JavaScript is disabled in your browser. Please enable JavaScript to view this website.
AB204947

Anti-beta I Tubulin antibody [2A1A9]

Be the first to review this product! Submit a review

|

(3 Publications)

Mouse Monoclonal TBB1 antibody. Suitable for Flow Cyt, WB, IHC-P, ICC/IF and reacts with Human, Mouse, Rat, African green monkey samples. Cited in 3 publications. Immunogen corresponding to Recombinant Fragment Protein within Human TUBB1 aa 1-200.

View Alternative Names

Tubulin beta-1 chain, TUBB1

7 Images
Immunocytochemistry/ Immunofluorescence - Anti-beta I Tubulin antibody [2A1A9] (AB204947)
  • ICC/IF

Supplier Data

Immunocytochemistry/ Immunofluorescence - Anti-beta I Tubulin antibody [2A1A9] (AB204947)

Immunofluorescent staining of Hela cells labeling beta I Tubulin with ab204947 at 1/200 (green). Blue : DRAQ5 fluorescent DNA dye. Red : Actin filaments have been labeled with Alexa Fluor- 555 phalloidin.

Flow Cytometry - Anti-beta I Tubulin antibody [2A1A9] (AB204947)
  • Flow Cyt

Supplier Data

Flow Cytometry - Anti-beta I Tubulin antibody [2A1A9] (AB204947)

Flow cytometric analysis of A431 cells labeling beta I Tubulin with ab204947 at 1/200 (green) or negative control (red)

Western blot - Anti-beta I Tubulin antibody [2A1A9] (AB204947)
  • WB

Supplier Data

Western blot - Anti-beta I Tubulin antibody [2A1A9] (AB204947)

All lanes:

Western blot - Anti-beta I Tubulin antibody [2A1A9] (ab204947) at 1/500 dilution

Lane 1:

K562 cell lysate

Lane 2:

HepG2 cell lysate

Lane 3:

A431 cell lysate

Lane 4:

Jurkat cell lysate

Lane 5:

Hela cell lysate

Lane 6:

NIH-3T3 cell lysate

Lane 7:

Cos7 cell lysate

Lane 8:

PC12 cell lysate

Predicted band size: 50 kDa

false

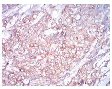
Immunohistochemistry (Formalin/PFA-fixed paraffin-embedded sections) - Anti-beta I Tubulin antibody [2A1A9] (AB204947)
  • IHC-P

Supplier Data

Immunohistochemistry (Formalin/PFA-fixed paraffin-embedded sections) - Anti-beta I Tubulin antibody [2A1A9] (AB204947)

Immunohistochemical analysis of formalin fixed paraffin embedded ovarian cancer tissue labeling beta I Tubulin using ab204947 at 1/200 dilution followed by DAB staining.

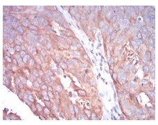
Immunohistochemistry (Formalin/PFA-fixed paraffin-embedded sections) - Anti-beta I Tubulin antibody [2A1A9] (AB204947)
  • IHC-P

Supplier Data

Immunohistochemistry (Formalin/PFA-fixed paraffin-embedded sections) - Anti-beta I Tubulin antibody [2A1A9] (AB204947)

Immunohistochemical analysis of formalin fixed paraffin embedded ovarian cancer tissue labeling beta I Tubulin using ab204947 at 1/200 dilution followed by DAB staining.

Western blot - Anti-beta I Tubulin antibody [2A1A9] (AB204947)
  • WB

Supplier Data

Western blot - Anti-beta I Tubulin antibody [2A1A9] (AB204947)

All lanes:

Western blot - Anti-beta I Tubulin antibody [2A1A9] (ab204947) at 1/500 dilution

Lane 1:

HEK293 cell lysate

Lane 2:

human beta 1 Tubulin (AA: 33-166) -hIgGFc transfected HEK293 cell lysate

Predicted band size: 50 kDa

false

Western blot - Anti-beta I Tubulin antibody [2A1A9] (AB204947)
  • WB

Supplier Data

Western blot - Anti-beta I Tubulin antibody [2A1A9] (AB204947)

All lanes:

Western blot - Anti-beta I Tubulin antibody [2A1A9] (ab204947) at 1/500 dilution

All lanes:

human beta 1 Tubulin (AA: 33-166) recombinant protein

Predicted band size: 50 kDa

false

Key facts

Host species

Mouse

Clonality

Monoclonal

Clone number

2A1A9

Isotype

IgG1

Carrier free

No

Reacts with

Mouse, Rat, Human, African green monkey

Applications

ICC/IF, WB, Flow Cyt, IHC-P

applications

Immunogen

Recombinant Fragment Protein within Human TUBB1 aa 1-200. The exact immunogen used to generate this antibody is proprietary information.

Q9H4B7

Reactivity data

{ "title": "Reactivity Data", "filters": { "stats": ["", "Species", "Dilution Info", "Notes"], "tabs": { "all-applications": {"fullname" : "All Applications", "shortname": "All Applications"}, "FlowCyt" : {"fullname" : "Flow Cytometry", "shortname":"Flow Cyt"}, "WB" : {"fullname" : "Western blot", "shortname":"WB"}, "IHCP" : {"fullname" : "Immunohistochemistry (Formalin/PFA-fixed paraffin-embedded sections)", "shortname":"IHC-P"}, "ICCIF" : {"fullname" : "Immunocytochemistry/ Immunofluorescence", "shortname":"ICC/IF"} }, "product-promise": { "all": "all", "testedAndGuaranteed": "tested", "guaranteed": "expected", "predicted": "predicted", "notRecommended": "not-recommended" } }, "values": { "Human": { "FlowCyt-species-checked": "testedAndGuaranteed", "FlowCyt-species-dilution-info": "1/200 - 1/400", "FlowCyt-species-notes": "<p></p>", "WB-species-checked": "testedAndGuaranteed", "WB-species-dilution-info": "1/500 - 1/2000", "WB-species-notes": "<p></p>", "IHCP-species-checked": "testedAndGuaranteed", "IHCP-species-dilution-info": "1/200 - 1/1000", "IHCP-species-notes": "<p></p>", "ICCIF-species-checked": "testedAndGuaranteed", "ICCIF-species-dilution-info": "1/200 - 1/1000", "ICCIF-species-notes": "<p></p>" }, "Mouse": { "FlowCyt-species-checked": "guaranteed", "FlowCyt-species-dilution-info": "", "FlowCyt-species-notes": "", "WB-species-checked": "testedAndGuaranteed", "WB-species-dilution-info": "1/500 - 1/2000", "WB-species-notes": "<p></p>", "IHCP-species-checked": "guaranteed", "IHCP-species-dilution-info": "", "IHCP-species-notes": "", "ICCIF-species-checked": "guaranteed", "ICCIF-species-dilution-info": "", "ICCIF-species-notes": "" }, "Rat": { "FlowCyt-species-checked": "guaranteed", "FlowCyt-species-dilution-info": "", "FlowCyt-species-notes": "", "WB-species-checked": "testedAndGuaranteed", "WB-species-dilution-info": "1/500 - 1/2000", "WB-species-notes": "<p></p>", "IHCP-species-checked": "guaranteed", "IHCP-species-dilution-info": "", "IHCP-species-notes": "", "ICCIF-species-checked": "guaranteed", "ICCIF-species-dilution-info": "", "ICCIF-species-notes": "" }, "African green monkey": { "FlowCyt-species-checked": "guaranteed", "FlowCyt-species-dilution-info": "", "FlowCyt-species-notes": "", "WB-species-checked": "testedAndGuaranteed", "WB-species-dilution-info": "1/500 - 1/2000", "WB-species-notes": "<p></p>", "IHCP-species-checked": "guaranteed", "IHCP-species-dilution-info": "", "IHCP-species-notes": "", "ICCIF-species-checked": "guaranteed", "ICCIF-species-dilution-info": "", "ICCIF-species-notes": "" } } }

Properties and storage information

Form
Liquid
Purification technique
Affinity purification Protein G
Purification notes
Purified from tissue culture supernatant.
Storage buffer
Preservative: 0.05% Sodium azide Constituents: PBS
Shipped at conditions
Blue Ice
Appropriate short-term storage duration
1-2 weeks
Appropriate short-term storage conditions
+4°C
Appropriate long-term storage conditions
-20°C
Aliquoting information
Upon delivery aliquot
Storage information
Avoid freeze / thaw cycle

Supplementary information

This supplementary information is collated from multiple sources and compiled automatically.

Beta I Tubulin also known as TUBB1 is an essential component of the microtubule cytoskeleton specifically expressed in hematopoietic cells such as platelets. It is a protein with a mass of approximately 50 kDa. This protein shares structural similarities with other beta tubulins forming heterodimers with alpha-tubulin to construct the microtubules necessary for cell shape and movement. Beta I Tubulin primarily localizes to regions where it aids in the dynamics of microtubule assembly and stabilization.
Biological function summary

Beta tubulins are important for proper cell division signal transduction and organelle positioning. Beta I Tubulin integrates into the microtubule complex playing an important role in platelet formation and function. The dynamic behavior of microtubules facilitated by beta I Tubulin and its interactions influences cytoskeletal organization enabling cells to maintain their architecture and transport intracellular components effectively.

Pathways

Beta I Tubulin becomes critical in signaling pathways that involve cytoskeleton dynamics such as the Rho GTPase signaling pathway which is essential for actin and microtubule dynamics. It works together with proteins like alpha-tubulin and actin to ensure the proper development of megakaryocytes precursors to platelets. The function of these pathways determines efficient platelet production and stabilization closely linked to overall cellular homeostasis and response to external stimuli.

Beta I Tubulin has connections to conditions such as congenital macrothrombocytopenia and other platelet disorders. Mutations or dysregulations of beta I Tubulin can lead to abnormal platelet morphology and function impacting hemostasis. This protein also shows connections to alpha-tubulin in these disorders indicating the essential partnership between tubulin subunits in the formation of functional microtubules and emphasizing their significance in maintaining normal physiological states.

Product protocols

For this product, it's our understanding that no specific protocols are required. You can visit:

Target data

Tubulin is the major constituent of microtubules, a cylinder consisting of laterally associated linear protofilaments composed of alpha- and beta-tubulin heterodimers. Microtubules grow by the addition of GTP-tubulin dimers to the microtubule end, where a stabilizing cap forms. Below the cap, tubulin dimers are in GDP-bound state, owing to GTPase activity of alpha-tubulin.
See full target information TUBB1

Publications (3)

Recent publications for all applications. Explore the full list and refine your search

American journal of cancer research 13:3898-3920 PubMed37818072

2023

Bioinformatics analysis and experimental validation identified HMGA2/microRNA-200c-3p/LSAMP/Wnt axis as an immunological factor of patients with colorectal cancer.

Applications

Unspecified application

Species

Unspecified reactive species

Xi Xu,Chaoju Gong,Yunfeng Wang,Zhidong Yin,Xiaogang Wang,Yanyan Hu,Zejun Fang

Environmental toxicology 36:2322-2332 PubMed34418280

2021

Long noncoding RNA FAM66C promotes tumor progression and glycolysis in intrahepatic cholangiocarcinoma by regulating hsa-miR-23b-3p/KCND2 axis.

Applications

Unspecified application

Species

Unspecified reactive species

Guang-Lin Lei,Zhi Li,Yuan-Yuan Li,Zhi-Xian Hong,Sen Wang,Zhi-Fang Bai,Fang Sun,Jin Yan,Ling-Xiang Yu,Peng-Hui Yang,Zhan-Yu Yang

Yonsei medical journal 62:461-469 PubMed33908218

2021

MIR210HG Aggravates Sepsis-Induced Inflammatory Response of Proximal Tubular Epithelial Cell via the NF-κB Signaling Pathway.

Applications

Unspecified application

Species

Unspecified reactive species

Shuai Deng,Bin Gu,Zheng Yu,Zhen Shen,Houwei Ren
View all publications

Product promise

We are committed to supporting your work with high-quality reagents, and we're here for you every step of the way. In the unlikely event that one of our products does not perform as expected, you're protected by our Product Promise.
For full details, please see our Terms & Conditions

Please note: All products are 'FOR RESEARCH USE ONLY. NOT FOR USE IN DIAGNOSTIC OR THERAPEUTIC PROCEDURES'.

For licensing inquiries, please contact partnerships@abcam.com