JavaScript is disabled in your browser. Please enable JavaScript to view this website.
AB320730

Anti-beta COP antibody [EPR28895-55] - BSA and Azide free

Be the first to review this product! Submit a review

|

(0 Publication)

Rabbit Recombinant Monoclonal beta COP antibody. Carrier free. Suitable for ICC/IF, WB and reacts with Human, Mouse samples.

View Alternative Names

COPB, MSTP026, COPB1, Coatomer subunit beta, Beta-coat protein, Beta-COP

5 Images
Immunocytochemistry/ Immunofluorescence - Anti-beta COP antibody [EPR28895-55] - BSA and Azide free (AB320730)
  • ICC/IF

Supplier Data

Immunocytochemistry/ Immunofluorescence - Anti-beta COP antibody [EPR28895-55] - BSA and Azide free (AB320730)

This data was developed using ab320729, the same antibody clone in a different buffer formulation. Immunofluorescent analysis of 4% Paraformaldehyde-fixed, 0.1% TritonX-100 permeabilized HeLa (human cervical adenocarcinoma epithelial cell) cells labelling beta COP with ab320729 at 1/50 (10.3 ug/ml) dilution, followed by ab150081 Goat Anti-Rabbit IgG H&L (Alexa Fluor® 488) preadsorbed antibody at 1/1000 (2 ug/ml) dilution (Green). Confocal image showing cytoplasmic staining in Hela cell line (shown in green). The counterstain was observed in magenta. Nuclear DNA was labelled with DAPI (shown in blue). Image was taken with a confocal microscope (Leica-Microsystems, TCS SP8). ab195889 Anti-alpha Tubulin mouse monoclonal antibody - Microtubule Marker (Alexa Fluor® 594) was used to counterstain tubulin at 1/200 (2.5 ug/ml) dilution (Magenta). Secondary antibody only control : Secondary antibody is ab150081 Goat Anti-Rabbit IgG H&L (Alexa Fluor® 488) preadsorbed at 1/1000 (2 ug/ml) dilution.

Immunocytochemistry/ Immunofluorescence - Anti-beta COP antibody [EPR28895-55] - BSA and Azide free (AB320730)
  • ICC/IF

Supplier Data

Immunocytochemistry/ Immunofluorescence - Anti-beta COP antibody [EPR28895-55] - BSA and Azide free (AB320730)

This data was developed using ab320729, the same antibody clone in a different buffer formulation. Immunofluorescent analysis of 4% Paraformaldehyde-fixed, 0.1% TritonX-100 permeabilized NIH/3T3 (mouse embryonic fibroblast) cells labelling beta COP with ab320729 at 1/50 (10.3 ug/ml) dilution, followed by ab150081 Goat Anti-Rabbit IgG H&L (Alexa Fluor® 488) preadsorbed antibody at 1/1000 (2 ug/ml) dilution (Green). Confocal image showing cytoplasmic staining in NIH/3T3 cell line (shown in green). The counterstain was observed in magenta. Nuclear DNA was labelled with DAPI (shown in blue). Image was taken with a confocal microscope (Leica-Microsystems, TCS SP8). ab195889 Anti-alpha Tubulin mouse monoclonal antibody - Microtubule Marker (Alexa Fluor® 594) was used to counterstain tubulin at 1/200 (2.5 ug/ml) dilution (Magenta). Secondary antibody only control : Secondary antibody is ab150081 Goat Anti-Rabbit IgG H&L (Alexa Fluor® 488) preadsorbed at 1/1000 (2 ug/ml) dilution.

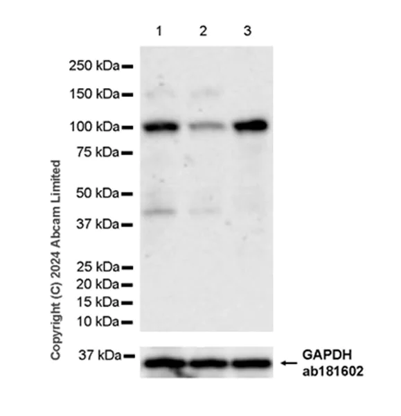
Western blot - Anti-beta COP antibody [EPR28895-55] - BSA and Azide free (AB320730)
  • WB

Supplier Data

Western blot - Anti-beta COP antibody [EPR28895-55] - BSA and Azide free (AB320730)

This data was developed using ab320729, the same antibody clone in a different buffer formulation. Blocking and diluting buffer and concentration : 5% NFDM/TBST. The identity of the bands higher than 130 kDa and lower than 50 kDa are unknown. In Western blot, Anti-GAPDH antibody [EPR16891] - Loading Control  (ab181602) staining at 1/200000 dilution.

All lanes:

Western blot - Anti-beta COP antibody [EPR28895-55] (<a href='/en-us/products/primary-antibodies/beta-cop-antibody-epr28895-55-ab320729'>ab320729</a>) at 1/1000 dilution

Lane 1:

HeLa (human cervical adenocarcinoma epithelial cell) transfected with scrambled siRNA control whole cell lysate at 20 µg

Lane 2:

HeLa transfected with siRNA specifically targeting beta COP whole cell lysate at 20 µg

Lane 3:

HCT 116 (human colorectal carcinoma epithelial cell) whole cell lysate at 20 µg

Secondary

All lanes:

Western blot - Goat Anti-Rabbit IgG H&L (HRP) (<a href='/en-us/products/secondary-antibodies/goat-rabbit-igg-h-l-hrp-ab97051'>ab97051</a>) at 1/20000 dilution

Observed band size: 107 kDa,36 kDa

false

Exposure time: 180s

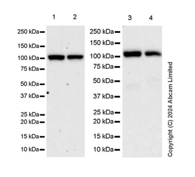
Western blot - Anti-beta COP antibody [EPR28895-55] - BSA and Azide free (AB320730)
  • WB

Supplier Data

Western blot - Anti-beta COP antibody [EPR28895-55] - BSA and Azide free (AB320730)

This data was developed using ab320729, the same antibody clone in a different buffer formulation. Blocking and diluting buffer and concentration : 5% NFDM/TBST.

All lanes:

Western blot - Anti-beta COP antibody [EPR28895-55] (<a href='/en-us/products/primary-antibodies/beta-cop-antibody-epr28895-55-ab320729'>ab320729</a>) at 1/1000 dilution

Lane 1:

293T (human embryonic kidney epithelial cell) whole cell lysate at 20 µg

Lane 2:

NIH/3T3 (mouse embryonic fibroblast) whole cell lysate at 20 µg

Lane 3:

MCF7 (human breast adenocarcinoma epithelial cell) whole cell lysate at 20 µg

Lane 4:

C2C12 (mouse myoblast) whole cell lysate at 20 µg

Secondary

All lanes:

Western blot - Goat Anti-Rabbit IgG H&L (HRP) (<a href='/en-us/products/secondary-antibodies/goat-rabbit-igg-h-l-hrp-ab97051'>ab97051</a>) at 1/20000 dilution

Observed band size: 107 kDa

false

Exposure time: 180s

Western blot - Anti-beta COP antibody [EPR28895-55] - BSA and Azide free (AB320730)
  • WB

Supplier Data

Western blot - Anti-beta COP antibody [EPR28895-55] - BSA and Azide free (AB320730)

This data was developed using ab320729, the same antibody clone in a different buffer formulation. Blocking and diluting buffer and concentration : 5% NFDM/TBST. To minimize protein degradation, tissues were lysed immediately after harvest and then applied to a gel and transfer membrane for Western blotting as soon as possible. The identity of the bands lower than 50 kDa are unknown.

All lanes:

Western blot - Anti-beta COP antibody [EPR28895-55] (<a href='/en-us/products/primary-antibodies/beta-cop-antibody-epr28895-55-ab320729'>ab320729</a>) at 1/1000 dilution

Lane 1:

Mouse liver tissue lysate at 20 µg

Lane 2:

Mouse testis tissue lysate at 20 µg

Lane 3:

Mouse spleen tissue lysate at 20 µg

Secondary

All lanes:

Western blot - Goat Anti-Rabbit IgG H&L (HRP) (<a href='/en-us/products/secondary-antibodies/goat-rabbit-igg-h-l-hrp-ab97051'>ab97051</a>) at 1/20000 dilution

Observed band size: 107 kDa

false

Exposure time: 180s

Key facts

Host species

Rabbit

Clonality

Monoclonal

Clone number

EPR28895-55

Isotype

IgG

Carrier free

Yes

Reacts with

Human, Mouse

Applications

ICC/IF, WB

applications

Immunogen

The exact immunogen used to generate this antibody is proprietary information.

Reactivity data

{ "title": "Reactivity Data", "filters": { "stats": ["", "Species", "Dilution Info", "Notes"], "tabs": { "all-applications": {"fullname" : "All Applications", "shortname": "All Applications"}, "ICCIF" : {"fullname" : "Immunocytochemistry/ Immunofluorescence", "shortname":"ICC/IF"}, "WB" : {"fullname" : "Western blot", "shortname":"WB"} }, "product-promise": { "all": "all", "testedAndGuaranteed": "tested", "guaranteed": "expected", "predicted": "predicted", "notRecommended": "not-recommended" } }, "values": { "Human": { "ICCIF-species-checked": "testedAndGuaranteed", "ICCIF-species-dilution-info": "", "ICCIF-species-notes": "<p></p>", "WB-species-checked": "testedAndGuaranteed", "WB-species-dilution-info": "", "WB-species-notes": "<p></p>" }, "Mouse": { "ICCIF-species-checked": "testedAndGuaranteed", "ICCIF-species-dilution-info": "", "ICCIF-species-notes": "<p></p>", "WB-species-checked": "testedAndGuaranteed", "WB-species-dilution-info": "", "WB-species-notes": "<p></p>" } } }

Product details

Properties and storage information

Form
Liquid
Purification technique
Affinity purification Protein A
Storage buffer
pH: 7.2 - 7.4 Constituents: 100% PBS
Shipped at conditions
Blue Ice
Appropriate short-term storage conditions
+4°C
Appropriate long-term storage conditions
+4°C

Supplementary information

This supplementary information is collated from multiple sources and compiled automatically.

Beta COP also known as coatomer subunit beta and sometimes referred to as beta COPI is an important component of the coatomer protein complex involved in vesicle formation and trafficking. This protein has a molecular mass of approximately 110 kDa. Beta COP is expressed widely across various tissues and is essential in maintaining cellular transport systems. It resides mainly within the cytosolic coat of COPI vesicles that originate from Golgi membranes helping in directing the flow of enzymes that are vital for cellular metabolism.
Biological function summary

Coatomer subunits like beta COP play an integral role in forming the COPI complex which functions as a coat on Golgi-derived transport vesicles. Beta COP acts to mediate retrograde transport from the Golgi apparatus back to the endoplasmic reticulum. By helping in vesicle budding and fusion processes it ensures correct protein sorting and localization. This mechanism is critical for cellular homeostasis and proper cellular functions.

Pathways

The COPI-mediated transport involving beta COP plays a significant role in the Golgi-to-ER retrograde transport pathway. This pathway is vital for maintaining the balance of lipids and proteins within cells. Key proteins interacting with this pathway include other coatomer subunits such as delta and gamma COP. Through these interactions beta COP is indispensable in regulating vesicle trafficking and membrane dynamics affecting overall cellular communication.

Beta COP's malfunction can lead to disruptions in vesicle transport potentially contributing to disorders like genetic syndromes or neurodegenerative diseases. Research suggests a connection between aberrant COPI transport and pathology such as Parkinson's disease where beta COP might interact with protein alpha-synuclein. Additionally alterations in beta COP's function link to Alzheimer’s disease where its dysfunction could impact amyloid precursor protein processing. Understanding these connections offers pathways to exploring therapeutic interventions.

Product protocols

For this product, it's our understanding that no specific protocols are required. You can visit:

Target data

The coatomer is a cytosolic protein complex that binds to dilysine motifs and reversibly associates with Golgi non-clathrin-coated vesicles, which further mediate biosynthetic protein transport from the ER, via the Golgi up to the trans Golgi network. Coatomer complex is required for budding from Golgi membranes, and is essential for the retrograde Golgi-to-ER transport of dilysine-tagged proteins. In mammals, the coatomer can only be recruited by membranes associated to ADP-ribosylation factors (ARFs), which are small GTP-binding proteins; the complex also influences the Golgi structural integrity, as well as the processing, activity, and endocytic recycling of LDL receptors. Plays a functional role in facilitating the transport of kappa-type opioid receptor mRNAs into axons and enhances translation of these proteins. Required for limiting lipid storage in lipid droplets. Involved in lipid homeostasis by regulating the presence of perilipin family members PLIN2 and PLIN3 at the lipid droplet surface and promoting the association of adipocyte surface triglyceride lipase (PNPLA2) with the lipid droplet to mediate lipolysis (By similarity). Involved in the Golgi disassembly and reassembly processes during cell cycle. Involved in autophagy by playing a role in early endosome function. Plays a role in organellar compartmentalization of secretory compartments including endoplasmic reticulum (ER)-Golgi intermediate compartment (ERGIC), Golgi, trans-Golgi network (TGN) and recycling endosomes, and in biosynthetic transport of CAV1. Promotes degradation of Nef cellular targets CD4 and MHC class I antigens by facilitating their trafficking to degradative compartments.
See full target information COPB1

Product promise

We are committed to supporting your work with high-quality reagents, and we're here for you every step of the way. In the unlikely event that one of our products does not perform as expected, you're protected by our Product Promise.
For full details, please see our Terms & Conditions

Please note: All products are 'FOR RESEARCH USE ONLY. NOT FOR USE IN DIAGNOSTIC OR THERAPEUTIC PROCEDURES'.

For licensing inquiries, please contact partnerships@abcam.com