JavaScript is disabled in your browser. Please enable JavaScript to view this website.
AB231084

Anti-beta III Tubulin antibody [5G8] - Neuronal Marker

Be the first to review this product! Submit a review

|

(2 Publications)

Mouse Monoclonal Beta-3-tubulin antibody. Suitable for IHC-P, WB, ICC/IF and reacts with Rat, Human, Mouse samples. Cited in 2 publications.

View Alternative Names

TUBB4, TUBB3, Tubulin beta-3 chain, Tubulin beta-4 chain, Tubulin beta-III

4 Images
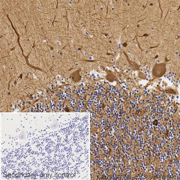
Immunohistochemistry (Formalin/PFA-fixed paraffin-embedded sections) - Anti-beta III Tubulin antibody [5G8] - Neuronal Marker (AB231084)
  • IHC-P

Lab

Immunohistochemistry (Formalin/PFA-fixed paraffin-embedded sections) - Anti-beta III Tubulin antibody [5G8] - Neuronal Marker (AB231084)

IHC image of beta III Tubulin staining in a section of formalin-fixed paraffin-embedded normal human cerebellum performed on a Leica BONDTM system using the standard protocol F. The section was pre-treated using heat mediated antigen retrieval with sodium citrate buffer (pH6, epitope retrieval solution 1) for 20mins. The section was then incubated with ab231084, 1ug/ml, for 15 mins at room temperature and detected using an HRP conjugated compact polymer system. DAB was used as the chromogen. The section was then counterstained with haematoxylin and mounted with DPX. The inset secondary-only control image is taken from an identical assay without primary antibody.

For other IHC staining systems (automated and non-automated) customers should optimize variable parameters such as antigen retrieval conditions, primary antibody concentration and antibody incubation times.

Immunocytochemistry/ Immunofluorescence - Anti-beta III Tubulin antibody [5G8] - Neuronal Marker (AB231084)
  • ICC/IF

Lab

Immunocytochemistry/ Immunofluorescence - Anti-beta III Tubulin antibody [5G8] - Neuronal Marker (AB231084)

ab231084 staining beta III tubulin (shown in green) in wild-type HAP1 cells (top panel) and TUBB3 knockout HAP1 cells (bottom panel).

The cells were fixed with 100% methanol (5 min), permeabilized with 0.1% Triton X-100 for 5 mins and then blocked with 1% BSA/10% normal goat serum/0.3M glycine in 0.1% PBS-Tween for 1h. The cells were then incubated overnight at +4°C with ab231084 at 1 μg/ml and ab6046, Rabbit polyclonal to beta Tubulin - Loading Control, at 1/1000 dilution. Cells were then incubated with ab150117, Goat Anti-Mouse IgG H&L (Alexa Fluor® 488) at 1/1000 dilution (shown in green) and ab150084, Goat polyclonal Secondary Antibody to Rabbit IgG - H&L (Alexa Fluor® 594) at 1/1000 dilution (shown in pseudocolor red). Nuclear DNA was labeled with DAPI (shown in blue).

Image was taken with a confocal microscope (Leica-Microsystems, TCS SP8).

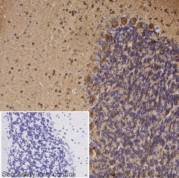
Immunohistochemistry (Formalin/PFA-fixed paraffin-embedded sections) - Anti-beta III Tubulin antibody [5G8] - Neuronal Marker (AB231084)
  • IHC-P

Lab

Immunohistochemistry (Formalin/PFA-fixed paraffin-embedded sections) - Anti-beta III Tubulin antibody [5G8] - Neuronal Marker (AB231084)

IHC image of beta III Tubulin staining in a section of formalin-fixed paraffin-embedded normal rat cerebellum performed on a Leica BONDTM system using the standard protocol F. The section was pre-treated using heat mediated antigen retrieval with sodium citrate buffer (pH6, epitope retrieval solution 1) for 20mins. The section was then incubated with ab231084, 1ug/ml, for 15 mins at room temperature and detected using an HRP conjugated compact polymer system. DAB was used as the chromogen. The section was then counterstained with haematoxylin and mounted with DPX. The inset secondary-only control image is taken from an identical assay without primary antibody.

For other IHC staining systems (automated and non-automated) customers should optimize variable parameters such as antigen retrieval conditions, primary antibody concentration and antibody incubation times.

Western blot - Anti-beta III Tubulin antibody [5G8] - Neuronal Marker (AB231084)
  • WB

Lab

Western blot - Anti-beta III Tubulin antibody [5G8] - Neuronal Marker (AB231084)

ab231084 was shown to specifically react with beta III Tubulin (TUBB3) in wild type HAP1 cells. No band was observed when beta III Tubulin (TUBB3) knockout samples were used. Wild-type and beta III Tubulin (TUBB3) knockout samples were subjected to SDS-PAGE. ab231084 and ab181602 (Rabbit anti GAPDH) were incubated overnight at 4°C at 1ug/ml and 1/10000 dilution respectively. Blots were developed with Goat anti-Rabbit IgG H&L (IRDye® 800CW) preadsorbed (ab216773) and Goat anti-Mouse IgG H&L (IRDye® 680RD) preadsorbed (ab216776) secondary antibodies at 1/20000 dilution for 1 hour at room temperature before imaging.

All lanes:

Western blot - Anti-beta III Tubulin antibody [5G8] - Neuronal Marker (ab231084)

Lane 1:

HAP1 whole cell lysate at 20 µg

Lane 2:

HAP1 TUBB3 knockout whole cell lysate at 20 µg

Lane 3:

Neuro2a whole cell lysate at 20 µg

Lane 4:

PC12 whole cell lysate at 20 µg

Predicted band size: 50 kDa

Observed band size: 55 kDa

false

  • Carrier free

    Anti-beta III Tubulin antibody [5G8] - BSA and Azide free

Key facts

Host species

Mouse

Clonality

Monoclonal

Clone number

5G8

Isotype

IgG1

Light chain type

kappa

Carrier free

No

Reacts with

Mouse, Rat, Human

Applications

ICC/IF, IHC-P, WB

applications

Immunogen

The exact immunogen used to generate this antibody is proprietary information.

Epitope

The epitope recognized by 5G8 is EAQGPK

Reactivity data

{ "title": "Reactivity Data", "filters": { "stats": ["", "Species", "Dilution Info", "Notes"], "tabs": { "all-applications": {"fullname" : "All Applications", "shortname": "All Applications"}, "IHCP" : {"fullname" : "Immunohistochemistry (Formalin/PFA-fixed paraffin-embedded sections)", "shortname":"IHC-P"}, "WB" : {"fullname" : "Western blot", "shortname":"WB"}, "ICCIF" : {"fullname" : "Immunocytochemistry/ Immunofluorescence", "shortname":"ICC/IF"} }, "product-promise": { "all": "all", "testedAndGuaranteed": "tested", "guaranteed": "expected", "predicted": "predicted", "notRecommended": "not-recommended" } }, "values": { "Human": { "IHCP-species-checked": "testedAndGuaranteed", "IHCP-species-dilution-info": "1 µg/mL", "IHCP-species-notes": "<p></p> Perform heat-mediated antigen retrieval with citrate buffer pH 6 before commencing with IHC staining protocol.", "WB-species-checked": "testedAndGuaranteed", "WB-species-dilution-info": "1 µg/mL", "WB-species-notes": "<p></p>", "ICCIF-species-checked": "testedAndGuaranteed", "ICCIF-species-dilution-info": "1 µg/mL", "ICCIF-species-notes": "<p></p>" }, "Mouse": { "IHCP-species-checked": "guaranteed", "IHCP-species-dilution-info": "", "IHCP-species-notes": "", "WB-species-checked": "testedAndGuaranteed", "WB-species-dilution-info": "1 µg/mL", "WB-species-notes": "<p></p>", "ICCIF-species-checked": "guaranteed", "ICCIF-species-dilution-info": "", "ICCIF-species-notes": "" }, "Rat": { "IHCP-species-checked": "testedAndGuaranteed", "IHCP-species-dilution-info": "1 µg/mL", "IHCP-species-notes": "<p></p> Perform heat-mediated antigen retrieval with citrate buffer pH 6 before commencing with IHC staining protocol.", "WB-species-checked": "testedAndGuaranteed", "WB-species-dilution-info": "1 µg/mL", "WB-species-notes": "<p></p>", "ICCIF-species-checked": "guaranteed", "ICCIF-species-dilution-info": "", "ICCIF-species-notes": "" } } }

Product details

Want a custom formulation?
This antibody clone is manufactured by Abcam. If you require a custom buffer formulation or conjugation for your experiments, please contact orders@abcam.com

Properties and storage information

Form
Liquid
Purification technique
Affinity purification
Storage buffer
Preservative: 0.02% Sodium azide Constituents: PBS
Shipped at conditions
Blue Ice
Appropriate short-term storage duration
1-2 weeks
Appropriate short-term storage conditions
+4°C
Appropriate long-term storage conditions
-20°C
Aliquoting information
Upon delivery aliquot
Storage information
Avoid freeze / thaw cycle

Supplementary information

This supplementary information is collated from multiple sources and compiled automatically.

Beta III tubulin often referred to as βIII tubulin or beta-tubulin 3 is a microtubule element involved in the cellular cytoskeleton structure. This protein with a molecular mass of approximately 55 kDa plays an important role in the development and maintenance of neuron structures. It is most prominently expressed in neurons within the central and peripheral nervous systems. In these cells beta III tubulin contributes to microtubule polymerization facilitating the formation of the intricate network necessary for cell shape intracellular transport and division.
Biological function summary

Beta III tubulin acts in stabilizing microtubules which are essential for proper neuronal function. It exists as part of the tubulin dimer complex partnering with alpha-tubulin to form the building blocks of microtubules. This particular isotype is often used as a marker for neuronal differentiation due to its specific expression pattern in neural tissues. Its regulation and expression levels are important for neurogenesis and maintaining neuronal plasticity.

Pathways

Beta III tubulin plays a role in neuron-specific intracellular transport and signaling pathways like the Rho GTPase and MAPK signaling pathways. These pathways are involved in cell cycle regulation and apoptotic processes. Relationships with other proteins such as kinesins and dyneins are important in these pathways influencing intracellular transport and signaling through binding and moving along the microtubule tracks created by beta-tubulin isotypes including beta III tubulin.

Abnormal beta III tubulin expression has been associated with cancer particularly in tumors originating from neuronal lineage such as glioblastomas. Overexpression or mutations can contribute to chemoresistance complicating treatment for certain types of cancer. Beta III tubulin is also linked to neurodevelopmental disorders as it affects proper neural network formation and stability. Its relationship with tumor protein p53 is noted in cancer pathways as p53 can influence beta III tubulin expression impacting cellular proliferation and apoptosis in oncogenic processes.

Product protocols

For this product, it's our understanding that no specific protocols are required. You can visit:

Target data

Tubulin is the major constituent of microtubules, a cylinder consisting of laterally associated linear protofilaments composed of alpha- and beta-tubulin heterodimers (PubMed : 34996871). Microtubules grow by the addition of GTP-tubulin dimers to the microtubule end, where a stabilizing cap forms (PubMed : 34996871). Below the cap, tubulin dimers are in GDP-bound state, owing to GTPase activity of alpha-tubulin (PubMed : 34996871). TUBB3 plays a critical role in proper axon guidance and maintenance (PubMed : 20074521). Binding of NTN1/Netrin-1 to its receptor UNC5C might cause dissociation of UNC5C from polymerized TUBB3 in microtubules and thereby lead to increased microtubule dynamics and axon repulsion (PubMed : 28483977). Plays a role in dorsal root ganglion axon projection towards the spinal cord (PubMed : 28483977).
See full target information TUBB3

Publications (2)

Recent publications for all applications. Explore the full list and refine your search

The Journal of neuroscience : the official journal of the Society for Neuroscience 43:1859-1870 PubMed36725322

2023

Insufficient Oligodendrocyte Turnover in Optic Nerve Contributes to Age-Related Axon Loss and Visual Deficits.

Applications

Unspecified application

Species

Unspecified reactive species

Jun-Jie Zhi,Shuang-Ling Wu,Hao-Qian Wu,Qi Ran,Xing Gao,Jing-Fei Chen,Xing-Mei Gu,Tao Li,Fei Wang,Lan Xiao,Jian Ye,Feng Mei

Methods in cell biology 95:33-46 PubMed20466128

2010

Characterization of anti-beta-tubulin antibodies.

Applications

Unspecified application

Species

Unspecified reactive species

Anthony J Spano,Anthony Frankfurter
View all publications

Product promise

We are committed to supporting your work with high-quality reagents, and we're here for you every step of the way. In the unlikely event that one of our products does not perform as expected, you're protected by our Product Promise.
For full details, please see our Terms & Conditions

Please note: All products are 'FOR RESEARCH USE ONLY. NOT FOR USE IN DIAGNOSTIC OR THERAPEUTIC PROCEDURES'.

For licensing inquiries, please contact partnerships@abcam.com