JavaScript is disabled in your browser. Please enable JavaScript to view this website.
AB28035

Anti-beta II Tubulin antibody [7B9]

Be the first to review this product! Submit a review

|

(8 Publications)

Mouse Recombinant Monoclonal TBB2A antibody. Suitable for ICC/IF, IP, WB and reacts with Human, Mouse, Rat samples. Cited in 8 publications.

View Alternative Names

TUBB2, TUBB2A, Tubulin beta-2A chain, Tubulin beta class IIa

8 Images
Immunocytochemistry/ Immunofluorescence - Anti-beta II Tubulin antibody [7B9] (AB28035)
  • ICC/IF

Unknown

Immunocytochemistry/ Immunofluorescence - Anti-beta II Tubulin antibody [7B9] (AB28035)

Immunofluorescent analysis of 4% Paraformaldehyde-fixed, 0.1% Triton X-100 permeabilized U-87 MG cells labelling beta II Tubulin with ab28035 at 1/50 dilution, followed by ab150113 Goat Anti-mouse IgG H&L (Alexa Fluor® 488) antibody at 1/1000 dilution (Green). Confocal image showing cytoplasmic staining in U-87 MG cell line. ab179513 anti-beta Tubulin rabbit monoclonal antibody was used to counterstain tubulin at 1/500 dilution, followed by ab150080 Goat Anti-Rabbit IgG H&L (Alexa Fluor® 594) (Red). The nuclear counterstain was DAPI (Blue).

Negative control 1 : ab28035 at a 1/500 dilution followed by ab150080 at a 1/500 dilution.

Negative control 2 : ab179513 at a 1/500 dilution followed by ab150113 at a 1/1000 dilution.

Immunocytochemistry/ Immunofluorescence - Anti-beta II Tubulin antibody [7B9] (AB28035)
  • ICC/IF

Unknown

Immunocytochemistry/ Immunofluorescence - Anti-beta II Tubulin antibody [7B9] (AB28035)

Immunofluorescent analysis of 4% Paraformaldehyde-fixed, 0.1% Triton X-100 permeabilized Neuro-2a cells labelling beta II Tubulin with ab28035 at 1/50 dilution, followed by ab150113 Goat Anti-mouse IgG H&L (Alexa Fluor® 488) antibody at 1/1000 dilution (Green). Confocal image showing cytoplasmic staining in Neuro-2a cell line. ab179513 anti-beta Tubulin rabbit monoclonal antibody was used to counterstain tubulin at 1/500 dilution, followed by ab150080 Goat Anti-Rabbit IgG H&L (Alexa Fluor® 594) (Red). The nuclear counterstain was DAPI (Blue).

Negative control 1 : ab28035 at a 1/500 dilution followed by ab150080 at a 1/500 dilution.

Negative control 2 : ab179513 at a 1/500 dilution followed by ab150113 at a 1/1000 dilution.

Immunocytochemistry/ Immunofluorescence - Anti-beta II Tubulin antibody [7B9] (AB28035)
  • ICC/IF

Unknown

Immunocytochemistry/ Immunofluorescence - Anti-beta II Tubulin antibody [7B9] (AB28035)

Immunofluorescent analysis of 4% Paraformaldehyde-fixed, 0.1% Triton X-100 permeabilized PC-12 cells labelling beta II Tubulin with ab28035 at 1/50 dilution, followed by ab150113 Goat Anti-mouse IgG H&L (Alexa Fluor® 488) antibody at 1/1000 dilution (Green). Confocal image showing cytoplasmic staining in PC-12 cell line. ab179513 anti-beta Tubulin rabbit monoclonal antibody was used to counterstain tubulin at 1/500 dilution, followed by ab150080 Goat Anti-Rabbit IgG H&L (Alexa Fluor® 594) (Red). The nuclear counterstain was DAPI (Blue).

Negative control 1 : ab28035 at a 1/500 dilution followed by ab150080 at a 1/500 dilution.

Negative control 2 : ab179513 at a 1/500 dilution followed by ab150113 at a 1/1000 dilution.

Immunoprecipitation - Anti-beta II Tubulin antibody [7B9] (AB28035)
  • IP

Unknown

Immunoprecipitation - Anti-beta II Tubulin antibody [7B9] (AB28035)

beta II Tubulin was immunoprecipitated from 0.35 mg Neuro-2a (mouse neuroblastoma neuroblast) whole cell lysate with ab28035 at 1/30 dilution (2μg in 0.35mg lysates). Western blot was performed on the immunoprecipitate using ab28035 at 1/1000 dilution. mouse IgG for IP (HRP) (ab131368) was used at 1/1000 dilution.

Lane 1 : Neuro-2a whole cell lysate 10μg.

Lane 2 : ab28035 IP in Neuro-2a whole cell lysate.

Lane 3 : Mouse monoclonal IgG (ab18443) instead of ab28035 in Neuro-2a whole cell lysate.

Blocking/Dilution buffer : 5% NFDM/TBST.

Exposure time : 3 seconds.

All lanes:

Immunoprecipitation - Anti-beta II Tubulin antibody [7B9] (ab28035)

Predicted band size: 50 kDa

false

Western blot - Anti-beta II Tubulin antibody [7B9] (AB28035)
  • WB

Lab

Western blot - Anti-beta II Tubulin antibody [7B9] (AB28035)

Blocking/Dilution buffer : 5% NFDM/TBST.

Negative control : Human heart (PMID : 20191564).

All lanes:

Western blot - Anti-beta II Tubulin antibody [7B9] (ab28035) at 1/1000 dilution

Lane 1:

Human brain tissue lysate at 20 µg

Lane 2:

Human heart tissue lysate at 20 µg

Secondary

All lanes:

Western blot - VeriBlot for IP Detection Reagent (HRP) (<a href='/en-us/products/reagents/veriblot-for-ip-detection-reagent-hrp-ab131366'>ab131366</a>) at 1/1000 dilution

Predicted band size: 50 kDa

false

Exposure time: 1s

Western blot - Anti-beta II Tubulin antibody [7B9] (AB28035)
  • WB

Lab

Western blot - Anti-beta II Tubulin antibody [7B9] (AB28035)

Blocking/Dilution buffer : 5% NFDM/TBST.

All lanes:

Western blot - Anti-beta II Tubulin antibody [7B9] (ab28035) at 1/1000 dilution

Lane 1:

U-87 MG (human glioblastoma-astrocytoma epithelial cell), whole cell lysate at 20 µg

Lane 2:

Y79 (human retinoblastoma retinoblastoma), whole cell lysate at 20 µg

Lane 3:

MDA-MB-231 (human breast adenocarcinoma epithelial cell), whole cell lysate at 20 µg

Secondary

All lanes:

Western blot - VeriBlot for IP Detection Reagent (HRP) (<a href='/en-us/products/reagents/veriblot-for-ip-detection-reagent-hrp-ab131366'>ab131366</a>) at 1/1000 dilution

Predicted band size: 50 kDa

false

Exposure time: 180s

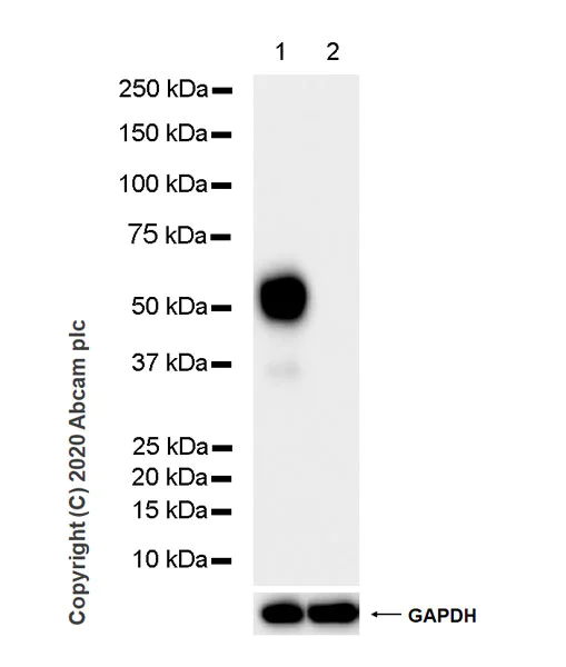
Western blot - Anti-beta II Tubulin antibody [7B9] (AB28035)
  • WB

Lab

Western blot - Anti-beta II Tubulin antibody [7B9] (AB28035)

Blocking/Dilution buffer : 5% NFDM/TBST.

Exposure time : lane 1, 2 : 1 second
lane 3 : 3 seconds

All lanes:

Western blot - Anti-beta II Tubulin antibody [7B9] (ab28035) at 1/1000 dilution

Lane 1:

C6 (rat glial tumor glial cell), whole cell lysate at 20 µg

Lane 2:

PC-12 (rat adrenal gland pheochromocytoma), whole cell lysate at 20 µg

Secondary

All lanes:

Western blot - Anti-mouse IgG for IP (HRP) (<a href='/en-us/products/secondary-antibodies/mouse-igg-for-ip-hrp-ab131368'>ab131368</a>) at 1/1000 dilution

Predicted band size: 50 kDa

false

Western blot - Anti-beta II Tubulin antibody [7B9] (AB28035)
  • WB

Lab

Western blot - Anti-beta II Tubulin antibody [7B9] (AB28035)

Blocking/Dilution buffer : 5% NFDM/TBST.

All lanes:

Western blot - Anti-beta II Tubulin antibody [7B9] (ab28035) at 1/1000 dilution

Lane 1:

Mouse brain tissue lysate at 20 µg

Lane 2:

Rat brain tissue lysate at 20 µg

Secondary

All lanes:

Western blot - Anti-mouse IgG for IP (HRP) (<a href='/en-us/products/secondary-antibodies/mouse-igg-for-ip-hrp-ab131368'>ab131368</a>) at 1/1000 dilution

Predicted band size: 50 kDa

false

Exposure time: 1s

  • Carrier free

    Anti-beta II Tubulin antibody [7B9] - BSA and Azide free

Key facts

Host species

Mouse

Clonality

Monoclonal

Clone number

7B9

Isotype

IgG1

Carrier free

No

Reacts with

Mouse, Rat, Human

Applications

IP, WB, ICC/IF

applications

Immunogen

The exact immunogen used to generate this antibody is proprietary information.

Reactivity data

{ "title": "Reactivity Data", "filters": { "stats": ["", "Species", "Dilution Info", "Notes"], "tabs": { "all-applications": {"fullname" : "All Applications", "shortname": "All Applications"}, "ICCIF" : {"fullname" : "Immunocytochemistry/ Immunofluorescence", "shortname":"ICC/IF"}, "IP" : {"fullname" : "Immunoprecipitation", "shortname":"IP"}, "WB" : {"fullname" : "Western blot", "shortname":"WB"} }, "product-promise": { "all": "all", "testedAndGuaranteed": "tested", "guaranteed": "expected", "predicted": "predicted", "notRecommended": "not-recommended" } }, "values": { "Human": { "ICCIF-species-checked": "testedAndGuaranteed", "ICCIF-species-dilution-info": "1/50", "ICCIF-species-notes": "<p></p>", "IP-species-checked": "guaranteed", "IP-species-dilution-info": "", "IP-species-notes": "", "WB-species-checked": "testedAndGuaranteed", "WB-species-dilution-info": "1/1000", "WB-species-notes": "<p></p>" }, "Mouse": { "ICCIF-species-checked": "testedAndGuaranteed", "ICCIF-species-dilution-info": "1/50", "ICCIF-species-notes": "<p></p>", "IP-species-checked": "testedAndGuaranteed", "IP-species-dilution-info": "1/30", "IP-species-notes": "<p></p>", "WB-species-checked": "testedAndGuaranteed", "WB-species-dilution-info": "1/1000", "WB-species-notes": "<p></p>" }, "Rat": { "ICCIF-species-checked": "testedAndGuaranteed", "ICCIF-species-dilution-info": "1/50", "ICCIF-species-notes": "<p></p>", "IP-species-checked": "guaranteed", "IP-species-dilution-info": "", "IP-species-notes": "", "WB-species-checked": "testedAndGuaranteed", "WB-species-dilution-info": "1/1000", "WB-species-notes": "<p></p>" } } }

Product details

What are the advantages of a recombinant monoclonal antibody?
This product is a recombinant monoclonal antibody, which offers several advantages including:

  • - High batch-to-batch consistency and reproducibility
  • - Improved sensitivity and specificity
  • - Long-term security of supply
  • - Animal-free batch production

For more information, read more on recombinant antibodies.

Want a custom formulation?
This antibody clone is manufactured by Abcam. If you require a custom buffer formulation or conjugation for your experiments, please contact orders@abcam.com

Properties and storage information

Form
Liquid
Purification technique
Affinity purification Protein A
Storage buffer
pH: 7.2 - 7.4 Preservative: 0.01% Sodium azide Constituents: PBS, 40% Glycerol (glycerin, glycerine), 0.05% BSA
Shipped at conditions
Blue Ice
Appropriate short-term storage duration
1-2 weeks
Appropriate short-term storage conditions
+4°C
Appropriate long-term storage conditions
-20°C
Aliquoting information
Upon delivery aliquot
Storage information
Avoid freeze / thaw cycle

Supplementary information

This supplementary information is collated from multiple sources and compiled automatically.

Beta II tubulin also known as beta 2 tubulin is a significant component of microtubules which are essential for maintaining cell structure and integrity. This protein with an approximate molecular mass of 50 kDa is encoded by the TUBB2B gene. It is expressed in various tissues with high expression levels in neuronal tissues contributing to the formation of the cytoskeleton by polymerizing with alpha tubulin to form heterodimers. Alternative names for this protein include 7b9 and C#7b9 though beta II is a common reference in scientific literature.
Biological function summary

Beta II tubulin plays an important role in cellular processes like cell division and intracellular transport. As part of the microtubule complex it provides critical support in mitotic spindle formation facilitating chromosomal segregation during mitosis. It also assists in maintaining neuronal cell stability which is vital for proper neurological functions. The dynamic nature of microtubules aided by beta II tubulin ensures the correct distribution of organelles and other intracellular structures highlighting its importance in cellular mechanics.

Pathways

Beta II tubulin interacts with several critical cellular pathways including the mitotic spindle checkpoint pathway and axonal guidance. It closely associates with other tubulins such as alpha and gamma tubulin ensuring the regulation and stabilization of microtubule dynamics. These pathways are integral to cell cycle regulation and neural development highlighting beta II tubulin's involvement in important cellular and developmental processes.

Mutations or dysregulation in beta II tubulin can relate to neurological disorders such as malformation of cortical development and certain types of brain atrophy. These are often linked to the protein's key role in neuronal function and axonal transport. Additionally altered expression of beta II tubulin has a connection to microtubule-related proteins such as tau which are implicated in neurodegenerative disorders like Alzheimer's disease. This highlights the importance of beta II tubulin in maintaining neuronal health and provides potential targets for therapeutic interventions.

Product protocols

For this product, it's our understanding that no specific protocols are required. You can visit:

Target data

Tubulin is the major constituent of microtubules, a cylinder consisting of laterally associated linear protofilaments composed of alpha- and beta-tubulin heterodimers. Microtubules grow by the addition of GTP-tubulin dimers to the microtubule end, where a stabilizing cap forms. Below the cap, tubulin dimers are in GDP-bound state, owing to GTPase activity of alpha-tubulin.
See full target information TUBB2A

Publications (8)

Recent publications for all applications. Explore the full list and refine your search

Advanced science (Weinheim, Baden-Wurttemberg, Germany) 11:e2404080 PubMed39041921

2024

PP2Ac Regulates Autophagy via Mediating mTORC1 and ULK1 During Osteoclastogenesis in the Subchondral Bone of Osteoarthritis.

Applications

Unspecified application

Species

Unspecified reactive species

Haifeng Zhang,Gaoran Ge,Wei Zhang,Houyi Sun,Xiaolong Liang,Yu Xia,Jiacheng Du,Zerui Wu,Jiaxiang Bai,Huilin Yang,Xing Yang,Jun Zhou,Yaozeng Xu,Dechun Geng

International journal of molecular medicine 41:791-799 PubMed29207015

2017

Human amniotic epithelial cells regulate osteoblast differentiation through the secretion of TGFβ1 and microRNA-34a-5p.

Applications

Unspecified application

Species

Unspecified reactive species

Guiling Wang,Feng Zhao,Di Yang,Jing Wang,Lihong Qiu,Xining Pang

Frontiers in neuroscience 10:598 PubMed28197064

2017

Resveratrol Attenuates Formaldehyde Induced Hyperphosphorylation of Tau Protein and Cytotoxicity in N2a Cells.

Applications

Unspecified application

Species

Unspecified reactive species

Xiaping He,Zhenhui Li,Joshua D Rizak,Shihao Wu,Zhengbo Wang,Rongqiao He,Min Su,Dongdong Qin,Jingkun Wang,Xintian Hu

BMC cancer 14:37 PubMed24447372

2014

Multiple mechanisms underlying acquired resistance to taxanes in selected docetaxel-resistant MCF-7 breast cancer cells.

Applications

Unspecified application

Species

Unspecified reactive species

Harris Wang,The Vo,Ali Hajar,Sarah Li,Xinmei Chen,Amadeo M Parissenti,David N Brindley,Zhixiang Wang

British journal of cancer 108:82-90 PubMed23321512

2013

Altered TUBB3 expression contributes to the epothilone response of mitotic cells.

Applications

Unspecified application

Species

Unspecified reactive species

E Narvi,K Jaakkola,S Winsel,C Oetken-Lindholm,P Halonen,L Kallio,M J Kallio

Cancer research 70:4995-5003 PubMed20501838

2010

betaIII-tubulin is a multifunctional protein involved in drug sensitivity and tumorigenesis in non-small cell lung cancer.

Applications

Unspecified application

Species

Unspecified reactive species

Joshua A McCarroll,Pei Pei Gan,Marjorie Liu,Maria Kavallaris

British journal of cancer 88:1793-9 PubMed12771997

2003

Drug resistance associated with loss of p53 involves extensive alterations in microtubule composition and dynamics.

Applications

Unspecified application

Species

Unspecified reactive species

C M Galmarini,K Kamath,A Vanier-Viornery,V Hervieu,E Peiller,N Falette,A Puisieux,M Ann Jordan,C Dumontet

The Journal of comparative neurology 364:219-30 PubMed8788246

1996

Developmental expression of a neuron-specific beta-tubulin in frog (Xenopus laevis): a marker for growing axons during the embryonic period.

Applications

Unspecified application

Species

Unspecified reactive species

S A Moody,V Miller,A Spanos,A Frankfurter
View all publications

Product promise

We are committed to supporting your work with high-quality reagents, and we're here for you every step of the way. In the unlikely event that one of our products does not perform as expected, you're protected by our Product Promise.
For full details, please see our Terms & Conditions

Please note: All products are 'FOR RESEARCH USE ONLY. NOT FOR USE IN DIAGNOSTIC OR THERAPEUTIC PROCEDURES'.

For licensing inquiries, please contact partnerships@abcam.com