JavaScript is disabled in your browser. Please enable JavaScript to view this website.
AB229949

Anti-Beta crystallin S antibody

Be the first to review this product! Submit a review

|

(1 Publication)

Rabbit Polyclonal Beta crystallin S antibody. Suitable for WB, IHC-P and reacts with Mouse, Human samples. Cited in 1 publication. Immunogen corresponding to Recombinant Full Length Protein corresponding to Human CRYGS.

View Alternative Names

CRYG8, CRYGS, Gamma-crystallin S, Beta-crystallin S, Gamma-S-crystallin

3 Images
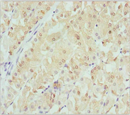
Immunohistochemistry (Formalin/PFA-fixed paraffin-embedded sections) - Anti-Beta crystallin S antibody (AB229949)
  • IHC-P

Supplier Data

Immunohistochemistry (Formalin/PFA-fixed paraffin-embedded sections) - Anti-Beta crystallin S antibody (AB229949)

Paraffin-embedded human gastric cancer tissue stained for Beta crystallin S using ab229949 at 1/100 dilution in immunohistochemical analysis.

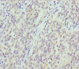
Immunohistochemistry (Formalin/PFA-fixed paraffin-embedded sections) - Anti-Beta crystallin S antibody (AB229949)
  • IHC-P

Supplier Data

Immunohistochemistry (Formalin/PFA-fixed paraffin-embedded sections) - Anti-Beta crystallin S antibody (AB229949)

Paraffin-embedded human lung cancer tissue stained for Beta crystallin S using ab229949 at 1/100 dilution in immunohistochemical analysis.

Western blot - Anti-Beta crystallin S antibody (AB229949)
  • WB

Supplier Data

Western blot - Anti-Beta crystallin S antibody (AB229949)

All lanes:

Western blot - Anti-Beta crystallin S antibody (ab229949) at 1/1000 dilution

All lanes:

Mouse eye lysate

Secondary

All lanes:

Goat anti-rabbit IgG at 1/10000 dilution

Predicted band size: 21 kDa

Observed band size: 21 kDa

false

Key facts

Host species

Rabbit

Clonality

Polyclonal

Isotype

IgG

Carrier free

No

Reacts with

Human, Mouse

Applications

WB, IHC-P

applications

Immunogen

Recombinant Full Length Protein corresponding to Human CRYGS.

P22914

Reactivity data

{ "title": "Reactivity Data", "filters": { "stats": ["", "Species", "Dilution Info", "Notes"], "tabs": { "all-applications": {"fullname" : "All Applications", "shortname": "All Applications"}, "WB" : {"fullname" : "Western blot", "shortname":"WB"}, "IHCP" : {"fullname" : "Immunohistochemistry (Formalin/PFA-fixed paraffin-embedded sections)", "shortname":"IHC-P"} }, "product-promise": { "all": "all", "testedAndGuaranteed": "tested", "guaranteed": "expected", "predicted": "predicted", "notRecommended": "not-recommended" } }, "values": { "Human": { "WB-species-checked": "guaranteed", "WB-species-dilution-info": "", "WB-species-notes": "", "IHCP-species-checked": "testedAndGuaranteed", "IHCP-species-dilution-info": "1/20 - 1/200", "IHCP-species-notes": "<p></p>" }, "Mouse": { "WB-species-checked": "testedAndGuaranteed", "WB-species-dilution-info": "1/1000 - 1/5000", "WB-species-notes": "<p></p>", "IHCP-species-checked": "guaranteed", "IHCP-species-dilution-info": "", "IHCP-species-notes": "" }, "Cow": { "WB-species-checked": "predicted", "WB-species-dilution-info": "", "WB-species-notes": "", "IHCP-species-checked": "predicted", "IHCP-species-dilution-info": "", "IHCP-species-notes": "" }, "Dog": { "WB-species-checked": "predicted", "WB-species-dilution-info": "", "WB-species-notes": "", "IHCP-species-checked": "predicted", "IHCP-species-dilution-info": "", "IHCP-species-notes": "" }, "Rabbit": { "WB-species-checked": "predicted", "WB-species-dilution-info": "", "WB-species-notes": "", "IHCP-species-checked": "predicted", "IHCP-species-dilution-info": "", "IHCP-species-notes": "" } } }

Properties and storage information

Form
Liquid
Purification technique
Affinity purification Immunogen
Storage buffer
pH: 7.3 Preservative: 0.02% Sodium azide Constituents: PBS, 50% Glycerol (glycerin, glycerine)
Shipped at conditions
Blue Ice
Appropriate short-term storage duration
1-2 weeks
Appropriate short-term storage conditions
+4°C
Appropriate long-term storage conditions
-20°C
Aliquoting information
Upon delivery aliquot
Storage information
Avoid freeze / thaw cycle

Supplementary information

This supplementary information is collated from multiple sources and compiled automatically.

Beta crystallin S also known as CRYGS is a small heat shock protein expressed mostly in the lens of the eye although found in other tissues in smaller amounts. It has an approximate mass of 21 kDa. The protein plays an important role in maintaining lens transparency and refractive properties. It is part of the larger beta-gamma crystallin superfamily and possesses a structural domain responsible for its function. The unique composition and structure help stabilize the lens fibers and contribute to the optical clarity of the eye lens.
Biological function summary

The beta-gamma crystallin family consists of various isoforms each having specific roles in cell structure and stability. Beta crystallin S acts primarily as a structural protein providing the necessary stability and solubility in the lens fibers. It does not operate in isolation but rather as part of larger protein complexes within the lens. These complexes help maintain the highly concentrated and ordered protein environment vital for lens function. The interactions of beta crystallin S with other crystallins contribute to maintaining a balanced protein network necessary for the lens age-associated structural integrity.

Pathways

Beta crystallin S interacts in pathways related to protein folding and stabilization in ocular tissues. It participates in the small heat shock protein (sHSP) pathway which plays an important role in managing stress responses in cells particularly during aging or environmental stress. Within this pathway beta crystallin S works alongside other sHSPs like alpha-crystallin to prevent protein aggregation ensuring cellular homeostasis and lens transparency. Its interactions with structural proteins mediate stress responses and protein quality control mechanisms helping in lens clarity maintenance.

Beta crystallin S is associated mainly with age-related ocular disorders such as cataracts and presbyopia. Dysregulation or structural changes in beta crystallin S can lead to protein aggregation contributing to cataract formation. Mutations in CRYGS or associated proteins can disturb the lens protein networks which might result in lens opacity. In cataracts beta crystallin S interacts with alpha-crystallin which acts as a chaperone protein preventing misfolded protein accumulation. The equilibrium between these proteins is vital in preserving the eye lens transparency and preventing the progression of lens-related disorders.

Product protocols

For this product, it's our understanding that no specific protocols are required. You can visit:

Target data

Crystallins are the dominant structural components of the vertebrate eye lens.
See full target information CRYGS

Publications (1)

Recent publications for all applications. Explore the full list and refine your search

Advanced science (Weinheim, Baden-Wurttemberg, Germany) 10:e2206852 PubMed37083227

2023

Deciphering the Molecular Characteristics of Human Idiopathic Nonobstructive Azoospermia from the Perspective of Germ Cells.

Applications

Unspecified application

Species

Unspecified reactive species

Yidong Chen,Xixi Liu,Li Zhang,Feiyin Zhu,Liying Yan,Wenhao Tang,Zhe Zhang,Qiang Liu,Hui Jiang,Jie Qiao
View all publications

Product promise

We are committed to supporting your work with high-quality reagents, and we're here for you every step of the way. In the unlikely event that one of our products does not perform as expected, you're protected by our Product Promise.
For full details, please see our Terms & Conditions

Please note: All products are 'FOR RESEARCH USE ONLY. NOT FOR USE IN DIAGNOSTIC OR THERAPEUTIC PROCEDURES'.

For licensing inquiries, please contact partnerships@abcam.com