JavaScript is disabled in your browser. Please enable JavaScript to view this website.
AB166904

Anti-beta glucuronidase (GUSB) antibody [EPR10616]

Be the first to review this product! Submit a review

|

(3 Publications)

Rabbit Recombinant Monoclonal beta glucuronidase (GUSB) antibody. Suitable for IHC-P, WB, ICC/IF, Flow Cyt (Intra) and reacts with Human samples. Cited in 3 publications.

View Alternative Names

Beta-glucuronidase, Beta-G1, GUSB

5 Images
Immunocytochemistry/ Immunofluorescence - Anti-beta glucuronidase (GUSB) antibody [EPR10616] (AB166904)
  • ICC/IF

Unknown

Immunocytochemistry/ Immunofluorescence - Anti-beta glucuronidase (GUSB) antibody [EPR10616] (AB166904)

Immunofluorescent analysis of HepG2 cells labeling beta glucuronidase (GUSB) with ab166904 at 1/100 dilution.

Immunohistochemistry (Formalin/PFA-fixed paraffin-embedded sections) - Anti-beta glucuronidase (GUSB) antibody [EPR10616] (AB166904)
  • IHC-P

Unknown

Immunohistochemistry (Formalin/PFA-fixed paraffin-embedded sections) - Anti-beta glucuronidase (GUSB) antibody [EPR10616] (AB166904)

Immunohistochemical analysis of paraffin-embedded Human skin tissue labeling beta glucuronidase (GUSB) with ab166904 at 1/50 dilution.

Perform heat mediated antigen retrieval with citrate buffer pH 6 before commencing with IHC staining protocol.

Flow Cytometry (Intracellular) - Anti-beta glucuronidase (GUSB) antibody [EPR10616] (AB166904)
  • Flow Cyt (Intra)

Unknown

Flow Cytometry (Intracellular) - Anti-beta glucuronidase (GUSB) antibody [EPR10616] (AB166904)

Intracellular flow cytometric analysis of permeabilized K562 cells labeling beta glucuronidase (GUSB) with ab166904 at 1/100 dilution (red) or a rabbit IgG negative (green).

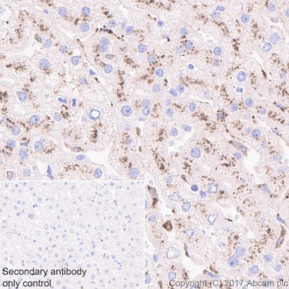
Immunohistochemistry (Formalin/PFA-fixed paraffin-embedded sections) - Anti-beta glucuronidase (GUSB) antibody [EPR10616] (AB166904)
  • IHC-P

Unknown

Immunohistochemistry (Formalin/PFA-fixed paraffin-embedded sections) - Anti-beta glucuronidase (GUSB) antibody [EPR10616] (AB166904)

Immunohistochemical analysis of paraffin-embedded Human liver tissue labeling beta glucuronidase (GUSB) with ab166904 at 1/50 dilution.

Perform heat mediated antigen retrieval with citrate buffer pH 6 before commencing with IHC staining protocol.

Western blot - Anti-beta glucuronidase (GUSB) antibody [EPR10616] (AB166904)
  • WB

Unknown

Western blot - Anti-beta glucuronidase (GUSB) antibody [EPR10616] (AB166904)

All lanes:

Western blot - Anti-beta glucuronidase (GUSB) antibody [EPR10616] (ab166904) at 1/1000 dilution

Lane 1:

Human fetal liver tissue lysate at 10 µg

Lane 2:

K562 cell lysate at 10 µg

Lane 3:

HepG2 cell lysate at 10 µg

Lane 4:

293T cell lysate at 10 µg

Secondary

All lanes:

Goat anti-rabbit HRP IgG antibody at 1/2000 dilution

Predicted band size: 75 kDa

false

  • 660 APC

    APC Anti-beta glucuronidase (GUSB) antibody [EPR10616]

  • 665 Alexa Fluor® 647

    Alexa Fluor® 647 Anti-beta glucuronidase (GUSB) antibody [EPR10616]

  • 578 PE

    PE Anti-beta glucuronidase (GUSB) antibody [EPR10616]

  • 617 Alexa Fluor® 594

    Alexa Fluor® 594 Anti-beta glucuronidase (GUSB) antibody [EPR10616]

  • 565 Alexa Fluor® 555

    Alexa Fluor® 555 Anti-beta glucuronidase (GUSB) antibody [EPR10616]

  • 775 Alexa Fluor® 750

    Alexa Fluor® 750 Anti-beta glucuronidase (GUSB) antibody [EPR10616]

  • Carrier free

    Anti-beta glucuronidase (GUSB) antibody [EPR10616] - BSA and Azide free

Key facts

Host species

Rabbit

Clonality

Monoclonal

Clone number

EPR10616

Isotype

IgG

Carrier free

No

Reacts with

Human

Applications

Flow Cyt (Intra), WB, ICC/IF, IHC-P

applications

Immunogen

The exact immunogen used to generate this antibody is proprietary information.

Reactivity data

{ "title": "Reactivity Data", "filters": { "stats": ["", "Species", "Dilution Info", "Notes"], "tabs": { "all-applications": {"fullname" : "All Applications", "shortname": "All Applications"}, "IHCP" : {"fullname" : "Immunohistochemistry (Formalin/PFA-fixed paraffin-embedded sections)", "shortname":"IHC-P"}, "IP" : {"fullname" : "Immunoprecipitation", "shortname":"IP"}, "WB" : {"fullname" : "Western blot", "shortname":"WB"}, "ICCIF" : {"fullname" : "Immunocytochemistry/ Immunofluorescence", "shortname":"ICC/IF"}, "FlowCytIntra" : {"fullname" : "Flow Cytometry (Intracellular)", "shortname":"Flow Cyt (Intra)"} }, "product-promise": { "all": "all", "testedAndGuaranteed": "tested", "guaranteed": "expected", "predicted": "predicted", "notRecommended": "not-recommended" } }, "values": { "Human": { "IHCP-species-checked": "testedAndGuaranteed", "IHCP-species-dilution-info": "1/50 - 1/100", "IHCP-species-notes": "<p></p>", "IP-species-checked": "notRecommended", "IP-species-dilution-info": "", "IP-species-notes": "<p></p>", "WB-species-checked": "testedAndGuaranteed", "WB-species-dilution-info": "1/1000 - 1/5000", "WB-species-notes": "<p></p>", "ICCIF-species-checked": "testedAndGuaranteed", "ICCIF-species-dilution-info": "1/100 - 1/250", "ICCIF-species-notes": "<p></p>", "FlowCytIntra-species-checked": "testedAndGuaranteed", "FlowCytIntra-species-dilution-info": "1/100 - 1/500", "FlowCytIntra-species-notes": "<p><a href='/en-us/products/primary-antibodies/rabbit-igg-monoclonal-epr25a-isotype-control-ab172730'>ab172730</a> - Rabbit monoclonal IgG, is suitable for use as an isotype control with this antibody.</p>" } } }

Product details

Species reactivity
Mouse, Rat: We have preliminary internal testing data to indicate this antibody may not react with these species.
Please contact us for more information.

Patented technology
Our RabMAb® technology is a patented hybridoma-based technology for making rabbit monoclonal antibodies. For details on our patents, please refer to RabMAb® patents.

What are the advantages of a recombinant monoclonal antibody?
This product is a recombinant monoclonal antibody, which offers several advantages including:

  • - High batch-to-batch consistency and reproducibility
  • - Improved sensitivity and specificity
  • - Long-term security of supply
  • - Animal-free batch production

For more information, read more on recombinant antibodies.

Properties and storage information

Form
Liquid
Purity
Tissue culture supernatant
Storage buffer
pH: 7.2 - 7.4 Preservative: 0.01% Sodium azide Constituents: PBS, 50% Tissue culture supernatant, 40% Glycerol (glycerin, glycerine), 0.05% BSA
Shipped at conditions
Blue Ice
Appropriate short-term storage conditions
+4°C
Appropriate long-term storage conditions
-20°C
Aliquoting information
Upon delivery aliquot
Storage information
Avoid freeze / thaw cycle

Supplementary information

This supplementary information is collated from multiple sources and compiled automatically.

Beta glucuronidase also known as GUSB is an enzyme with several well-known names including b glucuronidase b-glucuronidase and beta-glucuronidase. It is a hydrolase enzyme with a molecular mass around 75 kDa. The enzyme is widely expressed in lysosomes of various tissues such as liver spleen and kidney. Mechanically beta-glucuronidase cleaves beta-D-glucuronic acid residues from glycosaminoglycans steroids and hormones an essential step for the degradation of glycosaminoglycans.
Biological function summary

Beta glucuronidase performs significant roles in cellular metabolism and molecule recycling. This enzyme aids in the breakdown and recycling of complex carbohydrates. By facilitating hydrolysis it helps in maintaining cellular homeostasis. Beta glucuronidase is not part of a complex; it functions independently within lysosomes. Its activity is vital for recycling endocytosed material and managing cellular turnover.

Pathways

Beta glucuronidase plays an important role in the lysosomal degradation pathway. This enzyme aids in glycosaminoglycan catabolism a process important for cellular waste disposal and recycling. Its activity connects with several proteins in the pathway notably those involved in lysosomal function such as Hexosaminidase. Beta glucuronidase's enzymatic function further integrates into the broader context of carbohydrate metabolism pathways enabling efficient breakdown of large carbohydrate molecules.

Mutations or deficiencies in beta glucuronidase lead to mucopolysaccharidosis type VII also called Sly syndrome. This lysosomal storage disorder results in the accumulation of undegraded glycosaminoglycans causing developmental delay skeletal abnormalities and other systemic issues. Additionally beta glucuronidase contributes to cancer biology where altered expressions can influence tumor progression. Proteins like glucocerebrosidase may interact indirectly impacting the disease's pathophysiology.

Product protocols

For this product, it's our understanding that no specific protocols are required. You can visit:

Target data

Plays an important role in the degradation of dermatan and keratan sulfates.
See full target information GUSB

Publications (3)

Recent publications for all applications. Explore the full list and refine your search

Frontiers in oncology 13:1258863 PubMed37746252

2023

CEA-delta could be a biomarker of tumor phenotype, clinical stage, and chemotherapeutic response in rectal cancer with OCT4-positive cancer stem cells.

Applications

Unspecified application

Species

Unspecified reactive species

Ivan David Lozada-Martinez,Maria Paz Bolaño-Romero,Lina Lambis-Anaya,Yamil Liscano,Amileth Suarez-Causado

Cancers 15: PubMed37509401

2023

High OCT4 Expression Might Be Associated with an Aggressive Phenotype in Rectal Cancer.

Applications

Unspecified application

Species

Unspecified reactive species

Lina Lambis-Anaya,Mashiel Fernández-Ruiz,Yamil Liscano,Amileth Suarez-Causado

Glia 71:742-757 PubMed36416236

2022

LPAR1 and aberrantly expressed LPAR3 differentially promote the migration and proliferation of malignant peripheral nerve sheath tumor cells.

Applications

Unspecified application

Species

Unspecified reactive species

Shannon Weber Doutt,Jody Fromm Longo,Steven L Carroll
View all publications

Product promise

We are committed to supporting your work with high-quality reagents, and we're here for you every step of the way. In the unlikely event that one of our products does not perform as expected, you're protected by our Product Promise.
For full details, please see our Terms & Conditions

Please note: All products are 'FOR RESEARCH USE ONLY. NOT FOR USE IN DIAGNOSTIC OR THERAPEUTIC PROCEDURES'.

For licensing inquiries, please contact partnerships@abcam.com