JavaScript is disabled in your browser. Please enable JavaScript to view this website.
AB137674

Anti-Beta TRCP antibody

3

(1 Review)

|

(3 Publications)

Rabbit Polyclonal Beta TRCP/HOS antibody. Suitable for IHC-P, WB and reacts with Rat, Human samples. Cited in 3 publications. Immunogen corresponding to Recombinant Fragment Protein within Human BTRC aa 50-400.

View Alternative Names

BTRCP, FBW1A, FBXW1A, BTRC, F-box/WD repeat-containing protein 1A, E3RSIkappaB, Epididymis tissue protein Li 2a, F-box and WD repeats protein beta-TrCP, pIkappaBalpha-E3 receptor subunit, Beta TRCP/HOS

3 Images
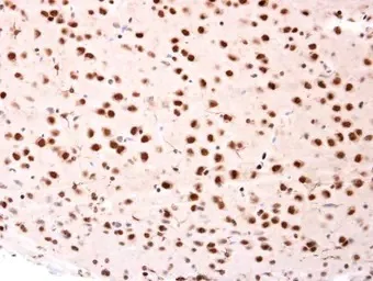
Immunohistochemistry (Formalin/PFA-fixed paraffin-embedded sections) - Anti-Beta TRCP antibody (AB137674)
  • IHC-P

Supplier Data

Immunohistochemistry (Formalin/PFA-fixed paraffin-embedded sections) - Anti-Beta TRCP antibody (AB137674)

Immunohistochemical analysis of paraffin embedded rat fore brain tissue stained for beta TrCP protein at nucleus with ab137674 at a 1/250 dilution.

Antigen retrieval : Trilogy™ (EDTA based, pH 8.0) buffer, 15min

Western blot - Anti-Beta TRCP antibody (AB137674)
  • WB

Supplier Data

Western blot - Anti-Beta TRCP antibody (AB137674)

Samples were separated by 7.5% SDS-PAGE.

All lanes:

Western blot - Anti-Beta TRCP antibody (ab137674) at 1/500 dilution

All lanes:

293T whole cell lysates at 30 µg

Secondary

All lanes:

HRP conjugated anti rabbit IgG antibody

Predicted band size: 68 kDa

false

Western blot - Anti-Beta TRCP antibody (AB137674)
  • WB

Supplier Data

Western blot - Anti-Beta TRCP antibody (AB137674)

Samples were separated by 7.5% SDS-PAGE.

All lanes:

Western blot - Anti-Beta TRCP antibody (ab137674) at 1/500 dilution

All lanes:

Raji whole cell extract at 30 µg

Secondary

All lanes:

HRP conjugated anti rabbit IgG antibody

Predicted band size: 68 kDa

false

Key facts

Host species

Rabbit

Clonality

Polyclonal

Isotype

IgG

Carrier free

No

Reacts with

Rat, Human

Applications

WB, IHC-P

applications

Immunogen

Recombinant Fragment Protein within Human BTRC aa 50-400. The exact immunogen used to generate this antibody is proprietary information.

Q9Y297

Reactivity data

{ "title": "Reactivity Data", "filters": { "stats": ["", "Species", "Dilution Info", "Notes"], "tabs": { "all-applications": {"fullname" : "All Applications", "shortname": "All Applications"}, "IHCP" : {"fullname" : "Immunohistochemistry (Formalin/PFA-fixed paraffin-embedded sections)", "shortname":"IHC-P"}, "WB" : {"fullname" : "Western blot", "shortname":"WB"} }, "product-promise": { "all": "all", "testedAndGuaranteed": "tested", "guaranteed": "expected", "predicted": "predicted", "notRecommended": "not-recommended" } }, "values": { "Human": { "IHCP-species-checked": "guaranteed", "IHCP-species-dilution-info": "", "IHCP-species-notes": "", "WB-species-checked": "testedAndGuaranteed", "WB-species-dilution-info": "1/500 - 1/3000", "WB-species-notes": "<p></p>" }, "Mouse": { "IHCP-species-checked": "predicted", "IHCP-species-dilution-info": "", "IHCP-species-notes": "", "WB-species-checked": "predicted", "WB-species-dilution-info": "", "WB-species-notes": "" }, "Rat": { "IHCP-species-checked": "testedAndGuaranteed", "IHCP-species-dilution-info": "1/100 - 1/1000", "IHCP-species-notes": "<p></p>", "WB-species-checked": "guaranteed", "WB-species-dilution-info": "", "WB-species-notes": "" }, "Cow": { "IHCP-species-checked": "predicted", "IHCP-species-dilution-info": "", "IHCP-species-notes": "", "WB-species-checked": "predicted", "WB-species-dilution-info": "", "WB-species-notes": "" }, "Xenopus laevis": { "IHCP-species-checked": "predicted", "IHCP-species-dilution-info": "", "IHCP-species-notes": "", "WB-species-checked": "predicted", "WB-species-dilution-info": "", "WB-species-notes": "" }, "Xenopus tropicalis": { "IHCP-species-checked": "predicted", "IHCP-species-dilution-info": "", "IHCP-species-notes": "", "WB-species-checked": "predicted", "WB-species-dilution-info": "", "WB-species-notes": "" } } }

Properties and storage information

Form
Liquid
Purification technique
Affinity purification Immunogen
Storage buffer
pH: 7 Preservative: 0.01% Thimerosal (merthiolate) Constituents: 10% Glycerol (glycerin, glycerine), 1.21% Tris, 0.75% Glycine
Shipped at conditions
Blue Ice
Appropriate short-term storage conditions
+4°C
Appropriate long-term storage conditions
-20°C
Aliquoting information
Upon delivery aliquot
Storage information
Avoid freeze / thaw cycle

Supplementary information

This supplementary information is collated from multiple sources and compiled automatically.

Beta TRCP also known as B-TRCP Beta-TRCP or BTRC is an E3 ubiquitin ligase subunit. It has a mass of about 63 kDa and shows expression in various human tissues such as the liver brain and muscle. The BTRC domain in beta TRCP recognizes specific phosphodegron sequences in target proteins tagging them for ubiquitination and subsequent proteasomal degradation. This process helps regulate the turnover of proteins important for cell cycle progression and signal transduction.
Biological function summary

Beta TRCP participates in essential functions by being a component of the SCF (Skp1-Cullin-F-box) complex which facilitates the ubiquitination of its substrates. SCF complexes regulate various cellular processes by targeting proteins that need timely degradation. As a part of the complex beta TRCP controls the stability of pivotal substrates ensuring proper regulation of biological events like DNA replication and repair.

Pathways

Beta TRCP plays critical roles in the Wnt and NF-kB signaling pathways. These pathways depend on the precise regulation of protein levels allowing for proper cellular responses. Beta TRCP interacts with key proteins such as IkB in the NF-kB pathway and beta-catenin in the Wnt pathway controlling their ubiquitination and stability. The degradation of these proteins is necessary for pathway activation or repression influencing cell proliferation and survival decisions.

Beta TRCP has associations with cancer and inflammatory diseases. Abnormal beta TRCP function can lead to dysregulation of the NF-kB and Wnt pathways contributing to tumorigenesis and chronic inflammation. In cancers for example its relationship with proteins like beta-catenin influences tumor growth due to improper degradation. In inflammatory diseases disrupted interaction with IkB leads to excessive activation of NF-kB promoting inflammatory responses. Understanding these interactions can provide insights into therapeutic strategies.

Product protocols

For this product, it's our understanding that no specific protocols are required. You can visit:

Target data

Substrate recognition component of a SCF (SKP1-CUL1-F-box protein) E3 ubiquitin-protein ligase complex which mediates the ubiquitination and subsequent proteasomal degradation of target proteins (PubMed : 10066435, PubMed : 10497169, PubMed : 10644755, PubMed : 10835356, PubMed : 11158290, PubMed : 11238952, PubMed : 11359933, PubMed : 11994270, PubMed : 12791267, PubMed : 12902344, PubMed : 14603323, PubMed : 14681206, PubMed : 14988407, PubMed : 15448698, PubMed : 15917222, PubMed : 16371461, PubMed : 22017875, PubMed : 22017876, PubMed : 22017877, PubMed : 22087322, PubMed : 25503564, PubMed : 25704143, PubMed : 36608670, PubMed : 9859996, PubMed : 9990852). Recognizes and binds to phosphorylated target proteins (PubMed : 10066435, PubMed : 10497169, PubMed : 10644755, PubMed : 10835356, PubMed : 11158290, PubMed : 11238952, PubMed : 11359933, PubMed : 11994270, PubMed : 12791267, PubMed : 12902344, PubMed : 14603323, PubMed : 14681206, PubMed : 14988407, PubMed : 15448698, PubMed : 15917222, PubMed : 16371461, PubMed : 22017875, PubMed : 22017876, PubMed : 22017877, PubMed : 22087322, PubMed : 25503564, PubMed : 25704143, PubMed : 36608670, PubMed : 9859996, PubMed : 9990852). SCF(BTRC) mediates the ubiquitination of CTNNB1 and participates in Wnt signaling (PubMed : 12077367, PubMed : 12820959). SCF(BTRC) mediates the ubiquitination of phosphorylated NFKB1, ATF4, CDC25A, DLG1, FBXO5, PER1, SMAD3, SMAD4, SNAI1 and probably NFKB2 (PubMed : 10835356, PubMed : 11238952, PubMed : 14603323, PubMed : 14681206). SCF(BTRC) mediates the ubiquitination of NFKBIA, NFKBIB and NFKBIE; the degradation frees the associated NFKB1 to translocate into the nucleus and to activate transcription (PubMed : 10066435, PubMed : 10497169, PubMed : 10644755, PubMed : 9859996). Ubiquitination of NFKBIA occurs at 'Lys-21' and 'Lys-22' (PubMed : 10066435). The SCF(FBXW11) complex also regulates NF-kappa-B by mediating ubiquitination of phosphorylated NFKB1 : specifically ubiquitinates the p105 form of NFKB1, leading to its degradation (PubMed : 10835356, PubMed : 11158290, PubMed : 14673179). SCF(BTRC) mediates the ubiquitination of CEP68; this is required for centriole separation during mitosis (PubMed : 25503564, PubMed : 25704143). SCF(BTRC) mediates the ubiquitination and subsequent degradation of nuclear NFE2L1 (By similarity). Has an essential role in the control of the clock-dependent transcription via degradation of phosphorylated PER1 and PER2 (PubMed : 15917222). May be involved in ubiquitination and subsequent proteasomal degradation through a DBB1-CUL4 E3 ubiquitin-protein ligase. Required for activation of NFKB-mediated transcription by IL1B, MAP3K14, MAP3K1, IKBKB and TNF. Required for proteolytic processing of GLI3 (PubMed : 16371461). Mediates ubiquitination of REST, thereby leading to its proteasomal degradation (PubMed : 18354482, PubMed : 21258371). SCF(BTRC) mediates the ubiquitination and subsequent proteasomal degradation of KLF4; thereby negatively regulating cell pluripotency maintenance and embryogenesis (By similarity). SCF(BTRC) acts as a regulator of mTORC1 signaling pathway by catalyzing ubiquitination and subsequent proteasomal degradation of phosphorylated DEPTOR, TFE3 and MITF (PubMed : 22017875, PubMed : 22017876, PubMed : 22017877, PubMed : 33110214, PubMed : 36608670). SCF(BTRC) directs 'Lys-48'-linked ubiquitination of UBR2 in the T-cell receptor signaling pathway (PubMed : 38225265).
See full target information BTRC

Publications (3)

Recent publications for all applications. Explore the full list and refine your search

American journal of translational research 14:6856-6873 PubMed36398226

2022

Protective effect of endothelial progenitor cell-derived exosomal microRNA-382-3p on sepsis-induced organ damage and immune suppression in mice.

Applications

Unspecified application

Species

Unspecified reactive species

Yang Liu,Tingting Luo,Hong Li,Xueke Zhao,Mingyu Zhou,Mingliang Cheng

Developmental cell 42:82-96.e3 PubMed28697335

2017

Chk1 Inhibition of the Replication Factor Drf1 Guarantees Cell-Cycle Elongation at the Xenopus laevis Mid-blastula Transition.

Applications

Unspecified application

Species

Unspecified reactive species

Clara Collart,James C Smith,Philip Zegerman

eLife 4: PubMed26418746

2015

Enteric pathogens deploy cell cycle inhibiting factors to block the bactericidal activity of Perforin-2.

Applications

WB

Species

Unspecified reactive species

Ryan M McCormack,Kirill Lyapichev,Melissa L Olsson,Eckhard R Podack,George P Munson
View all publications

Product promise

We are committed to supporting your work with high-quality reagents, and we're here for you every step of the way. In the unlikely event that one of our products does not perform as expected, you're protected by our Product Promise.
For full details, please see our Terms & Conditions

Please note: All products are 'FOR RESEARCH USE ONLY. NOT FOR USE IN DIAGNOSTIC OR THERAPEUTIC PROCEDURES'.

For licensing inquiries, please contact partnerships@abcam.com