JavaScript is disabled in your browser. Please enable JavaScript to view this website.
AB231083

Anti-beta III Tubulin antibody [AA10] - Neuronal Marker

Be the first to review this product! Submit a review

|

(2 Publications)

Mouse Recombinant Monoclonal Beta-3-tubulin antibody. Suitable for IHC-P, WB and reacts with Mouse, Rat, Human samples. Cited in 2 publications.

View Alternative Names

TUBB4, TUBB3, Tubulin beta-3 chain, Tubulin beta-4 chain, Tubulin beta-III

7 Images
Immunohistochemistry (Formalin/PFA-fixed paraffin-embedded sections) - Anti-beta III Tubulin antibody [AA10] - Neuronal Marker (AB231083)
  • IHC-P

Unknown

Immunohistochemistry (Formalin/PFA-fixed paraffin-embedded sections) - Anti-beta III Tubulin antibody [AA10] - Neuronal Marker (AB231083)

Immunohistochemical analysis of paraffin-embedded human cerebellum tissue labeling class III beta tubulin with ab231083 at 1/4000 dilution followed by ready to use Goat Anti-mouse IgG H&L (HRP polymer) (ab214879). Positive staining on human cerebellum. The section was incubated with ab231083 for 30 mins at room temperature. The immunostaining was performed on a Leica Biosystems BOND® RX instrument. Counterstained with Hematoxylin.

Secondary antibody only control : Secondary antibody is ready to use Goat Anti-mouse IgG H&L (HRP polymer) (ab214879).

Heat mediated antigen retrieval with Citrate buffer (pH 6.0, epitope retrieval solution 1) for 20 mins.

Immunohistochemistry (Formalin/PFA-fixed paraffin-embedded sections) - Anti-beta III Tubulin antibody [AA10] - Neuronal Marker (AB231083)
  • IHC-P

Unknown

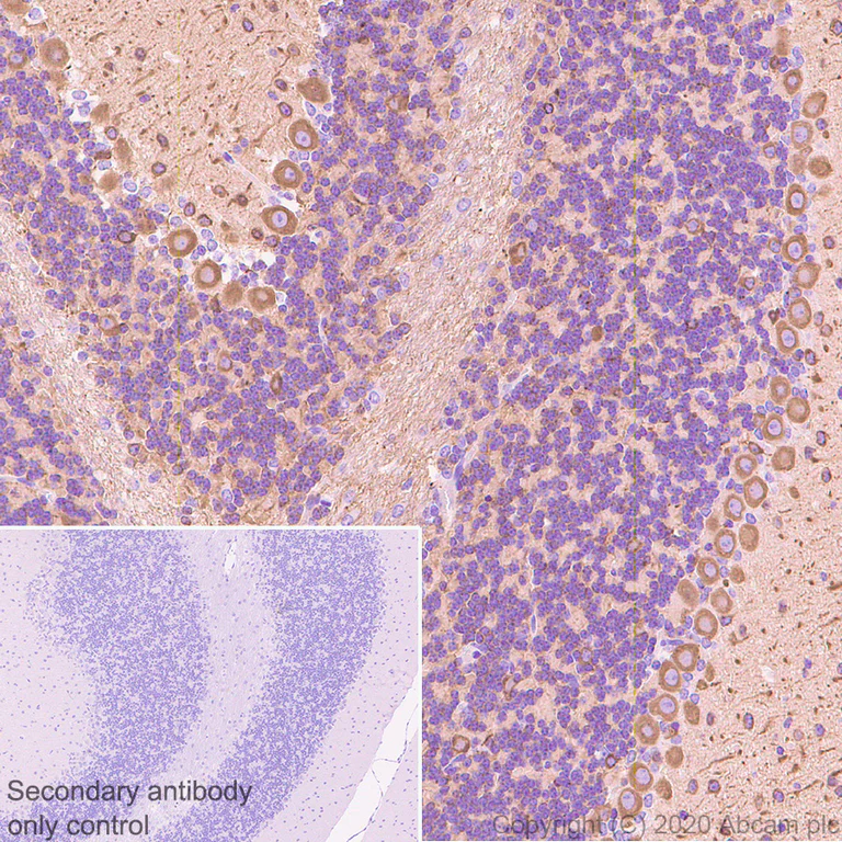
Immunohistochemistry (Formalin/PFA-fixed paraffin-embedded sections) - Anti-beta III Tubulin antibody [AA10] - Neuronal Marker (AB231083)

Immunohistochemical analysis of paraffin-embedded mouse cerebellum tissue labeling class III beta tubulin with ab231083 at 1/4000 dilution followed by ready to use Goat Anti-mouse IgG H&L (HRP polymer) (ab214879). Positive staining on mouse cerebellum. The section was incubated with ab231083 for 30 mins at room temperature. The immunostaining was performed on a Leica Biosystems BOND® RX instrument. Counterstained with Hematoxylin.

Secondary antibody only control : Secondary antibody is ready to use Goat Anti-mouse IgG H&L (HRP polymer) (ab214879).

Heat mediated antigen retrieval with Citrate buffer (pH 6.0, epitope retrieval solution 1) for 20 mins.

Immunohistochemistry (Formalin/PFA-fixed paraffin-embedded sections) - Anti-beta III Tubulin antibody [AA10] - Neuronal Marker (AB231083)
  • IHC-P

Unknown

Immunohistochemistry (Formalin/PFA-fixed paraffin-embedded sections) - Anti-beta III Tubulin antibody [AA10] - Neuronal Marker (AB231083)

Immunohistochemical analysis of paraffin-embedded rat cerebellum tissue labeling class III beta tubulin with ab231083 at 1/4000 dilution followed by ready to use Goat Anti-mouse IgG H&L (HRP polymer) (ab214879). Positive staining on rat cerebellum. The section was incubated with ab231083 for 30 mins at room temperature. The immunostaining was performed on a Leica Biosystems BOND® RX instrument. Counterstained with Hematoxylin.

Secondary antibody only control : Secondary antibody is ready to use Goat Anti-mouse IgG H&L (HRP polymer) (ab214879).

Heat mediated antigen retrieval with Citrate buffer (pH 6.0, epitope retrieval solution 1) for 20 mins.

Immunohistochemistry (Formalin/PFA-fixed paraffin-embedded sections) - Anti-beta III Tubulin antibody [AA10] - Neuronal Marker (AB231083)
  • IHC-P

Unknown

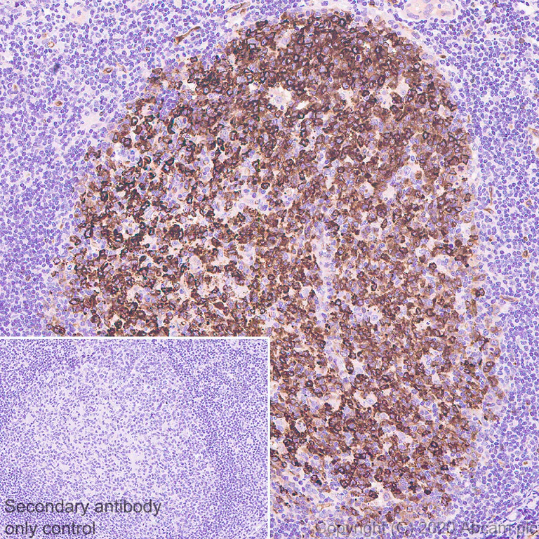
Immunohistochemistry (Formalin/PFA-fixed paraffin-embedded sections) - Anti-beta III Tubulin antibody [AA10] - Neuronal Marker (AB231083)

Immunohistochemical analysis of paraffin-embedded human tonstil tissue labeling class III beta tubulin with ab231083 at 1/4000 dilution followed by ready to use Goat Anti-mouse IgG H&L (HRP polymer) (ab214879). Positive staining on human tonsil. The section was incubated with ab231083 for 30 mins at room temperature. The immunostaining was performed on a Leica Biosystems BOND® RX instrument. Counterstained with Hematoxylin.

Secondary antibody only control : Secondary antibody is ready to use Goat Anti-mouse IgG H&L (HRP polymer) (ab214879).

Heat mediated antigen retrieval with Citrate buffer (pH 6.0, epitope retrieval solution 1) for 20 mins.

Immunohistochemistry (Formalin/PFA-fixed paraffin-embedded sections) - Anti-beta III Tubulin antibody [AA10] - Neuronal Marker (AB231083)
  • IHC-P

Unknown

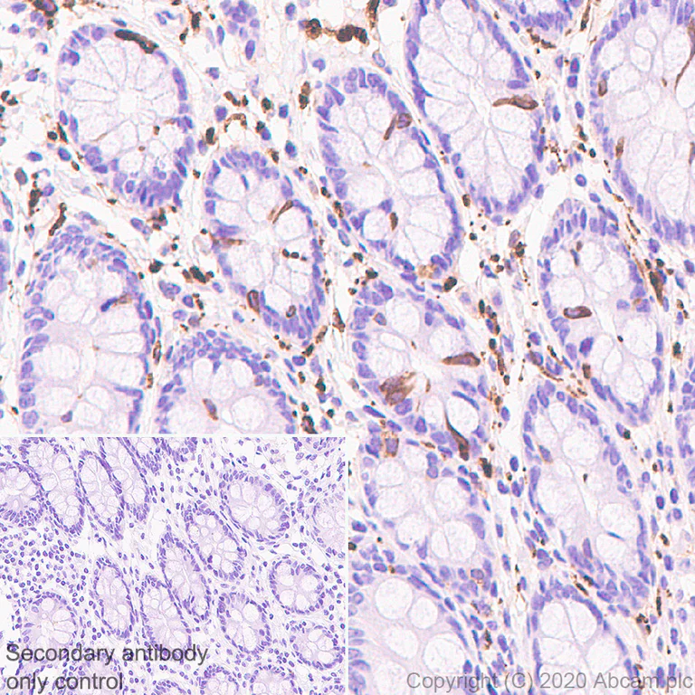
Immunohistochemistry (Formalin/PFA-fixed paraffin-embedded sections) - Anti-beta III Tubulin antibody [AA10] - Neuronal Marker (AB231083)

Immunohistochemical analysis of paraffin-embedded human colon tissue labeling class III beta tubulin with ab231083 at 1/4000 dilution followed by ready to use Goat Anti-mouse IgG H&L (HRP polymer) (ab214879). Positive staining on human colon. The section was incubated with ab231083 for 30 mins at room temperature. The immunostaining was performed on a Leica Biosystems BOND® RX instrument. Counterstained with Hematoxylin.

Secondary antibody only control : Secondary antibody is ready to use Goat Anti-mouse IgG H&L (HRP polymer) (ab214879).

Heat mediated antigen retrieval with Citrate buffer (pH 6.0, epitope retrieval solution 1) for 20 mins.

Western blot - Anti-beta III Tubulin antibody [AA10] - Neuronal Marker (AB231083)
  • WB

Lab

Western blot - Anti-beta III Tubulin antibody [AA10] - Neuronal Marker (AB231083)

Blocking/Dilution buffer : 5% NFDM/TBST.

Negative control : Human liver (PMID : 20191564).

All lanes:

Western blot - Anti-beta III Tubulin antibody [AA10] - Neuronal Marker (ab231083) at 1/1000 dilution

Lane 1:

Human brain tissue lysate at 10 µg

Lane 2:

Human heart tissue lysate at 10 µg

Secondary

All lanes:

Western blot - VeriBlot for IP Detection Reagent (HRP) (<a href='/en-us/products/reagents/veriblot-for-ip-detection-reagent-hrp-ab131366'>ab131366</a>) at 1/1000 dilution

Predicted band size: 50 kDa

false

Exposure time: 3s

Western blot - Anti-beta III Tubulin antibody [AA10] - Neuronal Marker (AB231083)
  • WB

Lab

Western blot - Anti-beta III Tubulin antibody [AA10] - Neuronal Marker (AB231083)

Blocking/Dilution buffer : 5% NFDM/TBST.

Exposure times : Lane 1 : 3 seconds; Lane 2-4 : 1 second.

All lanes:

Western blot - Anti-beta III Tubulin antibody [AA10] - Neuronal Marker (ab231083) at 1/1000 dilution

Lane 1:

SH-SY5Y (human neuroblastoma epithelial cell), whole cell lysate at 10 µg

Lane 2:

Neuro-2a (mouse neuroblastoma neuroblast), whole cell lysate at 10 µg

Lane 3:

Mouse brain tissue lysate at 10 µg

Lane 4:

Rat brain tissue lysate at 10 µg

Secondary

Lane 1:

Western blot - VeriBlot for IP Detection Reagent (HRP) (<a href='/en-us/products/reagents/veriblot-for-ip-detection-reagent-hrp-ab131366'>ab131366</a>) at 1/1000 dilution

Lanes 2 - 4:

Western blot - Anti-mouse IgG for IP (HRP) (<a href='/en-us/products/secondary-antibodies/mouse-igg-for-ip-hrp-ab131368'>ab131368</a>) at 1/1000 dilution

Predicted band size: 50 kDa

false

  • Carrier free

    Anti-beta III Tubulin antibody [AA10] - BSA and Azide free

Key facts

Host species

Mouse

Clonality

Monoclonal

Clone number

AA10

Isotype

IgG2a

Carrier free

No

Reacts with

Mouse, Rat, Human

Applications

IHC-P, WB

applications

Immunogen

The exact immunogen used to generate this antibody is proprietary information.

Reactivity data

{ "title": "Reactivity Data", "filters": { "stats": ["", "Species", "Dilution Info", "Notes"], "tabs": { "all-applications": {"fullname" : "All Applications", "shortname": "All Applications"}, "IHCP" : {"fullname" : "Immunohistochemistry (Formalin/PFA-fixed paraffin-embedded sections)", "shortname":"IHC-P"}, "WB" : {"fullname" : "Western blot", "shortname":"WB"} }, "product-promise": { "all": "all", "testedAndGuaranteed": "tested", "guaranteed": "expected", "predicted": "predicted", "notRecommended": "not-recommended" } }, "values": { "Human": { "IHCP-species-checked": "testedAndGuaranteed", "IHCP-species-dilution-info": "1/4000", "IHCP-species-notes": "<p></p>", "WB-species-checked": "testedAndGuaranteed", "WB-species-dilution-info": "1/1000", "WB-species-notes": "<p></p>" }, "Mouse": { "IHCP-species-checked": "testedAndGuaranteed", "IHCP-species-dilution-info": "1/4000", "IHCP-species-notes": "<p></p>", "WB-species-checked": "testedAndGuaranteed", "WB-species-dilution-info": "1/1000", "WB-species-notes": "<p></p>" }, "Rat": { "IHCP-species-checked": "testedAndGuaranteed", "IHCP-species-dilution-info": "1/4000", "IHCP-species-notes": "<p></p>", "WB-species-checked": "testedAndGuaranteed", "WB-species-dilution-info": "1/1000", "WB-species-notes": "<p></p>" } } }

Product details

What are the advantages of a recombinant monoclonal antibody?
This product is a recombinant monoclonal antibody, which offers several advantages including:

  • - High batch-to-batch consistency and reproducibility
  • - Improved sensitivity and specificity
  • - Long-term security of supply
  • - Animal-free batch production

For more information, read more on recombinant antibodies.

Want a custom formulation?
This antibody clone is manufactured by Abcam. If you require a custom buffer formulation or conjugation for your experiments, please contact orders@abcam.com

Properties and storage information

Form
Liquid
Purification technique
Affinity purification Protein A
Storage buffer
pH: 7.2 - 7.4 Preservative: 0.01% Sodium azide Constituents: PBS, 40% Glycerol (glycerin, glycerine), 0.05% BSA
Shipped at conditions
Blue Ice
Appropriate short-term storage duration
1-2 weeks
Appropriate short-term storage conditions
+4°C
Appropriate long-term storage conditions
-20°C
Aliquoting information
Upon delivery aliquot
Storage information
Avoid freeze / thaw cycle

Supplementary information

This supplementary information is collated from multiple sources and compiled automatically.

Beta III tubulin often referred to as βIII tubulin or beta-tubulin 3 is a microtubule element involved in the cellular cytoskeleton structure. This protein with a molecular mass of approximately 55 kDa plays an important role in the development and maintenance of neuron structures. It is most prominently expressed in neurons within the central and peripheral nervous systems. In these cells beta III tubulin contributes to microtubule polymerization facilitating the formation of the intricate network necessary for cell shape intracellular transport and division.
Biological function summary

Beta III tubulin acts in stabilizing microtubules which are essential for proper neuronal function. It exists as part of the tubulin dimer complex partnering with alpha-tubulin to form the building blocks of microtubules. This particular isotype is often used as a marker for neuronal differentiation due to its specific expression pattern in neural tissues. Its regulation and expression levels are important for neurogenesis and maintaining neuronal plasticity.

Pathways

Beta III tubulin plays a role in neuron-specific intracellular transport and signaling pathways like the Rho GTPase and MAPK signaling pathways. These pathways are involved in cell cycle regulation and apoptotic processes. Relationships with other proteins such as kinesins and dyneins are important in these pathways influencing intracellular transport and signaling through binding and moving along the microtubule tracks created by beta-tubulin isotypes including beta III tubulin.

Abnormal beta III tubulin expression has been associated with cancer particularly in tumors originating from neuronal lineage such as glioblastomas. Overexpression or mutations can contribute to chemoresistance complicating treatment for certain types of cancer. Beta III tubulin is also linked to neurodevelopmental disorders as it affects proper neural network formation and stability. Its relationship with tumor protein p53 is noted in cancer pathways as p53 can influence beta III tubulin expression impacting cellular proliferation and apoptosis in oncogenic processes.

Product protocols

For this product, it's our understanding that no specific protocols are required. You can visit:

Target data

Tubulin is the major constituent of microtubules, a cylinder consisting of laterally associated linear protofilaments composed of alpha- and beta-tubulin heterodimers (PubMed : 34996871). Microtubules grow by the addition of GTP-tubulin dimers to the microtubule end, where a stabilizing cap forms (PubMed : 34996871). Below the cap, tubulin dimers are in GDP-bound state, owing to GTPase activity of alpha-tubulin (PubMed : 34996871). TUBB3 plays a critical role in proper axon guidance and maintenance (PubMed : 20074521). Binding of NTN1/Netrin-1 to its receptor UNC5C might cause dissociation of UNC5C from polymerized TUBB3 in microtubules and thereby lead to increased microtubule dynamics and axon repulsion (PubMed : 28483977). Plays a role in dorsal root ganglion axon projection towards the spinal cord (PubMed : 28483977).
See full target information TUBB3

Publications (2)

Recent publications for all applications. Explore the full list and refine your search

Acta neuropathologica communications 12:142 PubMed39217365

2024

Longitudinal multiomics analysis of aggressive pituitary neuroendocrine tumors: comparing primary and recurrent tumors from the same patient, reveals genomic stability and heterogeneous transcriptomic profiles with alterations in metabolic pathways.

Applications

Unspecified application

Species

Unspecified reactive species

Keiko Taniguchi-Ponciano,Silvia Hinojosa-Alvarez,Jesus Hernandez-Perez,Rocio A Chavez-Santoscoy,Ilan Remba-Shapiro,Gerardo Guinto,Erika Magallon-Gayon,Benjamin Telles-Ramirez,Rodrigo Ponce de Leon-Conconi,Sandra Vela-Patiño,Sergio Andonegui-Elguera,Amayrani Cano-Zaragoza,Florencia Martinez-Mendoza,Jacobo Kerbel,Marco Loza-Mejia,Juan Rodrigo-Salazar,Alonso Mendez-Perez,Cristina Aguilar-Flores,Antonieta Chavez-Gonzalez,Elenka Ortiz-Reyes,Erick Gomez-Apo,Laura C Bonifaz,Daniel Marrero-Rodriguez,Moises Mercado

Biomolecules 14: PubMed38927055

2024

Slow Sulfide Donor GYY4137 Increased the Sensitivity of Two Breast Cancer Cell Lines to Paclitaxel by Different Mechanisms.

Applications

Unspecified application

Species

Unspecified reactive species

Veronika Liskova,Barbora Chovancova,Kristina Galvankova,Ladislav Klena,Katarina Matyasova,Petr Babula,Marian Grman,Ingeborg Rezuchova,Maria Bartosova,Olga Krizanova
View all publications

Product promise

We are committed to supporting your work with high-quality reagents, and we're here for you every step of the way. In the unlikely event that one of our products does not perform as expected, you're protected by our Product Promise.
For full details, please see our Terms & Conditions

Please note: All products are 'FOR RESEARCH USE ONLY. NOT FOR USE IN DIAGNOSTIC OR THERAPEUTIC PROCEDURES'.

For licensing inquiries, please contact partnerships@abcam.com