JavaScript is disabled in your browser. Please enable JavaScript to view this website.
AB314069

Anti-beta-Tubulin antibody [BLR236K] - BSA free

Be the first to review this product! Submit a review

|

(2 Publications)

Rabbit Recombinant Monoclonal Beta-5-tubulin antibody. Suitable for Flow Cyt, ICC, IHC-P, IP, WB and reacts with Human, Mouse samples. Cited in 2 publications. Immunogen corresponding to Synthetic Peptide within Human TUBB aa 1-50.

View Alternative Names

TUBB5, OK/SW-cl.56, TUBB, Tubulin beta chain, Tubulin beta-5 chain

9 Images
Flow Cytometry - Anti-beta-Tubulin antibody [BLR236K] - BSA free (AB314069)
  • Flow Cyt

Supplier Data

Flow Cytometry - Anti-beta-Tubulin antibody [BLR236K] - BSA free (AB314069)

Detection of human beta-Tubulin (shaded) in K562 cells by flow cytometry. Antibody : Rabbit anti-beta-Tubulin recombinant monoclonal antibody [BLR236K] (A700-236CF) or isotype control (unshaded). Secondary : DyLight® 650-conjugated goat anti-rabbit IgG.

Immunohistochemistry (Formalin/PFA-fixed paraffin-embedded sections) - Anti-beta-Tubulin antibody [BLR236K] - BSA free (AB314069)
  • IHC-P

Supplier Data

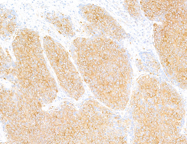
Immunohistochemistry (Formalin/PFA-fixed paraffin-embedded sections) - Anti-beta-Tubulin antibody [BLR236K] - BSA free (AB314069)

Detection of human beta-Tubulin by immunohistochemistry. Sample : FFPE section of lung carcinoma. Antibody : Rabbit anti-beta-Tubulin recombinant monoclonal antibody [BLR236K] (A700-236CF). Secondary : HRP-conjugated goat anti-rabbit IgG.

Immunocytochemistry - Anti-beta-Tubulin antibody [BLR236K] - BSA free (AB314069)
  • ICC

Supplier Data

Immunocytochemistry - Anti-beta-Tubulin antibody [BLR236K] - BSA free (AB314069)

Detection of human beta-Tubulin by immunocytochemistry. Sample : FFPE section of MOLT-4 cells. Antibody : Rabbit anti-beta-Tubulin recombinant monoclonal antibody [BLR236K] (A700-236CF). Secondary : HRP-conjugated goat anti-rabbit IgG.

Immunoprecipitation - Anti-beta-Tubulin antibody [BLR236K] - BSA free (AB314069)
  • IP

Supplier Data

Immunoprecipitation - Anti-beta-Tubulin antibody [BLR236K] - BSA free (AB314069)

Samples : Whole cell lysate (1.0 mg per IP reaction; 20% of IP loaded) from Jurkat cells prepared using NETN lysis buffer. Antibodies : Rabbit anti-beta-Tubulin recombinant monoclonal antibody [BLR236K] (A700-236-1) used for IP at 20 µl/mg lysate. beta-Tubulin was also immunoprecipitated by a second antibody against a different epitope of beta-Tubulin (BL-2134A-6D11). For blotting immunoprecipitated beta-Tubulin, A700-236 was used at 1 : 1000. Detection : Chemiluminescence with an exposure time of 10 seconds.

false

Immunohistochemistry (Formalin/PFA-fixed paraffin-embedded sections) - Anti-beta-Tubulin antibody [BLR236K] - BSA free (AB314069)
  • IHC-P

Supplier Data

Immunohistochemistry (Formalin/PFA-fixed paraffin-embedded sections) - Anti-beta-Tubulin antibody [BLR236K] - BSA free (AB314069)

Detection of mouse beta-Tubulin by immunohistochemistry. Sample : FFPE section of mouse testis. Antibody : Rabbit anti-beta-Tubulin recombinant monoclonal antibody [BLR236K] (A700-236CF). Secondary : HRP-conjugated goat anti-rabbit IgG.

Immunocytochemistry - Anti-beta-Tubulin antibody [BLR236K] - BSA free (AB314069)
  • ICC

Supplier Data

Immunocytochemistry - Anti-beta-Tubulin antibody [BLR236K] - BSA free (AB314069)

Detection of mouse beta-Tubulin by immunocytochemistry. Sample : FFPE section of ND7/23 cells. Antibody : Rabbit anti-beta-Tubulin recombinant monoclonal antibody [BLR236K] (A700-236CF). Secondary : HRP-conjugated goat anti-rabbit IgG.

Flow Cytometry - Anti-beta-Tubulin antibody [BLR236K] - BSA free (AB314069)
  • Flow Cyt

Supplier Data

Flow Cytometry - Anti-beta-Tubulin antibody [BLR236K] - BSA free (AB314069)

Detection of mouse beta-Tubulin (shaded) in A20 cells by flow cytometry. Antibody : Rabbit anti-beta-Tubulin recombinant monoclonal antibody [BLR236K] (A700-236CF) or isotype control (unshaded). Secondary : DyLight® 650-conjugated goat anti-rabbit IgG.

Western blot - Anti-beta-Tubulin antibody [BLR236K] - BSA free (AB314069)
  • WB

Supplier Data

Western blot - Anti-beta-Tubulin antibody [BLR236K] - BSA free (AB314069)

Samples : Whole cell lysate (10 µg) from HeLa, HEK293T, Hep-G2, Jurkat, and MOLT-4 cells prepared using NETN lysis buffer. Antibody : Rabbit anti-beta-Tubulin recombinant monoclonal antibody [BLR236K] (A700-236CF) used at 1 : 1000. Secondary : HRP-conjugated goat anti-rabbit IgG. Detection : Chemiluminescence with an exposure time of 10 seconds. Lower Panel : Rabbit anti-Actin recombinant monoclonal antibody [BLR057F].

All lanes:

Western blot - Anti-beta-Tubulin antibody [BLR236K] - BSA free (ab314069) at 1/1000 dilution

Lane 1:

HeLa Whole cell lysate at 10 µg

Lane 2:

HEK293T Whole cell lysate at 10 µg

Lane 3:

Hep-G2 Whole cell lysate at 10 µg

Lane 4:

Jurkat Whole cell lysate at 10 µg

Lane 5:

MOLT-4 Whole cell lysate at 10 µg

Secondary

All lanes:

HRP-conjugated goat anti-rabbit IgG

false

Western blot - Anti-beta-Tubulin antibody [BLR236K] - BSA free (AB314069)
  • WB

Supplier Data

Western blot - Anti-beta-Tubulin antibody [BLR236K] - BSA free (AB314069)

Samples : Whole cell lysate (10 µg) from NIH 3T3, CT26, CH27, TCMK-1, and BW5147.3 cells prepared using NETN lysis buffer. Antibody : Rabbit anti-beta-Tubulin recombinant monoclonal antibody [BLR236K] (A700-236 lot 1) used at 1 : 1000. Secondary : HRP-conjugated goat anti-rabbit IgG. Detection : Chemiluminescence with an exposure time of 10 seconds. Lower Panel : Rabbit anti-Actin recombinant monoclonal antibody [BLR057F].

All lanes:

Western blot - Anti-beta-Tubulin antibody [BLR236K] - BSA free (ab314069) at 1/1000 dilution

Lane 1:

NIH 3T3 Whole cell lysate at 10 µg

Lane 2:

CT26 Whole cell lysate at 10 µg

Lane 3:

CH27 Whole cell lysate at 10 µg

Lane 4:

TCMK-1 Whole cell lysate at 10 µg

Lane 5:

BW5147.3 Whole cell lysate at 10 µg

Secondary

All lanes:

HRP-conjugated goat anti-rabbit IgG

false

Key facts

Host species

Rabbit

Clonality

Monoclonal

Clone number

BLR236K

Isotype

IgG

Carrier free

No

Reacts with

Human, Mouse

Applications

IP, ICC, IHC-P, WB, Flow Cyt

applications

Immunogen

Synthetic Peptide within Human TUBB aa 1-50. The exact immunogen used to generate this antibody is proprietary information.

P07437

Reactivity data

{ "title": "Reactivity Data", "filters": { "stats": ["", "Species", "Dilution Info", "Notes"], "tabs": { "all-applications": {"fullname" : "All Applications", "shortname": "All Applications"}, "FlowCyt" : {"fullname" : "Flow Cytometry", "shortname":"Flow Cyt"}, "ICC" : {"fullname" : "Immunocytochemistry", "shortname":"ICC"}, "IHCP" : {"fullname" : "Immunohistochemistry (Formalin/PFA-fixed paraffin-embedded sections)", "shortname":"IHC-P"}, "IP" : {"fullname" : "Immunoprecipitation", "shortname":"IP"}, "WB" : {"fullname" : "Western blot", "shortname":"WB"} }, "product-promise": { "all": "all", "testedAndGuaranteed": "tested", "guaranteed": "expected", "predicted": "predicted", "notRecommended": "not-recommended" } }, "values": { "Human": { "FlowCyt-species-checked": "testedAndGuaranteed", "FlowCyt-species-dilution-info": "", "FlowCyt-species-notes": "<p></p>", "ICC-species-checked": "testedAndGuaranteed", "ICC-species-dilution-info": "", "ICC-species-notes": "<p></p>", "IHCP-species-checked": "testedAndGuaranteed", "IHCP-species-dilution-info": "", "IHCP-species-notes": "<p></p>", "IP-species-checked": "testedAndGuaranteed", "IP-species-dilution-info": "", "IP-species-notes": "<p></p>", "WB-species-checked": "testedAndGuaranteed", "WB-species-dilution-info": "", "WB-species-notes": "<p></p>" }, "Mouse": { "FlowCyt-species-checked": "testedAndGuaranteed", "FlowCyt-species-dilution-info": "", "FlowCyt-species-notes": "<p></p>", "ICC-species-checked": "testedAndGuaranteed", "ICC-species-dilution-info": "", "ICC-species-notes": "<p></p>", "IHCP-species-checked": "testedAndGuaranteed", "IHCP-species-dilution-info": "", "IHCP-species-notes": "<p></p>", "IP-species-checked": "guaranteed", "IP-species-dilution-info": "", "IP-species-notes": "", "WB-species-checked": "testedAndGuaranteed", "WB-species-dilution-info": "", "WB-species-notes": "<p></p>" } } }

Properties and storage information

Form
Liquid
Storage buffer
pH: 7.8 - 8.6 Preservative: 0.09% Sodium azide Constituents: 98% Borate buffered saline
Shipped at conditions
Blue Ice
Appropriate short-term storage duration
Up to 12 months
Appropriate short-term storage conditions
+4°C
Appropriate long-term storage conditions
+4°C

Supplementary information

This supplementary information is collated from multiple sources and compiled automatically.

Beta V tubulin also known as TUBB6 is a microtubule protein involved in the mechanical structure of cells. It plays a role in the formation of microtubules by polymerizing with alpha tubulin allowing tubulin dimers to stack into spirals that form hollow tubes. This protein has a molecular mass of approximately 49 kDa. Beta V tubulin is expressed in many tissues with higher levels observed in the human brain liver and testis.
Biological function summary

Beta V tubulin is important for maintaining cellular architecture and intracellular transport. It is an important component of the cytoskeleton a complex that provides support and shape to the cell and facilitates movement of organelles within the cell. Microtubules formed by beta V tubulin are essential for mitosis as they organize and separate chromosomes during cell division. This role connects beta V tubulin to cell cycle regulation and stability.

Pathways

Beta V tubulin participates in the microtubule organizing center pathways and impacts the cell cycle pathway. It interacts with proteins including kinesin and dynein which are motor proteins that move along microtubules to transport cellular cargo. These processes ensure proper cellular function by delivering necessary molecules and considering structural integrity linking beta V tubulin to essential cellular processes.

Dysregulation of beta V tubulin has been linked to certain types of cancer particularly liver and breast cancer. It associates with p53 a protein critical for tumor suppression indicating a potential role in tumorigenesis. Additionally mutations in beta V tubulin can contribute to neurodevelopmental disorders due to its expression in the brain and its involvement in neuronal function. This association highlights the importance of beta V tubulin in both normal cellular functioning and disease development.

Product protocols

For this product, it's our understanding that no specific protocols are required. You can visit:

Target data

Tubulin is the major constituent of microtubules, a cylinder consisting of laterally associated linear protofilaments composed of alpha- and beta-tubulin heterodimers. Microtubules grow by the addition of GTP-tubulin dimers to the microtubule end, where a stabilizing cap forms. Below the cap, tubulin dimers are in GDP-bound state, owing to GTPase activity of alpha-tubulin.
See full target information TUBB

Publications (2)

Recent publications for all applications. Explore the full list and refine your search

Theranostics 15:1930-1948 PubMed39897564

2025

YAP1 mediates the dimensional and chemical coordination of immunoregulation and therapy in extensively passaged mesenchymal stem cells.

Applications

Unspecified application

Species

Unspecified reactive species

Fang-Ying Du,Feng Zhou,Na Zhao,Lei Bao,Cheng-Biao Hu,Jing Lei,An-Qi Liu,Ying-Feng Gao,Li-Hui Bao,Hua Ni,Xiao-Rui Yu,Ji Chen,Bing-Dong Sui

Journal of biochemical and molecular toxicology 38:e70064 PubMed39569601

2024

Extracellular Vesicles Derived Ectonucleoside Triphosphate Diphosphohydrolase 3 Alleviates Mitochondrial Dysfunction of Osteoarthritis Chondrocytes via Ectonucleotide Pyrophosphatase/Phosphodiesterase 1-Induced Suppression of the AKT/Notch2 Pathway.

Applications

Unspecified application

Species

Unspecified reactive species

Xin Tang,Jingsheng He,Ye Hao
View all publications

Product promise

We are committed to supporting your work with high-quality reagents, and we're here for you every step of the way. In the unlikely event that one of our products does not perform as expected, you're protected by our Product Promise.
For full details, please see our Terms & Conditions

Please note: All products are 'FOR RESEARCH USE ONLY. NOT FOR USE IN DIAGNOSTIC OR THERAPEUTIC PROCEDURES'.

For licensing inquiries, please contact partnerships@abcam.com