JavaScript is disabled in your browser. Please enable JavaScript to view this website.
AB247336

Anti-beta Tubulin antibody [EP1331Y] - BSA and Azide free

Be the first to review this product! Submit a review

|

(0 Publication)

Rabbit Recombinant Monoclonal Beta-5-tubulin antibody. Carrier free. Suitable for IHC-P, WB and reacts with Human, Mouse, Rat samples.

View Alternative Names

TUBB5, OK/SW-cl.56, TUBB, Tubulin beta chain, Tubulin beta-5 chain

3 Images
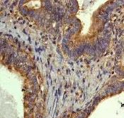
Immunohistochemistry (Formalin/PFA-fixed paraffin-embedded sections) - Anti-beta Tubulin antibody [EP1331Y] - BSA and Azide free (AB247336)
  • IHC-P

Unknown

Immunohistochemistry (Formalin/PFA-fixed paraffin-embedded sections) - Anti-beta Tubulin antibody [EP1331Y] - BSA and Azide free (AB247336)

This data was developed using ab52901, the same antibody clone in a different buffer formulation.

ab52901 at 1/250 dilution staining beta Tubulin in human gastric carcinoma by Immunohistochemsitry, Paraffin embedded tissue.

Perform heat mediated antigen retrieval with citrate buffer pH 6 before commencing with IHC staining protocol.

Western blot - Anti-beta Tubulin antibody [EP1331Y] - BSA and Azide free (AB247336)
  • WB

Unknown

Western blot - Anti-beta Tubulin antibody [EP1331Y] - BSA and Azide free (AB247336)

This data was developed using ab52901, the same antibody clone in a different buffer formulation.

All lanes:

Western blot - Anti-beta Tubulin antibody [EP1331Y] - Loading Control (<a href='/en-us/products/primary-antibodies/beta-tubulin-antibody-ep1331y-loading-control-ab52901'>ab52901</a>) at 1/20000 dilution

All lanes:

HeLa cell lysate at 10 µg

Secondary

All lanes:

Goat anti-rabbit HRP-conjugated at 1/2000 dilution

Predicted band size: 49 kDa

Observed band size: 50 kDa

false

Western blot - Anti-beta Tubulin antibody [EP1331Y] - BSA and Azide free (AB247336)
  • WB

Lab

Western blot - Anti-beta Tubulin antibody [EP1331Y] - BSA and Azide free (AB247336)

This data was developed using ab52901, the same antibody clone in a different buffer formulation.

This blot was produced using a 4-12% Bis-tris gel under the MOPS buffer system. The gel was run at 200V for 50 minutes before being transferred onto a Nitrocellulose membrane at 30V for 70 minutes. The membrane was then blocked for an hour using Licor blocking buffer before being incubated with ab52901 overnight at 4°C. Antibody binding was detected using ab175781 at a 1 : 10,000 dilution for 1hr at room temperature and then imaged using the Licor Odyssey CLx.

All lanes:

Western blot - Anti-beta Tubulin antibody [EP1331Y] - Loading Control (<a href='/en-us/products/primary-antibodies/beta-tubulin-antibody-ep1331y-loading-control-ab52901'>ab52901</a>) at 1/20000 dilution

Lane 1:

Brain (Mouse) Tissue Lysate at 20 µg

Lane 2:

Brain (Rat) Tissue Lysate at 20 µg

Lane 3:

Spinal Cord (Mouse) Tissue Lysate at 20 µg

Lane 4:

Spinal Cord (Rat) Tissue Lysate at 20 µg

Lane 5:

PC12 (Rat adrenal pheochromocytoma cell line) Whole Cell Lysate at 20 µg

Secondary

All lanes:

Western blot - Goat Anti-Rabbit IgG H&L (Alexa Fluor® 790) (<a href='/en-us/products/secondary-antibodies/goat-rabbit-igg-h-l-alexa-fluor-790-ab175781'>ab175781</a>) at 1/10000 dilution

Predicted band size: 49 kDa

Observed band size: 52 kDa

false

  • Unconjugated

    Anti-beta Tubulin antibody [EP1331Y] - Loading Control

Key facts

Host species

Rabbit

Clonality

Monoclonal

Clone number

EP1331Y

Isotype

IgG

Carrier free

Yes

Reacts with

Mouse, Rat, Human

Applications

IHC-P, WB

applications

Immunogen

The exact immunogen used to generate this antibody is proprietary information.

Reactivity data

{ "title": "Reactivity Data", "filters": { "stats": ["", "Species", "Dilution Info", "Notes"], "tabs": { "all-applications": {"fullname" : "All Applications", "shortname": "All Applications"}, "IHCP" : {"fullname" : "Immunohistochemistry (Formalin/PFA-fixed paraffin-embedded sections)", "shortname":"IHC-P"}, "WB" : {"fullname" : "Western blot", "shortname":"WB"} }, "product-promise": { "all": "all", "testedAndGuaranteed": "tested", "guaranteed": "expected", "predicted": "predicted", "notRecommended": "not-recommended" } }, "values": { "Human": { "IHCP-species-checked": "testedAndGuaranteed", "IHCP-species-dilution-info": "", "IHCP-species-notes": "<p></p>", "WB-species-checked": "testedAndGuaranteed", "WB-species-dilution-info": "", "WB-species-notes": "<p></p>" }, "Mouse": { "IHCP-species-checked": "guaranteed", "IHCP-species-dilution-info": "", "IHCP-species-notes": "", "WB-species-checked": "testedAndGuaranteed", "WB-species-dilution-info": "", "WB-species-notes": "<p></p>" }, "Rat": { "IHCP-species-checked": "guaranteed", "IHCP-species-dilution-info": "", "IHCP-species-notes": "", "WB-species-checked": "testedAndGuaranteed", "WB-species-dilution-info": "", "WB-species-notes": "<p></p>" }, "Zebrafish": { "IHCP-species-checked": "predicted", "IHCP-species-dilution-info": "", "IHCP-species-notes": "", "WB-species-checked": "predicted", "WB-species-dilution-info": "", "WB-species-notes": "" } } }

Product details

ab247336 is the carrier-free version of ab52901.

Patented technology
Our RabMAb® technology is a patented hybridoma-based technology for making rabbit monoclonal antibodies. For details on our patents, please refer to RabMAb® patents.

What are the advantages of a recombinant monoclonal antibody?
This product is a recombinant monoclonal antibody, which offers several advantages including:

  • - High batch-to-batch consistency and reproducibility
  • - Improved sensitivity and specificity
  • - Long-term security of supply
  • - Animal-free batch production

For more information, read more on recombinant antibodies.

Conjugation ready
Our carrier-free antibodies are typically supplied in a PBS-only formulation, purified and free of BSA, sodium azide and glycerol. This conjugation-ready format is designed for use with fluorochromes, metal isotopes, oligonucleotides, and enzymes, which makes them ideal for antibody labelling, functional and cell-based assays, flow-based assays (e.g. mass cytometry) and Multiplex Imaging applications.

Use our conjugation kits for antibody conjugates that are ready-to-use in as little as 20 minutes with 1 minute hands-on-time and 100% antibody recovery: available for fluorescent dyes, HRP, biotin and gold.

Compatibility
This product is compatible with the Maxpar® Antibody Labeling Kit from Fluidigm, without the need for antibody preparation. Maxpar® is a trademark of Fluidigm Canada Inc.

Properties and storage information

Form
Liquid
Purification technique
Affinity purification Protein A
Storage buffer
pH: 7.2 - 7.4 Constituents: PBS
Shipped at conditions
Blue Ice
Appropriate short-term storage conditions
+4°C
Appropriate long-term storage conditions
+4°C
Storage information
Do Not Freeze

Supplementary information

This supplementary information is collated from multiple sources and compiled automatically.

Beta tubulin also known as beta-tubulin or β-tubulin is a globular protein with a molecular weight of approximately 50 kDa. It is a major component of microtubules which are cylindrical structures vital for maintaining cell shape and enabling intracellular transport. This protein is expressed widely in eukaryotic cells and plays a role in mitosis and meiosis by forming the spindle apparatus important for chromosome separation during cell division. The size of beta tubulin allows it to effectively polymerize with alpha tubulin forming heterodimers which are the building blocks of the microtubule network.
Biological function summary

This protein contributes significantly to the dynamic instability of microtubules allowing rapid assembly and disassembly which is essential for cellular processes like motility signaling and maintaining the cell’s architecture. Beta tubulin operates as part of the tubulin family which includes several related proteins within microtubule structures. The beta-tubulin molecules in microtubules are critical for the interactions with microtubule-associated proteins (MAPs) and motor proteins such as kinesin and dynein influencing trafficking and positioning of organelles within the cell.

Pathways

Beta tubulin plays key roles in the mitotic spindle assembly checkpoint ensuring accurate chromosome segregation. It is actively involved in the microtubule pathway and has associations with signaling pathways such as the Wnt signaling pathway which affects cell growth and differentiation. Through these pathways beta tubulin interacts with proteins like tau and MAP2 which stabilize microtubules to control their functional dynamics within the cell.

Mutations or dysregulations in beta tubulin can affect neurological and proliferative conditions such as neurodegenerative diseases and cancer. Beta tubulin is notably linked to Alzheimer's disease where tau protein tangles disrupt normal microtubule function. It also connects to diseases like paclitaxel-resistant cancer where altered beta tubulin isoform expression can lead to chemotherapy resistance. The interaction of beta tubulin with tau and alpha tubulin provides further insight into etiological mechanisms of these conditions.

Product protocols

For this product, it's our understanding that no specific protocols are required. You can visit:

Target data

Tubulin is the major constituent of microtubules, a cylinder consisting of laterally associated linear protofilaments composed of alpha- and beta-tubulin heterodimers. Microtubules grow by the addition of GTP-tubulin dimers to the microtubule end, where a stabilizing cap forms. Below the cap, tubulin dimers are in GDP-bound state, owing to GTPase activity of alpha-tubulin.
See full target information TUBB

Product promise

We are committed to supporting your work with high-quality reagents, and we're here for you every step of the way. In the unlikely event that one of our products does not perform as expected, you're protected by our Product Promise.
For full details, please see our Terms & Conditions

Please note: All products are 'FOR RESEARCH USE ONLY. NOT FOR USE IN DIAGNOSTIC OR THERAPEUTIC PROCEDURES'.

For licensing inquiries, please contact partnerships@abcam.com