JavaScript is disabled in your browser. Please enable JavaScript to view this website.
AB250104

Anti-beta I Tubulin antibody [EPR16778] - BSA and Azide free

Be the first to review this product! Submit a review

|

(3 Publications)

Rabbit Recombinant Monoclonal TBB1 antibody. Carrier free. Suitable for IHC-P, Flow Cyt (Intra), ICC/IF, WB and reacts with African green monkey, Human, Mouse, Rat, Hamster, Chicken, Cow, Dog samples. Cited in 3 publications.

View Alternative Names

Tubulin beta-1 chain, TUBB1

10 Images
Immunohistochemistry (Formalin/PFA-fixed paraffin-embedded sections) - Anti-beta I Tubulin antibody [EPR16778] - BSA and Azide free (AB250104)
  • IHC-P

Supplier Data

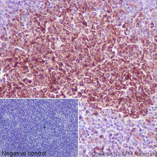
Immunohistochemistry (Formalin/PFA-fixed paraffin-embedded sections) - Anti-beta I Tubulin antibody [EPR16778] - BSA and Azide free (AB250104)

This data was developed using ab179511, the same antibody clone in a different buffer formulation.

Immunohistochemical analysis of paraffin-embedded Human tonsil tissue labeling beta I Tubulin with ab179511 at 1/500 followed by prediluted HRP Polymer for Rabbit/Mouse IgG. Cytoplasm staining on germinal center lymphocytes of Human tonsil is observed. Counter stained with Hematoxylin.

Negative control : Using PBS instead of primary ab, secondary ab is prediluted HRP Polymer for Rabbit/Mouse IgG.

Perform heat mediated antigen retrieval with Tris/EDTA buffer pH 9.0 before commencing with IHC staining protocol.

Flow Cytometry (Intracellular) - Anti-beta I Tubulin antibody [EPR16778] - BSA and Azide free (AB250104)
  • Flow Cyt (Intra)

Supplier Data

Flow Cytometry (Intracellular) - Anti-beta I Tubulin antibody [EPR16778] - BSA and Azide free (AB250104)

This data was developed using ab179511, the same antibody clone in a different buffer formulation.

Intracellular flow cytometric analysis of 2% paraformaldehyde-fixed K562 (Human chronic myelogenous leukemia cells from bone marrow) cells labeling beta I Tubulin with ab179511 at 1/80 dilution (red) compared with a rabbit monoclonal IgG isotype control (black) and an unlabelled control (cells without incubation with primary antibody and secondary antibody; blue). Goat anti rabbit IgG (FITC) at 1/150 dilution was used as the secondary antibody.

Immunocytochemistry/ Immunofluorescence - Anti-beta I Tubulin antibody [EPR16778] - BSA and Azide free (AB250104)
  • ICC/IF

Supplier Data

Immunocytochemistry/ Immunofluorescence - Anti-beta I Tubulin antibody [EPR16778] - BSA and Azide free (AB250104)

This data was developed using ab179511, the same antibody clone in a different buffer formulation.

Immunofluorescent analysis of 4% paraformaldehyde-fixed, 0.1% TritonX-100 permeabilized K562 (Human chronic myelogenous leukemia cells from bone marrow) cells labeling beta I Tubulin with ab179511 at 1/500 dilution followed by AlexaFluor®488 Goat anti-Rabbit secondary antibody (ab150077) at 1/400 dilution (green). Cytoplasm and nuclear staining on K562 cell line is observed. The nuclear counter stain is DAPI (blue). Tubulin is detected with ab7291 (anti-Tubulin mouse mAb) at 1/500 dilution and ab150120 (AlexaFluor®594 Goat anti-Mouse secondary) at 1/500 dilution (red).
The negative controls are as follows;
1. ab179511 at 1/500 dilution followed by ab150120 (AlexaFluor®594 Goat anti-Mouse secondary) at 1/500 dilution.
2. ab7291 (anti-Tubulin mouse mAb) at 1/500 dilution followed by ab150077 (Alexa Fluor®488 Goat Anti-Rabbit IgG H&L) at 1/400 dilution.

Immunohistochemistry (Formalin/PFA-fixed paraffin-embedded sections) - Anti-beta I Tubulin antibody [EPR16778] - BSA and Azide free (AB250104)
  • IHC-P

Supplier Data

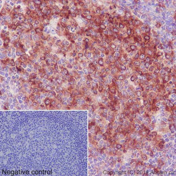
Immunohistochemistry (Formalin/PFA-fixed paraffin-embedded sections) - Anti-beta I Tubulin antibody [EPR16778] - BSA and Azide free (AB250104)

This data was developed using ab179511, the same antibody clone in a different buffer formulation.

Immunohistochemical analysis of paraffin-embedded Rat spleen tissue labeling beta I Tubulin with ab179511 at 1/500 followed by prediluted HRP Polymer for Rabbit/Mouse IgG. Cytoplasm staining on follicular center lymphocytes of Rat spleen tissue is observed. Counter stained with Hematoxylin.

Negative control : Using PBS instead of primary ab, secondary ab is prediluted HRP Polymer for Rabbit/Mouse IgG.

Perform heat mediated antigen retrieval with Tris/EDTA buffer pH 9.0 before commencing with IHC staining protocol.

Immunohistochemistry (Formalin/PFA-fixed paraffin-embedded sections) - Anti-beta I Tubulin antibody [EPR16778] - BSA and Azide free (AB250104)
  • IHC-P

Supplier Data

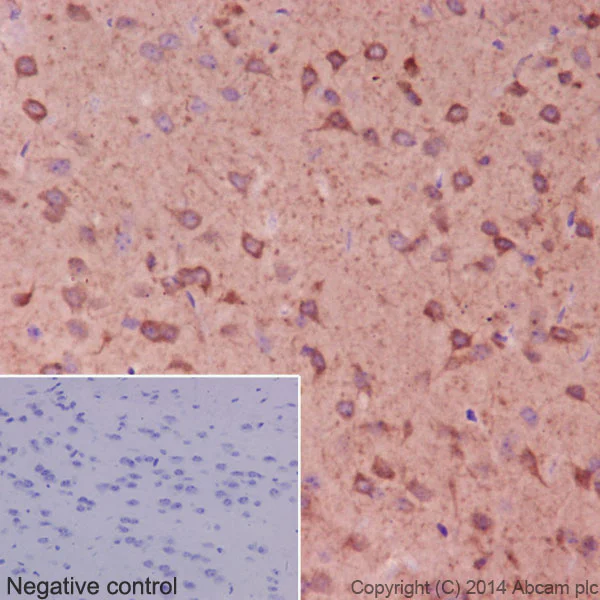
Immunohistochemistry (Formalin/PFA-fixed paraffin-embedded sections) - Anti-beta I Tubulin antibody [EPR16778] - BSA and Azide free (AB250104)

This data was developed using ab179511, the same antibody clone in a different buffer formulation.

Immunohistochemical analysis of paraffin-embedded Mouse cerebral cortex tissue labeling beta I Tubulin with ab179511 at 1/500 followed by prediluted HRP Polymer for Rabbit/Mouse IgG. Cytoplasm staining on neuron cells of Mouse cerebral cortex tissue is observed. Counter stained with Hematoxylin.

Negative control : Using PBS instead of primary ab, secondary ab is prediluted HRP Polymer for Rabbit/Mouse IgG.

Perform heat mediated antigen retrieval with Tris/EDTA buffer pH 9.0 before commencing with IHC staining protocol.

Western blot - Anti-beta I Tubulin antibody [EPR16778] - BSA and Azide free (AB250104)
  • WB

Supplier Data

Western blot - Anti-beta I Tubulin antibody [EPR16778] - BSA and Azide free (AB250104)

This data was developed using ab179511, the same antibody clone in a different buffer formulation.

Blocking and dilution buffer : 5% NFDM/TBST.

All lanes:

Western blot - Anti-beta I Tubulin antibody [EPR16778] (<a href='/en-us/products/primary-antibodies/beta-i-tubulin-antibody-epr16778-ab179511'>ab179511</a>) at 1/20000 dilution

Lane 1:

K562 (Human chronic myelogenous leukemia cells from bone marrow) whole cell lysates at 20 µg

Lane 2:

Jurkat (Human T cell leukemia cells from peripheral blood) whole cell lysates at 20 µg

Lane 3:

HeLa (Human epithelial cells from cervix adenocarcinoma) whole cell lysates at 20 µg

Lane 4:

293T (Human epithelial cells from embryonic kidney) whole cell lysates at 20 µg

Secondary

All lanes:

Goat Anti-Rabbit IgG, (H+L),Peroxidase conjugated at 1/1000 dilution

Predicted band size: 50 kDa

Observed band size: 50 kDa

false

Western blot - Anti-beta I Tubulin antibody [EPR16778] - BSA and Azide free (AB250104)
  • WB

Supplier Data

Western blot - Anti-beta I Tubulin antibody [EPR16778] - BSA and Azide free (AB250104)

This data was developed using ab179511, the same antibody clone in a different buffer formulation.

Blocking and dilution buffer : 5% NFDM/TBST.

All lanes:

Western blot - Anti-beta I Tubulin antibody [EPR16778] (<a href='/en-us/products/primary-antibodies/beta-i-tubulin-antibody-epr16778-ab179511'>ab179511</a>) at 1/2000 dilution

Lane 1:

Human fetal brain lysate at 10 µg

Lane 2:

Human fetal heart lysate at 10 µg

Lane 3:

Human fetal kidney lysate at 10 µg

Secondary

All lanes:

Anti-Rabbit IgG (HRP), specific to the non-reduced form of IgG at 1/1000 dilution

Predicted band size: 50 kDa

Observed band size: 50 kDa

false

Western blot - Anti-beta I Tubulin antibody [EPR16778] - BSA and Azide free (AB250104)
  • WB

Supplier Data

Western blot - Anti-beta I Tubulin antibody [EPR16778] - BSA and Azide free (AB250104)

This data was developed using ab179511, the same antibody clone in a different buffer formulation.

Blocking and dilution buffer : 5% NFDM/TBST.

All lanes:

Western blot - Anti-beta I Tubulin antibody [EPR16778] (<a href='/en-us/products/primary-antibodies/beta-i-tubulin-antibody-epr16778-ab179511'>ab179511</a>) at 1/2000 dilution

Lane 1:

C6 (Rat glial tumor cells) whole cell lysates at 20 µg

Lane 2:

RAW 264.7 (Mouse macrophage cells transformed with Abelson murine leukemia virus) whole cell lysates at 20 µg

Lane 3:

PC-12 (Rat adrenal gland pheochromocytoma) whole cell lysates at 20 µg

Lane 4:

NIH/3T3 (Mouse embyro fibroblast cells) whole cell lysates at 20 µg

Secondary

All lanes:

Goat Anti-Rabbit IgG, (H+L),Peroxidase conjugated antibody at 1/1000 dilution

Predicted band size: 50 kDa

Observed band size: 50 kDa

false

Western blot - Anti-beta I Tubulin antibody [EPR16778] - BSA and Azide free (AB250104)
  • WB

Supplier Data

Western blot - Anti-beta I Tubulin antibody [EPR16778] - BSA and Azide free (AB250104)

This data was developed using ab179511, the same antibody clone in a different buffer formulation.

Blocking and dilution buffer : 5% NFDM/TBST.

All lanes:

Western blot - Anti-beta I Tubulin antibody [EPR16778] (<a href='/en-us/products/primary-antibodies/beta-i-tubulin-antibody-epr16778-ab179511'>ab179511</a>) at 1/2000 dilution

Lane 1:

Mouse brain lysate at 10 µg

Lane 2:

Rat brain lysate at 10 µg

Lane 3:

Rat spleen lysate at 10 µg

Secondary

All lanes:

Goat Anti-Rabbit IgG, (H+L),Peroxidase conjugated antibody at 1/1000 dilution

Predicted band size: 50 kDa

Observed band size: 50 kDa

false

Western blot - Anti-beta I Tubulin antibody [EPR16778] - BSA and Azide free (AB250104)
  • WB

Supplier Data

Western blot - Anti-beta I Tubulin antibody [EPR16778] - BSA and Azide free (AB250104)

This data was developed using ab179511, the same antibody clone in a different buffer formulation.

Blocking and dilution buffer : 5% NFDM/TBST.

All lanes:

Western blot - Anti-beta I Tubulin antibody [EPR16778] (<a href='/en-us/products/primary-antibodies/beta-i-tubulin-antibody-epr16778-ab179511'>ab179511</a>) at 1/1000 dilution

Lane 1:

UMNSAH/DF-1 (Transformed chicken embyronic fibroblast cells) whole cell lysates at 20 µg

Lane 2:

BHK (Hamster kidney fibroblast cells) whole cell lysates at 20 µg

Lane 3:

MDCK (Canine kidney cell line) whole cell lysates at 20 µg

Lane 4:

MDBK (Bovine kidney cell line) whole cell lysates at 20 µg

Lane 5:

COS-1 (African green monkey kidney fibroblast-like cell line) whole cell lysates at 20 µg

Secondary

All lanes:

Goat Anti-Rabbit IgG, (H+L),Peroxidase conjugated antibody at 1/1000 dilution

Predicted band size: 50 kDa

Observed band size: 50 kDa

false

Key facts

Host species

Rabbit

Clonality

Monoclonal

Clone number

EPR16778

Isotype

IgG

Carrier free

Yes

Reacts with

Mouse, Rat, Chicken, Hamster, Cow, Dog, Human, African green monkey

Applications

Flow Cyt (Intra), IHC-P, WB, ICC/IF

applications

Immunogen

The exact immunogen used to generate this antibody is proprietary information.

Reactivity data

{ "title": "Reactivity Data", "filters": { "stats": ["", "Species", "Dilution Info", "Notes"], "tabs": { "all-applications": {"fullname" : "All Applications", "shortname": "All Applications"}, "IHCP" : {"fullname" : "Immunohistochemistry (Formalin/PFA-fixed paraffin-embedded sections)", "shortname":"IHC-P"}, "FlowCytIntra" : {"fullname" : "Flow Cytometry (Intracellular)", "shortname":"Flow Cyt (Intra)"}, "ICCIF" : {"fullname" : "Immunocytochemistry/ Immunofluorescence", "shortname":"ICC/IF"}, "WB" : {"fullname" : "Western blot", "shortname":"WB"} }, "product-promise": { "all": "all", "testedAndGuaranteed": "tested", "guaranteed": "expected", "predicted": "predicted", "notRecommended": "not-recommended" } }, "values": { "Human": { "IHCP-species-checked": "predicted", "IHCP-species-dilution-info": "", "IHCP-species-notes": "", "FlowCytIntra-species-checked": "testedAndGuaranteed", "FlowCytIntra-species-dilution-info": "", "FlowCytIntra-species-notes": "<p></p>", "ICCIF-species-checked": "testedAndGuaranteed", "ICCIF-species-dilution-info": "", "ICCIF-species-notes": "<p></p>", "WB-species-checked": "testedAndGuaranteed", "WB-species-dilution-info": "", "WB-species-notes": "<p></p>" }, "Mouse": { "IHCP-species-checked": "predicted", "IHCP-species-dilution-info": "", "IHCP-species-notes": "", "FlowCytIntra-species-checked": "guaranteed", "FlowCytIntra-species-dilution-info": "", "FlowCytIntra-species-notes": "", "ICCIF-species-checked": "guaranteed", "ICCIF-species-dilution-info": "", "ICCIF-species-notes": "", "WB-species-checked": "testedAndGuaranteed", "WB-species-dilution-info": "", "WB-species-notes": "<p></p>" }, "Rat": { "IHCP-species-checked": "predicted", "IHCP-species-dilution-info": "", "IHCP-species-notes": "", "FlowCytIntra-species-checked": "guaranteed", "FlowCytIntra-species-dilution-info": "", "FlowCytIntra-species-notes": "", "ICCIF-species-checked": "guaranteed", "ICCIF-species-dilution-info": "", "ICCIF-species-notes": "", "WB-species-checked": "testedAndGuaranteed", "WB-species-dilution-info": "", "WB-species-notes": "<p></p>" }, "African green monkey": { "IHCP-species-checked": "guaranteed", "IHCP-species-dilution-info": "", "IHCP-species-notes": "<p></p>", "FlowCytIntra-species-checked": "guaranteed", "FlowCytIntra-species-dilution-info": "", "FlowCytIntra-species-notes": "<p></p>", "ICCIF-species-checked": "guaranteed", "ICCIF-species-dilution-info": "", "ICCIF-species-notes": "<p></p>", "WB-species-checked": "testedAndGuaranteed", "WB-species-dilution-info": "", "WB-species-notes": "<p></p>" }, "Chicken": { "IHCP-species-checked": "predicted", "IHCP-species-dilution-info": "", "IHCP-species-notes": "", "FlowCytIntra-species-checked": "guaranteed", "FlowCytIntra-species-dilution-info": "", "FlowCytIntra-species-notes": "", "ICCIF-species-checked": "guaranteed", "ICCIF-species-dilution-info": "", "ICCIF-species-notes": "", "WB-species-checked": "testedAndGuaranteed", "WB-species-dilution-info": "", "WB-species-notes": "<p></p>" }, "Cow": { "IHCP-species-checked": "predicted", "IHCP-species-dilution-info": "", "IHCP-species-notes": "", "FlowCytIntra-species-checked": "guaranteed", "FlowCytIntra-species-dilution-info": "", "FlowCytIntra-species-notes": "", "ICCIF-species-checked": "guaranteed", "ICCIF-species-dilution-info": "", "ICCIF-species-notes": "", "WB-species-checked": "testedAndGuaranteed", "WB-species-dilution-info": "", "WB-species-notes": "<p></p>" }, "Dog": { "IHCP-species-checked": "predicted", "IHCP-species-dilution-info": "", "IHCP-species-notes": "", "FlowCytIntra-species-checked": "guaranteed", "FlowCytIntra-species-dilution-info": "", "FlowCytIntra-species-notes": "", "ICCIF-species-checked": "guaranteed", "ICCIF-species-dilution-info": "", "ICCIF-species-notes": "", "WB-species-checked": "testedAndGuaranteed", "WB-species-dilution-info": "", "WB-species-notes": "<p></p>" }, "Hamster": { "IHCP-species-checked": "predicted", "IHCP-species-dilution-info": "", "IHCP-species-notes": "", "FlowCytIntra-species-checked": "guaranteed", "FlowCytIntra-species-dilution-info": "", "FlowCytIntra-species-notes": "", "ICCIF-species-checked": "guaranteed", "ICCIF-species-dilution-info": "", "ICCIF-species-notes": "", "WB-species-checked": "testedAndGuaranteed", "WB-species-dilution-info": "", "WB-species-notes": "<p></p>" }, "Monkey": { "IHCP-species-checked": "predicted", "IHCP-species-dilution-info": "", "IHCP-species-notes": "", "FlowCytIntra-species-checked": "predicted", "FlowCytIntra-species-dilution-info": "", "FlowCytIntra-species-notes": "", "ICCIF-species-checked": "predicted", "ICCIF-species-dilution-info": "", "ICCIF-species-notes": "", "WB-species-checked": "predicted", "WB-species-dilution-info": "", "WB-species-notes": "" } } }

Product details

ab250104 is the carrier-free version of ab179511.

Patented technology
Our RabMAb® technology is a patented hybridoma-based technology for making rabbit monoclonal antibodies. For details on our patents, please refer to RabMAb® patents.

What are the advantages of a recombinant monoclonal antibody?
This product is a recombinant monoclonal antibody, which offers several advantages including:

  • - High batch-to-batch consistency and reproducibility
  • - Improved sensitivity and specificity
  • - Long-term security of supply
  • - Animal-free batch production

For more information, read more on recombinant antibodies.

Conjugation ready
Our carrier-free antibodies are typically supplied in a PBS-only formulation, purified and free of BSA, sodium azide and glycerol. This conjugation-ready format is designed for use with fluorochromes, metal isotopes, oligonucleotides, and enzymes, which makes them ideal for antibody labelling, functional and cell-based assays, flow-based assays (e.g. mass cytometry) and Multiplex Imaging applications.

Use our conjugation kits for antibody conjugates that are ready-to-use in as little as 20 minutes with 1 minute hands-on-time and 100% antibody recovery: available for fluorescent dyes, HRP, biotin and gold.

Compatibility
This product is compatible with the Maxpar® Antibody Labeling Kit from Fluidigm, without the need for antibody preparation. Maxpar® is a trademark of Fluidigm Canada Inc.

Properties and storage information

Form
Liquid
Purification technique
Affinity purification Protein A
Storage buffer
pH: 7.2 - 7.4 Constituents: PBS
Shipped at conditions
Blue Ice
Appropriate short-term storage conditions
+4°C
Appropriate long-term storage conditions
+4°C
Storage information
Do Not Freeze

Supplementary information

This supplementary information is collated from multiple sources and compiled automatically.

Beta I Tubulin also known as TUBB1 is an essential component of the microtubule cytoskeleton specifically expressed in hematopoietic cells such as platelets. It is a protein with a mass of approximately 50 kDa. This protein shares structural similarities with other beta tubulins forming heterodimers with alpha-tubulin to construct the microtubules necessary for cell shape and movement. Beta I Tubulin primarily localizes to regions where it aids in the dynamics of microtubule assembly and stabilization.
Biological function summary

Beta tubulins are important for proper cell division signal transduction and organelle positioning. Beta I Tubulin integrates into the microtubule complex playing an important role in platelet formation and function. The dynamic behavior of microtubules facilitated by beta I Tubulin and its interactions influences cytoskeletal organization enabling cells to maintain their architecture and transport intracellular components effectively.

Pathways

Beta I Tubulin becomes critical in signaling pathways that involve cytoskeleton dynamics such as the Rho GTPase signaling pathway which is essential for actin and microtubule dynamics. It works together with proteins like alpha-tubulin and actin to ensure the proper development of megakaryocytes precursors to platelets. The function of these pathways determines efficient platelet production and stabilization closely linked to overall cellular homeostasis and response to external stimuli.

Beta I Tubulin has connections to conditions such as congenital macrothrombocytopenia and other platelet disorders. Mutations or dysregulations of beta I Tubulin can lead to abnormal platelet morphology and function impacting hemostasis. This protein also shows connections to alpha-tubulin in these disorders indicating the essential partnership between tubulin subunits in the formation of functional microtubules and emphasizing their significance in maintaining normal physiological states.

Product protocols

For this product, it's our understanding that no specific protocols are required. You can visit:

Target data

Tubulin is the major constituent of microtubules, a cylinder consisting of laterally associated linear protofilaments composed of alpha- and beta-tubulin heterodimers. Microtubules grow by the addition of GTP-tubulin dimers to the microtubule end, where a stabilizing cap forms. Below the cap, tubulin dimers are in GDP-bound state, owing to GTPase activity of alpha-tubulin.
See full target information TUBB1

Publications (3)

Recent publications for all applications. Explore the full list and refine your search

Advanced science (Weinheim, Baden-Wurttemberg, Germany) 11:e2207435 PubMed38286681

2024

Defective Homologous Recombination Repair By Up-Regulating Lnc-HZ10/Ahr Loop in Human Trophoblast Cells Induced Miscarriage.

Applications

Unspecified application

Species

Unspecified reactive species

Weina Chen,Chenyang Mi,Ying Zhang,Yang Yang,Wenxin Huang,Zhongyan Xu,Jingsong Zhao,Rong Wang,Manli Wang,Shukun Wan,Xiaoqing Wang,Huidong Zhang

Molecular therapy : the journal of the American Society of Gene Therapy 30:1054-1070 PubMed35038580

2022

Exosome-derived circTRPS1 promotes malignant phenotype and CD8+ T cell exhaustion in bladder cancer microenvironments.

Applications

Unspecified application

Species

Unspecified reactive species

Chen Yang,Siqi Wu,Zezhong Mou,Quan Zhou,Xiyu Dai,Yuxi Ou,Xinan Chen,Yiling Chen,Chenyang Xu,Yun Hu,Limin Zhang,Lujia Zou,Shengming Jin,Jimeng Hu,Shanhua Mao,Haowen Jiang

Molecular therapy. Nucleic acids 23:1323-1333 PubMed33717652

2021

SIRT1-induced deacetylation of Akt expedites platelet phagocytosis and delays HEMEC aging.

Applications

Unspecified application

Species

Unspecified reactive species

Yong Lan,Min Dong,Yongjun Li,Yongpeng Diao,Zuoguang Chen,Yangfang Li
View all publications

Product promise

We are committed to supporting your work with high-quality reagents, and we're here for you every step of the way. In the unlikely event that one of our products does not perform as expected, you're protected by our Product Promise.
For full details, please see our Terms & Conditions

Please note: All products are 'FOR RESEARCH USE ONLY. NOT FOR USE IN DIAGNOSTIC OR THERAPEUTIC PROCEDURES'.

For licensing inquiries, please contact partnerships@abcam.com