JavaScript is disabled in your browser. Please enable JavaScript to view this website.
AB250103

Anti-beta IV Tubulin antibody [EPR16775] - BSA and Azide free

Be the first to review this product! Submit a review

|

(1 Publication)

Rabbit Recombinant Monoclonal TBB4A antibody. Carrier free. Suitable for ICC/IF, WB, Flow Cyt (Intra), IHC-P and reacts with Human, Mouse, Rat samples. Cited in 1 publication.

View Alternative Names

TUBB4, TUBB5, TUBB4A, Tubulin beta-4A chain, Tubulin 5 beta, Tubulin beta-4 chain

8 Images
Flow Cytometry (Intracellular) - Anti-beta IV Tubulin antibody [EPR16775] - BSA and Azide free (AB250103)
  • Flow Cyt (Intra)

Lab

Flow Cytometry (Intracellular) - Anti-beta IV Tubulin antibody [EPR16775] - BSA and Azide free (AB250103)

This data was developed using ab179504, the same antibody clone in a different buffer formulation.

Intracellular Flow Cytometry analysis of 2% paraformaldehyde fixed Jurkat (Human T cell leukemia cells from peripheral blood) cells labeling beta IV Tubulin with ab179504 at 1/20 dilution (red line). Secondary antibody used is a goat anti rabbit IgG (FITC) at 1/150 dilution. The isotype control is rabbit monoclonal IgG (black line).

Immunocytochemistry/ Immunofluorescence - Anti-beta IV Tubulin antibody [EPR16775] - BSA and Azide free (AB250103)
  • ICC/IF

Supplier Data

Immunocytochemistry/ Immunofluorescence - Anti-beta IV Tubulin antibody [EPR16775] - BSA and Azide free (AB250103)

This data was developed using ab179504, the same antibody clone in a different buffer formulation.

Immunofluorescent analysis of 4% paraformaldehyde-fixed, 0.1% tritonX-100 permeabilized HeLa (Human epithelial cells from cervix adenocarcinoma) cells labeling beta IV Tubulin with ab179504 at 1/100 dilution followed by Goat anti rabbit IgG (Alexa Fluor® 488) secondary antibody (ab150077) at 1/200 dilution (green). Cytoplasm staining is observed.

Tubulin is detected with Mouse anti-Tubulin antibody (ab7291) at 1/500 dilution and ab150120 (AlexaFluor®594 Goat anti-Mouse secondary) at 1/400 dilution (red). The nuclear counter stain is DAPI (blue).

The negative controls : -

-ve control 1 - ab179504 at 1/100 dilution followed by Goat anti mouse IgG (Alexa Fluor®594) at 1/400 dilution.
-ve control 2 - Mouse anti-Tubulin antibody (ab7291) at 1/500 dilution followed by Goat anti rabbit IgG (Alexa Fluor®488) at 1/200 dilution.

Immunohistochemistry (Formalin/PFA-fixed paraffin-embedded sections) - Anti-beta IV Tubulin antibody [EPR16775] - BSA and Azide free (AB250103)
  • IHC-P

Supplier Data

Immunohistochemistry (Formalin/PFA-fixed paraffin-embedded sections) - Anti-beta IV Tubulin antibody [EPR16775] - BSA and Azide free (AB250103)

This data was developed using ab179504, the same antibody clone in a different buffer formulation.

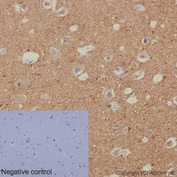
Immunohistochemical analysis of paraffin-embedded Human cerebral cortex issue labeling beta IV Tubulin with ab179504 at 1/250 dilution, followed by prediluted HRP Polymer for Rabbit/Mouse IgG. Counter stained with Hematoxylin. Cytoplasm staining is observed on neurons of cerebral cortex.

Negative control used PBS instead of ab179504, followed by prediluted HRP Polymer for Rabbit/Mouse IgG.

Heat mediated antigen retrieval was performed with Tris/EDTA buffer pH 9.0 before commencing with IHC staining protocol.

Immunohistochemistry (Formalin/PFA-fixed paraffin-embedded sections) - Anti-beta IV Tubulin antibody [EPR16775] - BSA and Azide free (AB250103)
  • IHC-P

Supplier Data

Immunohistochemistry (Formalin/PFA-fixed paraffin-embedded sections) - Anti-beta IV Tubulin antibody [EPR16775] - BSA and Azide free (AB250103)

This data was developed using ab179504, the same antibody clone in a different buffer formulation.

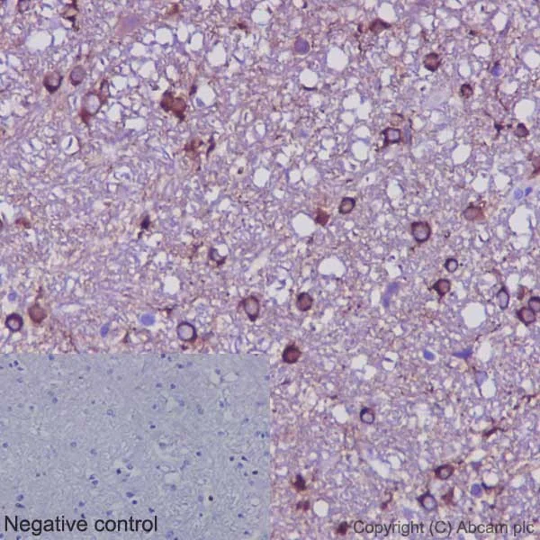
Immunohistochemical analysis of paraffin embedded Mouse hippocampus tissue labeling beta IV Tubulin with ab179504 at 1/250 dilution, followed by prediluted HRP Polymer for Rabbit/Mouse IgG. Counter stained with Hematoxylin. Cytoplasm staining is observed on neurons of mouse hippocampus.

Negative control used PBS instead of ab179504, followed by prediluted HRP Polymer for Rabbit/Mouse IgG.

Heat mediated antigen retrieval was performed with Tris/EDTA buffer pH 9.0 before commencing with IHC staining protocol.

Immunohistochemistry (Formalin/PFA-fixed paraffin-embedded sections) - Anti-beta IV Tubulin antibody [EPR16775] - BSA and Azide free (AB250103)
  • IHC-P

Supplier Data

Immunohistochemistry (Formalin/PFA-fixed paraffin-embedded sections) - Anti-beta IV Tubulin antibody [EPR16775] - BSA and Azide free (AB250103)

This data was developed using ab179504, the same antibody clone in a different buffer formulation.

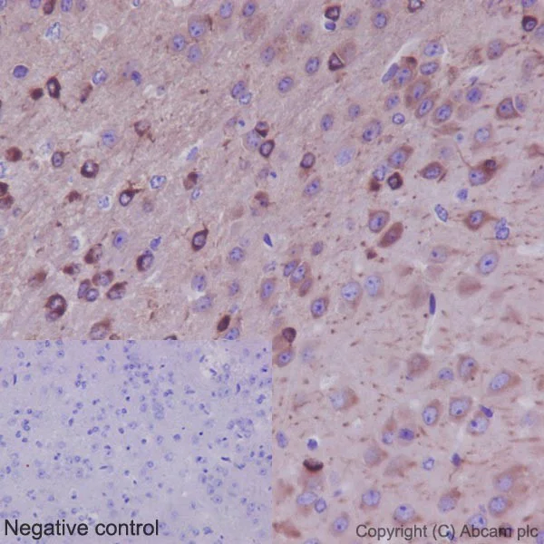
Immunohistochemical analysis of paraffin-embedded Rat thalamus tissue labeling beta IV Tubulin with ab179504 at 1/250 dilution, followed by prediluted HRP Polymer for Rabbit/Mouse IgG. Counter stained with Hematoxylin. Cytoplasm staining is observed on neurons of rat thalamus.

Negative control used PBS instead of ab179504, followed by prediluted HRP Polymer for Rabbit/Mouse IgG.

Heat mediated antigen retrieval was performed with Tris/EDTA buffer pH 9.0 before commencing with IHC staining protocol.

Western blot - Anti-beta IV Tubulin antibody [EPR16775] - BSA and Azide free (AB250103)
  • WB

Supplier Data

Western blot - Anti-beta IV Tubulin antibody [EPR16775] - BSA and Azide free (AB250103)

This data was developed using ab179504, the same antibody clone in a different buffer formulation.

Blocking and dilution buffer : 5% NFDM/TBST.

All lanes:

Western blot - Anti-beta IV Tubulin antibody [EPR16775] (<a href='/en-us/products/primary-antibodies/beta-iv-tubulin-antibody-epr16775-ab179504'>ab179504</a>) at 1/5000 dilution

Lane 1:

Mouse brain lysates at 10 µg

Lane 2:

Mouse heart lysates at 10 µg

Lane 3:

Mouse kidney lysates at 10 µg

Lane 4:

Mouse spleen lysates at 10 µg

Lane 5:

Rat brain lysates at 10 µg

Lane 6:

Rat heart lysates at 10 µg

Lane 7:

Rat kidney lysates at 10 µg

Lane 8:

Rat spleen lysates at 10 µg

Lane 9:

C6 (Rat glial tumor cells) whole cell lysates at 10 µg

Lane 10:

RAW 264.7 (Mouse macrophage cells transformed with Abelson murine leukemia virus) whole cell lysates at 10 µg

Lane 11:

PC-12 (Rat adrenal gland pheochromocytoma) whole cell lysates at 10 µg

Lane 12:

NIH/3T3 (Mouse embyro fibroblast cells) whole cell lysates at 10 µg

Secondary

All lanes:

Goat Anti-Rabbit IgG, (H+L), Peroxidase conjugated antibody at 1/1000 dilution

Predicted band size: 50 kDa

Observed band size: 50 kDa

false

Western blot - Anti-beta IV Tubulin antibody [EPR16775] - BSA and Azide free (AB250103)
  • WB

Supplier Data

Western blot - Anti-beta IV Tubulin antibody [EPR16775] - BSA and Azide free (AB250103)

This data was developed using ab179504, the same antibody clone in a different buffer formulation.

Blocking and dilution buffer : 5% NFDM/TBST.

All lanes:

Western blot - Anti-beta IV Tubulin antibody [EPR16775] (<a href='/en-us/products/primary-antibodies/beta-iv-tubulin-antibody-epr16775-ab179504'>ab179504</a>) at 1/5000 dilution

Lane 1:

Human fetal brain lysates at 20 µg

Lane 2:

Human cerebellum lysates at 20 µg

Lane 3:

Human fetal kidney lysates at 20 µg

Secondary

All lanes:

Goat Anti-Rabbit IgG, (H+L), Peroxidase conjugated antibody at 1/1000 dilution

Predicted band size: 50 kDa

Observed band size: 50 kDa

false

Western blot - Anti-beta IV Tubulin antibody [EPR16775] - BSA and Azide free (AB250103)
  • WB

Supplier Data

Western blot - Anti-beta IV Tubulin antibody [EPR16775] - BSA and Azide free (AB250103)

This data was developed using ab179504, the same antibody clone in a different buffer formulation.

Blocking and dilution buffer : 5% NFDM/TBST.

All lanes:

Western blot - Anti-beta IV Tubulin antibody [EPR16775] (<a href='/en-us/products/primary-antibodies/beta-iv-tubulin-antibody-epr16775-ab179504'>ab179504</a>) at 1/5000 dilution

Lane 1:

HeLa (Human epithelial cells from cervix adenocarcinoma) whole cell lysates at 10 µg

Lane 2:

Jurkat (Human T cell leukemia cells from peripheral blood) whole cell lysates at 10 µg

Lane 3:

Neuro-2a (Mouse neuroblastoma cells) whole cell lysates at 10 µg

Secondary

All lanes:

Goat Anti-Rabbit IgG, (H+L), Peroxidase conjugated antibody at 1/1000 dilution

Predicted band size: 50 kDa

Observed band size: 50 kDa

false

  • Unconjugated

    Anti-beta IV Tubulin antibody [EPR16775]

  • 775 Alexa Fluor® 750

    Alexa Fluor® 750 Anti-beta IV Tubulin antibody [EPR16775]

  • 519 Alexa Fluor® 488

    Alexa Fluor® 488 Anti-beta IV Tubulin antibody [EPR16775]

  • 578 PE

    PE Anti-beta IV Tubulin antibody [EPR16775]

  • 660 APC

    APC Anti-beta IV Tubulin antibody [EPR16775]

  • HRP

    HRP Anti-beta IV Tubulin antibody [EPR16775]

  • 617 Alexa Fluor® 594

    Alexa Fluor® 594 Anti-beta IV Tubulin antibody [EPR16775]

  • 603 Alexa Fluor® 568

    Alexa Fluor® 568 Anti-beta IV Tubulin antibody [EPR16775]

  • 565 Alexa Fluor® 555

    Alexa Fluor® 555 Anti-beta IV Tubulin antibody [EPR16775]

  • 665 Alexa Fluor® 647

    Alexa Fluor® 647 Anti-beta IV Tubulin antibody [EPR16775]

Key facts

Host species

Rabbit

Clonality

Monoclonal

Clone number

EPR16775

Isotype

IgG

Carrier free

Yes

Reacts with

Mouse, Rat, Human

Applications

WB, ICC/IF, Flow Cyt (Intra), IHC-P

applications

Immunogen

The exact immunogen used to generate this antibody is proprietary information.

Reactivity data

{ "title": "Reactivity Data", "filters": { "stats": ["", "Species", "Dilution Info", "Notes"], "tabs": { "all-applications": {"fullname" : "All Applications", "shortname": "All Applications"}, "ICCIF" : {"fullname" : "Immunocytochemistry/ Immunofluorescence", "shortname":"ICC/IF"}, "WB" : {"fullname" : "Western blot", "shortname":"WB"}, "FlowCytIntra" : {"fullname" : "Flow Cytometry (Intracellular)", "shortname":"Flow Cyt (Intra)"}, "IHCP" : {"fullname" : "Immunohistochemistry (Formalin/PFA-fixed paraffin-embedded sections)", "shortname":"IHC-P"} }, "product-promise": { "all": "all", "testedAndGuaranteed": "tested", "guaranteed": "expected", "predicted": "predicted", "notRecommended": "not-recommended" } }, "values": { "Human": { "ICCIF-species-checked": "testedAndGuaranteed", "ICCIF-species-dilution-info": "", "ICCIF-species-notes": "<p></p>", "WB-species-checked": "testedAndGuaranteed", "WB-species-dilution-info": "", "WB-species-notes": "<p></p>", "FlowCytIntra-species-checked": "testedAndGuaranteed", "FlowCytIntra-species-dilution-info": "", "FlowCytIntra-species-notes": "<p></p>", "IHCP-species-checked": "testedAndGuaranteed", "IHCP-species-dilution-info": "", "IHCP-species-notes": "<p></p>" }, "Mouse": { "ICCIF-species-checked": "guaranteed", "ICCIF-species-dilution-info": "", "ICCIF-species-notes": "", "WB-species-checked": "testedAndGuaranteed", "WB-species-dilution-info": "", "WB-species-notes": "<p></p>", "FlowCytIntra-species-checked": "guaranteed", "FlowCytIntra-species-dilution-info": "", "FlowCytIntra-species-notes": "", "IHCP-species-checked": "testedAndGuaranteed", "IHCP-species-dilution-info": "", "IHCP-species-notes": "<p></p>" }, "Rat": { "ICCIF-species-checked": "guaranteed", "ICCIF-species-dilution-info": "", "ICCIF-species-notes": "", "WB-species-checked": "guaranteed", "WB-species-dilution-info": "", "WB-species-notes": "", "FlowCytIntra-species-checked": "guaranteed", "FlowCytIntra-species-dilution-info": "", "FlowCytIntra-species-notes": "", "IHCP-species-checked": "testedAndGuaranteed", "IHCP-species-dilution-info": "", "IHCP-species-notes": "<p></p>" } } }

Product details

ab250103 is the carrier-free version of ab179504.

Patented technology
Our RabMAb® technology is a patented hybridoma-based technology for making rabbit monoclonal antibodies. For details on our patents, please refer to RabMAb® patents.

What are the advantages of a recombinant monoclonal antibody?
This product is a recombinant monoclonal antibody, which offers several advantages including:

  • - High batch-to-batch consistency and reproducibility
  • - Improved sensitivity and specificity
  • - Long-term security of supply
  • - Animal-free batch production

For more information, read more on recombinant antibodies.

Conjugation ready
Our carrier-free antibodies are typically supplied in a PBS-only formulation, purified and free of BSA, sodium azide and glycerol. This conjugation-ready format is designed for use with fluorochromes, metal isotopes, oligonucleotides, and enzymes, which makes them ideal for antibody labelling, functional and cell-based assays, flow-based assays (e.g. mass cytometry) and Multiplex Imaging applications.

Use our conjugation kits for antibody conjugates that are ready-to-use in as little as 20 minutes with 1 minute hands-on-time and 100% antibody recovery: available for fluorescent dyes, HRP, biotin and gold.

Compatibility
This product is compatible with the Maxpar® Antibody Labeling Kit from Fluidigm, without the need for antibody preparation. Maxpar® is a trademark of Fluidigm Canada Inc.

Properties and storage information

Form
Liquid
Purification technique
Affinity purification Protein A
Storage buffer
pH: 7.2 - 7.4 Constituents: PBS
Shipped at conditions
Blue Ice
Appropriate short-term storage conditions
+4°C
Appropriate long-term storage conditions
+4°C
Storage information
Do Not Freeze

Supplementary information

This supplementary information is collated from multiple sources and compiled automatically.

Beta IV Tubulin also known as TUBB4 is an important component of the microtubule structure within cells. It has a molecular mass of approximately 50 kDa. This protein is a critical part of the cytoskeleton and is expressed in a variety of tissues including neuronal tissues. Beta IV Tubulin plays a role in forming dynamic structures that aid in maintaining cell shape facilitating intracellular transport and enabling cell division. Researchers often use beta tubulin staining techniques to observe microtubules in cells which is important for understanding cellular processes.
Biological function summary

Beta IV Tubulin contributes significantly to the stability and function of microtubule networks. It is a member of the tubulin family and often forms tubulin heterodimers which are building blocks of microtubules. These microtubules are essential for many cellular activities such as mitosis and transport of organelles. Beta IV Tubulin is integral to the microtubule-based cellular processes and its functions are critical for neuronal development and function because it is a part of the complex cytoskeletal framework.

Pathways

Beta IV Tubulin is deeply involved in cellular processes such as the MAP kinase pathway and cell cycle regulation. These pathways are pivotal in transmitting signals that regulate cellular processes including growth and differentiation. The protein interacts with other tubulin isotypes and motor proteins like dynein and kinesin contributing to intracellular transport and chromosomal segregation during cell division. These interactions highlight its importance in maintaining proper cellular responses and functions.

Mutations or dysregulation of beta IV Tubulin are associated with neurological conditions like dystonia and Charcot-Marie-Tooth disease. These disorders underline the importance of beta IV Tubulin in neuronal health and development. The protein’s interaction with other tubulins and motor proteins also relates it to neurodegenerative diseases where cytoskeletal integrity and function are often compromised. Understanding these interactions helps unravel the pathogenic mechanisms of these diseases and can guide therapeutic strategies.

Product protocols

For this product, it's our understanding that no specific protocols are required. You can visit:

Target data

Tubulin is the major constituent of microtubules, a cylinder consisting of laterally associated linear protofilaments composed of alpha- and beta-tubulin heterodimers. Microtubules grow by the addition of GTP-tubulin dimers to the microtubule end, where a stabilizing cap forms. Below the cap, tubulin dimers are in GDP-bound state, owing to GTPase activity of alpha-tubulin.
See full target information TUBB4A

Publications (1)

Recent publications for all applications. Explore the full list and refine your search

Molecular therapy. Nucleic acids 23:1323-1333 PubMed33717652

2021

SIRT1-induced deacetylation of Akt expedites platelet phagocytosis and delays HEMEC aging.

Applications

Unspecified application

Species

Unspecified reactive species

Yong Lan,Min Dong,Yongjun Li,Yongpeng Diao,Zuoguang Chen,Yangfang Li
View all publications

Product promise

We are committed to supporting your work with high-quality reagents, and we're here for you every step of the way. In the unlikely event that one of our products does not perform as expected, you're protected by our Product Promise.
For full details, please see our Terms & Conditions

Please note: All products are 'FOR RESEARCH USE ONLY. NOT FOR USE IN DIAGNOSTIC OR THERAPEUTIC PROCEDURES'.

For licensing inquiries, please contact partnerships@abcam.com