JavaScript is disabled in your browser. Please enable JavaScript to view this website.
AB52623

Anti-beta III Tubulin antibody [EP1569Y] - Neuronal Marker

  • BOND RX™ Validated
  • KO Validated
  • RabMAb
  • Advanced Validation
  • Recombinant
  • Lab Essentials
  • 20ul selling size
  • What is this?

5

(6 Reviews)

|

(55 Publications)

Anti-beta III Tubulin antibody [EP1569Y] - Neuronal Marker (ab52623) is a rabbit monoclonal antibody detecting beta III Tubulin in Western Blot, Flow Cytometry (Intra), Flow Cytometry, IHC-P, ICC/IF, mIHC. Suitable for Human, Mouse, Rat.

- KO validated for confirmed specificity
- Multiplex IHC validated on the Leica BOND® MAX using Opal reagents
- Biophysical QC for unrivalled batch-batch consistency
- Over 50 publications

View Alternative Names

TUBB4, TUBB3, Tubulin beta-3 chain, Tubulin beta-4 chain, Tubulin beta-III

15 Images
Immunocytochemistry/ Immunofluorescence - Anti-beta III Tubulin antibody [EP1569Y] - Neuronal Marker (AB52623)
  • ICC/IF

Lab

Immunocytochemistry/ Immunofluorescence - Anti-beta III Tubulin antibody [EP1569Y] - Neuronal Marker (AB52623)

Immunofluorescence staining of beta III Tubulin using ab52623 in ioGlutamatergic Neurons (Human iPSC-Derived Glutamatergic Neurons, ab259259), which were differentiated for 11 days post induction.

The cells were fixed with 4% formaldehyde (10 min), permeabilized with 0.1% PBS-Tween for 5 mins and then blocked with 1% BSA/10% normal goat serum/0.3M glycine in 0.1% PBS-Tween for 1h. The cells were then incubated overnight at +4°C with ab52623 at 0.1 μg/ml and ab7291, Mouse monoclonal [DM1A] to alpha Tubulin, at 1/1000 dilution. Cells were then incubated with ab150081, Goat Anti-Rabbit IgG H&L (Alexa Fluor® 488) preadsorbed at 1/1000 dilution (shown in green) and ab150120, Goat Anti-Mouse IgG H&L (Alexa Fluor® 594) preadsorbed at 1/1000 dilution (shown in red). Nuclear DNA was labelled with DAPI (shown in blue).

Images were acquired with the Perkin Elmer Operetta HCA and a maximum intensity projection of confocal sections is shown.

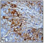
Immunohistochemistry (Formalin/PFA-fixed paraffin-embedded sections) - Anti-beta III Tubulin antibody [EP1569Y] - Neuronal Marker (AB52623)
  • IHC-P

Lab

Immunohistochemistry (Formalin/PFA-fixed paraffin-embedded sections) - Anti-beta III Tubulin antibody [EP1569Y] - Neuronal Marker (AB52623)

Immunohistochemical analysis of formalin fixed paraffin embedded human breast carcinoma labelling beta III Tubulin with ab52623 at a concentration of 0.5 µg/ml. The immunostaining was performed on a Ventana DISCOVERY ULTRA (Roche Tissue Diagnostics) instrument with a OptiView DAB IHC Detection Kit. Heat mediated antigen retrieval was performed with DISCOVERY cell conditioning solution (CC1) 100°C, pH 8.5 for 32mins.

ab52623 anti-beta III Tubulin [EP1569Y] was incubated for 16mins at 37°C. Sections were counterstained with Hematoxylin II. Image inset shows absence of staining in secondary antibody only control.

Customers are encouraged to optimise antigen retrieval conditions, antibody concentration, incubation times and temperature for best results in their own IHC assay workflow (automated and manual).

Western blot - Anti-beta III Tubulin antibody [EP1569Y] - Neuronal Marker (AB52623)
  • WB

Lab

Western blot - Anti-beta III Tubulin antibody [EP1569Y] - Neuronal Marker (AB52623)

This blot was produced using a 4-12% Bis-tris gel under the MOPS buffer system. The gel was run at 200V for 50 minutes before being transferred onto a Nitrocellulose membrane at 30V for 70 minutes. The membrane was then blocked for an hour using Licor blocking buffer before being incubated with ab52623 overnight at 4°C.

Antibody binding was detected using ab175781 at a 1 : 10,000 dilution for 1hr at room temperature and then imaged using the Licor Odyssey CLx.

All lanes:

Western blot - Anti-beta III Tubulin antibody [EP1569Y] - Neuronal Marker (ab52623) at 1/1000 dilution

Lane 1:

Brain (Mouse) Tissue Lysate at 20 µg

Lane 2:

Brain (Rat) Tissue Lysate at 20 µg

Lane 3:

Spinal Cord (Mouse) Tissue Lysate at 20 µg

Lane 4:

Spinal Cord (Rat) Tissue Lysate at 20 µg

Lane 5:

PC-12 (Rat adrenal pheochromocytoma cell line) whole cell lysate at 20 µg

Secondary

All lanes:

Western blot - Goat Anti-Rabbit IgG H&L (Alexa Fluor® 790) (<a href='/en-us/products/secondary-antibodies/goat-rabbit-igg-h-l-alexa-fluor-790-ab175781'>ab175781</a>) at 1/10000 dilution

Predicted band size: 50 kDa

Observed band size: 52 kDa

false

Flow Cytometry (Intracellular) - Anti-beta III Tubulin antibody [EP1569Y] - Neuronal Marker (AB52623)
  • Flow Cyt (Intra)

Unknown

Flow Cytometry (Intracellular) - Anti-beta III Tubulin antibody [EP1569Y] - Neuronal Marker (AB52623)

Overlay histogram showing U-87 MG (Human glioblastoma-astrocytoma epithelial cell line) cells stained with ab52623 (red line).

The cells were fixed with 80% methanol (5 min) and then permeabilized with 0.1% PBS-Triton X-100 for 20 min. The cells were then incubated in 1x PBS / 10% normal goat serum / 0.3M glycine to block non-specific protein-protein interactions followed by the antibody (ab52623, 1/1000 dilution) for 30 min at 22°C. The secondary antibody used was Alexa Fluorr®488 goat anti-rabbit IgG (H&L) (ab150081) at 1/2000 dilution for 30 min at 22°C. Isotype control antibody (black line) was rabbit IgG (monoclonal) (ab172730, 0.1 μg/1x106) used under the same conditions. Unlabeled sample (blue line) was also used as a control.

Acquisition of >5,000 events were collected using a 20mW Argon ion laser (488nm) and 525/30 bandpass filter.

This antibody gave a positive signal in U-87 MG cells fixed with 4% paraformaldehyde (10 min)/permeabilized with 0.1% PBS-Tween for 20 min used under the same conditions.

Immunocytochemistry/ Immunofluorescence - Anti-beta III Tubulin antibody [EP1569Y] - Neuronal Marker (AB52623)
  • ICC/IF

Unknown

Immunocytochemistry/ Immunofluorescence - Anti-beta III Tubulin antibody [EP1569Y] - Neuronal Marker (AB52623)

ab52623 staining beta III Tubulin in NGF-differentiated PC-12 (Rat adrenal gland pheochromocytoma cell line) cells.

The cells were fixed with 100% methanol (5 minutes) and then blocked in 1% BSA/10% normal goat serum/0.3M glycine in 0.1%PBS-Tween for 1 hour. The cells were then incubated with ab52623 at 5 μg/ml and ab7291 at 1 μg/ml overnight at +4°C, followed by a further incubation at room temperature for 1 hour with an AlexaFluor®488 Goat anti-Rabbit secondary (ab150081) at 2 μg/ml (shown in green) and AlexaFluor®594 Goat anti-Mouse secondary (ab150120) at 2 μg/ml (shown in pseudo color red). Nuclear DNA was labeled in blue with DAPI.
Negative controls : 1– Rabbit primary and anti-mouse secondary antibody; 2 – Mouse primary antibody and anti-rabbit secondary antibody. Controls 1 and 2 indicate that there is no unspecific reaction between primary and secondary antibodies used.

Flow Cytometry (Intracellular) - Anti-beta III Tubulin antibody [EP1569Y] - Neuronal Marker (AB52623)
  • Flow Cyt (Intra)

Unknown

Flow Cytometry (Intracellular) - Anti-beta III Tubulin antibody [EP1569Y] - Neuronal Marker (AB52623)

Intracellular Flow Cytometry analysis of HeLa (Human epithelial cell line from cervix adenocarcinoma) cells labeling beta III Tubulin with ab52623 at 1/20 (red).

Cells were fixed with 4% paraformaldehyde and permeabilized with 90% methanol. An Alexa Fluorr®488-conjugated goat anti-rabbit IgG (1/2000) was used as the secondary antibody. Black - Isotype control, rabbit monoclonal IgG. Blue - Unlabeled control, cells without incubation with primary and secondary antibodies.

Immunocytochemistry/ Immunofluorescence - Anti-beta III Tubulin antibody [EP1569Y] - Neuronal Marker (AB52623)
  • ICC/IF

Unknown

Immunocytochemistry/ Immunofluorescence - Anti-beta III Tubulin antibody [EP1569Y] - Neuronal Marker (AB52623)

ab52623 staining beta III Tubulin in wild-type HAP1 cells (top panel) and TUBB3 knockout HAP1 cells (bottom panel).

The cells were fixed with 100% methanol for 5 minutes, permeabilized with 0.1% Triton X-100 for 5 minutes and then blocked with 1% BSA/10% normal goat serum/0.3M glycine in 0.1% PBS-Tween for 1 hour. The cells were then incubated with ab52623 at 1/500 dilution and ab195889 at 1/250 dilution (shown in pseudocolour red) overnight at +4°C, followed by a further incubation at room temperature for 1 hour with a goat secondary antibody to Rabbit IgG (Alexa Fluor® 488) (ab150081) at 2 μg/ml (shown in green).

Nuclear DNA was labeled in blue with DAPI.

Image was taken with a confocal microscope (Leica-Microsystems, TCS SP8).

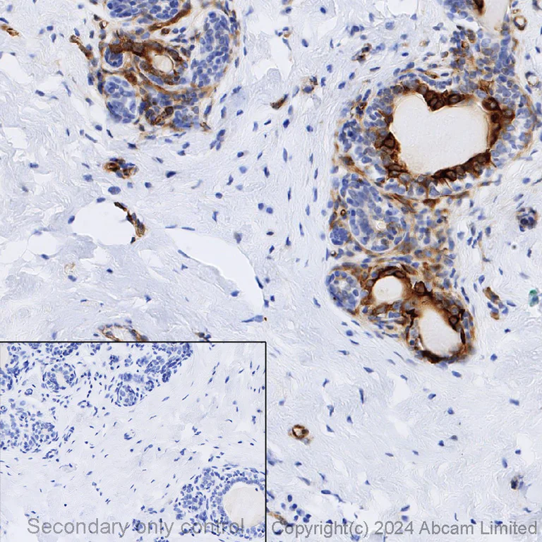
Immunohistochemistry (Formalin/PFA-fixed paraffin-embedded sections) - Anti-beta III Tubulin antibody [EP1569Y] - Neuronal Marker (AB52623)
  • IHC-P

Unknown

Immunohistochemistry (Formalin/PFA-fixed paraffin-embedded sections) - Anti-beta III Tubulin antibody [EP1569Y] - Neuronal Marker (AB52623)

ab52623, at a 1/50 dilution, staining class III beta Tubulin in human breast carcinoma tissue using Immunohistochemistry, Paraffin embedded tissue.

Perform heat mediated antigen retrieval with citrate buffer pH 6 before commencing with IHC staining protocol.

Multiplex immunohistochemistry - Anti-beta III Tubulin antibody [EP1569Y] - Neuronal Marker (AB52623)
  • mIHC

Lab

Multiplex immunohistochemistry - Anti-beta III Tubulin antibody [EP1569Y] - Neuronal Marker (AB52623)

Fluorescence multiplex immunohistochemical analysis of human cerebellum tissue (formalin-fixed paraffin-embedded section).

Merged staining of Neu-N (ab177487; yellow; Opal™570), anti-beta III Tubulin (ab52623; red; Opal™690) and anti-GFAP (ab68428; green; Opal™520).

The immunostaining was performed on a Leica Biosystems BOND® RX instrument with an Opal™ kit.

The section was incubated in three rounds of staining with ab177487 (1/1000 dilution), ab52623 (1/200 dilution) and ab68428 (1/250 dilution); each using a separate fluorescent tyramide signal amplification system.

Sodium citrate antigen retrieval (pH 6.0) was used in between rounds of tyramide signal amplification to remove the antibody from the previous round, to avoid any cross-reactivity.

DAPI (blue) was used as a nuclear counter stain.

Western blot - Anti-beta III Tubulin antibody [EP1569Y] - Neuronal Marker (AB52623)
  • WB

Lab

Western blot - Anti-beta III Tubulin antibody [EP1569Y] - Neuronal Marker (AB52623)

Lanes 1- 2 : Merged signal (red and green). Green - ab52623 observed at 50 kDa. Red - Anti-GAPDH antibody [6C5] - Loading Control (ab8245) observed at 37 kDa.

ab52623 was shown to react with beta III tubulin in wild-type HeLa cells in western blot. Loss of signal was observed when knockout cell line ab255358 (knockout cell lysate ab263857) was used. Wild-type HeLa and TUBB3 knockout HeLa cell lysates were subjected to SDS-PAGE. Membrane was blocked for 1 hour at room temperature in 0.1% TBST with 3% non-fat dried milk. ab52623 and Anti-GAPDH antibody [6C5] - Loading Control (ab8245) overnight at 4°C at a 1 in 1000 dilution and a 1 in 20000 dilution respectively. Blots were developed with Goat anti-Rabbit IgG H&L (IRDye®800CW) preadsorbed (ab216773) and Goat anti-Mouse IgG H&L (IRDye®680RD) preadsorbed (ab216776) secondary antibodies at 1 in 20000 dilution for 1 hour at room temperature before imaging.

All lanes:

Western blot - Anti-beta III Tubulin antibody [EP1569Y] - Neuronal Marker (ab52623) at 1/1000 dilution

Lane 1:

Wild-type HeLa cell lysate at 20 µg

Lane 2:

TUBB3 knockout HeLa cell lysate at 20 µg

Lane 2:

Western blot - Human TUBB3 (beta III Tubulin) knockout HeLa cell line (<a href='/en-us/products/cell-lines/human-tubb3-beta-iii-tubulin-knockout-hela-cell-line-ab255358'>ab255358</a>)

Predicted band size: 50 kDa

Observed band size: 50 kDa

false

Western blot - Anti-beta III Tubulin antibody [EP1569Y] - Neuronal Marker (AB52623)
  • WB

Unknown

Western blot - Anti-beta III Tubulin antibody [EP1569Y] - Neuronal Marker (AB52623)

Lanes 1 - 4 : Merged signal (red and green). Green - ab52623 observed at 52 kDa. Red - loading control, ab8245, observed at 37 kDa.

ab52623 was shown to specifically react with beta III Tubulin in wild-type cells as signal was lost in beta III Tubulin knockout HAP1 cells. Wild-type and beta III Tubulin knockout samples were subjected to SDS-PAGE. ab52623 and ab8245 (Mouse anti GAPDH loading control) were incubated overnight at 4°C at 1/1000 dilution and 1/10000 dilution respectively.

Blots were developed with Goat anti-Rabbit IgG H&L (IRDye® 800CW) preabsorbed ab216773 and Goat anti-Mouse IgG H&L (IRDye® 680RD) preabsorbed ab216776 secondary antibodies at 1/10000 dilution for 1 hour at room temperature before imaging.

All lanes:

Western blot - Anti-beta III Tubulin antibody [EP1569Y] - Neuronal Marker (ab52623) at 1/1000 dilution

Lane 1:

Wild-type HAP1 whole cell lysate at 20 µg

Lane 2:

Beta III Tubulin knockout HAP1 whole cell lysate at 20 µg

Lane 3:

HeLa whole cell lysate at 20 µg

Lane 4:

HEK293 whole cell lysate at 20 µg

Predicted band size: 50 kDa

false

Western blot - Anti-beta III Tubulin antibody [EP1569Y] - Neuronal Marker (AB52623)
  • WB

Unknown

Western blot - Anti-beta III Tubulin antibody [EP1569Y] - Neuronal Marker (AB52623)

All lanes:

Western blot - Anti-beta III Tubulin antibody [EP1569Y] - Neuronal Marker (ab52623) at 1/10000 dilution

All lanes:

HeLa (Human epithelial cell line from cervix adenocarcinoma) cell lysate at 10 µg

Secondary

All lanes:

goat anti-rabbit HRP at 1/2000 dilution

Predicted band size: 50 kDa

Observed band size: 52 kDa

false

Western blot - Anti-beta III Tubulin antibody [EP1569Y] - Neuronal Marker (AB52623)
  • WB

Lab

Western blot - Anti-beta III Tubulin antibody [EP1569Y] - Neuronal Marker (AB52623)

Lanes 1- 2 : Merged signal (red and green). Green - ab52623 observed at 52 kDa. Red - loading control ab8245 observed at 37 kDa.
ab52623 Anti-beta III Tubulin antibody [EP1569Y] - Neuronal Marker was shown to specifically react with beta III Tubulin in wild-type HCT116 cells in western blot. Loss of signal was observed when knockout cell line ab266900 (knockout cell lysate ab257070) was used. Wild-type and beta III Tubulin knockout samples were subjected to SDS-PAGE. Membrane was blocked for 1 hour at room temperature in 0.1% TBST with 3% non-fat dried milk. ab52623 and Anti-GAPDH antibody [6C5] - Loading Control (ab8245) were incubated overnight at 4°C at 1 in 1000 and 1 in 20000 dilution respectively. Blots were developed with Goat anti-Rabbit IgG H&L (IRDye® 800CW) preadsorbed (ab216773) and Goat anti-Mouse IgG H&L (IRDye® 680RD) preadsorbed (ab216776) secondary antibodies at 1 in 20000 dilution for 1 hour at room temperature before imaging.

All lanes:

Western blot - Anti-beta III Tubulin antibody [EP1569Y] - Neuronal Marker (ab52623) at 1/1000 dilution

Lane 1:

Wild-type HCT116 cell lysate at 20 µg

Lane 2:

TUBB3 knockout HCT116 cell lysate at 20 µg

Lane 2:

Western blot - Human TUBB3 (beta III Tubulin) knockout HCT116 cell line (<a href='/en-us/products/cell-lines/human-tubb3-beta-iii-tubulin-knockout-hct116-cell-line-ab266900'>ab266900</a>)

Predicted band size: 50 kDa

Observed band size: 52 kDa

false

Western blot - Anti-beta III Tubulin antibody [EP1569Y] - Neuronal Marker (AB52623)
  • WB

PubMed

Western blot - Anti-beta III Tubulin antibody [EP1569Y] - Neuronal Marker (AB52623)

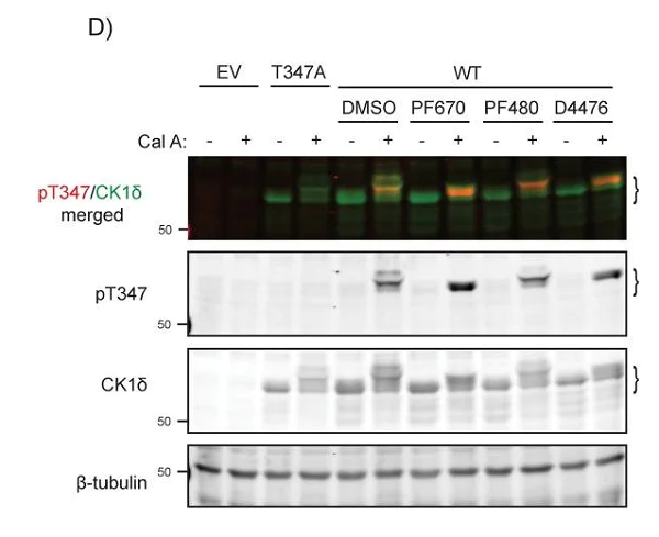
In vivo, CK1δ T347 is phosphorylated in trans.

D) Phosphorylation of CK1δ at T347 is not dependent on CK1 activity. HEK-293 cells over-expressing wild-type CK1δ were treated with CK1 inhibitors PF670462 (PF670, 1 μM), PF4800567 (PF480, 1 μM), or D4476 (30 μM) for 3 hours, followed by addition for 30 min of either DMSO or 40 nM Calyculin A. Cell lysates were immunoblotted for anti-pT347 or anti-Myc antibodies. CK1 inhibitors block the autophosphorylation-induced mobility shift but do not decrease phosphorylation of T347. Myc-tagged CK1δ indicated by curly brackets. ab52623 lower panel.

All lanes:

Western blot - Anti-beta III Tubulin antibody [EP1569Y] - Neuronal Marker (ab52623)

Predicted band size: 50 kDa

false

Eng et al PLoS One. 2017 May 17;12(5):e0177834. doi: 10.1371/journal.pone.0177834. eCollection 2017. Fig 5. Reproduced under the Creative Commons license http://creativecommons.org/licenses/by/4.0/

Western blot - Anti-beta III Tubulin antibody [EP1569Y] - Neuronal Marker (AB52623)
  • WB

CiteAb

Western blot - Anti-beta III Tubulin antibody [EP1569Y] - Neuronal Marker (AB52623)

beta III Tubulin western blot using anti-beta III Tubulin antibody [EP1569Y] - Neuronal Marker ab52623. Publication image and figure legend from Zhang, H., Qi, Y., et al., 2017, Sci Rep, PubMed 28165507.

ab52623 was used in this publication in western blot. This may not be the same as the application(s) guaranteed by Abcam. For a full list of applications guaranteed by Abcam for ab52623 please see the product overview.

PF inhibited IL-6 production of BMDCs and impaired Th17 cell differentiation via suppressing IKK/NF-κB and MAPK signaling pathway in vitro.Bone marrow cells from naïve mice were stimulated by GM-CSF and IL-4 to induce DC differentiation in the presence or absence of the indicated concentrations of PF for 5 days, and followed by the stimulation of LPS. (A) The above DCs were co-cultured with naïve CD4+ T cells for Th17 cell differentiation. The percentage of Th17 cells were analyzed by flow cytometry. (B) The protein expression of IKK/NF-κB signaling pathway was analyzed by immunoblot assay. Tubulin served as control. (C) The nucleus translocation of NF-κB-p65 was monitored by fluorescence microscopy (400×). Nuclei were stained in blue; the NF-κB p65 was stained in red. (D) Protein expression of MAPK signaling pathway was detected by immunoblot assay. β-actin was detected as control. Data are representative of three independent experiments. Values were expressed as mean ± SEM. *p < 0.05; **p < 0.01; ***p < 0.001.

false

  • HRP

    HRP Anti-beta III Tubulin antibody [EP1569Y] - Neuronal Marker

  • Biotin

    Biotin Anti-beta III Tubulin antibody [EP1569Y] - Neuronal Marker

  • 660 APC

    APC Anti-beta III Tubulin antibody [EP1569Y] - Neuronal Marker

  • 578 PE

    PE Anti-beta III Tubulin antibody [EP1569Y] - Neuronal Marker

  • 665 Alexa Fluor® 647

    Alexa Fluor® 647 Anti-beta III Tubulin antibody [EP1569Y] - Neuronal Marker

  • 565 Alexa Fluor® 555

    Alexa Fluor® 555 Anti-beta III Tubulin antibody [EP1569Y] - Neuronal Marker

  • 519 FITC

    FITC Anti-beta III Tubulin antibody [EP1569Y] - Neuronal Marker

  • 617 Alexa Fluor® 594

    Alexa Fluor® 594 Anti-beta III Tubulin antibody [EP1569Y] - Neuronal Marker

  • Carrier free

    Anti-beta III Tubulin antibody [EP1569Y] - BSA and Azide free

  • 519 Alexa Fluor® 488

    Alexa Fluor® 488 Anti-beta III Tubulin antibody [EP1569Y] - Neuronal Marker

Key facts

Host species

Rabbit

Clonality

Monoclonal

Clone number

EP1569Y

Isotype

IgG

Carrier free

No

Reacts with

Mouse, Rat, Human

Applications

WB, mIHC, IHC-P, ICC/IF, Flow Cyt (Intra)

applications

Immunogen

The exact immunogen used to generate this antibody is proprietary information.

Reactivity data

{ "title": "Reactivity Data", "filters": { "stats": ["", "Species", "Dilution Info", "Notes"], "tabs": { "all-applications": {"fullname" : "All Applications", "shortname": "All Applications"}, "IHCP" : {"fullname" : "Immunohistochemistry (Formalin/PFA-fixed paraffin-embedded sections)", "shortname":"IHC-P"}, "WB" : {"fullname" : "Western blot", "shortname":"WB"}, "mIHC" : {"fullname" : "Multiplex immunohistochemistry", "shortname":"mIHC"}, "ICCIF" : {"fullname" : "Immunocytochemistry/ Immunofluorescence", "shortname":"ICC/IF"}, "FlowCytIntra" : {"fullname" : "Flow Cytometry (Intracellular)", "shortname":"Flow Cyt (Intra)"} }, "product-promise": { "all": "all", "testedAndGuaranteed": "tested", "guaranteed": "expected", "predicted": "predicted", "notRecommended": "not-recommended" } }, "values": { "Human": { "IHCP-species-checked": "testedAndGuaranteed", "IHCP-species-dilution-info": "1/50 - 1/100", "IHCP-species-notes": "<p></p> Perform heat-mediated antigen retrieval with citrate buffer pH 6 before commencing with IHC staining protocol.", "WB-species-checked": "testedAndGuaranteed", "WB-species-dilution-info": "1/1000 - 1/10000", "WB-species-notes": "<p></p>", "mIHC-species-checked": "testedAndGuaranteed", "mIHC-species-dilution-info": "1/1000", "mIHC-species-notes": "<p>Perform Sodium citrate antigen retrieval (pH 6.0) between rounds of tyramide signal amplification to remove the antibody from the previous round, to avoid any cross-reactivity.</p>", "ICCIF-species-checked": "testedAndGuaranteed", "ICCIF-species-dilution-info": "1/500", "ICCIF-species-notes": "<p></p>", "FlowCytIntra-species-checked": "testedAndGuaranteed", "FlowCytIntra-species-dilution-info": "1/10 - 1/1000", "FlowCytIntra-species-notes": "<p><a href='/en-us/products/primary-antibodies/rabbit-igg-monoclonal-epr25a-isotype-control-ab172730'>ab172730</a> - Rabbit monoclonal IgG, is suitable for use as an isotype control with this antibody.</p>" }, "Mouse": { "IHCP-species-checked": "guaranteed", "IHCP-species-dilution-info": "", "IHCP-species-notes": "", "WB-species-checked": "testedAndGuaranteed", "WB-species-dilution-info": "1/1000 - 1/10000", "WB-species-notes": "<p></p>", "mIHC-species-checked": "guaranteed", "mIHC-species-dilution-info": "", "mIHC-species-notes": "", "ICCIF-species-checked": "testedAndGuaranteed", "ICCIF-species-dilution-info": "1/500", "ICCIF-species-notes": "<p></p>", "FlowCytIntra-species-checked": "guaranteed", "FlowCytIntra-species-dilution-info": "", "FlowCytIntra-species-notes": "" }, "Rat": { "IHCP-species-checked": "guaranteed", "IHCP-species-dilution-info": "", "IHCP-species-notes": "", "WB-species-checked": "testedAndGuaranteed", "WB-species-dilution-info": "1/1000 - 1/10000", "WB-species-notes": "<p></p>", "mIHC-species-checked": "guaranteed", "mIHC-species-dilution-info": "", "mIHC-species-notes": "", "ICCIF-species-checked": "testedAndGuaranteed", "ICCIF-species-dilution-info": "1/500", "ICCIF-species-notes": "<p></p>", "FlowCytIntra-species-checked": "guaranteed", "FlowCytIntra-species-dilution-info": "", "FlowCytIntra-species-notes": "" }, "Zebrafish": { "IHCP-species-checked": "predicted", "IHCP-species-dilution-info": "", "IHCP-species-notes": "", "WB-species-checked": "predicted", "WB-species-dilution-info": "", "WB-species-notes": "", "mIHC-species-checked": "predicted", "mIHC-species-dilution-info": "", "mIHC-species-notes": "", "ICCIF-species-checked": "predicted", "ICCIF-species-dilution-info": "", "ICCIF-species-notes": "", "FlowCytIntra-species-checked": "predicted", "FlowCytIntra-species-dilution-info": "", "FlowCytIntra-species-notes": "" } } }

You may be interested in:

AB235644

Human Beta-III Tubulin ELISA Kit

0

0 Reviews

View product

We recommend this product because it’s often used in the same experiment or related research.

We advise that you always check the datasheet to ensure it fits your experiments, or contact ourtechnical teamfor help.

Product details

Product Specifications
Anti-beta III Tubulin antibody [EP1569Y] - Neuronal Marker (ab52623) was developed by Abcam using patented rabbit monoclonal antibody technology and is validated for use in Flow Cyt (Intra), ICC/IF, IHC-P, WB, mIHC in human, mouse, rat samples.
Anti-beta III Tubulin antibody [EP1569Y] - Neuronal Marker (ab52623) specifically detects beta III Tubulin (UniProt ID: Q13509; Molecular weight: 50kDa) and is sold in a convenient trial size to enable initial testing (20 µL) and larger sizes for subsequent scaling up experiments (100 µL and 1 mL).

Quality and Validation
Abcam's high quality manufacturing and validation processes ensure Anti-beta III Tubulin antibody [EP1569Y] - Neuronal Marker (ab52623) has high sensitivity and specificity alongside high lot-to-lot consistency and reproducibility.
The specificity of Anti-beta III Tubulin antibody [EP1569Y] - Neuronal Marker (ab52623) has been confirmed by testing in knockout samples.
Anti-beta III Tubulin antibody [EP1569Y] - Neuronal Marker (ab52623) has been cited over 55 times in peer reviewed journals and is trusted by the scientific community.
Anti-beta III Tubulin antibody [EP1569Y] - Neuronal Marker (ab52623) has 6 independent reviews from customers.

Related Products
Antibody clone EP1569Y is also available pre-conjugated to a variety of labels for your convenience - HRP, Alexa Fluor® 647, Biotin, Alexa Fluor® 594, Alexa Fluor® 555, APC, FITC, PE, Alexa Fluor® 488 (ab190574, ab190575, ab195903, ab201740, ab202519, ab224977, ab224978, ab224979, ab283728).

Patented technology
Our RabMAb® technology is a patented hybridoma-based technology for making rabbit monoclonal antibodies. For details on our patents, please refer to RabMAb® patents.

What are the advantages of a recombinant monoclonal antibody?
This product is a recombinant monoclonal antibody, which offers several advantages including:

  • - High batch-to-batch consistency and reproducibility
  • - Improved sensitivity and specificity
  • - Long-term security of supply
  • - Animal-free batch production

For more information, read more on recombinant antibodies.

Properties and storage information

Form
Liquid
Purification technique
Affinity purification Protein A
Storage buffer
pH: 7.2 - 7.4 Preservative: 0.01% Sodium azide Constituents: 50% Tissue culture supernatant, 40% Glycerol (glycerin, glycerine), 9% PBS, 0.05% BSA
Shipped at conditions
Blue Ice
Appropriate short-term storage conditions
+4°C
Appropriate long-term storage conditions
-20°C
Aliquoting information
Upon delivery aliquot
Storage information
Avoid freeze / thaw cycle

Product protocols

For this product, it's our understanding that no specific protocols are required. You can visit:

Target data

Tubulin is the major constituent of microtubules, a cylinder consisting of laterally associated linear protofilaments composed of alpha- and beta-tubulin heterodimers (PubMed : 34996871). Microtubules grow by the addition of GTP-tubulin dimers to the microtubule end, where a stabilizing cap forms (PubMed : 34996871). Below the cap, tubulin dimers are in GDP-bound state, owing to GTPase activity of alpha-tubulin (PubMed : 34996871). TUBB3 plays a critical role in proper axon guidance and maintenance (PubMed : 20074521). Binding of NTN1/Netrin-1 to its receptor UNC5C might cause dissociation of UNC5C from polymerized TUBB3 in microtubules and thereby lead to increased microtubule dynamics and axon repulsion (PubMed : 28483977). Plays a role in dorsal root ganglion axon projection towards the spinal cord (PubMed : 28483977).
See full target information TUBB3

Publications (55)

Recent publications for all applications. Explore the full list and refine your search

PloS one 18:e0292676 PubMed37883357

2023

Apical-basal distribution of different subtypes of spiral ganglion neurons in the cochlea and the changes during aging.

Applications

Unspecified application

Species

Unspecified reactive species

Meijian Wang,Shengyin Lin,Ruili Xie

Biological research 56:52 PubMed37789455

2023

Focal ischemic stroke modifies microglia-derived exosomal miRNAs: potential role of mir-212-5p in neuronal protection and functional recovery.

Applications

Unspecified application

Species

Unspecified reactive species

Si-Si Li,Jia-Jia Wu,Xiang-Xin Xing,Yu-Lin Li,Jie Ma,Yu-Jie Duan,Jun-Peng Zhang,Chun-Lei Shan,Xu-Yun Hua,Mou-Xiong Zheng,Jian-Guang Xu

Cell biology international 47:1392-1405 PubMed37070787

2023

c-Jun-mediated JMJD6 restoration enhances resistance of liver cancer to radiotherapy through the IL-4-activated ERK pathway.

Applications

Unspecified application

Species

Unspecified reactive species

Yong Liu,Aixia Sui,Jirui Sun,Yifan Wu,Fuquan Liu,Yang Yang

Frontiers in neuroscience 17:1112243 PubMed37123355

2023

The effects of mild hypothermia on the electrode insertion trauma in a murine whole organ cochlea culture.

Applications

Unspecified application

Species

Unspecified reactive species

Joachim Schmutzhard,Werner Bader,Timo Gottfried,Daniel Dejaco,Rudolf Glückert,Joszef Dudas,Annelies Schrott-Fischer

International journal of biological sciences 19:1123-1145 PubMed36923940

2023

Low-intensity pulsed ultrasound promotes skeletal muscle regeneration via modulating the inflammatory immune microenvironment.

Applications

Unspecified application

Species

Unspecified reactive species

Haocheng Qin,Zhiwen Luo,Yaying Sun,Zhong He,Beijie Qi,Yisheng Chen,Junlong Wang,Ce Li,Weiwei Lin,Zhihua Han,Yulian Zhu

International journal of molecular sciences 24: PubMed36768339

2023

Closing the Gap between the Auditory Nerve and Cochlear Implant Electrodes: Which Neurotrophin Cocktail Performs Best for Axonal Outgrowth and Is Electrical Stimulation Beneficial?

Applications

Unspecified application

Species

Unspecified reactive species

Dominik Schmidbauer,Stefan Fink,Francis Rousset,Hubert Löwenheim,Pascal Senn,Rudolf Glueckert

STAR protocols 4:101993 PubMed36602900

2023

Differentiating PC12 cells to evaluate neurite densities through live-cell imaging.

Applications

Unspecified application

Species

Unspecified reactive species

Jordyn Karliner,Diane E Merry

FASEB journal : official publication of the Federation of American Societies for Experimental Biology 37:e22682 PubMed36468758

2022

Establishment of a minimally invasive distal traumatic optic neuropathy model in mice to investigate cascade reactions of retinal glial cells.

Applications

Unspecified application

Species

Unspecified reactive species

Bingqiao Shen,Huan Yu,Mingui Zhang,Junjue Chen,Yang Zhang,Shushu Xu,Ruiqi Han,Shouyue Huang,Ping Huang,Yisheng Zhong

Cell & bioscience 12:190 PubMed36456994

2022

A synthetic pregnenolone analog promotes microtubule dynamics and neural development.

Applications

Unspecified application

Species

Unspecified reactive species

Viktoryia Kolas,Jose Sandino A Bandonil,Niaz Wali,Kuo-Chiang Hsia,Jiun-Jie Shie,Bon-Chu Chung

Frontiers in neurology 13:1015014 PubMed36341090

2022

Multiplex immunohistochemistry reveals cochlear macrophage heterogeneity and local auditory nerve inflammation in cisplatin-induced hearing loss.

Applications

Unspecified application

Species

Unspecified reactive species

Mai Mohamed Bedeir,Yuzuru Ninoyu,Takashi Nakamura,Takahiro Tsujikawa,Shigeru Hirano
View all publications

Product promise

We are committed to supporting your work with high-quality reagents, and we're here for you every step of the way. In the unlikely event that one of our products does not perform as expected, you're protected by our Product Promise.
For full details, please see our Terms & Conditions

Associated Products

Select an associated product type
Alternative Product
Primary Antibodies

AB230847

Anti-beta III Tubulin antibody - C-terminal - Neuronal Marker

primary-antibodies

beta-iii-tubulin-antibody-c-terminal-neuronal-marker-ab230847

0

(0 reviews)

Alternative Product
Primary Antibodies

AB76286

Anti-beta III Tubulin (phospho S172) antibody

primary-antibodies

beta-iii-tubulin-phospho-s172-antibody-ab76286

4

(1 reviews)

Alternative Product
Primary Antibodies

AB25770

FITC Anti-beta III Tubulin antibody [TU-20] - Neuronal Marker

primary-antibodies

fitc-beta-iii-tubulin-antibody-tu-20-neuronal-marker-ab25770

0

(0 reviews)

Alternative Product
Primary Antibodies

AB41489

Anti-beta III Tubulin antibody - Neuronal Marker

primary-antibodies

beta-iii-tubulin-antibody-neuronal-marker-ab41489

2

(7 reviews)

Alternative Product
Primary Antibodies

AB264097

Anti-beta III Tubulin antibody [2G10] - BSA and Azide free

primary-antibodies

beta-iii-tubulin-antibody-2g10-bsa-and-azide-free-ab264097

5

(1 reviews)

Alternative Product
Primary Antibodies

AB264113

Anti-beta III Tubulin antibody [5G8] - BSA and Azide free

primary-antibodies

beta-iii-tubulin-antibody-5g8-bsa-and-azide-free-ab264113

0

(0 reviews)

Alternative Product
Primary Antibodies

AB18207

Anti-beta III Tubulin antibody - Neuronal Marker

primary-antibodies

beta-iii-tubulin-antibody-neuronal-marker-ab18207

5

(67 reviews)

Alternative Product
Primary Antibodies

AB231084

Anti-beta III Tubulin antibody [5G8] - Neuronal Marker

primary-antibodies

beta-iii-tubulin-antibody-5g8-neuronal-marker-ab231084

0

(0 reviews)

Alternative Product
Primary Antibodies

AB237350

Alexa Fluor® 488 Anti-beta III Tubulin antibody [EPR19591] - Neuronal Marker

primary-antibodies

alexa-fluor-488-beta-iii-tubulin-antibody-epr19591-neuronal-marker-ab237350

5

(1 reviews)

Alternative Product
Primary Antibodies

AB237351

Alexa Fluor® 647 Anti-beta III Tubulin antibody [EPR19591] - Neuronal Marker

primary-antibodies

alexa-fluor-647-beta-iii-tubulin-antibody-epr19591-neuronal-marker-ab237351

0

(0 reviews)

Alternative Product
Primary Antibodies

AB213663

PE Anti-beta III Tubulin antibody [EPR1568Y] - Neuronal Marker

primary-antibodies

pe-beta-iii-tubulin-antibody-epr1568y-neuronal-marker-ab213663

0

(0 reviews)

Alternative Product
Primary Antibodies

AB195879

Alexa Fluor® 488 Anti-beta III Tubulin antibody [2G10] - Neuronal Marker

primary-antibodies

alexa-fluor-488-beta-iii-tubulin-antibody-2g10-neuronal-marker-ab195879

0

(0 reviews)

Alternative Product
Primary Antibodies

AB195880

Alexa Fluor® 647 Anti-beta III Tubulin antibody [2G10] - Neuronal Marker

primary-antibodies

alexa-fluor-647-beta-iii-tubulin-antibody-2g10-neuronal-marker-ab195880

1

(1 reviews)

Alternative Product
Primary Antibodies

AB196638

HRP Anti-beta III Tubulin antibody [2G10] - Neuronal Marker

primary-antibodies

hrp-beta-iii-tubulin-antibody-2g10-neuronal-marker-ab196638

0

(0 reviews)

Alternative Product
Primary Antibodies

AB68193

Anti-beta III Tubulin antibody [EPR1568Y] - Neuronal Marker

primary-antibodies

beta-iii-tubulin-antibody-epr1568y-neuronal-marker-ab68193

4

(1 reviews)

Please note: All products are 'FOR RESEARCH USE ONLY. NOT FOR USE IN DIAGNOSTIC OR THERAPEUTIC PROCEDURES'.

For licensing inquiries, please contact partnerships@abcam.com