JavaScript is disabled in your browser. Please enable JavaScript to view this website.
AB231082

Anti-beta Tubulin antibody [AA2] - Loading Control

4

(1 Review)

|

(7 Publications)

Mouse Monoclonal Beta-5-tubulin antibody. Suitable for IHC-P, WB, ICC/IF and reacts with Human, Mouse, Rat samples. Cited in 7 publications.

View Alternative Names

TUBB5, OK/SW-cl.56, TUBB, Tubulin beta chain, Tubulin beta-5 chain

3 Images
Immunocytochemistry/ Immunofluorescence - Anti-beta Tubulin antibody [AA2] - Loading Control (AB231082)
  • ICC/IF

Lab

Immunocytochemistry/ Immunofluorescence - Anti-beta Tubulin antibody [AA2] - Loading Control (AB231082)

ab231082 staining beta Tubulin in A431 (human epidermoid carcinoma cell line) cells. The cells were fixed with 100% methanol (5min), permeabilized with 0.1% PBS-Tween for 5 minutes and then blocked with 1% BSA/10% normal goat serum/0.3M glycine in 0.1%PBS-Tween for 1h. The cells were then incubated overnight at +4°C with ab231082 at 1μg/ml. Cells were then incubated with ab150117, Goat Anti-Mouse IgG H&L (Alexa Fluor® 488) at 1/1000 dilution (shown in green). Nuclear DNA was labelled with DAPI (shown in blue).

Image was taken with a confocal microscope (Leica-Microsystems, TCS SP8).

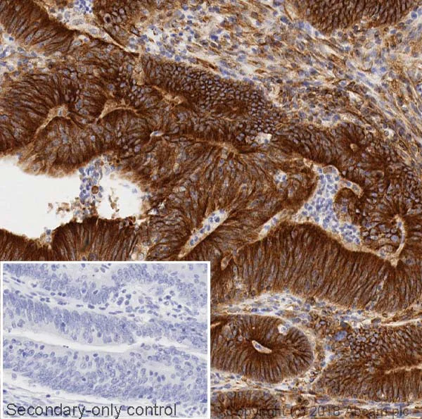
Immunohistochemistry (Formalin/PFA-fixed paraffin-embedded sections) - Anti-beta Tubulin antibody [AA2] - Loading Control (AB231082)
  • IHC-P

Lab

Immunohistochemistry (Formalin/PFA-fixed paraffin-embedded sections) - Anti-beta Tubulin antibody [AA2] - Loading Control (AB231082)

IHC image of beta tubulin staining in a section of formalin-fixed paraffin-embedded normal human colon carcinoma* performed on a Leica BONDTM system using the standard protocol F. The section was pre-treated using heat mediated antigen retrieval with sodium citrate buffer (pH6, epitope retrieval solution 1) for 20mins. The section was then incubated with ab231082, 1ug/ml, for 15 mins at room temperature and detected using an HRP conjugated compact polymer system. DAB was used as the chromogen. The section was then counterstained with haematoxylin and mounted with DPX. The inset secondary-only control image is taken from an identical assay without primary antibody.

For other IHC staining systems (automated and non-automated) customers should optimize variable parameters such as antigen retrieval conditions, primary antibody concentration and antibody incubation times.

*Tissue obtained from the Human Research Tissue Bank, supported by the NIHR Cambridge Biomedical Research Centre

Western blot - Anti-beta Tubulin antibody [AA2] - Loading Control (AB231082)
  • WB

Lab

Western blot - Anti-beta Tubulin antibody [AA2] - Loading Control (AB231082)

This blot was produced using a 4-12% Bis-tris gel under the MOPS buffer system. The gel was run at 200V for 50 minutes before being transferred onto a Nitrocellulose membrane at 30V for 70 minutes. The membrane was then blocked for an hour using 3% milk before being incubated with ab231082 and ab9485 (Rabbit anti-GAPDH loading control) overnight at 4°C at 1ug/ml and 1/10000 dilution respectively. Blots were developed with Goat anti-Rabbit IgG H&L (IRDye® 800CW) preadsorbed (ab216773) and Goat anti-Mouse IgG H&L (IRDye® 680RD) preadsorbed (ab216776) secondary antibodies at 1/20000 dilution for 1 hour at room temperature before imaging.

All lanes:

Western blot - Anti-beta Tubulin antibody [AA2] - Loading Control (ab231082)

Lane 1:

HeLa whole cell lysate at 20 µg

Lane 2:

NIH3T3 whole cell lysate at 20 µg

Lane 3:

PC12 whole cell lysate at 20 µg

Predicted band size: 49 kDa

false

  • 665 Alexa Fluor® 647

    Alexa Fluor® 647 Anti-beta Tubulin antibody [AA2] - Microtubule Marker

  • HRP

    HRP Anti-beta Tubulin antibody [AA2] - Loading Control

Key facts

Host species

Mouse

Clonality

Monoclonal

Clone number

AA2

Isotype

IgG1

Light chain type

kappa

Carrier free

No

Reacts with

Mouse, Rat, Human

Applications

ICC/IF, IHC-P, WB

applications

Immunogen

The exact immunogen used to generate this antibody is proprietary information.

Epitope

Recognizes amino acids 416-431

Reactivity data

{ "title": "Reactivity Data", "filters": { "stats": ["", "Species", "Dilution Info", "Notes"], "tabs": { "all-applications": {"fullname" : "All Applications", "shortname": "All Applications"}, "IHCP" : {"fullname" : "Immunohistochemistry (Formalin/PFA-fixed paraffin-embedded sections)", "shortname":"IHC-P"}, "WB" : {"fullname" : "Western blot", "shortname":"WB"}, "ICCIF" : {"fullname" : "Immunocytochemistry/ Immunofluorescence", "shortname":"ICC/IF"} }, "product-promise": { "all": "all", "testedAndGuaranteed": "tested", "guaranteed": "expected", "predicted": "predicted", "notRecommended": "not-recommended" } }, "values": { "Human": { "IHCP-species-checked": "testedAndGuaranteed", "IHCP-species-dilution-info": "1 µg/mL", "IHCP-species-notes": "<p></p> Perform heat-mediated antigen retrieval with citrate buffer pH 6 before commencing with IHC staining protocol.", "WB-species-checked": "testedAndGuaranteed", "WB-species-dilution-info": "1 µg/mL", "WB-species-notes": "<p></p>", "ICCIF-species-checked": "testedAndGuaranteed", "ICCIF-species-dilution-info": "1 µg/mL", "ICCIF-species-notes": "<p>This antibody gives a positive signal in both 100% MeOH and 4% PFA-fixed cells.</p>" }, "Mouse": { "IHCP-species-checked": "guaranteed", "IHCP-species-dilution-info": "", "IHCP-species-notes": "", "WB-species-checked": "testedAndGuaranteed", "WB-species-dilution-info": "1 µg/mL", "WB-species-notes": "<p></p>", "ICCIF-species-checked": "guaranteed", "ICCIF-species-dilution-info": "", "ICCIF-species-notes": "" }, "Rat": { "IHCP-species-checked": "guaranteed", "IHCP-species-dilution-info": "", "IHCP-species-notes": "", "WB-species-checked": "testedAndGuaranteed", "WB-species-dilution-info": "1 µg/mL", "WB-species-notes": "<p></p>", "ICCIF-species-checked": "guaranteed", "ICCIF-species-dilution-info": "", "ICCIF-species-notes": "" }, "Mammals": { "IHCP-species-checked": "predicted", "IHCP-species-dilution-info": "", "IHCP-species-notes": "", "WB-species-checked": "predicted", "WB-species-dilution-info": "", "WB-species-notes": "", "ICCIF-species-checked": "predicted", "ICCIF-species-dilution-info": "", "ICCIF-species-notes": "" }, "Plants": { "IHCP-species-checked": "predicted", "IHCP-species-dilution-info": "", "IHCP-species-notes": "", "WB-species-checked": "predicted", "WB-species-dilution-info": "", "WB-species-notes": "", "ICCIF-species-checked": "predicted", "ICCIF-species-dilution-info": "", "ICCIF-species-notes": "" } } }

Product details

Want a custom formulation?
This antibody clone is manufactured by Abcam. If you require a custom buffer formulation or conjugation for your experiments, please contact orders@abcam.com

Properties and storage information

Form
Liquid
Purification technique
Affinity purification
Storage buffer
Preservative: 0.02% Sodium azide Constituents: PBS
Shipped at conditions
Blue Ice
Appropriate short-term storage duration
1-2 weeks
Appropriate short-term storage conditions
+4°C
Appropriate long-term storage conditions
-20°C
Aliquoting information
Upon delivery aliquot
Storage information
Avoid freeze / thaw cycle

Supplementary information

This supplementary information is collated from multiple sources and compiled automatically.

Beta tubulin also known as beta-tubulin or β-tubulin is a globular protein with a molecular weight of approximately 50 kDa. It is a major component of microtubules which are cylindrical structures vital for maintaining cell shape and enabling intracellular transport. This protein is expressed widely in eukaryotic cells and plays a role in mitosis and meiosis by forming the spindle apparatus important for chromosome separation during cell division. The size of beta tubulin allows it to effectively polymerize with alpha tubulin forming heterodimers which are the building blocks of the microtubule network.
Biological function summary

This protein contributes significantly to the dynamic instability of microtubules allowing rapid assembly and disassembly which is essential for cellular processes like motility signaling and maintaining the cell’s architecture. Beta tubulin operates as part of the tubulin family which includes several related proteins within microtubule structures. The beta-tubulin molecules in microtubules are critical for the interactions with microtubule-associated proteins (MAPs) and motor proteins such as kinesin and dynein influencing trafficking and positioning of organelles within the cell.

Pathways

Beta tubulin plays key roles in the mitotic spindle assembly checkpoint ensuring accurate chromosome segregation. It is actively involved in the microtubule pathway and has associations with signaling pathways such as the Wnt signaling pathway which affects cell growth and differentiation. Through these pathways beta tubulin interacts with proteins like tau and MAP2 which stabilize microtubules to control their functional dynamics within the cell.

Mutations or dysregulations in beta tubulin can affect neurological and proliferative conditions such as neurodegenerative diseases and cancer. Beta tubulin is notably linked to Alzheimer's disease where tau protein tangles disrupt normal microtubule function. It also connects to diseases like paclitaxel-resistant cancer where altered beta tubulin isoform expression can lead to chemotherapy resistance. The interaction of beta tubulin with tau and alpha tubulin provides further insight into etiological mechanisms of these conditions.

Product protocols

For this product, it's our understanding that no specific protocols are required. You can visit:

Target data

Tubulin is the major constituent of microtubules, a cylinder consisting of laterally associated linear protofilaments composed of alpha- and beta-tubulin heterodimers. Microtubules grow by the addition of GTP-tubulin dimers to the microtubule end, where a stabilizing cap forms. Below the cap, tubulin dimers are in GDP-bound state, owing to GTPase activity of alpha-tubulin.
See full target information TUBB

Publications (7)

Recent publications for all applications. Explore the full list and refine your search

Biomolecules 14: PubMed38927055

2024

Slow Sulfide Donor GYY4137 Increased the Sensitivity of Two Breast Cancer Cell Lines to Paclitaxel by Different Mechanisms.

Applications

Unspecified application

Species

Unspecified reactive species

Veronika Liskova,Barbora Chovancova,Kristina Galvankova,Ladislav Klena,Katarina Matyasova,Petr Babula,Marian Grman,Ingeborg Rezuchova,Maria Bartosova,Olga Krizanova

Biophysics reports 9:177-187 PubMed38516619

2024

Deep learning-enabled fast DNA-PAINT imaging in cells.

Applications

Unspecified application

Species

Unspecified reactive species

Min Zhu,Luhao Zhang,Luhong Jin,Yunyue Chen,Haixu Yang,Baohua Ji,Yingke Xu

Cell reports 42:113155 PubMed37756164

2023

Reciprocal transmission of activating and inhibitory signals and cell fate in regenerating T cells.

Applications

Unspecified application

Species

Unspecified reactive species

Peter H Wang,Robert S Washburn,Dylan L Mariuzza,Wen-Hsuan W Lin,Amanda L Gill,Rafi Ahmed,Steven L Reiner

Frontiers in oncology 13:1178021 PubMed37483514

2023

Cystathionine β-synthase affects organization of cytoskeleton and modulates carcinogenesis in colorectal carcinoma cells.

Applications

Unspecified application

Species

Unspecified reactive species

Veronika Liskova,Barbora Chovancova,Petr Babula,Ingeborg Rezuchova,Kristina Ploth Pavlov,Miroslava Matuskova,Olga Krizanova

Digestive diseases and sciences 68:1292-1305 PubMed36877334

2023

Dual-Regulated Mechanism of EZH2 and KDM6A on SALL4 Modulates Tumor Progression via Wnt/β-Catenin Pathway in Gastric Cancer.

Applications

Unspecified application

Species

Unspecified reactive species

Lei Ren,Hong Deng,Yu Jiang,Chunfeng Liu

Frontiers in chemistry 10:864701 PubMed35620648

2022

DNA-PAINT Imaging Accelerated by Machine Learning.

Applications

Unspecified application

Species

Unspecified reactive species

Min Zhu,Luhao Zhang,Luhong Jin,Jincheng Chen,Yongdeng Zhang,Yingke Xu

Methods in cell biology 95:33-46 PubMed20466128

2010

Characterization of anti-beta-tubulin antibodies.

Applications

Unspecified application

Species

Unspecified reactive species

Anthony J Spano,Anthony Frankfurter
View all publications

Product promise

We are committed to supporting your work with high-quality reagents, and we're here for you every step of the way. In the unlikely event that one of our products does not perform as expected, you're protected by our Product Promise.
For full details, please see our Terms & Conditions

Please note: All products are 'FOR RESEARCH USE ONLY. NOT FOR USE IN DIAGNOSTIC OR THERAPEUTIC PROCEDURES'.

For licensing inquiries, please contact partnerships@abcam.com