopes, oligonucleotides, and enzymes, which makes them ideal for antibody labelling, functional and cell-based assays, flow-based assays (e.g. mass cytometry) and Multiplex Imaging applications.

Use our conjugation kits for antibody conjugates that are ready-to-use in as little as 20 minutes with 1 minute hands-on-time and 100% antibody recovery: available for fluorescent dyes, HRP, biotin and gold.

Compatibility
This product is compatible with the Maxpar® Antibody Labeling Kit from Fluidigm, without the need for antibody preparation. Maxpar® is a trademark of Fluidigm Canada Inc.

Properties and storage information

Form
Liquid
Purification technique
Affinity purification Protein A
Storage buffer
pH: 7.2 - 7.4 Constituents: PBS
Shipped at conditions
Blue Ice
Appropriate short-term storage conditions
+4°C
Appropriate long-term storage conditions
+4°C

Supplementary information

This supplementary information is collated from multiple sources and compiled automatically.

Beta Catenin also known by names such as CTNNB1 or beta-chip is an important protein involved in cell signaling and adhesion. This protein has a molecular weight of around 88 kDa. Beta Catenin is expressed in many cell types and tissues indicating its widespread role in various biological processes. It functions mechanically by mediating the linkage between cadherins and the actin cytoskeleton facilitating cell-cell adhesion. Beta Catenin is also a central part of transcription regulation processes in the nucleus.
Biological function summary

This protein plays roles in both cell adhesion and the regulation of gene expression. Beta Catenin is a critical component of the Wnt signaling pathway where it can form complexes with other proteins to influence gene transcription. In the absence of Wnt signaling beta Catenin levels are low due to its degradation. However when the pathway is active it accumulates in the cytoplasm and eventually translocates to the nucleus where it interacts with TCF/LEF transcription factors to regulate the expression of target genes.

Pathways

Beta Catenin plays a central role in the Wnt signaling pathway and influences cell fate decisions and cellular proliferation. It acts in concert with proteins such as Dishevelled (DVL) and Axin to coordinate these important biological processes. In the absence of Wnt signaling proteins such as APC and GSK-3β are responsible for beta Catenin degradation keeping its cellular levels in check. Beta Catenin’s interaction with transcription factors in the nucleus makes it pivotal in the regulation of cell and tissue homeostasis.

Beta Catenin has associations with colorectal cancer and hepatocellular carcinoma. Its dysregulation can lead to unchecked cell proliferation and tumorigenesis. Often mutations in the beta Catenin gene (CTNNB1) or components of the Wnt pathway like APC are implicated in the development of these cancers. Its interplay with E-cadherin is important for maintaining tissue architecture and disruptions can lead to invasive cancer phenotypes. Understanding beta Catenin’s role provides insights into therapeutic strategies for these cancers.

Product protocols

For this product, it's our understanding that no specific protocols are required. You can visit:

Target data

Key downstream component of the canonical Wnt signaling pathway (PubMed : 17524503, PubMed : 18077326, PubMed : 18086858, PubMed : 18957423, PubMed : 21262353, PubMed : 22155184, PubMed : 22647378, PubMed : 22699938). In the absence of Wnt, forms a complex with AXIN1, AXIN2, APC, CSNK1A1 and GSK3B that promotes phosphorylation on N-terminal Ser and Thr residues and ubiquitination of CTNNB1 via BTRC and its subsequent degradation by the proteasome (PubMed : 17524503, PubMed : 18077326, PubMed : 18086858, PubMed : 18957423, PubMed : 21262353, PubMed : 22155184, PubMed : 22647378, PubMed : 22699938). In the presence of Wnt ligand, CTNNB1 is not ubiquitinated and accumulates in the nucleus, where it acts as a coactivator for transcription factors of the TCF/LEF family, leading to activate Wnt responsive genes (PubMed : 17524503, PubMed : 18077326, PubMed : 18086858, PubMed : 18957423, PubMed : 21262353, PubMed : 22155184, PubMed : 22647378, PubMed : 22699938). Involved in the regulation of cell adhesion, as component of an E-cadherin : catenin adhesion complex (By similarity). Acts as a negative regulator of centrosome cohesion (PubMed : 18086858). Involved in the CDK2/PTPN6/CTNNB1/CEACAM1 pathway of insulin internalization (PubMed : 21262353). Blocks anoikis of malignant kidney and intestinal epithelial cells and promotes their anchorage-independent growth by down-regulating DAPK2 (PubMed : 18957423). Disrupts PML function and PML-NB formation by inhibiting RANBP2-mediated sumoylation of PML (PubMed : 22155184). Promotes neurogenesis by maintaining sympathetic neuroblasts within the cell cycle (By similarity). Involved in chondrocyte differentiation via interaction with SOX9 : SOX9-binding competes with the binding sites of TCF/LEF within CTNNB1, thereby inhibiting the Wnt signaling (By similarity). Acts as a positive regulator of odontoblast differentiation during mesenchymal tooth germ formation, via promoting the transcription of differentiation factors such as LEF1, BMP2 and BMP4 (By similarity). Activity is repressed in a MSX1-mediated manner at the bell stage of mesenchymal tooth germ formation which prevents premature differentiation of odontoblasts (By similarity).
See full target information CTNNB1 phospho S675

Product promise

We are committed to supporting your work with high-quality reagents, and we're here for you every step of the way. In the unlikely event that one of our products does not perform as expected, you're protected by our Product Promise.
For full details, please see our Terms & Conditions

Please note: All products are 'FOR RESEARCH USE ONLY. NOT FOR USE IN DIAGNOSTIC OR THERAPEUTIC PROCEDURES'.

For licensing inquiries, please contact partnerships@abcam.com