JavaScript is disabled in your browser. Please enable JavaScript to view this website.
AB221935

Anti-beta III Tubulin antibody [EP1569Y] - BSA and Azide free

  • RabMAb
  • Advanced Validation
  • Recombinant
  • KO Validated
  • What is this?

Be the first to review this product! Submit a review

|

(7 Publications)

Rabbit Recombinant Monoclonal Beta-3-tubulin antibody. Carrier free. Suitable for mIHC, IHC-P, WB, ICC/IF, Flow Cyt (Intra) and reacts with Human, Mouse, Rat samples. Cited in 7 publications.

View Alternative Names

TUBB4, TUBB3, Tubulin beta-3 chain, Tubulin beta-4 chain, Tubulin beta-III

9 Images
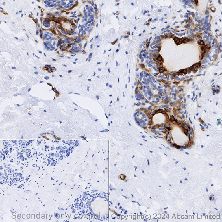
Immunohistochemistry (Formalin/PFA-fixed paraffin-embedded sections) - Anti-beta III Tubulin antibody [EP1569Y] - BSA and Azide free (AB221935)
  • IHC-P

Lab

Immunohistochemistry (Formalin/PFA-fixed paraffin-embedded sections) - Anti-beta III Tubulin antibody [EP1569Y] - BSA and Azide free (AB221935)

This data was developed using the same antibody clone in a different buffer formulation containing PBS, BSA, glycerol, and sodium azide (ab52623).

Immunohistochemical analysis of formalin fixed paraffin embedded human breast carcinoma labelling beta III Tubulin with ab52623 at a concentration of 0.5 µg/ml. The immunostaining was performed on a Ventana DISCOVERY ULTRA (Roche Tissue Diagnostics) instrument with a OptiView DAB IHC Detection Kit. Heat mediated antigen retrieval was performed with DISCOVERY cell conditioning solution (CC1) 100°C, pH 8.5 for 32mins.

ab52623 anti-beta III Tubulin [EP1569Y] was incubated for 16mins at 37°C. Sections were counterstained with Hematoxylin II. Image inset shows absence of staining in secondary antibody only control.

Customers are encouraged to optimise antigen retrieval conditions, antibody concentration, incubation times and temperature for best results in their own IHC assay workflow (automated and manual).

Flow Cytometry (Intracellular) - Anti-beta III Tubulin antibody [EP1569Y] - BSA and Azide free (AB221935)
  • Flow Cyt (Intra)

Unknown

Flow Cytometry (Intracellular) - Anti-beta III Tubulin antibody [EP1569Y] - BSA and Azide free (AB221935)

Intracellular Flow Cytometry analysis of HeLa (human cervix adenocarcinoma) cells labelling beta III Tubulin with ab52623 at 1/20 (red). Cells were fixed with 4% paraformaldehyde and permeabilised with 90% methanol. An Alexa Fluor®488-conjugated goat anti-rabbit IgG (1/2000) was used as the secondary antibody. Black - Isotype control, rabbit monoclonal IgG. Blue - Unlabelled control, cells without incubation with primary and secondary antibodies.

This data was developed using the same antibody clone in a different buffer formulation containing PBS, BSA, glycerol, and sodium azide (ab52623).

Immunocytochemistry/ Immunofluorescence - Anti-beta III Tubulin antibody [EP1569Y] - BSA and Azide free (AB221935)
  • ICC/IF

Unknown

Immunocytochemistry/ Immunofluorescence - Anti-beta III Tubulin antibody [EP1569Y] - BSA and Azide free (AB221935)

This ICC/IF data was generated using the same anti-beta III tubulin antibody clone, EP1569Y, in a different buffer formulation (cat# ab52623).

ab52623 staining beta III Tubulin in wild-type HAP1 cells (top panel) and TUBB3 knockout HAP1 cells (bottom panel). The cells were fixed with 100% methanol (5min), permeabilized with 0.1% Triton X-100 for 5 minutes and then blocked with 1% BSA/10% normal goat serum/0.3M glycine in 0.1% PBS-Tween for 1h. The cells were then incubated with ab52623 at 1/500 dilution and ab195889 at 1/250 dilution (shown in pseudocolour red) overnight at +4°C, followed by a further incubation at room temperature for 1h with a goat secondary antibody to Rabbit IgG (Alexa Fluor® 488) (ab150081) at 2 μg/ml (shown in green). Nuclear DNA was labelled in blue with DAPI.

Image was taken with a confocal microscope (Leica-Microsystems, TCS SP8).

Immunocytochemistry/ Immunofluorescence - Anti-beta III Tubulin antibody [EP1569Y] - BSA and Azide free (AB221935)
  • ICC/IF

Unknown

Immunocytochemistry/ Immunofluorescence - Anti-beta III Tubulin antibody [EP1569Y] - BSA and Azide free (AB221935)

ab52623 staining beta III Tubulin in NGF-differentiated PC12 cells. The cells were fixed with 100% methanol (5min) and then blocked in 1% BSA/10% normal goat serum/0.3M glycine in 0.1%PBS-Tween for 1h. The cells were then incubated with ab52623 at 5μg/ml and ab7291 at 1µg/ml overnight at +4°C, followed by a further incubation at room temperature for 1h with an AlexaFluor®488 Goat anti-Rabbit secondary (ab150081) at 2 μg/ml (shown in green) and AlexaFluor®594 Goat anti-Mouse secondary (ab150120) at 2 μg/ml (shown in pseudo color red). Nuclear DNA was labelled in blue with DAPI.
Negative controls : 1– Rabbit primary and anti-mouse secondary antibody; 2 – Mouse primary antibody and anti-rabbit secondary antibody. Controls 1 and 2 indicate that there is no unspecific reaction between primary and secondary antibodies used.

This data was developed using the same antibody clone in a different buffer formulation containing PBS, BSA, glycerol, and sodium azide (ab52623).

Flow Cytometry (Intracellular) - Anti-beta III Tubulin antibody [EP1569Y] - BSA and Azide free (AB221935)
  • Flow Cyt (Intra)

Unknown

Flow Cytometry (Intracellular) - Anti-beta III Tubulin antibody [EP1569Y] - BSA and Azide free (AB221935)

Overlay histogram showing U-87MG cells stained with ab52623 (red line). The cells were fixed with 80% methanol (5 min) and then permeabilized with 0.1% PBS-Triton X-100 for 20 min. The cells were then incubated in 1x PBS / 10% normal goat serum / 0.3M glycine to block non-specific protein-protein interactions followed by the antibody (ab52623, 1/1000 dilution) for 30 min at 22°C. The secondary antibody used was Alexa Fluor® 488 goat anti-rabbit IgG (H&L) (ab150081) at 1/2000 dilution for 30 min at 22°C. Isotype control antibody (black line) was rabbit IgG (monoclonal) (ab172730, 0.1μg/1x106) used under the same conditions. Unlabelled sample (blue line) was also used as a control.

Acquisition of >5,000 events were collected using a 20mW Argon ion laser (488nm) and 525/30 bandpass filter.

This antibody gave a positive signal in U-87MG cells fixed with 4% paraformaldehyde (10 min)/permeabilized with 0.1% PBS-Tween for 20 min used under the same conditions.

This data was developed using the same antibody clone in a different buffer formulation containing PBS, BSA, glycerol, and sodium azide (ab52623).

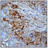
Immunohistochemistry (Formalin/PFA-fixed paraffin-embedded sections) - Anti-beta III Tubulin antibody [EP1569Y] - BSA and Azide free (AB221935)
  • IHC-P

Unknown

Immunohistochemistry (Formalin/PFA-fixed paraffin-embedded sections) - Anti-beta III Tubulin antibody [EP1569Y] - BSA and Azide free (AB221935)

ab52623, at a 1/50 dilution, staining human class III beta Tubulin in breast carcinoma tissue using Immunohistochemistry, Paraffin embedded tissue.

This data was developed using the same antibody clone in a different buffer formulation containing PBS, BSA, glycerol, and sodium azide (ab52623).

Perform heat mediated antigen retrieval with citrate buffer pH 6 before commencing with IHC staining protocol.

Western blot - Anti-beta III Tubulin antibody [EP1569Y] - BSA and Azide free (AB221935)
  • WB

Unknown

Western blot - Anti-beta III Tubulin antibody [EP1569Y] - BSA and Azide free (AB221935)

This WB data was generated using the same anti-beta III tubulin antibody clone, EP1569Y, in a different buffer formulation (cat# ab52623).

Lanes 1 - 4 : Merged signal (red and green). Green - ab52623 observed at 52 kDa. Red - loading control, ab8245, observed at 37 kDa.

ab52623 was shown to specifically react with beta III Tubulin in wild-type cells as signal was lost in beta III Tubulin knockout HAP1 cells. Wild-type and beta III Tubulin knockout samples were subjected to SDS-PAGE. ab52623 and ab8245 (Mouse anti GAPDH loading control) were incubated overnight at 4°C at 1/1000 dilution and 1/10000 dilution respectively. Blots were developed with Goat anti-Rabbit IgG H&L (IRDye® 800CW) preabsorbed ab216773 and Goat anti-Mouse IgG H&L (IRDye® 680RD) preabsorbed ab216776 secondary antibodies at 1/10000 dilution for 1 hour at room temperature before imaging.

All lanes:

Western blot - Anti-beta III Tubulin antibody [EP1569Y] - Neuronal Marker (<a href='/en-us/products/primary-antibodies/beta-iii-tubulin-antibody-ep1569y-neuronal-marker-ab52623'>ab52623</a>) at 1/1000 dilution

Lane 1:

Wild-type HAP1 whole cell lysate at 20 µg

Lane 2:

Beta III Tubulin knockout HAP1 whole cell lysate at 20 µg

Lane 3:

HeLa whole cell lysate at 20 µg

Lane 4:

HEK293 whole cell lysate at 20 µg

Predicted band size: 50 kDa

false

Western blot - Anti-beta III Tubulin antibody [EP1569Y] - BSA and Azide free (AB221935)
  • WB

Lab

Western blot - Anti-beta III Tubulin antibody [EP1569Y] - BSA and Azide free (AB221935)

This data was developed using the same antibody clone in a different buffer formulation (ab52623).

Lanes 1- 2 : Merged signal (red and green). Green - ab52623 observed at 50 kDa. Red - Anti-GAPDH antibody [6C5] - Loading Control (ab8245) observed at 37 kDa.

ab52623 was shown to react with beta III tubulin in wild-type HeLa cells in western blot. Loss of signal was observed when knockout cell line ab255358 (knockout cell lysate ab263857) was used. Wild-type HeLa and TUBB3 knockout HeLa cell lysates were subjected to SDS-PAGE. Membrane was blocked for 1 hour at room temperature in 0.1% TBST with 3% non-fat dried milk. ab52623 and Anti-GAPDH antibody [6C5] - Loading Control (ab8245) overnight at 4°C at a 1 in 1000 dilution and a 1 in 20000 dilution respectively. Blots were developed with Goat anti-Rabbit IgG H&L (IRDye®800CW) preadsorbed (ab216773) and Goat anti-Mouse IgG H&L (IRDye®680RD) preadsorbed (ab216776) secondary antibodies at 1 in 20000 dilution for 1 hour at room temperature before imaging.

All lanes:

Western blot - Anti-beta III Tubulin antibody [EP1569Y] - Neuronal Marker (<a href='/en-us/products/primary-antibodies/beta-iii-tubulin-antibody-ep1569y-neuronal-marker-ab52623'>ab52623</a>) at 1/1000 dilution

Lane 1:

Wild-type HeLa cell lysate at 20 µg

Lane 2:

TUBB3 knockout HeLa cell lysate at 20 µg

Lane 2:

Western blot - Human TUBB3 (beta III Tubulin) knockout HeLa cell line (<a href='/en-us/products/cell-lines/human-tubb3-beta-iii-tubulin-knockout-hela-cell-line-ab255358'>ab255358</a>)

Predicted band size: 50 kDa

Observed band size: 50 kDa

false

Western blot - Anti-beta III Tubulin antibody [EP1569Y] - BSA and Azide free (AB221935)
  • WB

Lab

Western blot - Anti-beta III Tubulin antibody [EP1569Y] - BSA and Azide free (AB221935)

This data was developed using the same antibody clone in a different buffer formulation (ab52623).

Lanes 1- 4 : Merged signal (red and green). Green - ab52623 observed at 52 kDa. Red - Anti-GAPDH antibody [6C5] - Loading Control (ab8245) observed at 37 kDa.

ab52623 was shown to react with beta III Tubulin in wild-type HCT116 cells in western blot. Loss of signal was observed when knockout cell line ab266900 (knockout cell lysate ab257070) was used. Wild-type HCT116 and TUBB3 knockout HCT116 cell lysates were subjected to SDS-PAGE. Membrane was blocked for 1 hour at room temperature in 0.1% TBST with 3% non-fat dried milk. ab52623 and Anti-GAPDH antibody [6C5] - Loading Control (ab8245) overnight at 4°C at a 1 in 1000 dilution and a 1 in 20000 dilution respectively. Blots were developed with Goat anti-Rabbit IgG H&L (IRDye®800CW) preadsorbed (ab216773) and Goat anti-Mouse IgG H&L (IRDye®680RD) preadsorbed (ab216776) secondary antibodies at 1 in 20000 dilution for 1 hour at room temperature before imaging.

All lanes:

Western blot - Anti-beta III Tubulin antibody [EP1569Y] - Neuronal Marker (<a href='/en-us/products/primary-antibodies/beta-iii-tubulin-antibody-ep1569y-neuronal-marker-ab52623'>ab52623</a>) at 1/1000 dilution

Lane 1:

Wild-type HCT116 cell lysate at 20 µg

Lane 2:

TUBB3 knockout HCT116 cell lysate at 20 µg

Lane 2:

Western blot - Human TUBB3 (beta III Tubulin) knockout HCT116 cell line (<a href='/en-us/products/cell-lines/human-tubb3-beta-iii-tubulin-knockout-hct116-cell-line-ab266900'>ab266900</a>)

Predicted band size: 50 kDa

Observed band size: 52 kDa

false

  • Unconjugated

    Anti-beta III Tubulin antibody [EP1569Y] - Neuronal Marker

  • HRP

    HRP Anti-beta III Tubulin antibody [EP1569Y] - Neuronal Marker

  • Biotin

    Biotin Anti-beta III Tubulin antibody [EP1569Y] - Neuronal Marker

  • 660 APC

    APC Anti-beta III Tubulin antibody [EP1569Y] - Neuronal Marker

  • 578 PE

    PE Anti-beta III Tubulin antibody [EP1569Y] - Neuronal Marker

  • 665 Alexa Fluor® 647

    Alexa Fluor® 647 Anti-beta III Tubulin antibody [EP1569Y] - Neuronal Marker

  • 565 Alexa Fluor® 555

    Alexa Fluor® 555 Anti-beta III Tubulin antibody [EP1569Y] - Neuronal Marker

  • 519 FITC

    FITC Anti-beta III Tubulin antibody [EP1569Y] - Neuronal Marker

  • 617 Alexa Fluor® 594

    Alexa Fluor® 594 Anti-beta III Tubulin antibody [EP1569Y] - Neuronal Marker

  • 519 Alexa Fluor® 488

    Alexa Fluor® 488 Anti-beta III Tubulin antibody [EP1569Y] - Neuronal Marker

Key facts

Host species

Rabbit

Clonality

Monoclonal

Clone number

EP1569Y

Isotype

IgG

Carrier free

Yes

Reacts with

Mouse, Rat, Human

Applications

ICC/IF, Flow Cyt (Intra), WB, IHC-P, mIHC

applications

Immunogen

The exact immunogen used to generate this antibody is proprietary information.

Reactivity data

{ "title": "Reactivity Data", "filters": { "stats": ["", "Species", "Dilution Info", "Notes"], "tabs": { "all-applications": {"fullname" : "All Applications", "shortname": "All Applications"}, "mIHC" : {"fullname" : "Multiplex immunohistochemistry", "shortname":"mIHC"}, "IHCP" : {"fullname" : "Immunohistochemistry (Formalin/PFA-fixed paraffin-embedded sections)", "shortname":"IHC-P"}, "WB" : {"fullname" : "Western blot", "shortname":"WB"}, "ICCIF" : {"fullname" : "Immunocytochemistry/ Immunofluorescence", "shortname":"ICC/IF"}, "FlowCytIntra" : {"fullname" : "Flow Cytometry (Intracellular)", "shortname":"Flow Cyt (Intra)"} }, "product-promise": { "all": "all", "testedAndGuaranteed": "tested", "guaranteed": "expected", "predicted": "predicted", "notRecommended": "not-recommended" } }, "values": { "Human": { "mIHC-species-checked": "testedAndGuaranteed", "mIHC-species-dilution-info": "", "mIHC-species-notes": "<p></p>", "IHCP-species-checked": "testedAndGuaranteed", "IHCP-species-dilution-info": "", "IHCP-species-notes": "<p></p>", "WB-species-checked": "testedAndGuaranteed", "WB-species-dilution-info": "", "WB-species-notes": "<p></p>", "ICCIF-species-checked": "testedAndGuaranteed", "ICCIF-species-dilution-info": "", "ICCIF-species-notes": "<p></p>", "FlowCytIntra-species-checked": "testedAndGuaranteed", "FlowCytIntra-species-dilution-info": "", "FlowCytIntra-species-notes": "<p><a href='/en-us/products/primary-antibodies/rabbit-igg-monoclonal-epr25a-isotype-control-low-endotoxin-azide-free-ab199376'>ab199376</a> - Rabbit monoclonal IgG, is suitable for use as an isotype control with this antibody.</p>" }, "Mouse": { "mIHC-species-checked": "guaranteed", "mIHC-species-dilution-info": "", "mIHC-species-notes": "", "IHCP-species-checked": "guaranteed", "IHCP-species-dilution-info": "", "IHCP-species-notes": "", "WB-species-checked": "testedAndGuaranteed", "WB-species-dilution-info": "", "WB-species-notes": "<p></p>", "ICCIF-species-checked": "guaranteed", "ICCIF-species-dilution-info": "", "ICCIF-species-notes": "", "FlowCytIntra-species-checked": "guaranteed", "FlowCytIntra-species-dilution-info": "", "FlowCytIntra-species-notes": "" }, "Rat": { "mIHC-species-checked": "guaranteed", "mIHC-species-dilution-info": "", "mIHC-species-notes": "", "IHCP-species-checked": "guaranteed", "IHCP-species-dilution-info": "", "IHCP-species-notes": "", "WB-species-checked": "testedAndGuaranteed", "WB-species-dilution-info": "", "WB-species-notes": "<p></p>", "ICCIF-species-checked": "testedAndGuaranteed", "ICCIF-species-dilution-info": "", "ICCIF-species-notes": "<p></p>", "FlowCytIntra-species-checked": "guaranteed", "FlowCytIntra-species-dilution-info": "", "FlowCytIntra-species-notes": "" }, "Zebrafish": { "mIHC-species-checked": "predicted", "mIHC-species-dilution-info": "", "mIHC-species-notes": "", "IHCP-species-checked": "predicted", "IHCP-species-dilution-info": "", "IHCP-species-notes": "", "WB-species-checked": "predicted", "WB-species-dilution-info": "", "WB-species-notes": "", "ICCIF-species-checked": "predicted", "ICCIF-species-dilution-info": "", "ICCIF-species-notes": "", "FlowCytIntra-species-checked": "predicted", "FlowCytIntra-species-dilution-info": "", "FlowCytIntra-species-notes": "" } } }

You may be interested in:

AB235644

Human Beta-III Tubulin ELISA Kit

0

0 Reviews

View product

We recommend this product because it’s often used in the same experiment or related research.

We advise that you always check the datasheet to ensure it fits your experiments, or contact ourtechnical teamfor help.

Product details

ab221935 is the carrier-free version of ab52623.

Patented technology
Our RabMAb® technology is a patented hybridoma-based technology for making rabbit monoclonal antibodies. For details on our patents, please refer to RabMAb® patents.

Conjugation ready
Our carrier-free antibodies are typically supplied in a PBS-only formulation, purified and free of BSA, sodium azide and glycerol. This conjugation-ready format is designed for use with fluorochromes, metal isotopes, oligonucleotides, and enzymes, which makes them ideal for antibody labelling, functional and cell-based assays, flow-based assays (e.g. mass cytometry) and Multiplex Imaging applications.

Use our conjugation kits for antibody conjugates that are ready-to-use in as little as 20 minutes with 1 minute hands-on-time and 100% antibody recovery: available for fluorescent dyes, HRP, biotin and gold.

Compatibility
This product is compatible with the Maxpar® Antibody Labeling Kit from Fluidigm, without the need for antibody preparation. Maxpar® is a trademark of Fluidigm Canada Inc.

Properties and storage information

Form
Liquid
Purification technique
Affinity purification Protein A
Storage buffer
pH: 7.2 - 7.4 Constituents: PBS
Shipped at conditions
Blue Ice
Appropriate short-term storage conditions
+4°C
Appropriate long-term storage conditions
+4°C
Storage information
Do Not Freeze

Supplementary information

This supplementary information is collated from multiple sources and compiled automatically.

Beta III tubulin often referred to as βIII tubulin or beta-tubulin 3 is a microtubule element involved in the cellular cytoskeleton structure. This protein with a molecular mass of approximately 55 kDa plays an important role in the development and maintenance of neuron structures. It is most prominently expressed in neurons within the central and peripheral nervous systems. In these cells beta III tubulin contributes to microtubule polymerization facilitating the formation of the intricate network necessary for cell shape intracellular transport and division.
Biological function summary

Beta III tubulin acts in stabilizing microtubules which are essential for proper neuronal function. It exists as part of the tubulin dimer complex partnering with alpha-tubulin to form the building blocks of microtubules. This particular isotype is often used as a marker for neuronal differentiation due to its specific expression pattern in neural tissues. Its regulation and expression levels are important for neurogenesis and maintaining neuronal plasticity.

Pathways

Beta III tubulin plays a role in neuron-specific intracellular transport and signaling pathways like the Rho GTPase and MAPK signaling pathways. These pathways are involved in cell cycle regulation and apoptotic processes. Relationships with other proteins such as kinesins and dyneins are important in these pathways influencing intracellular transport and signaling through binding and moving along the microtubule tracks created by beta-tubulin isotypes including beta III tubulin.

Abnormal beta III tubulin expression has been associated with cancer particularly in tumors originating from neuronal lineage such as glioblastomas. Overexpression or mutations can contribute to chemoresistance complicating treatment for certain types of cancer. Beta III tubulin is also linked to neurodevelopmental disorders as it affects proper neural network formation and stability. Its relationship with tumor protein p53 is noted in cancer pathways as p53 can influence beta III tubulin expression impacting cellular proliferation and apoptosis in oncogenic processes.

Product protocols

For this product, it's our understanding that no specific protocols are required. You can visit:

Target data

Tubulin is the major constituent of microtubules, a cylinder consisting of laterally associated linear protofilaments composed of alpha- and beta-tubulin heterodimers (PubMed : 34996871). Microtubules grow by the addition of GTP-tubulin dimers to the microtubule end, where a stabilizing cap forms (PubMed : 34996871). Below the cap, tubulin dimers are in GDP-bound state, owing to GTPase activity of alpha-tubulin (PubMed : 34996871). TUBB3 plays a critical role in proper axon guidance and maintenance (PubMed : 20074521). Binding of NTN1/Netrin-1 to its receptor UNC5C might cause dissociation of UNC5C from polymerized TUBB3 in microtubules and thereby lead to increased microtubule dynamics and axon repulsion (PubMed : 28483977). Plays a role in dorsal root ganglion axon projection towards the spinal cord (PubMed : 28483977).
See full target information TUBB3

Publications (7)

Recent publications for all applications. Explore the full list and refine your search

Biomaterials research 27:101 PubMed37840145

2023

Axon guidance gene-targeted siRNA delivery system improves neural stem cell transplantation therapy after spinal cord injury.

Applications

Unspecified application

Species

Unspecified reactive species

Seong Jun Kim,Wan-Kyu Ko,Gong Ho Han,Daye Lee,Min Jai Cho,Seung Hun Sheen,Seil Sohn

BMC cancer 15:536 PubMed26198101

2015

Overexpression of Class III β-tubulin, Sox2, and nuclear Survivin is predictive of taxane resistance in patients with stage III ovarian epithelial cancer.

Applications

IHC

Species

Human

Jintong Du,Bei Li,Yingli Fang,Yanguo Liu,Yang Wang,Jisheng Li,Wen Zhou,Xiuwen Wang

The Journal of clinical investigation 124:2560-70 PubMed24762439

2014

Peripheral nervous system plasmalogens regulate Schwann cell differentiation and myelination.

Applications

Unspecified application

Species

Mouse

Tiago Ferreira da Silva,Jessica Eira,André T Lopes,Ana R Malheiro,Vera Sousa,Adrienne Luoma,Robin L Avila,Ronald J A Wanders,Wilhelm W Just,Daniel A Kirschner,Mónica M Sousa,Pedro Brites

Anticancer research 33:5597-602 PubMed24324104

2013

Chemotherapy followed by surgery on the basis of biomarker examination for patients with advanced non-small cell lung cancer.

Applications

Unspecified application

Species

Unspecified reactive species

Hiroyasu Yokomise,Dage Liu,Shinya Ishikawa,Tetsuhiko Go,Masashi Gotoh,Masaya Okuda,Shintaroh Tarumi,Yoshitaka Kasai,Natsumi Matsuura

The Journal of biological chemistry 288:35253-65 PubMed24142693

2013

The growth factor receptor ERBB2 regulates mitochondrial activity on a signaling time scale.

Applications

WB

Species

Unspecified reactive species

Nirav Patel,Antoni Barrientos,Ralf Landgraf

Anticancer research 33:1107-15 PubMed23482788

2013

Biomarkers as prognostic factors for cN2 or 3 non-small cell lung cancer treated by induction chemoradiotherapy and surgery.

Applications

Unspecified application

Species

Human

Hiroyasu Yokomise,Dage Liu,Sungsoo Chang,Tetsuhiko Go,Sinya Ishikawa,Nariyuki Misaki,Nariyasu Nakashima

Cell 140:327-37 PubMed20144758

2010

Acid extrusion from human spermatozoa is mediated by flagellar voltage-gated proton channel.

Applications

ICC/IF

Species

Human

Polina V Lishko,Inna L Botchkina,Andriy Fedorenko,Yuriy Kirichok
View all publications

Product promise

We are committed to supporting your work with high-quality reagents, and we're here for you every step of the way. In the unlikely event that one of our products does not perform as expected, you're protected by our Product Promise.
For full details, please see our Terms & Conditions

Associated Products

Select an associated product type
Alternative Product
Primary Antibodies

AB230847

Anti-beta III Tubulin antibody - C-terminal - Neuronal Marker

primary-antibodies

beta-iii-tubulin-antibody-c-terminal-neuronal-marker-ab230847

0

(0 reviews)

Alternative Product
Primary Antibodies

AB76286

Anti-beta III Tubulin (phospho S172) antibody

primary-antibodies

beta-iii-tubulin-phospho-s172-antibody-ab76286

4

(1 reviews)

Alternative Product
Primary Antibodies

AB25770

FITC Anti-beta III Tubulin antibody [TU-20] - Neuronal Marker

primary-antibodies

fitc-beta-iii-tubulin-antibody-tu-20-neuronal-marker-ab25770

0

(0 reviews)

Alternative Product
Primary Antibodies

AB41489

Anti-beta III Tubulin antibody - Neuronal Marker

primary-antibodies

beta-iii-tubulin-antibody-neuronal-marker-ab41489

2

(7 reviews)

Alternative Product
Primary Antibodies

AB264097

Anti-beta III Tubulin antibody [2G10] - BSA and Azide free

primary-antibodies

beta-iii-tubulin-antibody-2g10-bsa-and-azide-free-ab264097

5

(1 reviews)

Alternative Product
Primary Antibodies

AB264113

Anti-beta III Tubulin antibody [5G8] - BSA and Azide free

primary-antibodies

beta-iii-tubulin-antibody-5g8-bsa-and-azide-free-ab264113

0

(0 reviews)

Alternative Product
Primary Antibodies

AB18207

Anti-beta III Tubulin antibody - Neuronal Marker

primary-antibodies

beta-iii-tubulin-antibody-neuronal-marker-ab18207

5

(67 reviews)

Alternative Product
Primary Antibodies

AB231084

Anti-beta III Tubulin antibody [5G8] - Neuronal Marker

primary-antibodies

beta-iii-tubulin-antibody-5g8-neuronal-marker-ab231084

0

(0 reviews)

Alternative Product
Primary Antibodies

AB213663

PE Anti-beta III Tubulin antibody [EPR1568Y] - Neuronal Marker

primary-antibodies

pe-beta-iii-tubulin-antibody-epr1568y-neuronal-marker-ab213663

0

(0 reviews)

Alternative Product
Primary Antibodies

AB195879

Alexa Fluor® 488 Anti-beta III Tubulin antibody [2G10] - Neuronal Marker

primary-antibodies

alexa-fluor-488-beta-iii-tubulin-antibody-2g10-neuronal-marker-ab195879

0

(0 reviews)

Alternative Product
Primary Antibodies

AB195880

Alexa Fluor® 647 Anti-beta III Tubulin antibody [2G10] - Neuronal Marker

primary-antibodies

alexa-fluor-647-beta-iii-tubulin-antibody-2g10-neuronal-marker-ab195880

1

(1 reviews)

Alternative Product
Primary Antibodies

AB196638

HRP Anti-beta III Tubulin antibody [2G10] - Neuronal Marker

primary-antibodies

hrp-beta-iii-tubulin-antibody-2g10-neuronal-marker-ab196638

0

(0 reviews)

Alternative Product
Primary Antibodies

AB68193

Anti-beta III Tubulin antibody [EPR1568Y] - Neuronal Marker

primary-antibodies

beta-iii-tubulin-antibody-epr1568y-neuronal-marker-ab68193

4

(1 reviews)

Alternative Product
Primary Antibodies

AB215037

Anti-beta III Tubulin antibody [EPR19591] - Neuronal Marker

primary-antibodies

beta-iii-tubulin-antibody-epr19591-neuronal-marker-ab215037

0

(0 reviews)

Alternative Product
Primary Antibodies

AB7751

Anti-beta III Tubulin antibody [TU-20] - Neuronal Marker

primary-antibodies

beta-iii-tubulin-antibody-tu-20-neuronal-marker-ab7751

5

(23 reviews)

Alternative Version
Primary Antibodies

AB190574

HRP Anti-beta III Tubulin antibody [EP1569Y] - Neuronal Marker

primary-antibodies

hrp-beta-iii-tubulin-antibody-ep1569y-neuronal-marker-ab190574

0

(0 reviews)

Alternative Version
Primary Antibodies

AB195903

Biotin Anti-beta III Tubulin antibody [EP1569Y] - Neuronal Marker

primary-antibodies

biotin-beta-iii-tubulin-antibody-ep1569y-neuronal-marker-ab195903

0

(0 reviews)

Alternative Version
Primary Antibodies

AB224977

APC Anti-beta III Tubulin antibody [EP1569Y] - Neuronal Marker

primary-antibodies

apc-beta-iii-tubulin-antibody-ep1569y-neuronal-marker-ab224977

0

(0 reviews)

Alternative Version
Primary Antibodies

AB224979

PE Anti-beta III Tubulin antibody [EP1569Y] - Neuronal Marker

primary-antibodies

pe-beta-iii-tubulin-antibody-ep1569y-neuronal-marker-ab224979

0

(0 reviews)

Alternative Version
Primary Antibodies

AB190575

Alexa Fluor® 647 Anti-beta III Tubulin antibody [EP1569Y] - Neuronal Marker

primary-antibodies

alexa-fluor-647-beta-iii-tubulin-antibody-ep1569y-neuronal-marker-ab190575

5

(2 reviews)

Alternative Version
Primary Antibodies

AB202519

Alexa Fluor® 555 Anti-beta III Tubulin antibody [EP1569Y] - Neuronal Marker

primary-antibodies

alexa-fluor-555-beta-iii-tubulin-antibody-ep1569y-neuronal-marker-ab202519

0

(0 reviews)

Alternative Version
Primary Antibodies

AB224978

FITC Anti-beta III Tubulin antibody [EP1569Y] - Neuronal Marker

primary-antibodies

fitc-beta-iii-tubulin-antibody-ep1569y-neuronal-marker-ab224978

0

(0 reviews)

Alternative Version
Primary Antibodies

AB201740

Alexa Fluor® 594 Anti-beta III Tubulin antibody [EP1569Y] - Neuronal Marker

primary-antibodies

alexa-fluor-594-beta-iii-tubulin-antibody-ep1569y-neuronal-marker-ab201740

0

(0 reviews)

Alternative Version
Primary Antibodies

AB283728

Alexa Fluor® 488 Anti-beta III Tubulin antibody [EP1569Y] - Neuronal Marker

primary-antibodies

alexa-fluor-488-beta-iii-tubulin-antibody-ep1569y-neuronal-marker-ab283728

0

(0 reviews)

Please note: All products are 'FOR RESEARCH USE ONLY. NOT FOR USE IN DIAGNOSTIC OR THERAPEUTIC PROCEDURES'.

For licensing inquiries, please contact partnerships@abcam.com